Spandidos Publications Logo
  • About
    • About Spandidos
    • Aims and Scopes
    • Abstracting and Indexing
    • Editorial Policies
    • Reprints and Permissions
    • Job Opportunities
    • Terms and Conditions
    • Contact
  • Journals
    • All Journals
    • Oncology Letters
      • Oncology Letters
      • Information for Authors
      • Editorial Policies
      • Editorial Board
      • Aims and Scope
      • Abstracting and Indexing
      • Bibliographic Information
      • Archive
    • International Journal of Oncology
      • International Journal of Oncology
      • Information for Authors
      • Editorial Policies
      • Editorial Board
      • Aims and Scope
      • Abstracting and Indexing
      • Bibliographic Information
      • Archive
    • Molecular and Clinical Oncology
      • Molecular and Clinical Oncology
      • Information for Authors
      • Editorial Policies
      • Editorial Board
      • Aims and Scope
      • Abstracting and Indexing
      • Bibliographic Information
      • Archive
    • Experimental and Therapeutic Medicine
      • Experimental and Therapeutic Medicine
      • Information for Authors
      • Editorial Policies
      • Editorial Board
      • Aims and Scope
      • Abstracting and Indexing
      • Bibliographic Information
      • Archive
    • International Journal of Molecular Medicine
      • International Journal of Molecular Medicine
      • Information for Authors
      • Editorial Policies
      • Editorial Board
      • Aims and Scope
      • Abstracting and Indexing
      • Bibliographic Information
      • Archive
    • Biomedical Reports
      • Biomedical Reports
      • Information for Authors
      • Editorial Policies
      • Editorial Board
      • Aims and Scope
      • Abstracting and Indexing
      • Bibliographic Information
      • Archive
    • Oncology Reports
      • Oncology Reports
      • Information for Authors
      • Editorial Policies
      • Editorial Board
      • Aims and Scope
      • Abstracting and Indexing
      • Bibliographic Information
      • Archive
    • Molecular Medicine Reports
      • Molecular Medicine Reports
      • Information for Authors
      • Editorial Policies
      • Editorial Board
      • Aims and Scope
      • Abstracting and Indexing
      • Bibliographic Information
      • Archive
    • World Academy of Sciences Journal
      • World Academy of Sciences Journal
      • Information for Authors
      • Editorial Policies
      • Editorial Board
      • Aims and Scope
      • Abstracting and Indexing
      • Bibliographic Information
      • Archive
    • International Journal of Functional Nutrition
      • International Journal of Functional Nutrition
      • Information for Authors
      • Editorial Policies
      • Editorial Board
      • Aims and Scope
      • Abstracting and Indexing
      • Bibliographic Information
      • Archive
    • International Journal of Epigenetics
      • International Journal of Epigenetics
      • Information for Authors
      • Editorial Policies
      • Editorial Board
      • Aims and Scope
      • Abstracting and Indexing
      • Bibliographic Information
      • Archive
    • Medicine International
      • Medicine International
      • Information for Authors
      • Editorial Policies
      • Editorial Board
      • Aims and Scope
      • Abstracting and Indexing
      • Bibliographic Information
      • Archive
  • Articles
  • Information
    • Information for Authors
    • Information for Reviewers
    • Information for Librarians
    • Information for Advertisers
    • Conferences
  • Language Editing
Spandidos Publications Logo
  • About
    • About Spandidos
    • Aims and Scopes
    • Abstracting and Indexing
    • Editorial Policies
    • Reprints and Permissions
    • Job Opportunities
    • Terms and Conditions
    • Contact
  • Journals
    • All Journals
    • Biomedical Reports
      • Information for Authors
      • Editorial Policies
      • Editorial Board
      • Aims and Scope
      • Abstracting and Indexing
      • Bibliographic Information
      • Archive
    • Experimental and Therapeutic Medicine
      • Information for Authors
      • Editorial Policies
      • Editorial Board
      • Aims and Scope
      • Abstracting and Indexing
      • Bibliographic Information
      • Archive
    • International Journal of Epigenetics
      • Information for Authors
      • Editorial Policies
      • Editorial Board
      • Aims and Scope
      • Abstracting and Indexing
      • Bibliographic Information
      • Archive
    • International Journal of Functional Nutrition
      • Information for Authors
      • Editorial Policies
      • Editorial Board
      • Aims and Scope
      • Abstracting and Indexing
      • Bibliographic Information
      • Archive
    • International Journal of Molecular Medicine
      • Information for Authors
      • Editorial Policies
      • Editorial Board
      • Aims and Scope
      • Abstracting and Indexing
      • Bibliographic Information
      • Archive
    • International Journal of Oncology
      • Information for Authors
      • Editorial Policies
      • Editorial Board
      • Aims and Scope
      • Abstracting and Indexing
      • Bibliographic Information
      • Archive
    • Medicine International
      • Information for Authors
      • Editorial Policies
      • Editorial Board
      • Aims and Scope
      • Abstracting and Indexing
      • Bibliographic Information
      • Archive
    • Molecular and Clinical Oncology
      • Information for Authors
      • Editorial Policies
      • Editorial Board
      • Aims and Scope
      • Abstracting and Indexing
      • Bibliographic Information
      • Archive
    • Molecular Medicine Reports
      • Information for Authors
      • Editorial Policies
      • Editorial Board
      • Aims and Scope
      • Abstracting and Indexing
      • Bibliographic Information
      • Archive
    • Oncology Letters
      • Information for Authors
      • Editorial Policies
      • Editorial Board
      • Aims and Scope
      • Abstracting and Indexing
      • Bibliographic Information
      • Archive
    • Oncology Reports
      • Information for Authors
      • Editorial Policies
      • Editorial Board
      • Aims and Scope
      • Abstracting and Indexing
      • Bibliographic Information
      • Archive
    • World Academy of Sciences Journal
      • Information for Authors
      • Editorial Policies
      • Editorial Board
      • Aims and Scope
      • Abstracting and Indexing
      • Bibliographic Information
      • Archive
  • Articles
  • Information
    • For Authors
    • For Reviewers
    • For Librarians
    • For Advertisers
    • Conferences
  • Language Editing
Login Register Submit
  • This site uses cookies
  • You can change your cookie settings at any time by following the instructions in our Cookie Policy. To find out more, you may read our Privacy Policy.

