Spandidos Publications Logo
  • About
    • About Spandidos
    • Aims and Scopes
    • Abstracting and Indexing
    • Editorial Policies
    • Reprints and Permissions
    • Job Opportunities
    • Terms and Conditions
    • Contact
  • Journals
    • All Journals
    • Oncology Letters
      • Oncology Letters
      • Information for Authors
      • Editorial Policies
      • Editorial Board
      • Aims and Scope
      • Abstracting and Indexing
      • Bibliographic Information
      • Archive
    • International Journal of Oncology
      • International Journal of Oncology
      • Information for Authors
      • Editorial Policies
      • Editorial Board
      • Aims and Scope
      • Abstracting and Indexing
      • Bibliographic Information
      • Archive
    • Molecular and Clinical Oncology
      • Molecular and Clinical Oncology
      • Information for Authors
      • Editorial Policies
      • Editorial Board
      • Aims and Scope
      • Abstracting and Indexing
      • Bibliographic Information
      • Archive
    • Experimental and Therapeutic Medicine
      • Experimental and Therapeutic Medicine
      • Information for Authors
      • Editorial Policies
      • Editorial Board
      • Aims and Scope
      • Abstracting and Indexing
      • Bibliographic Information
      • Archive
    • International Journal of Molecular Medicine
      • International Journal of Molecular Medicine
      • Information for Authors
      • Editorial Policies
      • Editorial Board
      • Aims and Scope
      • Abstracting and Indexing
      • Bibliographic Information
      • Archive
    • Biomedical Reports
      • Biomedical Reports
      • Information for Authors
      • Editorial Policies
      • Editorial Board
      • Aims and Scope
      • Abstracting and Indexing
      • Bibliographic Information
      • Archive
    • Oncology Reports
      • Oncology Reports
      • Information for Authors
      • Editorial Policies
      • Editorial Board
      • Aims and Scope
      • Abstracting and Indexing
      • Bibliographic Information
      • Archive
    • Molecular Medicine Reports
      • Molecular Medicine Reports
      • Information for Authors
      • Editorial Policies
      • Editorial Board
      • Aims and Scope
      • Abstracting and Indexing
      • Bibliographic Information
      • Archive
    • World Academy of Sciences Journal
      • World Academy of Sciences Journal
      • Information for Authors
      • Editorial Policies
      • Editorial Board
      • Aims and Scope
      • Abstracting and Indexing
      • Bibliographic Information
      • Archive
    • International Journal of Functional Nutrition
      • International Journal of Functional Nutrition
      • Information for Authors
      • Editorial Policies
      • Editorial Board
      • Aims and Scope
      • Abstracting and Indexing
      • Bibliographic Information
      • Archive
    • International Journal of Epigenetics
      • International Journal of Epigenetics
      • Information for Authors
      • Editorial Policies
      • Editorial Board
      • Aims and Scope
      • Abstracting and Indexing
      • Bibliographic Information
      • Archive
    • Medicine International
      • Medicine International
      • Information for Authors
      • Editorial Policies
      • Editorial Board
      • Aims and Scope
      • Abstracting and Indexing
      • Bibliographic Information
      • Archive
  • Articles
  • Information
    • Information for Authors
    • Information for Reviewers
    • Information for Librarians
    • Information for Advertisers
    • Conferences
  • Language Editing
Spandidos Publications Logo
  • About
    • About Spandidos
    • Aims and Scopes
    • Abstracting and Indexing
    • Editorial Policies
    • Reprints and Permissions
    • Job Opportunities
    • Terms and Conditions
    • Contact
  • Journals
    • All Journals
    • Biomedical Reports
      • Information for Authors
      • Editorial Policies
      • Editorial Board
      • Aims and Scope
      • Abstracting and Indexing
      • Bibliographic Information
      • Archive
    • Experimental and Therapeutic Medicine
      • Information for Authors
      • Editorial Policies
      • Editorial Board
      • Aims and Scope
      • Abstracting and Indexing
      • Bibliographic Information
      • Archive
    • International Journal of Epigenetics
      • Information for Authors
      • Editorial Policies
      • Editorial Board
      • Aims and Scope
      • Abstracting and Indexing
      • Bibliographic Information
      • Archive
    • International Journal of Functional Nutrition
      • Information for Authors
      • Editorial Policies
      • Editorial Board
      • Aims and Scope
      • Abstracting and Indexing
      • Bibliographic Information
      • Archive
    • International Journal of Molecular Medicine
      • Information for Authors
      • Editorial Policies
      • Editorial Board
      • Aims and Scope
      • Abstracting and Indexing
      • Bibliographic Information
      • Archive
    • International Journal of Oncology
      • Information for Authors
      • Editorial Policies
      • Editorial Board
      • Aims and Scope
      • Abstracting and Indexing
      • Bibliographic Information
      • Archive
    • Medicine International
      • Information for Authors
      • Editorial Policies
      • Editorial Board
      • Aims and Scope
      • Abstracting and Indexing
      • Bibliographic Information
      • Archive
    • Molecular and Clinical Oncology
      • Information for Authors
      • Editorial Policies
      • Editorial Board
      • Aims and Scope
      • Abstracting and Indexing
      • Bibliographic Information
      • Archive
    • Molecular Medicine Reports
      • Information for Authors
      • Editorial Policies
      • Editorial Board
      • Aims and Scope
      • Abstracting and Indexing
      • Bibliographic Information
      • Archive
    • Oncology Letters
      • Information for Authors
      • Editorial Policies
      • Editorial Board
      • Aims and Scope
      • Abstracting and Indexing
      • Bibliographic Information
      • Archive
    • Oncology Reports
      • Information for Authors
      • Editorial Policies
      • Editorial Board
      • Aims and Scope
      • Abstracting and Indexing
      • Bibliographic Information
      • Archive
    • World Academy of Sciences Journal
      • Information for Authors
      • Editorial Policies
      • Editorial Board
      • Aims and Scope
      • Abstracting and Indexing
      • Bibliographic Information
      • Archive
  • Articles
  • Information
    • For Authors
    • For Reviewers
    • For Librarians
    • For Advertisers
    • Conferences
  • Language Editing
Login Register Submit
  • This site uses cookies
  • You can change your cookie settings at any time by following the instructions in our Cookie Policy. To find out more, you may read our Privacy Policy.

