Spandidos Publications Logo
  • About
    • About Spandidos
    • Aims and Scopes
    • Abstracting and Indexing
    • Editorial Policies
    • Reprints and Permissions
    • Job Opportunities
    • Terms and Conditions
    • Contact
  • Journals
    • All Journals
    • Oncology Letters
      • Oncology Letters
      • Information for Authors
      • Editorial Policies
      • Editorial Board
      • Aims and Scope
      • Abstracting and Indexing
      • Bibliographic Information
      • Archive
    • International Journal of Oncology
      • International Journal of Oncology
      • Information for Authors
      • Editorial Policies
      • Editorial Board
      • Aims and Scope
      • Abstracting and Indexing
      • Bibliographic Information
      • Archive
    • Molecular and Clinical Oncology
      • Molecular and Clinical Oncology
      • Information for Authors
      • Editorial Policies
      • Editorial Board
      • Aims and Scope
      • Abstracting and Indexing
      • Bibliographic Information
      • Archive
    • Experimental and Therapeutic Medicine
      • Experimental and Therapeutic Medicine
      • Information for Authors
      • Editorial Policies
      • Editorial Board
      • Aims and Scope
      • Abstracting and Indexing
      • Bibliographic Information
      • Archive
    • International Journal of Molecular Medicine
      • International Journal of Molecular Medicine
      • Information for Authors
      • Editorial Policies
      • Editorial Board
      • Aims and Scope
      • Abstracting and Indexing
      • Bibliographic Information
      • Archive
    • Biomedical Reports
      • Biomedical Reports
      • Information for Authors
      • Editorial Policies
      • Editorial Board
      • Aims and Scope
      • Abstracting and Indexing
      • Bibliographic Information
      • Archive
    • Oncology Reports
      • Oncology Reports
      • Information for Authors
      • Editorial Policies
      • Editorial Board
      • Aims and Scope
      • Abstracting and Indexing
      • Bibliographic Information
      • Archive
    • Molecular Medicine Reports
      • Molecular Medicine Reports
      • Information for Authors
      • Editorial Policies
      • Editorial Board
      • Aims and Scope
      • Abstracting and Indexing
      • Bibliographic Information
      • Archive
    • World Academy of Sciences Journal
      • World Academy of Sciences Journal
      • Information for Authors
      • Editorial Policies
      • Editorial Board
      • Aims and Scope
      • Abstracting and Indexing
      • Bibliographic Information
      • Archive
    • International Journal of Functional Nutrition
      • International Journal of Functional Nutrition
      • Information for Authors
      • Editorial Policies
      • Editorial Board
      • Aims and Scope
      • Abstracting and Indexing
      • Bibliographic Information
      • Archive
    • International Journal of Epigenetics
      • International Journal of Epigenetics
      • Information for Authors
      • Editorial Policies
      • Editorial Board
      • Aims and Scope
      • Abstracting and Indexing
      • Bibliographic Information
      • Archive
    • Medicine International
      • Medicine International
      • Information for Authors
      • Editorial Policies
      • Editorial Board
      • Aims and Scope
      • Abstracting and Indexing
      • Bibliographic Information
      • Archive
  • Articles
  • Information
    • Information for Authors
    • Information for Reviewers
    • Information for Librarians
    • Information for Advertisers
    • Conferences
  • Language Editing
Spandidos Publications Logo
  • About
    • About Spandidos
    • Aims and Scopes
    • Abstracting and Indexing
    • Editorial Policies
    • Reprints and Permissions
    • Job Opportunities
    • Terms and Conditions
    • Contact
  • Journals
    • All Journals
    • Biomedical Reports
      • Information for Authors
      • Editorial Policies
      • Editorial Board
      • Aims and Scope
      • Abstracting and Indexing
      • Bibliographic Information
      • Archive
    • Experimental and Therapeutic Medicine
      • Information for Authors
      • Editorial Policies
      • Editorial Board
      • Aims and Scope
      • Abstracting and Indexing
      • Bibliographic Information
      • Archive
    • International Journal of Epigenetics
      • Information for Authors
      • Editorial Policies
      • Editorial Board
      • Aims and Scope
      • Abstracting and Indexing
      • Bibliographic Information
      • Archive
    • International Journal of Functional Nutrition
      • Information for Authors
      • Editorial Policies
      • Editorial Board
      • Aims and Scope
      • Abstracting and Indexing
      • Bibliographic Information
      • Archive
    • International Journal of Molecular Medicine
      • Information for Authors
      • Editorial Policies
      • Editorial Board
      • Aims and Scope
      • Abstracting and Indexing
      • Bibliographic Information
      • Archive
    • International Journal of Oncology
      • Information for Authors
      • Editorial Policies
      • Editorial Board
      • Aims and Scope
      • Abstracting and Indexing
      • Bibliographic Information
      • Archive
    • Medicine International
      • Information for Authors
      • Editorial Policies
      • Editorial Board
      • Aims and Scope
      • Abstracting and Indexing
      • Bibliographic Information
      • Archive
    • Molecular and Clinical Oncology
      • Information for Authors
      • Editorial Policies
      • Editorial Board
      • Aims and Scope
      • Abstracting and Indexing
      • Bibliographic Information
      • Archive
    • Molecular Medicine Reports
      • Information for Authors
      • Editorial Policies
      • Editorial Board
      • Aims and Scope
      • Abstracting and Indexing
      • Bibliographic Information
      • Archive
    • Oncology Letters
      • Information for Authors
      • Editorial Policies
      • Editorial Board
      • Aims and Scope
      • Abstracting and Indexing
      • Bibliographic Information
      • Archive
    • Oncology Reports
      • Information for Authors
      • Editorial Policies
      • Editorial Board
      • Aims and Scope
      • Abstracting and Indexing
      • Bibliographic Information
      • Archive
    • World Academy of Sciences Journal
      • Information for Authors
      • Editorial Policies
      • Editorial Board
      • Aims and Scope
      • Abstracting and Indexing
      • Bibliographic Information
      • Archive
  • Articles
  • Information
    • For Authors
    • For Reviewers
    • For Librarians
    • For Advertisers
    • Conferences
  • Language Editing
Login Register Submit
  • This site uses cookies
  • You can change your cookie settings at any time by following the instructions in our Cookie Policy. To find out more, you may read our Privacy Policy.

