Spandidos Publications Logo
  • About
    • About Spandidos
    • Aims and Scopes
    • Abstracting and Indexing
    • Editorial Policies
    • Reprints and Permissions
    • Job Opportunities
    • Terms and Conditions
    • Contact
  • Journals
    • All Journals
    • Oncology Letters
      • Oncology Letters
      • Information for Authors
      • Editorial Policies
      • Editorial Board
      • Aims and Scope
      • Abstracting and Indexing
      • Bibliographic Information
      • Archive
    • International Journal of Oncology
      • International Journal of Oncology
      • Information for Authors
      • Editorial Policies
      • Editorial Board
      • Aims and Scope
      • Abstracting and Indexing
      • Bibliographic Information
      • Archive
    • Molecular and Clinical Oncology
      • Molecular and Clinical Oncology
      • Information for Authors
      • Editorial Policies
      • Editorial Board
      • Aims and Scope
      • Abstracting and Indexing
      • Bibliographic Information
      • Archive
    • Experimental and Therapeutic Medicine
      • Experimental and Therapeutic Medicine
      • Information for Authors
      • Editorial Policies
      • Editorial Board
      • Aims and Scope
      • Abstracting and Indexing
      • Bibliographic Information
      • Archive
    • International Journal of Molecular Medicine
      • International Journal of Molecular Medicine
      • Information for Authors
      • Editorial Policies
      • Editorial Board
      • Aims and Scope
      • Abstracting and Indexing
      • Bibliographic Information
      • Archive
    • Biomedical Reports
      • Biomedical Reports
      • Information for Authors
      • Editorial Policies
      • Editorial Board
      • Aims and Scope
      • Abstracting and Indexing
      • Bibliographic Information
      • Archive
    • Oncology Reports
      • Oncology Reports
      • Information for Authors
      • Editorial Policies
      • Editorial Board
      • Aims and Scope
      • Abstracting and Indexing
      • Bibliographic Information
      • Archive
    • Molecular Medicine Reports
      • Molecular Medicine Reports
      • Information for Authors
      • Editorial Policies
      • Editorial Board
      • Aims and Scope
      • Abstracting and Indexing
      • Bibliographic Information
      • Archive
    • World Academy of Sciences Journal
      • World Academy of Sciences Journal
      • Information for Authors
      • Editorial Policies
      • Editorial Board
      • Aims and Scope
      • Abstracting and Indexing
      • Bibliographic Information
      • Archive
    • International Journal of Functional Nutrition
      • International Journal of Functional Nutrition
      • Information for Authors
      • Editorial Policies
      • Editorial Board
      • Aims and Scope
      • Abstracting and Indexing
      • Bibliographic Information
      • Archive
    • International Journal of Epigenetics
      • International Journal of Epigenetics
      • Information for Authors
      • Editorial Policies
      • Editorial Board
      • Aims and Scope
      • Abstracting and Indexing
      • Bibliographic Information
      • Archive
    • Medicine International
      • Medicine International
      • Information for Authors
      • Editorial Policies
      • Editorial Board
      • Aims and Scope
      • Abstracting and Indexing
      • Bibliographic Information
      • Archive
  • Articles
  • Information
    • Information for Authors
    • Information for Reviewers
    • Information for Librarians
    • Information for Advertisers
    • Conferences
  • Language Editing
Spandidos Publications Logo
  • About
    • About Spandidos
    • Aims and Scopes
    • Abstracting and Indexing
    • Editorial Policies
    • Reprints and Permissions
    • Job Opportunities
    • Terms and Conditions
    • Contact
  • Journals
    • All Journals
    • Biomedical Reports
      • Information for Authors
      • Editorial Policies
      • Editorial Board
      • Aims and Scope
      • Abstracting and Indexing
      • Bibliographic Information
      • Archive
    • Experimental and Therapeutic Medicine
      • Information for Authors
      • Editorial Policies
      • Editorial Board
      • Aims and Scope
      • Abstracting and Indexing
      • Bibliographic Information
      • Archive
    • International Journal of Epigenetics
      • Information for Authors
      • Editorial Policies
      • Editorial Board
      • Aims and Scope
      • Abstracting and Indexing
      • Bibliographic Information
      • Archive
    • International Journal of Functional Nutrition
      • Information for Authors
      • Editorial Policies
      • Editorial Board
      • Aims and Scope
      • Abstracting and Indexing
      • Bibliographic Information
      • Archive
    • International Journal of Molecular Medicine
      • Information for Authors
      • Editorial Policies
      • Editorial Board
      • Aims and Scope
      • Abstracting and Indexing
      • Bibliographic Information
      • Archive
    • International Journal of Oncology
      • Information for Authors
      • Editorial Policies
      • Editorial Board
      • Aims and Scope
      • Abstracting and Indexing
      • Bibliographic Information
      • Archive
    • Medicine International
      • Information for Authors
      • Editorial Policies
      • Editorial Board
      • Aims and Scope
      • Abstracting and Indexing
      • Bibliographic Information
      • Archive
    • Molecular and Clinical Oncology
      • Information for Authors
      • Editorial Policies
      • Editorial Board
      • Aims and Scope
      • Abstracting and Indexing
      • Bibliographic Information
      • Archive
    • Molecular Medicine Reports
      • Information for Authors
      • Editorial Policies
      • Editorial Board
      • Aims and Scope
      • Abstracting and Indexing
      • Bibliographic Information
      • Archive
    • Oncology Letters
      • Information for Authors
      • Editorial Policies
      • Editorial Board
      • Aims and Scope
      • Abstracting and Indexing
      • Bibliographic Information
      • Archive
    • Oncology Reports
      • Information for Authors
      • Editorial Policies
      • Editorial Board
      • Aims and Scope
      • Abstracting and Indexing
      • Bibliographic Information
      • Archive
    • World Academy of Sciences Journal
      • Information for Authors
      • Editorial Policies
      • Editorial Board
      • Aims and Scope
      • Abstracting and Indexing
      • Bibliographic Information
      • Archive
  • Articles
  • Information
    • For Authors
    • For Reviewers
    • For Librarians
    • For Advertisers
    • Conferences
  • Language Editing
Login Register Submit
  • This site uses cookies
  • You can change your cookie settings at any time by following the instructions in our Cookie Policy. To find out more, you may read our Privacy Policy.

