Spandidos Publications Logo
  • About
    • About Spandidos
    • Aims and Scopes
    • Abstracting and Indexing
    • Editorial Policies
    • Reprints and Permissions
    • Job Opportunities
    • Terms and Conditions
    • Contact
  • Journals
    • All Journals
    • Oncology Letters
      • Oncology Letters
      • Information for Authors
      • Editorial Policies
      • Editorial Board
      • Aims and Scope
      • Abstracting and Indexing
      • Bibliographic Information
      • Archive
    • International Journal of Oncology
      • International Journal of Oncology
      • Information for Authors
      • Editorial Policies
      • Editorial Board
      • Aims and Scope
      • Abstracting and Indexing
      • Bibliographic Information
      • Archive
    • Molecular and Clinical Oncology
      • Molecular and Clinical Oncology
      • Information for Authors
      • Editorial Policies
      • Editorial Board
      • Aims and Scope
      • Abstracting and Indexing
      • Bibliographic Information
      • Archive
    • Experimental and Therapeutic Medicine
      • Experimental and Therapeutic Medicine
      • Information for Authors
      • Editorial Policies
      • Editorial Board
      • Aims and Scope
      • Abstracting and Indexing
      • Bibliographic Information
      • Archive
    • International Journal of Molecular Medicine
      • International Journal of Molecular Medicine
      • Information for Authors
      • Editorial Policies
      • Editorial Board
      • Aims and Scope
      • Abstracting and Indexing
      • Bibliographic Information
      • Archive
    • Biomedical Reports
      • Biomedical Reports
      • Information for Authors
      • Editorial Policies
      • Editorial Board
      • Aims and Scope
      • Abstracting and Indexing
      • Bibliographic Information
      • Archive
    • Oncology Reports
      • Oncology Reports
      • Information for Authors
      • Editorial Policies
      • Editorial Board
      • Aims and Scope
      • Abstracting and Indexing
      • Bibliographic Information
      • Archive
    • Molecular Medicine Reports
      • Molecular Medicine Reports
      • Information for Authors
      • Editorial Policies
      • Editorial Board
      • Aims and Scope
      • Abstracting and Indexing
      • Bibliographic Information
      • Archive
    • World Academy of Sciences Journal
      • World Academy of Sciences Journal
      • Information for Authors
      • Editorial Policies
      • Editorial Board
      • Aims and Scope
      • Abstracting and Indexing
      • Bibliographic Information
      • Archive
    • International Journal of Functional Nutrition
      • International Journal of Functional Nutrition
      • Information for Authors
      • Editorial Policies
      • Editorial Board
      • Aims and Scope
      • Abstracting and Indexing
      • Bibliographic Information
      • Archive
    • International Journal of Epigenetics
      • International Journal of Epigenetics
      • Information for Authors
      • Editorial Policies
      • Editorial Board
      • Aims and Scope
      • Abstracting and Indexing
      • Bibliographic Information
      • Archive
    • Medicine International
      • Medicine International
      • Information for Authors
      • Editorial Policies
      • Editorial Board
      • Aims and Scope
      • Abstracting and Indexing
      • Bibliographic Information
      • Archive
  • Articles
  • Information
    • Information for Authors
    • Information for Reviewers
    • Information for Librarians
    • Information for Advertisers
    • Conferences
  • Language Editing
Spandidos Publications Logo
  • About
    • About Spandidos
    • Aims and Scopes
    • Abstracting and Indexing
    • Editorial Policies
    • Reprints and Permissions
    • Job Opportunities
    • Terms and Conditions
    • Contact
  • Journals
    • All Journals
    • Biomedical Reports
      • Information for Authors
      • Editorial Policies
      • Editorial Board
      • Aims and Scope
      • Abstracting and Indexing
      • Bibliographic Information
      • Archive
    • Experimental and Therapeutic Medicine
      • Information for Authors
      • Editorial Policies
      • Editorial Board
      • Aims and Scope
      • Abstracting and Indexing
      • Bibliographic Information
      • Archive
    • International Journal of Epigenetics
      • Information for Authors
      • Editorial Policies
      • Editorial Board
      • Aims and Scope
      • Abstracting and Indexing
      • Bibliographic Information
      • Archive
    • International Journal of Functional Nutrition
      • Information for Authors
      • Editorial Policies
      • Editorial Board
      • Aims and Scope
      • Abstracting and Indexing
      • Bibliographic Information
      • Archive
    • International Journal of Molecular Medicine
      • Information for Authors
      • Editorial Policies
      • Editorial Board
      • Aims and Scope
      • Abstracting and Indexing
      • Bibliographic Information
      • Archive
    • International Journal of Oncology
      • Information for Authors
      • Editorial Policies
      • Editorial Board
      • Aims and Scope
      • Abstracting and Indexing
      • Bibliographic Information
      • Archive
    • Medicine International
      • Information for Authors
      • Editorial Policies
      • Editorial Board
      • Aims and Scope
      • Abstracting and Indexing
      • Bibliographic Information
      • Archive
    • Molecular and Clinical Oncology
      • Information for Authors
      • Editorial Policies
      • Editorial Board
      • Aims and Scope
      • Abstracting and Indexing
      • Bibliographic Information
      • Archive
    • Molecular Medicine Reports
      • Information for Authors
      • Editorial Policies
      • Editorial Board
      • Aims and Scope
      • Abstracting and Indexing
      • Bibliographic Information
      • Archive
    • Oncology Letters
      • Information for Authors
      • Editorial Policies
      • Editorial Board
      • Aims and Scope
      • Abstracting and Indexing
      • Bibliographic Information
      • Archive
    • Oncology Reports
      • Information for Authors
      • Editorial Policies
      • Editorial Board
      • Aims and Scope
      • Abstracting and Indexing
      • Bibliographic Information
      • Archive
    • World Academy of Sciences Journal
      • Information for Authors
      • Editorial Policies
      • Editorial Board
      • Aims and Scope
      • Abstracting and Indexing
      • Bibliographic Information
      • Archive
  • Articles
  • Information
    • For Authors
    • For Reviewers
    • For Librarians
    • For Advertisers
    • Conferences
  • Language Editing
Login Register Submit
  • This site uses cookies
  • You can change your cookie settings at any time by following the instructions in our Cookie Policy. To find out more, you may read our Privacy Policy.