    I agree
Search articles by DOI, keyword, author or affiliation
Search
Advanced Search
presentation
Molecular Medicine Reports
Join Editorial Board Propose a Special Issue
Print ISSN: 1791-2997 Online ISSN: 1791-3004
Journal Cover
March-2016 Volume 13 Issue 3

Full Size Image

Sign up for eToc alerts
Recommend to Library

Journals

International Journal of Molecular Medicine

International Journal of Molecular Medicine

International Journal of Molecular Medicine is an international journal devoted to molecular mechanisms of human disease.

International Journal of Oncology

International Journal of Oncology

International Journal of Oncology is an international journal devoted to oncology research and cancer treatment.

Molecular Medicine Reports

Molecular Medicine Reports

Covers molecular medicine topics such as pharmacology, pathology, genetics, neuroscience, infectious diseases, molecular cardiology, and molecular surgery.

Oncology Reports

Oncology Reports

Oncology Reports is an international journal devoted to fundamental and applied research in Oncology.

Experimental and Therapeutic Medicine

Experimental and Therapeutic Medicine

Experimental and Therapeutic Medicine is an international journal devoted to laboratory and clinical medicine.

Oncology Letters

Oncology Letters

Oncology Letters is an international journal devoted to Experimental and Clinical Oncology.

Biomedical Reports

Biomedical Reports

Explores a wide range of biological and medical fields, including pharmacology, genetics, microbiology, neuroscience, and molecular cardiology.

Molecular and Clinical Oncology

Molecular and Clinical Oncology

International journal addressing all aspects of oncology research, from tumorigenesis and oncogenes to chemotherapy and metastasis.

World Academy of Sciences Journal

World Academy of Sciences Journal

Multidisciplinary open-access journal spanning biochemistry, genetics, neuroscience, environmental health, and synthetic biology.

International Journal of Functional Nutrition

International Journal of Functional Nutrition

Open-access journal combining biochemistry, pharmacology, immunology, and genetics to advance health through functional nutrition.

International Journal of Epigenetics

International Journal of Epigenetics

Publishes open-access research on using epigenetics to advance understanding and treatment of human disease.

Medicine International

Medicine International

An International Open Access Journal Devoted to General Medicine.

