Spandidos Publications Logo
  • About
    • About Spandidos
    • Aims and Scopes
    • Abstracting and Indexing
    • Editorial Policies
    • Reprints and Permissions
    • Job Opportunities
    • Terms and Conditions
    • Contact
  • Journals
    • All Journals
    • Oncology Letters
      • Oncology Letters
      • Information for Authors
      • Editorial Policies
      • Editorial Board
      • Aims and Scope
      • Abstracting and Indexing
      • Bibliographic Information
      • Archive
    • International Journal of Oncology
      • International Journal of Oncology
      • Information for Authors
      • Editorial Policies
      • Editorial Board
      • Aims and Scope
      • Abstracting and Indexing
      • Bibliographic Information
      • Archive
    • Molecular and Clinical Oncology
      • Molecular and Clinical Oncology
      • Information for Authors
      • Editorial Policies
      • Editorial Board
      • Aims and Scope
      • Abstracting and Indexing
      • Bibliographic Information
      • Archive
    • Experimental and Therapeutic Medicine
      • Experimental and Therapeutic Medicine
      • Information for Authors
      • Editorial Policies
      • Editorial Board
      • Aims and Scope
      • Abstracting and Indexing
      • Bibliographic Information
      • Archive
    • International Journal of Molecular Medicine
      • International Journal of Molecular Medicine
      • Information for Authors
      • Editorial Policies
      • Editorial Board
      • Aims and Scope
      • Abstracting and Indexing
      • Bibliographic Information
      • Archive
    • Biomedical Reports
      • Biomedical Reports
      • Information for Authors
      • Editorial Policies
      • Editorial Board
      • Aims and Scope
      • Abstracting and Indexing
      • Bibliographic Information
      • Archive
    • Oncology Reports
      • Oncology Reports
      • Information for Authors
      • Editorial Policies
      • Editorial Board
      • Aims and Scope
      • Abstracting and Indexing
      • Bibliographic Information
      • Archive
    • Molecular Medicine Reports
      • Molecular Medicine Reports
      • Information for Authors
      • Editorial Policies
      • Editorial Board
      • Aims and Scope
      • Abstracting and Indexing
      • Bibliographic Information
      • Archive
    • World Academy of Sciences Journal
      • World Academy of Sciences Journal
      • Information for Authors
      • Editorial Policies
      • Editorial Board
      • Aims and Scope
      • Abstracting and Indexing
      • Bibliographic Information
      • Archive
    • International Journal of Functional Nutrition
      • International Journal of Functional Nutrition
      • Information for Authors
      • Editorial Policies
      • Editorial Board
      • Aims and Scope
      • Abstracting and Indexing
      • Bibliographic Information
      • Archive
    • International Journal of Epigenetics
      • International Journal of Epigenetics
      • Information for Authors
      • Editorial Policies
      • Editorial Board
      • Aims and Scope
      • Abstracting and Indexing
      • Bibliographic Information
      • Archive
    • Medicine International
      • Medicine International
      • Information for Authors
      • Editorial Policies
      • Editorial Board
      • Aims and Scope
      • Abstracting and Indexing
      • Bibliographic Information
      • Archive
  • Articles
  • Information
    • Information for Authors
    • Information for Reviewers
    • Information for Librarians
    • Information for Advertisers
    • Conferences
  • Language Editing
Spandidos Publications Logo
  • About
    • About Spandidos
    • Aims and Scopes
    • Abstracting and Indexing
    • Editorial Policies
    • Reprints and Permissions
    • Job Opportunities
    • Terms and Conditions
    • Contact
  • Journals
    • All Journals
    • Biomedical Reports
      • Information for Authors
      • Editorial Policies
      • Editorial Board
      • Aims and Scope
      • Abstracting and Indexing
      • Bibliographic Information
      • Archive
    • Experimental and Therapeutic Medicine
      • Information for Authors
      • Editorial Policies
      • Editorial Board
      • Aims and Scope
      • Abstracting and Indexing
      • Bibliographic Information
      • Archive
    • International Journal of Epigenetics
      • Information for Authors
      • Editorial Policies
      • Editorial Board
      • Aims and Scope
      • Abstracting and Indexing
      • Bibliographic Information
      • Archive
    • International Journal of Functional Nutrition
      • Information for Authors
      • Editorial Policies
      • Editorial Board
      • Aims and Scope
      • Abstracting and Indexing
      • Bibliographic Information
      • Archive
    • International Journal of Molecular Medicine
      • Information for Authors
      • Editorial Policies
      • Editorial Board
      • Aims and Scope
      • Abstracting and Indexing
      • Bibliographic Information
      • Archive
    • International Journal of Oncology
      • Information for Authors
      • Editorial Policies
      • Editorial Board
      • Aims and Scope
      • Abstracting and Indexing
      • Bibliographic Information
      • Archive
    • Medicine International
      • Information for Authors
      • Editorial Policies
      • Editorial Board
      • Aims and Scope
      • Abstracting and Indexing
      • Bibliographic Information
      • Archive
    • Molecular and Clinical Oncology
      • Information for Authors
      • Editorial Policies
      • Editorial Board
      • Aims and Scope
      • Abstracting and Indexing
      • Bibliographic Information
      • Archive
    • Molecular Medicine Reports
      • Information for Authors
      • Editorial Policies
      • Editorial Board
      • Aims and Scope
      • Abstracting and Indexing
      • Bibliographic Information
      • Archive
    • Oncology Letters
      • Information for Authors
      • Editorial Policies
      • Editorial Board
      • Aims and Scope
      • Abstracting and Indexing
      • Bibliographic Information
      • Archive
    • Oncology Reports
      • Information for Authors
      • Editorial Policies
      • Editorial Board
      • Aims and Scope
      • Abstracting and Indexing
      • Bibliographic Information
      • Archive
    • World Academy of Sciences Journal
      • Information for Authors
      • Editorial Policies
      • Editorial Board
      • Aims and Scope
      • Abstracting and Indexing
      • Bibliographic Information
      • Archive
  • Articles
  • Information
    • For Authors
    • For Reviewers
    • For Librarians
    • For Advertisers
    • Conferences
  • Language Editing
Login Register Submit
  • This site uses cookies
  • You can change your cookie settings at any time by following the instructions in our Cookie Policy. To find out more, you may read our Privacy Policy.

