Spandidos Publications Logo
  • About
    • About Spandidos
    • Aims and Scopes
    • Abstracting and Indexing
    • Editorial Policies
    • Reprints and Permissions
    • Job Opportunities
    • Terms and Conditions
    • Contact
  • Journals
    • All Journals
    • Oncology Letters
      • Oncology Letters
      • Information for Authors
      • Editorial Policies
      • Editorial Board
      • Aims and Scope
      • Abstracting and Indexing
      • Bibliographic Information
      • Archive
    • International Journal of Oncology
      • International Journal of Oncology
      • Information for Authors
      • Editorial Policies
      • Editorial Board
      • Aims and Scope
      • Abstracting and Indexing
      • Bibliographic Information
      • Archive
    • Molecular and Clinical Oncology
      • Molecular and Clinical Oncology
      • Information for Authors
      • Editorial Policies
      • Editorial Board
      • Aims and Scope
      • Abstracting and Indexing
      • Bibliographic Information
      • Archive
    • Experimental and Therapeutic Medicine
      • Experimental and Therapeutic Medicine
      • Information for Authors
      • Editorial Policies
      • Editorial Board
      • Aims and Scope
      • Abstracting and Indexing
      • Bibliographic Information
      • Archive
    • International Journal of Molecular Medicine
      • International Journal of Molecular Medicine
      • Information for Authors
      • Editorial Policies
      • Editorial Board
      • Aims and Scope
      • Abstracting and Indexing
      • Bibliographic Information
      • Archive
    • Biomedical Reports
      • Biomedical Reports
      • Information for Authors
      • Editorial Policies
      • Editorial Board
      • Aims and Scope
      • Abstracting and Indexing
      • Bibliographic Information
      • Archive
    • Oncology Reports
      • Oncology Reports
      • Information for Authors
      • Editorial Policies
      • Editorial Board
      • Aims and Scope
      • Abstracting and Indexing
      • Bibliographic Information
      • Archive
    • Molecular Medicine Reports
      • Molecular Medicine Reports
      • Information for Authors
      • Editorial Policies
      • Editorial Board
      • Aims and Scope
      • Abstracting and Indexing
      • Bibliographic Information
      • Archive
    • World Academy of Sciences Journal
      • World Academy of Sciences Journal
      • Information for Authors
      • Editorial Policies
      • Editorial Board
      • Aims and Scope
      • Abstracting and Indexing
      • Bibliographic Information
      • Archive
    • International Journal of Functional Nutrition
      • International Journal of Functional Nutrition
      • Information for Authors
      • Editorial Policies
      • Editorial Board
      • Aims and Scope
      • Abstracting and Indexing
      • Bibliographic Information
      • Archive
    • International Journal of Epigenetics
      • International Journal of Epigenetics
      • Information for Authors
      • Editorial Policies
      • Editorial Board
      • Aims and Scope
      • Abstracting and Indexing
      • Bibliographic Information
      • Archive
    • Medicine International
      • Medicine International
      • Information for Authors
      • Editorial Policies
      • Editorial Board
      • Aims and Scope
      • Abstracting and Indexing
      • Bibliographic Information
      • Archive
  • Articles
  • Information
    • Information for Authors
    • Information for Reviewers
    • Information for Librarians
    • Information for Advertisers
    • Conferences
  • Language Editing
Spandidos Publications Logo
  • About
    • About Spandidos
    • Aims and Scopes
    • Abstracting and Indexing
    • Editorial Policies
    • Reprints and Permissions
    • Job Opportunities
    • Terms and Conditions
    • Contact
  • Journals
    • All Journals
    • Biomedical Reports
      • Information for Authors
      • Editorial Policies
      • Editorial Board
      • Aims and Scope
      • Abstracting and Indexing
      • Bibliographic Information
      • Archive
    • Experimental and Therapeutic Medicine
      • Information for Authors
      • Editorial Policies
      • Editorial Board
      • Aims and Scope
      • Abstracting and Indexing
      • Bibliographic Information
      • Archive
    • International Journal of Epigenetics
      • Information for Authors
      • Editorial Policies
      • Editorial Board
      • Aims and Scope
      • Abstracting and Indexing
      • Bibliographic Information
      • Archive
    • International Journal of Functional Nutrition
      • Information for Authors
      • Editorial Policies
      • Editorial Board
      • Aims and Scope
      • Abstracting and Indexing
      • Bibliographic Information
      • Archive
    • International Journal of Molecular Medicine
      • Information for Authors
      • Editorial Policies
      • Editorial Board
      • Aims and Scope
      • Abstracting and Indexing
      • Bibliographic Information
      • Archive
    • International Journal of Oncology
      • Information for Authors
      • Editorial Policies
      • Editorial Board
      • Aims and Scope
      • Abstracting and Indexing
      • Bibliographic Information
      • Archive
    • Medicine International
      • Information for Authors
      • Editorial Policies
      • Editorial Board
      • Aims and Scope
      • Abstracting and Indexing
      • Bibliographic Information
      • Archive
    • Molecular and Clinical Oncology
      • Information for Authors
      • Editorial Policies
      • Editorial Board
      • Aims and Scope
      • Abstracting and Indexing
      • Bibliographic Information
      • Archive
    • Molecular Medicine Reports
      • Information for Authors
      • Editorial Policies
      • Editorial Board
      • Aims and Scope
      • Abstracting and Indexing
      • Bibliographic Information
      • Archive
    • Oncology Letters
      • Information for Authors
      • Editorial Policies
      • Editorial Board
      • Aims and Scope
      • Abstracting and Indexing
      • Bibliographic Information
      • Archive
    • Oncology Reports
      • Information for Authors
      • Editorial Policies
      • Editorial Board
      • Aims and Scope
      • Abstracting and Indexing
      • Bibliographic Information
      • Archive
    • World Academy of Sciences Journal
      • Information for Authors
      • Editorial Policies
      • Editorial Board
      • Aims and Scope
      • Abstracting and Indexing
      • Bibliographic Information
      • Archive
  • Articles
  • Information
    • For Authors
    • For Reviewers
    • For Librarians
    • For Advertisers
    • Conferences
  • Language Editing
Login Register Submit
  • This site uses cookies
  • You can change your cookie settings at any time by following the instructions in our Cookie Policy. To find out more, you may read our Privacy Policy.

