Spandidos Publications Logo
  • About
    • About Spandidos
    • Aims and Scopes
    • Abstracting and Indexing
    • Editorial Policies
    • Reprints and Permissions
    • Job Opportunities
    • Terms and Conditions
    • Contact
  • Journals
    • All Journals
    • Oncology Letters
      • Oncology Letters
      • Information for Authors
      • Editorial Policies
      • Editorial Board
      • Aims and Scope
      • Abstracting and Indexing
      • Bibliographic Information
      • Archive
    • International Journal of Oncology
      • International Journal of Oncology
      • Information for Authors
      • Editorial Policies
      • Editorial Board
      • Aims and Scope
      • Abstracting and Indexing
      • Bibliographic Information
      • Archive
    • Molecular and Clinical Oncology
      • Molecular and Clinical Oncology
      • Information for Authors
      • Editorial Policies
      • Editorial Board
      • Aims and Scope
      • Abstracting and Indexing
      • Bibliographic Information
      • Archive
    • Experimental and Therapeutic Medicine
      • Experimental and Therapeutic Medicine
      • Information for Authors
      • Editorial Policies
      • Editorial Board
      • Aims and Scope
      • Abstracting and Indexing
      • Bibliographic Information
      • Archive
    • International Journal of Molecular Medicine
      • International Journal of Molecular Medicine
      • Information for Authors
      • Editorial Policies
      • Editorial Board
      • Aims and Scope
      • Abstracting and Indexing
      • Bibliographic Information
      • Archive
    • Biomedical Reports
      • Biomedical Reports
      • Information for Authors
      • Editorial Policies
      • Editorial Board
      • Aims and Scope
      • Abstracting and Indexing
      • Bibliographic Information
      • Archive
    • Oncology Reports
      • Oncology Reports
      • Information for Authors
      • Editorial Policies
      • Editorial Board
      • Aims and Scope
      • Abstracting and Indexing
      • Bibliographic Information
      • Archive
    • Molecular Medicine Reports
      • Molecular Medicine Reports
      • Information for Authors
      • Editorial Policies
      • Editorial Board
      • Aims and Scope
      • Abstracting and Indexing
      • Bibliographic Information
      • Archive
    • World Academy of Sciences Journal
      • World Academy of Sciences Journal
      • Information for Authors
      • Editorial Policies
      • Editorial Board
      • Aims and Scope
      • Abstracting and Indexing
      • Bibliographic Information
      • Archive
    • International Journal of Functional Nutrition
      • International Journal of Functional Nutrition
      • Information for Authors
      • Editorial Policies
      • Editorial Board
      • Aims and Scope
      • Abstracting and Indexing
      • Bibliographic Information
      • Archive
    • International Journal of Epigenetics
      • International Journal of Epigenetics
      • Information for Authors
      • Editorial Policies
      • Editorial Board
      • Aims and Scope
      • Abstracting and Indexing
      • Bibliographic Information
      • Archive
    • Medicine International
      • Medicine International
      • Information for Authors
      • Editorial Policies
      • Editorial Board
      • Aims and Scope
      • Abstracting and Indexing
      • Bibliographic Information
      • Archive
  • Articles
  • Information
    • Information for Authors
    • Information for Reviewers
    • Information for Librarians
    • Information for Advertisers
    • Conferences
  • Language Editing
Spandidos Publications Logo
  • About
    • About Spandidos
    • Aims and Scopes
    • Abstracting and Indexing
    • Editorial Policies
    • Reprints and Permissions
    • Job Opportunities
    • Terms and Conditions
    • Contact
  • Journals
    • All Journals
    • Biomedical Reports
      • Information for Authors
      • Editorial Policies
      • Editorial Board
      • Aims and Scope
      • Abstracting and Indexing
      • Bibliographic Information
      • Archive
    • Experimental and Therapeutic Medicine
      • Information for Authors
      • Editorial Policies
      • Editorial Board
      • Aims and Scope
      • Abstracting and Indexing
      • Bibliographic Information
      • Archive
    • International Journal of Epigenetics
      • Information for Authors
      • Editorial Policies
      • Editorial Board
      • Aims and Scope
      • Abstracting and Indexing
      • Bibliographic Information
      • Archive
    • International Journal of Functional Nutrition
      • Information for Authors
      • Editorial Policies
      • Editorial Board
      • Aims and Scope
      • Abstracting and Indexing
      • Bibliographic Information
      • Archive
    • International Journal of Molecular Medicine
      • Information for Authors
      • Editorial Policies
      • Editorial Board
      • Aims and Scope
      • Abstracting and Indexing
      • Bibliographic Information
      • Archive
    • International Journal of Oncology
      • Information for Authors
      • Editorial Policies
      • Editorial Board
      • Aims and Scope
      • Abstracting and Indexing
      • Bibliographic Information
      • Archive
    • Medicine International
      • Information for Authors
      • Editorial Policies
      • Editorial Board
      • Aims and Scope
      • Abstracting and Indexing
      • Bibliographic Information
      • Archive
    • Molecular and Clinical Oncology
      • Information for Authors
      • Editorial Policies
      • Editorial Board
      • Aims and Scope
      • Abstracting and Indexing
      • Bibliographic Information
      • Archive
    • Molecular Medicine Reports
      • Information for Authors
      • Editorial Policies
      • Editorial Board
      • Aims and Scope
      • Abstracting and Indexing
      • Bibliographic Information
      • Archive
    • Oncology Letters
      • Information for Authors
      • Editorial Policies
      • Editorial Board
      • Aims and Scope
      • Abstracting and Indexing
      • Bibliographic Information
      • Archive
    • Oncology Reports
      • Information for Authors
      • Editorial Policies
      • Editorial Board
      • Aims and Scope
      • Abstracting and Indexing
      • Bibliographic Information
      • Archive
    • World Academy of Sciences Journal
      • Information for Authors
      • Editorial Policies
      • Editorial Board
      • Aims and Scope
      • Abstracting and Indexing
      • Bibliographic Information
      • Archive
  • Articles
  • Information
    • For Authors
    • For Reviewers
    • For Librarians
    • For Advertisers
    • Conferences
  • Language Editing
Login Register Submit
  • This site uses cookies
  • You can change your cookie settings at any time by following the instructions in our Cookie Policy. To find out more, you may read our Privacy Policy.

