Spandidos Publications Logo
  • About
    • About Spandidos
    • Aims and Scopes
    • Abstracting and Indexing
    • Editorial Policies
    • Reprints and Permissions
    • Job Opportunities
    • Terms and Conditions
    • Contact
  • Journals
    • All Journals
    • Oncology Letters
      • Oncology Letters
      • Information for Authors
      • Editorial Policies
      • Editorial Board
      • Aims and Scope
      • Abstracting and Indexing
      • Bibliographic Information
      • Archive
    • International Journal of Oncology
      • International Journal of Oncology
      • Information for Authors
      • Editorial Policies
      • Editorial Board
      • Aims and Scope
      • Abstracting and Indexing
      • Bibliographic Information
      • Archive
    • Molecular and Clinical Oncology
      • Molecular and Clinical Oncology
      • Information for Authors
      • Editorial Policies
      • Editorial Board
      • Aims and Scope
      • Abstracting and Indexing
      • Bibliographic Information
      • Archive
    • Experimental and Therapeutic Medicine
      • Experimental and Therapeutic Medicine
      • Information for Authors
      • Editorial Policies
      • Editorial Board
      • Aims and Scope
      • Abstracting and Indexing
      • Bibliographic Information
      • Archive
    • International Journal of Molecular Medicine
      • International Journal of Molecular Medicine
      • Information for Authors
      • Editorial Policies
      • Editorial Board
      • Aims and Scope
      • Abstracting and Indexing
      • Bibliographic Information
      • Archive
    • Biomedical Reports
      • Biomedical Reports
      • Information for Authors
      • Editorial Policies
      • Editorial Board
      • Aims and Scope
      • Abstracting and Indexing
      • Bibliographic Information
      • Archive
    • Oncology Reports
      • Oncology Reports
      • Information for Authors
      • Editorial Policies
      • Editorial Board
      • Aims and Scope
      • Abstracting and Indexing
      • Bibliographic Information
      • Archive
    • Molecular Medicine Reports
      • Molecular Medicine Reports
      • Information for Authors
      • Editorial Policies
      • Editorial Board
      • Aims and Scope
      • Abstracting and Indexing
      • Bibliographic Information
      • Archive
    • World Academy of Sciences Journal
      • World Academy of Sciences Journal
      • Information for Authors
      • Editorial Policies
      • Editorial Board
      • Aims and Scope
      • Abstracting and Indexing
      • Bibliographic Information
      • Archive
    • International Journal of Functional Nutrition
      • International Journal of Functional Nutrition
      • Information for Authors
      • Editorial Policies
      • Editorial Board
      • Aims and Scope
      • Abstracting and Indexing
      • Bibliographic Information
      • Archive
    • International Journal of Epigenetics
      • International Journal of Epigenetics
      • Information for Authors
      • Editorial Policies
      • Editorial Board
      • Aims and Scope
      • Abstracting and Indexing
      • Bibliographic Information
      • Archive
    • Medicine International
      • Medicine International
      • Information for Authors
      • Editorial Policies
      • Editorial Board
      • Aims and Scope
      • Abstracting and Indexing
      • Bibliographic Information
      • Archive
  • Articles
  • Information
    • Information for Authors
    • Information for Reviewers
    • Information for Librarians
    • Information for Advertisers
    • Conferences
  • Language Editing
Spandidos Publications Logo
  • About
    • About Spandidos
    • Aims and Scopes
    • Abstracting and Indexing
    • Editorial Policies
    • Reprints and Permissions
    • Job Opportunities
    • Terms and Conditions
    • Contact
  • Journals
    • All Journals
    • Biomedical Reports
      • Information for Authors
      • Editorial Policies
      • Editorial Board
      • Aims and Scope
      • Abstracting and Indexing
      • Bibliographic Information
      • Archive
    • Experimental and Therapeutic Medicine
      • Information for Authors
      • Editorial Policies
      • Editorial Board
      • Aims and Scope
      • Abstracting and Indexing
      • Bibliographic Information
      • Archive
    • International Journal of Epigenetics
      • Information for Authors
      • Editorial Policies
      • Editorial Board
      • Aims and Scope
      • Abstracting and Indexing
      • Bibliographic Information
      • Archive
    • International Journal of Functional Nutrition
      • Information for Authors
      • Editorial Policies
      • Editorial Board
      • Aims and Scope
      • Abstracting and Indexing
      • Bibliographic Information
      • Archive
    • International Journal of Molecular Medicine
      • Information for Authors
      • Editorial Policies
      • Editorial Board
      • Aims and Scope
      • Abstracting and Indexing
      • Bibliographic Information
      • Archive
    • International Journal of Oncology
      • Information for Authors
      • Editorial Policies
      • Editorial Board
      • Aims and Scope
      • Abstracting and Indexing
      • Bibliographic Information
      • Archive
    • Medicine International
      • Information for Authors
      • Editorial Policies
      • Editorial Board
      • Aims and Scope
      • Abstracting and Indexing
      • Bibliographic Information
      • Archive
    • Molecular and Clinical Oncology
      • Information for Authors
      • Editorial Policies
      • Editorial Board
      • Aims and Scope
      • Abstracting and Indexing
      • Bibliographic Information
      • Archive
    • Molecular Medicine Reports
      • Information for Authors
      • Editorial Policies
      • Editorial Board
      • Aims and Scope
      • Abstracting and Indexing
      • Bibliographic Information
      • Archive
    • Oncology Letters
      • Information for Authors
      • Editorial Policies
      • Editorial Board
      • Aims and Scope
      • Abstracting and Indexing
      • Bibliographic Information
      • Archive
    • Oncology Reports
      • Information for Authors
      • Editorial Policies
      • Editorial Board
      • Aims and Scope
      • Abstracting and Indexing
      • Bibliographic Information
      • Archive
    • World Academy of Sciences Journal
      • Information for Authors
      • Editorial Policies
      • Editorial Board
      • Aims and Scope
      • Abstracting and Indexing
      • Bibliographic Information
      • Archive
  • Articles
  • Information
    • For Authors
    • For Reviewers
    • For Librarians
    • For Advertisers
    • Conferences
  • Language Editing
Login Register Submit
  • This site uses cookies
  • You can change your cookie settings at any time by following the instructions in our Cookie Policy. To find out more, you may read our Privacy Policy.

    I agree
Search articles by DOI, keyword, author or affiliation
Search
Advanced Search
presentation
Medicine International
Join Editorial Board Propose a Special Issue
Print ISSN: 2754-3242 Online ISSN: 2754-1304
Journal Cover
January-February 2026 Volume 6 Issue 1

Full Size Image

Sign up for eToc alerts
Recommend to Library

Journals

International Journal of Molecular Medicine

International Journal of Molecular Medicine

International Journal of Molecular Medicine is an international journal devoted to molecular mechanisms of human disease.

International Journal of Oncology

International Journal of Oncology

International Journal of Oncology is an international journal devoted to oncology research and cancer treatment.