    I agree
Search articles by DOI, keyword, author or affiliation
Search
Advanced Search
presentation
Molecular Medicine Reports
Join Editorial Board Propose a Special Issue
Print ISSN: 1791-2997 Online ISSN: 1791-3004
Journal Cover
May-2015 Volume 11 Issue 5

Full Size Image

Sign up for eToc alerts
Recommend to Library

Journals

International Journal of Molecular Medicine

International Journal of Molecular Medicine

International Journal of Molecular Medicine is an international journal devoted to molecular mechanisms of human disease.

International Journal of Oncology

International Journal of Oncology

International Journal of Oncology is an international journal devoted to oncology research and cancer treatment.

Molecular Medicine Reports

Molecular Medicine Reports

Covers molecular medicine topics such as pharmacology, pathology, genetics, neuroscience, infectious diseases, molecular cardiology, and molecular surgery.

Oncology Reports

Oncology Reports

Oncology Reports is an international journal devoted to fundamental and applied research in Oncology.

Experimental and Therapeutic Medicine

Experimental and Therapeutic Medicine

Experimental and Therapeutic Medicine is an international journal devoted to laboratory and clinical medicine.

Oncology Letters

Oncology Letters

Oncology Letters is an international journal devoted to Experimental and Clinical Oncology.

Biomedical Reports

Biomedical Reports

Explores a wide range of biological and medical fields, including pharmacology, genetics, microbiology, neuroscience, and molecular cardiology.

Molecular and Clinical Oncology

Molecular and Clinical Oncology

International journal addressing all aspects of oncology research, from tumorigenesis and oncogenes to chemotherapy and metastasis.

World Academy of Sciences Journal

World Academy of Sciences Journal

Multidisciplinary open-access journal spanning biochemistry, genetics, neuroscience, environmental health, and synthetic biology.

International Journal of Functional Nutrition

International Journal of Functional Nutrition

Open-access journal combining biochemistry, pharmacology, immunology, and genetics to advance health through functional nutrition.

International Journal of Epigenetics

International Journal of Epigenetics

Publishes open-access research on using epigenetics to advance understanding and treatment of human disease.

Medicine International

Medicine International

An International Open Access Journal Devoted to General Medicine.

Journal Cover
May-2015 Volume 11 Issue 5

Full Size Image

Sign up for eToc alerts
Recommend to Library

  • Article
  • Citations
    • Cite This Article
    • Download Citation
    • Create Citation Alert
    • Remove Citation Alert
    • Cited By
  • Similar Articles
    • Related Articles (in Spandidos Publications)
    • Similar Articles (Google Scholar)
    • Similar Articles (PubMed)
  • Download PDF
  • Download XML
  • View XML
Article

Inhibition of S-phase kinase-associated protein 2-mediated p27 degradation suppresses tumorigenesis and the progression of hepatocellular carcinoma

  • Authors:
    • Ming Qi
    • Dongmei Liu
    • Shuhong Zhang
    • Peixin Hu
    • Tan Sang
  • View Affiliations / Copyright

    Affiliations: Department of Digestive System, Jinan Central Hospital Affiliated to Shandong University, Jinan, Shandong 250013, P.R. China, Department of Transfusion Center, Jinan Central Hospital Affiliated to Shandong University, Jinan, Shandong 250013, P.R. China, Department of Hematology, Jinan Central Hospital Affiliated to Shandong University, Jinan, Shandong 250013, P.R. China
  • Pages: 3934-3940
    |
    Published online on: January 8, 2015
       https://doi.org/10.3892/mmr.2015.3156
  • Expand metrics +
Metrics: Total Views: 0 (Spandidos Publications: | PMC Statistics: )
Metrics: Total PDF Downloads: 0 (Spandidos Publications: | PMC Statistics: )
Cited By (CrossRef): 0 citations Loading Articles...

This article is mentioned in:



Abstract

In order to determine the protein expression of S‑phase kinase‑associated protein 2 (Skp2) and p27kip1, and to evaluate their possible prognostic values in malignant liver cancer, tissue samples from 50 patients and 40 controls were assessed and analyzed by immunohistochemistry and western blot analysis. Positive expression of Skp2 was observed in 35 (70.0%) of the hepatocellular carcinoma samples; however, the positive expression of p27kip1 was observed in 6 (15.0%) of the hepatocellular carcinoma samples. The expression of Skp2 was significantly negatively correlated with the expression of p27 (P<0.01). The results from Annexin V‑propidium iodide staining and MTT assays indicated that interference of Skp2 significantly induced apoptosis and inhibited the proliferation of SSMC‑7721 cells. In addition, the levels of endogenous p27 increased in the HepG2 and SSMC‑7721 cells following transfection with siRNA specific to Skp2, suggesting that the Skp2‑mediated degradation of p27kip1 was important in the proliferation of tumor cells. The present study, therefore, provided a molecular reference for the treatment of liver cancer.