    I agree
Search articles by DOI, keyword, author or affiliation
Search
Advanced Search
presentation
Medicine International
Join Editorial Board Propose a Special Issue
Print ISSN: 2754-3242 Online ISSN: 2754-1304
Journal Cover
March-April 2025 Volume 5 Issue 2

Full Size Image

Sign up for eToc alerts
Recommend to Library

Journals

International Journal of Molecular Medicine

International Journal of Molecular Medicine

International Journal of Molecular Medicine is an international journal devoted to molecular mechanisms of human disease.

International Journal of Oncology

International Journal of Oncology

International Journal of Oncology is an international journal devoted to oncology research and cancer treatment.

Molecular Medicine Reports

Molecular Medicine Reports

Covers molecular medicine topics such as pharmacology, pathology, genetics, neuroscience, infectious diseases, molecular cardiology, and molecular surgery.

Oncology Reports

Oncology Reports

Oncology Reports is an international journal devoted to fundamental and applied research in Oncology.

Experimental and Therapeutic Medicine

Experimental and Therapeutic Medicine

Experimental and Therapeutic Medicine is an international journal devoted to laboratory and clinical medicine.

Oncology Letters

Oncology Letters

Oncology Letters is an international journal devoted to Experimental and Clinical Oncology.

Biomedical Reports

Biomedical Reports

Explores a wide range of biological and medical fields, including pharmacology, genetics, microbiology, neuroscience, and molecular cardiology.

Molecular and Clinical Oncology

Molecular and Clinical Oncology

International journal addressing all aspects of oncology research, from tumorigenesis and oncogenes to chemotherapy and metastasis.

