Spandidos Publications Logo
  • About
    • About Spandidos
    • Aims and Scopes
    • Abstracting and Indexing
    • Editorial Policies
    • Reprints and Permissions
    • Job Opportunities
    • Terms and Conditions
    • Contact
  • Journals
    • All Journals
    • Oncology Letters
      • Oncology Letters
      • Information for Authors
      • Editorial Policies
      • Editorial Board
      • Aims and Scope
      • Abstracting and Indexing
      • Bibliographic Information
      • Archive
    • International Journal of Oncology
      • International Journal of Oncology
      • Information for Authors
      • Editorial Policies
      • Editorial Board
      • Aims and Scope
      • Abstracting and Indexing
      • Bibliographic Information
      • Archive
    • Molecular and Clinical Oncology
      • Molecular and Clinical Oncology
      • Information for Authors
      • Editorial Policies
      • Editorial Board
      • Aims and Scope
      • Abstracting and Indexing
      • Bibliographic Information
      • Archive
    • Experimental and Therapeutic Medicine
      • Experimental and Therapeutic Medicine
      • Information for Authors
      • Editorial Policies
      • Editorial Board
      • Aims and Scope
      • Abstracting and Indexing
      • Bibliographic Information
      • Archive
    • International Journal of Molecular Medicine
      • International Journal of Molecular Medicine
      • Information for Authors
      • Editorial Policies
      • Editorial Board
      • Aims and Scope
      • Abstracting and Indexing
      • Bibliographic Information
      • Archive
    • Biomedical Reports
      • Biomedical Reports
      • Information for Authors
      • Editorial Policies
      • Editorial Board
      • Aims and Scope
      • Abstracting and Indexing
      • Bibliographic Information
      • Archive
    • Oncology Reports
      • Oncology Reports
      • Information for Authors
      • Editorial Policies
      • Editorial Board
      • Aims and Scope
      • Abstracting and Indexing
      • Bibliographic Information
      • Archive
    • Molecular Medicine Reports
      • Molecular Medicine Reports
      • Information for Authors
      • Editorial Policies
      • Editorial Board
      • Aims and Scope
      • Abstracting and Indexing
      • Bibliographic Information
      • Archive
    • World Academy of Sciences Journal
      • World Academy of Sciences Journal
      • Information for Authors
      • Editorial Policies
      • Editorial Board
      • Aims and Scope
      • Abstracting and Indexing
      • Bibliographic Information
      • Archive
    • International Journal of Functional Nutrition
      • International Journal of Functional Nutrition
      • Information for Authors
      • Editorial Policies
      • Editorial Board
      • Aims and Scope
      • Abstracting and Indexing
      • Bibliographic Information
      • Archive
    • International Journal of Epigenetics
      • International Journal of Epigenetics
      • Information for Authors
      • Editorial Policies
      • Editorial Board
      • Aims and Scope
      • Abstracting and Indexing
      • Bibliographic Information
      • Archive
    • Medicine International
      • Medicine International
      • Information for Authors
      • Editorial Policies
      • Editorial Board
      • Aims and Scope
      • Abstracting and Indexing
      • Bibliographic Information
      • Archive
  • Articles
  • Information
    • Information for Authors
    • Information for Reviewers
    • Information for Librarians
    • Information for Advertisers
    • Conferences
  • Language Editing
Spandidos Publications Logo
  • About
    • About Spandidos
    • Aims and Scopes
    • Abstracting and Indexing
    • Editorial Policies
    • Reprints and Permissions
    • Job Opportunities
    • Terms and Conditions
    • Contact
  • Journals
    • All Journals
    • Biomedical Reports
      • Information for Authors
      • Editorial Policies
      • Editorial Board
      • Aims and Scope
      • Abstracting and Indexing
      • Bibliographic Information
      • Archive
    • Experimental and Therapeutic Medicine
      • Information for Authors
      • Editorial Policies
      • Editorial Board
      • Aims and Scope
      • Abstracting and Indexing
      • Bibliographic Information
      • Archive
    • International Journal of Epigenetics
      • Information for Authors
      • Editorial Policies
      • Editorial Board
      • Aims and Scope
      • Abstracting and Indexing
      • Bibliographic Information
      • Archive
    • International Journal of Functional Nutrition
      • Information for Authors
      • Editorial Policies
      • Editorial Board
      • Aims and Scope
      • Abstracting and Indexing
      • Bibliographic Information
      • Archive
    • International Journal of Molecular Medicine
      • Information for Authors
      • Editorial Policies
      • Editorial Board
      • Aims and Scope
      • Abstracting and Indexing
      • Bibliographic Information
      • Archive
    • International Journal of Oncology
      • Information for Authors
      • Editorial Policies
      • Editorial Board
      • Aims and Scope
      • Abstracting and Indexing
      • Bibliographic Information
      • Archive
    • Medicine International
      • Information for Authors
      • Editorial Policies
      • Editorial Board
      • Aims and Scope
      • Abstracting and Indexing
      • Bibliographic Information
      • Archive
    • Molecular and Clinical Oncology
      • Information for Authors
      • Editorial Policies
      • Editorial Board
      • Aims and Scope
      • Abstracting and Indexing
      • Bibliographic Information
      • Archive
    • Molecular Medicine Reports
      • Information for Authors
      • Editorial Policies
      • Editorial Board
      • Aims and Scope
      • Abstracting and Indexing
      • Bibliographic Information
      • Archive
    • Oncology Letters
      • Information for Authors
      • Editorial Policies
      • Editorial Board
      • Aims and Scope
      • Abstracting and Indexing
      • Bibliographic Information
      • Archive
    • Oncology Reports
      • Information for Authors
      • Editorial Policies
      • Editorial Board
      • Aims and Scope
      • Abstracting and Indexing
      • Bibliographic Information
      • Archive
    • World Academy of Sciences Journal
      • Information for Authors
      • Editorial Policies
      • Editorial Board
      • Aims and Scope
      • Abstracting and Indexing
      • Bibliographic Information
      • Archive
  • Articles
  • Information
    • For Authors
    • For Reviewers
    • For Librarians
    • For Advertisers
    • Conferences
  • Language Editing
Login Register Submit
  • This site uses cookies
  • You can change your cookie settings at any time by following the instructions in our Cookie Policy. To find out more, you may read our Privacy Policy.

