Spandidos Publications Logo
  • About
    • About Spandidos
    • Aims and Scopes
    • Abstracting and Indexing
    • Editorial Policies
    • Reprints and Permissions
    • Job Opportunities
    • Terms and Conditions
    • Contact
  • Journals
    • All Journals
    • Oncology Letters
      • Oncology Letters
      • Information for Authors
      • Editorial Policies
      • Editorial Board
      • Aims and Scope
      • Abstracting and Indexing
      • Bibliographic Information
      • Archive
    • International Journal of Oncology
      • International Journal of Oncology
      • Information for Authors
      • Editorial Policies
      • Editorial Board
      • Aims and Scope
      • Abstracting and Indexing
      • Bibliographic Information
      • Archive
    • Molecular and Clinical Oncology
      • Molecular and Clinical Oncology
      • Information for Authors
      • Editorial Policies
      • Editorial Board
      • Aims and Scope
      • Abstracting and Indexing
      • Bibliographic Information
      • Archive
    • Experimental and Therapeutic Medicine
      • Experimental and Therapeutic Medicine
      • Information for Authors
      • Editorial Policies
      • Editorial Board
      • Aims and Scope
      • Abstracting and Indexing
      • Bibliographic Information
      • Archive
    • International Journal of Molecular Medicine
      • International Journal of Molecular Medicine
      • Information for Authors
      • Editorial Policies
      • Editorial Board
      • Aims and Scope
      • Abstracting and Indexing
      • Bibliographic Information
      • Archive
    • Biomedical Reports
      • Biomedical Reports
      • Information for Authors
      • Editorial Policies
      • Editorial Board
      • Aims and Scope
      • Abstracting and Indexing
      • Bibliographic Information
      • Archive
    • Oncology Reports
      • Oncology Reports
      • Information for Authors
      • Editorial Policies
      • Editorial Board
      • Aims and Scope
      • Abstracting and Indexing
      • Bibliographic Information
      • Archive
    • Molecular Medicine Reports
      • Molecular Medicine Reports
      • Information for Authors
      • Editorial Policies
      • Editorial Board
      • Aims and Scope
      • Abstracting and Indexing
      • Bibliographic Information
      • Archive
    • World Academy of Sciences Journal
      • World Academy of Sciences Journal
      • Information for Authors
      • Editorial Policies
      • Editorial Board
      • Aims and Scope
      • Abstracting and Indexing
      • Bibliographic Information
      • Archive
    • International Journal of Functional Nutrition
      • International Journal of Functional Nutrition
      • Information for Authors
      • Editorial Policies
      • Editorial Board
      • Aims and Scope
      • Abstracting and Indexing
      • Bibliographic Information
      • Archive
    • International Journal of Epigenetics
      • International Journal of Epigenetics
      • Information for Authors
      • Editorial Policies
      • Editorial Board
      • Aims and Scope
      • Abstracting and Indexing
      • Bibliographic Information
      • Archive
    • Medicine International
      • Medicine International
      • Information for Authors
      • Editorial Policies
      • Editorial Board
      • Aims and Scope
      • Abstracting and Indexing
      • Bibliographic Information
      • Archive
  • Articles
  • Information
    • Information for Authors
    • Information for Reviewers
    • Information for Librarians
    • Information for Advertisers
    • Conferences
  • Language Editing
Spandidos Publications Logo
  • About
    • About Spandidos
    • Aims and Scopes
    • Abstracting and Indexing
    • Editorial Policies
    • Reprints and Permissions
    • Job Opportunities
    • Terms and Conditions
    • Contact
  • Journals
    • All Journals
    • Biomedical Reports
      • Information for Authors
      • Editorial Policies
      • Editorial Board
      • Aims and Scope
      • Abstracting and Indexing
      • Bibliographic Information
      • Archive
    • Experimental and Therapeutic Medicine
      • Information for Authors
      • Editorial Policies
      • Editorial Board
      • Aims and Scope
      • Abstracting and Indexing
      • Bibliographic Information
      • Archive
    • International Journal of Epigenetics
      • Information for Authors
      • Editorial Policies
      • Editorial Board
      • Aims and Scope
      • Abstracting and Indexing
      • Bibliographic Information
      • Archive
    • International Journal of Functional Nutrition
      • Information for Authors
      • Editorial Policies
      • Editorial Board
      • Aims and Scope
      • Abstracting and Indexing
      • Bibliographic Information
      • Archive
    • International Journal of Molecular Medicine
      • Information for Authors
      • Editorial Policies
      • Editorial Board
      • Aims and Scope
      • Abstracting and Indexing
      • Bibliographic Information
      • Archive
    • International Journal of Oncology
      • Information for Authors
      • Editorial Policies
      • Editorial Board
      • Aims and Scope
      • Abstracting and Indexing
      • Bibliographic Information
      • Archive
    • Medicine International
      • Information for Authors
      • Editorial Policies
      • Editorial Board
      • Aims and Scope
      • Abstracting and Indexing
      • Bibliographic Information
      • Archive
    • Molecular and Clinical Oncology
      • Information for Authors
      • Editorial Policies
      • Editorial Board
      • Aims and Scope
      • Abstracting and Indexing
      • Bibliographic Information
      • Archive
    • Molecular Medicine Reports
      • Information for Authors
      • Editorial Policies
      • Editorial Board
      • Aims and Scope
      • Abstracting and Indexing
      • Bibliographic Information
      • Archive
    • Oncology Letters
      • Information for Authors
      • Editorial Policies
      • Editorial Board
      • Aims and Scope
      • Abstracting and Indexing
      • Bibliographic Information
      • Archive
    • Oncology Reports
      • Information for Authors
      • Editorial Policies
      • Editorial Board
      • Aims and Scope
      • Abstracting and Indexing
      • Bibliographic Information
      • Archive
    • World Academy of Sciences Journal
      • Information for Authors
      • Editorial Policies
      • Editorial Board
      • Aims and Scope
      • Abstracting and Indexing
      • Bibliographic Information
      • Archive
  • Articles
  • Information
    • For Authors
    • For Reviewers
    • For Librarians
    • For Advertisers
    • Conferences
  • Language Editing
Login Register Submit
  • This site uses cookies
  • You can change your cookie settings at any time by following the instructions in our Cookie Policy. To find out more, you may read our Privacy Policy.