    I agree
Search articles by DOI, keyword, author or affiliation
Search
Advanced Search
presentation
Molecular Medicine Reports
Join Editorial Board Propose a Special Issue
Print ISSN: 1791-2997 Online ISSN: 1791-3004
Journal Cover
February-2015 Volume 11 Issue 2

Full Size Image

Sign up for eToc alerts
Recommend to Library

Journals

International Journal of Molecular Medicine

International Journal of Molecular Medicine

International Journal of Molecular Medicine is an international journal devoted to molecular mechanisms of human disease.

International Journal of Oncology

International Journal of Oncology

International Journal of Oncology is an international journal devoted to oncology research and cancer treatment.

Molecular Medicine Reports

Molecular Medicine Reports

Covers molecular medicine topics such as pharmacology, pathology, genetics, neuroscience, infectious diseases, molecular cardiology, and molecular surgery.

Oncology Reports

Oncology Reports

Oncology Reports is an international journal devoted to fundamental and applied research in Oncology.

Experimental and Therapeutic Medicine

Experimental and Therapeutic Medicine

Experimental and Therapeutic Medicine is an international journal devoted to laboratory and clinical medicine.

Oncology Letters

Oncology Letters

Oncology Letters is an international journal devoted to Experimental and Clinical Oncology.

Biomedical Reports

Biomedical Reports

Explores a wide range of biological and medical fields, including pharmacology, genetics, microbiology, neuroscience, and molecular cardiology.

Molecular and Clinical Oncology

Molecular and Clinical Oncology

International journal addressing all aspects of oncology research, from tumorigenesis and oncogenes to chemotherapy and metastasis.

World Academy of Sciences Journal

World Academy of Sciences Journal

Multidisciplinary open-access journal spanning biochemistry, genetics, neuroscience, environmental health, and synthetic biology.

International Journal of Functional Nutrition

International Journal of Functional Nutrition

Open-access journal combining biochemistry, pharmacology, immunology, and genetics to advance health through functional nutrition.

International Journal of Epigenetics

International Journal of Epigenetics

Publishes open-access research on using epigenetics to advance understanding and treatment of human disease.

Medicine International

Medicine International

An International Open Access Journal Devoted to General Medicine.

Journal Cover
February-2015 Volume 11 Issue 2

Full Size Image

Sign up for eToc alerts
Recommend to Library

  • Article
  • Citations
    • Cite This Article
    • Download Citation
    • Create Citation Alert
    • Remove Citation Alert
    • Cited By
  • Similar Articles
    • Related Articles (in Spandidos Publications)
    • Similar Articles (Google Scholar)
    • Similar Articles (PubMed)
  • Download PDF
  • Download XML
  • View XML
Article

Increased immunoreactivity of c‑Fos in the spinal cord of the aged mouse and dog

  • Authors:
    • Ji Hyeon Ahn
    • Myoung Chul Shin
    • Joon Ha Park
    • In Hye Kim
    • Jae‑Chul Lee
    • Bing Chun Yan
    • In Koo Hwang
    • Seung Myung Moon
    • Ji Yun Ahn
    • Taek Geun Ohk
    • Tae Hun Lee
    • Jun Hwi Cho
    • Hyung‑Cheul Shin
    • Moo‑Ho Won
  • View Affiliations / Copyright

    Affiliations: Department of Neurobiology, School of Medicine, Kangwon National University, Chuncheon, Gangwon 200‑701, Republic of Korea, Department of Emergency Medicine, School of Medicine, Kangwon National University, Chuncheon, Gangwon 200‑701, Republic of Korea, Institute of Integrative Traditional and Western Medicine, Medical College, Yangzhou University, Yangzhou, Jiangsu 225001, P.R. China, Department of Anatomy and Cell Biology, College of Veterinary Medicine, Seoul National University, Seoul 151‑742, Republic of Korea, Department of Neurosurgery, Dongtan Sacred Heart Hospital, College of Medicine, Hallym University, Hwaseong, Gyeonggi 445‑170, Republic of Korea, Department of Emergency Medicine, Chuncheon Sacred Heart Hospital, College of Medicine, Hallym University, Chuncheon, Gangwon 200‑702, Republic of Korea, Department of Physiology, College of Medicine, Hallym University, Chuncheon, Gangwon 200‑702, Republic of Korea
  • Pages: 1043-1048
    |
    Published online on: October 29, 2014
       https://doi.org/10.3892/mmr.2014.2800
  • Expand metrics +
Metrics: Total Views: 0 (Spandidos Publications: | PMC Statistics: )
Metrics: Total PDF Downloads: 0 (Spandidos Publications: | PMC Statistics: )
Cited By (CrossRef): 0 citations Loading Articles...

