Spandidos Publications Logo
  • About
    • About Spandidos
    • Aims and Scopes
    • Abstracting and Indexing
    • Editorial Policies
    • Reprints and Permissions
    • Job Opportunities
    • Terms and Conditions
    • Contact
  • Journals
    • All Journals
    • Oncology Letters
      • Oncology Letters
      • Information for Authors
      • Editorial Policies
      • Editorial Board
      • Aims and Scope
      • Abstracting and Indexing
      • Bibliographic Information
      • Archive
    • International Journal of Oncology
      • International Journal of Oncology
      • Information for Authors
      • Editorial Policies
      • Editorial Board
      • Aims and Scope
      • Abstracting and Indexing
      • Bibliographic Information
      • Archive
    • Molecular and Clinical Oncology
      • Molecular and Clinical Oncology
      • Information for Authors
      • Editorial Policies
      • Editorial Board
      • Aims and Scope
      • Abstracting and Indexing
      • Bibliographic Information
      • Archive
    • Experimental and Therapeutic Medicine
      • Experimental and Therapeutic Medicine
      • Information for Authors
      • Editorial Policies
      • Editorial Board
      • Aims and Scope
      • Abstracting and Indexing
      • Bibliographic Information
      • Archive
    • International Journal of Molecular Medicine
      • International Journal of Molecular Medicine
      • Information for Authors
      • Editorial Policies
      • Editorial Board
      • Aims and Scope
      • Abstracting and Indexing
      • Bibliographic Information
      • Archive
    • Biomedical Reports
      • Biomedical Reports
      • Information for Authors
      • Editorial Policies
      • Editorial Board
      • Aims and Scope
      • Abstracting and Indexing
      • Bibliographic Information
      • Archive
    • Oncology Reports
      • Oncology Reports
      • Information for Authors
      • Editorial Policies
      • Editorial Board
      • Aims and Scope
      • Abstracting and Indexing
      • Bibliographic Information
      • Archive
    • Molecular Medicine Reports
      • Molecular Medicine Reports
      • Information for Authors
      • Editorial Policies
      • Editorial Board
      • Aims and Scope
      • Abstracting and Indexing
      • Bibliographic Information
      • Archive
    • World Academy of Sciences Journal
      • World Academy of Sciences Journal
      • Information for Authors
      • Editorial Policies
      • Editorial Board
      • Aims and Scope
      • Abstracting and Indexing
      • Bibliographic Information
      • Archive
    • International Journal of Functional Nutrition
      • International Journal of Functional Nutrition
      • Information for Authors
      • Editorial Policies
      • Editorial Board
      • Aims and Scope
      • Abstracting and Indexing
      • Bibliographic Information
      • Archive
    • International Journal of Epigenetics
      • International Journal of Epigenetics
      • Information for Authors
      • Editorial Policies
      • Editorial Board
      • Aims and Scope
      • Abstracting and Indexing
      • Bibliographic Information
      • Archive
    • Medicine International
      • Medicine International
      • Information for Authors
      • Editorial Policies
      • Editorial Board
      • Aims and Scope
      • Abstracting and Indexing
      • Bibliographic Information
      • Archive
  • Articles
  • Information
    • Information for Authors
    • Information for Reviewers
    • Information for Librarians
    • Information for Advertisers
    • Conferences
  • Language Editing
Spandidos Publications Logo
  • About
    • About Spandidos
    • Aims and Scopes
    • Abstracting and Indexing
    • Editorial Policies
    • Reprints and Permissions
    • Job Opportunities
    • Terms and Conditions
    • Contact
  • Journals
    • All Journals
    • Biomedical Reports
      • Information for Authors
      • Editorial Policies
      • Editorial Board
      • Aims and Scope
      • Abstracting and Indexing
      • Bibliographic Information
      • Archive
    • Experimental and Therapeutic Medicine
      • Information for Authors
      • Editorial Policies
      • Editorial Board
      • Aims and Scope
      • Abstracting and Indexing
      • Bibliographic Information
      • Archive
    • International Journal of Epigenetics
      • Information for Authors
      • Editorial Policies
      • Editorial Board
      • Aims and Scope
      • Abstracting and Indexing
      • Bibliographic Information
      • Archive
    • International Journal of Functional Nutrition
      • Information for Authors
      • Editorial Policies
      • Editorial Board
      • Aims and Scope
      • Abstracting and Indexing
      • Bibliographic Information
      • Archive
    • International Journal of Molecular Medicine
      • Information for Authors
      • Editorial Policies
      • Editorial Board
      • Aims and Scope
      • Abstracting and Indexing
      • Bibliographic Information
      • Archive
    • International Journal of Oncology
      • Information for Authors
      • Editorial Policies
      • Editorial Board
      • Aims and Scope
      • Abstracting and Indexing
      • Bibliographic Information
      • Archive
    • Medicine International
      • Information for Authors
      • Editorial Policies
      • Editorial Board
      • Aims and Scope
      • Abstracting and Indexing
      • Bibliographic Information
      • Archive
    • Molecular and Clinical Oncology
      • Information for Authors
      • Editorial Policies
      • Editorial Board
      • Aims and Scope
      • Abstracting and Indexing
      • Bibliographic Information
      • Archive
    • Molecular Medicine Reports
      • Information for Authors
      • Editorial Policies
      • Editorial Board
      • Aims and Scope
      • Abstracting and Indexing
      • Bibliographic Information
      • Archive
    • Oncology Letters
      • Information for Authors
      • Editorial Policies
      • Editorial Board
      • Aims and Scope
      • Abstracting and Indexing
      • Bibliographic Information
      • Archive
    • Oncology Reports
      • Information for Authors
      • Editorial Policies
      • Editorial Board
      • Aims and Scope
      • Abstracting and Indexing
      • Bibliographic Information
      • Archive
    • World Academy of Sciences Journal
      • Information for Authors
      • Editorial Policies
      • Editorial Board
      • Aims and Scope
      • Abstracting and Indexing
      • Bibliographic Information
      • Archive
  • Articles
  • Information
    • For Authors
    • For Reviewers
    • For Librarians
    • For Advertisers
    • Conferences
  • Language Editing
Login Register Submit
  • This site uses cookies
  • You can change your cookie settings at any time by following the instructions in our Cookie Policy. To find out more, you may read our Privacy Policy.