    I agree
Search articles by DOI, keyword, author or affiliation
Search
Advanced Search
presentation
Medicine International
Join Editorial Board Propose a Special Issue
Print ISSN: 2754-3242 Online ISSN: 2754-1304
Journal Cover
March-April 2023 Volume 3 Issue 2

Full Size Image

Sign up for eToc alerts
Recommend to Library

Journals

International Journal of Molecular Medicine

International Journal of Molecular Medicine

International Journal of Molecular Medicine is an international journal devoted to molecular mechanisms of human disease.

International Journal of Oncology

International Journal of Oncology

International Journal of Oncology is an international journal devoted to oncology research and cancer treatment.

Molecular Medicine Reports

Molecular Medicine Reports

Covers molecular medicine topics such as pharmacology, pathology, genetics, neuroscience, infectious diseases, molecular cardiology, and molecular surgery.

Oncology Reports

Oncology Reports

Oncology Reports is an international journal devoted to fundamental and applied research in Oncology.

Experimental and Therapeutic Medicine

Experimental and Therapeutic Medicine

Experimental and Therapeutic Medicine is an international journal devoted to laboratory and clinical medicine.

Oncology Letters

Oncology Letters

Oncology Letters is an international journal devoted to Experimental and Clinical Oncology.

Biomedical Reports

Biomedical Reports

Explores a wide range of biological and medical fields, including pharmacology, genetics, microbiology, neuroscience, and molecular cardiology.

Molecular and Clinical Oncology

Molecular and Clinical Oncology

International journal addressing all aspects of oncology research, from tumorigenesis and oncogenes to chemotherapy and metastasis.

World Academy of Sciences Journal

World Academy of Sciences Journal

Multidisciplinary open-access journal spanning biochemistry, genetics, neuroscience, environmental health, and synthetic biology.

International Journal of Functional Nutrition

International Journal of Functional Nutrition

Open-access journal combining biochemistry, pharmacology, immunology, and genetics to advance health through functional nutrition.

International Journal of Epigenetics

International Journal of Epigenetics

Publishes open-access research on using epigenetics to advance understanding and treatment of human disease.

Medicine International

Medicine International

An International Open Access Journal Devoted to General Medicine.

