Spandidos Publications Logo
  • About
    • About Spandidos
    • Aims and Scopes
    • Abstracting and Indexing
    • Editorial Policies
    • Reprints and Permissions
    • Job Opportunities
    • Terms and Conditions
    • Contact
  • Journals
    • All Journals
    • Oncology Letters
      • Oncology Letters
      • Information for Authors
      • Editorial Policies
      • Editorial Board
      • Aims and Scope
      • Abstracting and Indexing
      • Bibliographic Information
      • Archive
    • International Journal of Oncology
      • International Journal of Oncology
      • Information for Authors
      • Editorial Policies
      • Editorial Board
      • Aims and Scope
      • Abstracting and Indexing
      • Bibliographic Information
      • Archive
    • Molecular and Clinical Oncology
      • Molecular and Clinical Oncology
      • Information for Authors
      • Editorial Policies
      • Editorial Board
      • Aims and Scope
      • Abstracting and Indexing
      • Bibliographic Information
      • Archive
    • Experimental and Therapeutic Medicine
      • Experimental and Therapeutic Medicine
      • Information for Authors
      • Editorial Policies
      • Editorial Board
      • Aims and Scope
      • Abstracting and Indexing
      • Bibliographic Information
      • Archive
    • International Journal of Molecular Medicine
      • International Journal of Molecular Medicine
      • Information for Authors
      • Editorial Policies
      • Editorial Board
      • Aims and Scope
      • Abstracting and Indexing
      • Bibliographic Information
      • Archive
    • Biomedical Reports
      • Biomedical Reports
      • Information for Authors
      • Editorial Policies
      • Editorial Board
      • Aims and Scope
      • Abstracting and Indexing
      • Bibliographic Information
      • Archive
    • Oncology Reports
      • Oncology Reports
      • Information for Authors
      • Editorial Policies
      • Editorial Board
      • Aims and Scope
      • Abstracting and Indexing
      • Bibliographic Information
      • Archive
    • Molecular Medicine Reports
      • Molecular Medicine Reports
      • Information for Authors
      • Editorial Policies
      • Editorial Board
      • Aims and Scope
      • Abstracting and Indexing
      • Bibliographic Information
      • Archive
    • World Academy of Sciences Journal
      • World Academy of Sciences Journal
      • Information for Authors
      • Editorial Policies
      • Editorial Board
      • Aims and Scope
      • Abstracting and Indexing
      • Bibliographic Information
      • Archive
    • International Journal of Functional Nutrition
      • International Journal of Functional Nutrition
      • Information for Authors
      • Editorial Policies
      • Editorial Board
      • Aims and Scope
      • Abstracting and Indexing
      • Bibliographic Information
      • Archive
    • International Journal of Epigenetics
      • International Journal of Epigenetics
      • Information for Authors
      • Editorial Policies
      • Editorial Board
      • Aims and Scope
      • Abstracting and Indexing
      • Bibliographic Information
      • Archive
    • Medicine International
      • Medicine International
      • Information for Authors
      • Editorial Policies
      • Editorial Board
      • Aims and Scope
      • Abstracting and Indexing
      • Bibliographic Information
      • Archive
  • Articles
  • Information
    • Information for Authors
    • Information for Reviewers
    • Information for Librarians
    • Information for Advertisers
    • Conferences
  • Language Editing
Spandidos Publications Logo
  • About
    • About Spandidos
    • Aims and Scopes
    • Abstracting and Indexing
    • Editorial Policies
    • Reprints and Permissions
    • Job Opportunities
    • Terms and Conditions
    • Contact
  • Journals
    • All Journals
    • Biomedical Reports
      • Information for Authors
      • Editorial Policies
      • Editorial Board
      • Aims and Scope
      • Abstracting and Indexing
      • Bibliographic Information
      • Archive
    • Experimental and Therapeutic Medicine
      • Information for Authors
      • Editorial Policies
      • Editorial Board
      • Aims and Scope
      • Abstracting and Indexing
      • Bibliographic Information
      • Archive
    • International Journal of Epigenetics
      • Information for Authors
      • Editorial Policies
      • Editorial Board
      • Aims and Scope
      • Abstracting and Indexing
      • Bibliographic Information
      • Archive
    • International Journal of Functional Nutrition
      • Information for Authors
      • Editorial Policies
      • Editorial Board
      • Aims and Scope
      • Abstracting and Indexing
      • Bibliographic Information
      • Archive
    • International Journal of Molecular Medicine
      • Information for Authors
      • Editorial Policies
      • Editorial Board
      • Aims and Scope
      • Abstracting and Indexing
      • Bibliographic Information
      • Archive
    • International Journal of Oncology
      • Information for Authors
      • Editorial Policies
      • Editorial Board
      • Aims and Scope
      • Abstracting and Indexing
      • Bibliographic Information
      • Archive
    • Medicine International
      • Information for Authors
      • Editorial Policies
      • Editorial Board
      • Aims and Scope
      • Abstracting and Indexing
      • Bibliographic Information
      • Archive
    • Molecular and Clinical Oncology
      • Information for Authors
      • Editorial Policies
      • Editorial Board
      • Aims and Scope
      • Abstracting and Indexing
      • Bibliographic Information
      • Archive
    • Molecular Medicine Reports
      • Information for Authors
      • Editorial Policies
      • Editorial Board
      • Aims and Scope
      • Abstracting and Indexing
      • Bibliographic Information
      • Archive
    • Oncology Letters
      • Information for Authors
      • Editorial Policies
      • Editorial Board
      • Aims and Scope
      • Abstracting and Indexing
      • Bibliographic Information
      • Archive
    • Oncology Reports
      • Information for Authors
      • Editorial Policies
      • Editorial Board
      • Aims and Scope
      • Abstracting and Indexing
      • Bibliographic Information
      • Archive
    • World Academy of Sciences Journal
      • Information for Authors
      • Editorial Policies
      • Editorial Board
      • Aims and Scope
      • Abstracting and Indexing
      • Bibliographic Information
      • Archive
  • Articles
  • Information
    • For Authors
    • For Reviewers
    • For Librarians
    • For Advertisers
    • Conferences
  • Language Editing
Login Register Submit
  • This site uses cookies
  • You can change your cookie settings at any time by following the instructions in our Cookie Policy. To find out more, you may read our Privacy Policy.