    I agree
Search articles by DOI, keyword, author or affiliation
Search
Advanced Search
presentation
Molecular Medicine Reports
Join Editorial Board Propose a Special Issue
Print ISSN: 1791-2997 Online ISSN: 1791-3004
Journal Cover
February 2013 Volume 7 Issue 2

Full Size Image

Sign up for eToc alerts
Recommend to Library

Journals

International Journal of Molecular Medicine

International Journal of Molecular Medicine

International Journal of Molecular Medicine is an international journal devoted to molecular mechanisms of human disease.

International Journal of Oncology

International Journal of Oncology

International Journal of Oncology is an international journal devoted to oncology research and cancer treatment.

Molecular Medicine Reports

Molecular Medicine Reports

Covers molecular medicine topics such as pharmacology, pathology, genetics, neuroscience, infectious diseases, molecular cardiology, and molecular surgery.

Oncology Reports

Oncology Reports

Oncology Reports is an international journal devoted to fundamental and applied research in Oncology.

Experimental and Therapeutic Medicine

Experimental and Therapeutic Medicine

Experimental and Therapeutic Medicine is an international journal devoted to laboratory and clinical medicine.

Oncology Letters

Oncology Letters

Oncology Letters is an international journal devoted to Experimental and Clinical Oncology.

Biomedical Reports

Biomedical Reports

Explores a wide range of biological and medical fields, including pharmacology, genetics, microbiology, neuroscience, and molecular cardiology.

Molecular and Clinical Oncology

Molecular and Clinical Oncology

International journal addressing all aspects of oncology research, from tumorigenesis and oncogenes to chemotherapy and metastasis.

World Academy of Sciences Journal

World Academy of Sciences Journal

Multidisciplinary open-access journal spanning biochemistry, genetics, neuroscience, environmental health, and synthetic biology.