Molecular Medicine Reports

Molecular Medicine Reports

Covers molecular medicine topics such as pharmacology, pathology, genetics, neuroscience, infectious diseases, molecular cardiology, and molecular surgery.

Oncology Reports

Oncology Reports

Oncology Reports is an international journal devoted to fundamental and applied research in Oncology.

Experimental and Therapeutic Medicine

Experimental and Therapeutic Medicine

Experimental and Therapeutic Medicine is an international journal devoted to laboratory and clinical medicine.

Oncology Letters

Oncology Letters

Oncology Letters is an international journal devoted to Experimental and Clinical Oncology.

Biomedical Reports

Biomedical Reports

Explores a wide range of biological and medical fields, including pharmacology, genetics, microbiology, neuroscience, and molecular cardiology.

Molecular and Clinical Oncology

Molecular and Clinical Oncology

International journal addressing all aspects of oncology research, from tumorigenesis and oncogenes to chemotherapy and metastasis.

World Academy of Sciences Journal

World Academy of Sciences Journal

Multidisciplinary open-access journal spanning biochemistry, genetics, neuroscience, environmental health, and synthetic biology.

International Journal of Functional Nutrition

International Journal of Functional Nutrition

Open-access journal combining biochemistry, pharmacology, immunology, and genetics to advance health through functional nutrition.

International Journal of Epigenetics

International Journal of Epigenetics

Publishes open-access research on using epigenetics to advance understanding and treatment of human disease.

Medicine International

Medicine International

An International Open Access Journal Devoted to General Medicine.

Journal Cover
January-February 2026 Volume 6 Issue 1

Full Size Image

Sign up for eToc alerts
Recommend to Library

  • Article
  • Citations
    • Cite This Article
    • Download Citation
    • Create Citation Alert
    • Remove Citation Alert
    • Cited By
  • Similar Articles
    • Related Articles (in Spandidos Publications)
    • Similar Articles (Google Scholar)
    • Similar Articles (PubMed)
  • Download PDF
  • Download XML
  • View XML
Case Report Open Access

Multimodal treatment and tumour biology‑driven long‑term survival in PSC‑associated hilar cholangiocarcinoma: A case report

  • Authors:
    • Evangelia Florou
    • Michael Heneghan
    • Debashis Sarker
    • Parthi Srinivasan
    • Andreas Prachalias
  • View Affiliations / Copyright

    Affiliations: Institute of Liver Studies, Department of Hepato‑Pancreato‑Biliary Surgery, King's College Hospital, London SE5 9RS, UK, Institute of Liver Studies, Department of General Hepatology and Liver Transplantation, King's College Hospital London, London SE5 9RS, UK;, Institute of Liver Studies, Department of Oncology, King's College Hospital London, London SE5 9RS, UK, Hepato‑Pancreato‑Biliary Surgery and Liver Transplantation, London Bridge Hospital, London SE1 2PR, UK
    Copyright: © Florou et al. This is an open access article distributed under the terms of Creative Commons Attribution License [CC BY 4.0].
  • Article Number: 11
    |
    Published online on: January 9, 2026
       https://doi.org/10.3892/mi.2026.295
  • Expand metrics +
Metrics: Total Views: 0 (Spandidos Publications: | PMC Statistics: )
Metrics: Total PDF Downloads: 0 (Spandidos Publications: | PMC Statistics: )
Cited By (CrossRef): 0 citations Loading Articles...

This article is mentioned in:


Abstract

Primary sclerosing cholangitis (PSC) is a recognised risk factor for hilar cholangiocarcinoma (hCCA). In selected patients, neoadjuvant chemoradiotherapy followed by liver transplantation provides the optimal chance of long‑term survival. However, for the patient described in the present case report, at the time of the patient's treatment, the UK did not have an approved transplant programme for cholangiocarcinoma, and access to liver transplantation was limited, often necessitating upfront surgical resection despite its complexity and limited curative potential. The present study describes the case of a 52‑year‑old male patient with PSC who was diagnosed with hCCA and underwent an extended right hepatectomy. After 26 months, progressive liver dysfunction due to PSC‑related cirrhosis prompted liver transplantation, which was approved following a lengthy appeals process. Over the following years, the patient developed metastases in the bowel, lungs and abdominal wall, all of which were successfully managed with surgical resections. He remained disease‑free for 8 years following his initial diagnosis before developing intrahepatic recurrence. The tumour was HER2‑positive, and the compassionate use of zanidatamab was initiated following progression on standard therapies. At the time of the writing of the present case report, the patient remained alive 101 months following this initial diagnosis. On the whole, the present case report highlights the potential impact of tumour biology and multimodal treatment in PSC‑associated hCCA. The prolonged survival of the patient despite delayed transplant and metastatic recurrence suggests that PSC‑related hCCA may follow a more indolent course compared to de novo cases. Future efforts are required to focus on tumour profiling and stratified therapeutic approaches to better guide treatment in this complex disease.

Introduction

Hilar cholangiocarcinoma (hCCA) accounts for 50-60% of all cholangiocarcinomas (1,2). De novo hCCA is an aggressive malignancy, with 5-year survival rates of up to 40% in selected series, particularly when negative lymph node status and clear resection margins are achieved (1).

Primary sclerosing cholangitis (PSC) is a well-recognised risk factor for hCCA, with an annual incidence estimated between 0.2 and 1.5% following the diagnosis of PSC (3,4). Outcomes for hCCA arising in the context of PSC appear to differ markedly from de novo cases. In selected patients undergoing resection, the 5-year survival rate for PSC-associated hCCA may reach 60%, compared to 30-40% in the de novo group (1,3,5).

Further improvements in long-term survival have been achieved through the implementation of transplant-based protocols, most notably the Mayo Clinic protocol, which combines neoadjuvant chemoradiotherapy followed by liver transplantation (4,6). Of note, 10-year survival rates approaching 70% have been reported in carefully selected patients (3). However, challenges remain, namely strict selection criteria, dropout due to disease progression, false-positive diagnoses with no tumour in the explant, and increased vascular complications post-transplant due to prior chemoradiation (4).

Despite these advances, the UK did not have an approved liver transplant programme for cholangiocarcinoma at the time of the treatment of the patient described in the present case report, limiting access to transplant-based pathways. Organ shortage further restricts curative options in this patient population, and upfront surgical resection remains the mainstay of treatment, albeit with key technical challenges. Regardless of treatment modality, recurrence rates remain high, affecting ~50% of cases (3,4).

The present study describes a rare case of long-term survival in a patient with PSC-associated hCCA initially treated with extended liver resection. Liver transplantation was performed 2 years thereafter, an unorthodox point in the disease course. Despite multiple episodes of metastatic recurrence under immunosuppression, each was successfully managed. The case described herein highlights the potential importance of tumour biology in determining long-term outcomes in PSC-associated hCCA.