Journal Cover
March-April 2023 Volume 3 Issue 2

Full Size Image

Sign up for eToc alerts
Recommend to Library

  • Article
  • Citations
    • Cite This Article
    • Download Citation
    • Create Citation Alert
    • Remove Citation Alert
    • Cited By
  • Similar Articles
    • Related Articles (in Spandidos Publications)
    • Similar Articles (Google Scholar)
    • Similar Articles (PubMed)
  • Download PDF
  • Download XML
  • View XML
Case Report Open Access

Pseudo‑Wellens syndrome in an elderly female patient with pulmonary embolism: A case report

  • Authors:
    • Swara H. Abdullah
    • Shaho F. Ahmed
    • Bnar J. Hama Amin
    • Dana H. Mohammed‑Saeed
    • Soran H. Tahir
    • Fattah H. Fattah
    • Berun A. Abdalla
    • Fahmi H. Kakamad
  • View Affiliations / Copyright

    Affiliations: Department of Scientific Affairs, Smart Health Tower, Sulaimani, Kurdistan 46000, Iraq
    Copyright: © Abdullah et al. This is an open access article distributed under the terms of Creative Commons Attribution License.
  • Article Number: 18
    |
    Published online on: March 20, 2023
       https://doi.org/10.3892/mi.2023.78
  • Expand metrics +
Metrics: Total Views: 0 (Spandidos Publications: | PMC Statistics: )
Metrics: Total PDF Downloads: 0 (Spandidos Publications: | PMC Statistics: )
Cited By (CrossRef): 0 citations Loading Articles...

This article is mentioned in:



Abstract

Pseudo‑Wellens syndrome refers to any electrocardiogram (ECG) pattern that mimics Wellens syndrome with no critical left anterior descending (LAD) artery‑associated coronary artery disease. The present study describes a rare case of pseudo‑Wellens syndrome associated with pulmonary embolism. A female patient presented with chest tightness for 72 h. The precordial examination and heart sounds were normal. A mild bilateral lower pitting leg edema with a superficial varicose vein was observed. The levels of C‑reactive protein (98.80 mg/l) and D‑dimer (7599.9 ng/ml) were abnormal. An electrocardiogram presented a biphasic inversion of the T‑wave in precordial leads in the pain‑free interval. Coronary angiography did not reveal any notable findings. A computed tomography pulmonary angiography demonstrated an acute pulmonary embolism. The patient received unfractionated heparin (20,000 IU) by intravenous infusion. She was discharged on rivaroxaban (15 mg) twice daily for 21 days. The inverted T‑wave specificity, sensitivity and positive predictive values for LAD stenosis are 89, 69 and 86% respectively. This indicates that ECG alternations with the properties of Wellens syndrome do not always guarantee its occurrence, and in the presence of a normal coronary artery, the condition may be pseudo‑Wellens syndrome. The case described herein suggests that clinicians need to carefully screen patients that have pulmonary embolisms with an abnormal electrocardiographic pattern in order to prevent unnecessary intervention.

Introduction

Wellens syndrome is a medical pattern characterized by a biphasic or symmetrical inversion of the T-wave and the absence of pathological Q waves in the right precordial leads on an ECG. This syndrome mainly interrelates to the coronary artery stenosis of the proximal LAD artery. This can be observed during the pain-free interval in those patients that have unstable angina (1). It consists of two types: Type A, which comprises ~25% of the cases, and is characterized by a biphasic T wave with positive initials and negative terminals in the precordial leads. Type B includes the majority of the cases (75%) of Wellens syndrome, and it has deep and symmetrical inverted T waves, particularly in leads V2 and V3(2). Wellens syndrome is an unfavorable pattern that requires critical attention due to the risk of myocardial infarction (1). Pseudo-Wellens syndrome refers to any ECG pattern that mimics Wellens syndrome but with no critical LAD artery-associated coronary artery disease (2). To date, to the best of our knowledge, there are a few studies on pseudo-Wellens' syndrome available in the literature (2,3). Its occurrence in association with pulmonary embolism has rarely been reported (3).

The present study describes a rare case of pseudo-Wellens syndrome associated with pulmonary embolism in a 63-year-old female.

Case report

Patient information

A 63-year-old female patient was admitted to the Smart Cardiology Department, Smart Health Tower, Sulaimani, Iraq, complaining of chest tightness for a duration of 72 h. This was associated with dyspnea on exertion, intermittent local chest pain and a dry cough. The chest pain restricted the daily activities of the patient. She was neither an alcoholic nor a smoker, and she did not experience orthopnea, hemoptysis, fever, or vomiting. The patient had hypertension for 3 years and hypothyroidism for the past 5 years. She had used amlodipine (5 mg once per day), lisinopril (10 mg once per day) and levothyroxine (150 mcg once per day). The past surgical history of the patient included thyroidectomy, dilatation, and curettage. Her family history was positive for hypertension and diabetes mellitus.