International Journal of Functional Nutrition

International Journal of Functional Nutrition

Open-access journal combining biochemistry, pharmacology, immunology, and genetics to advance health through functional nutrition.

International Journal of Epigenetics

International Journal of Epigenetics

Publishes open-access research on using epigenetics to advance understanding and treatment of human disease.

Medicine International

Medicine International

An International Open Access Journal Devoted to General Medicine.

Journal Cover
February 2013 Volume 7 Issue 2

Full Size Image

Sign up for eToc alerts
Recommend to Library

  • Article
  • Citations
    • Cite This Article
    • Download Citation
    • Create Citation Alert
    • Remove Citation Alert
    • Cited By
  • Similar Articles
    • Related Articles (in Spandidos Publications)
    • Similar Articles (Google Scholar)
    • Similar Articles (PubMed)
  • Download PDF
  • Download XML
  • View XML
Article

CD133 expression in osteosarcoma and derivation of CD133+ cells

  • Authors:
    • Ji Li
    • Xiao-Yan Zhong
    • Zong-Yu Li
    • Jin‑Fang Cai
    • Lin  Zou
    • Jian‑Min Li
    • Tao Yang
    • Wei Liu
  • View Affiliations / Copyright

    Affiliations: Department of Orthopedics, The Fourth People's Hospital of Jinan/The Jinan Military General Hospital, Jinan 250031, P.R. China, Clinical Laboratory, The Eighth People's Hospital of Jinan, Jinan 250014, P.R. China, Department of Orthopedics, The Jinan Military General Hospital, Jinan 250031, P.R. China, Department of Orthopedics, Qilu Hospital Shandong University, Shandong 250012, P.R. China, Shandong Medical Association, Shandong 250014, P.R. China, Affiliated Hospital of Shandong Traditional Chinese Medicine University, Shandong 250012, P.R. China
  • Pages: 577-584
    |
    Published online on: December 13, 2012
       https://doi.org/10.3892/mmr.2012.1231
  • Expand metrics +
Metrics: Total Views: 0 (Spandidos Publications: | PMC Statistics: )
Metrics: Total PDF Downloads: 0 (Spandidos Publications: | PMC Statistics: )
Cited By (CrossRef): 0 citations Loading Articles...

This article is mentioned in:



Abstract

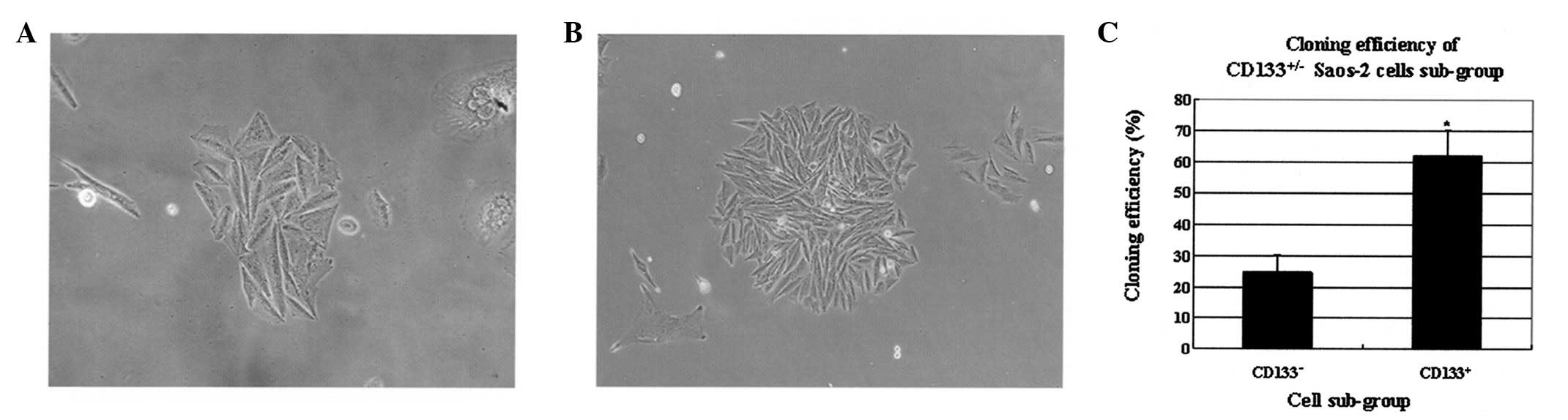
Cluster of differentiation 133 (CD133) is recognized as a stem cell marker for normal and cancerous tissues. Using cell culture and real‑time fluorescent polymerase chain reaction, CD133 expression was analyzed in osteosarcoma tissue and Saos‑2 cell lines. In addition, cancer stem cell‑related gene expression in the Saos‑2 cell line was determined to explore the mechanisms underlying tumorigenesis and high drug resistance in osteosarcoma. CD133+ cells were found to be widely distributed in various types of osteosarcoma tissue. Following cell culture, cells entered the G2/M and S cell cycle stages from G0/G1. Levels of CD133+ cells decreased to normal levels rapidly over the course of cell culture. Colony forming efficiency was higher in the CD133+ compared with the CD133‑ subpopulation of Saos‑2 cells. Expression levels of stem cell‑related genes, including multidrug resistance protein 1 (MDR1) and sex determining region Y‑box 2 (Sox2) in the CD133+ subpopulation of cells were found to be significantly higher compared with the CD133‑ subpopulation. These observations indicate that CD133+ Saos‑2 cells exhibit stem cell characteristics, including low abundance, quiescence and a high potential to undergo differentiation, as well as expression of key stem cell regulatory and drug resistance genes, which may cause osteosarcoma and high drug resistance.
View Figures

