International Journal of Molecular Medicine is an international journal devoted to molecular mechanisms of human disease.
International Journal of Oncology is an international journal devoted to oncology research and cancer treatment.
Covers molecular medicine topics such as pharmacology, pathology, genetics, neuroscience, infectious diseases, molecular cardiology, and molecular surgery.
Oncology Reports is an international journal devoted to fundamental and applied research in Oncology.
Experimental and Therapeutic Medicine is an international journal devoted to laboratory and clinical medicine.
Oncology Letters is an international journal devoted to Experimental and Clinical Oncology.
Explores a wide range of biological and medical fields, including pharmacology, genetics, microbiology, neuroscience, and molecular cardiology.
International journal addressing all aspects of oncology research, from tumorigenesis and oncogenes to chemotherapy and metastasis.
Multidisciplinary open-access journal spanning biochemistry, genetics, neuroscience, environmental health, and synthetic biology.
Open-access journal combining biochemistry, pharmacology, immunology, and genetics to advance health through functional nutrition.
Publishes open-access research on using epigenetics to advance understanding and treatment of human disease.
An International Open Access Journal Devoted to General Medicine.
Coronary heart disease (CHD) occurs with high incidence and results in many deaths from ischemic events (1). CHD may be attributed to the interaction of genetic and environmental factors (2). CHD pathogenesis proceeds when vascular endothelial injury leads to blood lipid deposition in the smooth endarterium, causing the formation of white atherosclerotic plaques. These plaques continue to grow, forming a thrombus that may either block blood flow directly or dislodge and travel through the circulation. These actions may result in myocardial infarction or stroke.
While a number of genetic and environmental factors that promote CHD have been identified, relatively few factors are known to reduce the risk of the disease. One, nitric oxide (NO), is considered to be an endogenous anti-atherosclerotic plaque factor (3). NO is produced in the body by nitric oxide synthase (NOS) (4,5). NOS activity, and therefore NO synthesis, may be reduced by an endogenous competitive inhibitor, asymmetric dimethylarginine (ADMA) (6). ADMA, however, becomes inactivated via hydrolysis by dimethylarginine dimethylaminohydrolases (DDAHs); DDAH has two subtypes, including DDAH2 which is mainly expressed in vascular endothelial cells (7). Changes in DDAH activity or expression may affect the synthesis of NO by affecting ADMA levels (8). DDAH activity and/or expression may be affected by polymorphisms within the gene; therefore, polymorphisms in DDAH may be associated with CHD.
Two polymorphisms in DDAH have been identified: rs805305 and rs2272592 (9,10). In the present study, we determined the frequency of these polymorphisms in CHD patients and healthy individuals to investigate whether these polymorphisms may predispose an individual to CHD.
A total of 180 patients who were diagnosed in The First Affiliated Hospital of Zhengzhou University from October 2008 to May 2011 were enrolled in the study. CHD was confirmed by coronary angiography. The study population included 96 males and 84 females, aged 37–87 years (mean age 54.37±11.05 years). Another 180 healthy individuals who received a physical examination in our hospital from January 2010 to June 2011 were selected as a control group; these included 100 males and 80 females, aged 35–87 years (mean age 52.36±14.25 years). No statistically significant difference was observed in age or gender between the two groups. History of hypertension, diabetes, smoking and alcohol use was surveyed for patients in the two groups; the body mass index (BMI) and blood glucose, triglyceride and cholesterol levels were also measured for the two groups. The study was approved by the ethics committee of the First Affiliated Hospital of Zhengzhou University. All patients provided informed consent.