    I agree
Search articles by DOI, keyword, author or affiliation
Search
Advanced Search
presentation
Medicine International
Join Editorial Board Propose a Special Issue
Print ISSN: 2754-3242 Online ISSN: 2754-1304
Journal Cover
March-April 2023 Volume 3 Issue 2

Full Size Image

Sign up for eToc alerts
Recommend to Library

Journals

International Journal of Molecular Medicine

International Journal of Molecular Medicine

International Journal of Molecular Medicine is an international journal devoted to molecular mechanisms of human disease.

International Journal of Oncology

International Journal of Oncology

International Journal of Oncology is an international journal devoted to oncology research and cancer treatment.

Molecular Medicine Reports

Molecular Medicine Reports

Covers molecular medicine topics such as pharmacology, pathology, genetics, neuroscience, infectious diseases, molecular cardiology, and molecular surgery.

Oncology Reports

Oncology Reports

Oncology Reports is an international journal devoted to fundamental and applied research in Oncology.

Experimental and Therapeutic Medicine

Experimental and Therapeutic Medicine

Experimental and Therapeutic Medicine is an international journal devoted to laboratory and clinical medicine.

Oncology Letters

Oncology Letters

Oncology Letters is an international journal devoted to Experimental and Clinical Oncology.

Biomedical Reports

Biomedical Reports

Explores a wide range of biological and medical fields, including pharmacology, genetics, microbiology, neuroscience, and molecular cardiology.

Molecular and Clinical Oncology

Molecular and Clinical Oncology

International journal addressing all aspects of oncology research, from tumorigenesis and oncogenes to chemotherapy and metastasis.

World Academy of Sciences Journal

World Academy of Sciences Journal

Multidisciplinary open-access journal spanning biochemistry, genetics, neuroscience, environmental health, and synthetic biology.

International Journal of Functional Nutrition

International Journal of Functional Nutrition

Open-access journal combining biochemistry, pharmacology, immunology, and genetics to advance health through functional nutrition.

International Journal of Epigenetics

International Journal of Epigenetics

Publishes open-access research on using epigenetics to advance understanding and treatment of human disease.

Medicine International

Medicine International

An International Open Access Journal Devoted to General Medicine.

