Spandidos Publications Logo
  • About
    • About Spandidos
    • Aims and Scopes
    • Abstracting and Indexing
    • Editorial Policies
    • Reprints and Permissions
    • Job Opportunities
    • Terms and Conditions
    • Contact
  • Journals
    • All Journals
    • Oncology Letters
      • Oncology Letters
      • Information for Authors
      • Editorial Policies
      • Editorial Board
      • Aims and Scope
      • Abstracting and Indexing
      • Bibliographic Information
      • Archive
    • International Journal of Oncology
      • International Journal of Oncology
      • Information for Authors
      • Editorial Policies
      • Editorial Board
      • Aims and Scope
      • Abstracting and Indexing
      • Bibliographic Information
      • Archive
    • Molecular and Clinical Oncology
      • Molecular and Clinical Oncology
      • Information for Authors
      • Editorial Policies
      • Editorial Board
      • Aims and Scope
      • Abstracting and Indexing
      • Bibliographic Information
      • Archive
    • Experimental and Therapeutic Medicine
      • Experimental and Therapeutic Medicine
      • Information for Authors
      • Editorial Policies
      • Editorial Board
      • Aims and Scope
      • Abstracting and Indexing
      • Bibliographic Information
      • Archive
    • International Journal of Molecular Medicine
      • International Journal of Molecular Medicine
      • Information for Authors
      • Editorial Policies
      • Editorial Board
      • Aims and Scope
      • Abstracting and Indexing
      • Bibliographic Information
      • Archive
    • Biomedical Reports
      • Biomedical Reports
      • Information for Authors
      • Editorial Policies
      • Editorial Board
      • Aims and Scope
      • Abstracting and Indexing
      • Bibliographic Information
      • Archive
    • Oncology Reports
      • Oncology Reports
      • Information for Authors
      • Editorial Policies
      • Editorial Board
      • Aims and Scope
      • Abstracting and Indexing
      • Bibliographic Information
      • Archive
    • Molecular Medicine Reports
      • Molecular Medicine Reports
      • Information for Authors
      • Editorial Policies
      • Editorial Board
      • Aims and Scope
      • Abstracting and Indexing
      • Bibliographic Information
      • Archive
    • World Academy of Sciences Journal
      • World Academy of Sciences Journal
      • Information for Authors
      • Editorial Policies
      • Editorial Board
      • Aims and Scope
      • Abstracting and Indexing
      • Bibliographic Information
      • Archive
    • International Journal of Functional Nutrition
      • International Journal of Functional Nutrition
      • Information for Authors
      • Editorial Policies
      • Editorial Board
      • Aims and Scope
      • Abstracting and Indexing
      • Bibliographic Information
      • Archive
    • International Journal of Epigenetics
      • International Journal of Epigenetics
      • Information for Authors
      • Editorial Policies
      • Editorial Board
      • Aims and Scope
      • Abstracting and Indexing
      • Bibliographic Information
      • Archive
    • Medicine International
      • Medicine International
      • Information for Authors
      • Editorial Policies
      • Editorial Board
      • Aims and Scope
      • Abstracting and Indexing
      • Bibliographic Information
      • Archive
  • Articles
  • Information
    • Information for Authors
    • Information for Reviewers
    • Information for Librarians
    • Information for Advertisers
    • Conferences
  • Language Editing
Spandidos Publications Logo
  • About
    • About Spandidos
    • Aims and Scopes
    • Abstracting and Indexing
    • Editorial Policies
    • Reprints and Permissions
    • Job Opportunities
    • Terms and Conditions
    • Contact
  • Journals
    • All Journals
    • Biomedical Reports
      • Information for Authors
      • Editorial Policies
      • Editorial Board
      • Aims and Scope
      • Abstracting and Indexing
      • Bibliographic Information
      • Archive
    • Experimental and Therapeutic Medicine
      • Information for Authors
      • Editorial Policies
      • Editorial Board
      • Aims and Scope
      • Abstracting and Indexing
      • Bibliographic Information
      • Archive
    • International Journal of Epigenetics
      • Information for Authors
      • Editorial Policies
      • Editorial Board
      • Aims and Scope
      • Abstracting and Indexing
      • Bibliographic Information
      • Archive
    • International Journal of Functional Nutrition
      • Information for Authors
      • Editorial Policies
      • Editorial Board
      • Aims and Scope
      • Abstracting and Indexing
      • Bibliographic Information
      • Archive
    • International Journal of Molecular Medicine
      • Information for Authors
      • Editorial Policies
      • Editorial Board
      • Aims and Scope
      • Abstracting and Indexing
      • Bibliographic Information
      • Archive
    • International Journal of Oncology
      • Information for Authors
      • Editorial Policies
      • Editorial Board
      • Aims and Scope
      • Abstracting and Indexing
      • Bibliographic Information
      • Archive
    • Medicine International
      • Information for Authors
      • Editorial Policies
      • Editorial Board
      • Aims and Scope
      • Abstracting and Indexing
      • Bibliographic Information
      • Archive
    • Molecular and Clinical Oncology
      • Information for Authors
      • Editorial Policies
      • Editorial Board
      • Aims and Scope
      • Abstracting and Indexing
      • Bibliographic Information
      • Archive
    • Molecular Medicine Reports
      • Information for Authors
      • Editorial Policies
      • Editorial Board
      • Aims and Scope
      • Abstracting and Indexing
      • Bibliographic Information
      • Archive
    • Oncology Letters
      • Information for Authors
      • Editorial Policies
      • Editorial Board
      • Aims and Scope
      • Abstracting and Indexing
      • Bibliographic Information
      • Archive
    • Oncology Reports
      • Information for Authors
      • Editorial Policies
      • Editorial Board
      • Aims and Scope
      • Abstracting and Indexing
      • Bibliographic Information
      • Archive
    • World Academy of Sciences Journal
      • Information for Authors
      • Editorial Policies
      • Editorial Board
      • Aims and Scope
      • Abstracting and Indexing
      • Bibliographic Information
      • Archive
  • Articles
  • Information
    • For Authors
    • For Reviewers
    • For Librarians
    • For Advertisers
    • Conferences
  • Language Editing
Login Register Submit
  • This site uses cookies
  • You can change your cookie settings at any time by following the instructions in our Cookie Policy. To find out more, you may read our Privacy Policy.