    I agree
Search articles by DOI, keyword, author or affiliation
Search
Advanced Search
presentation
Medicine International
Join Editorial Board Propose a Special Issue
Print ISSN: 2754-3242 Online ISSN: 2754-1304
Journal Cover
January-February 2023 Volume 3 Issue 1

Full Size Image

Sign up for eToc alerts
Recommend to Library

Journals

International Journal of Molecular Medicine

International Journal of Molecular Medicine

International Journal of Molecular Medicine is an international journal devoted to molecular mechanisms of human disease.

International Journal of Oncology

International Journal of Oncology

International Journal of Oncology is an international journal devoted to oncology research and cancer treatment.

Molecular Medicine Reports

Molecular Medicine Reports

Covers molecular medicine topics such as pharmacology, pathology, genetics, neuroscience, infectious diseases, molecular cardiology, and molecular surgery.

Oncology Reports

Oncology Reports

Oncology Reports is an international journal devoted to fundamental and applied research in Oncology.

Experimental and Therapeutic Medicine

Experimental and Therapeutic Medicine

Experimental and Therapeutic Medicine is an international journal devoted to laboratory and clinical medicine.

Oncology Letters

Oncology Letters

Oncology Letters is an international journal devoted to Experimental and Clinical Oncology.

Biomedical Reports

Biomedical Reports

Explores a wide range of biological and medical fields, including pharmacology, genetics, microbiology, neuroscience, and molecular cardiology.

Molecular and Clinical Oncology

Molecular and Clinical Oncology

International journal addressing all aspects of oncology research, from tumorigenesis and oncogenes to chemotherapy and metastasis.

World Academy of Sciences Journal

World Academy of Sciences Journal

Multidisciplinary open-access journal spanning biochemistry, genetics, neuroscience, environmental health, and synthetic biology.

International Journal of Functional Nutrition

International Journal of Functional Nutrition

Open-access journal combining biochemistry, pharmacology, immunology, and genetics to advance health through functional nutrition.

International Journal of Epigenetics

International Journal of Epigenetics

Publishes open-access research on using epigenetics to advance understanding and treatment of human disease.

Medicine International

Medicine International

An International Open Access Journal Devoted to General Medicine.

