Spandidos Publications Logo
  • About
    • About Spandidos
    • Aims and Scopes
    • Abstracting and Indexing
    • Editorial Policies
    • Reprints and Permissions
    • Job Opportunities
    • Terms and Conditions
    • Contact
  • Journals
    • All Journals
    • Oncology Letters
      • Oncology Letters
      • Information for Authors
      • Editorial Policies
      • Editorial Board
      • Aims and Scope
      • Abstracting and Indexing
      • Bibliographic Information
      • Archive
    • International Journal of Oncology
      • International Journal of Oncology
      • Information for Authors
      • Editorial Policies
      • Editorial Board
      • Aims and Scope
      • Abstracting and Indexing
      • Bibliographic Information
      • Archive
    • Molecular and Clinical Oncology
      • Molecular and Clinical Oncology
      • Information for Authors
      • Editorial Policies
      • Editorial Board
      • Aims and Scope
      • Abstracting and Indexing
      • Bibliographic Information
      • Archive
    • Experimental and Therapeutic Medicine
      • Experimental and Therapeutic Medicine
      • Information for Authors
      • Editorial Policies
      • Editorial Board
      • Aims and Scope
      • Abstracting and Indexing
      • Bibliographic Information
      • Archive
    • International Journal of Molecular Medicine
      • International Journal of Molecular Medicine
      • Information for Authors
      • Editorial Policies
      • Editorial Board
      • Aims and Scope
      • Abstracting and Indexing
      • Bibliographic Information
      • Archive
    • Biomedical Reports
      • Biomedical Reports
      • Information for Authors
      • Editorial Policies
      • Editorial Board
      • Aims and Scope
      • Abstracting and Indexing
      • Bibliographic Information
      • Archive
    • Oncology Reports
      • Oncology Reports
      • Information for Authors
      • Editorial Policies
      • Editorial Board
      • Aims and Scope
      • Abstracting and Indexing
      • Bibliographic Information
      • Archive
    • Molecular Medicine Reports
      • Molecular Medicine Reports
      • Information for Authors
      • Editorial Policies
      • Editorial Board
      • Aims and Scope
      • Abstracting and Indexing
      • Bibliographic Information
      • Archive
    • World Academy of Sciences Journal
      • World Academy of Sciences Journal
      • Information for Authors
      • Editorial Policies
      • Editorial Board
      • Aims and Scope
      • Abstracting and Indexing
      • Bibliographic Information
      • Archive
    • International Journal of Functional Nutrition
      • International Journal of Functional Nutrition
      • Information for Authors
      • Editorial Policies
      • Editorial Board
      • Aims and Scope
      • Abstracting and Indexing
      • Bibliographic Information
      • Archive
    • International Journal of Epigenetics
      • International Journal of Epigenetics
      • Information for Authors
      • Editorial Policies
      • Editorial Board
      • Aims and Scope
      • Abstracting and Indexing
      • Bibliographic Information
      • Archive
    • Medicine International
      • Medicine International
      • Information for Authors
      • Editorial Policies
      • Editorial Board
      • Aims and Scope
      • Abstracting and Indexing
      • Bibliographic Information
      • Archive
  • Articles
  • Information
    • Information for Authors
    • Information for Reviewers
    • Information for Librarians
    • Information for Advertisers
    • Conferences
  • Language Editing
Spandidos Publications Logo
  • About
    • About Spandidos
    • Aims and Scopes
    • Abstracting and Indexing
    • Editorial Policies
    • Reprints and Permissions
    • Job Opportunities
    • Terms and Conditions
    • Contact
  • Journals
    • All Journals
    • Biomedical Reports
      • Information for Authors
      • Editorial Policies
      • Editorial Board
      • Aims and Scope
      • Abstracting and Indexing
      • Bibliographic Information
      • Archive
    • Experimental and Therapeutic Medicine
      • Information for Authors
      • Editorial Policies
      • Editorial Board
      • Aims and Scope
      • Abstracting and Indexing
      • Bibliographic Information
      • Archive
    • International Journal of Epigenetics
      • Information for Authors
      • Editorial Policies
      • Editorial Board
      • Aims and Scope
      • Abstracting and Indexing
      • Bibliographic Information
      • Archive
    • International Journal of Functional Nutrition
      • Information for Authors
      • Editorial Policies
      • Editorial Board
      • Aims and Scope
      • Abstracting and Indexing
      • Bibliographic Information
      • Archive
    • International Journal of Molecular Medicine
      • Information for Authors
      • Editorial Policies
      • Editorial Board
      • Aims and Scope
      • Abstracting and Indexing
      • Bibliographic Information
      • Archive
    • International Journal of Oncology
      • Information for Authors
      • Editorial Policies
      • Editorial Board
      • Aims and Scope
      • Abstracting and Indexing
      • Bibliographic Information
      • Archive
    • Medicine International
      • Information for Authors
      • Editorial Policies
      • Editorial Board
      • Aims and Scope
      • Abstracting and Indexing
      • Bibliographic Information
      • Archive
    • Molecular and Clinical Oncology
      • Information for Authors
      • Editorial Policies
      • Editorial Board
      • Aims and Scope
      • Abstracting and Indexing
      • Bibliographic Information
      • Archive
    • Molecular Medicine Reports
      • Information for Authors
      • Editorial Policies
      • Editorial Board
      • Aims and Scope
      • Abstracting and Indexing
      • Bibliographic Information
      • Archive
    • Oncology Letters
      • Information for Authors
      • Editorial Policies
      • Editorial Board
      • Aims and Scope
      • Abstracting and Indexing
      • Bibliographic Information
      • Archive
    • Oncology Reports
      • Information for Authors
      • Editorial Policies
      • Editorial Board
      • Aims and Scope
      • Abstracting and Indexing
      • Bibliographic Information
      • Archive
    • World Academy of Sciences Journal
      • Information for Authors
      • Editorial Policies
      • Editorial Board
      • Aims and Scope
      • Abstracting and Indexing
      • Bibliographic Information
      • Archive
  • Articles
  • Information
    • For Authors
    • For Reviewers
    • For Librarians
    • For Advertisers
    • Conferences
  • Language Editing
Login Register Submit
  • This site uses cookies
  • You can change your cookie settings at any time by following the instructions in our Cookie Policy. To find out more, you may read our Privacy Policy.