    I agree
Search articles by DOI, keyword, author or affiliation
Search
Advanced Search
presentation
Medicine International
Join Editorial Board Propose a Special Issue
Print ISSN: 2754-3242 Online ISSN: 2754-1304
Journal Cover
July-August 2023 Volume 3 Issue 4

Full Size Image

Sign up for eToc alerts
Recommend to Library

Journals

International Journal of Molecular Medicine

International Journal of Molecular Medicine

International Journal of Molecular Medicine is an international journal devoted to molecular mechanisms of human disease.

International Journal of Oncology

International Journal of Oncology

International Journal of Oncology is an international journal devoted to oncology research and cancer treatment.

Molecular Medicine Reports

Molecular Medicine Reports

Covers molecular medicine topics such as pharmacology, pathology, genetics, neuroscience, infectious diseases, molecular cardiology, and molecular surgery.

Oncology Reports

Oncology Reports

Oncology Reports is an international journal devoted to fundamental and applied research in Oncology.

Experimental and Therapeutic Medicine

Experimental and Therapeutic Medicine

Experimental and Therapeutic Medicine is an international journal devoted to laboratory and clinical medicine.

Oncology Letters

Oncology Letters

Oncology Letters is an international journal devoted to Experimental and Clinical Oncology.

Biomedical Reports

Biomedical Reports

Explores a wide range of biological and medical fields, including pharmacology, genetics, microbiology, neuroscience, and molecular cardiology.

Molecular and Clinical Oncology

Molecular and Clinical Oncology

International journal addressing all aspects of oncology research, from tumorigenesis and oncogenes to chemotherapy and metastasis.

World Academy of Sciences Journal

World Academy of Sciences Journal

Multidisciplinary open-access journal spanning biochemistry, genetics, neuroscience, environmental health, and synthetic biology.

International Journal of Functional Nutrition

International Journal of Functional Nutrition

Open-access journal combining biochemistry, pharmacology, immunology, and genetics to advance health through functional nutrition.

International Journal of Epigenetics

International Journal of Epigenetics

Publishes open-access research on using epigenetics to advance understanding and treatment of human disease.

Medicine International

Medicine International

An International Open Access Journal Devoted to General Medicine.