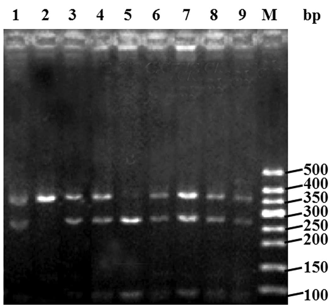
The polymerase chain reaction-restriction fragment length polymorphism (PCR-RFLP) method was used to genotype DDAH2 at the rs805305 locus. A 5-ml sample of venous blood was taken from each patient and genomic DNA was isolated from each sample by phenol-chloroform-isoamyl alcohol extraction. The target fragment that potentially contained the polymorphism was amplified by PCR using the following primers (Takara, Dalian, China): forward, 5′-CCTTCTCGTTCGGGTATTCAG-3′; and reverse, 5′-TCCAGACCTTCCGCTCCT-3′. The reaction mix included 2 μl genomic DNA, 2.5 μl 10X PCR buffer (Promega, Madison, WI, USA), 1.5 μl 25 mM dNTP (Promega), 0.25 μl 2.5 U/ml Taq DNA polymerase (Promega), 1.5 μl 25 mM MgCl2 (Promega), 0.5 μl forward primer (100 pmol/l), 0.5 μl reverse primer (100 pmol/l) and water (to a final volume of 25 μl). The thermal cycling conditions were as follows: pre-denaturation at 94°C for 5 min; 30 cycles of denaturation at 94°C for 60 sec, annealing at 58°C for 60 sec and extension at 72°C for 60 sec; and elongation at 72°C for 5 min. The amplified PCR product (2 μl) was digested with 2 μl SmaI (Promega) in 2 μl 10X buffer (with deionized water to a final volume of 20 μl) in a 30°C water bath for 4 h. The reaction product (5 μl) was separated by agarose gel electrophoresis. The expected band sizes are as follows (see Fig. 1): the GG genotype (no SmaI restriction site) produces one band of 341 bp; the CC genotype product produces two bands, 254 and 87 bp; and the CG genotype produces 3 bands, 341, 254 and 87 bp.
The ligase detection reaction (LDR) (11) was used to detect the target gene sequence containing the SNP. The sequence of the forward primer was 5′-GGGTGGGATGAGTAGGACAA-3′, and that of the reverse primer was 5≥-ACTGACCCACCC CTCATTC-3≥. The reaction mix components were the same as for the preceding reaction. The thermal cycling conditions were as follows: 94°C for 5 min; 30 cycles of 94°C for 45 sec, 56°C for 45 sec and 72°C for 45 sec; and 72°C for 5 min. The products were verified by agarose gel electrophoresis (see Fig. 2). The products were then subjected to LDR with the following probe sequences: rs2272592 reverse_modify, P-TTTAAAGTGTGGGCGACATGGAATGTTTTTTTTTTT TTTTTTTTTTTTT-FAM; rs2272592 reverse_C, TTTTTT TTTTTTTTTTTTTTTTTTATCAAGTGTTTTTACGCAT GGGGG, LDR length 98 bp; and rs2272592 reverse_T, TTTTTTTTTTTTTTTTTTTTTTTTTTATCAAGTGTTTT TACGCAATGGGGA, LDR length 100 bp. The reaction mix contained 1 μl 1X buffer, 1 μl 12.5 pmol/μl each probe mix, 1 μl 2 units ligase, 1 μl PCR product and water to a final volume of 10 μl. The thermal cycling conditions were as follows: 95°C for 2 min; 35 cycles of 94°C for 30 sec; and 50°C for 2 min. The reaction products were sequenced (ABI sequencer, Foster City, CA, USA), and Genemapper software was used to analyze the genotype at rs2272592. The results revealed three genotypes at this locus, GG, GA and AA.
SPSS 13.0 for Windows statistical software was used to perform statistical analysis. A χ2 test was applied to numerical data and a t-test was applied to measurement data. P<0.05 was considered to indicate a statistically significant result.
Analysis of the medical histories and biochemical indices between the patients with CHD and the healthy individuals revealed higher systolic blood pressure and blood triglyceride and glucose levels in the CHD patients than in the control group; these differences were statistically significant (P<0.05). Additionally, the percentages of patients with CHD who had a history of hypertension, diabetes, smoking or alcohol use were 56.11, 27.22, 47.78 and 52.78%, respectively. Each of these percentages was significantly higher than the corresponding value in the control group (P<0.05; Table I).
The allele frequencies for the polymorphisms in DDAH2 at rs805305 were in Hardy-Weinberg equilibrium for the experimental and control groups (P>0.05). The genotype frequencies of GG, CG and CC were, respectively, 17.78, 65.56 and 16.67% in patients with CHD and 23.33, 55.56 and 21.11% in the control group; these distributions were not significantly different. The frequencies of G and C alleles were 50.56 and 49.44% in the experimental group and 51.11 and 48.89%, respectively, in the control group; again, these distributions were not significantly different (Table II).