World Academy of Sciences Journal

World Academy of Sciences Journal

Multidisciplinary open-access journal spanning biochemistry, genetics, neuroscience, environmental health, and synthetic biology.

International Journal of Functional Nutrition

International Journal of Functional Nutrition

Open-access journal combining biochemistry, pharmacology, immunology, and genetics to advance health through functional nutrition.

International Journal of Epigenetics

International Journal of Epigenetics

Publishes open-access research on using epigenetics to advance understanding and treatment of human disease.

Medicine International

Medicine International

An International Open Access Journal Devoted to General Medicine.

Journal Cover
March-April 2025 Volume 5 Issue 2

Full Size Image

Sign up for eToc alerts
Recommend to Library

  • Article
  • Citations
    • Cite This Article
    • Download Citation
    • Create Citation Alert
    • Remove Citation Alert
    • Cited By
  • Similar Articles
    • Related Articles (in Spandidos Publications)
    • Similar Articles (Google Scholar)
    • Similar Articles (PubMed)
  • Download PDF
  • Download XML
  • View XML
Article Open Access

Depth of submucosal invasion vs. Haggitt level as prognostic predictors of pedunculated‑type early‑stage colorectal cancer removed by endoscopic resection 

  • Authors:
    • Yasuo Imai
    • Yosuke Otake
    • Tomohide Tamachi
    • Tateki Yamane
    • Hitoshi Shimao
    • Shiro Sugihara
    • Masanori Ichinose
  • View Affiliations / Copyright

    Affiliations: Department of Diagnostic Pathology, Ota Memorial Hospital, SUBARU Health Insurance Society, Ota, Gunma 373‑8585, Japan, Department of Gastroenterology, Ota Memorial Hospital, SUBARU Health Insurance Society, Ota, Gunma 373‑8585, Japan, Department of Digestive Surgery, Shioya Hospital, International University of Health and Welfare, Yaita, Tochigi 329‑2145, Japan, Department of Gastroenterology, Shioya Hospital, International University of Health and Welfare, Yaita, Tochigi 329‑2145, Japan
    Copyright: © Imai et al. This is an open access article distributed under the terms of Creative Commons Attribution License [CC BY 4.0].
  • Article Number: 18
    |
    Published online on: February 5, 2025
       https://doi.org/10.3892/mi.2025.217
  • Expand metrics +
Metrics: Total Views: 0 (Spandidos Publications: | PMC Statistics: )
Metrics: Total PDF Downloads: 0 (Spandidos Publications: | PMC Statistics: )
Cited By (CrossRef): 0 citations Loading Articles...

This article is mentioned in:



Abstract

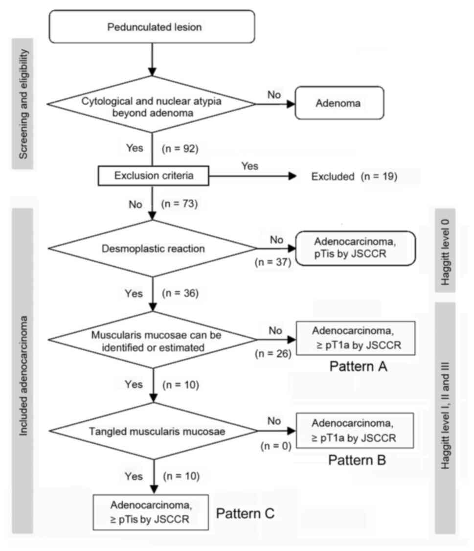
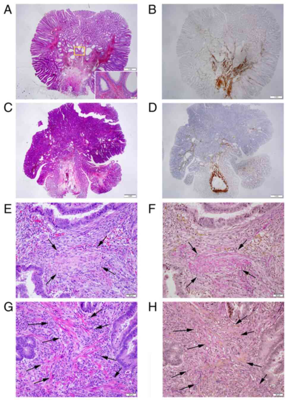
Additional surgery is considered when deep submucosal (SM) invasion (≥1,000 µm) is pathologically observed following the endoscopic resection of early‑stage colorectal cancer (eCRC). The Japanese Society for Cancer of the Colon and Rectum (JSCCR) states that the depth of SM invasion be measured from the lower border of the muscularis mucosae (MM) when MM can be identified/estimated and from the lesion's surface when it cannot, irrespective of macroscopic types. In MM‑tangled pedunculated eCRC cases, SM invasion depth should be measured from the reference line, which is the boundary between the tumor head and stalk. In the present study, in order to validate these measuring rules compared with the Haggitt classification, 73 consecutive pedunculated eCRC cases were analyzed. Using Elastica‑van Gieson and desmin immunostaining, 37, 10, 18 and eight cases were diagnosed as pTis (without SM invasion by JSCCR)/Haggitt level (HL) 0, pTis/HL1‑2 (head invasion), pT1b (SM invasion ≥1,000 µm)/HL1‑2 and pT1b/HL3 (stalk invasion), respectively. No lymph node metastasis was observed. Recurrence occurred in one pTis/HL1 case; however, no pT1b/HL1‑3 cases experienced recurrence. These results suggest that the pedunculated eCRC may be overstaged by the JSCCR rule in terms of adverse outcomes. The Haggitt classification, which evaluates HL1‑3 as a shallow SM invasion, may be more useful when considering additional surgery.
View Figures