Journal Cover
July-August 2023 Volume 3 Issue 4

Full Size Image

Sign up for eToc alerts
Recommend to Library

  • Article
  • Citations
    • Cite This Article
    • Download Citation
    • Create Citation Alert
    • Remove Citation Alert
    • Cited By
  • Similar Articles
    • Related Articles (in Spandidos Publications)
    • Similar Articles (Google Scholar)
    • Similar Articles (PubMed)
  • Download PDF
  • Download XML
  • View XML
Case Report Open Access

Biliary tree traumatic neuroma following laparoscopic cholecystectomy: A case report and literature review

  • Authors:
    • Hemn H. Kaka Ali
    • Dana T. Gharib
    • Marwan N. Hassan
    • Ari M. Abdullah
    • Deari A. Ismaeil
    • Omar H. Ghalib Hawramy
    • Dlshad H. Ahmed
    • Dilan S. Hiwa
    • Berun A. Abdalla
    • Fahmi H. Kakamad
  • View Affiliations / Copyright

    Affiliations: Department of Scientific Affairs, Smart Health Tower, Sulaimani, Kurdistan 46000, Iraq, College of Medicine, University of Sulaimani, Sulaimani, Kurdistan 46000, Iraq
    Copyright: © Kaka Ali et al. This is an open access article distributed under the terms of Creative Commons Attribution License [CC BY 4.0].
  • Article Number: 37
    |
    Published online on: July 7, 2023
       https://doi.org/10.3892/mi.2023.97
  • Expand metrics +
Metrics: Total Views: 0 (Spandidos Publications: | PMC Statistics: )
Metrics: Total PDF Downloads: 0 (Spandidos Publications: | PMC Statistics: )
Cited By (CrossRef): 0 citations Loading Articles...

This article is mentioned in:



Abstract

Laparoscopic cholecystectomy has been found to be associated with the development of traumatic neuromas on rare occasions. The present study reports a rare case of post‑cholecystectomy biliary tree traumatic neuroma. Herein, a 47‑year‑old female with a history of laparoscopic cholecystectomy presented with upper abdominal pain and anorexia. Upon an examination, a yellow discoloration of the sclera was observed. Magnetic resonance cholangiopancreatography revealed a dilated proximal bile duct and mild dilatation of the intrahepatic biliary tree due to a stricture. Intraoperatively, a hard bile duct mass was observed with multiple enlarged lymph nodes in the peri‑hepatic region. The patient was initially suspected to have bile duct cancer; however, a histopathological analysis of the resected mass revealed a bile duct traumatic neuroma. Biliary traumatic neuromas may be underestimated since they often remain asymptomatic. It is unfortunate that, as traumatic neuromas often lack distinguishing characteristics, no particular radiological findings for traumatic neuromas of the bile duct have been described to date, at least to the best of our knowledge. The rarity of this condition, combined with the absence of a standardized diagnostic modality, renders its diagnosis difficult and can even lead to misdiagnosis as biliary cancer.

Introduction

Traumatic neuroma is a rare, non-neoplastic lesion that forms at the proximal end of a damaged nerve following trauma or surgery, as a healing process involving the hyperplastic proliferation of nerve fibers and connective tissue (1). Although it is a common pathology following trauma and surgeries, it is rarely reported in clinical practice (2). The lesion can develop after any surgery, particularly an amputation (3). The lower extremities are the most frequent site of occurrence, followed by the head and neck, radial nerve and brachial plexus (1). A biliary neuroma is a relatively rare benign tumor that can be classified into two types: Primary and traumatic neuromas (4). On rare occasions, cholecystectomy has been found to be associated with the etiology of this condition. The traumatic neuroma may mimic malignant tumors due to its vague clinical and imaging features (3). Pathologies involving the biliary tree, such as infections, inflammatory diseases, trauma, stones, or surgery, can be considered as etiological factors for traumatic neuroma (5).

The present study reports a rare case of post-laparoscopic cholecystectomy biliary tree traumatic neuroma with reactive lymph nodes that was considered to be malignant intraoperatively.

Case report

Patient information

A 47-year-old female patient presented to the GIT Department at Smart Health Tower, with a history of laparoscopic cholecystectomy for symptomatic gallstones, who had been affected by upper abdominal pain and anorexia 4 weeks prior to presentation. There was no vomiting or diarrhea. She had a negative past medical history.

Clinical findings

Upon a physical examination, a yellow discoloration of the sclera without pallor was observed. Upon palpation, the abdomen was soft, non-distended and non-tender, and there was no evidence of organomegaly. Bowel sounds were positive. A digital rectal examination revealed normal-colored stool. The patient's vital signs were normal.