Journal Cover
March-April 2023 Volume 3 Issue 2

Full Size Image

Sign up for eToc alerts
Recommend to Library

  • Article
  • Citations
    • Cite This Article
    • Download Citation
    • Create Citation Alert
    • Remove Citation Alert
    • Cited By
  • Similar Articles
    • Related Articles (in Spandidos Publications)
    • Similar Articles (Google Scholar)
    • Similar Articles (PubMed)
  • Download PDF
  • Download XML
  • View XML
Case Report Open Access

Uterine carcinosarcoma with intestinal involvement: A case report and literature review

  • Authors:
    • Pilar Laguna-Hernández
    • Fernando Mendoza-Moreno
    • Marta Bru-Aparicio
    • Ricardo Alvarado-Hurtado
    • Sonia Soto-Schütte
    • Eduardo Serrano-Yébenes
    • Youssef Allaoua-Moussaoui
    • Felix Mañes-Jiménez
    • Rubén Jiménez-Martín
    • Laura Jiménez-Alvarez
    • Diego Córdova-Garcia
    • Manuel  Mariano Diez-Alonso
    • Alberto Gutiérrez-Calvo
  • View Affiliations / Copyright

    Affiliations: General Surgery Service, Príncipe de Asturias University Hospital, Alcalá de Henares, 28805 Madrid, Spain
    Copyright: © Laguna-Hernández et al. This is an open access article distributed under the terms of Creative Commons Attribution License.
  • Article Number: 15
    |
    Published online on: March 1, 2023
       https://doi.org/10.3892/mi.2023.75
  • Expand metrics +
Metrics: Total Views: 0 (Spandidos Publications: | PMC Statistics: )
Metrics: Total PDF Downloads: 0 (Spandidos Publications: | PMC Statistics: )
Cited By (CrossRef): 0 citations Loading Articles...

This article is mentioned in:



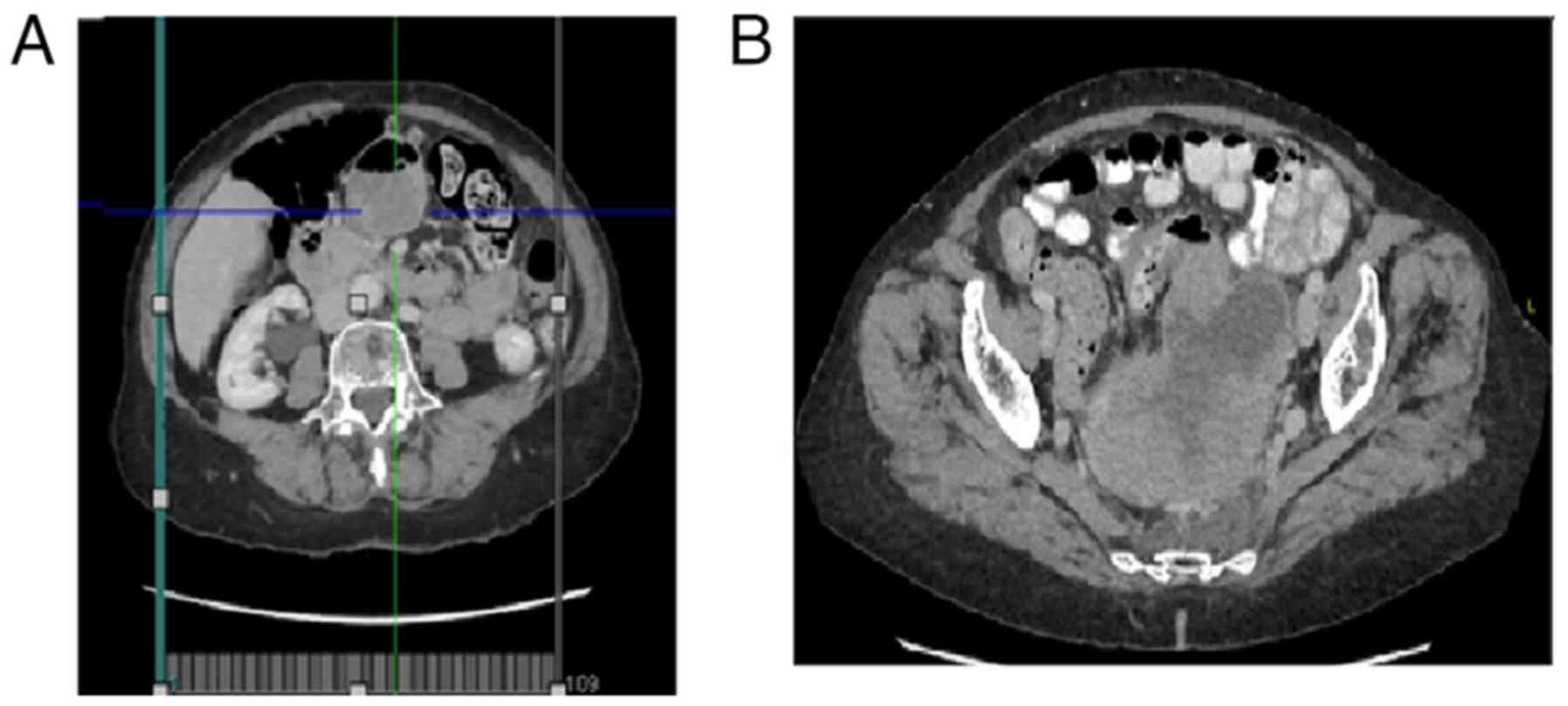
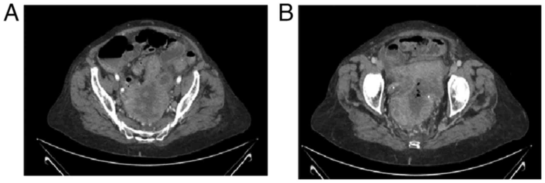
Abstract

