Spandidos Publications Logo
  • About
    • About Spandidos
    • Aims and Scopes
    • Abstracting and Indexing
    • Editorial Policies
    • Reprints and Permissions
    • Job Opportunities
    • Terms and Conditions
    • Contact
  • Journals
    • All Journals
    • Oncology Letters
      • Oncology Letters
      • Information for Authors
      • Editorial Policies
      • Editorial Board
      • Aims and Scope
      • Abstracting and Indexing
      • Bibliographic Information
      • Archive
    • International Journal of Oncology
      • International Journal of Oncology
      • Information for Authors
      • Editorial Policies
      • Editorial Board
      • Aims and Scope
      • Abstracting and Indexing
      • Bibliographic Information
      • Archive
    • Molecular and Clinical Oncology
      • Molecular and Clinical Oncology
      • Information for Authors
      • Editorial Policies
      • Editorial Board
      • Aims and Scope
      • Abstracting and Indexing
      • Bibliographic Information
      • Archive
    • Experimental and Therapeutic Medicine
      • Experimental and Therapeutic Medicine
      • Information for Authors
      • Editorial Policies
      • Editorial Board
      • Aims and Scope
      • Abstracting and Indexing
      • Bibliographic Information
      • Archive
    • International Journal of Molecular Medicine
      • International Journal of Molecular Medicine
      • Information for Authors
      • Editorial Policies
      • Editorial Board
      • Aims and Scope
      • Abstracting and Indexing
      • Bibliographic Information
      • Archive
    • Biomedical Reports
      • Biomedical Reports
      • Information for Authors
      • Editorial Policies
      • Editorial Board
      • Aims and Scope
      • Abstracting and Indexing
      • Bibliographic Information
      • Archive
    • Oncology Reports
      • Oncology Reports
      • Information for Authors
      • Editorial Policies
      • Editorial Board
      • Aims and Scope
      • Abstracting and Indexing
      • Bibliographic Information
      • Archive
    • Molecular Medicine Reports
      • Molecular Medicine Reports
      • Information for Authors
      • Editorial Policies
      • Editorial Board
      • Aims and Scope
      • Abstracting and Indexing
      • Bibliographic Information
      • Archive
    • World Academy of Sciences Journal
      • World Academy of Sciences Journal
      • Information for Authors
      • Editorial Policies
      • Editorial Board
      • Aims and Scope
      • Abstracting and Indexing
      • Bibliographic Information
      • Archive
    • International Journal of Functional Nutrition
      • International Journal of Functional Nutrition
      • Information for Authors
      • Editorial Policies
      • Editorial Board
      • Aims and Scope
      • Abstracting and Indexing
      • Bibliographic Information
      • Archive
    • International Journal of Epigenetics
      • International Journal of Epigenetics
      • Information for Authors
      • Editorial Policies
      • Editorial Board
      • Aims and Scope
      • Abstracting and Indexing
      • Bibliographic Information
      • Archive
    • Medicine International
      • Medicine International
      • Information for Authors
      • Editorial Policies
      • Editorial Board
      • Aims and Scope
      • Abstracting and Indexing
      • Bibliographic Information
      • Archive
  • Articles
  • Information
    • Information for Authors
    • Information for Reviewers
    • Information for Librarians
    • Information for Advertisers
    • Conferences
  • Language Editing
Spandidos Publications Logo
  • About
    • About Spandidos
    • Aims and Scopes
    • Abstracting and Indexing
    • Editorial Policies
    • Reprints and Permissions
    • Job Opportunities
    • Terms and Conditions
    • Contact
  • Journals
    • All Journals
    • Biomedical Reports
      • Information for Authors
      • Editorial Policies
      • Editorial Board
      • Aims and Scope
      • Abstracting and Indexing
      • Bibliographic Information
      • Archive
    • Experimental and Therapeutic Medicine
      • Information for Authors
      • Editorial Policies
      • Editorial Board
      • Aims and Scope
      • Abstracting and Indexing
      • Bibliographic Information
      • Archive
    • International Journal of Epigenetics
      • Information for Authors
      • Editorial Policies
      • Editorial Board
      • Aims and Scope
      • Abstracting and Indexing
      • Bibliographic Information
      • Archive
    • International Journal of Functional Nutrition
      • Information for Authors
      • Editorial Policies
      • Editorial Board
      • Aims and Scope
      • Abstracting and Indexing
      • Bibliographic Information
      • Archive
    • International Journal of Molecular Medicine
      • Information for Authors
      • Editorial Policies
      • Editorial Board
      • Aims and Scope
      • Abstracting and Indexing
      • Bibliographic Information
      • Archive
    • International Journal of Oncology
      • Information for Authors
      • Editorial Policies
      • Editorial Board
      • Aims and Scope
      • Abstracting and Indexing
      • Bibliographic Information
      • Archive
    • Medicine International
      • Information for Authors
      • Editorial Policies
      • Editorial Board
      • Aims and Scope
      • Abstracting and Indexing
      • Bibliographic Information
      • Archive
    • Molecular and Clinical Oncology
      • Information for Authors
      • Editorial Policies
      • Editorial Board
      • Aims and Scope
      • Abstracting and Indexing
      • Bibliographic Information
      • Archive
    • Molecular Medicine Reports
      • Information for Authors
      • Editorial Policies
      • Editorial Board
      • Aims and Scope
      • Abstracting and Indexing
      • Bibliographic Information
      • Archive
    • Oncology Letters
      • Information for Authors
      • Editorial Policies
      • Editorial Board
      • Aims and Scope
      • Abstracting and Indexing
      • Bibliographic Information
      • Archive
    • Oncology Reports
      • Information for Authors
      • Editorial Policies
      • Editorial Board
      • Aims and Scope
      • Abstracting and Indexing
      • Bibliographic Information
      • Archive
    • World Academy of Sciences Journal
      • Information for Authors
      • Editorial Policies
      • Editorial Board
      • Aims and Scope
      • Abstracting and Indexing
      • Bibliographic Information
      • Archive
  • Articles
  • Information
    • For Authors
    • For Reviewers
    • For Librarians
    • For Advertisers
    • Conferences
  • Language Editing
Login Register Submit
  • This site uses cookies
  • You can change your cookie settings at any time by following the instructions in our Cookie Policy. To find out more, you may read our Privacy Policy.

