Spandidos Publications Logo
  • About
    • About Spandidos
    • Aims and Scopes
    • Abstracting and Indexing
    • Editorial Policies
    • Reprints and Permissions
    • Job Opportunities
    • Terms and Conditions
    • Contact
  • Journals
    • All Journals
    • Oncology Letters
      • Oncology Letters
      • Information for Authors
      • Editorial Policies
      • Editorial Board
      • Aims and Scope
      • Abstracting and Indexing
      • Bibliographic Information
      • Archive
    • International Journal of Oncology
      • International Journal of Oncology
      • Information for Authors
      • Editorial Policies
      • Editorial Board
      • Aims and Scope
      • Abstracting and Indexing
      • Bibliographic Information
      • Archive
    • Molecular and Clinical Oncology
      • Molecular and Clinical Oncology
      • Information for Authors
      • Editorial Policies
      • Editorial Board
      • Aims and Scope
      • Abstracting and Indexing
      • Bibliographic Information
      • Archive
    • Experimental and Therapeutic Medicine
      • Experimental and Therapeutic Medicine
      • Information for Authors
      • Editorial Policies
      • Editorial Board
      • Aims and Scope
      • Abstracting and Indexing
      • Bibliographic Information
      • Archive
    • International Journal of Molecular Medicine
      • International Journal of Molecular Medicine
      • Information for Authors
      • Editorial Policies
      • Editorial Board
      • Aims and Scope
      • Abstracting and Indexing
      • Bibliographic Information
      • Archive
    • Biomedical Reports
      • Biomedical Reports
      • Information for Authors
      • Editorial Policies
      • Editorial Board
      • Aims and Scope
      • Abstracting and Indexing
      • Bibliographic Information
      • Archive
    • Oncology Reports
      • Oncology Reports
      • Information for Authors
      • Editorial Policies
      • Editorial Board
      • Aims and Scope
      • Abstracting and Indexing
      • Bibliographic Information
      • Archive
    • Molecular Medicine Reports
      • Molecular Medicine Reports
      • Information for Authors
      • Editorial Policies
      • Editorial Board
      • Aims and Scope
      • Abstracting and Indexing
      • Bibliographic Information
      • Archive
    • World Academy of Sciences Journal
      • World Academy of Sciences Journal
      • Information for Authors
      • Editorial Policies
      • Editorial Board
      • Aims and Scope
      • Abstracting and Indexing
      • Bibliographic Information
      • Archive
    • International Journal of Functional Nutrition
      • International Journal of Functional Nutrition
      • Information for Authors
      • Editorial Policies
      • Editorial Board
      • Aims and Scope
      • Abstracting and Indexing
      • Bibliographic Information
      • Archive
    • International Journal of Epigenetics
      • International Journal of Epigenetics
      • Information for Authors
      • Editorial Policies
      • Editorial Board
      • Aims and Scope
      • Abstracting and Indexing
      • Bibliographic Information
      • Archive
    • Medicine International
      • Medicine International
      • Information for Authors
      • Editorial Policies
      • Editorial Board
      • Aims and Scope
      • Abstracting and Indexing
      • Bibliographic Information
      • Archive
  • Articles
  • Information
    • Information for Authors
    • Information for Reviewers
    • Information for Librarians
    • Information for Advertisers
    • Conferences
  • Language Editing
Spandidos Publications Logo
  • About
    • About Spandidos
    • Aims and Scopes
    • Abstracting and Indexing
    • Editorial Policies
    • Reprints and Permissions
    • Job Opportunities
    • Terms and Conditions
    • Contact
  • Journals
    • All Journals
    • Biomedical Reports
      • Information for Authors
      • Editorial Policies
      • Editorial Board
      • Aims and Scope
      • Abstracting and Indexing
      • Bibliographic Information
      • Archive
    • Experimental and Therapeutic Medicine
      • Information for Authors
      • Editorial Policies
      • Editorial Board
      • Aims and Scope
      • Abstracting and Indexing
      • Bibliographic Information
      • Archive
    • International Journal of Epigenetics
      • Information for Authors
      • Editorial Policies
      • Editorial Board
      • Aims and Scope
      • Abstracting and Indexing
      • Bibliographic Information
      • Archive
    • International Journal of Functional Nutrition
      • Information for Authors
      • Editorial Policies
      • Editorial Board
      • Aims and Scope
      • Abstracting and Indexing
      • Bibliographic Information
      • Archive
    • International Journal of Molecular Medicine
      • Information for Authors
      • Editorial Policies
      • Editorial Board
      • Aims and Scope
      • Abstracting and Indexing
      • Bibliographic Information
      • Archive
    • International Journal of Oncology
      • Information for Authors
      • Editorial Policies
      • Editorial Board
      • Aims and Scope
      • Abstracting and Indexing
      • Bibliographic Information
      • Archive
    • Medicine International
      • Information for Authors
      • Editorial Policies
      • Editorial Board
      • Aims and Scope
      • Abstracting and Indexing
      • Bibliographic Information
      • Archive
    • Molecular and Clinical Oncology
      • Information for Authors
      • Editorial Policies
      • Editorial Board
      • Aims and Scope
      • Abstracting and Indexing
      • Bibliographic Information
      • Archive
    • Molecular Medicine Reports
      • Information for Authors
      • Editorial Policies
      • Editorial Board
      • Aims and Scope
      • Abstracting and Indexing
      • Bibliographic Information
      • Archive
    • Oncology Letters
      • Information for Authors
      • Editorial Policies
      • Editorial Board
      • Aims and Scope
      • Abstracting and Indexing
      • Bibliographic Information
      • Archive
    • Oncology Reports
      • Information for Authors
      • Editorial Policies
      • Editorial Board
      • Aims and Scope
      • Abstracting and Indexing
      • Bibliographic Information
      • Archive
    • World Academy of Sciences Journal
      • Information for Authors
      • Editorial Policies
      • Editorial Board
      • Aims and Scope
      • Abstracting and Indexing
      • Bibliographic Information
      • Archive
  • Articles
  • Information
    • For Authors
    • For Reviewers
    • For Librarians
    • For Advertisers
    • Conferences
  • Language Editing
Login Register Submit
  • This site uses cookies
  • You can change your cookie settings at any time by following the instructions in our Cookie Policy. To find out more, you may read our Privacy Policy.