Clinical findings

The vital signs of the patient were as follows: Respiratory rate (25 breaths/min), heart rate (95 beats/min), peripheral capillary oxygen saturation (90-93%), blood pressure (130/90 mmHg), and a temperature of 37˚C. Upon a general examination, the patient was conscious, alert, and oriented. Thyroid enlargement, pallor, cyanosis, lymphadenopathy, anemia, and jaundice were not observed. The precordial examination and heart sounds (S1 and S2) were normal, with no additional sounds or murmurs. A mild bilateral lower-pitting leg edema (superficial varicose vein) was observed, with no calf pain on palpation. The examination of the abdomen and the respiratory system was generally normal, although there were right lower basal fine chest crackles without wheezing.

Diagnostic assessment

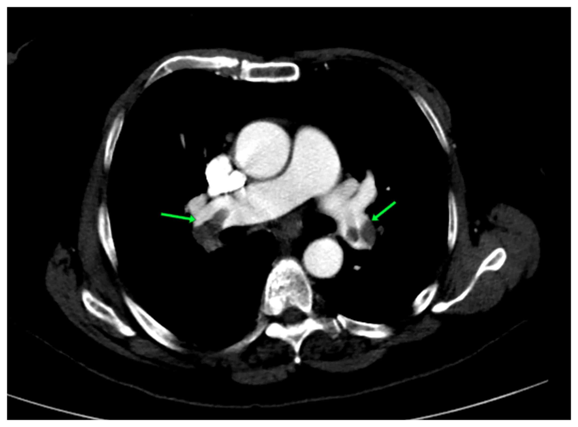
A blood examination was conducted and revealed a normal blood composition. The troponin I test (0.03 ng/ml), renal function and liver function tests were within the normal ranges, while the C-reactive protein (98.80 mg/l) (normal range, ≤5 mg/l) and D-dimer (7599.9 ng/ml) (normal range, ≤500 ng/ml) levels were abnormal. An ECG revealed a biphasic inversion of the T wave in precordial leads in the pain-free interval. A minimal elevation of the ST segment, no precordial Q waves, and one ventricular extrasystole were also observed in the ECG (Fig. 1). The echocardiography revealed a moderate dilatation of the right ventricle, moderate tricuspid regurgitation, inter-ventricular septum flattening (D shape), and positive McConnell's sign. A coronary angiography was performed and this did not reveal any notable findings (Fig. 2). There was no critical stenosis of the proximal LAD coronary artery. A computed tomography pulmonary angiography revealed an acute pulmonary embolism (Figs. 3 and 4). Therefore, all the results supported the occurrence of pseudo-Wellens syndrome. The Thrombolysis in Myocardial Infarction (TIMI) score was equal to one and revealed a low risk of adverse cardiac issues (Table I). The score was determined by the occurrence of only a marked change in her ECG scan.

Figure 1

Electrocardiogram shows a sinus rhythm rate of 97 beats/min, one ventricular extrasystole, biphasic T wave in precordial leads, minimally elevated ST segment, no precordial Q waves, and preserved precordial R wave progression.

Figure 2

Coronary angiography through right radial access indicates a co-dominant system with no significant coronary lesions.

Figure 3

Computed tomography pulmonary angiography, axial section, indicating filling defects in both right and left pulmonary arteries and acute pulmonary embolism (green arrows).

Figure 4

Computed tomography pulmonary angiography, coronal section, indicating filling defects in right and left pulmonary arteries and acute pulmonary embolism (green arrows).

Table I

Thrombolysis in Myocardial Infarction (TIMI) risk score.

Table I

Thrombolysis in Myocardial Infarction (TIMI) risk score.

Predicting factorsScore
Age over 65 yearsOne point
Three or more atherosclerosis risk factorsOne point
Coronary artery diseaseOne point
Two or more episodes of unstable angina in the last 24 hOne point
Using acetylsalicylic acid in the 7 days prior to hospitalizationOne point
Elevated cardiac markersOne point
Marked changes in the electrocardiogram resultsOne point

[i] The TIMI risk score is calculated by summing the points of the positive predictor variables (0-7).