    I agree
Search articles by DOI, keyword, author or affiliation
Search
Advanced Search
presentation
Medicine International
Join Editorial Board Propose a Special Issue
Print ISSN: 2754-3242 Online ISSN: 2754-1304
Journal Cover
January-February 2026 Volume 6 Issue 1

Full Size Image

Sign up for eToc alerts
Recommend to Library

Journals

International Journal of Molecular Medicine

International Journal of Molecular Medicine

International Journal of Molecular Medicine is an international journal devoted to molecular mechanisms of human disease.

International Journal of Oncology

International Journal of Oncology

International Journal of Oncology is an international journal devoted to oncology research and cancer treatment.

Molecular Medicine Reports

Molecular Medicine Reports

Covers molecular medicine topics such as pharmacology, pathology, genetics, neuroscience, infectious diseases, molecular cardiology, and molecular surgery.

Oncology Reports

Oncology Reports

Oncology Reports is an international journal devoted to fundamental and applied research in Oncology.

Experimental and Therapeutic Medicine

Experimental and Therapeutic Medicine

Experimental and Therapeutic Medicine is an international journal devoted to laboratory and clinical medicine.

Oncology Letters

Oncology Letters

Oncology Letters is an international journal devoted to Experimental and Clinical Oncology.

Biomedical Reports

Biomedical Reports

Explores a wide range of biological and medical fields, including pharmacology, genetics, microbiology, neuroscience, and molecular cardiology.

Molecular and Clinical Oncology

Molecular and Clinical Oncology

International journal addressing all aspects of oncology research, from tumorigenesis and oncogenes to chemotherapy and metastasis.

World Academy of Sciences Journal

World Academy of Sciences Journal

Multidisciplinary open-access journal spanning biochemistry, genetics, neuroscience, environmental health, and synthetic biology.

International Journal of Functional Nutrition

International Journal of Functional Nutrition

Open-access journal combining biochemistry, pharmacology, immunology, and genetics to advance health through functional nutrition.

International Journal of Epigenetics

International Journal of Epigenetics

Publishes open-access research on using epigenetics to advance understanding and treatment of human disease.

Medicine International

Medicine International

An International Open Access Journal Devoted to General Medicine.