    I agree
Search articles by DOI, keyword, author or affiliation
Search
Advanced Search
presentation
Medicine International
Join Editorial Board Propose a Special Issue
Print ISSN: 2754-3242 Online ISSN: 2754-1304
Journal Cover
January-February 2024 Volume 4 Issue 1

Full Size Image

Sign up for eToc alerts
Recommend to Library

Journals

International Journal of Molecular Medicine

International Journal of Molecular Medicine

International Journal of Molecular Medicine is an international journal devoted to molecular mechanisms of human disease.

International Journal of Oncology

International Journal of Oncology

International Journal of Oncology is an international journal devoted to oncology research and cancer treatment.

Molecular Medicine Reports

Molecular Medicine Reports

Covers molecular medicine topics such as pharmacology, pathology, genetics, neuroscience, infectious diseases, molecular cardiology, and molecular surgery.

Oncology Reports

Oncology Reports

Oncology Reports is an international journal devoted to fundamental and applied research in Oncology.

Experimental and Therapeutic Medicine

Experimental and Therapeutic Medicine

Experimental and Therapeutic Medicine is an international journal devoted to laboratory and clinical medicine.

Oncology Letters

Oncology Letters

Oncology Letters is an international journal devoted to Experimental and Clinical Oncology.

Biomedical Reports

Biomedical Reports

Explores a wide range of biological and medical fields, including pharmacology, genetics, microbiology, neuroscience, and molecular cardiology.

Molecular and Clinical Oncology

Molecular and Clinical Oncology

International journal addressing all aspects of oncology research, from tumorigenesis and oncogenes to chemotherapy and metastasis.

World Academy of Sciences Journal

World Academy of Sciences Journal

Multidisciplinary open-access journal spanning biochemistry, genetics, neuroscience, environmental health, and synthetic biology.