Case report

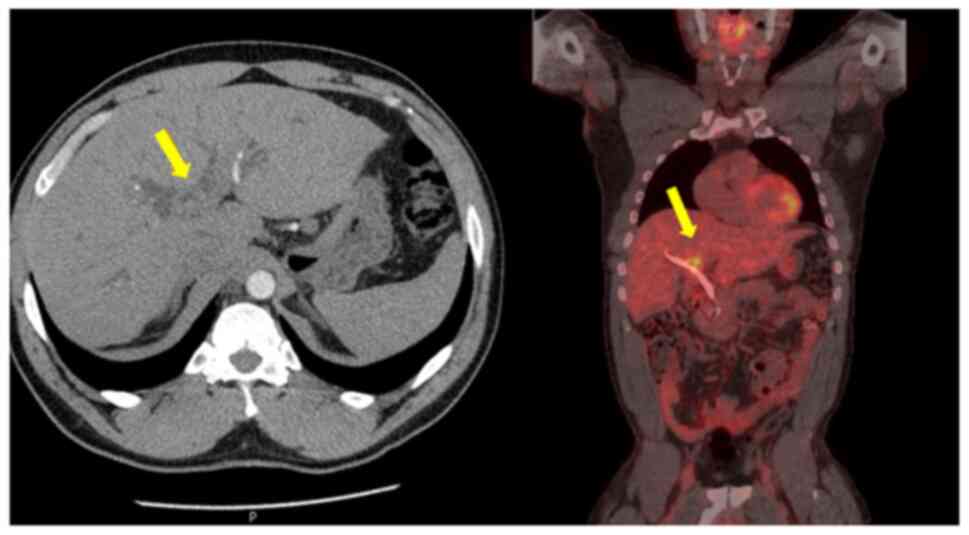
A 52-year-old male patient was diagnosed with PSC in 2015 at King s College Hospital (London, UK), confirmed by liver biopsy. He remained under regular surveillance by the hepatology team until April, 2017, when he presented with new-onset obstructive jaundice. Contrast-enhanced computed tomography (CT) revealed a hilar mass causing bilateral biliary dilation, and the working diagnosis was that of hCCA. After staging with fluorodeoxyglucose positron emission tomography (FDG-PET) and diagnostic laparoscopy, no evidence of metastatic disease was identified (Fig. 1). Portal vein embolization was performed to induce hypertrophy of the future liver remnant (FLR) in preparation for an extended right hepatectomy (ERH). Given the background of PSC, a 10-week interval was observed before repeat imaging, which demonstrated marginal FLR growth. The future liver remnant-to-body weight ratio (FLRBWR) was 0.42 at the time of surgery, corresponding to ~20% of total liver volume (Fig. 2).

Axial computed tomography image (left
panel) demonstrating bilateral intrahepatic biliary dilatation
secondary to a hilar cholangiocarcinoma (yellow arrow). Coronal
fluorodeoxyglucose positron emission tomography image (right panel)
illustrating intense metabolic activity at the liver hilum
corresponding to the hilar mass (yellow arrow). The image was
obtained in May, 2017.

Figure 1

Axial computed tomography image (left panel) demonstrating bilateral intrahepatic biliary dilatation secondary to a hilar cholangiocarcinoma (yellow arrow). Coronal fluorodeoxyglucose positron emission tomography image (right panel) illustrating intense metabolic activity at the liver hilum corresponding to the hilar mass (yellow arrow). The image was obtained in May, 2017.

Axial computed tomography image
demonstrating hypertrophy of the left lateral liver segment
following portal vein embolization, performed in preparation for an
extended right hepatectomy.

Figure 2

Axial computed tomography image demonstrating hypertrophy of the left lateral liver segment following portal vein embolization, performed in preparation for an extended right hepatectomy.

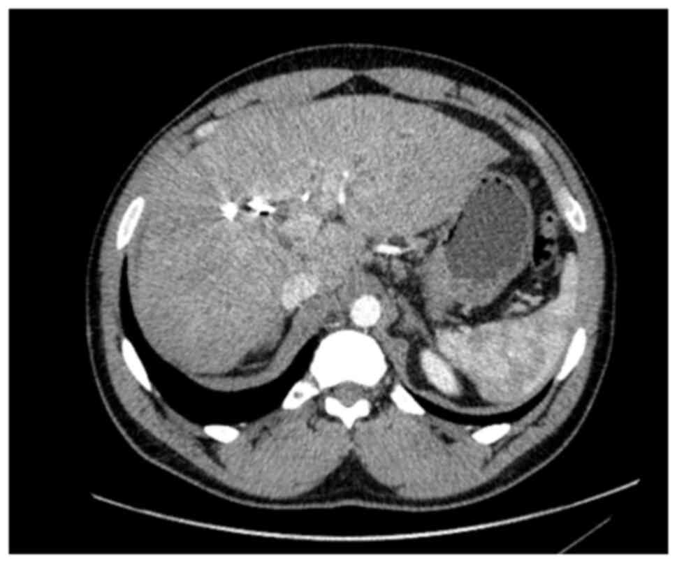
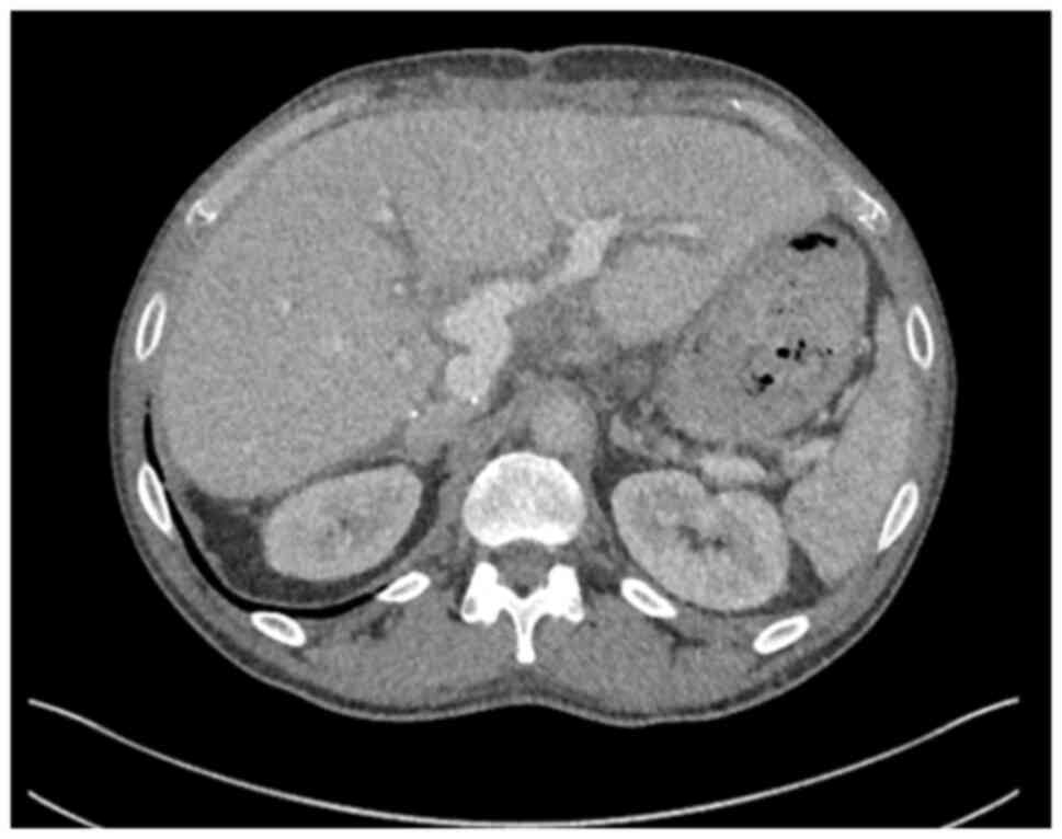
In September 2017, the patient underwent ERH with Roux-en-Y hepaticojejunostomy and regional lymphadenectomy. Intraoperative portal pressure measurements exceeded 17 mmHg, prompting portal flow modulation with splenic artery ligation to mitigate the risk of post-hepatectomy liver failure (PHLF). The gastroduodenal artery was also ligated. The patient developed PHLF grade B, according to ISGLS criteria (7), although he did not meet the 50:50 criteria (8), and recovered well post-operatively. Pre-operative CA 19-9 was 43 U/ml (Fig. 3).