This article is mentioned in:



Abstract

Expression of c‑Fos in the spinal cord following nociceptive stimulation is considered to be a neurotoxic biomarker. In the present study, the immunoreactivity of c‑Fos in the spinal cord was compared between young adult (2‑3 years in dogs and 6 months in mice) and aged (10‑12 years in dogs and 24 months in mice) Beagle dogs and C57BL/6J mice. In addition, changes to neuronal distribution and damage to the spinal cord were also investigated. There were no significant differences in neuronal loss or degeneration of the spinal neurons observed in either the aged dogs or mice. Weak c‑Fos immunoreactivity was observed in the spinal neurons of the young adult animals; however, c‑Fos immunoreactivity was markedly increased in the nuclei of spinal neurons in the aged dogs and mice, as compared with that of the young adults. In conclusion, c‑Fos immunoreactivity was significantly increased without any accompanying neuronal loss in the aged spinal cord of mice and dogs, as compared with the spinal cords of the young adult animals.

Introduction

Unexplained pain has been reported as a common complaint of the elderly, and age-related patterns in pain prevalence are complex (1,2). Neuropathic pain, one of the most common types of chronic pain, results from the abnormal processing of sensory input due to damage caused by disorders of the nervous system, such as spinal cord injury, and increases with advancing age (3,4).

c-Fos is a cellular proto-oncogene, belonging to the immediate early gene family. c-Fos has been used as a relative marker of neuronal activity in the brain following numerous types of brain insult (5–7). Furthermore, c-Fos expression in the spinal cord is considered to be a neurotoxic biomarker which has been detected in the dorsal spinal neurons, following nociceptive stimulation (8–12) and repeated swim stress (13).

Previous studies regarding age-related physiological changes, have focussed on spinal cord-specific changes. A loss of myelin and axonal involution have been observed in the aged rat spinal cord (14), and expression levels of substance P, a major neurotransmitter of primary afferent nociceptive fibers, and somatostatin have been shown to decrease in the spinal cord of the aged rat (15,16). Little is currently known about the changes in c-Fos expression in the spinal cord during the process of normal aging.

The present study compared the age-related changes in the immunoreactivity of c-Fos in the spinal cords of the young adult and aged Beagle dog and C57BL/6J mouse. Both the Beagle and C57VL/6J mice are considered to be good animal models to study aging (17–21).

Materials and methods

Experimental animals

Clinically and neurologically healthy male Beagle dogs and male C57BL/6J mice were used in the present study. Young adult dogs, aged 2–3 years, and aged dogs, aged 10–12 years were used (n=7/group); alongside young adult mice, at 6 months, and aged mice, at 24 months (n=14/group). The animals were maintained in conventional housing under adequate temperature (23°C) and humidity (60%) conditions, with a 12 h light/12 h dark cycle, and free access to food and water.

Animal handling and care followed the guidelines of the current international laws and policies [National Institute of Health (NIH) Guide for the Care and Use of Laboratory Animals, NIH Publication no. 85-23, 1985, revised 1996], and the experimental protocol was approved by the Institutional Animal Care and Use Committee of Kangwon National University (approval no. KW-130424-3). All of the experiments were conducted to minimize the number of animals used, and to avoid animal suffering.

Tissue processing for histology

For histochemical analysis, the young adult and aged dogs and mice (n=7 in each group) were anesthetized with a mixture of Zoletil 50 (8 mg/kg; Virbak Korea, Seoul, Korea) Xylazine (2 mg/kg; Bayer Korea, Seoul Korea) and pentobarbital sodium (40 mg/kg; JW Phar. Co., Ltd., Seoul, Korea), respectively. Anaesthetization was followed by a transcardial perfusion with 0.1 M phosphate-buffered saline (PBS, pH 7.4; Sigma-Aldrich, St. Louis, MO, USA), followed by 4% paraformaldehyde (Samchun Chemicals, Pyeongtaek, Korea) in 0.1 M phosphate buffer (pH 7.4). The cervical (C6-C8) and lumbar (L5-L6) spinal cord regions were harvested from the animals and postfixed, in the same fixative, for 12 h. The spinal cord tissues were cryoprotected by infiltration with 30% sucrose (Junsei Chemical Co., Ltd., Tokyo, Japan) overnight. Subsequently, the frozen tissues were serially sectioned at 30 μm using a cryostat (Leica, Wetzlar, Germany) and the sections were then placed into six-well plates containing PBS.

Fluoro-Jade B (F-J B) histofluorescence staining

F-J B histofluorescence staining procedures were conducted according to previous methods (22). Briefly, the sections were immersed in a solution of 80% ethanol containing 1% sodium hydroxide, followed by immersion in 70% ethanol. The sections were then transferred into a solution of 0.06% potassium permanganate, prior to staining with a 0.0004% F-J B solution (Histochem, Jefferson, AR, USA). The sections were placed on a slide warmer (~50°C), and examined using an epifluorescent microscope (Carl Zeiss, Oberkochen, Germany) with blue (450–490 nm) excitation light and a barrier filter. This method has been previously reported as being useful in the detection of neuronal degeneration, as degenerating neurons brightly fluoresce in comparison to background fluorescence (23).

Immunohistochemistry for NeuN and c-Fos

Immunohistochemistry for NeuN and c-Fos was performed under the same conditions in both the dogs and the mice of different age groups, in order to determine whether the degree of immunohistochemical staining was accurate. The sections were sequentially treated with 0.3% H2O2 and 10% normal donkey serum (Vector Laboratories, Burlingham, CA, USA). The sections were then incubated with diluted mouse anti-NeuN (1:1,000; Chemicon International, Temecula, CA, USA) and goat anti-c-Fos (1:100; Santa Cruz Biotechnology Inc., Santa Cruz, CA, USA) antibodies. The sections were subsequently exposed to biotinylated horse anti-mouse or rabbit anti-goat antibodies and streptavidin peroxidase complex (1:200; Vector Laboratories Inc., Burlingame, CA, USA). The immunocomplexes were visualized by staining with 3,3′-diaminobenzidine tetrahydrochloride (Sigma-Aldrich, St. Louis, MO, USA) in 0.1 M Tris-HCl buffer (pH 7.2) and mounted onto gelatin-coated slides. The sections were mounted in Canada balsam (Kanto Chemical Co., Inc., Portland, OR, USA) following dehydration. In order to establish the specificity of the immunostaining, a negative control test was carried out with pre-immune serum in place of a primary antibody. The negative control test resulted in the absence of immunoreactivity in all structures.

