Spandidos Publications Logo
  • About
    • About Spandidos
    • Aims and Scopes
    • Abstracting and Indexing
    • Editorial Policies
    • Reprints and Permissions
    • Job Opportunities
    • Terms and Conditions
    • Contact
  • Journals
    • All Journals
    • Oncology Letters
      • Oncology Letters
      • Information for Authors
      • Editorial Policies
      • Editorial Board
      • Aims and Scope
      • Abstracting and Indexing
      • Bibliographic Information
      • Archive
    • International Journal of Oncology
      • International Journal of Oncology
      • Information for Authors
      • Editorial Policies
      • Editorial Board
      • Aims and Scope
      • Abstracting and Indexing
      • Bibliographic Information
      • Archive
    • Molecular and Clinical Oncology
      • Molecular and Clinical Oncology
      • Information for Authors
      • Editorial Policies
      • Editorial Board
      • Aims and Scope
      • Abstracting and Indexing
      • Bibliographic Information
      • Archive
    • Experimental and Therapeutic Medicine
      • Experimental and Therapeutic Medicine
      • Information for Authors
      • Editorial Policies
      • Editorial Board
      • Aims and Scope
      • Abstracting and Indexing
      • Bibliographic Information
      • Archive
    • International Journal of Molecular Medicine
      • International Journal of Molecular Medicine
      • Information for Authors
      • Editorial Policies
      • Editorial Board
      • Aims and Scope
      • Abstracting and Indexing
      • Bibliographic Information
      • Archive
    • Biomedical Reports
      • Biomedical Reports
      • Information for Authors
      • Editorial Policies
      • Editorial Board
      • Aims and Scope
      • Abstracting and Indexing
      • Bibliographic Information
      • Archive
    • Oncology Reports
      • Oncology Reports
      • Information for Authors
      • Editorial Policies
      • Editorial Board
      • Aims and Scope
      • Abstracting and Indexing
      • Bibliographic Information
      • Archive
    • Molecular Medicine Reports
      • Molecular Medicine Reports
      • Information for Authors
      • Editorial Policies
      • Editorial Board
      • Aims and Scope
      • Abstracting and Indexing
      • Bibliographic Information
      • Archive
    • World Academy of Sciences Journal
      • World Academy of Sciences Journal
      • Information for Authors
      • Editorial Policies
      • Editorial Board
      • Aims and Scope
      • Abstracting and Indexing
      • Bibliographic Information
      • Archive
    • International Journal of Functional Nutrition
      • International Journal of Functional Nutrition
      • Information for Authors
      • Editorial Policies
      • Editorial Board
      • Aims and Scope
      • Abstracting and Indexing
      • Bibliographic Information
      • Archive
    • International Journal of Epigenetics
      • International Journal of Epigenetics
      • Information for Authors
      • Editorial Policies
      • Editorial Board
      • Aims and Scope
      • Abstracting and Indexing
      • Bibliographic Information
      • Archive
    • Medicine International
      • Medicine International
      • Information for Authors
      • Editorial Policies
      • Editorial Board
      • Aims and Scope
      • Abstracting and Indexing
      • Bibliographic Information
      • Archive
  • Articles
  • Information
    • Information for Authors
    • Information for Reviewers
    • Information for Librarians
    • Information for Advertisers
    • Conferences
  • Language Editing
Spandidos Publications Logo
  • About
    • About Spandidos
    • Aims and Scopes
    • Abstracting and Indexing
    • Editorial Policies
    • Reprints and Permissions
    • Job Opportunities
    • Terms and Conditions
    • Contact
  • Journals
    • All Journals
    • Biomedical Reports
      • Information for Authors
      • Editorial Policies
      • Editorial Board
      • Aims and Scope
      • Abstracting and Indexing
      • Bibliographic Information
      • Archive
    • Experimental and Therapeutic Medicine
      • Information for Authors
      • Editorial Policies
      • Editorial Board
      • Aims and Scope
      • Abstracting and Indexing
      • Bibliographic Information
      • Archive
    • International Journal of Epigenetics
      • Information for Authors
      • Editorial Policies
      • Editorial Board
      • Aims and Scope
      • Abstracting and Indexing
      • Bibliographic Information
      • Archive
    • International Journal of Functional Nutrition
      • Information for Authors
      • Editorial Policies
      • Editorial Board
      • Aims and Scope
      • Abstracting and Indexing
      • Bibliographic Information
      • Archive
    • International Journal of Molecular Medicine
      • Information for Authors
      • Editorial Policies
      • Editorial Board
      • Aims and Scope
      • Abstracting and Indexing
      • Bibliographic Information
      • Archive
    • International Journal of Oncology
      • Information for Authors
      • Editorial Policies
      • Editorial Board
      • Aims and Scope
      • Abstracting and Indexing
      • Bibliographic Information
      • Archive
    • Medicine International
      • Information for Authors
      • Editorial Policies
      • Editorial Board
      • Aims and Scope
      • Abstracting and Indexing
      • Bibliographic Information
      • Archive
    • Molecular and Clinical Oncology
      • Information for Authors
      • Editorial Policies
      • Editorial Board
      • Aims and Scope
      • Abstracting and Indexing
      • Bibliographic Information
      • Archive
    • Molecular Medicine Reports
      • Information for Authors
      • Editorial Policies
      • Editorial Board
      • Aims and Scope
      • Abstracting and Indexing
      • Bibliographic Information
      • Archive
    • Oncology Letters
      • Information for Authors
      • Editorial Policies
      • Editorial Board
      • Aims and Scope
      • Abstracting and Indexing
      • Bibliographic Information
      • Archive
    • Oncology Reports
      • Information for Authors
      • Editorial Policies
      • Editorial Board
      • Aims and Scope
      • Abstracting and Indexing
      • Bibliographic Information
      • Archive
    • World Academy of Sciences Journal
      • Information for Authors
      • Editorial Policies
      • Editorial Board
      • Aims and Scope
      • Abstracting and Indexing
      • Bibliographic Information
      • Archive
  • Articles
  • Information
    • For Authors
    • For Reviewers
    • For Librarians
    • For Advertisers
    • Conferences
  • Language Editing
Login Register Submit
  • This site uses cookies
  • You can change your cookie settings at any time by following the instructions in our Cookie Policy. To find out more, you may read our Privacy Policy.