Diagnostic assessment

The analyses of blood parameters, including white blood cell count, serum creatinine, blood urea, C-reactive protein, serum amylase, carcinoembryonic antigen and CA 19-9 levels, revealed results within the normal range. The liver function profile was elevated (total serum bilirubin was 4.2 mg/dl and alkaline phosphatase was 250 IU/l). Magnetic resonance cholangiopancreatography (MRCP) revealed a dilated proximal bile duct and mild dilatation of the intrahepatic biliary tree due to a 1-cm stricture, 16 mm distal to the confluence of the right and left hepatic ducts (Fig. 1). Dynamic liver magnetic resonance imaging (MRI) was performed to exclude tumors, and it revealed the same finding of bile duct stricture due to a clip on the bile duct. Based on this finding, the case was diagnosed as a post-operative bile duct stricture. An endoscopic retrograde cholangiopancreatography (ERCP) was initially planned to be conducted.

Figure 1

(A) Magnetic resonance cholangiopancreatography thick slab illustrating intrahepatic biliary dilatation with upper common bile duct stricture (green arrow). (B) Abdominal magnetic resonance imaging with intravenous contrast coronal section, illustrating biliary dilatation (green arrow), and a small enhanced lesion at the site of biliary obstruction (yellow arrow).

Therapeutic intervention

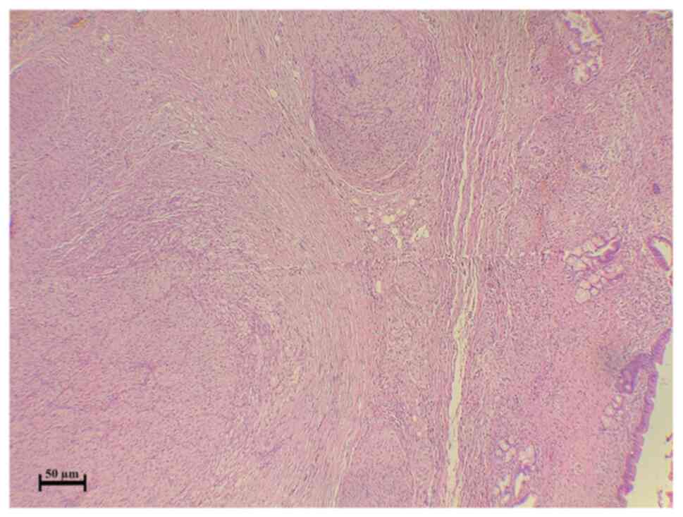
The case was discussed by the multidisciplinary team of Smart Health Tower, and by reviewing the imaging findings, the team suspected thickening in the area of the stricture; therefore, it was decided that surgery should be performed and not an ERCP. Under general anesthesia, a laparotomy was made through donor incisions. Intraoperatively, a hard bile duct mass of 2 cm in the greatest dimension was observed with multiple enlarged lymph nodes in the peri-hepatic region. It was suspected to be a case of bile duct cancer. As a result, bile duct excision with proximal and distal safe margins, as well as peri-hepatic lymphadenectomy, was performed (14 lymph nodes were resected). A Roux-en-Y jejunostomy was performed, and a drain was left in the subhepatic region. The resected specimens were sent for histopathological analysis, which revealed bile duct traumatic neuroma (Fig. 2). Immunostaining revealed diffuse and strong positivity in the disorganized nerve bundle (Fig. 3). SOX10 was used for the confirmation of the neural nature of the lesion because SOX10 shows an increased specificity for soft tissue tumors of neural crest origin (6).

Figure 2

Section illustrating a common bile duct with benign epithelial lining and benign glands with wall thickening, inflammation, fibrosis and numerous disordered nerve bundles, both intra and extramurally.