Journal Cover
January-February 2026 Volume 6 Issue 1

Full Size Image

Sign up for eToc alerts
Recommend to Library

  • Article
  • Citations
    • Cite This Article
    • Download Citation
    • Create Citation Alert
    • Remove Citation Alert
    • Cited By
  • Similar Articles
    • Related Articles (in Spandidos Publications)
    • Similar Articles (Google Scholar)
    • Similar Articles (PubMed)
  • Download PDF
  • Download XML
  • View XML
Case Report Open Access

Melkersson‑Rosenthal syndrome with facial swelling and palsy and associated diagnostic challenges: A case report

  • Authors:
    • Alina Teresa Sánchez Vázquez
    • Anahí Parcero Tamay
    • María J. Calvo Domínguez
    • Martha Patricia Pacheco Arenas
    • Valeria Iuxely Medrano Pichardo
  • View Affiliations / Copyright

    Affiliations: Department of Internal Medicine, ‘Dr. Belisario Domínguez’ General Hospital ISSSTE, Tuxtla Gutiérrez, Chiapas 29040, Mexico, Department of Pediatrics, High Specialty Regional Hospital of Zumpango, Zumpango de Ocampo 55600, Mexico, Department of Medicine, Clínica Hospital ISSSTE Río Bravo, Ciudad Río Bravo, Tamaulipas 88970, Mexico
    Copyright: © Sánchez Vázquez et al. This is an open access article distributed under the terms of Creative Commons Attribution License [CC BY 4.0].
  • Article Number: 10
    |
    Published online on: December 31, 2025
       https://doi.org/10.3892/mi.2025.294
  • Expand metrics +
Metrics: Total Views: 0 (Spandidos Publications: | PMC Statistics: )
Metrics: Total PDF Downloads: 0 (Spandidos Publications: | PMC Statistics: )
Cited By (CrossRef): 0 citations Loading Articles...

This article is mentioned in:


Abstract

Melkersson‑Rosenthal syndrome (MRS) is a rare neuro‑mucocutaneous disorder characterized by recurrent orofacial edema, peripheral facial palsy and a fissured tongue, although the complete triad is rarely observed. The present study reports the case of a 22‑year‑old male patient who initially presented with facial paralysis, later developing cheek edema, dermatosis and systemic symptoms; the histopathological findings consistent with granulomatous cheilitis. Laboratory analyses revealed a low C1q level and positive antinuclear antibody. Based on clinical and biopsy findings, MRS was diagnosed. The patient responded well to a 6‑month regimen of deflazacort, epinastine and methotrexate. On the whole, the present case report illustrates an incomplete, yet clinically significant form of MRS. Diagnosis is primarily clinical, supported by histology and exclusion of similar conditions. Treatment focuses on symptom control with corticosteroids; immunomodulators or biologics may be used in refractory cases. Early recognition is essential, even in the absence of the full triad.

Introduction

Melkersson-Rosenthal syndrome (MRS) is a rare neuro-mucocutaneous disorder characterized by a clinical triad consisting of recurrent orofacial edema, peripheral facial paralysis and a fissured tongue (1). However, the complete triad is observed in only 8 to 25% of cases, with monosymptomatic presentations being more common. Among these, orofacial edema is the predominant manifestation, occurring in ~80% of patients (2). The estimated prevalence of MRS is <0.1% in the general population. It is most frequently diagnosed in the second and third decades of life, and its occurrence during childhood or in older adults is exceptional (3). Pathophysiology remains poorly understood, although proposed mechanisms include an autosomal dominant inheritance with variable penetrance, along with possible contributions from immunologic, infectious, or allergic factors (4).

Diagnosis is primarily clinical and relies on identifying the characteristic signs, while excluding other causes of recurrent facial edema and facial palsy. In cases with atypical or incomplete presentations, the biopsy of affected tissues may be useful, often revealing a non-caseating granulomatous inflammatory infiltrate consistent with granulomatous cheilitis. However, these findings are not pathognomonic, and their absence does not rule out the diagnosis (5).

The management of MRS focuses on symptom control. Systemic or intralesional corticosteroids are the mainstay for treating acute episodes, providing favorable outcomes in reducing edema and facial palsy. In chronic or refractory cases, immunosuppressive agents such as methotrexate, azathioprine, or even biological therapies targeting tumor necrosis factor (anti-TNF) have been proposed. Surgical intervention may also be considered for patients with persistent lip edema or severe facial dysfunction unresponsive to medical therapy (6).

Given the broad clinical spectrum of MRS and the fact that the majority of patients do not present with the complete triad of symptoms, reporting atypical or incomplete cases is crucial to improving clinical recognition. These cases highlight the diagnostic challenges posed by overlapping symptoms with infectious, allergic, or autoimmune conditions and underscore the importance of a thorough differential diagnosis.