    I agree
Search articles by DOI, keyword, author or affiliation
Search
Advanced Search
presentation
Molecular Medicine Reports
Join Editorial Board Propose a Special Issue
Print ISSN: 1791-2997 Online ISSN: 1791-3004
Journal Cover
2014-April Volume 9 Issue 4

Full Size Image

Sign up for eToc alerts
Recommend to Library

Journals

International Journal of Molecular Medicine

International Journal of Molecular Medicine

International Journal of Molecular Medicine is an international journal devoted to molecular mechanisms of human disease.

International Journal of Oncology

International Journal of Oncology

International Journal of Oncology is an international journal devoted to oncology research and cancer treatment.

Molecular Medicine Reports

Molecular Medicine Reports

Covers molecular medicine topics such as pharmacology, pathology, genetics, neuroscience, infectious diseases, molecular cardiology, and molecular surgery.

Oncology Reports

Oncology Reports

Oncology Reports is an international journal devoted to fundamental and applied research in Oncology.

Experimental and Therapeutic Medicine

Experimental and Therapeutic Medicine

Experimental and Therapeutic Medicine is an international journal devoted to laboratory and clinical medicine.

Oncology Letters

Oncology Letters

Oncology Letters is an international journal devoted to Experimental and Clinical Oncology.

Biomedical Reports

Biomedical Reports

Explores a wide range of biological and medical fields, including pharmacology, genetics, microbiology, neuroscience, and molecular cardiology.

Molecular and Clinical Oncology

Molecular and Clinical Oncology

International journal addressing all aspects of oncology research, from tumorigenesis and oncogenes to chemotherapy and metastasis.

World Academy of Sciences Journal

World Academy of Sciences Journal

Multidisciplinary open-access journal spanning biochemistry, genetics, neuroscience, environmental health, and synthetic biology.

International Journal of Functional Nutrition

International Journal of Functional Nutrition

Open-access journal combining biochemistry, pharmacology, immunology, and genetics to advance health through functional nutrition.

International Journal of Epigenetics

International Journal of Epigenetics

Publishes open-access research on using epigenetics to advance understanding and treatment of human disease.

Medicine International

Medicine International

An International Open Access Journal Devoted to General Medicine.