    I agree
Search articles by DOI, keyword, author or affiliation
Search
Advanced Search
presentation
Medicine International
Join Editorial Board Propose a Special Issue
Print ISSN: 2754-3242 Online ISSN: 2754-1304
Journal Cover
May-June 2025 Volume 5 Issue 3

Full Size Image

Sign up for eToc alerts
Recommend to Library

Journals

International Journal of Molecular Medicine

International Journal of Molecular Medicine

International Journal of Molecular Medicine is an international journal devoted to molecular mechanisms of human disease.

International Journal of Oncology

International Journal of Oncology

International Journal of Oncology is an international journal devoted to oncology research and cancer treatment.

Molecular Medicine Reports

Molecular Medicine Reports

Covers molecular medicine topics such as pharmacology, pathology, genetics, neuroscience, infectious diseases, molecular cardiology, and molecular surgery.

Oncology Reports

Oncology Reports

Oncology Reports is an international journal devoted to fundamental and applied research in Oncology.

Experimental and Therapeutic Medicine

Experimental and Therapeutic Medicine

Experimental and Therapeutic Medicine is an international journal devoted to laboratory and clinical medicine.

Oncology Letters

Oncology Letters

Oncology Letters is an international journal devoted to Experimental and Clinical Oncology.

Biomedical Reports

Biomedical Reports

Explores a wide range of biological and medical fields, including pharmacology, genetics, microbiology, neuroscience, and molecular cardiology.

Molecular and Clinical Oncology

Molecular and Clinical Oncology

International journal addressing all aspects of oncology research, from tumorigenesis and oncogenes to chemotherapy and metastasis.

World Academy of Sciences Journal

World Academy of Sciences Journal

Multidisciplinary open-access journal spanning biochemistry, genetics, neuroscience, environmental health, and synthetic biology.

International Journal of Functional Nutrition

International Journal of Functional Nutrition

Open-access journal combining biochemistry, pharmacology, immunology, and genetics to advance health through functional nutrition.

International Journal of Epigenetics

International Journal of Epigenetics

Publishes open-access research on using epigenetics to advance understanding and treatment of human disease.

Medicine International

Medicine International

An International Open Access Journal Devoted to General Medicine.

Journal Cover
May-June 2025 Volume 5 Issue 3

Full Size Image

Sign up for eToc alerts
Recommend to Library

  • Article
  • Citations
    • Cite This Article
    • Download Citation
    • Create Citation Alert
    • Remove Citation Alert
    • Cited By
  • Similar Articles
    • Related Articles (in Spandidos Publications)
    • Similar Articles (Google Scholar)
    • Similar Articles (PubMed)
  • Download PDF
  • Download XML
  • View XML
Case Report Open Access

Urinary bladder collision tumors: A case report and literature review

  • Authors:
    • Sami S. Omar
    • Saman S. Fakhralddin
    • Rawa M. Ali
    • Ari M. Abdullah
    • Soran H. Tahir
    • Bryar Othman Muhammed
    • Fahmi H. Kakamad
    • Abdullah A. Qadir
    • Hiwa O. Abdullah
    • Berun A. Abdalla
    • Suhaib H. Kakamad
    • Jihad Ibrahim Hama
  • View Affiliations / Copyright