Table IIDimethylarginine dimethylaminohydrolase (DDAH2) rs805305 genotype and allele frequency distribution. |
The allele frequencies for the polymorphisms in DDAH2 at rs2272592 were in Hardy-Weinberg equilibrium for the experimental and control groups (P>0.05). The genotype frequencies of GG, GA and AA were 63.89, 33.89 and 2.22%, respectively, in the experimental group and 71.11, 27.22 and 1.67%, respectively, in the control group; these differences were not statistically significant. The frequencies of G and A alleles were 81.94 and 18.06%, respectively, in the experimental group and 84.72 and 15.28%, respectively, in the control group; again, these distributions were not statistically different (Table III).
Table IIIDimethylarginine dimethylaminohydrolase (DDAH2) rs2272592 genotype and allele frequency distribution. |
Studies have shown that NO, a fat-soluble molecule, is able to rapidly diffuse into target cells, including vascular smooth muscle cells and neurons; additionally, NO is considered to be a messenger molecule with wider effects in the body (12). NO is produced by endothelial cells and it diffuses into and relaxes vascular smooth muscle cells, causing hemangiectasis and blood pressure decline (13). Furthermore, NO is able to inhibit smooth muscle cell proliferation by preventing platelet aggregation and reducing the formation and growth of atherosclerotic plaques. Endogenous NO is mainly generated via L-arginine conversion and a reaction catalyzed by NOS (14); defects in the metabolism of NO are considered to contribute to the pathogenesis of CHD.
Due to the ability of the endogenous molecule ADMA to inhibit NOS activity, it is very important in the pathogenesis of CHD (15). However, since ADMA is hydrolyzed by DDAH to L-citrulline and dimethylamine in the body, it may lose its activity. DDAH, therefore, may effectively reduce the concentration of ADMA and increase the activity of NOS, thereby increasing NO synthesis. DDAH has two subtypes, DDAH1, which is mainly expressed in the nervous system, and DDAH2, which is mainly expressed in the cardiovascular system (16). Gene knockouts have shown that a lack of DDAH expression in DDAH null mice results in an increased plasma ADMA concentration and reduced NO concentration, along with significantly increased blood pressure (17). Therefore, individuals with reduced DDAH2 activity may carry a CHD risk factor.
The results of this study demonstrated, as expected, that BMI and blood triglyceride and glucose levels were all significantly higher in patients with CHD than in healthy individuals; similarly, histories of hypertension, diabetes, smoking or alcohol use were all more common among CHD patients. Indeed, hypertension, diabetes, smoking and alcohol use are known risk factors for CHD (18).
However, although DDAH2 has generated interest as a potential risk factor for CHD, our analysis of two polymorphic loci in the DDAH2 gene did not uncover any differences in the distribution of alleles between healthy individuals and patients with CHD. Therefore, polymorphism at rs805305 or rs2272592 is not associated with CHD. Notably, a study by Jones et al(19) suggested that polymorphisms in the DDAH2 promoter affected DDAH2 expression in vascular endothelial cells and that polymorphism at the DDAH2 promoter 871 locus was correlated with changes in ADMA levels in the body. However, Maas et al(10) reported no correlation between polymorphisms at the rs805304 or rs805305 loci of the DDAH2 promoter and CHD, supporting our findings. The differences between our findings and those reported by Jones et al may result from two characteristics of our study: a smaller sample size and the possibility that participants in our study may not accurately represent the population distribution of the region.
In conclusion, the results from this study reveal that hypertension, diabetes, smoking and alcohol consumption are all risk factors for CHD, but polymorphisms in DDAH2 at rs805305 and rs2272592 are not associated with CHD.
This study was supported by the Key Science and Technology Project of Henan Province (No. 112102310180).