Journal Cover
2014-April Volume 9 Issue 4

Full Size Image

Sign up for eToc alerts
Recommend to Library

  • Article
  • Citations
    • Cite This Article
    • Download Citation
    • Create Citation Alert
    • Remove Citation Alert
    • Cited By
  • Similar Articles
    • Related Articles (in Spandidos Publications)
    • Similar Articles (Google Scholar)
    • Similar Articles (PubMed)
  • Download PDF
  • Download XML
  • View XML
Article

Naringenin inhibits allergen‑induced airway remodeling in a murine model of asthma

  • Authors:
    • Ying Shi
    • Yan Tan
    • Shan Mao
    • Wei Gu
  • View Affiliations / Copyright

    Affiliations: Department of Respiratory Medicine, Nanjing First Hospital, Nanjing Medical University, Nanjing, Jiangsu 210006, P.R. China
  • Pages: 1204-1208
    |
    Published online on: February 10, 2014
       https://doi.org/10.3892/mmr.2014.1940
  • Expand metrics +
Metrics: Total Views: 0 (Spandidos Publications: | PMC Statistics: )
Metrics: Total PDF Downloads: 0 (Spandidos Publications: | PMC Statistics: )
Cited By (CrossRef): 0 citations Loading Articles...

This article is mentioned in:



Abstract

The flavonoid naringenin has been shown to attenuate airway inflammation and airway hyper‑reactivity in acute murine models of asthma. The purpose of this study was to investigate the effects of naringenin in allergen‑induced airway remodeling in mice. Ovalbumin (OVA)‑sensitized mice were challenged with OVA for 8 weeks to produce a model of chronic asthma. Airway hyper-responsiveness (AHR), inflammation and remodeling were evaluated in mice receiving naringenin prior to OVA challenge. Compared to OVA-sensitized and -challenged mice, those treated with naringenin showed markedly attenuated chronic inflammation, persistent AHR and airway remodeling. In addition, naringenin treatment caused a significant reduction in the levels of total serum IgE and of T helper 2 (Th2) cytokines in the bronchoalveolar lavage fluid (BALF). Naringenin may thus delay the progression of airway remodeling, providing a potential treatment for asthma.

Introduction

Bronchial asthma is an allergic disease manifesting with symptoms such as wheezing, breathlessness, chest tightness and coughing (1). Cardinal features of the disease are airway hyper-responsiveness (AHR), inflammation and remodeling (2). Airway remodeling refers to structural changes of the airway wall arising from unresolved inflammation, including epithelial denudation, subepithelial fibrosis, mucus gland hypertrophy, myofibroblast and smooth muscle proliferation and angiogenesis (3–5). These structural changes play important roles in the pathophysiology of asthma. In patients with severe asthma, airway remodeling is associated with airway thickening, airway flow limitation and AHR (6).

Naringenin is a naturally occurring flavonoid possessing anti-inflammatory and antiproliferative activities (7,8). We have previously demonstrated that naringenin attenuates acute inflammation and AHR in allergen-induced murine models of asthma (9). There are also reports that naringenin can inhibit neointimal hyperplasia and smooth muscle cell proliferation (10,11). Therefore, we hypothesized that naringenin may interfere with the structural changes occurring in chronic airway diseases. In the present study, we investigated the effects of naringenin on airway remodeling in a murine model of asthma.

Materials and methods

Antigen sensitization, challenge and naringenin treatment

Female BALB/c mice (6–8 weeks old) were purchased from the Shanghai Laboratory Animal, Inc. (Shanghai, China). The experimental procedures involving these mice were approved by the Nanjing Medical University and followed the guidelines of the Institutional Animal Care and Use Committee. Naringenin (Sigma-Aldrich, St. Louis, MO, USA) was dissolved in dimethylsulfoxide to obtain a final concentration of 0.1 mg/μl (367 mM), used as the stock solution.

Mice were randomly divided into four groups according to the difference of antigen in sensitization and treatment before challenge, namely control group, ovalbumin (OVA) group, dexamethasone group and naringenin group. Dexamethasone was purchased from Tianyao Company (Hubei, China) and was used at a concentration of 1 mg/ml. On days 0, 7 and 14, mice of the OVA, dexamethasone and naringenin groups were immunosensitized by intraperitoneal injection of 100 μg chicken egg OVA (grade V; Sigma-Aldrich) adsorbed to 100 μl of Imject Alum adjuvant (Pierce Biotechnology, Inc., Rockford, IL, USA). From day 21, the mice were challenged with 1% OVA aerosolized for 30 min/day, 3 days/week for 8 weeks. Mice of the dexamethasone and naringenin groups received intraperitoneal injections of dexamethasone (5 mg/kg body weight) and naringenin (50 mg/kg body weight) 1 h prior to each OVA challenge. The dose of naringenin was selected based on our previous study (9). Mice of the negative control group were sham-sensitized and -challenged using phosphate-buffered saline (PBS).