    I agree
Search articles by DOI, keyword, author or affiliation
Search
Advanced Search
presentation
Medicine International
Join Editorial Board Propose a Special Issue
Print ISSN: 2754-3242 Online ISSN: 2754-1304
Journal Cover
September-October 2023 Volume 3 Issue 5

Full Size Image

Sign up for eToc alerts
Recommend to Library

Journals

International Journal of Molecular Medicine

International Journal of Molecular Medicine

International Journal of Molecular Medicine is an international journal devoted to molecular mechanisms of human disease.

International Journal of Oncology

International Journal of Oncology

International Journal of Oncology is an international journal devoted to oncology research and cancer treatment.

Molecular Medicine Reports

Molecular Medicine Reports

Covers molecular medicine topics such as pharmacology, pathology, genetics, neuroscience, infectious diseases, molecular cardiology, and molecular surgery.

Oncology Reports

Oncology Reports

Oncology Reports is an international journal devoted to fundamental and applied research in Oncology.

Experimental and Therapeutic Medicine

Experimental and Therapeutic Medicine

Experimental and Therapeutic Medicine is an international journal devoted to laboratory and clinical medicine.

Oncology Letters

Oncology Letters

Oncology Letters is an international journal devoted to Experimental and Clinical Oncology.

Biomedical Reports

Biomedical Reports

Explores a wide range of biological and medical fields, including pharmacology, genetics, microbiology, neuroscience, and molecular cardiology.

Molecular and Clinical Oncology

Molecular and Clinical Oncology

International journal addressing all aspects of oncology research, from tumorigenesis and oncogenes to chemotherapy and metastasis.

World Academy of Sciences Journal

World Academy of Sciences Journal

Multidisciplinary open-access journal spanning biochemistry, genetics, neuroscience, environmental health, and synthetic biology.

International Journal of Functional Nutrition

International Journal of Functional Nutrition

Open-access journal combining biochemistry, pharmacology, immunology, and genetics to advance health through functional nutrition.

International Journal of Epigenetics

International Journal of Epigenetics

Publishes open-access research on using epigenetics to advance understanding and treatment of human disease.

Medicine International

Medicine International

An International Open Access Journal Devoted to General Medicine.

Journal Cover
September-October 2023 Volume 3 Issue 5

Full Size Image

Sign up for eToc alerts
Recommend to Library

  • Article
  • Citations
    • Cite This Article
    • Download Citation
    • Create Citation Alert
    • Remove Citation Alert
    • Cited By
  • Similar Articles
    • Related Articles (in Spandidos Publications)
    • Similar Articles (Google Scholar)
    • Similar Articles (PubMed)
  • Download PDF
  • Download XML
  • View XML
Case Report Open Access

Cystic neutrophilic granulomatous mastitis: A case report and review of the literature

  • Authors:
    • David Gaskin
    • Dale Springer
    • Kandamaran Latha
    • Pamela S. Gaskin
    • Alain Reid
  • View Affiliations / Copyright