    I agree
Search articles by DOI, keyword, author or affiliation
Search
Advanced Search
presentation
Medicine International
Join Editorial Board Propose a Special Issue
Print ISSN: 2754-3242 Online ISSN: 2754-1304
Journal Cover
January-February 2026 Volume 6 Issue 1

Full Size Image

Sign up for eToc alerts
Recommend to Library

Journals

International Journal of Molecular Medicine

International Journal of Molecular Medicine

International Journal of Molecular Medicine is an international journal devoted to molecular mechanisms of human disease.

International Journal of Oncology

International Journal of Oncology

International Journal of Oncology is an international journal devoted to oncology research and cancer treatment.

Molecular Medicine Reports

Molecular Medicine Reports

Covers molecular medicine topics such as pharmacology, pathology, genetics, neuroscience, infectious diseases, molecular cardiology, and molecular surgery.

Oncology Reports

Oncology Reports

Oncology Reports is an international journal devoted to fundamental and applied research in Oncology.

Experimental and Therapeutic Medicine

Experimental and Therapeutic Medicine

Experimental and Therapeutic Medicine is an international journal devoted to laboratory and clinical medicine.

Oncology Letters

Oncology Letters

Oncology Letters is an international journal devoted to Experimental and Clinical Oncology.

Biomedical Reports

Biomedical Reports

Explores a wide range of biological and medical fields, including pharmacology, genetics, microbiology, neuroscience, and molecular cardiology.

Molecular and Clinical Oncology

Molecular and Clinical Oncology

International journal addressing all aspects of oncology research, from tumorigenesis and oncogenes to chemotherapy and metastasis.

World Academy of Sciences Journal

World Academy of Sciences Journal

Multidisciplinary open-access journal spanning biochemistry, genetics, neuroscience, environmental health, and synthetic biology.

International Journal of Functional Nutrition

International Journal of Functional Nutrition

Open-access journal combining biochemistry, pharmacology, immunology, and genetics to advance health through functional nutrition.

International Journal of Epigenetics

International Journal of Epigenetics

Publishes open-access research on using epigenetics to advance understanding and treatment of human disease.

Medicine International

Medicine International

An International Open Access Journal Devoted to General Medicine.

Journal Cover
January-February 2026 Volume 6 Issue 1

Full Size Image

Sign up for eToc alerts
Recommend to Library

  • Article
  • Citations
    • Cite This Article
    • Download Citation
    • Create Citation Alert
    • Remove Citation Alert
    • Cited By
  • Similar Articles
    • Related Articles (in Spandidos Publications)
    • Similar Articles (Google Scholar)
    • Similar Articles (PubMed)
  • Download PDF
  • Download XML
  • View XML
Case Report Open Access

Therapeutic management in a pregnant patient with acute ischemic stroke in the revascularization window: A case report

  • Authors:
    • Antonia Ioana Vasile
    • Amelia Damiana Trifu
    • Cristina Nica
    • Simona Trifu
  • View Affiliations / Copyright

    Affiliations: Doctoral School, Carol Davila University of Medicine and Pharmacy, Bucharest 050474, Romania, Medical‑Military Institute, Carol Davila University of Medicine and Pharmacy, Bucharest 010919, Romania, Department of Neurology, University Emergency Hospital of Bucharest, Bucharest 050098, Romania, Department of Neurosciences, Carol Davila University of Medicine and Pharmacy, Bucharest 050474, Romania
    Copyright: © Vasile et al. This is an open access article distributed under the terms of Creative Commons Attribution License [CC BY 4.0].
  • Article Number: 12
    |
    Published online on: January 11, 2026
       https://doi.org/10.3892/mi.2026.296
  • Expand metrics +
Metrics: Total Views: 0 (Spandidos Publications: | PMC Statistics: )
Metrics: Total PDF Downloads: 0 (Spandidos Publications: | PMC Statistics: )
Cited By (CrossRef): 0 citations Loading Articles...

This article is mentioned in:


Abstract

Pregnancy is considered a relative contraindication for thrombolysis. Moreover, mechanical thrombectomy should be considered for pregnant patients, as it would be indicated in non‑pregnant patients. The present study describes the clinical case of a 29‑year‑old female full‑term pregnant patient who presented to the emergency room with a sudden onset symptomatology characterized by pronunciation disorder and motor impairment in the right arm with numbness at the same level, and with a National Institutes of Health Stroke Scale score of 7 points. The patient presented in the revascularization window, and the series of acute medical interventions were as follows: Clinical examination, native head computed tomography (CT) scan, emergency cesarean section, CT angiography of the cerebral arteries, and, eventually, mechanical thrombectomy. A brain MRI revealed a hyperintense lesion in diffusion sequence with low apparent diffusion coefficient correspondence at the frontal level of the left side, affecting the middle and precentral gyrus. A transesophageal ultrasound revealed a small patent foramen ovale with a risk of paradoxical embolism score of 8 points. Usual thrombophilia laboratory test results were negative; however, a homozygous methylenetetrahydrofolate reductase gene mutation and a heterozygous positive plasminogen activator inhibitor‑1 gene mutation were detected. On the whole, the present case report emphasizes the importance of evaluating inherited genetic thrombophilia and PFO in young patients suffering a stroke. Moreover, the need for the psychological and psychiatric evaluation for possible reactive depression, anxiety and burnout in young patients suffering a stroke, and particularly in the peripartum period, is highlighted.