Axial computed tomography image
illustrating the post-operative liver remnant following extended
right hepatectomy.

Figure 3

Axial computed tomography image illustrating the post-operative liver remnant following extended right hepatectomy.

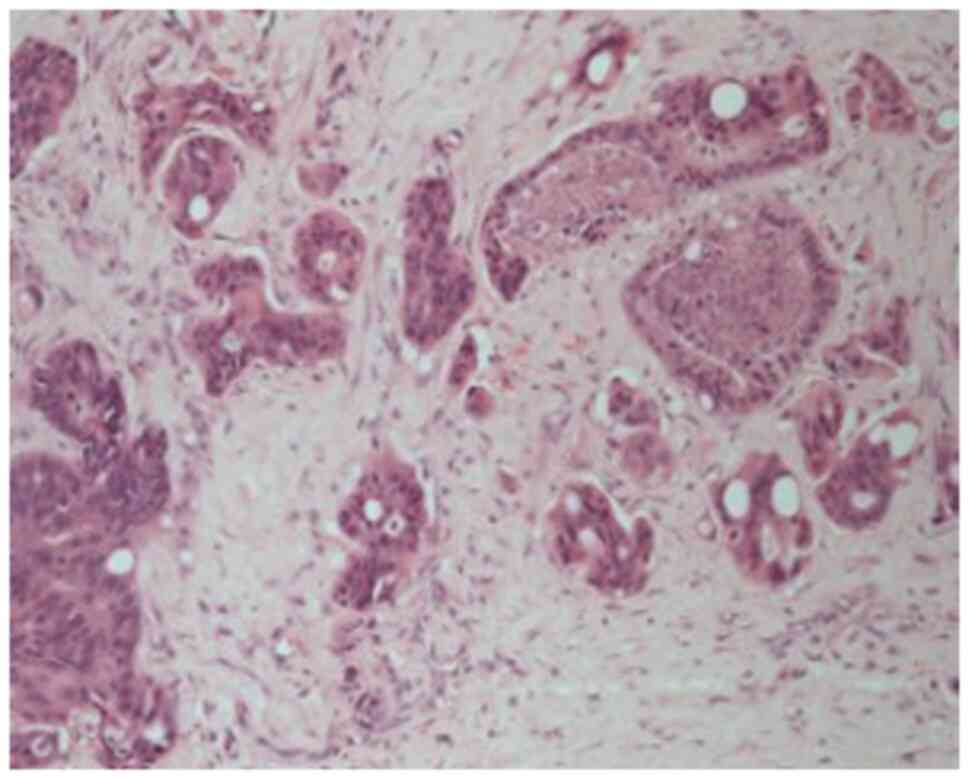
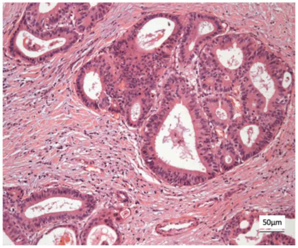
Histological analysis revealed a moderately differentiated perihilar cholangiocarcinoma measuring 21 mm, arising in the setting of biliary intraductal papillary neoplasm of the extrahepatic ducts (30 mm) on a background of severe PSC. Proximal, distal, and circumferential margins were negative for malignancy. Perineural (PN) and lymphovascular (LV) invasion were both present. Final pathological staging was pT2aN0 (0/14) PN1LV1R0 (Fig. 4). Fig. 4 depicts routine haematoxylin and eosin (H&E) staining performed by the Department of Histopathology at King s College Hospital. Sections were paraffin-embedded and cut at a standard diagnostic thickness of 3-4 µm. Fixation was performed in 10% neutral-buffered formalin at room temperature for a minimum of 24 h. A standard H&E stain was used, procured from established hospital suppliers under ISO-accredited protocols. Staining was carried out using automated staining systems under standard diagnostic laboratory conditions. Microscopic evaluation was performed using a Leica DM1000 microscope. These procedures are in accordance with institutional diagnostic protocols.

Haematoxylin and eosin staining
demonstrating a moderately differentiated tubular adenocarcinoma,
consistent with perihilar cholangiocarcinoma (original
magnification, x400; indicative scale bar, ~50 µm).

Figure 4

Haematoxylin and eosin staining demonstrating a moderately differentiated tubular adenocarcinoma, consistent with perihilar cholangiocarcinoma (original magnification, x400; indicative scale bar, ~50 µm).

Subsequently, the patient received two cycles of adjuvant capecitabine at 1,250 mg/m2 twice daily, administered on days 1-14 of a 21-day cycle. However, systemic therapy was discontinued in January, 2018 due to liver function deterioration. The patient remained disease-free on surveillance imaging for 18 months. He later developed progressive liver dysfunction and weight loss. Cross-sectional imaging revealed signs of progressive cholangiopathy and portal hypertension in addition to synthetic dysfunction. Given this, the patient underwent a successful appeal for listing and evaluation for liver transplantation.

In November, 2019, 26 months later, he underwent orthotopic liver transplantation using a whole liver graft from a brain-dead donor (cold ischemia time, 19 h) (Fig. 5). Intraoperatively, extensive adhesions involving the right colon resulted in a serosal tear requiring right hemicolectomy and temporary ileostomy.

Orthotopic liver transplantation using
a whole-liver graft from a brain-dead donor in 2019. The figure
depicts a post-operative computed tomography scan performed in
January, 2020, prior to discharge, after a long recovery from
surgery.

Figure 5

Orthotopic liver transplantation using a whole-liver graft from a brain-dead donor in 2019. The figure depicts a post-operative computed tomography scan performed in January, 2020, prior to discharge, after a long recovery from surgery.