    I agree
Search articles by DOI, keyword, author or affiliation
Search
Advanced Search
presentation
Medicine International
Join Editorial Board Propose a Special Issue
Print ISSN: 2754-3242 Online ISSN: 2754-1304
Journal Cover
March-April 2025 Volume 5 Issue 2

Full Size Image

Sign up for eToc alerts
Recommend to Library

Journals

International Journal of Molecular Medicine

International Journal of Molecular Medicine

International Journal of Molecular Medicine is an international journal devoted to molecular mechanisms of human disease.

International Journal of Oncology

International Journal of Oncology

International Journal of Oncology is an international journal devoted to oncology research and cancer treatment.

Molecular Medicine Reports

Molecular Medicine Reports

Covers molecular medicine topics such as pharmacology, pathology, genetics, neuroscience, infectious diseases, molecular cardiology, and molecular surgery.

Oncology Reports

Oncology Reports

Oncology Reports is an international journal devoted to fundamental and applied research in Oncology.

Experimental and Therapeutic Medicine

Experimental and Therapeutic Medicine

Experimental and Therapeutic Medicine is an international journal devoted to laboratory and clinical medicine.

Oncology Letters

Oncology Letters

Oncology Letters is an international journal devoted to Experimental and Clinical Oncology.

Biomedical Reports

Biomedical Reports

Explores a wide range of biological and medical fields, including pharmacology, genetics, microbiology, neuroscience, and molecular cardiology.

Molecular and Clinical Oncology

Molecular and Clinical Oncology

International journal addressing all aspects of oncology research, from tumorigenesis and oncogenes to chemotherapy and metastasis.

World Academy of Sciences Journal

World Academy of Sciences Journal

Multidisciplinary open-access journal spanning biochemistry, genetics, neuroscience, environmental health, and synthetic biology.

International Journal of Functional Nutrition

International Journal of Functional Nutrition

Open-access journal combining biochemistry, pharmacology, immunology, and genetics to advance health through functional nutrition.

International Journal of Epigenetics

International Journal of Epigenetics

Publishes open-access research on using epigenetics to advance understanding and treatment of human disease.

Medicine International

Medicine International

An International Open Access Journal Devoted to General Medicine.

Journal Cover
March-April 2025 Volume 5 Issue 2

Full Size Image

Sign up for eToc alerts
Recommend to Library

  • Article
  • Citations
    • Cite This Article
    • Download Citation
    • Create Citation Alert
    • Remove Citation Alert
    • Cited By
  • Similar Articles
    • Related Articles (in Spandidos Publications)
    • Similar Articles (Google Scholar)
    • Similar Articles (PubMed)
  • Download PDF
  • Download XML
  • View XML
Case Report Open Access

Cold agglutinin syndrome as a precursor for the diagnosis of low‑grade lymphoma: A case report

  • Authors:
    • Hüseyin Döngelli
    • Güner H. Özsan
  • View Affiliations / Copyright

    Affiliations: Department of Internal Medicine, Dokuz Eylul University Hospital, Izmir 35000, Turkey, Department of Hematology, Dokuz Eylul University Hospital, Izmir 35000, Turkey
    Copyright: © Döngelli et al. This is an open access article distributed under the terms of Creative Commons Attribution License [CC BY 4.0].
  • Article Number: 12
    |
    Published online on: December 18, 2024
       https://doi.org/10.3892/mi.2024.211
  • Expand metrics +
Metrics: Total Views: 0 (Spandidos Publications: | PMC Statistics: )
Metrics: Total PDF Downloads: 0 (Spandidos Publications: | PMC Statistics: )
Cited By (CrossRef): 0 citations Loading Articles...