    Affiliations: Department of Pathology, Queen Elizabeth Hospital, Bridgetown, St. Michael BB11155, Barbados, Faculty of Medical Sciences, University of The West Indies Cave Hill Campus, Bridgetown, St. Michael BB11000, Barbados, Breast Screening Program, Barbados Cancer Society, Bridgetown, St. Michael BB11155, Barbados
    Copyright: © Gaskin et al. This is an open access article distributed under the terms of Creative Commons Attribution License [CC BY 4.0].
  • Article Number: 50
    |
    Published online on: September 6, 2023
       https://doi.org/10.3892/mi.2023.110
  • Expand metrics +
Metrics: Total Views: 0 (Spandidos Publications: | PMC Statistics: )
Metrics: Total PDF Downloads: 0 (Spandidos Publications: | PMC Statistics: )
Cited By (CrossRef): 0 citations Loading Articles...

This article is mentioned in:



Abstract

The present study describes a case of cystic neutrophilic granulomatous mastitis. The clinical and radiological findings of the patient were consistent with idiopathic granulomatous mastitis. Cystic neutrophilic granulomatous mastitis is a rare subtype of mastitis with a distinct histological pattern that is associated with the Corynebacterium species. The diagnosis and treatment of cystic neutrophilic granulomatous mastitis remains a significant challenge due to the scarcity of available data. The present study describes a classic case of cystic neutrophilic granulomatous mastitis that includes clinical, radiological and histopathological findings. To the best of our knowledge, this is the first case documenting radiological findings before and after treatment. This report encourages the consideration of this entity in the differential diagnoses of mastitis.

Introduction

Cystic neutrophilic granulomatous mastitis (CNGM) is a rare subtype of mastitis with a distinct histological pattern that is associated with the Corynebacterium species (1-3). The first well-documented compilation of disease associated with this species was published in 1997 by Funke et al (4). The association of Corynebacterium species with mastitis was first postulated in a 2003 review of mastitis cases by Taylor et al (3). Corynebacterium is a lipophilic Gram-positive bacillus with an affinity for adipose rich breast tissue. The organism is fastidious to growth in culture media and contemporary methods, including PCR for 16S ribosomal RNA and matrix-assisted laser desorption/ionization time-of-flight mass spectrometry (MALDI-TOF-MS) have facilitated more rapid and reliable diagnoses (5). Gene sequencing methods, such as PCR for 16S ribosomal RNA are considered the reference for the validation of MALDI-TOF-MS data.

To date, in the literature, a total of 141 cases of CNGM presenting at a mean age of 35 years have been reported since 2002 and only one of these cases was of African descent (1). To the best of our knowledge, the present study describes the first reported case of CNGM in a patient of Afro-Caribbean descent. It is suspected these cases may be underreported in the Caribbean and the scarcity of available data render accurate diagnoses and appropriate management a challenge in this population.

Cystic granulomatous mastitis predominates in the minority ethnic groups of the geographical territories with the largest published cohorts (1,6). The first case control series demonstrating an association of CNGM with the Corynebacterium species published in Auckland, New Zealand included predominantly Māori and Pacific islanders (3). A predilection of the disease among the Hispanic population from Central America or Mexico has been reported in North America (7). These findings are consistent with the overall epidemiological trend of granulomatous mastitis in minority ethnic groups, including Hispanic, Black, Asian and African American women (6,8). The case described herein had all the characteristic clinicopathological features of CNGM and therefore provides an ideal educational model to guide the diagnosis and management of this unusual breast pathology in a resource-limited Caribbean setting.

Case report

Case summary

A 32-year-old woman (gravida 2, para 2) with no known chronic medical illnesses presented to the Barbados Cancer Society-Breast Screening Programme with a 2-week history of a left breast lump and breast pain. The pain had resolved by the time of presentation, but the lump persisted. There was no associated nipple discharge or trauma to the breast. She had no previous breast surgeries. A physical examination revealed a healthy-looking young woman. There was a 6x6 cm mobile, non-tender left breast mass between the 2 to 4 o'clock positions 4 cm from the nipple. The right breast and axilla were normal.

In view of the persistence of the mass, a breast ultrasound was performed. The initial examination yielded normal results. A second ultrasound repeated after 10 days (Fig. 1) revealed an area of architectural distortion with dilated ducts measuring up to 0.3 cm in diameter located at the 3 to 4 o'clock position of the left breast. There was no discrete mass or significant axillary lymphadenopathy. The findings were consistent with mastitis. The other differential diagnosis was inflammatory breast carcinoma. The patient was treated with a course of oral Augmentin (amoxicillin and clavulanic acid) and although the swelling decreased in size, it did not completely resolve. A third ultrasound (Fig. 2) after 2 weeks of treatment was suggestive of a 1.3-cm hypoechoic mass with indistinct borders at the 4 0'clock position. A decision was made to proceed with a biopsy. A repeat ultrasound (Fig. 3) was conducted after 6 months, which revealed hypoechoic tubular collections and fistulous tracts towards the skin.