Airway physiology

Airway responsiveness was measured 24 h after the last OVA challenge. The mice were anesthetized, tracheostomized and placed in a whole-body plethysmograph (Synol High-Tech, Beijing, China). Then, mice were ventilated via an intratracheal tube at 90 breaths/min. Methacholine was administered through the caudal vein. The maximal values of lung resistance were measured after the administration of increasing doses of methacholine (10–200 μg/kg).

Analysis of bronchoalveolar lavage fluid (BALF) and serum

The airway lumina were washed 3 times with 0.5 ml of PBS. The BALF was centrifuged and the upper fluid sample was retained for IL-4 and IL-13 detection. The total number of different cell types in the BALF was estimated using Wright’s staining and a haemocytometer; at least 200 cells were counted. Serum IgE levels were measured with the OptEIA™ ELISA kit (BD Biosciences, San Diego, CA, USA).

Lung histology and periodic acid schiff (PAS) staining

The left lungs, collected 24 h after the last OVA challenge, were fixed in formalin, embedded in paraffin, sectioned and stained with hematoxylin and eosin solution and PAS. Blind-scoring histological analyses of the four groups was performed by pathologists. To quantify the mucus production in the airways, the number of PAS-negative and -positive epithelial cells (goblet cells) in individual bronchioles was counted as previously described (12). The percentage of PAS-positive cells was calculated as the number of PAS-positive epithelial cells per bronchiole divided by the total number of epithelial cells.

Immunohistochemical detection of α-smooth muscle actin (α-SMA)

Sections were deparaffinized and rehydrated in graduated alcohol solutions. Endogenous peroxidase activity was blocked by incubation with 3% H2O2. Specimens were flooded with 5% normal goat serum to prevent non-specific absorption of immunoglobulin. Specimens were then incubated with mouse anti-human α-SMA moloclonal antibody (Dako, Glostrup, Denmark). For the negative control, the primary antibody was replaced with normal rabbit IgG. The slides were incubated overnight and rinsed with PBS, then incubated with peroxidase-labeled goat anti-mouse IgG (Dako) for 30 min at 37°C, washed again with PBS, and stained with diaminobenzidine (Santa Cruz Biotechnology, Inc., Santa Cruz, CA, USA). The sections were counterstained with hematoxylin and eosin, dehydrated and observed under a light microscope. At least 10 bronchioles were counted in each of the slides. Data were expressed as the immunostained α-SMA area per length of the basement membrane of bronchioles (internal diameter, 150–200 μm2).

Assessment of peribronchial fibrosis

The total collagen content of the lung was determined according to the protocol of a commercial hydroxyproline detection kit (Nanjing Jiancheng Bioengineering Institute, Nanjing, China). The peribronchial area was stained with Masson’s trichrome staining and quantified using a light microscope attached to an image-analysis system (Simple PCI, version 5.2; Leica, Mannheim, Germany). At least 10 bronchioles were counted in each of the slides. Data were expressed as the stained area per length of the basement membrane of bronchioles.

Statistical analysis

Data were presented as means ± SEM. Statistical comparisons were performed with one-way ANOVA using the SPSS 16.0 software (IBM SPSS Statistics, Armonk, NY, USA). P<0.05 was considered to indicate a statistically significant difference.