International Journal of Functional Nutrition

International Journal of Functional Nutrition

Open-access journal combining biochemistry, pharmacology, immunology, and genetics to advance health through functional nutrition.

International Journal of Epigenetics

International Journal of Epigenetics

Publishes open-access research on using epigenetics to advance understanding and treatment of human disease.

Medicine International

Medicine International

An International Open Access Journal Devoted to General Medicine.

Journal Cover
January-February 2024 Volume 4 Issue 1

Full Size Image

Sign up for eToc alerts
Recommend to Library

  • Article
  • Citations
    • Cite This Article
    • Download Citation
    • Create Citation Alert
    • Remove Citation Alert
    • Cited By
  • Similar Articles
    • Related Articles (in Spandidos Publications)
    • Similar Articles (Google Scholar)
    • Similar Articles (PubMed)
  • Download PDF
  • Download XML
  • View XML
Case Report Open Access

Surgical treatment of a very rare case of a huge intraligamental leiomyoma of the uterus: A case report and mini‑review of the literature

  • Authors:
    • Anna Thanasa
    • Efthymia Thanasa
    • Evangelos Kamaretsos
    • Vasiliki Grapsidi
    • Emmanouil Xydias
    • Apostolos Ziogas
    • Evangelos-Ektoras Gerokostas
    • Ioannis-Rafail Antoniou
    • Ioannis Paraoulakis
    • Ioannis Thanasas
  • View Affiliations / Copyright

    Affiliations: Department of Health Sciences, Medical School, Aristotle University of Thessaloniki, 54124 Thessaloniki, Greece, Department of Obstetrics and Gynecology, General Hospital of Trikala, 42100 Trikala, Greece, Department of Obstetrics and Gynecology, EmbryoClinic IVF, 55133 Thessaloniki, Greece, Department of Medicine, University of Thessaly, School of Health Sciences, 41334 Larissa, Greece
    Copyright: © Thanasa et al. This is an open access article distributed under the terms of Creative Commons Attribution License [CC BY 4.0].
  • Article Number: 2
    |
    Published online on: December 1, 2023
       https://doi.org/10.3892/mi.2023.126
  • Expand metrics +
Metrics: Total Views: 0 (Spandidos Publications: | PMC Statistics: )
Metrics: Total PDF Downloads: 0 (Spandidos Publications: | PMC Statistics: )
Cited By (CrossRef): 0 citations Loading Articles...

This article is mentioned in:



Abstract

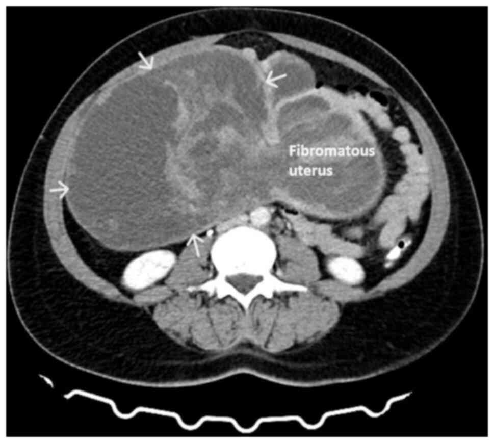
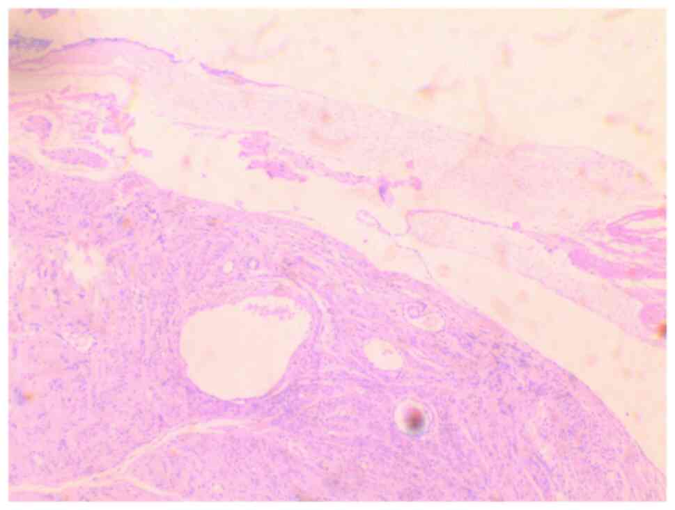
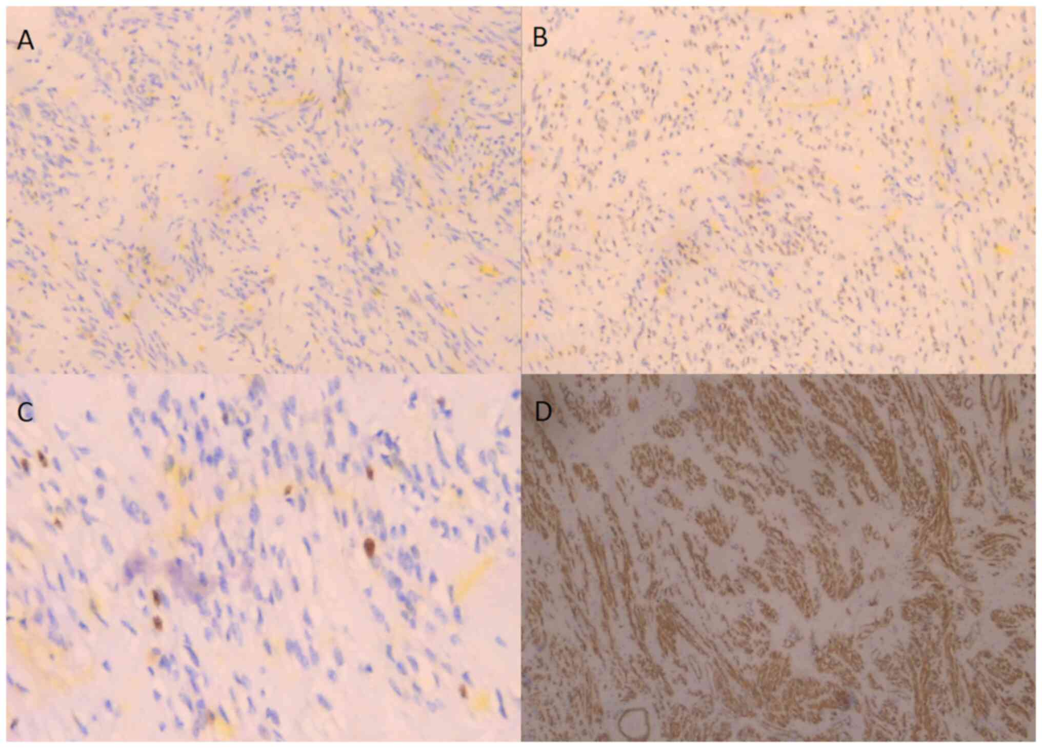
Intraligamental leiomyomas of the uterus are rare. Extremely rare are the huge intraligamental fibroids (>20 cm), whose pre‑operative diagnosis and surgical management poses a challenge to everyday clinical practice. The present study describes the case of patient who was subjected to surgical treatment for a huge intraligamental leiomyoma of the uterus, which weighed 3,370 g. A 48‑year‑old patient, without menstrual disorders and with a medical history of atypical symptoms from the digestive tract, was referred for a gynecological examination. Upon a physical examination, the abdomen was found to be bloated and distended, with no signs of peritoneal irritation. An intra‑abdominal mass was suspected, the upper margin of which was palpable at about the level of the xiphoid process. The findings of computed tomography and magnetic resonance imaging confirmed the presence of a huge intra‑abdominal mass, which probably originated from the internal genital organs. Following consultation with the patient, surgical treatment with laparotomy was decided. Intraoperatively, a large pedunculated subserosal leiomyoma was found, arising from the right lateral wall of the uterus with retroperitoneal extension within the leaves of broad ligament. Following the resection of the intraligamental leiomyoma, which had significant surgical challenges, a total hysterectomy with bilateral adnexectomy was performed. The post‑operative course was smooth. In addition, in the present study, a brief review of intraligamental leiomyomas of the uterus is presented, emphasizing the significant diagnostic and surgical challenges and potential intraoperative complications that may arise in the management of patients with this condition.
View Figures