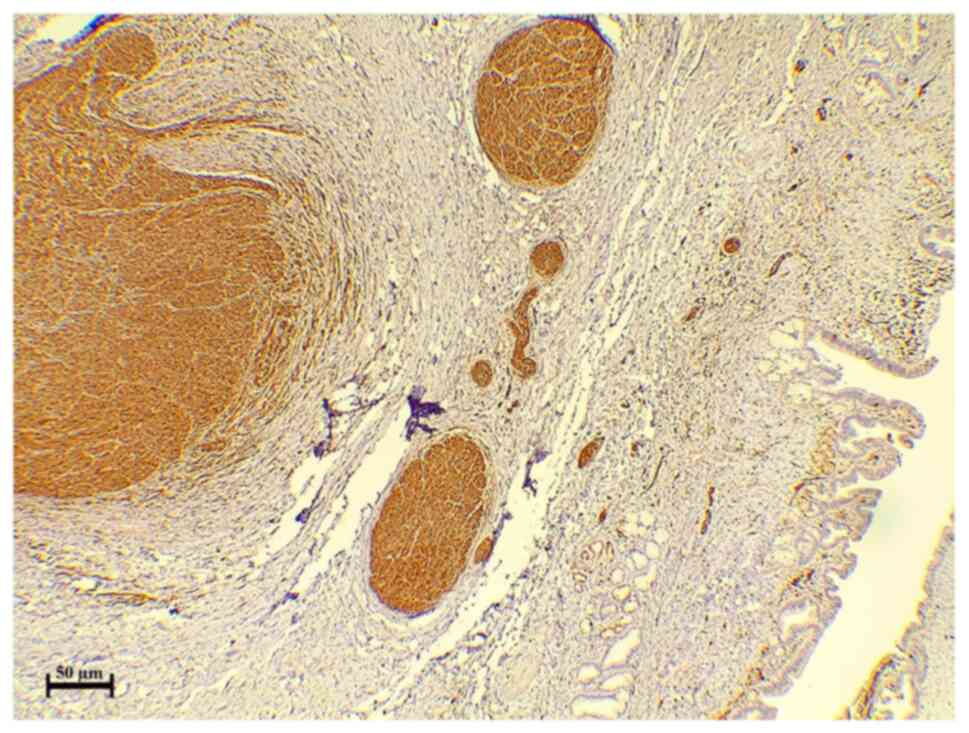
Figure 3

SOX10 immunostaining illustrating diffuse and strong positivity in the disorganized nerve bundles.

Histopathological analysis and immunostaining were performed as follows: For immunohistochemistry, the paraffin blocks were cut into 4-6-µm-thick sections and transferred onto charged glass slides. Subsequently, they were placed in an oven at 60˚C overnight. Antigen retrieval was performed using the Dako PT Link (Agilent Technologies, Inc.) by boiling the sections at 100˚C for 5 to 10 min. A solution of pH 6.0 or pH 9.0 was used regarding the target antibody. The slides were then subjected to a 15-min wash with a 20 ml buffer solution (0.05 mol/l Tris/HCl, 0.15 mol/L NaCl, 0.05% Tween-20, pH 7.6) at room temperature. To facilitate the process, the slides were welled using the Dako Pen (Agilent Technologies, Inc.). Furthermore, endogenous peroxidase was blocked using 3% hydrogen peroxide. Subsequently, the primary antibodies (SOX-10: EP268, ready-to-use, LOT no. 06560006, Master Diagnostica) were applied at room temperature and left for 80 min. The secondary antibody, which was horseradish peroxidase (PolyDetector Plus Link, ready-to-use, LOT no. 0087XKD15, Bio SB PolyDetector Plus HRP, ready-to-use, LOT no. 0088PKD15, Bio SB, Inc.), was then applied, along with the chromogen (diaminobenzidine), both at room temperature for 15 min. To achieve counterstaining, hematoxylin Gill II (Leica Biosystems) was applied at room temperature for a duration of 30 sec. The slides were dried and coverslips were applied. A light microscope was used for the examination of the slides (Leica Microsystems GmbH).

Follow-up

The post-operative recovery was smooth and uneventful. The patient was discharged on the 4th post-operative day in good health. Following 3 months of routine follow-up, the patient's condition was stable.

Discussion

Adults can develop extra-hepatic bile duct strictures as a result of malignant or benign biliary tumors (4). Invasive adenocarcinoma is the most frequent cause of primary biliary tumors, while benign tumors, such as adenomas and papillomas are significantly less common, accounting for only 6% of all biliary tumors (4,7). Biliary tree traumatic neuroma is a rare benign, poorly defined, non-encapsulated lesion with an unregulated proliferation of all normal components of the nerve bundle, such as enlarged masses of axons, endoneurial cells, Schwann cells, and perineural cells in a rich collagenous matrix (8,9). The lesion is most typically observed following a radical neck dissection, orthopedic surgery or limb amputation (10,11). It is rarely reported following parotidectomy, tooth extractions, cholecystectomy and liver transplantation (12). The vast majority of these lesions in the biliary tree arise in the cystic duct remnants following cholecystectomy (13). The majority of the cases documented in the literature occurred following open cholecystectomy. Only a few cases have been recorded as a result of laparoscopic cholecystectomy (3,4). The case described herein had a history of laparoscopic cholecystectomy, which is in line with a previous report by Nechi et al (3).