Results

Naringenin attenuates chronic airway inflammation

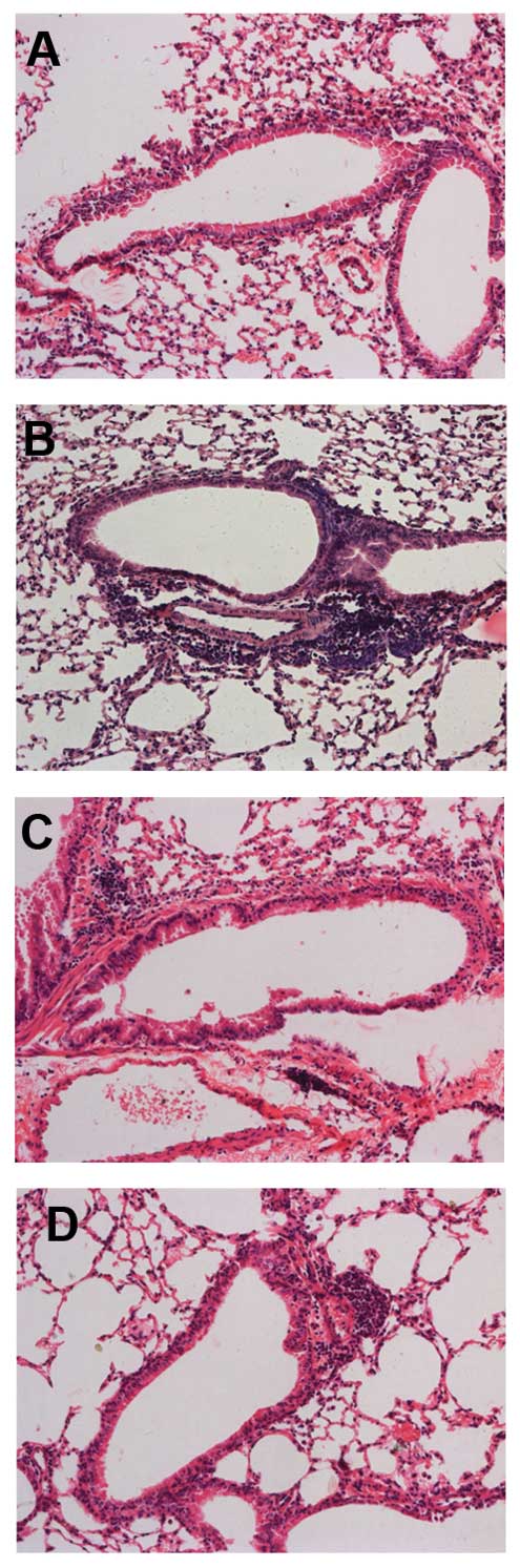
Marked influxes of inflammatory cells into the airway and around the blood vessels were observed in the OVA-sensitized and -challenged mice, but not in the control mice. Mice treated with naringenin and dexamethasone showed marked reductions in the infiltration of inflammatory cells compared to the OVA-treated group (Fig. 1).

Figure 1

Naringenin attenuates allergic airway inflammation. Images of hematoxylin and eosin staining in the (A) control, (B) ovalbumin, (C) dexamethasone and (D) naringenin groups.

Following sensitization and challenge with OVA, the number of total leukocytes, eosinophils and lymphocytes were significantly increased compared to those of the control mice. Treatment with naringenin and dexamethasone significantly reduced the number of eosinophils and total inflammatory cells in the BALF (Fig. 2).

Figure 2

Cell differentiation in bronchoalveolar lavage fluid (BALF). A total of 6 mice were examined in three independent experiments. *P<0.05 between the control and the ovalbumin (OVA) group; †P<0.05 between the OVA and dexamethasone (Dex) or naringenin (Nar) groups.

Naringenin decreases AHR in a model of chronic asthma

OVA treatment resulted in a marked increase in lung resistance values relative to those of the control group. This increase was reverted by treatment with dexamethasone and naringenin, especially at the 90 and 200 μg/kg methacholine doses (Fig. 3).

Figure 3

Naringenin abrogates allergen-induced airway hyper-responsiveness in response to methacholine. Results are expressed as the mean resistance of the lung (RL) ± SEM of three independent experiments (n=5/group). *P<0.05 between the control and the ovalbumin (OVA) group; †P<0.05 between the OVA and dexamethasone (Dex) or naringenin (Nar) groups.

Naringenin reduces the level of T helper 2 (Th2) cytokines in BALF and that of total serum IgE

The levels of Th2 cytokines IL-4 and IL-13 in BALF and that of total serum IgE were markedly increased in the OVA-sensitized and -challenged mice compared to those in the control group. The administration of naringenin and dexamethasone significantly reduced the levels of Th2 cytokines (Fig. 4A and B) in BALF and total serum IgE (Fig. 4C) relative to those in the OVA group.