    Affiliations: Kscien Organization for Scientific Research (Middle East Office), Sulaymaniyah 46001, Iraq, Department of Scientific Affairs, Smart Health Tower, Sulaymaniyah 46001, Iraq, Smart Health Tower Raparin, Rania, Sulaymaniyah 46001, Iraq, Research Center, University of Halabja, Halabja 46018, Iraq
    Copyright: © Omar et al. This is an open access article distributed under the terms of Creative Commons Attribution License [CC BY 4.0].
  • Article Number: 26
    |
    Published online on: March 7, 2025
       https://doi.org/10.3892/mi.2025.225
  • Expand metrics +
Metrics: Total Views: 0 (Spandidos Publications: | PMC Statistics: )
Metrics: Total PDF Downloads: 0 (Spandidos Publications: | PMC Statistics: )
Cited By (CrossRef): 0 citations Loading Articles...

This article is mentioned in:



Abstract

A collision tumor of the urinary bladder refers to a very rare condition in which two distinct types of tumors occur simultaneously within the same bladder. The present study reports the case of a patient with a collision tumor in the urinary bladder. A 43‑year‑old female patient was referred following a diagnosis of bladder carcinoma. The patient had previously undergone a cystoscopy‑directed transurethral resection of a bladder tumor (TURBT) to remove a mass from the urinary bladder. A biopsy revealed that the tumor was a moderately differentiated T2‑adenocarcinoma. A contrast‑enhanced computed tomography (CT) scan revealed an irregular, thickened bladder wall. Based on the PET scan result and the initial TURBT result, which revealed T2‑stage adenocarcinoma, a radical cystectomy was recommended. The final histopathological diagnosis was poorly differentiated adenocarcinoma (pT2 N0 M0) and well‑differentiated squamous cell carcinoma T1 N0 M0 as a collision tumor. In addition, the present study also provides a literature review which summarizes cases of urinary bladder collision tumors in male patients aged 50 to 74 years, primarily presenting with hematuria. Diagnoses were confirmed using imaging techniques, such as CT scans and MRIs. Surgical treatments, including TURBT and radical cystectomy, are commonly used, with some cases also receiving chemotherapy or immunotherapy. Outcomes varied, with some patients experiencing recurrence or metastasis, while others remained recurrence‑free post‑surgery. A bladder collision tumor is a rare disease; extensive radiological study and careful examination of the biopsy are required to diagnose the condition.

Introduction

Collision tumors refer to the occurrence of two distinct tumors within the same organ or mass, each with separate cellular lineages and genetic origins, but lacking a visible transitional zone between them. This phenomenon is most commonly observed in organs such as the liver, stomach, adrenal glands, ovaries, lungs, kidneys and colon (1).

A collision tumor of the urinary bladder refers to a very rare condition in which two distinct types of tumors occur simultaneously within the same bladder. These tumors may have different origins and growth patterns, and they may be benign or malignant. The coexistence of two different tumor types in the same location is what distinguishes a collision tumor from a composite tumor, in which different cell types from the same tissues are involved (2,3). The most common combination observed in bladder cancer collisions is the concurrent presence of urothelial carcinoma, which is the most common subtype of malignant bladder tumors, and another type of tumor, such as adenocarcinoma, squamous cell carcinoma (SCC) and other subtypes (4,5). Urothelial carcinoma is the most common primary histological type involving the urinary bladder, which comprises 90 to 95% of the primary malignancies, while the other non-urothelial carcinomas, e.g., adenocarcinoma, SCC, neuroendocrine carcinoma and lymphoma, are uncommon and often diagnostically challenging (6,7). Both adenocarcinoma and SCC account for 0.5-2% and 1-3% of the primary bladder malignancies, respectively (8,9). Oncogenic factors, such as p53, VEGF and EGFR, are known to play critical roles in the signal transduction pathways of collision tumors. Based on whether cancer cells can infiltrate the muscular layer of the bladder, bladder cancer is divided into two subtypes, namely non-muscle invasive bladder cancer (NMIBC) and muscular invasive bladder cancer (MIBC). The transurethral resection of bladder tumor (TURBT) is the primary treatment modality for NMIBC (10).

The present study reports and discusses a very rare case of a bladder collision tumor. The references have been inspected for reliability, and the report has been written according to the CaReL guidelines (11,12).

Case report

Patient information

A 43-year-old female patient with a history of vesical stones was referred to the Rzgary Oncology Clinic at Rzgary Teaching Hospital (Erbil, Iraq) after being diagnosed with bladder carcinoma.