Therapeutic intervention

The patient was initially treated as a case of non-ST-elevation myocardial infarction. On the first day of admission, she was administered the following drugs: Metoclopramide [10 mg once per day; intravenously (i.v.)], tramadol (once per day; intravenously), plavix (300 mg tab), aspirin (300 mg once per day; tab), atorvastatin (40 mg once per day), unfractionated heparin (UFH) 1 cubic centimeter (5,000 IU; intravenously) and metoprolol (50 mg once per day). Following the coronary angiography, the patient received UFH (20,000 IU) by intravenous infusion in a manner of 2 ml/h for 5 days with 24 h monitoring of vital signs. The case was discharged on rivaroxaban (15 mg) twice daily for 21 days.

Follow-up

The post-treatment period was uneventful, and the patient's condition was relieved.

Discussion

Wellens syndrome, an abnormal pattern on an ECG, was first reported in 1982. It is identified by T wave changes in the precordial leads, which are an indicator of critical stenosis in the proximal LAD coronary artery (1). The abnormalities of T waves can be presented in two critical patterns; the deep inversion of T waves or biphasic T waves in several precordial leads. The changes in T waves commonly occur in leads V2-V3, although they can extend to other precordial leads and persist for hours and weeks (4).

Rhinehardt et al (4) proposed several criteria to help differentiate Wellens syndrome from the other potential causes of T wave inversion in the precordial leads. The criteria include the following properties: i) Biphasic or deep inversion of T waves, particularly in leads V2-V3 or in leads V1, V4, V5 and V6; ii) a normal or minimal elevation of the ST-segment and cardiac enzymes; iii) previous experience of angina i) normal Q waves and precordial R-wave progression (4). However, the identification of these criteria is critical in the presence of ECG alternations; the specificity, sensitivity, and positive predictive value of inverted T waves for LAD stenosis are 89, 69 and 86%, respectively. This indicates that ECG alternations with the properties of Wellens syndrome do not always guarantee its occurrence, and in the presence of a normal coronary artery, the condition is termed pseudo-Wellens syndrome (5). The case described herein matched the criteria described in the study by Rhinehardt et al (4), although the history of angina was insignificant and the cardiac enzyme (troponin I) level was normal. The angiography of the case exhibited a normal coronary artery.

Pseudo-Wellens syndrome has been mentioned in patients with coronary spasms, myocardial bridges, acute cholecystitis, and in those using illicit drugs (5). The study by Batra et al (6) revealed the drug effects on the development of pseudo-Wellens syndrome. They claimed that it is crucial to take the complete drug history of patients, particularly the use of illicit drugs. This may help to evaluate the chances of Wellens syndrome and interpret the cause of an abnormal ECG pattern. A coronary angiography was conducted in the study of Batra et al (6) and it showed no LAD lesion. They stated that the major cause of the ECG changes in their case was the coronary artery spasm due to heroin use (6). The effects of illicit drugs, such as cocaine on the occurrence of pseudo-Wellens syndrome have been confirmed by others (7). However, another study revealed that the condition can be resolved after cocaine clearance from the body and the ECG pattern finally returns to normal (8).

Disorders, such as alcohol-induced pancreatitis, hemorrhagic stroke, subarachnoid hemorrhage, apical hypertrophic cardiomyopathy, myocarditis, pericarditis and hypertension have been reported to be associated with pseudo-Wellens syndrome (2). In addition, Milne et al (9) also reported a case of pseudo-Wellens syndrome that was induced by a myocardial bridge.

Several factors induce venous thromboembolism (VTE), such as genetic factors, pregnancy, recent surgery, immobilization and obesity. Furthermore, it has been found that antipsychotic agents can elevate the risk of developing VTE. The mortality rate associated with pulmonary embolism due to clozapine use has been reported to be >44% (10). Abrahim (2) conducted a literature review in the PubMed electronic database for English-published manuscripts with the keyword of pseudo-Wellens and found 17 articles. In almost half of the studies, biphasic T wave changes in the precordial leads demonstrated type A Wellens syndrome, and one case reported the association of pseudo-Wellens syndrome with hypertension. However, they did not mention the identity of the other seven studies (2). The association of pulmonary embolism with pseudo-Wellens syndrome has rarely been mentioned in the literature. Vanni et al (11) reported a case of a right ventricular strain pattern in an ECG associated with pulmonary embolism. Sedhai et al (3) reported a case of pseudo-Wellens syndrome associated with pulmonary embolism. The patient was affected by the pulmonary embolism after the first week of using risperidone to manage his schizoaffective disorder (3). In the present study, the patient was free from most of the conditions associated with pseudo-Wellens syndrome. She had hypertension and mild bilateral lower-pitting leg edema. The patient had used amlodipine, lisinopril and levothyroxine. She had undergone dilatation and curettage 1 month prior to the presentation of pseudo-Wellens syndrome.