In this context, the present study reports the case of a 22-year-old male patient with facial swelling and palsy, whose diagnosis of MRS was particularly challenging due to the presence of systemic symptoms, such as fever and the absence of the classic fissured tongue. The present case report aimed to emphasize the atypical nature of the presentation, discuss the diagnostic difficulties, and provide educational value for clinicians who may encounter similar scenarios.

Case report

The present study describes the case of a 22-year-old male patient from Tuxtla Gutiérrez, Chiapas, Mexico. The patient was a university student with no relevant medical history, who experienced a first episode of left-sided facial paralysis in June, 2022. He was treated at 'Dr. Belisario Domínguez’ General Hospital ISSSTE, Tuxtla Gutiérrez, Chiapas, Mexico with prednisone (5 mg) and antihistamines, exhibiting a favorable response. In November, 2022, he developed dermatosis characterized by edema of the right cheek, which progressively extended to the remainder of his face (Fig. 1). This was accompanied by intermittent fever reaching up to 38˚C, predominantly in the late afternoon and evening, which was resolved with antipyretics. The patient also reported unintentional weight loss and alopecia.

Clinical images illustrating the
presentation and progression in a patient with Melkersson-Rosenthal
syndrome. (A) Facial dermatosis characterized by localized facial
edema at initial consultation. (B) Clinical improvement with
visible reduction of edema after six months of treatment with
methotrexate. (C) Presence of fissures on the lateral borders of
the tongue (black circle).

Figure 1

Clinical images illustrating the presentation and progression in a patient with Melkersson-Rosenthal syndrome. (A) Facial dermatosis characterized by localized facial edema at initial consultation. (B) Clinical improvement with visible reduction of edema after six months of treatment with methotrexate. (C) Presence of fissures on the lateral borders of the tongue (black circle).

The diagnostic evaluation began in March, 2023. Laboratory tests revealed decreased C1q complement levels (54.3 mg/dl) and positive antinuclear antibody (ANA) with a titer of 1:80 and a cytoplasmic reticular immunofluorescence pattern. Anti-double-stranded DNA, anti-Ro, anti-La and ANCA antibodies were negative. In December, 2023, a biopsy of the lower lip mucosa was performed. A histological evaluation was performed on formalin-fixed, paraffin-embedded tissue sections of the lip mucosa. The samples were sectioned at a thickness of 4 µm, mounted on positively charged glass slides (Superfrost™ Plus, Thermo Fisher Scientific, Inc.) and dried overnight at 37˚C. The sections were then deparaffinized in xylene (cat. no. 534056, MilliporeSigma) and rehydrated through a graded ethanol series (100, 95 and 70%) to distilled water. Routine hematoxylin and eosin (H&E) staining was performed using Mayer's hematoxylin (cat. no. 1.09249.0500, Merck KGaA) and eosin Y alcoholic solution (cat. no. E4382, MilliporeSigma). The slides were subsequently dehydrated in ascending ethanol concentrations, cleared in xylene and mounted with synthetic resin (cat. no. 1.07961.0100, Entellan™ New, Merck KGaA).

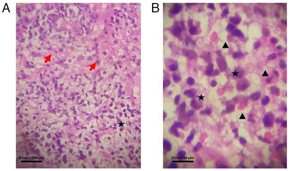
No immunohistochemical staining was applied to this specimen. Histopathological analysis revealed moderate irregular acanthosis, focal hydropic degeneration of the basal layer, and a dense mixed inflammatory infiltrate composed of lymphocytes, histiocytes, neutrophils and plasma cells, along with dilated and congested blood vessels (Fig. 2).

Histopathological findings of lower
lip mucosa biopsy in Melkersson-Rosenthal syndrome. (A) Moderate
irregular acanthosis (red arrows) and focal hydropic degeneration
of the basal layer (black star) (magnification, x10). (B)
Inflammatory infiltrate composed of lymphocytes, histiocytes,
neutrophils and plasma cells, focal hydropic degeneration of the
basal layer (black star) and mixed inflammatory infiltrate (black
arrowhead) and dilated, congested blood vessels (magnification,
x40).

Figure 2

Histopathological findings of lower lip mucosa biopsy in Melkersson-Rosenthal syndrome. (A) Moderate irregular acanthosis (red arrows) and focal hydropic degeneration of the basal layer (black star) (magnification, x10). (B) Inflammatory infiltrate composed of lymphocytes, histiocytes, neutrophils and plasma cells, focal hydropic degeneration of the basal layer (black star) and mixed inflammatory infiltrate (black arrowhead) and dilated, congested blood vessels (magnification, x40).