Figure 1

Ultrasound images illustrating transverse (right panel) and longitudinal (left panel) views of architectural distortion and dilated ducts 10 days after the initial presentation with a breast lump and pain. The arrow indicates a dilated duct surrounded by a wide area of architectural distortion.

Figure 2

Ultrasound images illustrating transverse (right panel) and longitudinal (left panel) views of a hypoechoic mass with indistinct borders after 2 weeks of treatment with antibiotics.

Figure 3

Ultrasound images illustrating transverse (right panel) and longitudinal (left panel) views 6 months after the initial diagnosis and treatment, demonstrating disease progression.

Histological findings

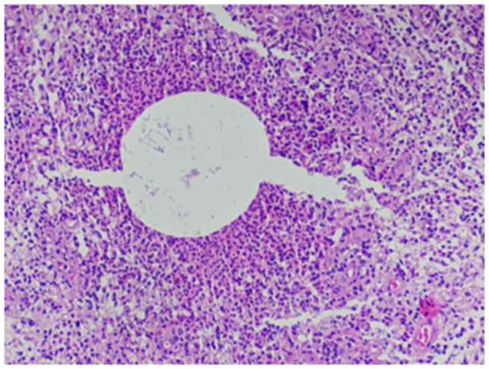
Sections (4-µm-thick) were cut from paraffin-embedded tissue that was fixed in 10% neutral buffered formalin for 12 h. The Gram-Twort modified method for staining bacteria was followed and all solutions were freshly prepared by a histotechnologist according to the laboratory's standard protocol at room temperature. In summary, the tissue sections were stained with Lillie's crystal violet for 4 min and treated with Lugol's iodine solution for 4 min. The second stain was Twort's working solution for 5 min; 2% acetic acid in absolute alcohol was used for decolorization. All reagents were sourced from Stat Lab Medical Products. The stained slides were then mounted and viewed using an Olympus pathology light microscope (Olympus Corporation). The histopathological analysis of the biopsy sample using hematoxylin and eosin staining (Figs. 4 and 5) revealed cystic spaces surrounded by neutrophils. The Gram stain (Fig. 6) revealed Gram-positive blue rods within these spaces morphologically consistent with Corynebacterium species. The features were consistent with CNGM.

Figure 4

Histopathological analysis demonstrating a cystic space surrounded by neutrophils (x200 magnification).

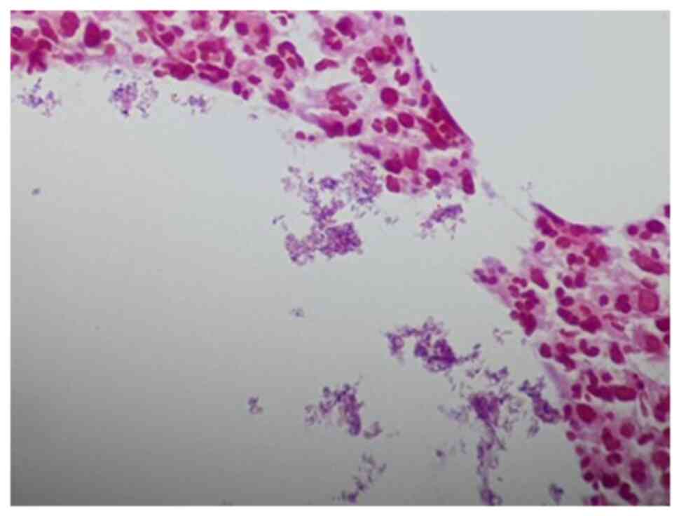
Figure 6

Gram stain illustrating multiple Gram-positive rods with palisading arrangement and cuneiform shapes (red dots) confined to neutrophil-rimmed cystic spaces.

Discussion

Granulomatous mastitis is a heterogenous group of diseases with a diverse clinical picture and association (9). It was first clearly described in 1972 by Kessler and Wolloch (10) as a lobulocentric pattern of granulomatous inflammation not associated with trauma, infection, or exogenous material. Granulomatous mastitis, as described by Kessler and Wolloch (10), is termed idiopathic granulomatous mastitis. However, there is significant overlap in the literature and a number of cases reviewed in publications on idiopathic granulomatous mastitis would meet the diagnostic criteria for CNGM (11,12).

The link between CNGM and Corynebacterium infection has been reported in multiple studies (1-3,7). The identification of this association places it outside the category of idiopathic granulomatous mastitis (11,12). It is fitting that this should be recognized as a distinct diagnostic entity in order to avoid overlap with other subtypes of granulomatous mastitis.