Cardiac magnetic resonance imaging (MRI) is regarded as an accurate diagnostic modality for the detection of myocardial infarction in cases of abnormal ECG patterns and Wellens syndrome (12). Cardiac MRI was not conducted in the present study as the TIMI score was equal to one and revealed a low risk of adverse cardiac issues.

Sedhai et al (3) initially treated their case using heparin infusion, and the case later used rivaroxaban for a duration of 3 months (3). The present case, following the coronary angiography, was treated with UFH (20,000 IU) by intravenous infusion for 5 days. She was then discharged on rivaroxaban (15 mg) for 21 days.

In conclusion, patients with pulmonary embolism may have the symptoms of Wellens syndrome in the electrocardiographic examination without the occurrence of proximal LAD artery-associated coronary artery disease. The present study also suggests that conducting a coronary angiography is crucial for those patients who have an association of pulmonary embolism with an abnormal electrocardiographic pattern in order to prevent unnecessary intervention.

Acknowledgements

Not applicable.

Funding

Funding: No funding was received.

Availability of data and materials

The datasets used and/or analyzed during the current study are available from the corresponding author on reasonable request.

Authors' contributions

SHA was a major contributor to the conception of the study, as well as in the literature search for related studies. SFA, BAA and FHK were involved in the literature review, in the writing of the manuscript, and in the examination and interpretation of the patient's data. FHF, BJHA and DHMS were involved in the literature review, the design of the study, the revision of the manuscript and in the processing of the figures. SFA and FHK confirm the authenticity of all the raw data. SHT was the radiologist who performed the assessment of the subject's pseudo Wellens syndrome. All authors have read and approved the final manuscript.

Ethics approval and consent to participate

The patient provided written informed consent for participation in the study.

Patient consent for publication

The patient provided written informed consent for the publication of her data.

Competing interests

The authors declare that they have no competing interests.

References

1 

De Zwaan C, Bär FW and Wellens HJ: Characteristic electrocardiographic pattern indicating a critical stenosis high in left anterior descending coronary artery in patients admitted because of impending myocardial infarction. Am Heart J. 103:730–736. 1982.PubMed/NCBI View Article : Google Scholar

2 

Abrahim M: Pseudo-Wellens' syndrome type A in asymptomatic severe hypertension at a rural emergency department. CJEM. 24:224–226. 2022.PubMed/NCBI View Article : Google Scholar

3 

Sedhai YR, Basnyat S and Bhattacharya PT: Pseudo-Wellens' syndrome in pulmonary embolism. BMJ Case Rep. 11(e227464)2018.PubMed/NCBI View Article : Google Scholar

4 

Rhinehardt J, Brady WJ, Perron AD and Mattu A: Electrocardiographic manifestations of Wellens' syndrome. Am J Emerg Med. 20:638–643. 2002.PubMed/NCBI View Article : Google Scholar

5 

Ola O and Tak T: Pseudo-Wellens syndrome in a patient with hypertension and left ventricular hypertrophy. Am J Case Rep. 20:1231–1234. 2019.PubMed/NCBI View Article : Google Scholar

6 

Batra R, Mishra A and Ng K: Pseudo-Wellens syndrome-a case report. Kardiol Pol. 66:340–342; discussion 342-3. 2008.PubMed/NCBI

7 

Langston W and Pollack M: Pseudo-Wellens syndrome in a cocaine user. Am J Emerg Med. 24:122–123. 2006.PubMed/NCBI View Article : Google Scholar

8 

Miner B, Grigg WS and Hart EH: Wellens syndrome. In: StatPearls.StatPearls Publishing,Treasure Island, FL, 2022.