    I agree
Search articles by DOI, keyword, author or affiliation
Search
Advanced Search
presentation
Molecular Medicine Reports
Join Editorial Board Propose a Special Issue
Print ISSN: 1791-2997 Online ISSN: 1791-3004
Journal Cover
December 2012 Volume 6 Issue 6

Full Size Image

Sign up for eToc alerts
Recommend to Library

Journals

International Journal of Molecular Medicine

International Journal of Molecular Medicine

International Journal of Molecular Medicine is an international journal devoted to molecular mechanisms of human disease.

International Journal of Oncology

International Journal of Oncology

International Journal of Oncology is an international journal devoted to oncology research and cancer treatment.

Molecular Medicine Reports

Molecular Medicine Reports

Covers molecular medicine topics such as pharmacology, pathology, genetics, neuroscience, infectious diseases, molecular cardiology, and molecular surgery.

Oncology Reports

Oncology Reports

Oncology Reports is an international journal devoted to fundamental and applied research in Oncology.

Experimental and Therapeutic Medicine

Experimental and Therapeutic Medicine

Experimental and Therapeutic Medicine is an international journal devoted to laboratory and clinical medicine.

Oncology Letters

Oncology Letters

Oncology Letters is an international journal devoted to Experimental and Clinical Oncology.

Biomedical Reports

Biomedical Reports

Explores a wide range of biological and medical fields, including pharmacology, genetics, microbiology, neuroscience, and molecular cardiology.

Molecular and Clinical Oncology

Molecular and Clinical Oncology

International journal addressing all aspects of oncology research, from tumorigenesis and oncogenes to chemotherapy and metastasis.