The case described herein was a nonlactating multiparous woman of 32 years of age, which fits the demographic profile for idiopathic granulomatous mastitis (12). The radiological findings in this patient included architectural distortion, with dilated ducts in the pre-treatment breast ultrasound and a hypoechoic mass with indistinct borders post-treatment with antibiotics. Radiological findings in CNGM have been sporadically reported in case reports and case series, and include a spectrum of findings (1,13). A mass is the most common radiographical feature followed by dilated ducts (1). Edema with no mass, abscesses and sinuses are also observed. The majority of cases are reported as Breast Imaging-Reporting and Data System (BIRADS) score 4 (suspicious). Malignancy is often suspected based on the finding of an irregular or ill-defined hypoechoic mass with shadowing observed on a breast ultrasound (13). The finding of a hypoechoic mass with indistinct borders in the case described in the present study is congruent with the reported radiological findings for granulomatous lobular mastitis (GLM) and CNGM (1,13,14). The literature reviewed from case reports and series has documented one radiological finding per patient. To the best of our knowledge, the present study describes the first case documenting radiological findings before and after treatment (1,13). The spectrum of findings reported for the case described herein, including dilated ducts followed by a mass and then fistulous tracts suggests a progression of the disease, despite therapy. The initial finding of dilated ducts was consistent with mastitis; however, the presence of a mass despite antibiotic therapy necessitated biopsy in this patient in order to exclude neoplasia. Inflammatory breast carcinoma was considered as a differential diagnosis for this case. Both inflammatory breast carcinoma and GLM can reveal hypoechoic masses and the ultrasound findings of the two can overlap such that biopsy of the lesion is required for a definitive diagnosis (14).

In the present study, a histopathological evaluation revealed the characteristic lobulocentric lipogranulomatous inflammation with neutrophils and multiple bacterial rods confirmed on a Gram stain. These rods exhibited a palisading arrangement with the formation of cuneiform shapes and grouping into V shapes considered to be morphologically consistent with coryneform species (13) (Fig. 6). The case described herein illustrates how well-defined light microscopic pathological features can distinguish CNGM from cases that may overlap clinically with idiopathic granulomatous mastitis.

Pathological diagnosis can be challenging, and some cases have a palisading pattern of granulomatous inflammation without the characteristic microcysts or lipid vacuoles. These cases may represent an early phase in the evolution of the disease (15). Gram stains are used to identify bacterial organisms, although these can yield false-negative results. The rate of false-negative diagnoses with a Gram stain can be reduced by focusing more closely on the lipid vacuoles that form microcysts to detect sparsely occurring Gram-positive rods. In addition, the use of multiple stains or thicker sections that increases the number of bacteria on the slide can also reduce false-negative diagnoses (15). A careful search for organisms is necessary in all cases to avoid the misclassification of CNGM as non-infectious or idiopathic and facilitate appropriate antimicrobial management for patients.

Microbial cultures would be ideal in all cases demonstrating clinical and radiological features suggestive of granulomatous mastitis. False-negative Gram stain results can occur due to the low sensitivity of histochemical stains (15). In addition, the organism is difficult to culture and additional molecular diagnostic tests, including PCR, next-generation sequencing and MALDI-TOF can improve diagnostic accuracy, if available (5,7,10,15,16).

The differential diagnoses for CNGM includes infectious and non-infectious diseases. Non-infectious causes of lipogranulomatous inflammation, including fat necrosis and silicone implants can be distinguished from CNGM by the absence of abundant neutrophils and the presence of polarizable material in giant cells (1). Autoimmune causes of necrotizing granulomatous inflammation, including granulomatosis with polyangiitis and rheumatoid arthritis have been reported in the breast. Granulomatosis with polyangiitis can be distinguished microscopically from CNGM by the presence of necrotizing vasculitis (1,17). Rheumatoid nodules presenting as granulomatous mastitis have a central area of fibrinoid necrosis palisaded by histiocytes and plasma cells. Abundant neutrophils have been described in rheumatoid nodules, but lipogranulomas are not present (18). Serology for ANCA antibodies and rheumatoid factor supports the diagnosis of these specific autoimmune causes of granulomatous mastitis (1,17,18).

Infectious causes of granulomatous mastitis, including tuberculosis can usually be excluded by the characteristic light microscopic features of the granulomatous inflammation. The granulomas of primary tuberculosis of the breast are well-formed, necrotizing and lack the neutrophils that characterize CNGM (13,19,20). Tuberculous granulomas of the breast also involve both ducts and lobules, while CNGM is confined to the lobule. Ziehl-Neelsen stain, PCR and culture would support the diagnosis of tuberculosis and other mycobacterial infections of the breast (19,20). Sarcoidosis is an idiopathic cause of granulomatous inflammation that is usually multisystemic and involves the breast in <1% of cases. Sarcoid granulomas are well-formed, typically non-necrotizing and are composed mainly of epithelioid histiocytes and Langhans giant cells (13,20,21). The role of autoimmunity or immune dysregulation in the pathogenesis and progression of CNGM is uncertain. Corticosteroids and other anti-inflammatory agents have been used in the management of CNGM; however, there is a scarcity of available evidence of their efficacy alone or in combination with antibiotic therapy (1).