Uterine carcinosarcoma (UCS) is a high‑grade endometrial cancer characterized by two components: Carcinomatous (epithelial) and sarcomatous (stromal tissue) elements. The present study describes a clinical case of this type of UCS and also provides a brief literature review of this type of tumor. A 72‑year‑old female visited the emergency department of the authors' hospital with pain in the hypogastric region, intestinal dysrhythmia since 3 months prior, fever and a palpable abdominal mass. Laboratory test results revealed sepsis and mild anemia and an imaging test revealed a large uterine tumor with wide areas of necrosis and adenopathies. As determined by the multidisciplinary committee, surgery was considered the main treatment option and this was performed with no incidences. Carcinosarcoma is a rare tumor, which most frequently occurs in older women. The diagnosis is based on symptoms and imaging tests, such as ecography and scans. The gold standard of treatment is surgery, although it is possible that other types of therapies, such as chemotherapy and radiotherapy may also be effective, depending on the tumor stage. On the whole, the prognosis of patients with this type of tumor is poor, with a low survival rate, even in earlier stages due to its malignant component and the possibility for metastasis. Surgery is the optimal treatment for this type of tumor, if this is possible, always individualizing patients.
View Figures

Figure 1

Figure 2

View References

1 

Matsuzaki S, Klar M, Matsuzaki S, Roman LD, Sood AK and Matsuo K: Uterine carcinosarcoma: Contemporary clinical summary, molecular updates, and future research opportunity. Gynecol Oncol. 160:586–601. 2021.PubMed/NCBI View Article : Google Scholar

2 

Cantrell LA, Blank SV and Duska LR: Uterine carcinosarcoma: A review of the literature. Gynecol Oncol. 137:581–588. 2015.PubMed/NCBI View Article : Google Scholar

3 

Soror NN, Woredekal D, Hemrock L, Gibson G and Bennett R: Uterine carcinosarcoma in a young female: Case report and literature review. Cureus. 13(e12642)2021.PubMed/NCBI View Article : Google Scholar

4 

Denschlag D and Ulrich UA: Uterine carcinosarcomas-diagnosis and management. Oncol Res Treat. 41:675–679. 2018.PubMed/NCBI View Article : Google Scholar

5 

Kord A, Rabiee B, Elbaz Younes I and Xie KL: Uterine carcinosarcoma: A case report and literature review. Case Rep Obstet Gynecol. 2020(8816348)2020.PubMed/NCBI View Article : Google Scholar

6 

Pezzicoli G, Moscaritolo F, Silvestris E, Silvestris F, Cormio G, Porta C and D'Oronzo S: Uterine carcinosarcoma: An overview. Crit Rev Oncol Hematol. 163(103369)2021.PubMed/NCBI View Article : Google Scholar

7 

Bužinskienė D, Mikėnas S, Drąsutienė G and Mongirdas M: Uterine sarcoma: A clinical case and a literature review. Acta Med Litu. 25:206–218. 2018.PubMed/NCBI View Article : Google Scholar

8 

American Joint Committee on Cancer: Corpus uteri-carcinoma and carcinosarcoma. In: AJCC cancer staging manual. 8th edition. New York, NY: Springer, pp661-669, 2017.