Journal Cover
January-February 2023 Volume 3 Issue 1

Full Size Image

Sign up for eToc alerts
Recommend to Library

  • Article
  • Citations
    • Cite This Article
    • Download Citation
    • Create Citation Alert
    • Remove Citation Alert
    • Cited By
  • Similar Articles
    • Related Articles (in Spandidos Publications)
    • Similar Articles (Google Scholar)
    • Similar Articles (PubMed)
  • Download PDF
  • Download XML
  • View XML
Case Report Open Access

Feasibility of robot‑assisted radical cystectomy in a patient with an ectopic kidney: A case report

  • Authors:
    • Kohei Edamura
    • Takuya Sadahira
    • Junya Hara
    • Takehiro Iwata
    • Wataru Ando
    • Satoshi Horii
    • Kentaro Nagao
    • Asuyuki Kobayashi
    • Motoo Araki
  • View Affiliations / Copyright

    Affiliations: Department of Urology, Okayama University Graduate School of Medicine, Dentistry and Pharmaceutical Sciences, Okayama 700‑8558, Japan
    Copyright: © Edamura et al. This is an open access article distributed under the terms of Creative Commons Attribution License.
  • Article Number: 1
    |
    Published online on: November 29, 2022
       https://doi.org/10.3892/mi.2022.61
  • Expand metrics +
Metrics: Total Views: 0 (Spandidos Publications: | PMC Statistics: )
Metrics: Total PDF Downloads: 0 (Spandidos Publications: | PMC Statistics: )
Cited By (CrossRef): 0 citations Loading Articles...

This article is mentioned in:



Abstract

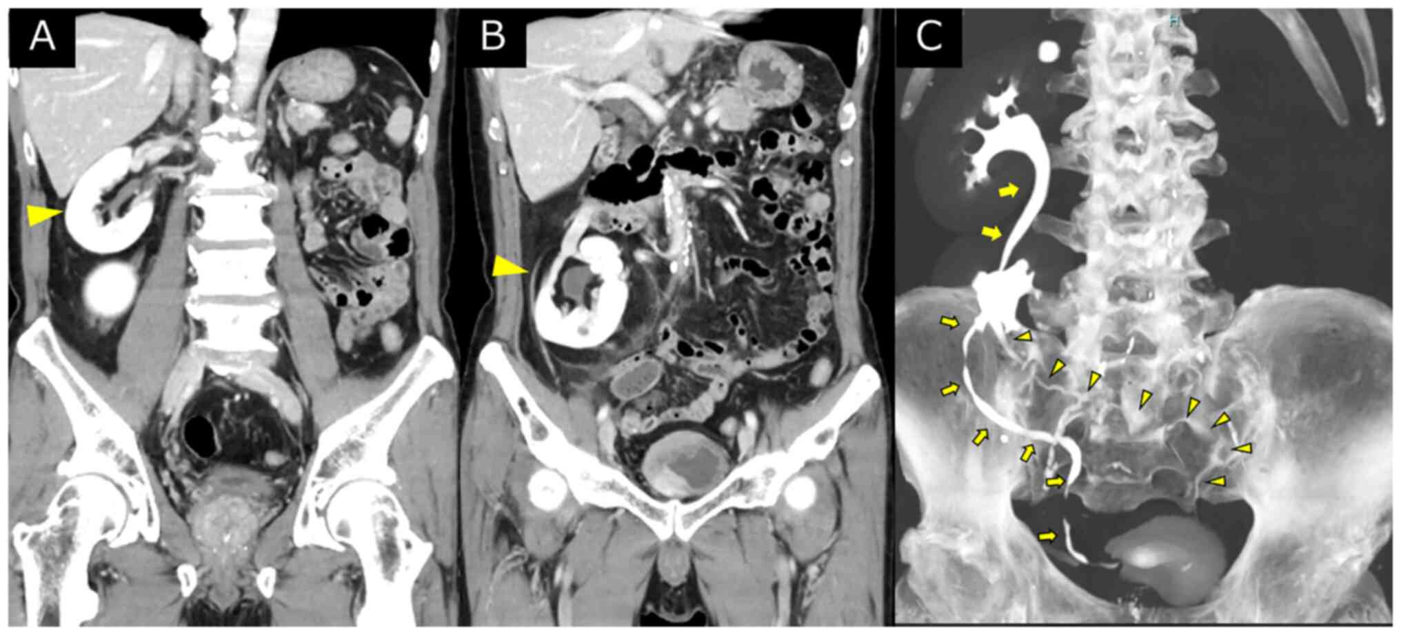
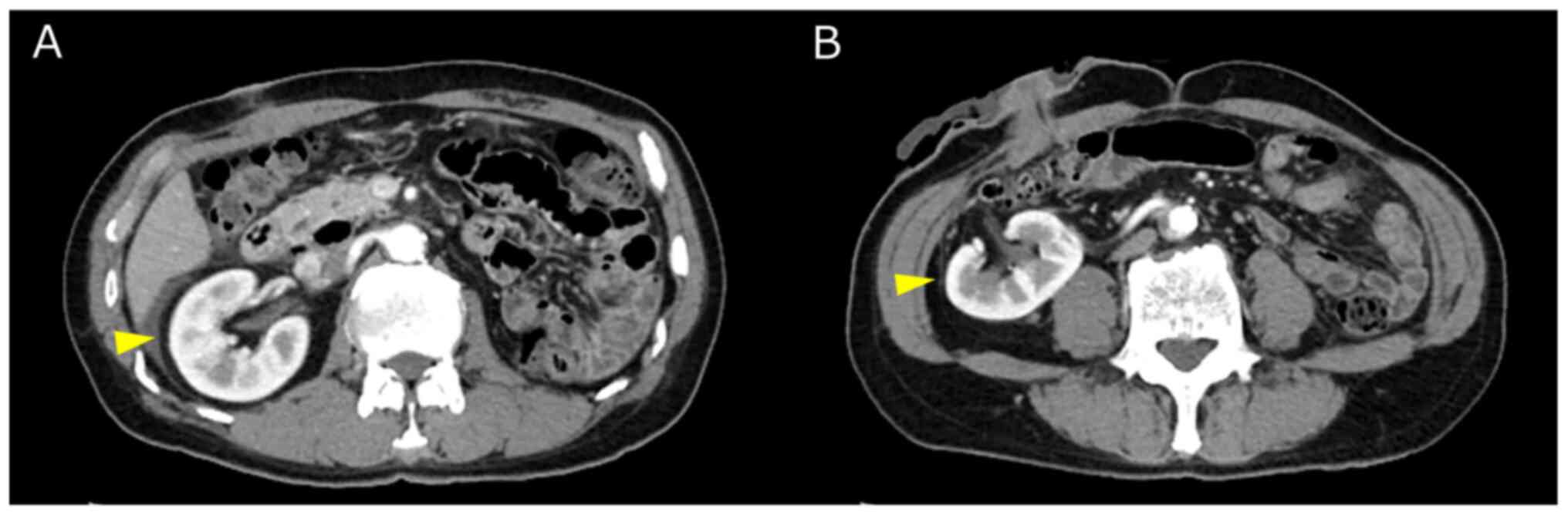
An ectopic kidney is a rare congenital defect in which the kidney does not migrate to its normal anatomical position. In the present study, a robot‑assisted radical cystectomy and intracorporeal urinary diversion were performed for a patient with an ectopic kidney. The present study describes the case of a 72‑year‑old male patient who was diagnosed with a bladder tumor by magnetic resonance imaging and cystoscopy. A transurethral resection of the bladder tumor was performed. The pathological examination revealed an invasive urothelial carcinoma. Contrast‑enhanced computed tomography revealed an ectopic left kidney in the upper pelvis. A robot‑assisted radical cystectomy, extended lymph node dissection and intracorporeal urinary diversion were performed. On the whole, as demonstrated herein, a robot‑assisted radical cystectomy with intracorporeal urinary diversion is a feasible approach for muscle‑invasive bladder cancer complicated by an ectopic kidney.
View Figures