Journal Cover
March-2016 Volume 13 Issue 3

Full Size Image

Sign up for eToc alerts
Recommend to Library

  • Article
  • Citations
    • Cite This Article
    • Download Citation
    • Create Citation Alert
    • Remove Citation Alert
    • Cited By
  • Similar Articles
    • Related Articles (in Spandidos Publications)
    • Similar Articles (Google Scholar)
    • Similar Articles (PubMed)
  • Download PDF
  • Download XML
  • View XML
Article Open Access

Autologous adipose tissue‑derived mesenchymal stem cells are involved in rat liver regeneration following repeat partial hepatectomy

  • Authors:
    • Tao Liu
    • Hong Mu
    • Zhongyang Shen
    • Zhuolun Song
    • Xiaobo Chen
    • Yuliang Wang
  • View Affiliations / Copyright

    Affiliations: Department of Clinical Laboratory Medicine, Tianjin First Central Hospital, Key Laboratory for Critical Care Medicine of the Ministry of Health, Tianjin 300192, P.R. China, Department of Transplantation Surgery, Tianjin First Central Hospital, Key Laboratory for Critical Care Medicine of the Ministry of Health, Tianjin 300192, P.R. China, Union Stem and Gene Engineering Co., Ltd., Tianjin 300384, P.R. China
    Copyright: © Liu et al. This is an open access article distributed under the terms of Creative Commons Attribution License.
  • Pages: 2053-2059
    |
    Published online on: January 13, 2016
       https://doi.org/10.3892/mmr.2016.4768
  • Expand metrics +
Metrics: Total Views: 0 (Spandidos Publications: | PMC Statistics: )
Metrics: Total PDF Downloads: 0 (Spandidos Publications: | PMC Statistics: )
Cited By (CrossRef): 0 citations Loading Articles...

This article is mentioned in:



Abstract

Adipose tissue‑derived mesenchymal stem cells (ADSCs) have been considered to be attractive and readily available adult mesenchymal stem cells, and they are becoming increasingly popular for use in regenerative cell therapy, as they are readily accessible through minimally invasive techniques. The present study investigated whether autologous ADSC transplantation promoted liver regeneration following a repeat partial hepatectomy in rats. The rats were divided into three groups as follows: 70% partial hepatectomy (PH) group; repeat PH (R‑PH) group and R‑PH/ADSC group, subjected to R‑PH and treated with autologous ADSCs via portal vein injection. In each group, the rats were sacrificed at different time points postoperatively in order to evaluate the changes in liver function and to estimate the liver regenerative response. The expression of proliferating cell nuclear antigen (PCNA) labeling index in the liver was measured using immunohistochemistry. The expression levels of hepatocyte growth factor (HGF) mRNA were measured using reverse transcription polymerase chain reaction. The results showed that regeneration of the remaining liver following R‑PH was significantly promoted by ADSC transplantation, as shown by a significant increase in liver to body weight ratio and the PCNA labeling index at 24 h post‑hepatectomy. Additionally, ADSC transplantation markedly inhibited the elevation of serum levels of alanine aminotransferase, aspartate aminotransferase and total bilirubin, increased HGF content and also attenuated hepatic vacuolar degeneration 24 h postoperatively. Furthermore, the liver was found to almost fully recover from hepatocellular damage due to hepatectomy among the three groups at 168 h postoperatively. These results indicated that autologous ADSC transplantation enhanced the regenerative capacity of the remnant liver tissues in the early phase following R‑PH.

Introduction

The most successful treatment option for hepatocellular carcinoma (HCC) is hepatectomy. However, the long-term survival rates following hepatectomy for HCC remain unsatisfactory due to the high rate of postoperative intrahepatic recurrence (1,2). Despite this, in these patients, repeat hepatectomy has been reported to be a more effective therapeutic strategy for the treatment of recurrent hepatic tumors (3,4). Even multiple bilobar metastases from colorectal cancer or carcinomas of other organs, which were previously considered a contraindication for hepatectomy, are now considered curable by planned two-staged hepatectomy under certain circumstances (5).