Figure 1

Figure 2

Figure 3

Figure 4

Figure 5

Figure 6

View References

1 

Reya T, Morrison SJ, Clarke MF and Weissman IL: Stem cells, cancer and cancer stem cells. Nature. 414:105–111. 2001. View Article : Google Scholar : PubMed/NCBI

2 

Huntly BJ and Gilliland DG: Leukaemia stem cells and the evolution of cancer-stem-cell research. Nat Rev Cancer. 5:311–321. 2005. View Article : Google Scholar : PubMed/NCBI

3 

Marx J: Cancer research. Mutant stem cells may seed cancer. Science. 301:1308–1310. 2003. View Article : Google Scholar : PubMed/NCBI

4 

Al-Hajj M, Wicha MS, Benito-Hernandez A, et al: Prospective identification of tumorigenic breast cancer cells. Proc Natl Acad Sci USA. 100:3983–3988. 2003. View Article : Google Scholar : PubMed/NCBI

5 

Singh SK, Hawkins C, Clarke ID, et al: Identification of human brain tumour initiating cells. Nature. 432:396–401. 2004. View Article : Google Scholar : PubMed/NCBI

6 

Goodell MA, Brose K, Paradis G, et al: Isolation and functional properties of murine hematopoietic stem cells that are replicating in vivo. J Exp Med. 183:1797–1806. 1996. View Article : Google Scholar : PubMed/NCBI

7 

Meyers PA, Schwartz CL, Krailo M, et al: Osteosarcoma: a randomized, prospective trial of the addition of ifosfamide and/or muramyl tripeptide to cisplatin, doxorubicin and high-dose methotrexate. J Clin Oncol. 23:2004–2011. 2005. View Article : Google Scholar : PubMed/NCBI

8 

Budak-Alpdogan T, Banerjee D and Bertino JR: Hematopoietic stem cell gene therapy with drug resistance genes: an update. Cancer Gene Ther. 12:849–863. 2005. View Article : Google Scholar : PubMed/NCBI

9 

Dean M, Fojo T and Bates S: Tumour stem cells and drug resistance. Nat Rev Cancer. 5:275–284. 2005. View Article : Google Scholar

10 

Donnenberg VS and Donnenberg AD: Multiple drug resistance in cancer revisited: the cancer stem cell hypothesis. J Clin Pharmacol. 45:872–877. 2005. View Article : Google Scholar : PubMed/NCBI