According to several case reports and reviews, the interval between surgery and the diagnosis of biliary traumatic neuroma ranged from 2 months to 46 years, with a mean age of 5 years (4). The interval in the current case was only 4 weeks. Traumatic neuroma, often known as amputation neuroma, is exceedingly rare in the gallbladder without preceding surgery or cholelithiasis (7). Although the pathophysiology of biliary traumatic neuroma has been shown to be associated with the process of nerve regeneration, potential mechanisms encouraging its production remain unclear. Calcineurin inhibitors may be one of the elements involved in the development of biliary traumatic neuroma. Calcineurin inhibitors, in general, aid in nerve repair by promoting axon development. In addition, tacrolimus acts as a neuroprotectant and neurotrophic drug, enhancing neurological recovery following peripheral nerve and spinal cord injuries (14).

These tumors are frequently identified by accident. The tumor site may determine the patient's symptoms, which may include upper abdominal pain with features of obstructive jaundice in the common bile duct, hilar neuromas, or post-cholecystectomy pain in cystic duct stump tumors (13,15). The lesion is commonly misdiagnosed as cholangiocarcinoma, and a comprehensive treatment strategy is undertaken (15). The case described herein presented with upper abdominal pain, anorexia and yellow discoloration of the sclera. This is in contrast to the study by Nechi et al (3) that reported only jaundice as the presentation of their case.

The most difficult aspect of the management of biliary traumatic neuroma is the pre-operative diagnosis (13). Although various imaging techniques, such as ultrasound (US), computed tomography (CT) and MRI, are useful to some extent, the diagnosis of biliary traumatic neuroma pre-operatively remains challenging (16,17). Typically, these tumors are found following the compression of the surrounding structures, leading to the misdiagnosis as hilar cholangiocarcinoma (13). Previous studies have observed that CT and MRI clearly demonstrate biliary duct dilatation without proof of a tumor-like lesion (18,19). MRCP can reveal bile duct stenosis (18). However, none of these modalities has the sensitivity and specificity required for proper pre-surgical identification of biliary traumatic neuroma, and none can definitively rule out the existence of malignancy (13). In the case described in the present study, MRCP revealed a dilated proximal bile duct and mild dilatation of the intrahepatic biliary tree due to a stricture distal to the confluence of the right and left hepatic ducts. A dynamic liver MRI was performed to exclude tumors and revealed the same finding of bile duct stricture due to a clip on the bile duct.

Shimura et al (20) demonstrated that intraductal ultrasonography can differentiate traumatic neuroma from other malignancies by providing accurate details. Biopsies utilizing cholangioscopy and endoscopic US were previously used to diagnose two cases of traumatic neuroma pre-operatively (21,22).

Surgery is recommended to confirm the diagnosis and treat biliary obstruction. This is performed by resecting the extrahepatic biliary system that is closely attached to the neuroma, followed by a Roux-en-Y hepaticojejunostomy (9). The clinical manifestations in the patient described herein and the intraoperative results all suggested malignancy. Therefore, an extensive surgical approach was performed.

In conclusion, biliary tree traumatic neuroma is an uncommon occurrence following laparoscopic cholecystectomy. The rarity of this condition, combined with the absence of a standardized diagnostic modality, renders its diagnosis difficult and can even lead to its misdiagnosis as biliary cancer.

Acknowledgements

Not applicable.

Funding

Funding: No funding was received.

Availability of data and materials

The datasets used and/or analyzed during the current study are available from the corresponding author upon reasonable request.

Authors' contributions

HHKA was a major contributor to the conception of the study, as well as to the literature search for related studies. MNH, DSH, and FHK were involved in the literature review, in the writing of the manuscript, as well as in the analysis and interpretation of the patient's data. AMA was the pathologist examining the specimen. DTG, DAI, DHA, BAA and OHGH, were involved in the literature review, in the design of the study, in the revision of the manuscript, and in the processing of the figures. HHKA and DTG confirm the authenticity of all the raw data. All authors have read and approved the final manuscript.

Ethics approval and consent to participate

Written informed consent was obtained from the patient described in the present study for the inclusion of her data.

Patient consent for publication

The patient provided verbal consent for publication and for her data and any related images in the present study.

Competing interests

The authors declare that they have no competing interests.