Data analysis

All measurements were performed double blind, in order to ensure objectivity, and the measures of both the control and experimental samples were carried out under the same conditions. NeuN-immunoreactive neurons in the young adult and aged dogs and mice were quantified from 10 sections/each animal, using Optimas 6.5 image analyzing system (CyberMetrics, Scottsdale, AZ, USA) equipped with a computer-based charge coupled device camera. The cell counts were obtained by averaging the counts from the sections taken from each animal. The data rpesented are representative of a percentage of the young adult group.

Ten sections per animal were selected to quantitatively analyze c-Fos immunoreactivity. Digital images of the spinal cord were captured using an Axio M1 light microscope (Carl Zeiss) equipped with a digital camera (Axiocam; Carl Zeiss), connected to a PC monitor. The staining intensity of the c-Fos-immunoreactive structures was evaluated on the basis of a relative optical density (ROD), which was obtained after the transformation of the mean gray level using the following formula: ROD = log (256/mean gray level). The ROD of the complete field was measured, and the brightness and contrast of each image file was calibrated using Adobe Photoshop version 8.0 (Adobe Systems Incorporated, San Jose, CA, USA). The images were then analyzed using the NIH Image 1.59 software (National Institutes of Health, Bethesda, MD, USA). The values of the background staining were obtained and subtracted from the immunoreactive intensities. The data was presented as %, with the young adult group designated as 100%.

Western blot analysis for c-Fos

To confirm the changes in the c-Fos expression levels in the cervical spinal cord region between the young adult and aged mice, the mice spinal cord tissues (n=7 in each group) were used for western blot analysis. Briefly, the tissues were homogenized in 50 mM PBS (pH 7.4), containing ethylene glycol tetraacetic acid (pH 8.0), 0.2% NP-40, 10 mM ethylenediaminetetraacetic acid (pH 8.0), 15 mM sodium pyrophosphate, 100 mM β-glycerophosphate, 50 mM sodium fluoride, 150 mM sodium chloride, 2 mM sodium orthovanadate, 1 mM phenylmethanesulfonyl fluoride, and 1 mM dithiothreitol (DTT; Santa Cruz Biotechnology, Inc.). Following centrifugation at 16,000 × g for 20 min, the protein concentration of the supernatants was determined using a Micro Bicinchoninic Acid Protein Assay kit (Pierce Biotechnology, Rockford, IL, USA). Aliquots containing 20 μg of total protein were boiled in a loading buffer containing 150 mM Tris (pH 6.8), 3 mM DTT, 6% SDS, 0.3% bromophenol blue, and 30% glycerol. Subsequently, the aliquots were loaded onto a polyacrylamide gel, and separated by electrophoresis, after which the blots were transferred to nitrocellulose membranes (Pall Corporation, Port Washington, NY, USA). The membranes were incubated with 5% non-fat dry milk in PBS containing 0.1% Tween-20, followed by an incubation with the primary antibody for 2 h. The membranes were then incubated with peroxidase-conjugated donkey anti-goat immunoglobulin G (Sigma-Aldrich). An Enhanced Chemiluminescence kit (Pierce Biotechnology) was used to visualize the blots. Western blot analysis was repeated three times. Following exposure of the membranes, the blots were scanned and densitometric analysis for the quantification of the bands was performed using Scion Image software (Scion Corporation, Frederick, MD, USA), which was used to determine the ROD. A ratio of the ROD was calibrated as a percentage, with the young adult group designated as 100%.

Statistical analysis

The difference of the mean ROD between the groups was statistically analyzed using a Student t-test. A P<0.05 was considered to indicate a statistically significant difference.

Results

NeuN-immunoreactive neurons

NeuN-immunoreactive neurons were shown to be distributed throughout the grey matter of the cervical and lumbar spinal cord regions in the young adult and aged dogs (Fig. 1A–1D). There were no significant differences in the number of NeuN-immunoreactive neurons between the young adult and aged dogs, however the number of NeuN-immunoreactive neurons was shown to be slightly decreased in the cervical and lumbar regions of the aged spinal cord, as compared with the number in the young adult spinal cord (data not shown).

Figure 1

(A–D) Immunohistochemical staining for NeuN immunoreactivity and (E–H) Fluoro-Jade B histofluorescence in the (A, B, E and F) cervical and (C, D, G and H) lumbar spinal cord regions of the (A, C, E and G) young adult and (B, D, F and H) aged dogs. There were no significant differences in neuronal loss in the young adult or aged dogs. DH, dorsal horn; VH, ventral horn. Magnification, ×5; Scale bar = 500 μm.

Similarly to the dogs, the number of NeuN-immunoreactive neurons in the cervical and lumbar spinal cord regions was not significantly different between the young adult and aged mice (data not shown).