Introduction

Liver cancer is a malignant disease, which forms on the surface or within the liver, including in blood vessels or the bile duct (1–3). It is one of the most common types of solid tumor worldwide and is the third leading cause of cancer-associated mortality (4). Primary liver cancer is the most common type of malignant tumor, with poor prognosis and a high mortality rate (5,6). It currently leads to 360,000 incident cases and the mortality of 350,000 individuals annually in China (7). The incidence and mortality rates of hepatocellular carcinoma in China account for 40–45% and 18.8% of the patients with liver cancer worldwide, respectively. Untreated patients with advanced disease usually survive <6 months (8) and, in 25 randomized clinical trials, the 1 and 2 year survival rates of untreated patients were between 10 and 72% and between 8 and 50%, respectively (8). Thus, liver cancer is one of the major diseases affecting health.

Tumors occur in several diseases and result from disordered cell cycle regulation or loss of control over cell division. The unchecked cells may eventually form malignancies, with the activation of oncogenes or inhibition of tumor suppressor genes (9,10).

The cyclin kinase inhibitor p27kip1 is a cell-cycle regulatory protein, which is one of the most important regulators of the cell cycle (11). It interacts with cyclin-dependent kinase (CDK)2 and CDK4 to inhibit cell cycle progression at the G1 phase and is also the checkpoint of the G1-S phase transition (12,13). The degradation of p27kip1 is dependent on the ubiquitin-proteasome pathway. Thus is generally triggered by phosphorylation of conserved threonine (Thr187) and subsequent ubiquitination by Skp, Cullin and F-box (SCF) complexes, and is required for cell division (14,15). The ubiquitin-proteasome system is mediated by three enzymes, ubiquitin-activating enzyme, ubiquitin-conjugating enzyme and E3 ubiquitin ligase. S-phase kinase-associated protein 2 (Skp2) is one type of E3 ubiquitin ligase for recruiting a specific substrate and determining their specificity (16). Thus, Skp2 acts as an adaptor of the SCF-Skp2 complex and recognizes phosphorylated substrates, including p27kip1 and p21.

Skp2 acts as an oncogene and overexpression of Skp2 is frequently observed in several types of human tumor, including lymphoma, prostate cancer, melanoma, nasopharyngeal carcinoma, pancreatic cancer and breast carcinomas, which promotes the progression and metastasis of human cancer (17–20). By comparison, p27kip1, a tumor inhibitor protein, usually inhibits the progression of human cancer. In the present study, the role of the Skp2-p27 pathway in the progression of human liver cancer was investigated and the underlying mechanism was examined. Clarification of the process and progression of carcinogenesis in liver tissues may provide novel targets for the effective prevention of liver cancer.

Materials and methods

Liver cancer cell lines

The HepG2 and SSMC-7721 liver cancer cell lines (American Type Culture Collection, Manassas, VA, USA) were maintained in the laboratory at Jinan Central Hospital Affiliated to Shandong University (Shandong, China) and were cultured in Dulbecco’s modified Eagle’s medium (DMEM) with 10% fetal bovine serum (HyClone, GE Healthcare Life Sciences, Little Chalfont, UK), 1% penicillin and 1% streptomycin (Gibco-BRL, Invitrogen Life Technologies, Carlsbad, CA, USA).

Small interfering (si)RNA and antibodies

The cells were planted in 48-well plates and subsequent to a 24-h resting period, the Skp2 p45 siRNA and scramble siRNA was transfected with Lipofectamine 2000 (Invitrogen Life Technologies). Following 8 h of transfection, the DMEM medium was replaced and the lysates were prepared subsequent to transfection for 48 h. The Skp2 p45 siRNA was purchased from Santa Cruz Biotechnology, Inc. (sc-36499; Dallas, TX, USA) and scramble siRNA was synthesized by Shanghai Jima Company (Shanghai, China). Rabbit polyclonal immunoglobulin G (IgG) Skp2 p45 antibody (200 μg/ml; sc-7164), mouse monoclonal IgG1 p27 antibody (200 μg/ml; sc-53906) and mouse monoclonal IgG1 β-actin (AC-15) antibody (100 μg/ml; sc-69879), as well as horseradish peroxidase-conjugated goat anti-mouse secondary antibody (sc-2005) were all obtained from Santa Cruz Biotechnology, Inc.

Histology and immunohistochemistry

Liver tissue samples were obtained from Jinan Central Hospital Affiliated to Shandong University. The subjects included 50 cases of hepatocellular carcinoma and 40 paratumor tissues with an average age of 58±13 years. The subjects were recruited from March 2011 to December 2013. The specimens were obtained during surgery. There were 52 male and 38 female patients during the experiment. Written informed consent was also obtained from the patients’ families. The study was approved by the ethics committee of Jinan Central Hospital Affiliated to Shandong University (Jinan, China). The liver tissues were fixed in neutral buffered paraformaldehyde and processed for hematoxylin and eosin (H&E) staining. Immunohistochemical staining was performed, as previously described (21,22). Briefly, the paraffin-embedded sections were dewaxed, rehydrated, inhibited and incubated overnight with the primary antibodies (anti-p27 and anti-Skp2). Subsequently, the samples were incubated with goat anti-mouse and goat anti-rabbit secondary antibodies (Santa Cruz Biotechnology) for 1 h. The slides were stained, dehydrated and cleared and the stained slides were mounted in Permount and visualized using a Nikon Eclipse Ti microscope (Nikon, Tokyo, Japan). Images were captured using an FE330 digital camera (Olympus Corporation, Tokyo, Japan), which was attached to the microscope.

Western blot analysis

The whole cell extracts were prepared and separated by PAGE, as previously described (23–25) using buffer and gel obtained from Shanghai Qcbio Science and Technologies Co., Ltd. (Shanghai, China) and the machine (Mini-Protean® Tetra Cell) from obtained from Bio-Rad (Hercules, CA, USA). The proteins of the sample were separated using gel electrophoresis and were subsequently transferred to a polyvinylidine difluoride membrane (Millipore, Billerica, MA, USA). Subsequently, blocking of non-specific binding was achieved by placing the membrane in a solution of 5% bovine serum albumin. Following blocking, a dilute solution of the appropriate primary antibody was incubated with the membrane at 4°C overnight. The antibodies used were as follows: Anti-p27, anti-Skp2, anti-β-actin and horseradish peroxidase-conjugated goat anti-mouse secondary antibody.