Figure 1

Figure 2

Figure 3

Figure 4

Figure 5

Figure 6

View References

1 

Yang Q, Ciebiera M, Bariani MV, Ali M, Elkafas H, Boyer TG and Al-Hendy A: Comprehensive review of uterine fibroids: Developmental origin, pathogenesis, and treatment. Endocr Rev. 43:678–719. 2022.PubMed/NCBI View Article : Google Scholar

2 

Zepiridis LI, Grimbizis GF and Tarlatzis BC: Infertility and uterine fibroids. Best Pract Res Clin Obstet Gynaecol. 34:66–73. 2016.PubMed/NCBI View Article : Google Scholar

3 

Gomez E, Nguyen MT, Fursevich D, Macura K and Gupta A: MRI-based pictorial review of the FIGO classification system for uterine fibroids. Abdom Radiol (NY). 46:2146–2155. 2021.PubMed/NCBI View Article : Google Scholar

4 

Huang PS, Sheu BC, Huang SC and Chang WC: Intraligamental myomectomy strategy using laparoscopy. J Minim Invasive Gynecol. 23:954–961. 2016.PubMed/NCBI View Article : Google Scholar

5 

Lee CY and Chen CH: Huge intraligamental leiomyoma: Two cases and review of the literature. Asian J Surg. 44:1622–1624. 2021.PubMed/NCBI View Article : Google Scholar

6 

Funaki K, Fukunishi H, Tsuji Y, Maeda T and Takahashi T: Giant cystic leiomyoma of the uterus occupying the retroperitoneal space. J Radiol Case Rep. 7:35–40. 2013.PubMed/NCBI View Article : Google Scholar

7 

Rajanna DK, Pandey V, Janardhan S and Datti SN: Broad ligament fibroid mimicking as ovarian tumor on ultrasonography and computed tomography scan. J Clin Imaging Sci. 3(8)2013.PubMed/NCBI View Article : Google Scholar

8 

Naz Masood S, Masood Y and Mathrani J: Diagnostic dilemma in broad ligament leiomyoma with cystic degeneration. Pak J Med Sci. 30:452–454. 2014.PubMed/NCBI View Article : Google Scholar

9 

Bechev B, Magunska N, Kovachev E and Ivanov S: Laparoscopic treatment of intraligamental leiomyoma per magna. Akush Ginekol (Sofiia). 55:66–68. 2016.PubMed/NCBI

10 

Thanasa E, Thanasa A, Kamaretsos E, Paraoulakis I, Ziogas A, Kontogeorgis G, Grapsidi V, Gerokostas EE, Kontochristos V and Thanasas I: Large cervical leiomyoma of the uterus: A rare cause of chronic pelvic pain associated with obstructive uropathy and renal dysfunction: A case report. Cureus. 15(e33387)2023.PubMed/NCBI View Article : Google Scholar

11 

Yajima R, Kido A, Kuwahara R, Moribata Y, Chigusa Y, Himoto Y, Kurata Y, Matsumoto Y, Otani S, Nishio N, et al: Diagnostic performance of preoperative MR imaging findings for differentiation of uterine leiomyoma with intraligamentous growth from subserosal leiomyoma. Abdom Radiol (NY). 46:4036–4045. 2021.PubMed/NCBI View Article : Google Scholar

12 

Ambrosio M, Raimondo D, Savelli L, Salucci P, Arena A, Borghese G, Mattioli G, Giaquinto I, Scifo MC, Meriggiola MC, et al: Transvaginal Ultrasound And Doppler Features Of Intraligamental Myomas. J Ultrasound Med. 39:1253–1259. 2020.PubMed/NCBI View Article : Google Scholar

13 

Wang S, Wang D and Zhao F: A combination of two novel ligation techniques for complicated laparoscopic Intraligamental myomectomy. Fertil Steril. 118:207–209. 2022.PubMed/NCBI View Article : Google Scholar