A histopathological examination of the explanted liver revealed no evidence of residual hCCA. However, a 9-mm nodule on the serosal surface of the resected colon demonstrated histological features identical to the primary hCCA, confirming it as a metastatic deposit. This assessment was performed by the Department of Histopathology, King s College Hospital, using routine diagnostic protocols on formalin-fixed, paraffin-embedded tissue with standard haematoxylin and eosin (H&E) staining. Archived digital images of these slides are not available.

Following a prolonged recovery complicated by acute rejection, the patient was discharged in a stable condition. In February, 2020, following conversion to an mTOR-based immunosuppression regimen (9), he began treatment with adjuvant capecitabine at the standard BILCAP dose (1,250 mg/m2 twice daily, days 1-14 of a 21-day cycle) according to routine oncology protocols used for biliary tract cancers. However, treatment was interrupted after two cycles due to the COVID-19 pandemic. Surveillance imaging continued every 3 months.

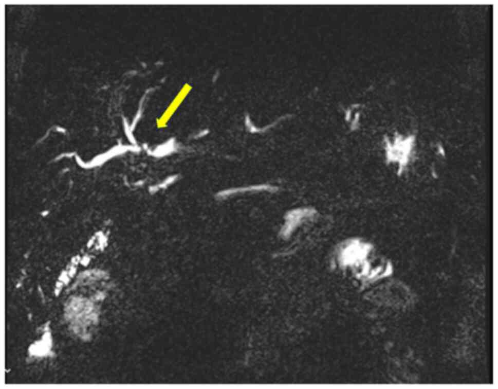
In March 2021, a new hilar stricture was identified in the liver graft. Magnetic resonance cholangiopancreatography and biopsy revealed features of ischemic cholangiopathy, possibly from prior rejection, although recurrent PSC could not be excluded (Fig. 6). FDG-PET revealed no evidence of disease recurrence. A suspected anastomotic stricture at the hepaticojejunostomy was treated with balloon dilation via percutaneous transhepatic cholangiography, leading to the resolution of liver function abnormalities. The ileostomy was reversed in March, 2022.

MRCP illustrating a new hilar
stricture at the hepaticojejunostomy (yellow arrow), consistent
with ischemic cholangiopathy in the liver graft (March, 2021). This
was treated with balloon dilation.

Figure 6

MRCP illustrating a new hilar stricture at the hepaticojejunostomy (yellow arrow), consistent with ischemic cholangiopathy in the liver graft (March, 2021). This was treated with balloon dilation.

The patient remained in a good condition clinically, although mild biochemical evidence of recurrent PSC was noted. In June, 2022, a solitary left lower lobe lung nodule was detected on surveillance imaging (Fig. 7). Wedge resection confirmed a 5-mm metastatic lesion from the original hCCA (pTisN0R0). The patient was commenced on capecitabine in November, 2022, typically administered at a dose of 1,250 mg/m2 twice daily on days 1-14 of a 21-day cycle. He completed seven cycles by April, 2023 with no observed toxicities.

Axial contrast-enhanced computed
tomography scan demonstrating a solitary pulmonary nodule in the
left lower lobe, identified on routine surveillance in June,
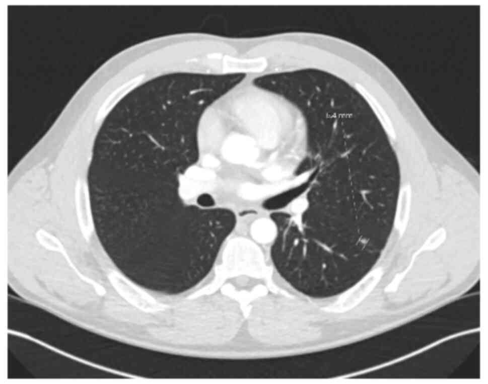
2022.

Figure 7

Axial contrast-enhanced computed tomography scan demonstrating a solitary pulmonary nodule in the left lower lobe, identified on routine surveillance in June, 2022.

In July 2023, PET imaging revealed a new FDG-avid lesion in the anterior rectus sheath. Diagnostic biopsy was performed with histology again confirmed metastatic hCCA. The patient began systemic palliative chemotherapy. The patient began systemic palliative chemotherapy with gemcitabine (1,000 mg/m2 on days 1 and 8) and cisplatin (25 mg/m2 on days 1 and 8 of each 21-day cycle). By January, 2024, following eight cycles, surveillance imaging demonstrated increased uptake in a previously stable lung nodule. The rectus sheath metastasis and lung lesion were treated with surgical excision and microwave ablation, respectively. A new solitary lung recurrence was treated with ablation in October, 2024 (Figs. 8 and 9).

Axial computed tomography scan
demonstrating a right upper lobe lung metastasis (left panel),
subsequently treated with image-guided ablation (right panel).

Figure 8

Axial computed tomography scan demonstrating a right upper lobe lung metastasis (left panel), subsequently treated with image-guided ablation (right panel).

Axial computed tomography
demonstrating an FDG-avid soft tissue lesion in the anterior rectus
sheath, consistent with metastatic cholangiocarcinoma (white
arrow).

Figure 9

Axial computed tomography demonstrating an FDG-avid soft tissue lesion in the anterior rectus sheath, consistent with metastatic cholangiocarcinoma (white arrow).

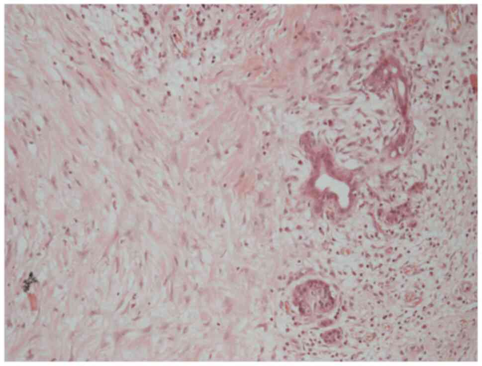
A histological examination of the rectus sheath deposit confirmed metastatic moderately differentiated adenocarcinoma, morphologically consistent with the patient s original diagnosis of hilar cholangiocarcinoma (Fig. 10). Histology was performed by the Department of Histopathology at King s College Hospital using routine paraffin-embedded sections, formalin fixation and standard diagnostic laboratory protocols.

Haematoxylin and eosin staining of the
rectus sheath metastasis, demonstrating moderately differentiated
adenocarcinoma (magnification, x100; no calibrated scale bar
available at source).

Figure 10

Haematoxylin and eosin staining of the rectus sheath metastasis, demonstrating moderately differentiated adenocarcinoma (magnification, x100; no calibrated scale bar available at source).

In January, 2025, the patient developed multiple intrahepatic and peritoneal metastases (Fig. 11). Notably, HER2 overexpression was confirmed in the most recent metastatic specimen, prompting initiation of palliative systemic therapy with zanidatamab, a bispecific HER2-targeted antibody. HER2 immunohistochemistry was performed on 4-µm paraffin-embedded sections using the BOND ORACLE HER2 IHC System (cat. no. DS9800 Leica Biosystems), an automated, standardised assay in which all steps were executed according to the manufacturer s validated protocol.