Introduction

During pregnancy and the peripartum period, there are changes in the coagulation system, which may lead to a physiological hypercoagulable state (1). Hemodynamic factors and venous stasis are certain factors that increase the risk of suffering an ischemic stroke in pregnant women (2). These changes predispose the pregnant patient to higher rates of prothrombotic events, such as deep vein thrombosis, superficial vein thrombosis, pulmonary thromboembolism or ischemic stroke (3). Although pregnancy generally increases the risk of developing thrombosis, the highest risk is during peripartum period, which is ≤12 weeks following delivery (4). Statistically, the majority of stroke cases occur following delivery (50%) and in the peripartum period (40%), with the lowest probability (10%) in the antepartum period (5).

Imaging in pregnant patients is a diagnostic dilemma due to radiation exposure (6). Certain factors that influence the potentially harmful effects of radiation from CT scans for pregnant patients are as follows: Gestational age, the total dose of radiation that the patient is exposed to, fetal exposure to radiation, and the need for the administration of contrast agents. Whilst fetal exposure to radiation from head CT scans is extremely low, the radiation dose is markedly higher during head CT scans with intravenous contrast due to multiple additional scans (7). Therefore, magnetic resonance imaging (MRI) is the recommended imaging method, using non-contrast-enhanced time-of-flight magnetic resonance angiography (6).

Previous studies recommend that thrombolysis should be considered when the expected benefits of treating life-threatening or debilitating stroke outweigh the risk of uterine bleeding (8,9). However, at present, to the best of our knowledge, there are no randomized controlled trials that have evaluated pregnant patients with thromboembolism. A recent review highlighted that the risk associated with thrombolytic agents in pregnant patients appears reasonable when balanced with the risk associated with a disease that places the life of the patient in danger (1). In addition, it has been reported that the complications rate of thrombolysis in pregnant patients is not higher than that of non-pregnant patients (1,3). In a previous review article, of the 30 pregnant patients suffering a thrombolysed stroke included in the review, the main complications described were the following: Major bleeding (n=1), maternal mortality due to arterial dissection (n=1), and spontaneous abortions (n=3) (1). However, pregnancy is still considered a relative contraindication for thrombolysis (1).

Certain case studies have suggested that mechanical thrombectomy can be performed safely during pregnancy, particularly for pregnant patients who present with severe stroke [demonstrated by high National Institutes of Health Stroke Scale (NIHSS) scores] (6,9). The patients in these cases experienced excellent recovery and there was no impact on the infants (6). Moreover, it is widely accepted that mechanical thrombectomy in pregnant patients is technically feasible with acceptable rates of recanalization and maternal outcomes and fetal outcomes (8). Mechanical thrombectomy using the Penumbra system appears to be a safe and effective treatment option for acute ischemic stroke during pregnancy when thrombolysis is unsuitable (10). Therefore, mechanical thrombectomy should be considered for pregnant patients as would be indicated in non-pregnant patients (8).

Case report

A 29-year-old female patient, who was 38 weeks pregnant, presented at the Emergency Room of University Emergency Hospital of Bucharest, Romania, on a Sunday, in June 19, 2023. This was the patient s first pregnancy, with no previous spontaneous abortions. A cesarean section was scheduled for the following day as the patient had two placentas. The patient was a smoker (10 pack years), with no history of gestational diabetes, preeclampsia, eclampsia or hypertension.

The patient was admitted to the hospital for sudden onset symptomatology characterized by a motor deficit and numbness of the right upper limb associated with pronunciation disorder. The neurological clinical examination upon admission revealed the following: Mild-moderate dysarthria (slurred speech, but understandable); minor paralysis (flat nasolabial fold, smile asymmetry); right brachial mono paresis 3/5 on the Medical Research Council (MRC) scale; mild-moderate sensory loss on the right upper arm; and ataxia in right upper arm. The patient had an a NIHSS score of 7 points, and the score was disabling, in that the patient was a 29-year-old with motor deficits in the dominant hand and who was due to have a newborn the following day. Moreover, the patient presented in the revascularization window at ~30 min from symptomatology onset, as a thrombolysis code.