11 

Gerson SL: Drug resistance gene transfer: Stem cell protection and therapeutic efficacy. Exp Hematol. 28:1315–1324. 2000. View Article : Google Scholar : PubMed/NCBI

12 

Richardson C and Bank A: Preselection of transduced murine hematopoietic stem cell populations leads to increased long-term stability and expression of the human multiple drug resistance gene. Blood. 86:2579–2589. 1995.PubMed/NCBI

13 

Gibbs CP, Kukekov VG, Reith JD, et al: Stem-like cells in bone sarcomas: implications for tumorigenesis. Neoplasia. 7:967–976. 2005. View Article : Google Scholar : PubMed/NCBI

14 

Yin AH, Miraglia S, Zanjani ED, et al: AC133, a novel marker for human hematopoietic stem and progenitor cells. Blood. 90:5002–5012. 1997.PubMed/NCBI

15 

Lee A, Kessler JD, Read TA, et al: Isolation of neural stem cells from the postnatal cerebellum. Nat Neurosci. 8:723–729. 2005. View Article : Google Scholar : PubMed/NCBI

16 

Sagrinati C, Netti GS, Mazzinghi B, et al: Isolation and characterization of multipotent progenitor cells from the Bowman’s capsule of adult human kidneys. J Am Soc Nephrol. 17:2443–2456. 2006.PubMed/NCBI

17 

Richardson GD, Robson CN, Lang SH, et al: CD133, a novel marker for human prostatic epithelial stem cells. J Cell Sci. 117:3539–3545. 2004. View Article : Google Scholar : PubMed/NCBI

18 

Kordes C, Sawitza I, Müller-Marbach A, et al: CD133+ hepatic stellate cells are progenitor cells. Biochem Biophys Res Commun. 352:410–417. 2007.

19 

Sugiyama T, Rodriguez RT, McLean GW and Kim SK: Conserved markers of fetal pancreatic epithelium permit prospective isolation of islet progenitor cells by FACS. Proc Natl Acad Sci USA. 104:175–180. 2007. View Article : Google Scholar : PubMed/NCBI

20 

Ito Y, Hamazaki TS, Ohnuma K, et al: Isolation of murine hair-inducing cells using the cell surface marker prominin-1/CD133. J Invest Dermatol. 127:1052–1060. 2007. View Article : Google Scholar : PubMed/NCBI

21 

Collins AT, Berry PA, Hyde C, et al: Prospective identification of tumorigenic prostate cancer stem cells. Cancer Res. 65:10946–10951. 2005. View Article : Google Scholar : PubMed/NCBI

22 

Yin S, Li J, Hu C, et al: CD133 positive hepatocellular carcinoma cells possess high capacity for tumorigenicity. Int J Cancer. 120:1444–1450. 2007. View Article : Google Scholar : PubMed/NCBI

23 

Hermann PC, Huber SL, Herrler T, et al: Distinct populations of cancer stem cells determine tumor growth and metastatic activity in human pancreatic cancer. Cell Stem Cell. 1:313–323. 2007. View Article : Google Scholar : PubMed/NCBI

24 

Eramo A, Lotti F, Sette G, et al: Identification and expansion of the tumorigenic lung cancer stem cell population. Cell Death Differ. 15:504–514. 2008. View Article : Google Scholar : PubMed/NCBI

25 

Kim CF, Jackson EL, Woolfenden AE, et al: Identification of bronchioalveolar stem cells in normal lung and lung cancer. Cell. 121:823–835. 2005. View Article : Google Scholar : PubMed/NCBI

26 

Fang D, Nguyen TK, Leishear K, et al: A tumorigenic subpopulation with stem cell properties in melanomas. Cancer Res. 65:9328–9337. 2005. View Article : Google Scholar : PubMed/NCBI

27 

Ricci-Vitiani L, Lombardi DG, Pilozzi E, et al: Identification and expansion of human colon cancer initiating cells. Nature. 445:111–115. 2007. View Article : Google Scholar : PubMed/NCBI