Based on the clinical presentation and histopathological findings, a diagnosis of MRS was established. Treatment was initiated in January, 2024 with deflazacort at 12 mg/day, epinastine at 20 mg/day and methotrexate at 10 mg/week for 6 months, resulting in a marked clinical improvement of the dermatosis without any side-effects (Fig. 1B).

Discussion

The present study describes the case of a young male patient with a history of unilateral facial paralysis who subsequently developed persistent facial edema; the histopathological findings consistent with granulomatous cheilitis, and favorable clinical improvement following treatment with corticosteroids and immunomodulators. These elements led to the diagnosis of MRS, a rare condition whose incomplete presentation may hinder timely recognition.

MRS is an uncommon neuro-mucocutaneous disorder characterized by the classic triad of recurrent orofacial edema, peripheral facial palsy and fissured tongue. Although it can occur at any age, it is most prevalent between the second and fourth decades of life, with a 2:1 female predominance (X-5). Pediatric cases are rare, but have been reported in children between 7 and 12 years of age. The overall incidence in the general population is estimated to be approximately 0.08% (7).

The etiology of MRS remains unclear, although several predisposing factors have been proposed. Infectious agents, such as Epstein-Barr virus, cytomegalovirus and SARS-CoV-2 have been implicated, along with bacteria such as Mycobacterium tuberculosis. Associations have also been described with atopy, food allergies, exposure to environmental antigens and hypersensitivity reactions to monosodium glutamate; however, conclusive evidence of causality is lacking (8,9). Dysregulated immune responses are also considered relevant (10,11).

Clinically, MRS may present in complete or partial forms. The classic triad of symptoms is present in only 8 to 18% of cases. The most common manifestation is recurrent orofacial edema, typically painless, unilateral, and most frequently affecting the upper lip. Edema may extend to the cheeks, palate, tongue, gums, periorbital region, pharynx, or larynx (12). Facial palsy occurs in 50 to 90% of cases and is generally unilateral and transient, while a fissured tongue is observed in up to 40% of patients (13-15).

The diagnosis of MRS poses a clinical challenge due to the absence of standardized diagnostic criteria or specific biomarkers. Diagnosis is primarily clinical, based on the recognition of characteristic signs and exclusion of other conditions with similar symptoms. Biopsy may be useful in atypical or incomplete cases. In the early stages, histological findings are often non-specific, featuring edema and a mixed inflammatory infiltrate. In advanced stages, non-caseating granulomas may be observed, such as those observed in sarcoidosis or Crohn's disease (16).

In the patient described herein, the presence of fever and the absence of fissured tongue complicated the diagnostic process, as systemic symptoms such as fever are rarely reported in MRS. This required a careful differential diagnosis, including infectious etiologies, such as bacterial abscesses, viral reactivations and Hansen's disease, as well as non-infectious causes such as sarcoidosis, angioedema, Crohn's disease and lymphoproliferative disorders. Ultimately, the combination of persistent orofacial edema, recurrent facial palsy and histopathological features consistent with granulomatous cheilitis supported the diagnosis of MRS.

The differential diagnosis is broad and should include hereditary or acquired angioedema, Hansen's disease, sarcoidosis, dental absences, lymphomas, trauma and other granulomatous disorders, such as Wegener's granulomatosis, amyloidosis, specific infections, or foreign body reactions (17). There is no standardized treatment for MRS; management focuses on symptom control. Systemic or intralesional corticosteroids remain the cornerstone of therapy, with recommended courses lasting 3 to 6 weeks using prednisone or triamcinolone in combination with antihistamines (18). Antibiotics may be indicated in cases with bacterial superinfection. Immunomodulatory agents such as azathioprine, methotrexate, thalidomide, tacrolimus and antimalarials such as chloroquine have exhibited efficacy in refractory cases (19). Biological therapies such as infliximab or adalimumab (anti-TNF-α) have also demonstrated benefit. Physical therapy may help preserve muscular function in patients with facial paralysis. In most cases, facial palsy is resolved spontaneously within approximately three weeks. Reconstructive surgery is reserved for cases with persistent or refractory edema, while surgical decompression of the facial nerve may be considered in selected cases when compression is presumed to be the underlying mechanism (12).