This article is mentioned in:



Abstract

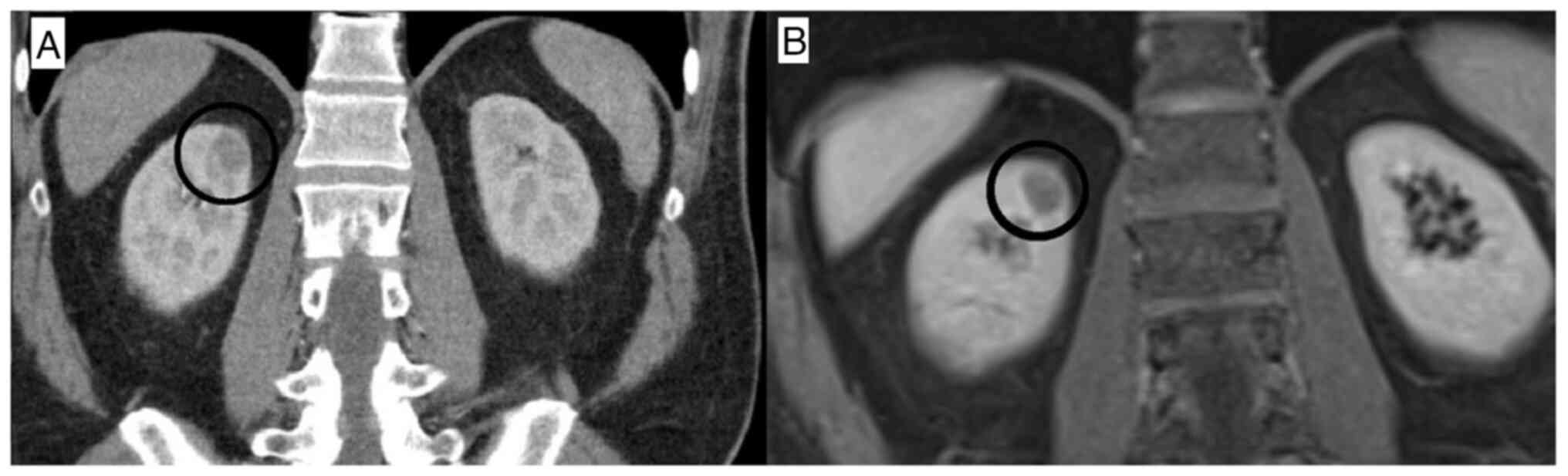
Cold agglutinin syndrome is a form of acquired hemolytic anemia that typically arises from underlying conditions, such as infections, autoimmune disorders or lymphoid malignancies. The majority of patients remain asymptomatic and are diagnosed with anemia through routine complete blood count (CBC) testing. The present study describes the case of a male patient in his 50s who sought a second opinion at the authors' clinic due to newly detected anemia. A peripheral blood smear revealed red blood cell (RBC) agglutination, and testing confirmed the presence of cold agglutinin antibodies. Thoracoabdominal computed tomography identified a mass in the right kidney, leading to a partial nephrectomy. A pathological examination of the mass confirmed a diagnosis of renal cell carcinoma. At that time, no secondary cause for the cold agglutinin syndrome was identified. At 2 years following his initial admission, the patient presented with bilaterally enlarging masses in the groin. A biopsy was performed, which revealed low‑grade B‑cell lymphoma. Following R‑CHOP treatment, the RBC agglutination was resolved, and the CBC returned to normal ranges. On the whole, the present study demonstrates that cold agglutinin syndrome may serve as an early indicator of lymphoma.
View Figures

Figure 1

Figure 2

View References

1 

Gabbard AP and Booth GS: Cold agglutinin disease. Clin Hematol Int. 2:95–100. 2020.PubMed/NCBI View Article : Google Scholar

2 

Berentsen S: Cold agglutinin disease. Hematology Am Soc Hematol Educ Program. 2016:226–231. 2016.PubMed/NCBI View Article : Google Scholar

3 

Jäger U, Barcellini W, Broome CM, Gertz MA, Hill A, Hill QA, Jilma B, Kuter DJ, Michel M, Montillo M, et al: Diagnosis and treatment of autoimmune hemolytic anemia in adults: Recommendations from the First International Consensus Meeting. Blood Rev. 41(100648)2020.PubMed/NCBI View Article : Google Scholar