Clinical findings

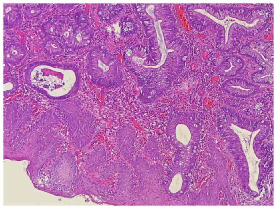
The medical history of the patient included controlled diabetes mellitus, hypertension and multiple sessions of cystoscopic laser lithotripsy, as well as open vesical stone extractions. She had previously undergone a cystoscopy-directed TURBT to remove a mass from the urinary bladder, and a histopathological examination of the biopsy (performed at Rzgary Oncology Laboratory), identified the tumor as a moderately differentiated T2 adenocarcinoma (Fig. 1). Following this, the patient was referred to the Smart Health Tower (Sulaymaniyah, Iraq) for further management.

Figure 1

The stained section indicates numerous fragments of bladder tissue heavily involved by moderately differentiated adenocarcinoma.

Diagnostic assessment

Initial diagnostic workup included an abdominal ultrasound (U/S), which was followed by a contrast-enhanced computed tomography (CT) scan as the previous surgery had been based on the U/S alone. The CT scan was performed to provide a more detailed assessment of the bladder wall and surrounding structures, which revealed irregular, thickened bladder walls (8 mm), but no gross mass lesion due to the previous TURBT procedure (Fig. 2). Given the history of adenocarcinoma and to assess potential metastasis, a fluorodeoxyglucose positron emission tomography (FDG-PET) was recommended by the multidisciplinary team. The FDG-PET was crucial for detecting any hypermetabolic nodular lesions suggestive of metastatic spread; however, the results revealed no abnormal focal hypermetabolic nodular lesions in the urinary bladder wall or elsewhere in the body (Fig. 3). Based on the PET scan findings and the initial TURBT biopsy, which revealed a T2-stage adenocarcinoma, a radical cystectomy was advised for definitive management.

Figure 2

A contrast-enhanced CT scan of the pelvis indicating a mildly thickened urinary bladder wall; however, no obvious mass is present, and the bladder appears small in size.

Figure 3

(A) PET-CT axial sections of the pelvis illustrating that radioactive substances are excreted in the urinary bladder with no abnormal uptake in the pelvis. (B) Whole-body PET-CT coronal section shows normal uptake in the brain and intestine, excretion in the urinary bladder, and no metastasis.

Therapeutic intervention

The patient underwent radical cystectomy, during which gross examination revealed a shrunken bladder (7x10 cm) with a pale lesion at the trigone measuring approximately 25 mm. The excised bladder specimen was fixed in 10% neutral-buffered formalin at room temperature for 24 h before being processed using the DiaPath Donatello automated tissue processor. The tissue underwent dehydration in a graded alcohol series, clearing in xylene and paraffin infiltration, followed by embedding in paraffin wax using the Sakura Tissue-Tek embedding center. Paraffin-embedded sections, 5-µm thick, were obtained using the Sakura Accu-Cut SRM microtome, floated in a 40-50˚C water bath, and mounted on glass slides. The slides were then baked at 60-70˚C overnight before staining with hematoxylin and eosin (H&E) (Bio Optica Co.) for 1-2 min at room temperature using the DiaPath Giotto autostainer. The stained slides were examined under a light microscope (Leica Microsystems GmbH). A histopathological examination (HPE) revealed a marked ulceration at the trigone with necrosis extending into the muscle layer. Extensive squamous metaplasia throughout the bladder, SCC in situ, and foci of superficially invasive SCC were observed (Fig. 4). Glandular metaplasia with dysplasia was also noted, extending into the distal bladder, which exhibited significant inflammation and degenerative changes. Additionally, two perivesical nodes were found to be free of malignancy, and 18 lymph nodes were found after sectioning the right and left pelvic nodes, and all were clear of malignancy. On the TURBT, there was no residual adenocarcinoma. The final TNM stage was poorly differentiated adenocarcinoma pT2 N0 M0 and well-differentiated SCC T1 N0 M0 as a collision tumor. This combination of adenocarcinoma and SCC within the same mass is a hallmark of collision tumors, underscoring the multifocal and independent origins of each tumor type.

Figure 4

(A) Bladder mucosa with squamous metaplasia and full-thickness squamous dysplasia (black asterisks). (B-D) Stained sections indicating the irregular downward infiltration of the atypical squamous nests (yellow asterisks) into the lamina propria and deeper layers of the bladder (hematoxylin and eosin staining; magnification, x100).

Follow-up

The patient is under an extensive follow-up regimen, which includes regular urine cytology, liver function tests, and monitoring of creatinine and electrolytes. Imaging studies of the chest, urinary tract, abdomen and pelvis are also performed periodically. Additionally, annual vitamin B12 monitoring is conducted. No recurrence was observed after 1 year of follow-up.