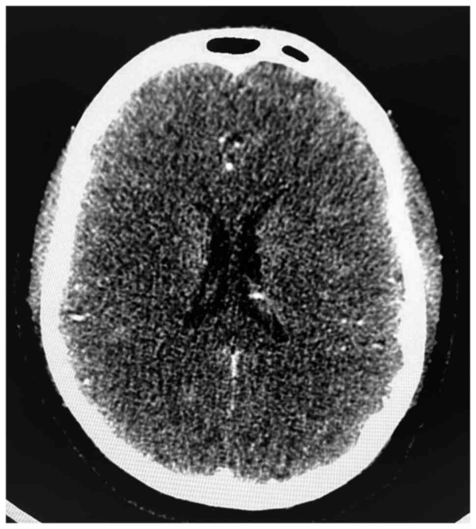
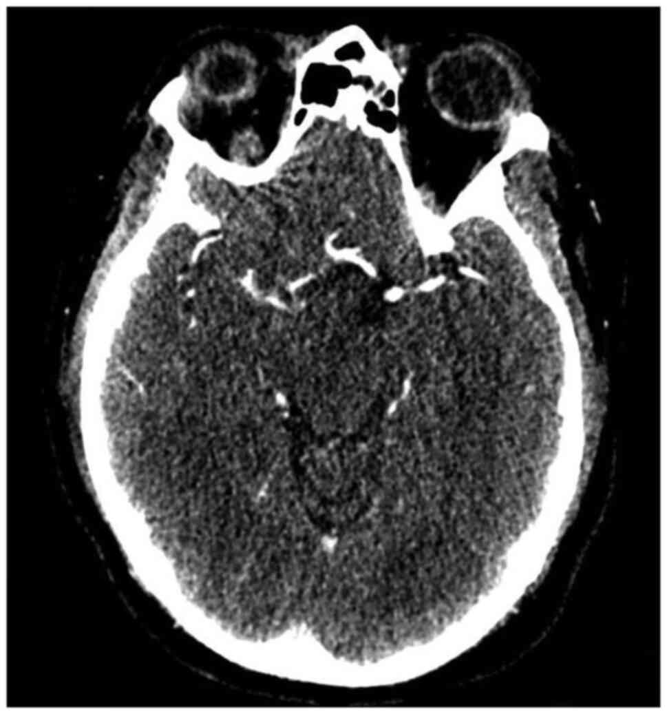
In terms of the diagnostic approach, in numerous developing countries, including Romania, a routine cerebral MRI is not commonly performed in emergency settings due to a combination of factors, such as limited healthcare resources and infrastructure challenges. Furthermore, Romania is still struggling to meet the European standards of quality in healthcare (11). The patient in the present case report was admitted during the night on a weekend; therefore, MRI was not available. As a result, the first radiological investigation was a native brain CT scan (intravascular contrast being avoided in pregnancy), which did not reveal any cranial lesions. The native cerebral CT scan in presented in Fig. 1. The clear native cerebral CT scan excluded other pathologies that would explain a sudden neurological deficit (such as a cerebral tumor) or that could contraindicate revascularization therapy (such as hemorrhagic stroke). Given the pregnancy, medical revascularization therapy with tissue plasminogen activator (tPA) was excluded. Moreover, as a CT scan with contrast or a CT angiography of the cerebral arteries were contraindicated in pregnancy, and as the patient was at 38 weeks of gestation with a viable fetus ready for delivery, a multidisciplinary team comprising a neurologist and an obstetrician recommended an emergency cesarean section. Although the procedure was planned for the following day, the urgency of the case and the consent of the family supported proceeding without delay. Following the delivery, the neurological deficits persisted, with a NIHSS score of 7 points. Furthermore, even though the patient was still in the thrombolysis window of 4.5 h following delivery, the major surgery contraindicated revascularization with tPA due to the massive hemorrhagic risk. However, the patient was still eligible for mechanical revascularization. Therefore, the patient underwent CT angiography of the cerebral arteries, which did not detect large vessel occlusion, and finally, mechanical thrombectomy was excluded and drug treatment for secondary prevention with aspirin was decided. The CT angiography of the cerebral arteries in presented in Fig. 2. The acute management of the patient is presented in Fig. 3.

Native head computed tomography
scan.

Figure 1

Native head computed tomography scan.

Computed tomography angiography
scan.

Figure 2

Computed tomography angiography scan.

Diagram of the acute management of the
pregnant patient with acute ischemic stroke in the
revascularization window.

Figure 3

Diagram of the acute management of the pregnant patient with acute ischemic stroke in the revascularization window.

The neonatal outcomes were favorable, with a birthweight of 2.840 g, an Apgar score of 9, with favorable neonatal adaptation and an increasing weight-growth curve. The mother demonstrated an excellent post-operative recovery: On post-operative day 1, the patient was mobilized, able to sit up and ambulate without assistance. The motor deficit was limited to the right upper limb (3/5 MRC). The patient reported no notable abdominal pain and vital signs remained stable throughout. Wound healing proceeded without complications, and the overall functional status of the patient improved, allowing the performance of routine maternal duties. By the end of the hospitalization period (from June 19 until June 30, 2023), the patient was able to feed the newborn with a bottle, even with a motor deficit in the right hand, demonstrating marked adaptability and resilience.

During admission, several paraclinical investigations were performed. A brain MRI revealed a hyperintense lesion in diffusion sequence with low apparent diffusion coefficient correspondence at the frontal level of the left side, affecting middle gyrus and precentral gyrus (Fig. 4). A Doppler ultrasound of cervico-cerebral vessels did not detect atheroma plaques. A 24-h electrocardiogram did not reveal atrial fibrillation episodes; however, an outpatient extended cardiac rhythm monitoring was recommended for 3-7 days. Microemboli detection revealed the passage of 8-10 microemboli, suggestive of an interatrial communication. A subsequent transesophageal ultrasound revealed a small patent foramen ovale (PFO), and an 8-point Risk of Paradoxical Embolism (RoPE) score of PFO was determined (no history of hypertension, no history of diabetes, stroke or cortical infarct, and an age of 29 years). This indicated an 84% chance that the cause of the stroke of the patient was due to PFO. However, the small anatomical proportions of the PFO did not indicate the need for interventional closure (12). Due to the PFO, a compression ultrasound of the lower limbs was performed, and no deep vein thrombosis was identified. Furthermore, vitamin B12 deficiency and mild anemia were detected.

MRI findings. (A) Hyperintense lesion
in diffusion sequence at the left frontal level. (B) Low apparent
diffusion coefficient correspondence at the left frontal level. (C)
Hyperintense lesion in diffusion sequence affecting the middle
gyrus and precentral gyrus on the left side (green arrow). (D) Low
apparent diffusion coefficient correspondence at the middle gyrus
and the precentral gyrus on the left side (green arrow).

Figure 4

MRI findings. (A) Hyperintense lesion in diffusion sequence at the left frontal level. (B) Low apparent diffusion coefficient correspondence at the left frontal level. (C) Hyperintense lesion in diffusion sequence affecting the middle gyrus and precentral gyrus on the left side (green arrow). (D) Low apparent diffusion coefficient correspondence at the middle gyrus and the precentral gyrus on the left side (green arrow).