Figure 4

(A) IL-4 and (B) IL-13 levels in bronchoalveolar lavage fluid (BALF), and (C) level of IgE in the serum. Results are presented as means ± SEM of three independent experiments (n=6). *P<0.05 between the control and the ovalbumin (OVA) group; †P<0.05 between the OVA and dexamethasone (Dex) or naringenin (Nar) groups.

Naringenin inhibits airway remodeling in a model of chronic asthma

The level of airway metaplasia and mucus production was assessed by PAS staining of lung tissues and the percentage of PAS-positive cells was determined. Overproduction of mucus and goblet cell hyperplasia were observed in the bronchial airways of mice in the OVA group. By contrast, dexamethasone- and naringenin-treated mice showed a reduction in the number of PAS-stained goblet cells (Fig. 5).

Figure 5

Naringenin attenuates ovalbumin (OVA)-induced mucus production. Images of Periodic-Acid Schiff (PAS) staining (original magnification, ×200) in the (A) control, (B) OVA, (C) dexamethasone and (D) naringenin groups. (E) The percentage of PAS-positive cells per bronchiole. (F) The mean areas of peribronchial α-smooth muscle actin (α-SMA). *P<0.05 between the control and the OVA group; †P<0.05 between the OVA and dexamethasone (Dex) or naringenin (Nar) groups.

The areas of α-SMA-stained smooth muscle layers in OVA mice were significantly larger compared to control mice. Administration of naringenin and dexamethasone reduced the areas of α-SMA compared to the OVA group (Figs. 5F and 6).

Figure 6

Naringenin treatment reduces the areas of α-smooth muscle actin (original magnification, ×200). Images of immunohistochemical analyses on the (A) control, (B) ovalbumin (OVA), (C) dexamethasone and (D) naringenin groups.

Masson’s trichrome staining revealed collagen deposition (fibrosis). The mean area of airway fibrosis in the OVA group was markedly enhanced compared to the control group. Administration of naringenin and dexamethasone caused a reduction in collagen deposition compared to the OVA group (Fig. 7A–E). The total hydroxyproline content in lungs of the OVA group was significantly higher compared to that of the control group. Treatment with naringenin and dexamethasone reduced the hydroxyproline content compared to the OVA group (Fig. 7F).

Figure 7

Naringenin inhibits peribronchial fibrosis in a chronic asthma model. Masson’s trichrome-positive peribronchiolar collagen layer (original magnification, ×200) in the (A) control, (B) ovalbumin (OVA), (C) dexamethasone and (D) naringenin groups. (E) The mean area of airway fibrosis. (F) Hydroxyproline content of the lung. *P<0.05 between the control and the OVA group; †P<0.05 between the OVA and dexamethasone (Dex) or naringenin (Nar) groups.

Discussion

A previous study showed that naringenin, a naturally occurring flavonoid, attenuates acute airway inflammation and AHR, in association with NF-κB repression and reduced cytokine production (9). Consequently, we evaluated the effect of naringenin on airway remodeling using a long-term exposure murine model of asthma. The results of our study clearly demonstrate the inhibitory effect of naringenin on airway remodeling.

Sensitization and chronic challenge of mice with OVA resulted in inflammation of the airway, evidenced here by the recruitment of inflammatory cells, the production of Th2 cytokines and an increase in the total IgE level. The inflammation was effectively attenuated by naringenin treatment. As a natural anti-inflammatory flavonoid, naringenin displayed anti-inflammatory action in a long-term asthmatic process.

Marked goblet cell hyperplasia and mucus hypersecretion were previously observed in the small airway under chronic airway inflammatory conditions (13), consistent with results on our murine model of asthma. In this study, we demonstrated that naringenin significantly reduced the number of mucus-producing goblet cells within the epithelium after OVA challenge. It has been shown that IL-4 and IL-13 induce goblet cell hyperplasia in the lungs of mice (14,15). Therefore, the ability of naringenin to reduce mucus production in chronic asthma might relate to its inhibitory effect on Th2 cytokine production.

Another important aspect of airway remodeling is airway smooth muscle (ASM) hyperplasia, which has been linked to the severity of asthma (16). Consistent with previous reports, the areas of α-SMA were significantly increased after exposure to OVA in our animal model, while ASM hyperplasia was greatly reduced by treatment with naringenin In addition, we found that airway resistance was reduced following naringenin treatment. Since ASM contributes to airway narrowing and AHR in response to a variety of stimuli during asthma, we hypothesize that the ability of naringenin to reduce the thickness of the ASM layer may partially account for the observed decrease in AHR.