Figure 1

Figure 2

Figure 3

Figure 4

Figure 5

View References

1 

Morson BC, Whiteway JE, Jones EA, Macrae FA and Williams CB: Histopathology and prognosis of malignant colorectal polyps treated by endoscopic polypectomy. Gut. 25:437–444. 1984.PubMed/NCBI View Article : Google Scholar

2 

Fujimori T, Kawamata H and Kashida H: Precancerous lesion of the colorectum. J Gastroenterol. 36:587–594. 2001.PubMed/NCBI View Article : Google Scholar

3 

Cooper HS: Surgical pathology of endoscopically removed malignant polyps of the colon and rectum. Am J Surg Pathol. 7:613–623. 1983.PubMed/NCBI View Article : Google Scholar

4 

Kyzer S, Bégin LR, Gordon PH and Mitmaker B: The care of patients with colorectal polyps that contain invasive adenocarcinoma. Cancer. 70:2044–2050. 1992.PubMed/NCBI View Article : Google Scholar

5 

Minamoto T, Mai M, Ogino T, Sawaguchi K, Ohta T, Fujimoto T and Takahashi Y: Early invasive colorectal carcinomas metastatic to the lymph node with attention to their nonpolypoid development. Am J Gastroenterol. 88:1035–1039. 1993.PubMed/NCBI

6 

Tanaka S, Haruma K, Teixeira CR, Tatsuta S, Ohtsu N, Hiraga Y, Yoshihara M, Sumii K, Kajiyama G and Shimamoto F: Endoscopic treatment of submucosal invasive colorectal carcinoma with special reference to risk factors for lymph node metastasis. J Gastroenterol. 30:710–717. 1995.PubMed/NCBI View Article : Google Scholar

7 

Japanese Society for Cancer of the Colon and Rectum. Japanese Classification of Colorectal, Appendiceal, and Anal Carcinoma: The 3d English Edition [Secondary Publication]. J Anus Rectum Colon. 3:175–195. 2019.PubMed/NCBI View Article : Google Scholar

8 

Participants in the Paris Workshop. The Paris endoscopic classification of superficial neoplastic lesions: Esophagus, stomach, and colon: November 30 to December 1, 2002. Gastrointest Endosc. 58:S3–43. 2003.PubMed/NCBI View Article : Google Scholar

9 

Hashiguchi Y, Muro K, Saito Y, Ito Y, Ajioka Y, Hamaguchi T, Hasegawa K, Hotta K, Ishida H, Ishiguro M, et al: Japanese society for cancer of the colon and rectum (JSCCR) guidelines 2019 for the treatment of colorectal cancer. Int J Clin Oncol. 25:1–42. 2020.PubMed/NCBI View Article : Google Scholar