Discussion

While the case presented herein is unique in its specifics, the literature review highlighted several cases of urinary bladder collision tumors in patients aged 50 to 74 years, with most cases involving male patients. Common symptoms included hematuria, sometimes accompanied by urinary urgency, dysuria, or the presence of blood clots. Diagnostic imaging techniques, such as CT scans, ultrasounds and MRIs, have been frequently employed to identify the tumors and assess their extent. Surgical interventions were the primary treatment methods, including TURBT and radical cystectomy, often combined with pelvic lymph node dissection. In some instances, additional treatments such as chemotherapy or immunotherapy were utilized to manage the disease. Patient outcomes varied; while some patients experienced recurrence or metastasis, leading to further complications or mortality, others had successful surgeries and remained free from recurrence for several months to years following treatment. The majority of cases (60%) were found to result in either recurrence or mortality, while 2 cases exhibited no recurrence following an average follow-up period of 6.5 months (2,10,13-15) (Table I). By contrast, the patient in the present study remained free from recurrence during follow-up. It is noteworthy that, although the cases reviewed predominantly involve male patients, the present case pertains to a female patient, thereby contributing to the diversity in the clinical presentation of bladder collision tumors.

Table I

Summary of several reported cases of urinary bladder collision tumors in the literature.

Table I

Summary of several reported cases of urinary bladder collision tumors in the literature.

 Imaging used for diagnosis Tumor characteristics 
Author(s)Country, year of publicationAge, yearsSexPresentationU/SCT/MRIManagementLocationGross-section sizeHPEAdjuvant chemotherapyRecurrence(Refs.)
Gandhi et alIndia, 201773MaleHematuria for15 daysRevealed a bladder massShowed a bladder mass measuring 5.6x2.4 cm with significant bilateral pelvic lymphadenopathyRadical cystoprostatectomy with bilateral pelvic lymph node dissection and resection of a sigmoid colon serosal depositPosterior wall and dome of the bladder6x4.5x3 cmLarge cell neuroendocrine carcinoma with adenocarcinoma componentRecommended but refused by the patientPatient died 4 months post-surgery(2)
Jiang et alChina, 202364MaleUrinary urgency, frequent urination, dysuria, and recurrent hematuria.Not applicableIrregular and abnormal signal shadow in the bladder, measuring 8.4x6 cm, and abnormal signal in the central gland of the prostate, Chemo-therapy (gemcitabine + cisplatin) and immunotherapy (tislelizumab)Multiple TURBT procedure+ Radical cystectomy with pelvic lymph node resection and cutaneous ureterostomy in May 2021Bladder and prostate involvementUp to 8.4x6 cmCollision tumor with small cell small cell carcinoma (SCC) and high-grade urothelial carcinomaRecommended but the patient had difficulty adhering to the treatment schedule due to economic reasonsNeck and mediastinum lymph nodes metastases; patient died of COVID-19(10)
Brinton et alUnited States, 197050MaleGross, total, painless hematuria for 4 daysNot applicableNot applicableTURBT followed by total cystectomy and ileal loop urinary diversion.Superior to the right ureteral orifice2 cm (polypoid tumor)Carcinosarcoma of the bladder with muscle invasionNot applicableNo recurrence; patient alive and well 5 months postsurgery.(13)
Chen et alChina, 202274MaleGross hematuria for 3 months worsening in the past week, occasionally accompanied by blood clots.Revealed a substan tial mass in the bladder measuring 3.1x 2.4x2.1 cm with a rich blood flow signal. Additionally, the prostate was enlarged with intense light spotsCT scan: Indicated focal thickening of the left posterior wall of the bladder with a cauliflower-shaped soft-tissue density shadow protruding into the bladder. On contrast-enhanced CT, the lesion was mildly to moderately enhanced, suggestive of a space-occupying lesion consistent with bladder cancerTURBT followed by total cystectomyLeft posterior wall of the bladder, 1 cm lateral to the left ureteral openingA volume of mass was 3.0x2.0x 2.0 cmCollision tumor between primary malignant melanoma and high-grade non-invasive urothelial papillary carcinoma.No chemotherapy, immunotherapy, or gene therapy was administered.Patient died of systemic metastasis 31 months after surgery(14)
Kitazawa et alJapan, 198567MaleOccasional small amounts of gross hematuria and dysuria, with discharge of a fingertip-sized mass.Not applicableNot applicableTURBT, section by section.Right posterior wall of the bladder2.1x1.8 cm; the specimen weighed 4.0 grams.Giant cell tumor associated with transitional cell carcinoma.Not applicableNo recurrence or metastasis 8 months after TURBT.(15)

[i] US, ultrasound; CT, computed tomography, MRI, magnetic resonance imaging; HPE, histopathological examination; TURBT, transurethral resection of bladder tumor.