MTT assay

An MTT assay was performed, as described previously (26–28). The cells (5×105) were seeded into 48-well plates. Following culture for 24, 48 or 72 h, the plates were read on a microplate reader (Varioskan Flash Multimode Reader; Thermo Fisher Scientific, Waltham, MA, USA) at a test wavelength of 490 nm and a reference wavelength of 570 nm.

Immunoprecipitation

Immunoprecipitation was performed, as previously described (29–31). The cells were lysed and the sample was passed over beads alone or bound to a relevant antibody to absorb any proteins that non-specifically bind to the immunoprecipitation components. For immunoprecipitation analysis, the samples were immunoprecipitated with mouse monoclonal hemagglutinin (HA)-tag antibodies (A012244-100; GenScript, Nanjing, China). The immunocomplexes were separated by SDS-PAGE and treated with the secondary antibody. The complexes of Skp2 or ubiquitin with p27kip1 were determined by immunoprecipitating the mouse monoclonal anti-Flag antibody (AF519; Beyotime Institue of Biotechnology, Haimen, China) and normalized to the quantity of antibodies. To assess the specificity of the primary antibodies, negative controls were used, in which the antibodies used to immunoprecipitate were incubated for 2 h at room temperature with the respective immunogen peptide.

FACS analysis

Cell apoptosis rate was determined by Annexin V-fluorescein isothiocyanate (FITC)/propidium iodide (PI) (Hangzhou Lianke Biology Technology Limited Company, Hangzhou, China) staining. The one-step staining procedure was selected, which takes only 10 min to perform. Detection was analyzed by flow cytometry (FC 500; Beckman Coulter, Brea, CA, USA), which differentiates between apoptosis and necrosis following Annexin V-FITC and PI staining.

Statistical analysis

Student’s t-test was used to evaluate statistical significance. Data were analyzed using SPSS 19.0 (IBM SPSS, Armonk, NY, USA) Data are expressed as the mean ± standard deviation. P<0.05 were considered to indicate a statistically significant difference.

Results

Positive Skp2 staining is observed in the majority of liver cancer tissues

In the present study, 90 registered patients were obtained from the database of Jinan Central Hospital Affiliated to Shandong University. As shown in Fig. 1, H&E staining of the samples of paratumor liver tissue and hepatocellular carcinoma tissue was compared with normal liver tissues. It is reported that the Skp2-p27kip1 signaling pathway is closely associated with cancer (32,33). In the present study, the expression levels of Skp2 and p27kip1 were detected by immunohistochemical analyses in the paratumor and hepatocellular carcinoma tissues. The results revealed that the positive brown staining for Skp2 was predominantly observed in the nuclei with occasional cytoplasmic expression (Fig. 2). Compared with the immnunostaining of the paratumor tissues, nuclear and cytoplasmic localization of Skp2 was observed in the majority of the examined samples in the patients with hepatocellular carcinoma (Table I) with 70.0% of the malignant tumors demonstrating varying levels of positive immunostaining. A significant difference was observed between the two groups (P<0.01).

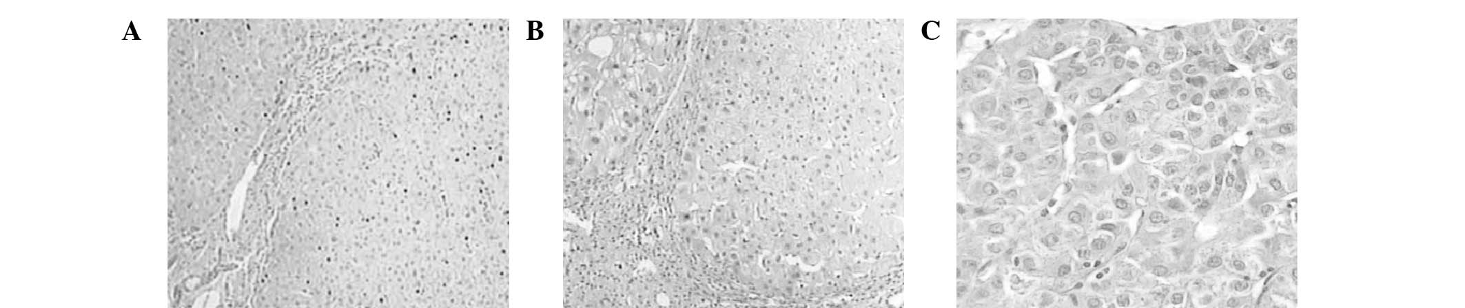
Figure 1

Hematoxylin and eosin staining of the liver tissues in the samples. (A) Image of the normal liver tissues (magnification, ×100). (B) Image of the paratumor tissues (magnification, ×100). (C) Image of the hepatocellular carcinoma tissues (magnification, ×400).

Figure 2

Paraffin-embedded samples were analyzed by histochemical staining of skp2 and p27kip1. (A) Normal expression of p27kip1 in the cell nuclei and cytoplasm of the paratumor tissues (brown staining; magnification, ×200). (B) Negative expression of p27kip1 in the hepatocellular carcinoma tissues (magnification, ×400). (C) Negative expression of skp2 in the paratumor tissues (magnification, ×400). (D) Expression of skp2 in the hepatocellular carcinoma tissues (magnification, ×400). Skp2, S-phase kinase-associated protein 2.

Table I

Expression of Skp2 in hepatocellular carcinorma and paratumor tissues.