14 

Yanagisawa T, Mori K, Quhal F, Kawada T, Mostafaei H, Laukhtina E, Rajwa P, Sari Motlagh R, Aydh A, König F, et al: Iatrogenic ureteric injury during abdominal or pelvic surgery: A meta-analysis. BJU Int. 131:540–552. 2023.PubMed/NCBI View Article : Google Scholar

Related Articles

  • Abstract
  • View
  • Download
Copy and paste a formatted citation
Spandidos Publications style
Thanasa A, Thanasa E, Kamaretsos E, Grapsidi V, Xydias E, Ziogas A, Gerokostas E, Antoniou I, Paraoulakis I, Thanasas I, Thanasas I, et al: Surgical treatment of a very rare case of a huge intraligamental leiomyoma of the uterus: A case report and mini‑review of the literature. Med Int 4: 2, 2024.
APA
Thanasa, A., Thanasa, E., Kamaretsos, E., Grapsidi, V., Xydias, E., Ziogas, A. ... Thanasas, I. (2024). Surgical treatment of a very rare case of a huge intraligamental leiomyoma of the uterus: A case report and mini‑review of the literature. Medicine International, 4, 2. https://doi.org/10.3892/mi.2023.126
MLA
Thanasa, A., Thanasa, E., Kamaretsos, E., Grapsidi, V., Xydias, E., Ziogas, A., Gerokostas, E., Antoniou, I., Paraoulakis, I., Thanasas, I."Surgical treatment of a very rare case of a huge intraligamental leiomyoma of the uterus: A case report and mini‑review of the literature". Medicine International 4.1 (2024): 2.
Chicago
Thanasa, A., Thanasa, E., Kamaretsos, E., Grapsidi, V., Xydias, E., Ziogas, A., Gerokostas, E., Antoniou, I., Paraoulakis, I., Thanasas, I."Surgical treatment of a very rare case of a huge intraligamental leiomyoma of the uterus: A case report and mini‑review of the literature". Medicine International 4, no. 1 (2024): 2. https://doi.org/10.3892/mi.2023.126
Copy and paste a formatted citation
x
Spandidos Publications style
Thanasa A, Thanasa E, Kamaretsos E, Grapsidi V, Xydias E, Ziogas A, Gerokostas E, Antoniou I, Paraoulakis I, Thanasas I, Thanasas I, et al: Surgical treatment of a very rare case of a huge intraligamental leiomyoma of the uterus: A case report and mini‑review of the literature. Med Int 4: 2, 2024.
APA
Thanasa, A., Thanasa, E., Kamaretsos, E., Grapsidi, V., Xydias, E., Ziogas, A. ... Thanasas, I. (2024). Surgical treatment of a very rare case of a huge intraligamental leiomyoma of the uterus: A case report and mini‑review of the literature. Medicine International, 4, 2. https://doi.org/10.3892/mi.2023.126
MLA
Thanasa, A., Thanasa, E., Kamaretsos, E., Grapsidi, V., Xydias, E., Ziogas, A., Gerokostas, E., Antoniou, I., Paraoulakis, I., Thanasas, I."Surgical treatment of a very rare case of a huge intraligamental leiomyoma of the uterus: A case report and mini‑review of the literature". Medicine International 4.1 (2024): 2.
Chicago
Thanasa, A., Thanasa, E., Kamaretsos, E., Grapsidi, V., Xydias, E., Ziogas, A., Gerokostas, E., Antoniou, I., Paraoulakis, I., Thanasas, I."Surgical treatment of a very rare case of a huge intraligamental leiomyoma of the uterus: A case report and mini‑review of the literature". Medicine International 4, no. 1 (2024): 2. https://doi.org/10.3892/mi.2023.126
Follow us
  • Twitter
  • LinkedIn
  • Facebook
About
  • Spandidos Publications
  • Careers
  • Cookie Policy
  • Privacy Policy
How can we help?
  • Help
  • Live Chat
  • Contact
  • Email to our Support Team