Collision tumors may exhibit diverse origins and growth patterns, often involving two distinct tumor types that originate independently within the same mass. This combination of adenocarcinoma and SCC in the present study within the same mass is a hallmark of collision tumors, underscoring the multifocal and independent origins of each tumor type (2). In contrast to collision tumors, composite tumors involve different cell types from the same tissues. The most frequently observed combination in bladder collision tumors, as in the present case, is the simultaneous presence of urothelial carcinoma and another type of tumor, such as adenocarcinoma, or SCC (3). Adenocarcinoma of the bladder emerges from the glandular cells of the bladder. Unlike the more prevalent transitional cell carcinoma type, it is less common. It can be in different areas of the bladder, such as the mucosal layer and deeper muscle layers (16). Cigarette smoking increases the risk of bladder cancer, as harmful chemicals in tobacco smoke are absorbed into the bloodstream and excreted through the kidneys, exposing the bladder lining to carcinogens. Bladder cancer is more common in older adults, especially men. Occupational exposures to chemicals such as aromatic amines and polycyclic aromatic hydrocarbons, found in industries such as rubber, dye, and chemical production also increase the risk. Prolonged exposure to chemicals in textiles, paints, and plastics, along with chronic urinary infections, can further increase this risk. Additionally, radiation therapy, certain diabetes medications, and chronic Schistosoma haematobium infection are linked to higher bladder cancer risk (17,18). The starting point of the disease is a genetic mutation, which can lead to uncontrolled cell growth and division. These mutations can be inherited or occur spontaneously during a person's lifetime; chronic inflammation and long-term inflammation in an organ can create an environment that promotes the growth of cancer cells (19). The signs and symptoms of bladder collision tumors can vary. The urine may appear pink, red, or dark brown, and the presence of blood can be intermittent or consistent; also, there may be painful urination, urinary urgency, and pelvic pain (4). In the present study, the patient was diagnosed with bladder carcinoma and was referred to the Rzgary Oncology Clinic.

The diagnosis of bladder carcinoma often involves various tests, such as urine analysis, imaging studies, and cystoscopy. A biopsy is the gold standard for the diagnosis (12). Since this type of cancer is mostly diagnosed in the advanced stages and is associated with high recurrence rates, the understanding of gene expression regulation is significant for early diagnosis and treatment. Epigenetic modifications, which alter gene expression without changing the DNA sequence, have been extensively studied as flexible and important therapeutic targets for cancer treatments. Mutations in genes such as FGFR3, PIK3CA, KDM6A and TP53 are common in bladder cancers and disrupt normal gene regulation and cell growth, leading to uncontrolled cell growth and tumor formation (20). The case described herein underwent a CT scan with IV contrast followed by a PET scan. The HPE of the specimen confirmed the diagnosis.

The management of bladder collision tumors includes cancer staging and grading, the assessment of the overall health of the patient and the consideration of the preferences of the patient. A general outline of the management options for collision bladder is TURBT, which is the standard initial treatment for non-invasive or early-stage bladder cancer, radical cystectomy, intravesical therapy and radiation therapy. Chemotherapy and immunotherapies are used in the advanced stages. Some bladder cancers with specific molecular features may be treated with targeted therapies that aim to inhibit specific abnormal proteins or pathways involved in cancer growth (21,22). This case undergone radical cystectomy as far as it was a localized early-stage disease.

Early detection and appropriate treatment are crucial for better outcomes in bladder carcinoma. Regular check-ups and prompt medical attention for concerning symptoms can improve prognosis and increase the likelihood of successful treatment. As with any type of cancer, a multidisciplinary approach involving urologists, oncologists and other healthcare specialists is often necessary to provide comprehensive care to individuals affected by bladder carcinoma (5). Although it is a rare disease, regular follow-up is necessary in cases of bladder cancer (13-16,23). The case in the present study was kept on an extensive and regular follow-up schedule by conducting urine cytology, liver function tests, serum creatinine and electrolytes.

In conclusion, collision tumor of the bladder is a rare disease; extensive radiological study and careful examination of the biopsy are necessary to diagnose the condition.

Acknowledgements

Not applicable.

Funding

Funding: No funding was received.

Availability of data and materials

The data generated in the present study may be requested from the corresponding author.

Authors' contributions

SSO and SSF were the major contributors to the conception of the study, as well as in the literature search for related studies. HOA, FHK and BAA were involved in the literature review, in the writing of the manuscript, and in the analysis and interpretation of the patient's data. AMA, BOM, AAQ, SHK and JIH were involved in the literature review, in the design of the study, in revision of the manuscript and in the processing of the figures. RMA was the pathologist who performed the histopathology diagnosis. SHT was the radiologist who performed the assessed the case. SSO and FHK confirm the authenticity of all the raw data. All authors have read and approved the final manuscript.

Ethics approval and consent to participate

The patient provided written informed consent to participate and publish any related data in the present study.

Patient consent for publication

The patient provided written informed consent to participate and publish any related data in the present study.