Following extensive hepatectomy, the regenerative capacity of the remnant liver is essential for patient survival (6). Accordingly, a novel therapeutic strategy is required for protection against liver dysfunction and for the enhancement of regenerative capacity. Fortunately, investigations into mesenchymal stem cells (MSCs) has offered a potential therapeutic tool in the field of liver regeneration (7). MSCs are an adult stem cells population with powerful proliferative and differentiation potential, which present an attractive tool for the establishment of successful stem cell-based therapy for liver diseases (8). Notably, several studies have focused on the role of MSCs in the liver regeneration process, and have reported that MSCs cam attenuate liver injuries and promote liver regeneration following partial hepatectomy (PH) (9–12). However, few studies have investigated the role of MSCs in liver regenerative following repeat partial hepatectomy (R-PH).

The aim of the present study was to investigate whether autologous adipose tissue-derived mesenchymal stem cell (ADSC) transplantation promoted the regeneration of the remaining liver tissues in a rat model of R-PH.

Materials and methods

Animals

Male Wistar rats (n=60) aged 11 weeks and weighing 250–300 g were obtained from the Academy of Military Medical Science [Beijing, China; certificate no. SCXK (JUN) 2007–004]. These animals were maintained in a standard animal laboratory with free activity and free access to water and rodent chow. They were maintained in a temperature-controlled environment at 22–24°C with a 12-h light-dark cycle. The rats were fasted for 12 h prior to surgery, and were provided with free access to 10% glucose water following surgery. All the surgical procedures were performed under sterile conditions, and all experiments were performed according to the National Institutes of Health Guide for Care and Use of Laboratory Animals (13) and were approved by the ethics committee of Tianjin First Central Hospital, Tianjin Medical University (Tianjin, China).

Establishment of the 70% PH and R-PH models

For the introduction of 70% PH, the 60 rats were anesthetized with isoflurane inhalation (Lunan Pharmaceutical Co., Ltd., Shandong, China) via an isoflurane vaporizer (Matrx VMR; Midmark corporation, Dayton, OH, USA), and 70% of the liver of each rat, comprising the left lateral and median lobes, was excised, using the technique described by Saito et al (14). Suturing of the peritoneum and skin were performed independently. The remaining 30% of the liver started to grow for 7 days, following which R-PH was performed, in which 40 of 60 rats were anesthetized and the right lateral lobe was ligated and excised.

Isolation and culture of autologous ADSCs

To obtain adequate cells and avoid the requirement for a long duration following establishment of the PH model, the autologous ADSCs were isolated and expanded 2 weeks prior to surgery. Adipose tissue cells were isolated from all 60 rats using a described previously method (15). Briefly, the rats were anesthetized via inhalational isoflurane. The hemi-inguinal fat pads were carefully excised and minced into pieces of ~1 mm3. The adipose tissue was digested in collagenase type I solution (Sigma-Aldrich, St. Louis, MO, USA) for 60 min at 37°C with constant agitation (100 rpm). The stromal cells were separated from the floating adipocytes by centrifugation at 200 g for 5 min at room temperature. The cells released were then resuspended in Dulbecco's modified Eagle's medium (DMEM)/F12 medium (Gibco; Thermo Fisher Scientific, Inc., Waltham, MA, USA), and then sieved through 70 µm mesh (BD Biosciences, Franklin Lakes, NJ, USA). The resulting ADSCs were cultivated in DMEM/F12 medium containing 10% FBS (Gibco; Thermo Fisher Scientific, Inc.). Following in vitro culture for 14 days at 37°C, 5% CO2 and 95% humidity, a sufficient number of ADSCs were obtained for the autologous transplantation. The ADSCs (3×106) from each experimental rat were cryopreserved in liquid nitrogen (Air Products and Chemicals (Tianjin) Co., Ltd., Tianjin, China) with cell name marked on tube prior to injection.

Cell surface antigen profile of ADSCs

The expression levels of cell surface antigen were evaluated using flow cytometry. When cultures reach >80% confluency at 37°C, 5% CO2 and 95% humidity, adherent cells were removed from the tissue culture polystyrene flasks via trypsinization (Invitrogen; Thermo Fisher Scientific, Inc.) and washed twice with DMEM/F12. All cells were incubated with fluorescein isothiocyanate-conjugated mouse anti-rat monoclonal antibodies against rat CD45 (cat. no. 554877), CD73 (cat. no. 551123), CD90 (cat. no. 554894) all obtained from BD Biosciences), CD34 (cat. no. sc-7324; Santa Cruz Biotechnology, Inc., Santa Cruz, CA, USA) and CD105 (cat. no. ab11414; Abcam, Cambridge, MA, USA) for 40 min at room temperature at a dilution of 1:50. Following antibody incubation, data were acquired using a FACSCalibur flow cytometer (BD Biosciences) and analyzed using CellQuest 6.0 software (BD Biosciences).