F-J B positive cells

To examine the extent of neuronal degeneration of the spinal cord, F-J B staining was performed in the young adult and aged dogs and mice. F-J B positive cells were not observed in the cervical and lumbar spinal cord regions of the young adult and aged dogs (Fig. 1E–H) or mice (data not shown).

c-Fos immunoreactivity

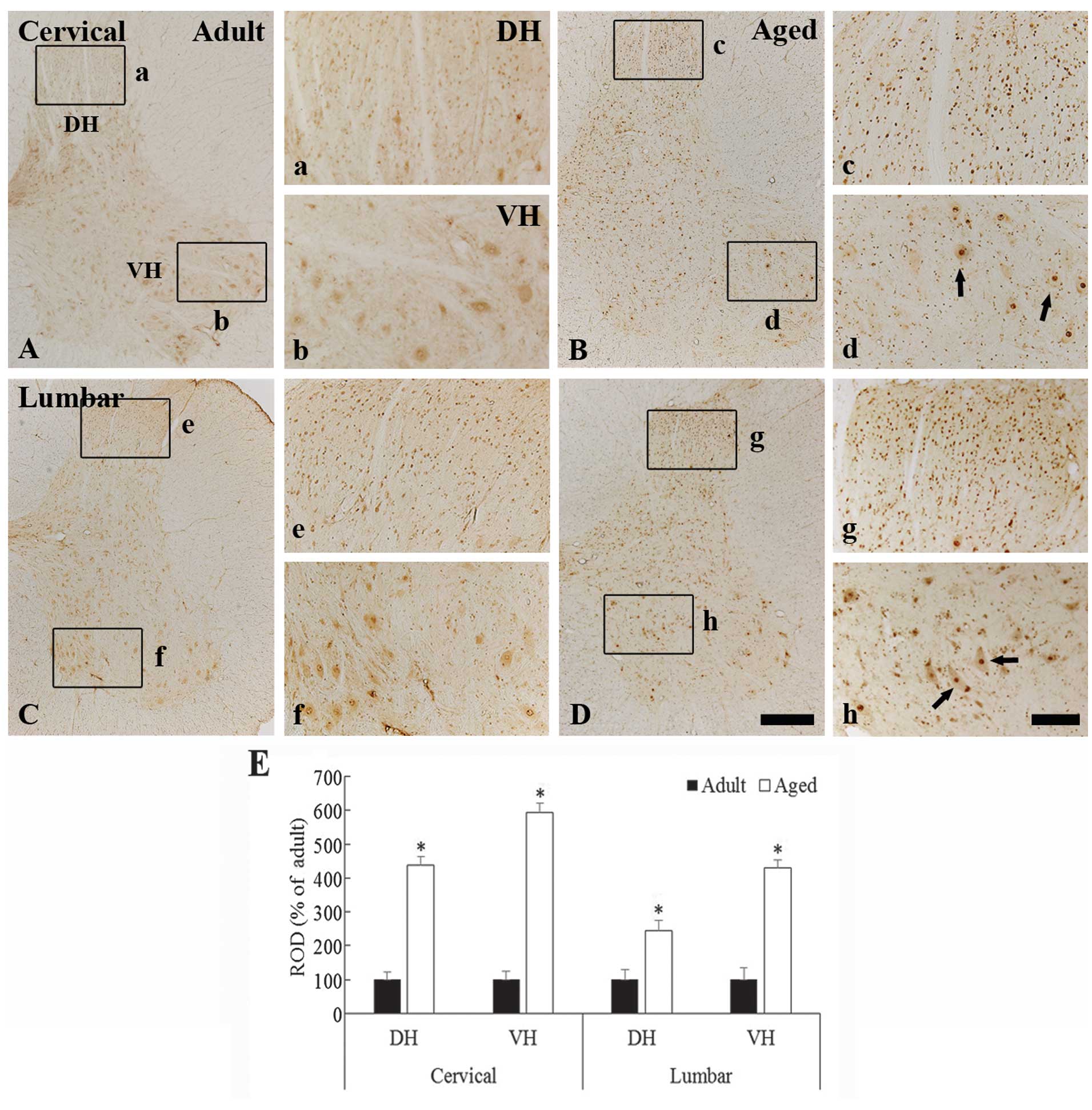
In the young adult dogs, moderate c-Fos immunoreactivity was observed in the neurons in the whole grey matter of the cervical and lumbar spinal cord regions (Fig. 2A, 2b, 2C and 2f). The c-Fos immunoreactivity was generally found to be contained within the nuclei of the spinal neurons (Fig. 2b and 2f). In the aged dogs, the c-Fos expression pattern was similar to that in the young adult dogs (Fig. 2B, 2c, 2d, 2D, 2g, and 2h); however, the c-Fos immunoreactivity in the nuclei of the neurons in the aged dogs was significantly higher as compared with that in the young adult dogs (Fig. 2c, 2d, 2g, 2h and 2E) (P<0.05).

Figure 2

(A and B) c-Fos immunohistochemistry in the cervical and (C and D) lumbar spinal cord regions of (A and C) young adult and (B and D) aged dogs. c-Fos immunoreactivity (arrows in “c, d, g and h”) was increased in the aged group. Strong immunoreactivity was observed in the nuclei of the spinal neurons. Scale bars = (A–D) 500 μm, (a-h) 50 μm. (E) Relative optical density as a percentage of c-Fos-immunoreactive structures in the young adult and aged spinal cord (n=7 per group; *P<0.05 versus the adult group). The bars indicate the means ± standard error of the mean. DH, dorsal horn; VH, ventral horn; ROD, relative optical density.

c-Fos immunoreactivity was also observed in the nuclei of the spinal neurons of the cervical and lumbar spinal cord regions in both the young adult and aged mice (Fig. 3A–3D). Similarly to the aged dogs, c-Fos immunoreactivity was significantly increased in the aged mice as compared with the young adult mice. This increase in immunoreactivity was observed in both the dorsal (Fig. 3c and 3g) and the ventral horn (Fig. 3d and 3h) of the cervical and lumbar spinal cord regions (Fig. 3E) (P<0.05).