Figure 1

Figure 2

Figure 3

Figure 4

Figure 5

View References

1 

Yuksl A and Batukan C: Sonographic findings of fetuses with an empty renal fossa and normal amniotic fluid volume. Fetal Diagn Ther. 19:525–532. 2004.PubMed/NCBI View Article : Google Scholar

2 

Sheih CP, Liu MB, Hung CS, Yang KH, Chen WY and Lin CY: Renal abnormalities in schoolchildren. Pediatrics. 84:1086–1090. 1989.PubMed/NCBI

3 

Vaughn W, Hickey D, Milam WH and Soloway M: Radical cystectomy in presence of fused ‘cake’ kidney. Urology. 29:552–554. 1987.PubMed/NCBI View Article : Google Scholar

4 

Quek ML, Basrawala Z, McClung C and Flanigan RC: Radical cystectomy with extended lymphadenectomy in the presence of a pelvic kidney. Urology. 68:672.e21–e22. 2006.PubMed/NCBI View Article : Google Scholar

5 

Adamakis I, Pournaras C, Katafigiotis I, Kousournas G, Fragkiadis E, Leotsakos I, Alamanis C, Mitropoulos D and Constantinides C: Radical cystectomy and lymphadenectomy to two patients with pelvic kidney: Surgical pitfalls and considerations. Case Rep Med. 2013(841806)2013.PubMed/NCBI View Article : Google Scholar

6 

Wallace DM: Ureteric diversion using a conduit: A simplified technique. Br J Urol. 38:522–527. 1966.PubMed/NCBI View Article : Google Scholar