9 

Terblanche L and Botha MH: Uterine carcinosarcoma: A 10-year single institution experience. PLoS One. 17(e0271526)2022.PubMed/NCBI View Article : Google Scholar

10 

Sagebiel TL, Bhosale PR, Patnana M, Faria SC and Devine CE: Uterine carcinosarcomas. Semin Ultrasound CT MR. 40:295–301. 2019.PubMed/NCBI View Article : Google Scholar

11 

Elshaikh MA, Modh A, Jhingran A, Biagioli MC, Coleman RL, Gaffney DK, Harkenrider MM, Heskett K, Jolly S, Kidd E, et al: Executive summary of the American Radium Society® appropriate use criteria for management of uterine carcinosarcoma. Gynecol Oncol. 158:460–466. 2020.PubMed/NCBI View Article : Google Scholar

12 

Chiang CY, Huang HJ, Chang WY, Yang LY, Wu RC, Wang CC, Tung HJ, Chao A and Lai CH: Adjuvant therapy and prognosis in uterine carcinosarcoma. J Formos Med Assoc. 120:1977–1987. 2021.PubMed/NCBI View Article : Google Scholar

13 

Toboni MD, Crane EK, Brown J, Shushkevich A, Chiang S, Slomovitz BM, Levine DA, Dowdy SC, Klopp A, Powell MA and Thaker PH: Uterine carcinosarcomas: From pathology to practice. Gynecol Oncol. 162:235–241. 2021.PubMed/NCBI View Article : Google Scholar

14 

Almeida PC, Amaral Ferreira L and Donato P: Uterine carcinosarcoma with extensive extrauterine component. BMJ Case Rep. 14(e247643)2021.PubMed/NCBI View Article : Google Scholar

15 

Crane E, Naumann W, Tait D, Higgins R, Herzog T and Brown J: Molecular variations in uterine carcinosarcomas identify therapeutic opportunities. Int J Gynecol Cancer. 30:480–484. 2020.PubMed/NCBI View Article : Google Scholar

16 

Amant F, Dorfling CM, Dreyer L, Vergote I, Lindeque BG and Van Rensburg EJ: Microsatellite instability in uterine sarcomas. Int J Gynecol Cancer. 11:218–223. 2001.PubMed/NCBI View Article : Google Scholar

17 

Taylor NP, Zighelboim I, Huettner PC, Powell MA, Gibb RK, Rader JS, Mutch DG, Edmonston TB and Goodfellow PJ: DNA mismatch repair and TP53 defects are early events in uterine carcinosarcoma tumorigenesis. Mod Pathol. 19:1333–1338. 2006.PubMed/NCBI View Article : Google Scholar

18 

Kunc M, Gabrych A, Rękawiecki B, Gorczyński A, Haybaeck J, Biernat W and Czapiewski P: Immunohistochemical evaluation of mismatch repair proteins and p53 expression in extrauterine carcinosarcoma/sarcomatoid carcinoma. Contemp Oncol (Pozn). 24:1–4. 2020.PubMed/NCBI View Article : Google Scholar

19 

Jenkins TM, Hanley KZ, Schwartz LE, Cantrell LA, Stoler MH and Mills AM: Mismatch repair deficiency in uterine carcinosarcoma: A multi-institution retrospective review. Am J Surg Pathol. 44:782–792. 2020.PubMed/NCBI View Article : Google Scholar

20 

Jenkins TM, Cantrell LA, Stoler MH and Mills AM: PD-L1 and mismatch repair status in uterine carcinosarcomas. Int J Gynecol Pathol. 40:563–574. 2021.PubMed/NCBI View Article : Google Scholar