Figure 3

(A and B) c-Fos immunohistochemistry in the cervical and (C and D) lumbar spinal cord regions of (A and C) young adult and (B and D) agedmice. c-Fos immunoreactivity (arrows in “c, d, g and h”) was increased in the aged group. Strong immunoreactivity was observed in the nuclei of the spinal neurons. Scale bars = (A–D) 50 μm, (a-h) 200 μm. (E) Relative optical density as a percentage of c-Fos-immunoreactive structures in the young adult and aged spinal cord (n=7 per group; *P<0.05 versus the adult group). The bars indicate the means ± standard error of the mean. DH, dorsal horn; VH, ventral horn; ROD, relative optical density.

c-Fos protein levels

Western blot analysis indicated that the pattern of change in the c-Fos protein expression levels, in the cervical spinal cord region of the aged mice, was similar to that observed by immunohistochemical analysis. c-Fos protein expression in the cervical spinal cord region of the aged mice was significantly increased, as compared with the expression in the young adult mice (Fig. 4) (P<0.05).

Figure 4

Western blot analysis of c-Fos protein expression levels in the cervical spinal cord region derived from young adult and aged mice. Relative optical density of immunoblot bands is demonstrated as a percentage of the values (n=7 per group; *P<0.05 versus the adult group). The data are presented as the means ± standard error of the mean. ROD, relative optical density.

Discussion

Age-related pain is associated with a poor quality of life, physical disability and an increased risk of mortality (24,25). In the present study, c-Fos immunoreactivity in the spinal cord was compared between young adult and aged dogs and mice. Changes to the distribution and damage/death of spinal neurons were also investigated in both the young adult and aged spinal cords.

There was no significant difference observed in the number of NeuN-immunoreactive neurons between the spinal cords of the young adult and aged dogs and mice. In addition, F-J B positive degenerating neurons were not detected in the spinal cord of either the young adult or aged animals. This finding is consistent with findings from our previous studies, which reported that no distinct neuronal loss was observed in the aged spinal cord of German shepherd dogs (26,27).

The present study found that weak c-Fos immunoreactivity was observed in the dorsal and ventral spinal neurons of the young adult dogs and mice, whereas the c-Fos immunoreactivity was significantly increased in the aged dogs and mice as compared with the young adult groups. The present findings support previous research that showed that low levels of c-Fos immunoreactivity was observed in young adult animals (28–30). However, other studies have previously reported that the basal expression of c-Fos in the dorsal horn was decreased in the aged rat spinal cord (31), which is not consistent with the findings of the present study. This discrepancy may result from differences in experimental methods.

It has previously been reported that c-Fos and astrocytes become activated by a combined stress of non-thermal irradiation and the toxic effects of picrotoxin in the rat brain (32). Activated astrocytes are associated with several neuropathic and cancer pain states, through the release of neurotoxic substances including pro-inflammatory cytokines (33–35). In addition, it has previously been reported that pro-inflammatory cytokines, including interferon-γ, and interleukins (IL)-1β and -2, were markedly increased, without any significant neuronal loss, in the spinal cord of the aged dog (26,36). It has also been reported that increasing age can enhance the expression levels of tumor necrosis factor-α, the IL-6 family of cytokines, chemokine receptor-2 and pro-inflammatory chemokines following ischemic stroke in the aged rat (37). Therefore, based on these data and the results of the present study, c-Fos expression in the spinal cord may be triggered by different stress factors, including chronic inflammatory activity.

In conclusion, the present study observed that c-Fos immunoreactivity in the aged dog and mouse spinal cords was markedly increased, as compared with young adult animals. This finding implicates that the increase in the expression of c-Fos in the aged dog spinal cord may be associated with aging-related changes in the aged spinal cord.

Acknowledgements

The authors would like to thank Mr. Seung Uk Lee for his technical help in this study. This research was supported by the National Research Foundation of Korea funded by the Ministry of Education, Science and Technology (2010-0010580) and by the ICT R&D program of MSIP/IITP (10033634).

References

1 

Gibson SJ and Helme RD: Age-related differences in pain perception and report. Clin Geriatr Med. 17:433–456. 2001. View Article : Google Scholar : PubMed/NCBI

2 

Helme RD and Gibson SJ: The epidemiology of pain in elderly people. Clin Geriatr Med. 17:417–431. 2001. View Article : Google Scholar : PubMed/NCBI

3 

Werhagen L, Budh CN, Hultling C and Molander C: Neuropathic pain after traumatic spinal cord injury - relations to gender, spinal level, completeness, and age at the time of injury. Spinal Cord. 42:665–673. 2004. View Article : Google Scholar : PubMed/NCBI

4 

Schmader KE: Epidemiology and impact on quality of life of postherpetic neuralgia and painful diabetic neuropathy. Clin J Pain. 18:350–354. 2002. View Article : Google Scholar : PubMed/NCBI

5 

Coggeshall RE: Fos, nociception and the dorsal horn. Prog Neurobiol. 77:299–352. 2005.PubMed/NCBI

6 

Munglani R, Hudspith MJ, Fleming B, et al: Effect of pre-emptive NMDA antagonist treatment on long-term Fos expression and hyperalgesia in a model of chronic neuropathic pain. Brain Res. 822:210–219. 1999. View Article : Google Scholar : PubMed/NCBI

7 

Lu Y and Westlund KN: Effects of baclofen on colon inflammation-induced Fos, CGRP and SP expression in spinal cord and brainstem. Brain Res. 889:118–130. 2001. View Article : Google Scholar : PubMed/NCBI

8 

Abbadie C, Besson JM and Calvino B: c-Fos expression in the spinal cord and pain-related symptoms induced by chronic arthritis in the rat are prevented by pretreatment with Freund adjuvant. J Neurosci. 14:5865–5871. 1994.PubMed/NCBI

9 

Hwang HJ, Lee HJ, Kim CJ, Shim I and Hahm DH: Inhibitory effect of amygdalin on lipopolysaccharide-inducible TNF-alpha and IL-1beta mRNA expression and carrageenan-induced rat arthritis. J Microbiol Biotechnol. 18:1641–1647. 2008.PubMed/NCBI