Despite the wealth of evidence associating Corynebacterium with CNGM, a causal link has not yet been established. A proposed alternative hypothesis is that Corynebacterium colonizes necrotic fat parenchyma following granulomatous inflammation and is not the causative agent. However, the detection of Corynebacterium associated with a host immune response in deep breast parenchyma early in the course of the disease, as well as the therapeutic response to antibiotics in some cases favors an etiological link (2,3,22).

An antecedent initiating factor is not always described in cases of CNGM. However, the organism was isolated in lactating women with mastitis in one case series. In the same series, a history of trauma was documented in two non-lactating persons with CNGM from whom Corynebacterium was isolated (22). These findings suggest that the breach of the skin barrier secondary to trauma or breast feeding is a possible route of infection. Colonization of lactiferous ducts will allow spread to the terminal duct lobular unit, resulting in lobulocentric inflammation.

Emerging evidence suggests a potential role of other bacterial organisms in the pathogenesis of CNGM. A series of 40 cases from the Shenzhen Traditional Chinese Medicine Hospital with a CNGM-like pattern of inflammation all had negative Gram stains (16). Notably, Corynebacterium species was not the most common organism detected using the next-generation sequencing of paraffin-embedded tissue. Other bacterial species, including Pseudomonas aeruginosa were associated in these cases (16). That study, although small, provided intriguing evidence suggesting the association of organisms other than Corynebacterium and Mycobacterium with granulomatous mastitis. This finding may explain the poor response to antibiotics directed against Corynebacterium species in cases diagnosed only based on a Gram stain. Neither microbial culture nor molecular testing was performed in the case described herein, precluding definitive proof that Corynebacterium was the associated organism.

A major obstacle to the collation of data on CNGM is a lack of standardized nomenclature of the entity. Case series on idiopathic granulomatous mastitis and granulomatous mastitis include patients that would meet the diagnostic criteria for CNGM (11,23,24). A standardization of the diagnostic nomenclature will enable more comprehensive research to develop protocols for the diagnosis and treatment of this entity. The application of the term CNGM should thus perhaps only be used in cases that exhibit the histomorphological pattern and evidence of infection with Gram-positive rods morphologically consistent with Corynebacterium species (24). An effort should be made to culture the organism or conduct ancillary molecular tests for confirmation, if possible.

The present study describes a rare classic case of CNGM occurring in a woman of Afro-Caribbean descent. The clinicopathological features were characteristic, and Gram-positive bacilli were identified on a Gram stain. This case contributes to the increasing evidence that CNGM is a histomorphologically distinct entity associated with bacterial infection. The pathologist can play a critical role in patient management by recognizing the pattern of inflammation and requesting the appropriate histochemical stains. The finding of an infectious organism can direct antimicrobial therapy.

Corynebacterium species have been confirmed in numerous reported cases (13,22,24) with the pattern of neutrophilic granulomatous inflammation and the cuneiform configuration of Gram-positive bacilli demonstrated in the case described herein. In light of these histomorphological findings, Corynebacterium may be considered to be the most probable infectious etiology. Ideally, the authors of the present study would have liked to obtain culture or molecular testing as supportive evidence that the Gram-positive rods identified in this case were indeed Corynebacterium. However, these more specific tests were costly and were not locally available.

To the best of our knowledge, the present study reports the first case of CNGM in the English-speaking Caribbean. The identification of bacterial organisms in the present case underscores the widely reported role of bacterial infection in the etiopathogenesis of this entity. The treatment of this disease remains a significant challenge due to the scarcity of available data for effective treatment protocols. This report encourages the consideration of this entity in the differential diagnoses of mastitis among Afro-Caribbeans.

Acknowledgements

The authors would like to acknowledge Mr. Justin Ward of Integrated Pathology Services for technical support, including assistance with the editing and formatting of the manuscript.

Funding

Funding: No funding was received.

Availability of data and materials

The datasets used and/or analyzed during the current study are available from the corresponding author on reasonable request.

Authors' contributions

DG was responsible for the conception and design of the study, the interpretation of the patient's data and in the critical revision of the manuscript. DS and KL were responsible for acquisition of the patient's sample, and revised the manuscript critically for intellectual content. PSG was responsible for the design of the study and revised the manuscript critically for intellectual content. AR was responsible for designing the study, in the drafting of the manuscript, and revised the manuscript critically for intellectual content. KL and AR confirm the authenticity of all the raw data. All authors have read and approved the final manuscript.