Table I

Expression of Skp2 in hepatocellular carcinorma and paratumor tissues.

TissueSample no.Skp2Positive rate (%)

−+
Hepatocellular carcinoma50153570.0a
Paratumor4034615.0

a P<0.01 compared with paratumor tissues.

{ label (or @symbol) needed for fn[@id='tfn2-mmr-11-05-3934'] } Skp2, S-phase kinase-associated protein 2.

Positive Skp2 staining is limited in hepatocellular carcinoma

The present study then detected the expression and localization of p27kip1 in the hepatocellular carcinoma and paratumor tissues. As shown in Fig. 2, the results of the immunostaining demonstrated that p27kip1 exhibited a primarily nuclear pattern of expression. As shown in Table II, 84.0% (42/50) of the malignant hepatocellular carcinoma tissues demonstrated negative immunostaining; however, negative immunostaining was observed in only 10% (4/40) of the paratumor tissues, with a significant difference observed between the two groups (P<0.01).

Table II

Expression of p27kip1 in hepatocellular carcinorma and paratumor tissues.

Table II

Expression of p27kip1 in hepatocellular carcinorma and paratumor tissues.

TissueSample no. p27kip1Positive rate (%)

−+
Hepatocellular carcinoma5042816.0a
Paratumor4043690.0

a P<0.01 compared with paratumor tissues.

Localization of Skp2 detected by western blot analysis

In order to confirm the localization of Skp2 in SSMC 7721 and HepG2 cells, cytoplasmic and nucleic proteins were prepared and western blot analysis was performed. As shown in Fig. 3, the results revealed that the majority of Skp2 was located in the nuclei of the cells; although there was low expression detected in the cytoplasm.

Figure 3

Localization of Skp2 detected by western blot analysis. The SSMC 7721 and HepG2 cells were cultured in 48-well plates, and Skp2 expression levels in the cytoplasm and nucleus were detected by western blot analysis. Skp2, S phase kinase associated protein 2.

Skp2 is degraded by the ubiquitin-proteasome pathway regulated by Skp2

In order to examine whether the degradation of p27kip1 is regulated by Skp2, 293T cells, which expressed HA-Skp2, Flag-p27 and ubiquitin together were used. After 48 h, a co-immunoprecipitation assay was performed and the data demonstrated that the K48-linked p27kip1 increased and the K63-linked p27kip1 decreased. The total quantity of ubiquitinated p27kip1 was also downregulated (Fig. 4). Taken together, these data demonstrated that p27kip1 was degraded by the ubiquitin-proteasome pathway, which was mediated by the Skp2 complex.

Figure 4

In vivo ubiquitination of P27kip1. HA-Skp2 and Flag-p27kip1 with K48-Ub, K63-Ub or whole Ub, were expressed in the 293T cells. After 48 h, the immunoprecipitates obtained using the HA antibodies were immunoblotted for Flag to detect polyubiquitinated p27kip1. Skp2, S-phase kinase-associated protein 2; HA, hemagglutinin; Ub, ubiquitin.

Interference of Skp2 induces the apoptosis and inhibits the proliferation of SSMC-7721 cells

Skp2 is an oncogene, which is highly expressed in tumor cells. The present study investigated whether interference of Skp2 with specific siRNA induced the apoptosis of liver cancer cells or promoted liver cancer cell death. As shown in Fig. 5, the apoptotic rates of the SSMC-7721 cells transfected with Skp2-siRNA were significantly higher compared with the control cells (P<0.01).

Figure 5

Interference of Skp2 promotes the apoptosis and death of SSMC-7721 cells. (A) Fluorescence-activated cell sorting assay. The SSMC-7721 cells were transfected with Skp2 siRNA. After 48 h, the apoptotic rate was detected by Annexin V-PI staining. The untreated cells and the cells transfected with scramble siRNA were used as negative controls. (B) Histograms of the apoptotic rates by Annexin V-PI staining. **P<0.01, compared with the negative control cells. (C) MTT assay, in which the cells (5×105) were seeded into 48-well plates and transfected with Skp2 siRNA or scramble siRNA for 24, 48 and 72 h, respectively. Data are expressed as the mean ± standard deviation of at least three independent experiments on different individuals. *P<0.05 and **P<0.01, compared with the control group. Skp2, S-phase kinase-associated protein 2; FITC, fluorescein isothiocyanate; PI, propidium iodide; ctrl, control; OD, optical density.

In the MTT assay (Fig. 5C), the optical density at 490 nm in the cells transfected with Skp2-siRNA were significantly lower compared with that of the control cells (P<0.05 and P<0.01). This was consistent with the results observed by fluorescence-activated cell sorting (FACS), suggesting that the proliferation of cancer cells was inhibited following transfection with Skp2-siRNA.

Interference of the expression of Skp2 increases the expression of p27kip1

The present study demonstrated that interference of Skp2 induced apoptosis and inhibited proliferation of the SSMC-7721 cells. In order to further examine the mechanism involved and clarify the association with the expression of p27kip1, the expression of p27kip1 was examined by western blot analysis. As shown in Fig. 6, following depletion of the expression of endogenous Skp2 by RNA interference, the levels of endogenous p27kip1 increased in the HepG2 and SSMC-7721 cells suggesting that Skp2-mediated degradation of p27kip1 was important for proliferation of the tumor cells.

Figure 6

Interference of Skp2 increases the expression of p27kip1. The HepG2 and SSMC-7721 cells (5×105) were seeded into 48-well plates and transfected with Skp2-siRNA for 48 h. Untreated cells (ctrl) or the cells transfected with scramble siRNA were used as negative controls. The expression levels of Skp2, p27kip1 and β-actin were detected by western blot analysis with β-actin as an internal reference. Skp2. S-phase kinase-associated protein 2.