In the patient in the present study, corticosteroid therapy led to clinical improvement; however, methotrexate was introduced as a steroid-sparing agent to minimize the risks of long-term corticosteroid exposure. Although methotrexate is not universally required in MRS, its use has been supported in recurrent or persistent cases, and previous reports describe its efficacy as part of immunomodulatory therapy (20-22). This rationale guided the therapeutic decision for the present case.

Compared with previous case reports, the novelty of the present case report lies in the atypical presentation, particularly the association with systemic symptoms (fever), an incomplete clinical triad and inconclusive early histopathology. By highlighting these features, the present case report adds educational value for clinicians and underscores the need to consider MRS even in patients who do not fully meet the classic diagnostic triad (23).

The present case report has several limitations which should be mentioned. First, the absence of long-term follow-up data precludes evaluation of recurrence patterns, sustained treatment response, and potential late complications. Second, as with all single-patient case reports, the findings cannot be generalized, and causality between clinical manifestations and therapeutic outcomes cannot be firmly established. Finally, histopathological findings in this case were not pathognomonic, which reflects the inherent diagnostic uncertainty in atypical forms of MRS. Despite these limitations, the present case report underscores the importance of documenting incomplete or unusual presentations of MRS, particularly those associated with systemic symptoms such as fever, which are rarely described in the literature. From a clinical perspective, the present case report highlights the need for heightened awareness of diagnostic challenges and for careful differential diagnosis in patients presenting with orofacial edema and facial palsy (24,25). Future research is required to focus on larger case series or prospective registries to better characterize the full clinical spectrum of MRS, identify reliable diagnostic biomarkers, and evaluate the long-term efficacy and safety of different therapeutic strategies, including corticosteroid-sparing immunomodulators such as methotrexate.

In conclusion, the present case report highlights the importance of including MRS in the differential diagnosis of recurrent facial paralysis and persistent orofacial edema, even in the absence of the complete triad of symptoms. A histopathological evaluation and a comprehensive clinical approach are essential for timely diagnosis and appropriate management. Documenting atypical cases such as the one presented herein contributes to a broader understanding of this rare condition and may facilitate its recognition in unconventional clinical scenarios.

Acknowledgements

The authors would like to sincerely thank Dr María José Calvo Domínguez, from ‘'Dr. Belisario Domínguez’ General Hospital ISSSTE, Tuxtla Gutiérrez, Chiapas, Mexico, for her invaluable support and guidance during the preparation of this manuscript. Her generosity in sharing her expertise and insights was instrumental to the development of this work.

Funding

Funding: No funding was received.

Availability of data and materials

The data generated in the present study may be requested from the corresponding author.

Authors' contributions

ATSV was the main contributor to the conception of the study as well as to the literature search for related studies. APT, MJCD, MPPA and VIMP were involved in the literature review, in the writing of the manuscript, and in the analysis and interpretation of the patient´s data. All authors confirm the authenticity of all the raw data. All authors have read and approved the final manuscript.

Ethics approval and consent for participation

The present study was performed in accordance with the ethical standards of the Declaration of Helsinki 1964. The patient provided written informed consent for his participation in the present case report.

Patient consent for publication

The patient provided written informed consent for the publication of the present case report and all accompanying images, including those that contain potentially identifiable features.

Competing interests

The authors declare that they have no competing interests.

References

1 

Lin TY, Chiang CH and Cheng PS: Melkersson-Rosenthal syndrome. J Formos Med Assoc. 115:583–584. 2016.PubMed/NCBI View Article : Google Scholar

2 

Cancian M, Giovannini S, Angelini A, Fedrigo M, Bendo R, Senter R and Sivolella S: Melkersson-Rosenthal syndrome: A case report of a rare disease with overlapping features. Allergy Asthma Clin Immunol. 15(1)2019.PubMed/NCBI View Article : Google Scholar

3 

Dhawan SR, Saini AG and Singhi PD: Management strategies of Melkersson-Rosenthal syndrome: A review. Int J Gen Med. 13:61–65. 2020.PubMed/NCBI View Article : Google Scholar

4 

Carolino F, Fernandes M and Plácido JL: Melkersson-Rosenthal syndrome-delay in the diagnosis of an early-onset oligosymptomatic variant. Porto Biomed J. 1:43–45. 2016.PubMed/NCBI View Article : Google Scholar

5 

Wehl G and Rauchenzauner M: A systematic review of the literature of the three related disease entities cheilitis granulomatosa, orofacial granulomatosis and Melkersson-Rosenthal syndrome. Curr Pediatr Rev. 14:196–203. 2018.PubMed/NCBI View Article : Google Scholar