10 

Berman JM, Cheung RJ and Weinberg DS: Surveillance after colorectal cancer resection. Lancet. 355:395–399. 2000.PubMed/NCBI View Article : Google Scholar

11 

Ueno H, Mochizuki H, Hashiguchi Y, Shimazaki H, Aida S, Hase K, Matsukuma S, Kanai T, Kurihara H, Ozawa K, et al: Risk factors for an adverse outcome in early invasive colorectal carcinoma. Gastroenterology. 127:385–394. 2004.PubMed/NCBI View Article : Google Scholar

12 

Tanaka S, Haruma K, Oh-E H, Nagata S, Hirota Y, Furudoi A, Amioka T, Kitadai Y, Yoshihara M and Shimamoto F: Conditions of curability after endoscopic resection for colorectal carcinoma with submucosally massive invasion. Oncol Rep. 7:783–788. 2000.PubMed/NCBI View Article : Google Scholar

13 

Haggitt RC, Glotzbach RE, Soffer EE and Wruble LD: Prognostic factors in colorectal carcinomas arising in adenomas: Implications for lesions removed by endoscopic polypectomy. Gastroenterology. 89:328–336. 1985.PubMed/NCBI View Article : Google Scholar

14 

ASGE Standards of Practice Committee. Fisher DA, Shergill AK, Early DS, Acosta RD, Chandrasekhara V, Chathadi KV, Decker GA, Evans JA, Fanelli RD, et al: Role of endoscopy in the staging and management of colorectal cancer. Gastrointest Endosc. 78:8–12. 2013.PubMed/NCBI View Article : Google Scholar

15 

Pimentel-Nunes P, Dinis-Ribeiro M, Ponchon T, Repici A, Vieth M, De Ceglie A, Amato A, Berr F, Bhandari P, Bialek A, et al: Endoscopic submucosal dissection: European society of gastrointestinal endoscopy (ESGE) guideline. Endoscopy. 7:829–854. 2015.PubMed/NCBI View Article : Google Scholar

16 

Resch A and Langner C: Risk assessment in early colorectal cancer: Histological and molecular markers. Dig Dis. 33:77–85. 2015.PubMed/NCBI View Article : Google Scholar

17 

Backes Y, Elias SG, Groen JN, Schwartz MP, Wolfhagen FHJ, Geesing JMJ, Ter Borg F, van Bergeijk J, Spanier BWM, de Vos Tot Nederveen Cappel WH, et al: Histologic factors associated with need for surgery in patients with pedunculated T1 colorectal carcinomas. Gastroenterology. 154:1647–1659. 2018.PubMed/NCBI View Article : Google Scholar

18 

Cubiella J, González A, Almazán R, Rodríguez-Camacho E, Rodiles JF, Ferreiro CD, Sandoval CT, Gómez CS, de Vicente Bielza N, Lorenzo IP, et al: pT1 colorectal cancer detected in a colorectal cancer mass screening program: Treatment and factors associated with residual and extraluminal disease. Cancers (Basel). 12(2530)2020.PubMed/NCBI View Article : Google Scholar

19 

Knoblauch M, Kühn F, von Ehrlich-Treuenstätt V, Werner J and Renz BW: Diagnostic and therapeutic management of early colorectal cancer. Visc Med. 39:10–16. 2023.PubMed/NCBI View Article : Google Scholar

20 

Nagtegaal ID, Arends MJ and Salto-Tellez M: Colorectal Adenocarcinoma. In: WHO classification of tumours/Digestive system tumours. 5th edition. WHO Classification of Tumours Editorial Board. IARC Press, Lyon, pp177-187, 2019.

21 

Union for International Cancer Control (UICC): Colon and Tectum. In: TNM classification of malignant tumours. 8th edition. Brierley JD, Gospodarowicz MK and Wittekind C (eds). Wiley Blackwell, Oxford, pp84-88, 2017.