Axial computed tomography imaging
illustrating multiple liver metastases in 2025, occurring 6 years
following liver transplantation and 8 years following the initial
diagnosis of PSC-related hilar cholangiocarcinoma.

Figure 11

Axial computed tomography imaging illustrating multiple liver metastases in 2025, occurring 6 years following liver transplantation and 8 years following the initial diagnosis of PSC-related hilar cholangiocarcinoma.

The primary hilar cholangiocarcinoma specimen resected in 2017 was retrospectively retrieved and subjected to the same HER2 IHC protocol, confirming HER2 overexpression in the original tumour (Fig. 12). Although HER2 testing was not routinely performed in 2017, the concordant HER2-positive status of both primary and metastatic sites supports the rationale for HER2-directed therapy in this patient.

HER2 immunohistochemical staining
illustrating membranous staining (score 2) (magnification, x200; no
calibrated scale bar available at source). Slides were reviewed
using a standard light microscope.

Figure 12

HER2 immunohistochemical staining illustrating membranous staining (score 2) (magnification, x200; no calibrated scale bar available at source). Slides were reviewed using a standard light microscope.

Despite initial disease progression, he maintained a good performance status and received palliative chemotherapy, which was administered at a different institution. As such, detailed information regarding the specific agents and dosing schedule is unavailable. The patient ultimately passed away in November 2025, 103 months following his initial diagnosis of PSC-associated hilar cholangiocarcinoma in April, 2017. A summary of the disease course of the patient and key clinical events is provided in Table I.

Table I

Timeline summary of the course of the disease.

Table I

Timeline summary of the course of the disease.

1.2015: Diagnosis of PSC
2.April 2017: Diagnosis of hCCA
3.September 2017: ERH with Roux enY hepaticojejunostomy
 Histology pT2N0PN1LV1R0
 SACT two cycles discontinued due to liver dysfunction
4.November 2019: Liver transplantation and right hemicolectomy, terminal ileostomy
 Incidental finding of serosa deposit on right colon
 DBD whole graft CIT 19 h
5.March 2022: GI restoration
6.August 2022: Lung wedge resection for pTisN0R0 lung deposit
 SACT seven cycles of adjuvant capecitabine completed
7.July 2023: New deposit on rectus sheath and new Lung lesion
 SACT eight cycles Aug 23-Jan 24 of palliative gemcitabine/cisplatin completed
 April 2024: Resection of rectus sheath deposit and ablation of lung metastasis
8.October 2024: Another lung deposit treated with ablation
9.January 2025: CT multiple liver metastases with peritoneal spread
 SACT commenced FOLFOX palliative chemotherapy (cycle 5 received April, 2025)
10.August 2025: Disease progression on FOLFOX; commenced compassionate-use Zanidatamab for HER2-positive cholangiocarcinoma
11.November 2025: Patient succumbed to the disease

[i] PSC, primary sclerosing cholangitis; hCCA, hilar cholangiocarcinoma; ERH, extended right hepatectomy; SACT, systemic anti-cancer therapy; DBD, donation after brain death; CIT 19 h, 19-h cold ischemia time; GI, gastrointestinal; CT, computed tomography; FOLFOX, folinic acid, fluorouracil and oxaliplatin.

Discussion

hCCA is an aggressive malignancy often requiring extended liver resection to achieve oncological clearance and improve survival outcomes (1,10). The 5-year overall survival ranges between 30-40% (3,5), while the 5-year disease-free survival is reported to be ~20%, particularly when favourable features, such as well-differentiated tumours, negative lymph nodes and R0 margins are present (4,5,11).

PSC is a known predisposing factor, with an estimated lifetime risk of cholangiocarcinoma approaching 20%, and reported prevalence ranging from 6.5 to 13% (12). Accumulating evidence suggests that hCCA arising in the context of PSC has a more favourable prognosis compared to de novo hCCA. Patients with PSC-associated hCCA undergoing resection can achieve 5-year survival rates up to 60%, while the survival rates of those with de novo hCCA rarely exceed 30-40% (3,5).

This difference in outcomes is most notably demonstrated in transplant-based approaches pioneered by the Mayo Clinic, which developed the first structured protocol combining neoadjuvant chemoradiotherapy with liver transplantation for PSC-associated hCCA. In carefully selected patients, this strategy has achieved 10-year survival rates approaching 67% (3,4), significantly outperforming outcomes observed in de novo hCCA. However, its success is contingent upon stringent selection criteria, with dropout rates reaching 15% and up to 5% of explanted livers found to be tumour-free on final histology (4). Despite these limitations, the Mayo Protocol remains the gold standard and the most effective therapeutic framework for long-term survival in PSC-associated hCCA.

Recurrence remains a key concern. Even with liver transplantation, recurrence has been reported in up to 50% of cases (3,4), although this decreased to as low as 22% in carefully selected PSC hCCA cases treated as per the Mayo protocol (4).

The prospective study by Groot Koerkamp et al (13) in 2015 evaluated time to recurrence and disease-free survival in 306 patients with resected hCCA. The overall recurrence rate was 58%, with local recurrence in 26% and combined local and distant recurrence in 40% of cases (13). Isolated distant recurrence was not clearly documented, and only 2 patients experienced recurrence >8 years following resection. The median overall survival following recurrence was only 8 months (13). Notably, PSC-associated hCCA cases were not separately analysed (13).

The present study described the case of a patient with an isolated distant recurrence of PSC-associated hCCA occurring 5 years following initial resection and 2 years after liver transplantation, under immunosuppression. The serosal metastatic deposit discovered incidentally at the time of transplantation may represent the earliest sign of recurrence. However, there was no evidence of widespread progression during the subsequent 3 years of immunosuppression. Later recurrences in the lung and anterior abdominal wall remained solitary and were amenable to resection or ablation, with histology in some cases confirming only in situ disease. These features suggest a less aggressive biological phenotype, raising the possibility that tumour biology, rather than treatment modality alone, may play a key role in long-term survival.

Late-onset, isolated distant metastases are extremely rare. A similar case in the literature describes a solitary rib metastasis developing 10 years following the resection of de novo hCCA, treated with surgical excision (14). However, to the best of our knowledge, the present case report is the first to describe multiple late metastatic recurrences following an unorthodox treatment sequence, including delayed liver transplantation, with long-term survival >8 years.

A key point of discussion is the paradox between immunosuppression and tumour behaviour following transplantation. While chronic immunosuppression is generally associated with an increased oncological risk, emerging evidence suggests that immunosuppressive regimens containing mTOR inhibitors may have antitumour properties by inhibiting angiogenesis and tumour proliferation. In the patient in the present study, conversion to an mTOR-based immunosuppressive regimen shortly following liver transplantation may have contributed to delayed metastatic recurrence, synergising with the underlying favourable tumour biology (9).