However, laboratory tests for the usual hereditary thrombophilic risk factors for arterial embolism, such as factor V Leiden (G1691A), prothrombin G20210A, antithrombin deficiency, protein C and S deficiencies and antiphosolipid syndrome, were negative. The genotyping of the Factor V Leiden mutation was performed using a quantitative PCR assay (LightCycler® Factor V Leiden Mutation Detection kit; cat. no. BM05, Roche Diagnostics) on the LightCycler® 2.0 instrument, following the manufacturer s instructions. The prothrombin G20210A variant was analyzed by quantitative PCR using the LightCycler® Prothrombin G20210A Mutation Detection kit (cat. no. BM06, Roche Diagnostics). Antithrombin functional activity was measured using a chromogenic assay (STA® Antithrombin; cat. no. HE34, Diagnostica Stago, Inc.), performed on the STA-R Evolution analyzer. Protein C activity was assessed using a chromogenic method (Protein C Chromogenic assay; cat. no. HE35, Siemens Healthineers). Free Protein S antigen was quantified by immunoturbidimetry (Liatest® Free Protein S; cat. no. HE36, Diagnostica Stago, Inc.). Testing for lupus anticoagulant followed the current International Society on Thrombosis and Haemostasis (ISTH) guidelines and included both screening and confirmatory assays: dRVVT screen and confirm reagents (LA1/LA2 dRVVT; cat. no. HE32, Werfen/Instrumentation Laboratory) and aPTT-based lupus-sensitive assay (SynthASil®; cat. no. HE32, Werfen). IgG and IgM anticardiolipin antibodies were measured using ELISA kits (QUANTA Lite® ACA IgG/IgM; cat. nos. IM328, Inova Diagnostics, Inc.). IgG and IgM anti-β2GPI antibodies were determined using ELISA (QUANTA Lite® β2-GPI IgG/IgM; cat. no. IM225, Inova Diagnostics, Inc.).

Building upon laboratory investigations suggesting a potential thrombophilic status, genetic testing revealed a homozygous mutation in the methylenetetrahydrofolate reductase (MTHFR) gene and heterozygous mutation in the plasminogen activator inhibitor-1 gene. The genotyping of MTHFR C677T and A1298C polymorphisms was performed using LightCycler®-compatible quantitative PCR assays with hybridization probes (LightMix® kit MTHFR C677T/A1298C; cat. no. BM33, TIB MOLBIOL Syntheselabor GmbH). Reactions were run on the LightCycler® 2.0 instrument following the manufacturer s protocol. The PAI-1 promoter 4G/5G polymorphism was detected using a LightCycler®-based quantitative PCR assay (LightMix® kit PAI-1 4G/5G; cat. no. BM35, TIB MOLBIOL Syntheselabor GmbH), with allele discrimination performed by melting-curve analysis on the LightCycler® 2.0 system. The results of thrombophilia screening and genetic thrombofilia testing are presented in Table I.

Table I

Thrombophilia status results.

Table I

Thrombophilia status results.

Laboratory testResultReference interval
Thrombophilia screening  
     Factor V Leiden with activated protein C91.138-144/sec
     Factor V Leiden without activated protein C32.224-184/sec
     Activated protein C ratio2.83≥2.3
     Antithrombin deficiency14283-128%
     Protein C deficiency13570-140%
     Protein S deficiency60.454.7-123.7%
     Lupus anticoagulant screen38.529-39.76
     Lupus anticoagulant confirm28.927.6-36
     Homocisteinemia7.654.3-11.1/µmol/l
Genetic thrombophilia testing  
     MTHFR gene: A1298C mutationHomozygous genotypeNegative
     MTHFR gene: C677T mutationNegativeNegative
     PAI-1 gene (polimorfism 675 4G/5G)Heterozygote genotypeNegative
     Factor V Leiden mutationNegativeNegative
     Factor II (prothrombin) mutationNegativeNegative

Due to the existing PFO with a high RoPE score and positive thrombophilic status, anticoagulation medication was decided for stroke secondary prevention, during hospitalization and in the first month after delivery with low molecular weight heparin, enoxaparin (80 mg, corresponding to 0.8 ml twice daily for a patient with a weight of 80-kg). Following this period, the patient received bridging therapy with both enoxaparin and acenocoumarol for 5 days. After these 5 days, oral anticoagulation with acenoumarol was dose-adjusted to maintain an international normalized ratio (INR) of 2.0-3.0. Finally, following adjustments, the patient remained on a dose of 2 mg of acenocoumarol daily.

Discussion

The first particularity of the present case report is derived from the therapeutic management: The series of medical interventions when admitting the 38-week pregnant patient with acute ischemic stroke in the revascularization window. A native brain CT was initially performed to rule out another cause of acute neurological deficit, and after excluding cerebral tumors or hemorrhagic stroke, an emergency cesarean section was performed under general anesthesia. Subsequently, a CT angiography of the cerebral arteries was performed. Finally, a mechanical revascularization procedure would have followed if a large vessel occlusion was identified.

The first factor that should highlight potential thrombolysis in pregnant patients is stroke severity: NIHSS score, stroke position, consciousness, motor and sensitive deficits, language disorder and speech disorder (1). The second factor that should be taken into account is the risk of bleeding, considering previous pathologies of the patient, such as the bleeding history, hypertension and other known coagulopathies (1). Personal factors should also be taken into account, such as age, medical history and body weight (1). Lastly, from an obstetrical point of view, the decision to thrombolyze a pregnant patient should consider gestational age and obstetrical conditions (1). Other previous personal pathologies may increase the risk of stroke in pregnancy, such as: Hematologic diseases (sickle cell anemia, thrombocytopenia and thrombophilia), cardiac disease (hypertension and heart disease), diabetes and migraine-type headaches (6). Other risk factors include smoking and alcohol consumption (5,13).