World Academy of Sciences Journal

World Academy of Sciences Journal

Multidisciplinary open-access journal spanning biochemistry, genetics, neuroscience, environmental health, and synthetic biology.

International Journal of Functional Nutrition

International Journal of Functional Nutrition

Open-access journal combining biochemistry, pharmacology, immunology, and genetics to advance health through functional nutrition.

International Journal of Epigenetics

International Journal of Epigenetics

Publishes open-access research on using epigenetics to advance understanding and treatment of human disease.

Medicine International

Medicine International

An International Open Access Journal Devoted to General Medicine.

Journal Cover
December 2012 Volume 6 Issue 6

Full Size Image

Sign up for eToc alerts
Recommend to Library

  • Article
  • Citations
    • Cite This Article
    • Download Citation
    • Create Citation Alert
    • Remove Citation Alert
    • Cited By
  • Similar Articles
    • Related Articles (in Spandidos Publications)
    • Similar Articles (Google Scholar)
    • Similar Articles (PubMed)
  • Download PDF
  • Download XML
  • View XML
Article Open Access

Chromogranin A cell density in the rectum of patients with irritable bowel syndrome

  • Authors:
    • M. El-Salhy
    • T. Mazzawi
    • D. Gundersen
    • T. Hausken
  • View Affiliations / Copyright

    Affiliations: Section for Gastroenterology, Department of Medicine, Stord Helse-Fonna Hospital, Stord, Norway, Department of Research, Helse-Fonna, Haugesund, Norway, Section for Gastroenterology, Institute of Medicine, University of Bergen, Bergen, Norway
    Copyright: © El-Salhy et al. This is an open access article distributed under the terms of Creative Commons Attribution License [CC BY_NC 3.0].
  • Pages: 1223-1225
    |
    Published online on: September 18, 2012
       https://doi.org/10.3892/mmr.2012.1087
  • Expand metrics +
Metrics: Total Views: 0 (Spandidos Publications: | PMC Statistics: )
Metrics: Total PDF Downloads: 0 (Spandidos Publications: | PMC Statistics: )
Cited By (CrossRef): 0 citations Loading Articles...

This article is mentioned in:



Abstract

In a previous study, chromogranin A (CgA) cell density in the colon of patients with irritable bowel syndrome (IBS) was found to be reduced. It has been suggested that intestinal CgA cell density may be used as a marker for the diagnosis of IBS. The rectum harbours a larger number of large intestinal endocrine cells and is more accessible for biopsies than the colon. The present study aimed at determining the CgA cell density in the rectum of IBS patients. A total of 47 patients with IBS that fulfilled the Rome Criteria III (39 females and 8 males; average age, 38 years) were included. A total of 28 patients had diarrhea (IBS-D) and 19 had constipation (IBS-C) as the predominant symptom. A total of 27 subjects that underwent colonoscopy with rectal biopsies were used as the controls. These subjects underwent colonoscopy due to gastrointestinal bleeding (the source of which was identified as haemorrhoids or angiodysplasia; 19 females and 8 males; average age, 49 years), or health worries. The rectal biopsies were immunostained for CgA and quantified by computer image analysis. The CgA density in the controls was 206.3±22.2 (mean ± SEM), in all IBS patients 190.2±14.3, in IBS-D patients 188.8±14.7 and in IBS-C patients 195.3±34.1. There was no statistically significant difference between the controls, IBS, IBS-D or IBS-C patients (P=0.5, 0.5 and 0.7, respectively). The present study showed that although the rectum comprises the same endocrine cell types as the colon, attention must be paid when drawing conclusions regarding the whole large intestine from studies carried out on the rectum. This particularly applies when endocrine cells are investigated. As CgA cell density represents the total endocrine cell content of the rectum, changes in specific endocrine cells in IBS patients cannot be excluded.

Introduction

Irritable bowel syndrome (IBS) is a chronic gastrointestinal disorder affecting 5–20% of the world’s population. IBS symptoms include abdominal discomfort or pain associated with altered bowel habits and often bloating and abdominal distension (1). IBS is not known to be associated with the development of serious diseases or with excess mortality (2,3). However, it considerably reduces the quality of life (1). Apart from the increased morbidity caused by IBS, it is an economic burden to society in a number of ways (a rise in sick leave or over-utilization of healthcare resources) (1).