22 

Ohno K, Fujimori T, Okamoto Y, Ichikawa K, Yamaguchi T, Imura J, Tomita S and Mitomi H: Diagnosis of desmoplastic reaction by immunohistochemical analysis, in biopsy specimens of early colorectal carcinoma, is efficacious in estimating the depth of invasion. Int J Mol Sci. 14:13129–13136. 2013.PubMed/NCBI View Article : Google Scholar

23 

Gascard P and Tlsty TD: Carcinoma-associated fibroblasts: Orchestrating the composition of malignancy. Genes Dev. 30:1002–1019. 2016.PubMed/NCBI View Article : Google Scholar

24 

Ueno H, Kajiwara Y, Ajioka Y, Sugai T, Sekine S, Ishiguro M, Takashima A and Kanemitsu Y: Histopathological atlas of desmoplastic reaction characterization in colorectal cancer. Jpn J Clin Oncol. 51:1004–1012. 2021.PubMed/NCBI View Article : Google Scholar

25 

Kitajima K, Fujimori T, Fujii S, Takeda J, Ohkura Y, Kawamata H, Kumamoto T, Ishiguro S, Kato Y, Shimoda T, et al: Correlations between lymph node metastasis and depth of submucosal invasion in submucosal invasive colorectal carcinoma: A Japanese collaborative study. J Gastroenterol. 39:534–543. 2004.PubMed/NCBI View Article : Google Scholar

26 

Japanese Society for Cancer of the Colon and Rectum (JSCCR): JSCCR guidelines 2005 for the treatment of colorectal cancer (In Japanese). https://www.jsccr.jp/guideline/2005/particular.html. Accessed on August 16, 2024.

27 

Fukuzawa M: Management of early pedunculated colorectal cancer. Gastroenterol Endosc. 64:2255–2267. 2022.(In Japanese).

28 

Asayama N, Oka S, Tanaka S, Nagata S, Furudoi A, Kuwai T, Onogawa S, Tamura T, Kanao H, Hiraga Y, et al: Long-term outcomes after treatment for pedunculated-type T1 colorectal carcinoma: A multicenter retrospective study. J Gastroenterol. 51:702–710. 2016.PubMed/NCBI View Article : Google Scholar

29 

Matsuda T, Fukuzawa M, Uraoka T, Nishi M, Yamaguchi Y, Kobayashi N, Ikematsu H, Saito Y, Nakajima T, Fujii T, et al: Risk of lymph node metastasis in patients with pedunculated type early invasive colorectal cancer: A retrospective multicenter study. Cancer Sci. 102:1693–1697. 2011.PubMed/NCBI View Article : Google Scholar

30 

Kimura YJ, Kudo S, Miyachi H, Ichimasa K, Kouyama Y, Misawa M, Sato Y, Matsudaira S, Oikawa H, Hisayuki T, et al: ‘Head invasion’ is not a metastasis-free condition in pedunculated T1 colorectal carcinoma based on the precise histopathological assessment. Digestion. 94:166–175. 2016.PubMed/NCBI View Article : Google Scholar

31 

Hassan C, Wysocki PT, Fuccio L, Seufferlein T, Dinis-Ribeiro M, Brandão C, Regula J, Frazzoni L, Pellise M, Alfieri S, et al: Endoscopic surveillance after surgical or endoscopic resection for colorectal cancer: European society of gastrointestinal endoscopy (ESGE) and European Society of digestive oncology (ESDO) Guideline. Endoscopy. 51:266–277. 2019.PubMed/NCBI View Article : Google Scholar

32 

Shaukat A, Kaltenbach T, Dominitz JA, Robertson DJ, Anderson JC, Cruise M, Burke CA, Gupta S, Lieberman D, Syngal S and Rex DK: Endoscopic recognition and management strategies for malignant colorectal polyps: Recommendations of the US multi-society task force on colorectal cancer. Gastroenterology. 159:1916–1934. 2020.PubMed/NCBI View Article : Google Scholar