The second particularity of the present case originates from the diagnosis of acute ischemic stroke in a full-term pregnant patient, and the evaluation the possible etiologies of cryptogenic stroke. Therefore, the present case report emphasizes the importance of evaluating thrombophilic status and PFO in patients with ischemic stroke at a young age. The most probable etiology of the stroke was the procoagulant status of the patient based on the pregnancy itself, the peripartum period of the patient and the positive genetic thrombophilic status. Notably, the patient had no personal history pointing towards this diagnosis, such as history of spontaneous abortions, superficial or deep venous thrombosis, or pulmonary thromboembolism.

It has been suggested that PFO is an independent risk factor for ischemic stroke, particularly in young patients with cryptogenic stroke; however, the causality between PFO and ischemic stroke is not yet confirmed (14,15). Moreover, when patient suffering a stroke is diagnosed with PFO, this is not an indication that PFO was the cause of the stroke; therefore, secondary prevention for these patients is still debatable (14). However, in the event that a patient suffering a stroke is discovered with both PFO and prothrombotic coagulopathies, oral anticoagulants should be considered for secondary prevention, rather than platelet inhibitors (14). Other studies have suggested that warfarin is superior to platelet inhibitors as a secondary prevention for PFO-related stroke cases (16,17).

Moreover, the placement of infarct localization of a PFO-related stroke is due to the physiopathological mechanism of a PFO: As they are an interatrial shunt, they will allow smaller emboli to pass through the PFO (left-right) and then reach multiple scattered places within the brain on both hemispheres (18). Thus, in terms of imaging characteristics, PFO-related stroke is usually revealed as a single cortical ischemic lesion or multiple small scattered ischemic lesions (18).

For PFO-related strokes, thrombogenic conditions are usually present, as they lead to a predisposition of venous thrombus formation and further lead to a paradoxical embolism (18). Pezzini et al (14) reported that the G20210A variant of the prothrombin gene and the G1691A mutation of factor V gene had a higher rate of prevalence in patients with stroke and PFO, suggesting a possible pathophysiological role of these minor thrombophilias. By contrast, their study also reported that the homozygous deficient TT MTHFR genotype was not a genetic minor thrombophilia found in patients with PFO-related stroke (14). Furthermore, a recent study reported that usual risk factors for stroke (such as smoking, dyslipidemia or diabetes) are not associated with risk for PFO-related stroke (19). Moreover, that study highlighted that thrombophilias or intracardiac shunt size are not associated with stroke occurrence in patients with PFO (19).

Lastly, the third particularity of the present case comes from the medication treatment. From a neurological perspective, secondary prevention following cryptogenic stroke is generally achieved with aspirin or a direct oral anticoagulant. A total of two large randomized trials, NAVIGATE ESUS and RE-SPECT ESUS, evaluated the efficiency of rivaroxaban and dabigatran, respectively, compared with aspirin; however, the results demonstrated no definitive superiority of direct oral anticoagulants over aspirin, and the evidence remains under evaluation (19-21). However, for the patient in the present case report, with both PFO and positive thrombophilic status, anticoagulation was decided as secondary prevention: Considering the postpartum status of the patient, low molecular weight heparin was administered for the first month following delivery, and acenocoumarole was then administered for the ensuing 3 months.

Furthermore, from a psychological perspective, following ischemic stroke, young adults are more predisposed to fatigue, depression and anxiety (23,24). Other feelings may include anger, denial, frustration, negative body image and impaired self-esteem (24). Additionally, certain common practical problems that young stroke survivors experience are family conflicts, loss of home, loss of employment and loss of spouse (25), with psychological adjustments including reduced quality of life (associated with dependence, being single and unemployment), financial stress, conflicts with spouses, children, childcare difficulties, sexual problems, separation, reduced social and leisure activities, disruption of self and identity and reduced life satisfaction (24). It has been suggested that depot injectable medication may increase quality of life in patients with psychotic symptoms (26). Furthermore, pregnancy and the peripartum period is considered a critical period for marriage, and pregnant women are at risk for developing marital burnout (27). Burnout syndrome is characterized by psychiatric, psychosomatic, somatic and social symptoms; whilst chronic fatigue, continuous exhaustion and mental stressors may arise during pregnancy and peripartum; therefore, this is a period where women are predisposed to burnout syndrome (28). Medical treatment for psychiatric symptoms in pregnant patients or patients during the peripartum period should be carefully considered and given only if the benefits exceed the risks for the infant.

In conclusion, the particularity of the case described herein originates from the series of medical interventions in a full-term pregnant patient who presented with acute ischemic stroke in the revascularization window: Clinical examination, native head CT scan, emergency cesarean section, CT angiography of the cerebral arteries, and, eventually, mechanical thrombectomy, were performed. The present case report also emphasizes the importance of evaluating inherited genetic thrombophilia and PFO in young patients suffering a stroke, and highlights the need for psychological and psychiatric evaluation for possible reactive depression, anxiety and burnout in young patients suffering a stroke, particularly in the peripartum period.

Acknowledgements

Not applicable.

Funding

Funding: No funding was received.

Availability of data and materials

The data generated in the present study may be requested from the corresponding author.

Authors  contributions

All authors (AIV, ADT, CN and ST) were involved in the conceptualization of the study, as well as in the writing of the initial draft of the manuscript, and in the writing, revising and editing of the manuscript. AIV and CN were involved in the curation of the patient s data. AIV and ADT were involved in the analysis of the patient s data. AIV was involved in the analysis of the patient s data. AIV, ADT, CN and ST were involved in the description of the medical procedure performed for the patient in the present case report, the series of interventions and the series of etiological investigations performed. CN and ST were the physicians that handled the case. AIV participated in the therapeutic management of the patient as a resident and ADT was involved in the writing of the manuscript as a medical student. CN was the primary neurologist who was on the case and obtained the consent, the medical images and was responsible for the main medical decisions. CN and ST supervised the study and were involved in data validation and in the critical review of the manuscript. AIV and CN confirm the authenticity of all the raw data. All authors read and approved the final manuscript.