4 

Röth A, Barcellini W, D'Sa S, Miyakawa Y, Broome CM, Michel M, Kuter DJ, Jilma B, Tvedt THA, Fruebis J, et al: Sutimlimab in cold agglutinin disease. N Engl J Med. 384:1323–1334. 2021.PubMed/NCBI View Article : Google Scholar

5 

Pham HP, Wilson A, Adeyemi A, Miles G, Kuang K, Carita P and Joly F: An observational analysis of disease burden in patients with cold agglutinin disease: Results from a large US electronic health record database. J Manag Care Spec Pharm. 28:1419–1428. 2022.PubMed/NCBI View Article : Google Scholar

6 

Terán Brage E, Fonseca Santos M, Lozano Mejorada R, García Domínguez R, Olivares Hernández A, Amores Martín A, Vidal Tocino R and Fonseca Sánchez E: Autoimmune haemolytic anaemia due to cold antibodies in a renal cancer patient. Case Rep Oncol. 15:507–514. 2022.PubMed/NCBI View Article : Google Scholar

7 

Taberner K, House AA, Haig A and Hsia CC: A case of renal iron overload associated with cold agglutinin disease successfully managed by rituximab. Clin Hematol Int. 5:62–66. 2023.PubMed/NCBI View Article : Google Scholar

8 

Portich JP, Blos B, Sekine L and Franz JPM: Cold agglutinin syndrome secondary to splenic marginal zone lymphoma: A case report. Hematol Transfus Cell Ther. 45:403–405. 2023.PubMed/NCBI View Article : Google Scholar

9 

Lin H, Feng D, Tao S, Wu J, Shen Y and Wang W: A patient with the highly suspected B cell lymphoma accompanied by the erythrocytes cold agglutination: Case report. Medicine (Baltimore). 102(e34076)2023.PubMed/NCBI View Article : Google Scholar

10 

Goyal K, Sharma R and Garg S: Intestinal diffuse large B-cell lymphoma preceding cold agglutinin disease. J Appl Hematol. 11:137–140. 2020.

11 

Ranjan V, Dhingra G, Gupta N, Khillan K and Rana R: Cold agglutinin autoimmune haemolytic anaemia as an initial presentation of diffuse large B cell lymphoma: A case study. Curr Med Res Pract. 12:183–187. 2022.

12 

Gentile G, Arcaini L, Antonelli G and Martelli M: Editorial: HBV and lymphoma. Front Oncol. 13(1236816)2023.PubMed/NCBI View Article : Google Scholar

Related Articles

  • Abstract
  • View
  • Download
Copy and paste a formatted citation
Spandidos Publications style
Döngelli H and Özsan GH: Cold agglutinin syndrome as a precursor for the diagnosis of low‑grade lymphoma: A case report. Med Int 5: 12, 2025.
APA
Döngelli, H., & Özsan, G.H. (2025). Cold agglutinin syndrome as a precursor for the diagnosis of low‑grade lymphoma: A case report. Medicine International, 5, 12. https://doi.org/10.3892/mi.2024.211
MLA
Döngelli, H., Özsan, G. H."Cold agglutinin syndrome as a precursor for the diagnosis of low‑grade lymphoma: A case report". Medicine International 5.2 (2025): 12.
Chicago
Döngelli, H., Özsan, G. H."Cold agglutinin syndrome as a precursor for the diagnosis of low‑grade lymphoma: A case report". Medicine International 5, no. 2 (2025): 12. https://doi.org/10.3892/mi.2024.211
Copy and paste a formatted citation
x
Spandidos Publications style
Döngelli H and Özsan GH: Cold agglutinin syndrome as a precursor for the diagnosis of low‑grade lymphoma: A case report. Med Int 5: 12, 2025.
APA
Döngelli, H., & Özsan, G.H. (2025). Cold agglutinin syndrome as a precursor for the diagnosis of low‑grade lymphoma: A case report. Medicine International, 5, 12. https://doi.org/10.3892/mi.2024.211
MLA
Döngelli, H., Özsan, G. H."Cold agglutinin syndrome as a precursor for the diagnosis of low‑grade lymphoma: A case report". Medicine International 5.2 (2025): 12.
Chicago
Döngelli, H., Özsan, G. H."Cold agglutinin syndrome as a precursor for the diagnosis of low‑grade lymphoma: A case report". Medicine International 5, no. 2 (2025): 12. https://doi.org/10.3892/mi.2024.211
Follow us
  • Twitter
  • LinkedIn
  • Facebook
About
  • Spandidos Publications
  • Careers
  • Cookie Policy
  • Privacy Policy
How can we help?
  • Help
  • Live Chat
  • Contact
  • Email to our Support Team