Multidifferentiation ability of ADSCs

The differentiation of the cells into osteogenic and adipogenic lineages, and subsequent detection were performed using established methodologies (15). Briefly, the ADSCs were seeded in medium at 2×104 cells/cm2 in six-well tissue culture plates. When the cells reached 100% confluency, DMEM/F12 was subsequently replaced with osteogenic inducer medium containing 100 nmol/l dexamethasone (Sigma-Aldrich), 10 mmol/l β-sodium glycerophosphate (Sigma-Aldrich) and 50 µg/ml vitamin C (Sigma-Aldrich), or adipogenic inducer medium containing 1 µmol/l dexamethasone, 0.5 mmol/l 3-isobutyl-1-methylxanthine (Sigma-Aldrich), 5 mg/l insulin (Sigma-Aldrich) and 100 µmol/l indomethacin (Sigma-Aldrich), in DMEM/F12. Cells were maintained at 37°C in a 5% CO2 incubator and the medium was changed every 3 days. Following a 14 day induction period, the cells were assayed for mineral content by Von Kossa staining (Shanghai Genmed Gene Pharmaceutical Technology Co., Ltd., Shanghai, China) and for lipid accumulation using Oil Red O staining (Sigma-Aldrich).

Experimental groups, cell transplantation and sample collection

The rats were divided into the following three groups: PH (n=20); R-PH (n=20), subjected to a R-PH and treated with saline by portal vein injection; and R-PH/ADSC group (n=20), subjected to R-PH and treated with autologous ADSCs (2×106 cells/rat) by portal vein injection. Subsequent to these procedures, five animals in each group were sacrificed using anesthesia, as described above, at 24, 72 and 168 h following hepatectomy, respectively. Blood samples (2 ml) were collected by puncturing the vena cava, and the residual liver lobes were then rapidly excised and weighed. The livers were fixed in formalin (Tianjin Kemiou Chemical Reagent Co., Ltd., Tianjin, China) overnight, prior to processing and embedding in paraffin wax (Tianjin Kemiou Chemical Reagent Co., Ltd.). Sections (5-µm thick) were deparaffinized and fixed. The sections were stained with hematoxylin and eosin (H&E; Sigma-Aldrich) and observed using a Nikon Ni-U fluorescence microscope (Nikon Corporation, Tokyo, Japan) Additional samples were stored in liquid nitrogen.

Liver mass and function recovery

For each time point, the total body weight of each of the fasted rats were weighed prior to sacrifice. The regenerating ratio of the liver following hepatectomy was calculated as the liver wet weight to body weight ratio (LBR), rather than the weight of the remnant lobes alone. The 2 ml blood samples were centrifuged at 4,000 × g for 10 min at room temperature prior to serum collection. The serum concentrations of alanine aminotransferase (ALT), aspartate aminotransferase (AST) and total bilirubin (TBIL) were measured using an automatic biochemical analyzer (Hitachi 7600; Hitachi, Ltd., Tokyo, Japan) 24, 72, and 168 h postoperatively in the R-PH/ADSC, R-PH and PH groups.

Proliferating cell nuclear antigen (PCNA)-labeling index

The expression level of PCNA, determined by immunohistochemistry, correlates with the degree of cell proliferation (16). Briefly, following fixation with formalin and paraffin embedding, the liver tissue sections were incubated with rabbit anti-rat polyclonal antibody against PCNA (cat. no. GTX100539; 1:500 dilution; Genetex Inc. Irvine, CA, USA) at 4°C overnight, and subsequently with a 3′,3-diaminobenzidine kit (Beyotime Institute of Biotechnology, Haimen, China). The proliferation index of the PCNA-stained cells was measured by counting the number of positive nuclei of hepatocytes under Ni-U fluorescence microscope, with data expressed as the percentage of PCNA-stained hepatocytes of the total number of hepatocytes.

mRNA expression of hepatocyte growth factor (HGF)