6 

Zewde YZ: Melkersson-Rosenthal syndrome misdiagnosed as recurrent Bell's palsy: A case report and review of literature. Allergy Asthma Clin Immunol. 17(8)2021.PubMed/NCBI View Article : Google Scholar

7 

Mansour M, Mahmoud MB, A Kacem, Zaouali J and Mrissa R: Melkersson-Rosenthal syndrome: About a Tunisian family and review of the literature. Clin Neurol Neurosurg. 185(105457)2019.PubMed/NCBI View Article : Google Scholar

8 

Apaydin R, Bilen N, Bayramgürler D, Efendi H and Vahaboğlu H: Detection of Mycobacterium tuberculosis DNA in a patient with Melkersson-Rosenthal syndrome using polymerase chain reaction. Br J Dermatol. 142:1251–1252. 2000.PubMed/NCBI View Article : Google Scholar

9 

Taşlıdere B, Mehmetaj L, Özcan AB, Gülen B and Taşlıdere N: Melkersson-Rosenthal syndrome induced by COVID-19. Am J Emerg Med. 41:262.e5–262.e7. 2021.PubMed/NCBI View Article : Google Scholar

10 

Ibrahim A, Ibrahim M, Al Adawi M, Oweis L and Bahou Y: Think Melkersson-Rosenthal syndrome: A fissured tongue with facial paralysis. Cureus. 12(e9480)2020.PubMed/NCBI View Article : Google Scholar

11 

Pei Y, Beaman GM, Mansfield D, Clayton-Smith J, Stewart M and Newman WG: Clinical and genetic heterogeneity in Melkersson-Rosenthal syndrome. Eur J Med Genet. 62(103536)2019.PubMed/NCBI View Article : Google Scholar

12 

Alencar TN, Botelho MM, Carasek N and Bahmad F: Surgical treatment outcome for familial Melkersson-Rosenthal syndrome. Am J Case Rep. 24(e938670)2023.PubMed/NCBI View Article : Google Scholar

13 

Sharma DR, Resident S, Mohan C, Minnas RS, Mohindroo NK and Sharma ML: Melkersson-Rosenthal syndrome. Indian J Otolaryngol Head Neck Surg. 51:30–31. 1999.PubMed/NCBI View Article : Google Scholar

14 

Giudici N, Bianchetti MG, Ramelli GP and Milani GP: Recurrent episodes of peripheral facial nerve palsy and fissured tongue. J Paediatr Child Health. 53(609)2017.PubMed/NCBI View Article : Google Scholar

15 

Jasinska D and Boczon J: Melkersson-Rosenthal syndrome as an early manifestation of mixed connective tissue disease. Eur J Med Res. 20(100)2015.PubMed/NCBI View Article : Google Scholar

16 

Luo X, Wang J, Zeng X and Kuang W: Research progress on Melkersson-Rosenthal syndrome. Zhejiang Da Xue Xue Bao Yi Xue Ban. 50:148–154. 2021.PubMed/NCBI View Article : Google Scholar

17 

Gavioli CFB, Cidade Y da SA, Florezi GP, Lourenço SV and Nico MMS: Melkersson-Rosenthal syndrome in children and adolescents: A series of seven cases. An Bras Dermatol. 97:676–681. 2022.PubMed/NCBI View Article : Google Scholar

18 

Wu A, Zhang Y, Cao W, Wang X, Song Z, Jaspers RT, Chen L, Pathak JL and Zhang Q: A case of Melkersson-Rosenthal syndrome with temporomandibular joint osteoarthritis: Multidisciplinary treatment and autoimmune etiological hypothesis. BMC Oral Health. 24(935)2024.PubMed/NCBI View Article : Google Scholar

19 

Pathania YS: Current treatment modalities in granulomatous cheilitis. Int J Dermatol. 61:755–759. 2022.PubMed/NCBI View Article : Google Scholar

20 

Chan J: Methotrexate for the treatment of Corticosteroid-dependent asthma. Can J Hosp Pharmacy. 42:39–40. 1989.