Related Articles

  • Abstract
  • View
  • Download
Copy and paste a formatted citation
Spandidos Publications style
Laguna-Hernández P, Mendoza-Moreno F, Bru-Aparicio M, Alvarado-Hurtado R, Soto-Schütte S, Serrano-Yébenes E, Allaoua-Moussaoui Y, Mañes-Jiménez F, Jiménez-Martín R, Jiménez-Alvarez L, Jiménez-Alvarez L, et al: Uterine carcinosarcoma with intestinal involvement: A case report and literature review. Med Int 3: 15, 2023.
APA
Laguna-Hernández, P., Mendoza-Moreno, F., Bru-Aparicio, M., Alvarado-Hurtado, R., Soto-Schütte, S., Serrano-Yébenes, E. ... Gutiérrez-Calvo, A. (2023). Uterine carcinosarcoma with intestinal involvement: A case report and literature review. Medicine International, 3, 15. https://doi.org/10.3892/mi.2023.75
MLA
Laguna-Hernández, P., Mendoza-Moreno, F., Bru-Aparicio, M., Alvarado-Hurtado, R., Soto-Schütte, S., Serrano-Yébenes, E., Allaoua-Moussaoui, Y., Mañes-Jiménez, F., Jiménez-Martín, R., Jiménez-Alvarez, L., Córdova-Garcia, D., Diez-Alonso, M. M., Gutiérrez-Calvo, A."Uterine carcinosarcoma with intestinal involvement: A case report and literature review". Medicine International 3.2 (2023): 15.
Chicago
Laguna-Hernández, P., Mendoza-Moreno, F., Bru-Aparicio, M., Alvarado-Hurtado, R., Soto-Schütte, S., Serrano-Yébenes, E., Allaoua-Moussaoui, Y., Mañes-Jiménez, F., Jiménez-Martín, R., Jiménez-Alvarez, L., Córdova-Garcia, D., Diez-Alonso, M. M., Gutiérrez-Calvo, A."Uterine carcinosarcoma with intestinal involvement: A case report and literature review". Medicine International 3, no. 2 (2023): 15. https://doi.org/10.3892/mi.2023.75
Copy and paste a formatted citation
x
Spandidos Publications style
Laguna-Hernández P, Mendoza-Moreno F, Bru-Aparicio M, Alvarado-Hurtado R, Soto-Schütte S, Serrano-Yébenes E, Allaoua-Moussaoui Y, Mañes-Jiménez F, Jiménez-Martín R, Jiménez-Alvarez L, Jiménez-Alvarez L, et al: Uterine carcinosarcoma with intestinal involvement: A case report and literature review. Med Int 3: 15, 2023.
APA
Laguna-Hernández, P., Mendoza-Moreno, F., Bru-Aparicio, M., Alvarado-Hurtado, R., Soto-Schütte, S., Serrano-Yébenes, E. ... Gutiérrez-Calvo, A. (2023). Uterine carcinosarcoma with intestinal involvement: A case report and literature review. Medicine International, 3, 15. https://doi.org/10.3892/mi.2023.75
MLA
Laguna-Hernández, P., Mendoza-Moreno, F., Bru-Aparicio, M., Alvarado-Hurtado, R., Soto-Schütte, S., Serrano-Yébenes, E., Allaoua-Moussaoui, Y., Mañes-Jiménez, F., Jiménez-Martín, R., Jiménez-Alvarez, L., Córdova-Garcia, D., Diez-Alonso, M. M., Gutiérrez-Calvo, A."Uterine carcinosarcoma with intestinal involvement: A case report and literature review". Medicine International 3.2 (2023): 15.
Chicago
Laguna-Hernández, P., Mendoza-Moreno, F., Bru-Aparicio, M., Alvarado-Hurtado, R., Soto-Schütte, S., Serrano-Yébenes, E., Allaoua-Moussaoui, Y., Mañes-Jiménez, F., Jiménez-Martín, R., Jiménez-Alvarez, L., Córdova-Garcia, D., Diez-Alonso, M. M., Gutiérrez-Calvo, A."Uterine carcinosarcoma with intestinal involvement: A case report and literature review". Medicine International 3, no. 2 (2023): 15. https://doi.org/10.3892/mi.2023.75
Follow us
  • Twitter
  • LinkedIn
  • Facebook
About
  • Spandidos Publications
  • Careers
  • Cookie Policy
  • Privacy Policy
How can we help?
  • Help
  • Live Chat
  • Contact
  • Email to our Support Team