10 

Liu CR, Duan QZ, Wang W, et al: Effects of intrathecal isoflurane administration on nociception and Fos expression in the rat spinal cord. Eur J Anaesthesiol. 28:112–119. 2011. View Article : Google Scholar

11 

Wu J, Hu Q, Huang D, Chen X and Chen J: Effect of electrical stimulation of sciatic nerve on synaptic plasticity of spinal dorsal horn and spinal c-fos expression in neonatal, juvenile and adult rats. Brain Res. 1448:11–19. 2012. View Article : Google Scholar : PubMed/NCBI

12 

Zeng X, Huang H and Hong Y: Effects of intrathecal BAM22 on noxious stimulus-evoked c-fos expression in the rat spinal dorsal horn. Brain Res. 1028:170–179. 2004. View Article : Google Scholar : PubMed/NCBI

13 

Quintero L, Cuesta MC, Silva JA, et al: Repeated swim stress increases pain-induced expression of c-Fos in the rat lumbar cord. Brain Res. 965:259–268. 2003. View Article : Google Scholar : PubMed/NCBI

14 

Terao S, Sobue G, Hashizume Y, Shimada N and Mitsuma T: Age-related changes of the myelinated fibers in the human corticospinal tract: a quantitative analysis. Acta Neuropathol. 88:137–142. 1994. View Article : Google Scholar : PubMed/NCBI

15 

Hukkanen M, Platts LA, Corbett SA, Santavirta S, Polak JM and Konttinen YT: Reciprocal age-related changes in GAP-43/B-50, substance P and calcitonin gene-related peptide (CGRP) expression in rat primary sensory neurones and their terminals in the dorsal horn of the spinal cord and subintima of the knee synovium. Neurosci Res. 42:251–260. 2002. View Article : Google Scholar : PubMed/NCBI

16 

Ranson RN, Priestley DJ, Santer RM and Watson AH: Changes in the substance P-containing innervation of the lumbosacral spinal cord in male Wistar rats as a consequence of ageing. Brain Res. 1036:139–144. 2005. View Article : Google Scholar : PubMed/NCBI

17 

Head E, Nukala VN, Fenoglio KA, Muggenburg BA, Cotman CW and Sullivan PG: Effects of age, dietary, and behavioral enrichment on brain mitochondria in a canine model of human aging. Exp Neurol. 220:171–176. 2009. View Article : Google Scholar : PubMed/NCBI

18 

González-Martínez Á, Rosado B, Pesini P, et al: Plasma β-amyloid peptides in canine aging and cognitive dysfunction as a model of Alzheimer’s disease. Exp Gerontol. 46:590–596. 2011. View Article : Google Scholar

19 

Barańczyk-Kuźma A, Usarek E, Kuźma-Kozakiewcz M, et al: Age-related changes in tau expression in transgenic mouse model of amyotrophic lateral sclerosis. Neurochem Res. 32:415–421. 2007. View Article : Google Scholar

20 

Garbuzova-Davis S, Haller E, Saporta S, Kolomey I, Nicosia SV and Sanberg PR: Ultrastructure of blood-brain barrier and blood-spinal cord barrier in SOD1 mice modeling ALS. Brain Res. 1157:126–137. 2007. View Article : Google Scholar : PubMed/NCBI

21 

Coksaygan T, Magnus T, Cai J, et al: Neurogenesis in Talpha-1 tubulin transgenic mice during development and after injury. Exp Neurol. 197:475–485. 2006. View Article : Google Scholar

22 

Candelario-Jalil E, Alvarez D, Merino N and León OS: Delayed treatment with nimesulide reduces measures of oxidative stress following global ischemic brain injury in gerbils. Neurosci Res. 47:245–253. 2003. View Article : Google Scholar : PubMed/NCBI

23 

Schmued LC and Hopkins KJ: Fluoro-Jade B: a high affinity fluorescent marker for the localization of neuronal degeneration. Brain Res. 874:123–130. 2000. View Article : Google Scholar : PubMed/NCBI

24 

Kendig H, Browning CJ and Young AE: Impacts of illness and disability on the well-being of older people. Disabil Rehabil. 22:15–22. 2000. View Article : Google Scholar : PubMed/NCBI

25 

Thomas E, Peat G, Harris L, Wilkie R and Croft PR: The prevalence of pain and pain interference in a general population of older adults: cross-sectional findings from the North Staffordshire Osteoarthritis Project (NorStOP). Pain. 110:361–368. 2004. View Article : Google Scholar : PubMed/NCBI

26 

Chung JY, Choi JH, Lee CH, et al: Comparison of ionized calcium-binding adapter molecule 1-immunoreactive microglia in the spinal cord between young adult and aged dogs. Neurochem Res. 35:620–627. 2010. View Article : Google Scholar

27 

Ahn JH, Choi JH, Kim JS, et al: Comparison of immunoreactivities in 4-HNE and superoxide dismutases in the cervical and the lumbar spinal cord between adult and aged dogs. Exp Gerontol. 46:703–708. 2011.PubMed/NCBI

28 

Lawrence J, Stroman PW, Bascaramurty S, Jordan LM and Malisza KL: Correlation of functional activation in the rat spinal cord with neuronal activation detected by immunohistochemistry. Neuroimage. 22:1802–1807. 2004. View Article : Google Scholar : PubMed/NCBI

29 

Bullitt E: Expression of c-fos-like protein as a marker for neuronal activity following noxious stimulation in the rat. J Comp Neurol. 296:517–530. 1990. View Article : Google Scholar : PubMed/NCBI

30 

Wu YP and Ling EA: Expression of Fos in the spinal motoneurons labelled by horseradish peroxidase following middle cerebral artery occlusion in rat. Brain Res Bull. 45:571–576. 1998. View Article : Google Scholar : PubMed/NCBI