Discussion

Hepatocellular carcinoma is the fifth most common type of malignant tumor worldwide and the third most common cause of cancer-associated death (34,35). Investigating the variation in oncogenes and suppressor genes during hepatocarcinogenesis assists in identifying the prognostic markers of the disease. Regulators controlling the cell cycle, including the G1, S and M phases, regulate the progression and development of several types of cancer, including liver cancer (36,37). The present study investigated the clinical predictive value of altered expression levels of p27kip1 and Skp2 in hepatocellular carcinoma tissues compared with normal liver tissues. The results revealed higher expression levels of Skp2, often accompanied by lower expression levels of p27kip1 in hepatocellular carcinoma, which suggested that they may be important in the pathogenesis and progression of liver cancer.

Skp2 is an F-box substrate-recognition subunit in the SCF ubiquitin-protein ligase complex, which is important in degrading the tumor suppressor gene p27kip1 by the ubiquitin-proteasome system (38–42). The present study demonstrated that the expression of p27kip1 was negatively associated with that of Skp2, which was detected by immunohistochemical and western blot analysis. Additionally, the results also demonstrated that interference of Skp2 by Skp2-siRNA significantly inhibited the proliferation of the HepG2 and SSMC-7721 cells, which was detected using an MTT assay and FACS analysis. Decreased levels of Skp2 are usually accompanied by increased levels of p27kip1, which are considered to be associated with the inhibition of cancer cells (43,44). The results of the present study demonstrated that inhibition of hepatocellular carcinoma by interference of Skp2 was mainly dependent on upregulating the protein expression of p27kip1.

P27kip1 degradation is mediated mainly by the ubiquitin-proteasome system and Skp2 is an E3 ligase, one of the major components of the SCF complex. This system specifically recognizes the phosphorylated Thr187 of p27kip1 and promotes the degradation of p27kip1 by ubiquitination (30,45). When the protein levels of Skp2 decrease, less p27kip1 is recognized and degraded. Thus, accumulation of the tumor inhibitor protein p27kip1 is accompanied by downregulation of Skp2, which was consistent with the results of the MTT and FACS assays in the present study.

In conclusion, the present study confirmed increased expression of Skp2 accompanied by decreased expression of p27kip1 in hepatocellular carcinoma, with the two proteins having a negative correlation. Additionally, the RNA interference technique may provide a novel approach for the therapy and treatment of liver carcinoma.

References

1 

Singh S, Fujii LL, Murad MH, et al: Liver stiffness is associated with risk of decompensation, liver cancer, and death in patients with chronic liver diseases: a systematic review and meta-analysis. Clin Gastroenterol Hepatol. 11:1573–1584. 2013. View Article : Google Scholar : PubMed/NCBI

2 

Tanaka K, Ichikawa Y and Endo I: Liver resection for advanced or aggressive colorectal cancer metastases in the era of effective chemotherapy: a review. Int J Clin Oncol. 16:452–463. 2011. View Article : Google Scholar : PubMed/NCBI

3 

Leenders MW, Nijkamp MW and Borel Rinkes IH: Mouse models in liver cancer research: a review of current literature. World J Gastroenterol. 14:6915–6923. 2008. View Article : Google Scholar : PubMed/NCBI

4 

Coviello E, Caputi G, Martinelli D, Germinario CA and Prato R: Mortality trends for primary liver cancer in Puglia, Italy. Eur J Cancer Prev. 19:417–423. 2010. View Article : Google Scholar : PubMed/NCBI

5 

Shiraha H, Yamamoto K and Namba M: Human hepatocyte carcinogenesis (review). Int J Oncol. 42:1133–1138. 2013.PubMed/NCBI

6 

Baillargeon J, Snyder N, Soloway RD, et al: Hepatocellular carcinoma prevalence and mortality in a male state prison population. Public Health Rep. 124:120–126. 2009.PubMed/NCBI

7 

Chen JG and Zhang SW: Liver cancer epidemic in China: past, present and future. Semin Cancer Biol. 21:59–69. 2011. View Article : Google Scholar

8 

Okuda K, Ohtsuki T, Obata H, et al: Natural history of hepatocellular carcinoma and prognosis in relation to treatment. Study of 850 patients. Cancer. 56:918–928. 1985. View Article : Google Scholar : PubMed/NCBI

9 

Lobry C, Oh P, Mansour MR, Look AT and Aifantis I: Notch signaling: switching an oncogene to a tumor suppressor. Blood. 123:2451–2459. 2014. View Article : Google Scholar : PubMed/NCBI

10 

Elliman SJ, Howley BV, Mehta DS, Fearnhead HO, Kemp DM and Barkley LR: Selective repression of the oncogene cyclin D1 by the tumor suppressor miR-206 in cancers. Oncogenesis. 3:e1132014. View Article : Google Scholar : PubMed/NCBI

11 

Liu Z, Fu Q, Lv J, Wang F and Ding K: Prognostic implication of p27Kip1, Skp2 and Cks1 expression in renal cell carcinoma: a tissue microarray study. J Exp Clin Cancer Res. 27:512008. View Article : Google Scholar : PubMed/NCBI

12 

Newbold A, Salmon JM, Martin BP, Stanley K and Johnstone RW: The role of p21 and p27 in HDACi-mediated tumor cell death and cell cycle arrest in the Eμ-myc model of B-cell lymphoma. Oncogene. Dec 2–2013.(Epub ahead of print). View Article : Google Scholar

13 

Gao J, Zhao Y, Lv Y, et al: Mirk/Dyrk1B mediates G0/G1 to S phase cell cycle progression and cell survival involving MAPK/ERK signaling in human cancer cells. Cancer Cell Int. 13:22013. View Article : Google Scholar : PubMed/NCBI