7 

Simone G, Leonardo C, Papalia R, Guaglianone S, Sacco R, Forastiere E and Gallucci M: Case report: Laparoscopic ureteral reconstruction with pelvic flap in ureteropelvic junction obstruction of ectopic left kidney. J Endourol. 21:1041–1043. 2007.PubMed/NCBI View Article : Google Scholar

8 

Kumar S, Singh S, Jain S, Bora GS and Singh SK: Robot-assisted heminephrectomy for chromophobe renal cell carcinoma in L-shaped fused crossed ectopia: Surgical challenge. Korean J Urol. 56:729–732. 2015.PubMed/NCBI View Article : Google Scholar

9 

Rezaee ME, Shetty Z, Pridmore D, Dave CN and Shetty SD: Robot-assisted laparoscopic nephroureterectomy for transitional cell carcinoma of a right pelvic kidney. J Endourol Case Rep. 2:131–134. 2016.PubMed/NCBI View Article : Google Scholar

10 

Boczko J and Joseph JV: Robot-assisted extraperitoneal radical prostatectomy in a patient with a pelvic kidney. Urology. 68:1122.e3–e4. 2006.PubMed/NCBI View Article : Google Scholar

11 

Kerr PS, Nguyen NT, Martinez A, Srinivasan A, Kosarek CD and Sreshta JN: Robotic pyelolithotomy in a solitary pelvic kidney complicated with fulminant Clostridium difficile: A case report. J Med Case Rep. 16(126)2022.PubMed/NCBI View Article : Google Scholar

Related Articles

  • Abstract
  • View
  • Download
Copy and paste a formatted citation
Spandidos Publications style
Edamura K, Sadahira T, Hara J, Iwata T, Ando W, Horii S, Nagao K, Kobayashi A and Araki M: Feasibility of robot‑assisted radical cystectomy in a patient with an ectopic kidney: A case report. Med Int 3: 1, 2023.
APA
Edamura, K., Sadahira, T., Hara, J., Iwata, T., Ando, W., Horii, S. ... Araki, M. (2023). Feasibility of robot‑assisted radical cystectomy in a patient with an ectopic kidney: A case report. Medicine International, 3, 1. https://doi.org/10.3892/mi.2022.61
MLA
Edamura, K., Sadahira, T., Hara, J., Iwata, T., Ando, W., Horii, S., Nagao, K., Kobayashi, A., Araki, M."Feasibility of robot‑assisted radical cystectomy in a patient with an ectopic kidney: A case report". Medicine International 3.1 (2023): 1.
Chicago
Edamura, K., Sadahira, T., Hara, J., Iwata, T., Ando, W., Horii, S., Nagao, K., Kobayashi, A., Araki, M."Feasibility of robot‑assisted radical cystectomy in a patient with an ectopic kidney: A case report". Medicine International 3, no. 1 (2023): 1. https://doi.org/10.3892/mi.2022.61
Copy and paste a formatted citation
x
Spandidos Publications style
Edamura K, Sadahira T, Hara J, Iwata T, Ando W, Horii S, Nagao K, Kobayashi A and Araki M: Feasibility of robot‑assisted radical cystectomy in a patient with an ectopic kidney: A case report. Med Int 3: 1, 2023.
APA
Edamura, K., Sadahira, T., Hara, J., Iwata, T., Ando, W., Horii, S. ... Araki, M. (2023). Feasibility of robot‑assisted radical cystectomy in a patient with an ectopic kidney: A case report. Medicine International, 3, 1. https://doi.org/10.3892/mi.2022.61
MLA
Edamura, K., Sadahira, T., Hara, J., Iwata, T., Ando, W., Horii, S., Nagao, K., Kobayashi, A., Araki, M."Feasibility of robot‑assisted radical cystectomy in a patient with an ectopic kidney: A case report". Medicine International 3.1 (2023): 1.
Chicago
Edamura, K., Sadahira, T., Hara, J., Iwata, T., Ando, W., Horii, S., Nagao, K., Kobayashi, A., Araki, M."Feasibility of robot‑assisted radical cystectomy in a patient with an ectopic kidney: A case report". Medicine International 3, no. 1 (2023): 1. https://doi.org/10.3892/mi.2022.61
Follow us
  • Twitter
  • LinkedIn
  • Facebook
About
  • Spandidos Publications
  • Careers
  • Cookie Policy
  • Privacy Policy
How can we help?
  • Help
  • Live Chat
  • Contact
  • Email to our Support Team