Ethics approval and consent to participate

Approval for the study was granted by the Ethics Committee of Queen Elizabeth Hospital (Ref: 462023-DG), Bridgetown, Barbados. The patient provided signed informed consent for participation in the study.

Patient consent for publication

The patient provided signed informed consent for the publication of her data and any related images.

Competing interests

The authors declare that they have no competing interests.

References

1 

Wu JM and Turashvili G: Cystic neutrophilic granulomatous mastitis: An update. J Clin Pathol. 73:445–453. 2020.PubMed/NCBI View Article : Google Scholar

2 

Renshaw AA, Derhagopian RP and Gould EW: Cystic neutrophilic granulomatous mastitis: An underappreciated pattern strongly associated with Gram-positive bacilli. Am J Clin Pathol. 136:424–427. 2011.PubMed/NCBI View Article : Google Scholar

3 

Taylor GB, Paviour SD, Musaad S, Jones WO and Holland DJ: A clinicopathological review of 34 cases of inflammatory breast disease showing an association between corynebacteria infection and granulomatous mastitis. Pathology. 35:109–119. 2003.PubMed/NCBI

4 

Funke G, von Graevenitz A, Clarridge J III and Bernard KA: Clinical microbiology of coryneform bacteria. Clin Microbiol Rev. 10:125–159. 1997.PubMed/NCBI View Article : Google Scholar

5 

Alibi S, Ferjani A, Gaillot O, Marzouk M, Courcol R and Boukadida J: Identification of clinically relevant Corynebacterium strains by Api Coryne, MALDI-TOF-mass spectrometry and molecular approaches. Pathol Biol (Paris). 63:153–157. 2015.PubMed/NCBI View Article : Google Scholar

6 

Bacon DR, Ngeve SM and Jordan SG: Granulomatous mastitis: An underdiagnosed inflammatory disease afflicting minority women. Radiol Case Rep. 16:3990–3994. 2021.PubMed/NCBI View Article : Google Scholar

7 

Troxell ML, Gordon NT, Doggett JS, Ballard M, Vetto JT, Pommier RF and Naik AM: Cystic neutrophilic granulomatous mastitis: Association with Gram-positive bacilli and Corynebacterium. Am J Clin Pathol. 145:635–645. 2016.PubMed/NCBI View Article : Google Scholar

8 

Metanat S, Jobaneh YS, Noori M, Sadeghi F, Mirzapour A, Mashoori N, Mossahebi S, Kaviani A and Karbakhsh M: Global distribution of idiopathic granulomatous mastitis: A scoping review: IGM global distribution. Arch Breast Cancer. 9:261–271. 2022.

9 

Tse GM, Poon CS, Ramachandram K, Ma TK, Pang LM, Law BK, Chu WC, Tang AP and Cheung HS: Granulomatous mastitis: A clinicopathological review of 26 cases. Pathology. 36:254–257. 2004.PubMed/NCBI View Article : Google Scholar

10 

Kessler E and Wolloch Y: Granulomatous mastitis: A lesion clinically simulating carcinoma. Am J Clin Pathol. 58:642–646. 1972.PubMed/NCBI View Article : Google Scholar

11 

Aljawder AAA, Li JJX, Ng JKM, Chan RCK, Lui PCW, Poon IK, Tsang JYS and Tse GM: Idiopathic granulomatous mastitis and cystic neutrophilic granulomatous mastitis: Two sides of the same coin or distinct entities? Pathology. 55:335–341. 2023.PubMed/NCBI View Article : Google Scholar

12 

Altintoprak F, Kivilcim T and Ozkan OV: Aetiology of idiopathic granulomatous mastitis. World J Clin Cases. 2:852–858. 2014.PubMed/NCBI View Article : Google Scholar

13 

D'Alfonso TM, Moo TA, Arleo EK, Cheng E, Antonio LB and Hoda SA: Cystic neutrophilic granulomatous mastitis: Further characterization of a distinctive histopathologic entity not always demonstrably attributable to Corynebacterium infection. Am J Surg Pathol. 39:1440–1447. 2015.PubMed/NCBI View Article : Google Scholar

14 

Febery A and Bennett I: Sonographic features of inflammatory conditions of the breast. Australas J Ultrasound Med. 22:165–173. 2019.PubMed/NCBI View Article : Google Scholar

15 

Sangoi AR: ‘Thick section’ Gram stain yields improved detection of organisms in tissue sections of cystic neutrophilic granulomatous mastitis. Am J Clin Pathol. 153:593–597. 2020.PubMed/NCBI View Article : Google Scholar

16 

Wang J, Xu H, Li Z, Li F, Yang Y, Yu X, Jiang D, Xing L, Sun H and Shao M: Pathogens in patients with granulomatous lobular mastitis. Int J Infect Dis. 81:123–127. 2019.PubMed/NCBI View Article : Google Scholar

17 

Basetti B, Periakaruppan G, Murali A, Dev B, Radhakrishnan PR and Sai PMV: Breast involvement in granulomatosis with polyangiitis: A case report. Egypt J Radiol Nucl Med. 52(193)2021.