Chromogranin A (CgA) is a marker for gut endocrine cells and endocrine tumours (4–6). It is a 68 kDa protein comprising 439 amino acid residues and was isolated for the first time from secretory granules of the bovine adrenal medulla (4,6). CgA is co-stored and co-released with monoamines and peptide hormones of the adrenal medulla, pituitary gland, parathyroid, thyroid C-cells, pancreatic islets, endocrine cells of the gastrointestinal tract and sympathetic nerves (4,5).

CgA cell density has been found to be reduced in the colon of IBS patients and it has been suggested that intestinal CgA cell density may be used as a marker for the diagnosis of IBS (1,7). The human rectum has the same endocrine cell types as the colon, namely: serotonin-, peptide YY (PYY)-, pancreatic polypeptide (PP)-, enteroglucagon- and somatostatin-producing cells (8,9). The rectum harbours, however, a larger number of these endocrine cells (8,9). In addition, the rectum is more accessible for biopsies than the colon. Therefore, the present study aimed to determine CgA cell density in the rectum of IBS patients and to examine whether biopsies would be easier and would have higher specificity and sensitivity when performed in the rectum compared to the colon.

Materials and methods

Patients and controls

A total of 47 patients with IBS that fulfilled the Rome Criteria III (39 females and 8 males; average age, 38 years; range, 18–65 years) were included in this study (10; http://www.romecriteria.org). A total of 28 patients had diarrhea (IBS-D) and 19 had constipation (IBS-C) as the predominant symptom. All patients underwent a complete physical examination comprising of blood tests (including full blood count, electrolytes, calcium and inflammatory markers), liver tests and thyroid function tests.

A total of 27 subjects (19 females and 8 males; average age, 49 years; range, 18–67 years), who underwent colonoscopy with rectal biopsies were used as the controls. In 20 of these subjects, colonoscopy was performed due to gastrointestinal bleeding, the source of which was identified as haemorrhoids (18 subjects) or angiodysplasia (2 subjects). The other 7 subjects were examined due to worries resulting from having relatives diagnosed with colon carcinoma.

The study was performed in accordance with the Declaration of Helsinki and was approved by the local Committee for Medical Research Ethics. All subjects provided oral and written informed consent.

Colonoscopy

The patients, as well as the controls underwent colonoscopy, while biopsies were obtained from the rectum, approximately 15 cm from the anus. Biopsies were fixed in 4% buffered paraformaldehyde overnight, embedded in paraffin and cut into 5 μm-thick sections.

Histopathology and immunohistochemistry

The sections were stained with haematoxylin and eosin and immunostained with the avidin-biotin complex (ABC) method using a Vectastain ABC kit (Vector Laboratories, Burlingame, CA, USA), as previously described in detail (11). The primary antibody used was monoclonal mouse anti-N-terminal of purified CgA (DakoCytomation, Glostrup, Denmark; code no. M869). The second layer biotinylated mouse anti-IgG was obtained from DakoCytomation.

Computerized image analysis

Computerized image analysis was performed using Olympus software: Cell ^D. When using ×20 objectives, the frame (field) on the monitor represents an area of 0.14 mm2 of the tissue. The number of CgA immunoreactive cells and the area of the epithelial cells were measured in each field. Measurements were taken in 10 randomly chosen fields for each individual. Data from the fields were tabulated, the number of cells/mm2 of the epithelium was computed and statistically analysed automatically.

Statistical analysis

Mann-Whitney U test was performed. P-values <0.05 were considered to indicate statistically significant differences.