|
Gaziano TA, Bitton A, Anand S, Abrahams-Gessel S and Murphy A: Growing epidemic of coronary heart disease in low- and middle-income countries. Curr Probl Cardiol. 35:72–115. 2010.PubMed/NCBI | |
|
Tearney GJ, Regar E, Akasaka T, et al: Consensus standards for acquisition, measurement, and reporting of intravascular optical coherence tomography studies: a report from the International Working Group for Intravascular Optical Coherence Tomography Standardization and Validation. J Am Coll Cardiol. 59:1058–1072. 2012. View Article : Google Scholar | |
|
Kolovou G and Giannakopoulou V: Endothelial nitric oxide synthase gene variants and coronary heart disease. Angiology. 63:84–85. 2012. View Article : Google Scholar : PubMed/NCBI | |
|
Chen X, Niroomand F, Liu Z, Zankl A, Katus HA, Jahn L and Tiefenbacher CP: Expression of nitric oxide related enzymes in coronary heart disease. Basic Res Cardiol. 101:346–353. 2006. View Article : Google Scholar : PubMed/NCBI | |
|
Jia CQ, Ning Y, Liu TT and Liu ZL: Association between G894T mutation in endothelial nitric oxide synthase gene and premature coronary heart disease. Zhonghua Liu Xing Bing Xue Za Zhi. 26:51–53. 2005.(In Chinese). | |
|
Celik M, Iyisoy A, Celik T, Yilmaz MI, Yuksel UC and Yaman H: The relationship between L-arginine/ADMA ratio and coronary collateral development in patients with low glomerular filtration rate. Cardiol J. 19:29–35. 2012. View Article : Google Scholar : PubMed/NCBI | |
|
Palm F, Onozato ML, Luo Z and Wilcox CS: Dimethylarginine dimethylaminohydrolase (DDAH): expression, regulation, and function in the cardiovascular and renal systems. Am J Physiol Heart Circ Physiol. 293:H3227–H3245. 2007. View Article : Google Scholar : PubMed/NCBI | |
|
Gad MZ, Hassanein SI, Abdel-Maksoud SM, et al: Assessment of serum levels of asymmetric dimethylarginine, symmetric dimethylarginine and L-arginine in coronary artery disease. Biomarkers. 15:746–752. 2010. View Article : Google Scholar : PubMed/NCBI | |
|
Abhary S, Burdon KP, Kuot A, Javadiyan S, Whiting MJ, Kasmeridis N, Petrovsky N and Craig JE: Sequence variation in DDAH1 and DDAH2 genes is strongly and additively associated with serum ADMA concentrations in individuals with type 2 diabetes. PLoS One. 5:e94622010. View Article : Google Scholar : PubMed/NCBI | |
|
Maas R, Erdmann J, Lüneburg N, et al: Polymorphisms in the promoter region of the dimethylarginine dimethylaminohydrolase 2 gene are associated with prevalence of hypertension. Pharmacol Res. 60:488–493. 2009. View Article : Google Scholar : PubMed/NCBI | |
|
Wang YZ, Xiao JH, Liu LG, Ye CY, Shen HY, Xu TM and Zhu KZ: Simultaneous detection of hepatitis B virus genotypes and mutations associated with resistance to lamivudine, adefovir, and telbivudine by the polymerase chain reaction-ligase detection reaction. Braz J Infect Dis. 15:560–566. 2011. View Article : Google Scholar | |
|
Alasbahi RH and Melzig MF: Forskolin and derivatives as tools for studying the role of cAMP. Pharmazie. 67:5–13. 2012.PubMed/NCBI | |
|
Houston M: The role of magnesium in hypertension and cardiovascular disease. J Clin Hypertens (Greenwich). 13:843–847. 2011. View Article : Google Scholar : PubMed/NCBI | |
|
Anthony S, Leiper J and Vallance P: Endogenous production of nitric oxide synthase inhibitors. Vasc Med. (Suppl 1)10:S3–S9. 2005. View Article : Google Scholar | |
|
Maas R: Pharmacotherapies and their influence on asymmetric dimethylargine (ADMA). Vasc Med. (Suppl 1)10:S49–S57. 2005. View Article : Google Scholar : PubMed/NCBI | |
|
Tatematsu S, Wakino S, Kanda T, et al: Role of nitric oxide-producing and -degrading pathways in coronary endothelial dysfunction in chronic kidney disease. J Am Soc Nephrol. 18:741–749. 2007. View Article : Google Scholar : PubMed/NCBI | |
|
Leiper J, Nandi M, Torondel B, et al: Disruption of methylarginine metabolism impairs vascular homeostasis. Nat Med. 13:198–203. 2007. View Article : Google Scholar : PubMed/NCBI | |
|
Zand Parsa AF, Ziai H and Haghighi L: The impact of cardiovascular risk factors on the site and extent of coronary artery disease. Cardiovasc J Afr. 23:197–199. 2012.PubMed/NCBI | |
|
Jones LC, Tran CT, Leiper JM, Hingorani AD and Vallance P: Common genetic variation in a basal promoter element alters DDAH2 expression in endothelial cells. Biochem Biophys Res Commun. 310:836–843. 2003. View Article : Google Scholar : PubMed/NCBI |