Competing interests

The authors declare that they have no competing interests.

References

1 

Abdullah AM, Qaradakhy AJ, Ali RM, Ali RM, Mahmood YM, Omar SS, Nasralla HA, Muhialdeen AS, Saeed YA, Dhair HM and Mohammed RO: Thyroid collision tumors: A systematic review. Barw Medical J. 2:44–56. 2024.

2 

Gandhi JS, Pasricha S and Gupta G: Collision tumor of the urinary bladder comprising large cell neuroendocrine carcinoma and adenocarcinoma. Asian J Oncol. 3:144–146. 2008.

3 

Miyazaki J and Nishiyama H: Epidemiology of urothelial carcinoma. Int J Urol. 24:730–734. 2017.PubMed/NCBI View Article : Google Scholar

4 

Radović N, Turner R and Bacalja J: Primary ‘pure’ large cell neuroendocrine carcinoma of the urinary bladder: A case report and review of the literature. Clin Genitourin Cancer. 13:375–e377. 2015.PubMed/NCBI View Article : Google Scholar

5 

Rouanne M, Loriot Y, Lebret T and Soria JC: Novel therapeutic targets in advanced urothelial carcinoma. Crit Rev Oncol Hematol. 98:106–115. 2016.PubMed/NCBI View Article : Google Scholar

6 

Ploeg M, Aben KK, Hulsbergen-van de Kaa CA, Schoenberg MP, Witjes JA and Kiemeney LA: Clinical epidemiology of nonurothelial bladder cancer: Analysis of the Netherlands Cancer Registry. J Urol. 183:915–920. 2010.PubMed/NCBI View Article : Google Scholar

7 

Tavora F and Epstein JI: Bladder cancer, pathological classification and staging. BJU Int. 102:1216–1220. 2008.PubMed/NCBI View Article : Google Scholar

8 

Loriot Y, Necchi A, Park SH, Garcia-Donas J, Huddart R, Burgess E, Fleming M, Rezazadeh A, Mellado B, Varlamov S, et al: Erdafitinib in locally advanced or metastatic urothelial carcinoma. N Engl J Med. 381:338–348. 2019.PubMed/NCBI View Article : Google Scholar

9 

Catto JW, Yates DR, Rehman I, Azzouzi AR, Patterson J, Sibony M, Cussenot O and Hamdy FC: Behavior of urothelial carcinoma with respect to anatomical location. J Urol. 177(1715)2007.PubMed/NCBI View Article : Google Scholar

10 

Jiang W, Pan C, Guo W, Xu Z, Ni Q and Ruan Y: Pathologic collision of urinary bladder urothelial carcinoma with small cell carcinoma: A case report. Diagnostic Pathology. 18(80)2023.PubMed/NCBI View Article : Google Scholar

11 

Abdullah HO, Abdalla BA, Kakamad FH, Ahmed JO, Baba HO, Hassan MN, Bapir R, Rahim HM, Omar DA, Kakamad SH, et al: Predatory Publishing Lists: A Review on the Ongoing Battle Against Fraudulent Actions. Barw Med J. 2:26–30. 2024.

12 

Prasad S, Nassar M, Azzam AY, García-Muro-San José F, Jamee M, Sliman RKA, Evola G, Mustafa AM, Abdullah HO, Abdalla BA, et al: CaReL guidelines: A consensus-based guideline on case reports and literature review (CaReL). Barw Med J. 2:13–19. 2024.

13 

Brinton JA, Ito Y and Olsen BS: Carcinosarcoma of the urinary bladder. A case report and review of the literature. Cancer. 25:1183–1186. 1970.PubMed/NCBI View Article : Google Scholar

14 

Chen X, Ge H, Yang J, Huang B and Liu H: Primary malignant melanoma of the bladder collides with high grade non invasive urothelial papillary carcinoma: A case report. Oncol Lett. 24:1–5. 2022.PubMed/NCBI View Article : Google Scholar

15 

Kitazawa M, Kobayashi H, Ohnishi Y, Kimura K, Sakurai S and Sekine S: Giant cell tumor of the bladder associated with transitional cell carcinoma. J Urol. 133:472–475. 1985.PubMed/NCBI View Article : Google Scholar

16 

Dadhania V, Czerniak B and Guo CC: Adenocarcinoma of the urinary bladder. Am J Clin Exp Urol. 3(51)2015.PubMed/NCBI

17 

Taguchi S, Akamatsu N, Nakagawa T, Gonoi W, Kanatani A, Miyazaki H, Fujimura T, Fukuhara H, Kume H and Homma Y: Sarcopenia evaluated using the skeletal muscle index is a significant prognostic factor for metastatic urothelial carcinoma. Clin Genitourin Cancer. 14:237–243. 2016.PubMed/NCBI View Article : Google Scholar