Results

Colonoscopy, histopathology and immunohistochemistry

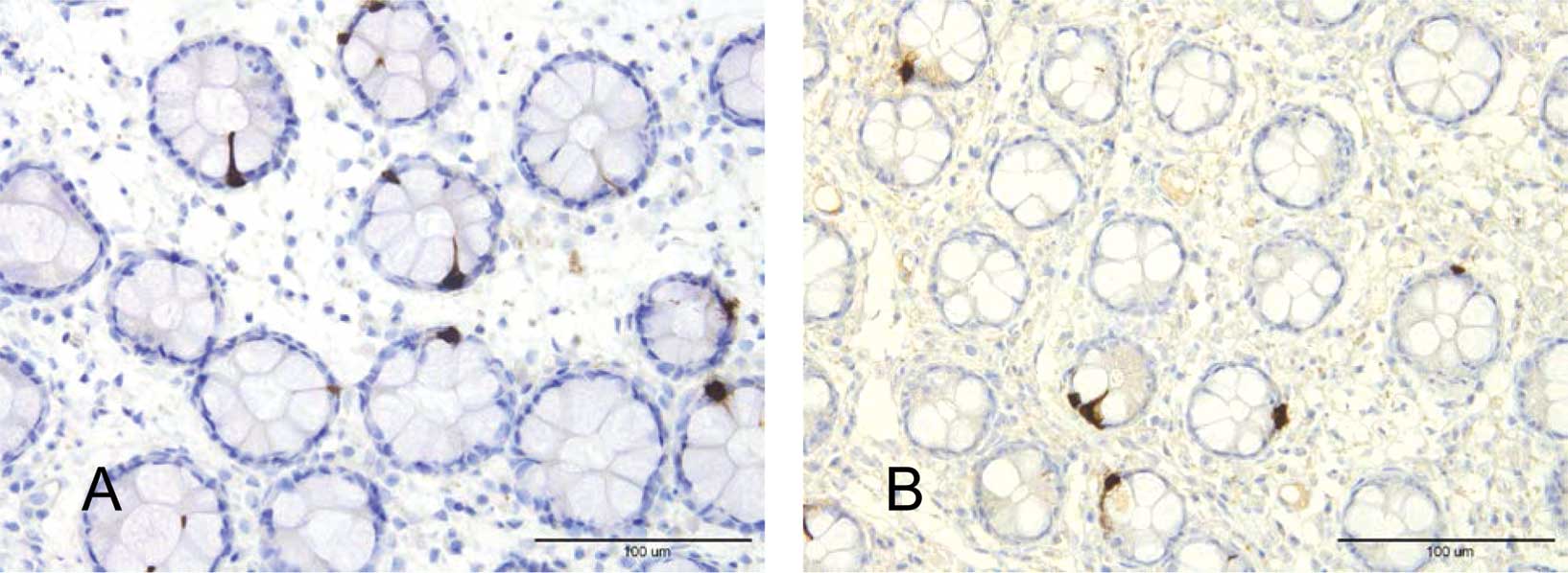
The colons of the patients and the controls were macroscopically normal. Histopathological examination of the colon biopsies from patients and controls revealed normal histology. CgA cells were located mostly in the upper part of the crypts of Lieberkühn (Fig. 1). These cells were basket- or flask-shaped.

Figure 1

CgA-immunoreactive cells in the rectum of (A) a control and (B) a patient with IBS.

Computerized image analysis

The CgA density in the controls was 206.3±22.2 (mean ± SEM), in all IBS patients 190.2±14.3, in IBS-D patients 188.8±14.7 and in IBS-C patients 195.3±34.1 (Fig. 2). There was no statistically significant difference between the controls, IBS, IBS-D or IBS-C patients (P=0.5, 0.5 and 0.7, respectively).

Figure 2

CgA-immunoreactive cell density in controls and patients with IBS.

Discussion

The age and gender of the patients and healthy controls used in this study did not match completely. The control subjects were slightly older and the proportion of males to females was higher. In previous studies, however, age and gender have been found to have no effect on the density of intestinal endocrine cells in adults (8,12). The present findings demonstrating that rectal CgA cell density in patients with IBS does not differ from that of the controls was unexpected. However, taking into consideration that the colon and the rectum have different physiological functions, this observation becomes less surprising. Thus, the main function of the colon is absorbing water, sodium and some fat soluble vitamins, whereas the rectum acts as a reservoir for faeces and plays a principal role in defection (13). As mentioned previously, the rectum, besides containing the same endocrine cells as the colon, harbours a larger number of these cells as well as a larger supply of autonomic innervation compared to the colon (13).