14 

Wei W, Ayad NG, Wan Y, et al: Degradation of the SCF component Skp2 in cell-cycle phase G1 by the anaphase-promoting complex. Nature. 428:194–198. 2004. View Article : Google Scholar : PubMed/NCBI

15 

Bashir T, Dorrello NV, Amador V, Guardavaccaro D and Pagano M: Control of the SCF (Skp2-Cks1) ubiquitin ligase by the APC/C(Cdh1) ubiquitin ligase. Nature. 428:190–193. 2004. View Article : Google Scholar : PubMed/NCBI

16 

Chen G, Wang Y, Garate M, Zhou J and Li G: The tumor suppressor ING3 is degraded by SCF(Skp2)-mediated ubiquitin-proteasome system. Oncogene. 29:1498–1508. 2010. View Article : Google Scholar

17 

Cheng H, Meng J, Wang G, et al: Skp2 regulates subcellular localization of PPARgamma by MEK signaling pathways in human breast cancer. Int J Mol Sci. 14:16554–16569. 2013. View Article : Google Scholar : PubMed/NCBI

18 

Wang Z, Gao D, Fukushima H, et al: Skp2: a novel potential therapeutic target for prostate cancer. Biochim Biophys Acta. 1825:11–17. 2012.

19 

Wei Z, Jiang X, Qiao H, et al: STAT3 interacts with Skp2/p27/p21 pathway to regulate the motility and invasion of gastric cancer cells. Cell Signal. 25:931–938. 2013. View Article : Google Scholar : PubMed/NCBI

20 

Pateras IS, Apostolopoulou K, Koutsami M, et al: Downregulation of the KIP family members p27 (KIP1) and p57 (KIP2) by SKP2 and the role of methylation in p57 (KIP2) inactivation in nonsmall cell lung cancer. Int J Cancer. 119:2546–2556. 2006. View Article : Google Scholar : PubMed/NCBI

21 

Saleem M, Maddodi N, Abu Zaid M, et al: Lupeol inhibits growth of highly aggressive human metastatic melanoma cells in vitro and in vivo by inducing apoptosis. Clin Cancer Res. 14:2119–2127. 2008. View Article : Google Scholar : PubMed/NCBI

22 

Adhami VM, Siddiqui IA, Ahmad N, Gupta S and Mukhtar H: Oral consumption of green tea polyphenols inhibits insulin-like growth factor-I-induced signaling in an autochthonous mouse model of prostate cancer. Cancer Res. 64:8715–8722. 2004. View Article : Google Scholar : PubMed/NCBI

23 

Nishitani H, Sugimoto N, Roukos V, et al: Two E3 ubiquitin ligases, SCF-Skp2 and DDB1-Cul4, target human Cdt1 for proteolysis. EMBO J. 25:1126–1136. 2006. View Article : Google Scholar : PubMed/NCBI

24 

Peng L, Xu Z, Zhou Y, et al: Effect of rosiglitazone on cells cycle, apoptosis and expression of Skp2 and p27Kip1 in hepatocellular carcinoma cell line. Zhonghua Gan Zang Bing Za Zhi. 18:148–149. 2010.(In Chinese). PubMed/NCBI

25 

Schulman BA, Carrano AC, Jeffrey PD, et al: Insights into SCF ubiquitin ligases from the structure of the Skp1–Skp2 complex. Nature. 408:381–386. 2000. View Article : Google Scholar : PubMed/NCBI

26 

Li Y, Huang W, Huang S, Du J and Huang C: Screening of anti-cancer agent using zebrafish: comparison with the MTT assay. Biochem Biophys Res Commun. 422:85–90. 2012. View Article : Google Scholar : PubMed/NCBI

27 

Sarzaeem A, Zare Mirakabadi A, Moradhaseli S, Morovvati H and Lotfi M: Cytotoxic effect of ICD-85 (venom-derived peptides) on HeLa cancer cell line and normal LK cells using MTT assay. Arch Iran Med. 15:696–701. 2012.PubMed/NCBI

28 

Sylvester PW: Optimization of the tetrazolium dye (MTT) colorimetric assay for cellular growth and viability. Methods Mol Biol. 716:157–168. 2011. View Article : Google Scholar : PubMed/NCBI

29 

Liu Y, Wang Y, Cheng C, et al: A relationship between p27 (kip1) and Skp2 after adult brain injury: implications for glial proliferation. J Neurotrauma. 27:361–371. 2010. View Article : Google Scholar

30 

Rosner M and Hengstschläger M: Tuberin binds p27 and negatively regulates its interaction with the SCF component Skp2. J Biol Chem. 279:48707–48715. 2004. View Article : Google Scholar : PubMed/NCBI

31 

Hu D, Liu W, Wu G and Wan Y: Nuclear translocation of Skp2 facilitates its destruction in response to TGFbeta signaling. Cell Cycle. 10:285–292. 2011. View Article : Google Scholar : PubMed/NCBI

32 

Foster JS, Fernando RI, Ishida N, Nakayama KI and Wimalasena J: Estrogens down-regulate p27Kip1 in breast cancer cells through Skp2 and through nuclear export mediated by the ERK pathway. J Biol Chem. 278:41355–41366. 2003. View Article : Google Scholar : PubMed/NCBI

33 

Pavlides SC, Huang KT, Reid DA, et al: Inhibitors of SCF-Skp2/Cks1 E3 ligase block estrogen-induced growth stimulation and degradation of nuclear p27kip1: therapeutic potential for endometrial cancer. Endocrinology. 154:4030–4045. 2013. View Article : Google Scholar : PubMed/NCBI

34 

Kudo M: Targeted therapy for liver cancer: updated review in 2012. Curr Cancer Drug Targets. 12:1062–1072. 2012.PubMed/NCBI

35 

Montalvo-Jave EE, Villegas-Alvarez F, Montalvo-Arenas CE, et al: Liver transplantation: some advances in liver cancer, live liver donation, and cell transplantation. A literature review. Rev Gastroenterol Mex. 74:341–348. 2009.