Ethics approval and consent to participate

Complete written informed consent was obtained from the patient for her participation in the present case report.

Patient consent for publication

Complete written informed consent was obtained from the patient for the publication of the present case report and the accompanying images.

Competing interests

The authors declare that they have no competing interests.

Use of artificial intelligence tools

During the preparation of this work, artificial intelligence tools were used to improve the readability and language of the manuscript or to generate images, and subsequently, the authors revised and edited the content produced by the artificial intelligence tools as necessary, taking full responsibility for the ultimate content of the present manuscript.

References

1 

Sousa Gomes M, Guimarães M and Montenegro N: Thrombolysis in pregnancy: A literature review. J Matern Fetal Neonatal Med. 32:2418–2428. 2019.PubMed/NCBI View Article : Google Scholar

2 

Dicpinigaitis AJ, Sursal T, Morse CA, Briskin C, Dakay K, Kurian C, Kaur G, Sahni R, Bowers C, Gandhi CD, et al: Endovascular thrombectomy for treatment of acute ischemic stroke during pregnancy and the early postpartum period. Stroke. 52:3796–3804. 2021.PubMed/NCBI View Article : Google Scholar

3 

Leonhardt G, Gaul C, Nietsch HH, Buerke M and Schleussner E: Thrombolytic therapy in pregnancy. J Thromb Thrombolysis. 21:271–276. 2006.PubMed/NCBI View Article : Google Scholar

4 

del Zoppo GJ, Levy DE, Wasiewski WW, Pancioli AM, Demchuk AM, Trammel J, Demaerschalk BM, Kaste M, Albers GW and Ringelstein EB: Hyperfibrinogenemia and functional outcome from acute ischemic stroke. Stroke. 40:1687–1691. 2009.PubMed/NCBI View Article : Google Scholar

5 

James AH, Bushnell CD, Jamison MG and Myers ER: Incidence and risk factors for stroke in pregnancy and the puerperium. Obstet Gynecol. 106:509–516. 2005.PubMed/NCBI View Article : Google Scholar

6 

Bhogal P, Aguilar M, AlMatter M, Karck U, Bäzner H and Henkes H: Mechanical thrombectomy in pregnancy: Report of 2 cases and review of the literature. Interv Neurol. 6:49–56. 2017.PubMed/NCBI View Article : Google Scholar

7 

Hoang JK, Wang C, Frush DP, Enterline DS, Samei E, Toncheva G, Lowry C and Yoshizumi TT: Estimation of radiation exposure for brain perfusion CT: Standard protocol compared with deviations in protocol. AJR Am J Roentgenol. 201:W730–W734. 2013.PubMed/NCBI View Article : Google Scholar

8 

Al-Mufti F, Schirmer CM, Starke RM, Chaudhary N, De Leacy R, Tjoumakaris SI, Haranhalli N, Abecassis IJ, Amuluru K, Bulsara KR, et al: Thrombectomy in special populations: Report of the society of neuroInterventional surgery standards and guidelines committee. J Neurointerv Surg. 14:1033–1041. 2022.PubMed/NCBI View Article : Google Scholar

9 

Demchuk AM: Yes, intravenous thrombolysis should be administered in pregnancy when other clinical and imaging factors are favorable. Stroke. 44:864–865. 2013.PubMed/NCBI View Article : Google Scholar

10 

Aaron S, Shyamkumar NK, Alexander S, Babu PS, Prabhakar AT, Moses V, Murthy TV and Alexander M: Mechanical thrombectomy for acute ischemic stroke in pregnancy using the penumbra system. Ann Indian Acad Neurol. 19:261–263. 2016.PubMed/NCBI View Article : Google Scholar

11 

Tereanu C, Minca D, Costea R, Janta D, Grego S, Ravera L, Pezzano D and Viganò P: ExpIR-RO: A collaborative International project for experimenting voluntary incident reporting in the public healthcare sector in Romania. Iran J Public Health. 40:22–31. 2011.PubMed/NCBI

12 

Egred M, Andron M, Albouaini K, Alahmar A, Grainger R and Morrison WL: Percutaneous closure of patent foramen ovale and atrial septal defect: Procedure outcome and medium-term follow-up. J Interv Cardiol. 20:395–401. 2007.PubMed/NCBI View Article : Google Scholar

13 

Furtunescu F, Minca DG, Vasile A and Domnariu C: Alcohol consumption impact on premature mortality in Romania. Rom J Leg Med. 17:296–302. 2009.

14 

Pezzini A, Del Zotto E, Magoni M, Costa A, Archetti S, Grassi M, Akkawi NM, Albertini A, Assanelli D, Vignolo LA and Padovani A: Inherited thrombophilic disorders in young adults with ischemic stroke and patent foramen ovale. Stroke. 34:28–33. 2003.PubMed/NCBI View Article : Google Scholar

15 

Safouris A, Kargiotis O, Psychogios K, Kalyvas P, Ikonomidis I, Drakopoulou M, Toutouzas K and Tsivgoulis G: A narrative and critical review of randomized-controlled clinical trials on patent foramen ovale closure for reducing the risk of stroke recurrence. Front Neurol. 11(434)2020.PubMed/NCBI View Article : Google Scholar

16 

Orgera MA, O Malley PG and Taylor AJ: Secondary prevention of cerebral ischemia in patent foramen ovale: Systematic review and meta-analysis. South Med J. 94:699–703. 2001.PubMed/NCBI

17 

Kheiri B, Simpson TF, Osman M, Golwala H, Radaideh Q, Dalouk K, Stecker EC, Zahr F, Nazer B and Rahmouni H: Meta-analysis of secondary prevention of cryptogenic stroke. Cardiovasc Revasc Med. 21:1285–1290. 2020.PubMed/NCBI View Article : Google Scholar