28 

Prince ME, Sivanandan R, Kaczorowski A, et al: Identification of a subpopulation of cells with cancer stem cell properties in head and neck squamous cell carcinoma. Proc Natl Acad Sci USA. 104:973–978. 2007. View Article : Google Scholar : PubMed/NCBI

29 

Chambers I and Smith A: Self-renewal of teratocarcinoma and embryonic stem cells. Oncogene. 23:7150–7160. 2004. View Article : Google Scholar : PubMed/NCBI

30 

Pan CX, Zhu W and Cheng L: Implications of cancer stem cells in the treatment of cancer. Future Oncol. 2:723–731. 2006. View Article : Google Scholar : PubMed/NCBI

31 

Leslie EM, Deeley RG and Cole SP: Multidrug resistance proteins: role of P-glycoprotein, MRP1, MRP2 and BCRP (ABCG2) in tissue defense. Toxicol Appl Pharmacol. 204:216–237. 2005. View Article : Google Scholar : PubMed/NCBI

32 

Dietrich CG, Geier A and Oude Elferink RP: ABC of oral bioavailability: transporters as gatekeepers in the gut. Gut. 52:1788–1795. 2003. View Article : Google Scholar : PubMed/NCBI

33 

Staud F and Pavek P: Breast cancer resistance protein (BCRP/ABCG2). Int J Biochem Cell Biol. 37:720–725. 2005. View Article : Google Scholar : PubMed/NCBI

Related Articles

  • Abstract
  • View
  • Download
  • Twitter
Copy and paste a formatted citation
Spandidos Publications style
Li J, Zhong X, Li Z, Cai JF, Zou L, Li JM, Yang T and Liu W: CD133 expression in osteosarcoma and derivation of CD133+ cells. Mol Med Rep 7: 577-584, 2013.
APA
Li, J., Zhong, X., Li, Z., Cai, J., Zou, L., Li, J. ... Liu, W. (2013). CD133 expression in osteosarcoma and derivation of CD133+ cells. Molecular Medicine Reports, 7, 577-584. https://doi.org/10.3892/mmr.2012.1231
MLA
Li, J., Zhong, X., Li, Z., Cai, J., Zou, L., Li, J., Yang, T., Liu, W."CD133 expression in osteosarcoma and derivation of CD133+ cells". Molecular Medicine Reports 7.2 (2013): 577-584.
Chicago
Li, J., Zhong, X., Li, Z., Cai, J., Zou, L., Li, J., Yang, T., Liu, W."CD133 expression in osteosarcoma and derivation of CD133+ cells". Molecular Medicine Reports 7, no. 2 (2013): 577-584. https://doi.org/10.3892/mmr.2012.1231
Copy and paste a formatted citation
x
Spandidos Publications style
Li J, Zhong X, Li Z, Cai JF, Zou L, Li JM, Yang T and Liu W: CD133 expression in osteosarcoma and derivation of CD133+ cells. Mol Med Rep 7: 577-584, 2013.
APA
Li, J., Zhong, X., Li, Z., Cai, J., Zou, L., Li, J. ... Liu, W. (2013). CD133 expression in osteosarcoma and derivation of CD133+ cells. Molecular Medicine Reports, 7, 577-584. https://doi.org/10.3892/mmr.2012.1231
MLA
Li, J., Zhong, X., Li, Z., Cai, J., Zou, L., Li, J., Yang, T., Liu, W."CD133 expression in osteosarcoma and derivation of CD133+ cells". Molecular Medicine Reports 7.2 (2013): 577-584.
Chicago
Li, J., Zhong, X., Li, Z., Cai, J., Zou, L., Li, J., Yang, T., Liu, W."CD133 expression in osteosarcoma and derivation of CD133+ cells". Molecular Medicine Reports 7, no. 2 (2013): 577-584. https://doi.org/10.3892/mmr.2012.1231
Follow us
  • Twitter
  • LinkedIn
  • Facebook
About
  • Spandidos Publications
  • Careers
  • Cookie Policy
  • Privacy Policy
How can we help?
  • Help
  • Live Chat
  • Contact
  • Email to our Support Team