18 

Iqbal FM, Ali H and Vidya R: Breast lumps: A rare site for rheumatoid nodules. BMJ Case Rep. 2015(bcr2014208586)2015.PubMed/NCBI View Article : Google Scholar

19 

Baykan AH, Sayiner HS, Inan I, Aydin E and Erturk SM: Primary breast tuberculosis: Imaging findings of a rare disease. Insights Imaging. 12(19)2021.PubMed/NCBI View Article : Google Scholar

20 

Baharoon S: Tuberculosis of the breast. Ann Thorac Med. 3:110–114. 2008.PubMed/NCBI View Article : Google Scholar

21 

Shoyele O, Vidhun R, Dodge J, Cheng Z, Margules R, Nee P and Sieber S: Cystic neutrophilic granulomatous mastitis: A clinicopathologic study of a distinct entity with supporting evidence of a role for Corynebacterium-targeted therapy. Ann Diagn Pathol. 37:51–56. 2018.PubMed/NCBI View Article : Google Scholar

22 

Paviour S, Musaad S, Roberts S, Taylor G, Taylor S, Shore K, Lang S and Holland D: Corynebacterium species isolated from patients with mastitis. Clin Infect Dis. 35:1434–1440. 2002.PubMed/NCBI View Article : Google Scholar

23 

Thomas VM, Alexander SA, Bindal P and Vredenburgh J: Idiopathic granulomatous mastitis-a mystery yet to be unraveled: A case series and review of literature. Cureus. 12(e6895)2020.PubMed/NCBI View Article : Google Scholar

24 

Nguyen MH, Molland JG, Kennedy S, Gray TJ and Limaye S: Idiopathic granulomatous mastitis: Case series and clinical review. Intern Med J. 51:1791–1797. 2021.PubMed/NCBI View Article : Google Scholar

Related Articles

  • Abstract
  • View
  • Download
Copy and paste a formatted citation
Spandidos Publications style
Gaskin D, Springer D, Latha K, Gaskin PS and Reid A: Cystic neutrophilic granulomatous mastitis: A case report and review of the literature. Med Int 3: 50, 2023.
APA
Gaskin, D., Springer, D., Latha, K., Gaskin, P.S., & Reid, A. (2023). Cystic neutrophilic granulomatous mastitis: A case report and review of the literature. Medicine International, 3, 50. https://doi.org/10.3892/mi.2023.110
MLA
Gaskin, D., Springer, D., Latha, K., Gaskin, P. S., Reid, A."Cystic neutrophilic granulomatous mastitis: A case report and review of the literature". Medicine International 3.5 (2023): 50.
Chicago
Gaskin, D., Springer, D., Latha, K., Gaskin, P. S., Reid, A."Cystic neutrophilic granulomatous mastitis: A case report and review of the literature". Medicine International 3, no. 5 (2023): 50. https://doi.org/10.3892/mi.2023.110
Copy and paste a formatted citation
x
Spandidos Publications style
Gaskin D, Springer D, Latha K, Gaskin PS and Reid A: Cystic neutrophilic granulomatous mastitis: A case report and review of the literature. Med Int 3: 50, 2023.
APA
Gaskin, D., Springer, D., Latha, K., Gaskin, P.S., & Reid, A. (2023). Cystic neutrophilic granulomatous mastitis: A case report and review of the literature. Medicine International, 3, 50. https://doi.org/10.3892/mi.2023.110
MLA
Gaskin, D., Springer, D., Latha, K., Gaskin, P. S., Reid, A."Cystic neutrophilic granulomatous mastitis: A case report and review of the literature". Medicine International 3.5 (2023): 50.
Chicago
Gaskin, D., Springer, D., Latha, K., Gaskin, P. S., Reid, A."Cystic neutrophilic granulomatous mastitis: A case report and review of the literature". Medicine International 3, no. 5 (2023): 50. https://doi.org/10.3892/mi.2023.110
Follow us
  • Twitter
  • LinkedIn
  • Facebook
About
  • Spandidos Publications
  • Careers
  • Cookie Policy
  • Privacy Policy
How can we help?
  • Help
  • Live Chat
  • Contact
  • Email to our Support Team