References

1 

Lee JY: Traumatic neuroma at the mastectomy site, unusual benign lesion, mimicking tumor recurrence: A report of two cases. Radiol Case Rep. 17:662–666. 2021.PubMed/NCBI View Article : Google Scholar

2 

Kang J, Yang P, Zang Q and He X: Traumatic neuroma of the superficial peroneal nerve in a patient: A case report and review of the literature. World J Surg Oncol. 14(242)2016.PubMed/NCBI View Article : Google Scholar

3 

Nechi S, Nakhli A, Ben Hamida W, Bani A, Khsiba A, Ben Mohamed A, Chelbi E, Hamzaoui L and Touinsi H: Traumatic neuroma of the bile duct: A case report. Clin Case Rep. 9(e04619)2021.PubMed/NCBI View Article : Google Scholar

4 

Lalchandani P, Korn A, Lu JG, French SW, Hou L and Chen KT: Traumatic bile duct neuroma presenting with acute cholangitis: A case report and review of literature. Ann Hepatobiliary Pancreat Surg. 23:282–285. 2019.PubMed/NCBI View Article : Google Scholar

5 

Sleiman YA, Hassoun ZA, Nasser HA, Abs L and Allouch M: A late unusual complication after an open cholecystectomy: Amputation neuroma of the CBD causing obstructive jaundice. Int J Surg Case Rep. 39:123–125. 2017.PubMed/NCBI View Article : Google Scholar

6 

Karamchandani JR, Nielsen TO, van de Rijn M and West RB: Sox10 and S100 in the diagnosis of soft-tissue neoplasms. Appl Immunohistochem Mol Morphol. 20:445–450. 2012.PubMed/NCBI View Article : Google Scholar

7 

Lin T, Bissessur AS, Zhu Y, Fukuyama T, Ding G and Cao L: Case report: Idiopathic traumatic neuroma of the gallbladder without previous surgery. Front Surg. 9(851205)2022.PubMed/NCBI View Article : Google Scholar

8 

Skovronsky DM and Oberholtzer JC: Pathologic classification of peripheral nerve tumors. Neurosurg Clin N Am. 15:157–166. 2004.PubMed/NCBI View Article : Google Scholar

9 

Iannelli A, Fabiani P, Karimdjee BS, Converset S, Saint-Paul MC and Gugenheim J: Traumatic neuroma of the cystic duct with biliary obstruction. Report of a case. Acta Gastroenterol Belg. 66:28–29. 2003.PubMed/NCBI

10 

Foltán R, Klíma K, Špačková J and Šedý J: Mechanism of traumatic neuroma development. Med Hypotheses. 71:572–576. 2008.PubMed/NCBI View Article : Google Scholar

11 

Kim NR, Cho HY, Chung DH, Kim KK, Cho JH and Choi SJ: Post-transplant amputation traumatic neuroma of the hilum and extrahepatic duct in a liver donor. J Pathol Transl Med. 52:191–194. 2018.PubMed/NCBI View Article : Google Scholar

12 

Nazlan MA, Chik I, Fahmy F, Azman A and Zuhdi Z: Traumatic neuroma of bile duct: A case report. HPB. 23(S384)2021.

13 

Rahnemai-Azar AA, Ganjei-Azar P, Levi D and Sleeman D: Non-traumatic biliary duct neuroma masquerading as a Klatskin tumour. ANZ J Surg. 87:165–166. 2017.PubMed/NCBI View Article : Google Scholar

14 

Navez J, Golse N, Bancel B, Rode A, Ducerf C, Mezoughi S, Mohkam K and Mabrut JY: Traumatic biliary neuroma after orthotopic liver transplantation: A possible cause of ‘unexplained’ anastomotic biliary stricture. Clin Transplant. 30:1366–1369. 2016.PubMed/NCBI View Article : Google Scholar

15 

Rastogi A, Bihari C, Arora A, Sinha PK and Chattopadhyay TK: Hilar traumatic neuroma masquerading as Klatskin tumor. Trop Gastroenterol. 36:54–56. 2015.PubMed/NCBI View Article : Google Scholar

16 

Cheng Y, Jia Q, Xiong X and Cheng N: Traumatic bile duct neuroma developing in a remnant choledochal cyst. Dig Liver Dis. 46(e3)2014.PubMed/NCBI View Article : Google Scholar

17 

Kaymakcioglu N, Gorgulu S, Zeybek N, Yagci G, Demiriz M, Akdeniz A and Tufan T: Amputation neuroma of extrahepatic bile duct as a rare cause of postcholecystectomy pain. Eur Surg. 37:166–168. 2005.