9 

Milne D, Ramadhin D, Seecheran R, Seecheran V, Henry R and Seecheran NA: The curious case of Pseudo-Wellens' Syndrome and Myocardial bridging. J Investig Med High Impact Case Rep. 10(23247096211073255)2022.PubMed/NCBI View Article : Google Scholar

10 

Paciullo CA: Evaluating the association between clozapine and venous thromboembolism. Am J Health Syst Pharm. 65:1825–1829. 2008.PubMed/NCBI View Article : Google Scholar

11 

Vanni S, Polidori G, Vergara R, Pepe G, Nazerian P, Moroni F, Garbelli E, Daviddi F and Grifoni S: Prognostic value of ECG among patients with acute pulmonary embolism and normal blood pressure. Am J Med. 122:257–264. 2009.PubMed/NCBI View Article : Google Scholar

12 

Ricciardi MJ, Wu E, Davidson CJ, Choi KM, Klocke FJ, Bonow RO, Judd RM and Kim RJ: Visualization of discrete microinfarction after percutaneous coronary intervention associated with mild creatine kinase-MB elevation. Circulation. 103:2780–2783. 2001.PubMed/NCBI View Article : Google Scholar

Related Articles

  • Abstract
  • View
  • Download
Copy and paste a formatted citation
Spandidos Publications style
Abdullah SH, Ahmed SF, Hama Amin BJ, Mohammed‑Saeed DH, Tahir SH, Fattah FH, Abdalla BA and Kakamad FH: Pseudo‑Wellens syndrome in an elderly female patient with pulmonary embolism: A case report. Med Int 3: 18, 2023.
APA
Abdullah, S.H., Ahmed, S.F., Hama Amin, B.J., Mohammed‑Saeed, D.H., Tahir, S.H., Fattah, F.H. ... Kakamad, F.H. (2023). Pseudo‑Wellens syndrome in an elderly female patient with pulmonary embolism: A case report. Medicine International, 3, 18. https://doi.org/10.3892/mi.2023.78
MLA
Abdullah, S. H., Ahmed, S. F., Hama Amin, B. J., Mohammed‑Saeed, D. H., Tahir, S. H., Fattah, F. H., Abdalla, B. A., Kakamad, F. H."Pseudo‑Wellens syndrome in an elderly female patient with pulmonary embolism: A case report". Medicine International 3.2 (2023): 18.
Chicago
Abdullah, S. H., Ahmed, S. F., Hama Amin, B. J., Mohammed‑Saeed, D. H., Tahir, S. H., Fattah, F. H., Abdalla, B. A., Kakamad, F. H."Pseudo‑Wellens syndrome in an elderly female patient with pulmonary embolism: A case report". Medicine International 3, no. 2 (2023): 18. https://doi.org/10.3892/mi.2023.78
Copy and paste a formatted citation
x
Spandidos Publications style
Abdullah SH, Ahmed SF, Hama Amin BJ, Mohammed‑Saeed DH, Tahir SH, Fattah FH, Abdalla BA and Kakamad FH: Pseudo‑Wellens syndrome in an elderly female patient with pulmonary embolism: A case report. Med Int 3: 18, 2023.
APA
Abdullah, S.H., Ahmed, S.F., Hama Amin, B.J., Mohammed‑Saeed, D.H., Tahir, S.H., Fattah, F.H. ... Kakamad, F.H. (2023). Pseudo‑Wellens syndrome in an elderly female patient with pulmonary embolism: A case report. Medicine International, 3, 18. https://doi.org/10.3892/mi.2023.78
MLA
Abdullah, S. H., Ahmed, S. F., Hama Amin, B. J., Mohammed‑Saeed, D. H., Tahir, S. H., Fattah, F. H., Abdalla, B. A., Kakamad, F. H."Pseudo‑Wellens syndrome in an elderly female patient with pulmonary embolism: A case report". Medicine International 3.2 (2023): 18.
Chicago
Abdullah, S. H., Ahmed, S. F., Hama Amin, B. J., Mohammed‑Saeed, D. H., Tahir, S. H., Fattah, F. H., Abdalla, B. A., Kakamad, F. H."Pseudo‑Wellens syndrome in an elderly female patient with pulmonary embolism: A case report". Medicine International 3, no. 2 (2023): 18. https://doi.org/10.3892/mi.2023.78
Follow us
  • Twitter
  • LinkedIn
  • Facebook
About
  • Spandidos Publications
  • Careers
  • Cookie Policy
  • Privacy Policy
How can we help?
  • Help
  • Live Chat
  • Contact
  • Email to our Support Team