21 

Coffey MJ, Sanders G, Eschenbacher WL, Tsien A, Ramesh S, Weber RW, Toews GB and McCune WJ: The role of methotrexate in the management of steroid-dependent asthma. Chest. 105:117–121. 1994.PubMed/NCBI View Article : Google Scholar

22 

Davies H, Olson L and Gibson PG: Methotrexate as a steroid sparing agent for asthma in adults. Cochrane Database Syst Rev. 1998(CD000391)2000.PubMed/NCBI View Article : Google Scholar

23 

Dixit A: Melkersson-Rosenthal syndrome associated with anti-RNP positive undifferentiated connective tissue disease in a young female: Case report and review of literature. Egypt J Intern Med. 37(109)2025.

24 

Elendu C, Osamuyi EI, Afolayan IA, Opara NC, Chinedu-Anunaso NA, Okoro CB, Nwankwo AU, Ezidiegwu DO, Anunaso CA, Ogbu CC, et al: Clinical presentation and symptomatology of Guillain-Barré syndrome: A literature review. Medicine (Baltimore). 103(e38890)2024.PubMed/NCBI View Article : Google Scholar

25 

Mohammadi K, Faramarzi S, Yaribash S, Valizadeh Z, Rajabi E, Ghavam M, Samiee R, Karim B, Salehi M, Seifi A and Shafaati M: Human metapneumovirus (hMPV) in 2025: Emerging trends and insights from community and hospital-based respiratory panel analyses-a comprehensive review. Virol J. 22(150)2025.PubMed/NCBI View Article : Google Scholar

Related Articles

  • Abstract
  • View
  • Download
Copy and paste a formatted citation
Spandidos Publications style
Sánchez Vázquez AT, Tamay A, Calvo Domínguez MJ, Pacheco Arenas MP and Medrano Pichardo VI: Melkersson‑Rosenthal syndrome with facial swelling and palsy and associated diagnostic challenges: A case report. Med Int 6: 10, 2026.
APA
Sánchez Vázquez, A.T., Tamay, A., Calvo Domínguez, M.J., Pacheco Arenas, M.P., & Medrano Pichardo, V.I. (2026). Melkersson‑Rosenthal syndrome with facial swelling and palsy and associated diagnostic challenges: A case report. Medicine International, 6, 10. https://doi.org/10.3892/mi.2025.294
MLA
Sánchez Vázquez, A. T., Tamay, A., Calvo Domínguez, M. J., Pacheco Arenas, M. P., Medrano Pichardo, V. I."Melkersson‑Rosenthal syndrome with facial swelling and palsy and associated diagnostic challenges: A case report". Medicine International 6.1 (2026): 10.
Chicago
Sánchez Vázquez, A. T., Tamay, A., Calvo Domínguez, M. J., Pacheco Arenas, M. P., Medrano Pichardo, V. I."Melkersson‑Rosenthal syndrome with facial swelling and palsy and associated diagnostic challenges: A case report". Medicine International 6, no. 1 (2026): 10. https://doi.org/10.3892/mi.2025.294
Copy and paste a formatted citation
x
Spandidos Publications style
Sánchez Vázquez AT, Tamay A, Calvo Domínguez MJ, Pacheco Arenas MP and Medrano Pichardo VI: Melkersson‑Rosenthal syndrome with facial swelling and palsy and associated diagnostic challenges: A case report. Med Int 6: 10, 2026.
APA
Sánchez Vázquez, A.T., Tamay, A., Calvo Domínguez, M.J., Pacheco Arenas, M.P., & Medrano Pichardo, V.I. (2026). Melkersson‑Rosenthal syndrome with facial swelling and palsy and associated diagnostic challenges: A case report. Medicine International, 6, 10. https://doi.org/10.3892/mi.2025.294
MLA
Sánchez Vázquez, A. T., Tamay, A., Calvo Domínguez, M. J., Pacheco Arenas, M. P., Medrano Pichardo, V. I."Melkersson‑Rosenthal syndrome with facial swelling and palsy and associated diagnostic challenges: A case report". Medicine International 6.1 (2026): 10.
Chicago
Sánchez Vázquez, A. T., Tamay, A., Calvo Domínguez, M. J., Pacheco Arenas, M. P., Medrano Pichardo, V. I."Melkersson‑Rosenthal syndrome with facial swelling and palsy and associated diagnostic challenges: A case report". Medicine International 6, no. 1 (2026): 10. https://doi.org/10.3892/mi.2025.294
Follow us
  • Twitter
  • LinkedIn
  • Facebook
About
  • Spandidos Publications
  • Careers
  • Cookie Policy
  • Privacy Policy
How can we help?
  • Help
  • Live Chat
  • Contact
  • Email to our Support Team