Collagen deposition in the airways is also associated with a decrease in lung function and with the severity of asthma in humans. We demonstrated for the first time that naringenin significantly inhibits the deposition of subepithelial collagen in a chronic asthma model. In the asthmatic process, epithelial damage and subsequent Th2-mediated inflammation are expected to cause an increase in the production of a few potent profibrotic cytokines, such as transforming growth factor β and tissue inhibitors of metalloproteinases (17,18). Therefore, we assume that the naringenin-mediated reduction in the Th2 cytokine levels may account for the anti-fibrotic activity of naringenin through inhibition of the production of profibrotic cytokines.

Additional mechanisms by which naringenin may modulate airway remodeling exist. Naringenin is a naturally occurring antioxidant (19). Oxidative stress is closely linked to the pathogenesis of chronic airway disorders, such as the increase in microvascular permeability, excessive mucus secretion and remodeling of the extracellular matrix and blood vessels (20). Therefore, naringenin may prevent airway remodeling by reducing the production of reactive oxygen species.

In conclusion, we have shown that treatment with naringenin effectively inhibits allergen-induced airway inflammation and remodeling. The ability of naringenin to modulate chronic asthma pathology renders it a promising target for asthma therapy.

References

1 

Bousquet J, Clark TJ, Hurd S, Khaltaev N, Lenfant C, O’Byrne P and Sheffer A: GINA guidelines on asthma and beyond. Allergy. 62:102–112. 2007. View Article : Google Scholar

2 

Bousquet J, Jeffery PK, Busse WW, Johnson M and Vignola AM: Asthma. From bronchoconstriction to airways inflammation and remodeling. Am J Respir Crit Care Med. 161:1720–1745. 2000. View Article : Google Scholar : PubMed/NCBI

3 

Vignola AM, Gagliardo R, Siena A, Chiappara G, Bonsignore MR, Bousquet J and Bonsignore G: Airway remodeling in the pathogenesis of asthma. Curr Allergy Asthma Rep. 1:108–115. 2001. View Article : Google Scholar

4 

Tagaya E and Tamaoki J: Mechanisms of airway remodeling in asthma. Allergol Int. 56:331–340. 2007. View Article : Google Scholar : PubMed/NCBI

5 

Warner SM and Knight DA: Airway modeling and remodeling in the pathogenesis of asthma. Curr Opin Allergy Clin Immunol. 8:44–48. 2008. View Article : Google Scholar : PubMed/NCBI

6 

Benayoun L and Pretolani M: Airway remodeling in asthma: mechanisms and therapeutic perspectives. Med Sci (Paris). 19:319–326. 2003.(In French).

7 

Park HY, Kim GY and Choi YH: Naringenin attenuates the release of pro-inflammatory mediators from lipopolysaccharide-stimulated BV2 microglia by inactivating nuclear factor-κB and inhibiting mitogen-activated protein kinases. Int J Mol Med. 30:204–210. 2012.PubMed/NCBI

8 

Anand K, Sarkar A, Kumar A, et al: Combinatorial antitumor effect of naringenin and curcumin elicit angioinhibitory activities in vivo. Nutr Cancer. 64:714–724. 2012. View Article : Google Scholar : PubMed/NCBI

9 

Shi Y, Dai J, Liu H, et al: Naringenin inhibits allergen-induced airway inflammation and airway responsiveness and inhibits NF-κB activity in a murine model of asthma. Can J Physiol Pharmacol. 87:729–735. 2009.PubMed/NCBI

10 

Cayci C, Wahlquist TC, Seckin SI, et al: Naringenin inhibits neointimal hyperplasia following arterial reconstruction with interpositional vein graft. Ann Plast Surg. 64:105–113. 2010. View Article : Google Scholar : PubMed/NCBI

11 

Chen S, Ding Y, Tao W, Zhang W, Liang T and Liu C: Naringenin inhibits TNF-α induced VSMC proliferation and migration via induction of HO-1. Food Chem Toxicol. 50:3025–3031. 2012.