31 

Kim JM, Lee KW, Chung YH, Shin CM, Baik SH and Cha CI: c-Fos basal immunoreactivity decreases in rat spinal cord during normal ageing. Neuroreport. 10:585–588. 1999. View Article : Google Scholar : PubMed/NCBI

32 

Carballo-Quintás M, Martínez-Silva I, Cadarso-Suárez C, et al: A study of neurotoxic biomarkers, c-fos and GFAP after acute exposure to GSM radiation at 900 MHz in the picrotoxin model of rat brains. Neurotoxicology. 32:478–494. 2011. View Article : Google Scholar : PubMed/NCBI

33 

Sun YN, Luo JY, Rao ZR, Lan L and Duan L: GFAP and Fos immunoreactivity in lumbo-sacral spinal cord and medulla oblongata after chronic colonic inflammation in rats. World J Gastroenterol. 11:4827–4832. 2005.PubMed/NCBI

34 

Hald A, Nedergaard S, Hansen RR, Ding M and Heegaard AM: Differential activation of spinal cord glial cells in murine models of neuropathic and cancer pain. Eur J Pain. 13:138–145. 2009. View Article : Google Scholar

35 

Watkins LR, Milligan ED and Maier SF: Glial activation: a driving force for pathological pain. Trends Neurosci. 24:450–455. 2001. View Article : Google Scholar : PubMed/NCBI

36 

Lee DH, Ahn JH, Park JH, et al: Comparison of expression of inflammatory cytokines in the spinal cord between young adult and aged beagle dogs. Cell Mol Neurobiol. 33:615–624. 2013. View Article : Google Scholar : PubMed/NCBI

37 

Dinapoli VA, Benkovic SA, Li X, et al: Age exaggerates proinflammatory cytokine signaling and truncates signal transducers and activators of transcription 3 signaling following ischemic stroke in the rat. Neuroscience. 170:633–644. 2010. View Article : Google Scholar : PubMed/NCBI

Related Articles

  • Abstract
  • View
  • Download
  • Twitter
Copy and paste a formatted citation
Spandidos Publications style
Ahn JH, Shin MC, Park JH, Kim IH, Lee JC, Yan BC, Hwang IK, Moon SM, Ahn JY, Ohk TG, Ohk TG, et al: Increased immunoreactivity of c‑Fos in the spinal cord of the aged mouse and dog. Mol Med Rep 11: 1043-1048, 2015.
APA
Ahn, J.H., Shin, M.C., Park, J.H., Kim, I.H., Lee, J., Yan, B.C. ... Won, M. (2015). Increased immunoreactivity of c‑Fos in the spinal cord of the aged mouse and dog. Molecular Medicine Reports, 11, 1043-1048. https://doi.org/10.3892/mmr.2014.2800
MLA
Ahn, J. H., Shin, M. C., Park, J. H., Kim, I. H., Lee, J., Yan, B. C., Hwang, I. K., Moon, S. M., Ahn, J. Y., Ohk, T. G., Lee, T. H., Cho, J. H., Shin, H., Won, M."Increased immunoreactivity of c‑Fos in the spinal cord of the aged mouse and dog". Molecular Medicine Reports 11.2 (2015): 1043-1048.
Chicago
Ahn, J. H., Shin, M. C., Park, J. H., Kim, I. H., Lee, J., Yan, B. C., Hwang, I. K., Moon, S. M., Ahn, J. Y., Ohk, T. G., Lee, T. H., Cho, J. H., Shin, H., Won, M."Increased immunoreactivity of c‑Fos in the spinal cord of the aged mouse and dog". Molecular Medicine Reports 11, no. 2 (2015): 1043-1048. https://doi.org/10.3892/mmr.2014.2800
Copy and paste a formatted citation
x
Spandidos Publications style
Ahn JH, Shin MC, Park JH, Kim IH, Lee JC, Yan BC, Hwang IK, Moon SM, Ahn JY, Ohk TG, Ohk TG, et al: Increased immunoreactivity of c‑Fos in the spinal cord of the aged mouse and dog. Mol Med Rep 11: 1043-1048, 2015.
APA
Ahn, J.H., Shin, M.C., Park, J.H., Kim, I.H., Lee, J., Yan, B.C. ... Won, M. (2015). Increased immunoreactivity of c‑Fos in the spinal cord of the aged mouse and dog. Molecular Medicine Reports, 11, 1043-1048. https://doi.org/10.3892/mmr.2014.2800
MLA
Ahn, J. H., Shin, M. C., Park, J. H., Kim, I. H., Lee, J., Yan, B. C., Hwang, I. K., Moon, S. M., Ahn, J. Y., Ohk, T. G., Lee, T. H., Cho, J. H., Shin, H., Won, M."Increased immunoreactivity of c‑Fos in the spinal cord of the aged mouse and dog". Molecular Medicine Reports 11.2 (2015): 1043-1048.
Chicago
Ahn, J. H., Shin, M. C., Park, J. H., Kim, I. H., Lee, J., Yan, B. C., Hwang, I. K., Moon, S. M., Ahn, J. Y., Ohk, T. G., Lee, T. H., Cho, J. H., Shin, H., Won, M."Increased immunoreactivity of c‑Fos in the spinal cord of the aged mouse and dog". Molecular Medicine Reports 11, no. 2 (2015): 1043-1048. https://doi.org/10.3892/mmr.2014.2800
Follow us
  • Twitter
  • LinkedIn
  • Facebook
About
  • Spandidos Publications
  • Careers
  • Cookie Policy
  • Privacy Policy
How can we help?
  • Help
  • Live Chat
  • Contact
  • Email to our Support Team