18 

Tsitouridis J, Kouklakis G, Xiarhos P and Patakiuta F: Non traumatic neuroma of the bile duct: Report of a case. Dig Endosc. 10:323–326. 1998.PubMed/NCBI View Article : Google Scholar

19 

Ueno Y, Ikeda K, Maehara M, Sakaida N, Omura N, Kurokawa H and Sawada S: Traumatic neuroma of the bile duct. Abdom Imaging. 33:560–562. 2008.PubMed/NCBI View Article : Google Scholar

20 

Shimura K, Tamada K, Asada M, Watabiki N, Wada I, Tanaka N and Suzuki Y: Intraductal ultrasonography of traumatic neuroma of the bile duct. Abdom Imaging. 26:632–634. 2001.PubMed/NCBI View Article : Google Scholar

21 

Toyonaga H, Taniguchi Y, Inokuma T and Imai Y: Traumatic bile duct neuroma diagnosed by boring biopsy with cholangioscopy. Gastrointest Endosc. 87:1361–1362. 2018.PubMed/NCBI View Article : Google Scholar

22 

Yasuda I, Kobayashi S, Nagata K, Takahashi K and Entani T: Endoscopic images of amputation neuroma at the cystic duct stump. Gastrointest Endosc. 90:986–987. 2019.PubMed/NCBI View Article : Google Scholar

Related Articles

  • Abstract
  • View
  • Download
Copy and paste a formatted citation
Spandidos Publications style
Kaka Ali HH, Gharib DT, Hassan MN, Abdullah AM, Ismaeil DA, Ghalib Hawramy OH, Ahmed DH, Hiwa DS, Abdalla BA, Kakamad FH, Kakamad FH, et al: Biliary tree traumatic neuroma following laparoscopic cholecystectomy: A case report and literature review. Med Int 3: 37, 2023.
APA
Kaka Ali, H.H., Gharib, D.T., Hassan, M.N., Abdullah, A.M., Ismaeil, D.A., Ghalib Hawramy, O.H. ... Kakamad, F.H. (2023). Biliary tree traumatic neuroma following laparoscopic cholecystectomy: A case report and literature review. Medicine International, 3, 37. https://doi.org/10.3892/mi.2023.97
MLA
Kaka Ali, H. H., Gharib, D. T., Hassan, M. N., Abdullah, A. M., Ismaeil, D. A., Ghalib Hawramy, O. H., Ahmed, D. H., Hiwa, D. S., Abdalla, B. A., Kakamad, F. H."Biliary tree traumatic neuroma following laparoscopic cholecystectomy: A case report and literature review". Medicine International 3.4 (2023): 37.
Chicago
Kaka Ali, H. H., Gharib, D. T., Hassan, M. N., Abdullah, A. M., Ismaeil, D. A., Ghalib Hawramy, O. H., Ahmed, D. H., Hiwa, D. S., Abdalla, B. A., Kakamad, F. H."Biliary tree traumatic neuroma following laparoscopic cholecystectomy: A case report and literature review". Medicine International 3, no. 4 (2023): 37. https://doi.org/10.3892/mi.2023.97
Copy and paste a formatted citation
x
Spandidos Publications style
Kaka Ali HH, Gharib DT, Hassan MN, Abdullah AM, Ismaeil DA, Ghalib Hawramy OH, Ahmed DH, Hiwa DS, Abdalla BA, Kakamad FH, Kakamad FH, et al: Biliary tree traumatic neuroma following laparoscopic cholecystectomy: A case report and literature review. Med Int 3: 37, 2023.
APA
Kaka Ali, H.H., Gharib, D.T., Hassan, M.N., Abdullah, A.M., Ismaeil, D.A., Ghalib Hawramy, O.H. ... Kakamad, F.H. (2023). Biliary tree traumatic neuroma following laparoscopic cholecystectomy: A case report and literature review. Medicine International, 3, 37. https://doi.org/10.3892/mi.2023.97
MLA
Kaka Ali, H. H., Gharib, D. T., Hassan, M. N., Abdullah, A. M., Ismaeil, D. A., Ghalib Hawramy, O. H., Ahmed, D. H., Hiwa, D. S., Abdalla, B. A., Kakamad, F. H."Biliary tree traumatic neuroma following laparoscopic cholecystectomy: A case report and literature review". Medicine International 3.4 (2023): 37.
Chicago
Kaka Ali, H. H., Gharib, D. T., Hassan, M. N., Abdullah, A. M., Ismaeil, D. A., Ghalib Hawramy, O. H., Ahmed, D. H., Hiwa, D. S., Abdalla, B. A., Kakamad, F. H."Biliary tree traumatic neuroma following laparoscopic cholecystectomy: A case report and literature review". Medicine International 3, no. 4 (2023): 37. https://doi.org/10.3892/mi.2023.97
Follow us
  • Twitter
  • LinkedIn
  • Facebook
About
  • Spandidos Publications
  • Careers
  • Cookie Policy
  • Privacy Policy
How can we help?
  • Help
  • Live Chat
  • Contact
  • Email to our Support Team