12 

Cho JY, Miller M, Baek KJ, et al: Inhibition of airway remodeling in IL-5-deficient mice. J Clin Invest. 113:551–560. 2004. View Article : Google Scholar : PubMed/NCBI

13 

Rogers DF: Airway goblet cell hyperplasia in asthma: hypersecretory and anti-inflammatory? Clin Exp Allergy. 32:1124–1127. 2002. View Article : Google Scholar : PubMed/NCBI

14 

Kuperman DA, Huang X, Koth LL, et al: Direct effects of interleukin-13 on epithelial cells cause airway hyperreactivity and mucus overproduction in asthma. Nat Med. 8:885–889. 2002.PubMed/NCBI

15 

Kuperman DA, Huang X, Nguyenvu L, Holscher C, Brombacher F and Erle DJ: IL-4 receptor signaling in Clara cells is required for allergen-induced mucus production. J Immunol. 175:3746–3752. 2005. View Article : Google Scholar : PubMed/NCBI

16 

Black JL, Panettieri RA Jr, Banerjee A and Berger P: Airway smooth muscle in asthma: just a target for bronchodilation? Clin Chest Med. 33:543–558. 2012. View Article : Google Scholar : PubMed/NCBI

17 

Bosse Y and Rola-Pleszczynski M: Controversy surrounding the increased expression of TGFβ1 in asthma. Respir Res. 8:662007.

18 

Mohamed SA, Noack F, Schoellermann K, et al: Elevation of matrix metalloproteinases in different areas of ascending aortic aneurysms in patients with bicuspid and tricuspid aortic valves. Scientific World Journal. 2012:8062612012. View Article : Google Scholar : PubMed/NCBI

19 

Yang J, Li Q, Zhou XD, Kolosov VP and Perelman JM: Naringenin attenuates mucous hypersecretion by modulating reactive oxygen species production and inhibiting NF-κB activity via EGFR-PI3K-Akt/ERK MAPKinase signaling in human airway epithelial cells. Mol Cell Biochem. 351:29–40. 2011.PubMed/NCBI

20 

de Boer WI, Yao H and Rahman I: Future therapeutic treatment of COPD: struggle between oxidants and cytokines. Int J Chron Obstruct Pulmon Dis. 2:205–228. 2007.PubMed/NCBI

Related Articles

  • Abstract
  • View
  • Download
  • Twitter
Copy and paste a formatted citation
Spandidos Publications style
Shi Y, Tan Y, Mao S and Gu W: Naringenin inhibits allergen‑induced airway remodeling in a murine model of asthma. Mol Med Rep 9: 1204-1208, 2014.
APA
Shi, Y., Tan, Y., Mao, S., & Gu, W. (2014). Naringenin inhibits allergen‑induced airway remodeling in a murine model of asthma. Molecular Medicine Reports, 9, 1204-1208. https://doi.org/10.3892/mmr.2014.1940
MLA
Shi, Y., Tan, Y., Mao, S., Gu, W."Naringenin inhibits allergen‑induced airway remodeling in a murine model of asthma". Molecular Medicine Reports 9.4 (2014): 1204-1208.
Chicago
Shi, Y., Tan, Y., Mao, S., Gu, W."Naringenin inhibits allergen‑induced airway remodeling in a murine model of asthma". Molecular Medicine Reports 9, no. 4 (2014): 1204-1208. https://doi.org/10.3892/mmr.2014.1940
Copy and paste a formatted citation
x
Spandidos Publications style
Shi Y, Tan Y, Mao S and Gu W: Naringenin inhibits allergen‑induced airway remodeling in a murine model of asthma. Mol Med Rep 9: 1204-1208, 2014.
APA
Shi, Y., Tan, Y., Mao, S., & Gu, W. (2014). Naringenin inhibits allergen‑induced airway remodeling in a murine model of asthma. Molecular Medicine Reports, 9, 1204-1208. https://doi.org/10.3892/mmr.2014.1940
MLA
Shi, Y., Tan, Y., Mao, S., Gu, W."Naringenin inhibits allergen‑induced airway remodeling in a murine model of asthma". Molecular Medicine Reports 9.4 (2014): 1204-1208.
Chicago
Shi, Y., Tan, Y., Mao, S., Gu, W."Naringenin inhibits allergen‑induced airway remodeling in a murine model of asthma". Molecular Medicine Reports 9, no. 4 (2014): 1204-1208. https://doi.org/10.3892/mmr.2014.1940
Follow us
  • Twitter
  • LinkedIn
  • Facebook
About
  • Spandidos Publications
  • Careers
  • Cookie Policy
  • Privacy Policy
How can we help?
  • Help
  • Live Chat
  • Contact
  • Email to our Support Team