18 

Kim BJ, Sohn H, Sun BJ, Song JK, Kang DW, Kim JS and Kwon SU: Imaging characteristics of ischemic strokes related to patent foramen ovale. Stroke. 44:3350–3356. 2013.PubMed/NCBI View Article : Google Scholar

19 

Badea RŞ, Ribigan AC, Grecu N, Terecoasǎ E, Antochi FA, Bâldea Mihǎilǎ S, Tiu C and Popescu BO: Differences in clinical and biological factors between patients with PFO-related stroke and patients with PFO and no cerebral vascular events. Front Neurol. 14(1104674)2023.PubMed/NCBI View Article : Google Scholar

20 

Diener HC, Sacco RL, Easton JD, Granger CB, Bar M, Bernstein RA, Brainin M, Brueckmann M, Cronin L, Donnan G, et al: Antithrombotic treatment of embolic stroke of undetermined source: RE-SPECT ESUS elderly and renally impaired subgroups. Stroke. 51:1758–1765. 2020.PubMed/NCBI View Article : Google Scholar

21 

Diener HC, Sacco RL, Easton JD, Granger CB, Bernstein RA, Uchiyama S, Kreuzer J, Cronin L, Cotton D, Grauer C, et al: Dabigatran for prevention of stroke after embolic stroke of undetermined source. N Engl J Med. 380:1906–1917. 2019.PubMed/NCBI View Article : Google Scholar

22 

Diener HC, Easton JD, Granger CB, Cronin L, Duffy C, Cotton D, Brueckmann M and Sacco RL: RE-SPECT ESUS Investigators. Design of Randomized, double-blind, evaluation in secondary stroke prevention comparing the efficacy and safety of the oral thrombin inhibitor dabigatran etexilate vs. acetylsalicylic acid in patients with embolic stroke of undetermined source (RE-SPECT ESUS). Int J Stroke. 10:1309–1312. 2015.PubMed/NCBI View Article : Google Scholar

23 

de Bruijn MA, Synhaeve NE, van Rijsbergen MW, de Leeuw FE, Mark RE, Jansen BP and de*Kort PL: Quality of life after young ischemic stroke of mild severity is mainly influenced by psychological factors. J Stroke Cerebrovasc Dis. 24:2183–2188. 2015.PubMed/NCBI View Article : Google Scholar

24 

Morris R: The Psychology of Stroke in Young Adults: The roles of service provision and return to work. Stroke Res Treat. 2011(534812)2011.PubMed/NCBI View Article : Google Scholar

25 

Teasell RW, McRae MP and Finestone HM: Social issues in the rehabilitation of younger stroke patients. Arch Phys Med Rehabil. 81:205–209. 2000.PubMed/NCBI View Article : Google Scholar

26 

Trifu S and Trifu AD: Receptor profiles of atypical antipsychotic molecules. Chem Mater Sci. 82:113–128. 2020.

27 

Moravejjifar M, Hassannia R, Esmaeili H, Tehrani H and Vahedian*Shahroodi M: Predictors of marital burnout in pregnant women based on social cognitive theory components. J Midwifery Reprod Health. 9:2834–2843. 2021.

28 

Trifu S: Neuroendocrine insights into burnout syndrome. Acta Endocrinol (Buchar). 15:404–405. 2019.PubMed/NCBI View Article : Google Scholar

Related Articles

  • Abstract
  • View
  • Download
Copy and paste a formatted citation
Spandidos Publications style
Vasile AI, Trifu AD, Nica C and Trifu S: <p>Therapeutic management in a pregnant patient with acute ischemic stroke in the revascularization window: A case report</p>. Med Int 6: 12, 2026.
APA
Vasile, A.I., Trifu, A.D., Nica, C., & Trifu, S. (2026). <p>Therapeutic management in a pregnant patient with acute ischemic stroke in the revascularization window: A case report</p>. Medicine International, 6, 12. https://doi.org/10.3892/mi.2026.296
MLA
Vasile, A. I., Trifu, A. D., Nica, C., Trifu, S."<p>Therapeutic management in a pregnant patient with acute ischemic stroke in the revascularization window: A case report</p>". Medicine International 6.1 (2026): 12.
Chicago
Vasile, A. I., Trifu, A. D., Nica, C., Trifu, S."<p>Therapeutic management in a pregnant patient with acute ischemic stroke in the revascularization window: A case report</p>". Medicine International 6, no. 1 (2026): 12. https://doi.org/10.3892/mi.2026.296
Copy and paste a formatted citation
x
Spandidos Publications style
Vasile AI, Trifu AD, Nica C and Trifu S: <p>Therapeutic management in a pregnant patient with acute ischemic stroke in the revascularization window: A case report</p>. Med Int 6: 12, 2026.
APA
Vasile, A.I., Trifu, A.D., Nica, C., & Trifu, S. (2026). <p>Therapeutic management in a pregnant patient with acute ischemic stroke in the revascularization window: A case report</p>. Medicine International, 6, 12. https://doi.org/10.3892/mi.2026.296
MLA
Vasile, A. I., Trifu, A. D., Nica, C., Trifu, S."<p>Therapeutic management in a pregnant patient with acute ischemic stroke in the revascularization window: A case report</p>". Medicine International 6.1 (2026): 12.
Chicago
Vasile, A. I., Trifu, A. D., Nica, C., Trifu, S."<p>Therapeutic management in a pregnant patient with acute ischemic stroke in the revascularization window: A case report</p>". Medicine International 6, no. 1 (2026): 12. https://doi.org/10.3892/mi.2026.296
Follow us
  • Twitter
  • LinkedIn
  • Facebook
About
  • Spandidos Publications
  • Careers
  • Cookie Policy
  • Privacy Policy
How can we help?
  • Help
  • Live Chat
  • Contact
  • Email to our Support Team