33 

Tanaka S, Kashida H, Saito Y, Yahagi N, Yamano H, Saito S, Hisabe T, Yao T, Watanabe M, Yoshida M, et al: Japan gastroenterological endoscopy society guidelines for colorectal endoscopic submucosal dissection/endoscopic mucosal resection. Dig Endosc. 32:219–239. 2020.PubMed/NCBI View Article : Google Scholar

34 

Kobayashi H, Mochizuki H, Morita T, Kotake K, Teramoto T, Kameoka S, Saito Y, Takahashi K, Hase K, Oya M, et al: Characteristics of recurrence after curative resection for T1 colorectal cancer: Japanese multicenter study. J Gastroenterol. 46:203–211. 2011.PubMed/NCBI View Article : Google Scholar

Related Articles

  • Abstract
  • View
  • Download
Copy and paste a formatted citation
Spandidos Publications style
Imai Y, Otake Y, Tamachi T, Yamane T, Shimao H, Sugihara S and Ichinose M: Depth of submucosal invasion vs. Haggitt level as prognostic predictors of pedunculated‑type early‑stage colorectal cancer removed by endoscopic resection . Med Int 5: 18, 2025.
APA
Imai, Y., Otake, Y., Tamachi, T., Yamane, T., Shimao, H., Sugihara, S., & Ichinose, M. (2025). Depth of submucosal invasion vs. Haggitt level as prognostic predictors of pedunculated‑type early‑stage colorectal cancer removed by endoscopic resection . Medicine International, 5, 18. https://doi.org/10.3892/mi.2025.217
MLA
Imai, Y., Otake, Y., Tamachi, T., Yamane, T., Shimao, H., Sugihara, S., Ichinose, M."Depth of submucosal invasion vs. Haggitt level as prognostic predictors of pedunculated‑type early‑stage colorectal cancer removed by endoscopic resection ". Medicine International 5.2 (2025): 18.
Chicago
Imai, Y., Otake, Y., Tamachi, T., Yamane, T., Shimao, H., Sugihara, S., Ichinose, M."Depth of submucosal invasion vs. Haggitt level as prognostic predictors of pedunculated‑type early‑stage colorectal cancer removed by endoscopic resection ". Medicine International 5, no. 2 (2025): 18. https://doi.org/10.3892/mi.2025.217
Copy and paste a formatted citation
x
Spandidos Publications style
Imai Y, Otake Y, Tamachi T, Yamane T, Shimao H, Sugihara S and Ichinose M: Depth of submucosal invasion vs. Haggitt level as prognostic predictors of pedunculated‑type early‑stage colorectal cancer removed by endoscopic resection . Med Int 5: 18, 2025.
APA
Imai, Y., Otake, Y., Tamachi, T., Yamane, T., Shimao, H., Sugihara, S., & Ichinose, M. (2025). Depth of submucosal invasion vs. Haggitt level as prognostic predictors of pedunculated‑type early‑stage colorectal cancer removed by endoscopic resection . Medicine International, 5, 18. https://doi.org/10.3892/mi.2025.217
MLA
Imai, Y., Otake, Y., Tamachi, T., Yamane, T., Shimao, H., Sugihara, S., Ichinose, M."Depth of submucosal invasion vs. Haggitt level as prognostic predictors of pedunculated‑type early‑stage colorectal cancer removed by endoscopic resection ". Medicine International 5.2 (2025): 18.
Chicago
Imai, Y., Otake, Y., Tamachi, T., Yamane, T., Shimao, H., Sugihara, S., Ichinose, M."Depth of submucosal invasion vs. Haggitt level as prognostic predictors of pedunculated‑type early‑stage colorectal cancer removed by endoscopic resection ". Medicine International 5, no. 2 (2025): 18. https://doi.org/10.3892/mi.2025.217
Follow us
  • Twitter
  • LinkedIn
  • Facebook
About
  • Spandidos Publications
  • Careers
  • Cookie Policy
  • Privacy Policy
How can we help?
  • Help
  • Live Chat
  • Contact
  • Email to our Support Team