The rectum is accessible for biopsies subsequent to a simple rigid rectoscope without any rigorous intestinal cleansing. On the other hand, biopsies from the colon require intestinal preparation, availability of a flexible colonoscope and a specialist with the knowledge of performing a colonoscopy. That is why the rectum has been chosen as a representative of the large intestine in several studies investigating endocrine cells in IBS patients (14–17). The present findings raise a warning against using the rectum as a representative of the large intestine, particularly in investigations concerning endocrine cells in a pathological condition.

Although CgA cell density, representing the total endocrine cell content of the rectum, remained unchanged in IBS patients, changes in specific endocrine cells should not be excluded. The findings asserting that changes in the serotonin cells do occur in the rectum of patients with IBS support this assumption (14–17). However, additional studies are required to clarify this hypothesis.

In conclusion, the present study demonstrates that although the rectum comprises the same endocrine cell types as the colon, attention should be paid when drawing conclusions regarding the whole large intestine from studies conducted on the rectum. This particularly applies when investigating endocrine cells.

Acknowledgements

The present study was supported by a grant from Helse-Fonna.

References

1 

El-Salhy M, Gundersen D, Hatlebakk JG and Hausken T: Irritable bowel syndrome. Nova Scientific Publisher; New York, NY: 2012

2 

Drossman DA, Morris CB, Schneck S, Hu YJ, Norton NJ, Norton WF, Weinland SR, et al: International survey of patients with IBS: symptom features and their severity, health status, treatments, and risk taking to achieve clinical benefit. J Clin Gastroenterol. 43:541–550. 2009. View Article : Google Scholar : PubMed/NCBI

3 

Sloth H and Jorgensen LS: Chronic non-organic upper abdominal pain: diagnostic safety and prognosis of gastrointestinal and non-intestinal symptoms. A 5-to 7-year follow-up study. Scand J Gastroenterol. 23:1275–1280. 1988.PubMed/NCBI

4 

Taupenot L, Harper KL and O’Connor DT: The chromogranin-secretogranin family. N Engl J Med. 348:1134–1149. 2003. View Article : Google Scholar : PubMed/NCBI

5 

Wicdenmann B and Huttner WB: Synaptophysin and chromogranin/secretogranins - widespread constituents of distinct types of neuroendocrine vesicales and new tools in tumor diagnosis. Virchows Arch B Cell Pathol Incl Mol Pathol. 58:95–121. 1989. View Article : Google Scholar : PubMed/NCBI

6 

Deftos LJ: Chromogranin A: its role in endocrine function and as an endocrine and neuroendocrine tumor marker. Endocr Rev. 12:181–187. 1991. View Article : Google Scholar : PubMed/NCBI

7 

El-Salhy M, Lomholt-Beck B and Hausken T: Chromogranin as a tool in the diagnosis of irritable bowel syndrome. Scan J Gastroenterol. 45:1435–1439. 2010. View Article : Google Scholar

8 

Sandström O and El-Salhy M: Human rectal endocrine cells and aging. Mech Ageing Dev. 108:219–226. 1999.PubMed/NCBI

9 

Sjölund K, Sandèn G, Håkanson R and Sundler F: Endocrine cells in human intestine: an immunocytochemical study. Gastroenterology. 85:1120–1130. 1983.PubMed/NCBI

10 

Longstreth GF, Thompson WG, Chey WD, Houghton LA, Mearin F and Spiller RC: Functional bowel disorder. Gastroenterology. 130:1480–91. 2006. View Article : Google Scholar : PubMed/NCBI

11 

El-Salhy M, Stenling R and Grimelius L: Peptidergic innervation and endocrine cells in the human liver. Scand J Gastroenterol. 28:809–815. 1993. View Article : Google Scholar : PubMed/NCBI

12 

Sandström O and El-Salhy M: Aging and endocrine cells of human duodenum. Mech Ageing Dev. 108:39–48. 1999.