18 

Ku JH, Byun SS, Jeong H, Kwak C, Kim HH and Lee SE: Lymphovascular invasion as a prognostic factor in the upper urinary tract urothelial carcinoma: A systematic review and meta-analysis. Eur J Cancer. 49:2665–2680. 2013.PubMed/NCBI View Article : Google Scholar

19 

Roy S and Parwani  : AVA8/arpa.2009-0713-RS adenocarcinoma of the urinary bladder. Arch Pathol Lab Med. 135:1601–1605. 2011.PubMed/NCBI View Article : Google Scholar

20 

Lee KH and Song CG: Epigenetic regulation in bladder cancer: Development of new prognostic targets and therapeutic implications. Translational Cancer Res. 30 (Suppl):677–688. 2017.

21 

Crabb SJ and Douglas J: The latest treatment options for bladder cancer. Br Med Bull. 128:85–95. 2018.PubMed/NCBI View Article : Google Scholar

22 

Witjes JA: Bladder carcinoma in situ in 2003: State of the Art. Eur Urol. 45:142–146. 2004.PubMed/NCBI View Article : Google Scholar

23 

Mingomataj E, Krasniqi M, Dedushi K, Sergeevich KA, Kust D and Qadir AA: Cancer Publications in one year (2023): A cross-sectional study. Barw Med J. 2(3)2024.

Related Articles

  • Abstract
  • View
  • Download
Copy and paste a formatted citation
Spandidos Publications style
Omar SS, Fakhralddin SS, Ali RM, Abdullah AM, Tahir SH, Muhammed BO, Kakamad FH, Qadir AA, Abdullah HO, Abdalla BA, Abdalla BA, et al: Urinary bladder collision tumors: A case report and literature review. Med Int 5: 26, 2025.
APA
Omar, S.S., Fakhralddin, S.S., Ali, R.M., Abdullah, A.M., Tahir, S.H., Muhammed, B.O. ... Hama, J.I. (2025). Urinary bladder collision tumors: A case report and literature review. Medicine International, 5, 26. https://doi.org/10.3892/mi.2025.225
MLA
Omar, S. S., Fakhralddin, S. S., Ali, R. M., Abdullah, A. M., Tahir, S. H., Muhammed, B. O., Kakamad, F. H., Qadir, A. A., Abdullah, H. O., Abdalla, B. A., Kakamad, S. H., Hama, J. I."Urinary bladder collision tumors: A case report and literature review". Medicine International 5.3 (2025): 26.
Chicago
Omar, S. S., Fakhralddin, S. S., Ali, R. M., Abdullah, A. M., Tahir, S. H., Muhammed, B. O., Kakamad, F. H., Qadir, A. A., Abdullah, H. O., Abdalla, B. A., Kakamad, S. H., Hama, J. I."Urinary bladder collision tumors: A case report and literature review". Medicine International 5, no. 3 (2025): 26. https://doi.org/10.3892/mi.2025.225
Copy and paste a formatted citation
x
Spandidos Publications style
Omar SS, Fakhralddin SS, Ali RM, Abdullah AM, Tahir SH, Muhammed BO, Kakamad FH, Qadir AA, Abdullah HO, Abdalla BA, Abdalla BA, et al: Urinary bladder collision tumors: A case report and literature review. Med Int 5: 26, 2025.
APA
Omar, S.S., Fakhralddin, S.S., Ali, R.M., Abdullah, A.M., Tahir, S.H., Muhammed, B.O. ... Hama, J.I. (2025). Urinary bladder collision tumors: A case report and literature review. Medicine International, 5, 26. https://doi.org/10.3892/mi.2025.225
MLA
Omar, S. S., Fakhralddin, S. S., Ali, R. M., Abdullah, A. M., Tahir, S. H., Muhammed, B. O., Kakamad, F. H., Qadir, A. A., Abdullah, H. O., Abdalla, B. A., Kakamad, S. H., Hama, J. I."Urinary bladder collision tumors: A case report and literature review". Medicine International 5.3 (2025): 26.
Chicago
Omar, S. S., Fakhralddin, S. S., Ali, R. M., Abdullah, A. M., Tahir, S. H., Muhammed, B. O., Kakamad, F. H., Qadir, A. A., Abdullah, H. O., Abdalla, B. A., Kakamad, S. H., Hama, J. I."Urinary bladder collision tumors: A case report and literature review". Medicine International 5, no. 3 (2025): 26. https://doi.org/10.3892/mi.2025.225
Follow us
  • Twitter
  • LinkedIn
  • Facebook
About
  • Spandidos Publications
  • Careers
  • Cookie Policy
  • Privacy Policy
How can we help?
  • Help
  • Live Chat
  • Contact
  • Email to our Support Team