36 

Shanmugasundaram K, Block K, Nayak BK, et al: PI3K regulation of the SKP-2/p27 axis through mTORC2. Oncogene. 32:2027–2036. 2013. View Article : Google Scholar :

37 

Assoian RK and Yung Y: A reciprocal relationship between Rb and Skp2: implications for restriction point control, signal transduction to the cell cycle and cancer. Cell Cycle. 7:24–27. 2008. View Article : Google Scholar : PubMed/NCBI

38 

Bashir T, Pagan JK, Busino L and Pagano M: Phosphorylation of Ser72 is dispensable for Skp2 assembly into an active SCF ubiquitin ligase and its subcellular localization. Cell Cycle. 9:971–974. 2010. View Article : Google Scholar : PubMed/NCBI

39 

Calvisi DF, Pinna F, Ladu S, et al: The degradation of cell cycle regulators by SKP2/CKS1 ubiquitin ligase is genetically controlled in rodent liver cancer and contributes to determine the susceptibility to the disease. Int J Cancer. 126:1275–1281. 2010.

40 

Wei Z, Jiang X, Liu F, et al: Downregulation of Skp2 inhibits the growth and metastasis of gastric cancer cells in vitro and in vivo. Tumour Biol. 34:181–192. 2013. View Article : Google Scholar

41 

Wu J, Lee SW, Zhang X, et al: Foxo3a transcription factor is a negative regulator of Skp2 and Skp2 SCF complex. Oncogene. 32:78–85. 2013. View Article : Google Scholar :

42 

Wu L, Grigoryan AV, Li Y, et al: Specific small molecule inhibitors of Skp2-mediated p27 degradation. Chem Biol. 19:1515–1524. 2012. View Article : Google Scholar : PubMed/NCBI

43 

Zheng XY, Ding W, Xie LP and Chen ZD: Correlation of Skp2 and P27kip1 protein expression and clinicopathological features of prostate cancer. Ai Zheng. 23:215–218. 2004.(In Chinese). PubMed/NCBI

44 

Ben-Izhak O, Lahav-Baratz S, Meretyk S, et al: Inverse relationship between Skp2 ubiquitin ligase and the cyclin dependent kinase inhibitor p27Kip1 in prostate cancer. J Urol. 170:241–245. 2003. View Article : Google Scholar : PubMed/NCBI

45 

Radke S, Pirkmaier A and Germain D: Differential expression of the F-box proteins Skp2 and Skp2B in breast cancer. Oncogene. 24:3448–3458. 2005. View Article : Google Scholar : PubMed/NCBI

Related Articles

  • Abstract
  • View
  • Download
  • Twitter
Copy and paste a formatted citation
Spandidos Publications style
Qi M, Liu D, Zhang S, Hu P and Sang T: Inhibition of S-phase kinase-associated protein 2-mediated p27 degradation suppresses tumorigenesis and the progression of hepatocellular carcinoma. Mol Med Rep 11: 3934-3940, 2015.
APA
Qi, M., Liu, D., Zhang, S., Hu, P., & Sang, T. (2015). Inhibition of S-phase kinase-associated protein 2-mediated p27 degradation suppresses tumorigenesis and the progression of hepatocellular carcinoma. Molecular Medicine Reports, 11, 3934-3940. https://doi.org/10.3892/mmr.2015.3156
MLA
Qi, M., Liu, D., Zhang, S., Hu, P., Sang, T."Inhibition of S-phase kinase-associated protein 2-mediated p27 degradation suppresses tumorigenesis and the progression of hepatocellular carcinoma". Molecular Medicine Reports 11.5 (2015): 3934-3940.
Chicago
Qi, M., Liu, D., Zhang, S., Hu, P., Sang, T."Inhibition of S-phase kinase-associated protein 2-mediated p27 degradation suppresses tumorigenesis and the progression of hepatocellular carcinoma". Molecular Medicine Reports 11, no. 5 (2015): 3934-3940. https://doi.org/10.3892/mmr.2015.3156
Copy and paste a formatted citation
x
Spandidos Publications style
Qi M, Liu D, Zhang S, Hu P and Sang T: Inhibition of S-phase kinase-associated protein 2-mediated p27 degradation suppresses tumorigenesis and the progression of hepatocellular carcinoma. Mol Med Rep 11: 3934-3940, 2015.
APA
Qi, M., Liu, D., Zhang, S., Hu, P., & Sang, T. (2015). Inhibition of S-phase kinase-associated protein 2-mediated p27 degradation suppresses tumorigenesis and the progression of hepatocellular carcinoma. Molecular Medicine Reports, 11, 3934-3940. https://doi.org/10.3892/mmr.2015.3156
MLA
Qi, M., Liu, D., Zhang, S., Hu, P., Sang, T."Inhibition of S-phase kinase-associated protein 2-mediated p27 degradation suppresses tumorigenesis and the progression of hepatocellular carcinoma". Molecular Medicine Reports 11.5 (2015): 3934-3940.
Chicago
Qi, M., Liu, D., Zhang, S., Hu, P., Sang, T."Inhibition of S-phase kinase-associated protein 2-mediated p27 degradation suppresses tumorigenesis and the progression of hepatocellular carcinoma". Molecular Medicine Reports 11, no. 5 (2015): 3934-3940. https://doi.org/10.3892/mmr.2015.3156
Follow us
  • Twitter
  • LinkedIn
  • Facebook
About
  • Spandidos Publications
  • Careers
  • Cookie Policy
  • Privacy Policy
How can we help?
  • Help
  • Live Chat
  • Contact
  • Email to our Support Team