13 

Nordgren S: Kolon. Hellerstöm P: Janssen-Cilag AB; Stockholm: pp. 63–78. 1993

14 

Spiller RC, Jenkins D, Thornely, Hebden JM, Wright T, Skinner M and Neal KR: Increased rectal mucosal enteroendocrine cells, T lymphocytes, and increased gut permeability following acute Campylobacter enteritis and in post-dysenteric irritable bowel syndrome. Gut. 47:804–811. 2000. View Article : Google Scholar

15 

Dunlop SP, Jenkins D, Neal KR and Spiller RC: Relative importance of enterochromaffin cells hyperplasia, anxiety, and depression in postinfectious IBS. Gastroenterology. 125:1651–1659. 2003. View Article : Google Scholar : PubMed/NCBI

16 

Lee KJ, Kim YB, Kwon HC, Kim DK and Cho SW: The alteration of enterochromaffin cell, mast cell and lamina propria T lymphocyte numbers in irritable bowel syndrome and its relationship with psychological factors. J Gastroenterol Hepatol. 23:1689–1694. 2008. View Article : Google Scholar : PubMed/NCBI

17 

Kim HS, Lim JH, Park H and Lee SI: Increased immunoendocrine cells in intestinal mucosa of postinfectious irritable bowel syndrome patients 3 years after acute Shigella infection- an observation in small case control study. Yonsei Med J. 51:45–51. 2010.

Related Articles

  • Abstract
  • View
  • Download
  • Twitter
Copy and paste a formatted citation
Spandidos Publications style
El-Salhy M, Mazzawi T, Gundersen D and Hausken T: Chromogranin A cell density in the rectum of patients with irritable bowel syndrome. Mol Med Rep 6: 1223-1225, 2012.
APA
El-Salhy, M., Mazzawi, T., Gundersen, D., & Hausken, T. (2012). Chromogranin A cell density in the rectum of patients with irritable bowel syndrome. Molecular Medicine Reports, 6, 1223-1225. https://doi.org/10.3892/mmr.2012.1087
MLA
El-Salhy, M., Mazzawi, T., Gundersen, D., Hausken, T."Chromogranin A cell density in the rectum of patients with irritable bowel syndrome". Molecular Medicine Reports 6.6 (2012): 1223-1225.
Chicago
El-Salhy, M., Mazzawi, T., Gundersen, D., Hausken, T."Chromogranin A cell density in the rectum of patients with irritable bowel syndrome". Molecular Medicine Reports 6, no. 6 (2012): 1223-1225. https://doi.org/10.3892/mmr.2012.1087
Copy and paste a formatted citation
x
Spandidos Publications style
El-Salhy M, Mazzawi T, Gundersen D and Hausken T: Chromogranin A cell density in the rectum of patients with irritable bowel syndrome. Mol Med Rep 6: 1223-1225, 2012.
APA
El-Salhy, M., Mazzawi, T., Gundersen, D., & Hausken, T. (2012). Chromogranin A cell density in the rectum of patients with irritable bowel syndrome. Molecular Medicine Reports, 6, 1223-1225. https://doi.org/10.3892/mmr.2012.1087
MLA
El-Salhy, M., Mazzawi, T., Gundersen, D., Hausken, T."Chromogranin A cell density in the rectum of patients with irritable bowel syndrome". Molecular Medicine Reports 6.6 (2012): 1223-1225.
Chicago
El-Salhy, M., Mazzawi, T., Gundersen, D., Hausken, T."Chromogranin A cell density in the rectum of patients with irritable bowel syndrome". Molecular Medicine Reports 6, no. 6 (2012): 1223-1225. https://doi.org/10.3892/mmr.2012.1087
Follow us
  • Twitter
  • LinkedIn
  • Facebook
About
  • Spandidos Publications
  • Careers
  • Cookie Policy
  • Privacy Policy
How can we help?
  • Help
  • Live Chat
  • Contact
  • Email to our Support Team