Advances in biomarker discovery for PSC-related hCCA may support earlier diagnosis (15), while molecular profiling of cholangiocarcinoma is likely to enhance histological subtyping and facilitate the development of personalised treatment algorithms. In the case described herein, the tumour on the latest resected recurrence site was found to be HER2-positive, allowing the palliative initiation of zanidatamab, a bispecific HER2-targeted antibody recently shown to be effective in HER2-amplified biliary tract cancers (16).

Notably, the retrospective assessment of the primary tumour specimen resected in 2017 confirmed HER2 overexpression, corroborating the findings from the metastatic site and further supporting the rationale for HER2-directed therapy at this final stage.

HER2 overexpression has been identified in ~10-15% of biliary tract cancers (BTCs), including extrahepatic cholangiocarcinoma. Several studies have explored the prognostic relevance of HER2 overexpression in BTC, though findings have varied. In 2020, Vivaldi et al (17) reported HER2 overexpression and associated it with a significantly shorter disease-free survival, suggesting a more aggressive biological behaviour. In 2021, the multicentre study by Hori et al (18) found no significant impact of HER2 expression on survival outcomes across intrahepatic and extrahepatic cholangiocarcinomas, thus challenging its utility as a prognostic marker. Recently, in 2024, Kim et al (19) demonstrated that HER2 amplification was significantly associated with a reduced overall survival, reinforcing its potential role as a negative prognostic factor in BTC and a rationale for HER2-targeted therapies.

Notably, routine HER2 testing in cholangiocarcinoma was not widely implemented in clinical practice until ~2020, coinciding with early-phase trials exploring HER2 blockade in biliary tract cancers. Retrospective HER2 assessment in older cases, such as the patient in the present study (diagnosed in 2017), was not standard practice at the time.

Biological factors may have contributed to the relatively indolent clinical course observed in the patient described herein. PSC-associated cholangiocarcinoma often arises in a chronically inflamed and fibrotic biliary microenvironment, which promotes stepwise neoplastic transformation, but may also limit angiogenesis and metastatic dissemination (2,15). Compared with de novo cases, PSC-related tumours have been shown to exhibit lower proliferative indices, dense lymphocytic infiltration and a dominant inflammatory stroma, features that may contribute to a more immunologically active and less aggressive phenotype (4,15,20). Additionally, mismatch repair deficiency and microsatellite instability, observed in a subset of PSC-related cholangiocarcinomas, may underlie reduced tumour growth kinetics and more favourable treatment responses s(21).

In conclusion, organ shortage and limited transplant programme availability, as was the case in the UK at the time of the treatment of the patient described herien, continue to limit access to potentially curative strategies for patients with PSC-associated hCCA. In such settings, upfront resection remains the mainstay of treatment despite its technical demands and uncertain long-term efficacy.

The superior survival outcomes observed in PSC-associated hCCA, both with resection and transplant-based protocols, may reflect an underlying difference in tumour biology compared to de novo cases. The case described herein underscores the potential role of tumour biology as a key prognostic driver, particularly when durable survival is achieved despite recurrence and long-term immunosuppression.

Late isolated distant metastasis is exceptionally rare in hCCA. The present case report demonstrates that long-term survival and the control of metastatic disease may be achievable in highly selected patients through multimodal treatment and biologically favourable tumour behaviour.

Acknowledgements

Not applicable.

Funding

Funding: No funding was received.

Availability of data and materials

The data generated in the present study may be requested from the corresponding author.

Authors  contributions

EF was responsible for the conception, design and drafting of the study, the retrieval of the patient s clinical and pathological data, and final revision. PS, DS and MH were involved in the interpretation of the imaging and histopathological findings, contributed to the design and critical review of the case presentation, and provided specialist input on oncological and hepatology management. AP performed the surgeries and liver transplantation and subsequent surgical follow-up, contributed to the study design, and critically revised the manuscript for important intellectual content.

Ethics approval and consent to participate

The present case report was conducted in accordance with institutional requirements. Written informed consent was obtained from the patient for his participation in the present study.

Patient consent for publication

Written informed consent was obtained from the patient for publication of this report and accompanying images.

Competing interests

The authors declare that they have no competing interests.

References

1 

Soares KC and Jarnagin WR: The landmark series: Hilar cholangiocarcinoma. Ann Surg Oncol. 28:4158–4170. 2021.PubMed/NCBI View Article : Google Scholar

2 

Banales JM, Marin JJG, Lamarca A, Rodrigues PM, Khan SA, Roberts LR, Cardinale V, Carpino G, Andersen JB, Braconi C, et al: Cholangiocarcinoma 2020: The next horizon in mechanisms and management. Nat Rev Gastroenterol Hepatol. 17:557–588. 2020.PubMed/NCBI View Article : Google Scholar

3 

Tan EK, Taner T, Heimbach JK, Gores GJ and Rosen CB: Liver transplantation for peri-hilar cholangiocarcinoma. J Gastrointest Surg. 24:2679–2685. 2020.PubMed/NCBI View Article : Google Scholar

4 

Villard C, Jorns C and Bergquist A: Treatment of cholangiocarcinoma in patients with primary sclerosing cholangitis: A comprehensive review. eGastroenterology. 2(e100045)2024.PubMed/NCBI View Article : Google Scholar

5 

Kang MJ, Jang JY, Chang J, Shin YC, Lee D, Kim HB and Kim SW: Actual long-term survival outcome of 403 consecutive patients with hilar cholangiocarcinoma. World J Surg. 40:2451–2459. 2016.PubMed/NCBI View Article : Google Scholar

6 

Heimbach JK, Gores GJ, Haddock MG, Alberts SR, Nyberg SL, Ishitani MB and Rosen CB: Liver transplantation for unresectable perihilar cholangiocarcinoma. Semin Liver Dis. 24:201–207. 2004.PubMed/NCBI View Article : Google Scholar

7 

Rahbari NN, Garden OJ, Padbury R, Brooke-Smith M, Crawford M, Adam R, Koch M, Makuuchi M, Dematteo RP, Christophi C, et al: Posthepatectomy liver failure: A definition and grading by the international study group of liver surgery (ISGLS). Surgery. 149:713–724. 2011.PubMed/NCBI View Article : Google Scholar

8 

Balzan S, Belghiti J, Farges O, Ogata S, Sauvanet A, Delefosse D and Durand F: The ‘50-50 criteria’ on postoperative day 5: An accurate predictor of liver failure and death after hepatectomy. Ann Surg. 242:824–829. 2005.PubMed/NCBI View Article : Google Scholar

9 

Semaan S, Connor AA, Saharia A, Kodali S, Elaileh A, Patel K, Soliman N, Basra T, Victor DW III, Simon CJ, et al: Transplantation for peri-hilar and intrahepatic cholangiocarcinoma with mTOR immunosuppression. Transplant Proc. 57:255–263. 2025.PubMed/NCBI View Article : Google Scholar

10 

Gilbert TM, Hackett J, Holt L, Bird N, Quinn M, Gordon-Weeks A, Diaz-Nieto R, Fenwick SW, Malik HZ and Jones RP: Long-term morbidity after surgery for perihilar cholangiocarcinoma: A cohort study. Surg Oncol. 45(101875)2022.PubMed/NCBI View Article : Google Scholar

11 

Nooijen LE, Banales JM, de Boer MT, Braconi C, Folseraas T, Forner A, Holowko W, Hoogwater FJH, Klümpen HJ, Groot Koerkamp B, et al: Impact of positive lymph nodes and resection margin status on the overall survival of patients with resected perihilar cholangiocarcinoma: The ENSCCA registry. Cancers (Basel). 14(2389)2022.PubMed/NCBI View Article : Google Scholar

12 

Safarpour AR, Askari H, Ejtehadi F, Azarnezhad A, Raeis-Abdollahi E, Tajbakhsh A, Abazari MF, Tarkesh F, Shamsaeefar A, Niknam R, et al: Cholangiocarcinoma and liver transplantation: What we know so far? World J Gastrointest Pathophysiol. 12:84–105. 2021.PubMed/NCBI View Article : Google Scholar

13 

Groot Koerkamp B, Wiggers JK, Allen PJ, Besselink MG, Blumgart LH, Busch OR, Coelen RJ, D Angelica MI, DeMatteo RP, Gouma DJ, et al: Recurrence rate and pattern of perihilar cholangiocarcinoma after curative intent resection. J Am Coll Surg. 221:1041–1049. 2015.PubMed/NCBI View Article : Google Scholar

14 

Ota Y, Matsuyama R, Taniguchi K, Ueda M, Takeda K, Tanaka K, Nakayama T and Endo I: Solitary rib recurrence of hilar cholangiocarcinoma 10 years after resection: Report of a case. Clin J Gastroenterol. 6:485–489. 2013.PubMed/NCBI View Article : Google Scholar

15 

Catanzaro E, Gringeri E, Burra P and Gambato M: Primary sclerosing cholangitis-associated cholangiocarcinoma: From pathogenesis to diagnostic and surveillance strategies. Cancers (Basel). 15(4947)2023.PubMed/NCBI View Article : Google Scholar

16 

Harding JJ, Fan J, Oh DY, Choi HJ, Kim JW, Chang HM, Bao L, Sun HC, Macarulla T, Xie F, et al: Zanidatamab for HER2-amplified, unresectable, locally advanced or metastatic biliary tract cancer (HERIZON-BTC-01): a multicentre, single-arm, phase 2b study. Lancet Oncol. 24:772–782. 2023.PubMed/NCBI View Article : Google Scholar

17 

Vivaldi C, Fornaro L, Ugolini C, Niccoli C, Musettini G, Pecora I, Cacciato Insilla A, Salani F, Pasquini G, Catanese S, et al: HER2 overexpression as a poor prognostic determinant in resected biliary tract cancer. Oncologist. 25:886–893. 2020.PubMed/NCBI View Article : Google Scholar

18 

Hori Y, Yoh T, Seo S, Minamiguchi S, Haga H and Taura K: Limited Impact of HER2 Expression on Survival Outcomes in Patients with Intrahepatic Cholangiocarcinoma After Surgical Resection. Oncologist. 26:e1893–e1894. 2021.PubMed/NCBI View Article : Google Scholar

19 

Kim Y, Jee S, Kim H, Paik SS, Choi D, Yoo SH and Shin SJ: EGFR, HER2, and MET gene amplification and protein expression profiles in biliary tract cancer and their prognostic significance. Oncologist. 29:e1051–e1060. 2024.PubMed/NCBI View Article : Google Scholar

20 

Oura K, Morishita A, Nakahara M, Tadokoro T, Fujita K, Tani J, Masaki T and Kobara H: Chronic Liver Disease Associated Cholangiocarcinoma: Genomic Insights and Precision Therapeutic Strategies. Cancers (Basel). 17(3052)2025.PubMed/NCBI View Article : Google Scholar

21 

Goeppert B, Roessler S, Renner M, Singer S, Mehrabi A, Vogel MN, Pathil A, Czink E, Köhler B, Springfeld C, et al: Mismatch repair deficiency is a rare but putative therapeutically relevant finding in non-liver fluke associated cholangiocarcinoma. Br J Cancer. 120:109–114. 2019.PubMed/NCBI View Article : Google Scholar

Related Articles

  • Abstract
  • View
  • Download
Copy and paste a formatted citation
Spandidos Publications style
Florou E, Heneghan M, Sarker D, Srinivasan P and Prachalias A: Multimodal treatment and tumour biology‑driven long‑term survival in PSC‑associated hilar cholangiocarcinoma: A case report. Med Int 6: 11, 2026.
APA
Florou, E., Heneghan, M., Sarker, D., Srinivasan, P., & Prachalias, A. (2026). Multimodal treatment and tumour biology‑driven long‑term survival in PSC‑associated hilar cholangiocarcinoma: A case report. Medicine International, 6, 11. https://doi.org/10.3892/mi.2026.295
MLA
Florou, E., Heneghan, M., Sarker, D., Srinivasan, P., Prachalias, A."Multimodal treatment and tumour biology‑driven long‑term survival in PSC‑associated hilar cholangiocarcinoma: A case report". Medicine International 6.1 (2026): 11.
Chicago
Florou, E., Heneghan, M., Sarker, D., Srinivasan, P., Prachalias, A."Multimodal treatment and tumour biology‑driven long‑term survival in PSC‑associated hilar cholangiocarcinoma: A case report". Medicine International 6, no. 1 (2026): 11. https://doi.org/10.3892/mi.2026.295
Copy and paste a formatted citation
x
Spandidos Publications style
Florou E, Heneghan M, Sarker D, Srinivasan P and Prachalias A: Multimodal treatment and tumour biology‑driven long‑term survival in PSC‑associated hilar cholangiocarcinoma: A case report. Med Int 6: 11, 2026.
APA
Florou, E., Heneghan, M., Sarker, D., Srinivasan, P., & Prachalias, A. (2026). Multimodal treatment and tumour biology‑driven long‑term survival in PSC‑associated hilar cholangiocarcinoma: A case report. Medicine International, 6, 11. https://doi.org/10.3892/mi.2026.295
MLA
Florou, E., Heneghan, M., Sarker, D., Srinivasan, P., Prachalias, A."Multimodal treatment and tumour biology‑driven long‑term survival in PSC‑associated hilar cholangiocarcinoma: A case report". Medicine International 6.1 (2026): 11.
Chicago
Florou, E., Heneghan, M., Sarker, D., Srinivasan, P., Prachalias, A."Multimodal treatment and tumour biology‑driven long‑term survival in PSC‑associated hilar cholangiocarcinoma: A case report". Medicine International 6, no. 1 (2026): 11. https://doi.org/10.3892/mi.2026.295
Follow us
  • Twitter
  • LinkedIn
  • Facebook
About
  • Spandidos Publications
  • Careers
  • Cookie Policy
  • Privacy Policy
How can we help?
  • Help
  • Live Chat
  • Contact
  • Email to our Support Team