The mRNA levels of HGF in liver tissue were measured using reverse transcription-quantitative polymerase chain reaction (RT-qPCR) analysis. Total RNA was extracted from the frozen remnant lobe samples using TRIzol reagent (Invitrogen; Thermo Fisher Scientific, Inc.), and then subjected to RT using a High Capacity cDNA Reverse Transcription kit (Applied Biosystems; Thermo Fisher Scientific, Inc.). qPCR was performed using an ABI 7500 Sequence Detection System (Applied Biosystems; Thermo Fisher Scientific, Inc.) using 1 µl cDNA template and 1X SYBR-Green I (Takara Bio, Inc., Tokyo, Japan) in a 25 µl reaction mixture (Takara Bio, Inc.; 10 mM Tris-HCl, 50 mM KCl, 1.5 mM MgCl2, 200 µM dNTP mix, 0.2 µM of each primer and 1 unit of Taq DNA polymerase). Primer Premier V5.0 software was used to design the primers, according to HGF gene sequences (GenBank; www.ncbi.nlm.nih.gov/genbank). Primers were synthesized by Integrated DNA Technologies (Coralville, IA, USA). The primer sequences were as follows: HGF, sense 5′-ACA GCTTTTTGCCTTCGAGCTA-3′ and anti-sense 5′-CATCAAAGCCCTTGTCGGGATA-3′; β-actin, sense, 5′-ATATCGCTGCGCTCGTCGTC-3′ and anti-sense 5′-TCTTGCTCTGGGCCTCGTC-3′. The conditions for each qPCR reaction were as follows: 30 sec at 95°C, followed by 40 cycles of denaturation for 5 sec at 95°C, annealing for 30 sec at 58°C and extension for 30 sec at 72°C. The level of expression was calculated using the 2−ΔCq method, in which ΔCq was calculated as Cq of target molecule − Cq of β-actin (17).

Statistical analysis

Data are expressed as the mean ± standard deviation. Differences in parameters were analyzed using one-way analysis of variance. Statistical analyses were performed using SPSS 16.0 software (SPSS, Inc., Chicago, IL, USA). P<0.05 was considered to indicate a statistically significant difference.

Results

Characterization of rat ADSCs

The ADSCs were verified by analyzing the expression surface markers and multipotent differentiation of the cells. At passage three, the cultured ADSCs exhibited a fibroblast-like morphology (Fig. 1). The data showed that the ADSCs were positive for CD90, CD105 and CD73, but were negative for CD34 and CD45 when analyzed using flow cytometric analyses (Fig. 2). In addition, the ADSCs at passage three exhibited potential for osteogenic and adipogenic differentiation following culture in osteogenic and adipogenic growth media. Positive ALP and oil red O staining confirmed the cells as osteogenic and adipogenic, respectively (Fig. 3).

Figure 1

Representative image showing the morphology of rat ADSCs in normal male Wistar rats. The ADSCs at passage three exhibited a spindle-shaped fibroblastic morphology (magnification, ×100). ADSCs, adipose tissue-derived mesenchymal stem cells.

Figure 2

Phenotypic characterization of ADSCs. The ADSCs from passage the were stained with the indicated antibodies and analyzed using flow cytometry. This indicated that ADSCs are positive for CD90, CD105 and CD73, however, they are negative for CD45 and CD34. ADSCs, adipose tissue-derived mesenchymal stem cells; CD, cluster of differentiation.

Figure 3

Multipotent differentiation of ADSCs in vitro. (A) Parental ADSCs; (B) adipocyte differentiation, the arrows indicate red lipid droplets; (C) osteoblast differentiation, the arrows indicate black calcium deposition. ADSCs, adipose tissue-derived mesenchymal stem cells. Magnification, ×100.

Effect of ADSCs on remnant liver regeneration

The outcomes in the 60 rats subjected to PH were examined in the present study. The LBR at 24 and 72 h post-hepatectomy was significant decreased in the R-PH group, compared with that in the PH group (P<0.01; Fig. 4). However, the LBR in the R-PH rats that received ADSC transplantation, was significantly higher, compared with that in the R-PH rats 72 h postoperatively (P<0.05). Furthermore, the LBR increased steadily in the three groups, and no further differences among the groups were observed 168 h postoperatively (Fig. 4).

Figure 4

Effect of ADSCs on the LBR at 24, 72 and 168 h postoperatively. Data are expressed as the mean ± standard deviation of the results from five animals. *P<0.05 and **P<0.01, vs. PH group; #P<0.05, vs. R-PH group. ADPCs, adipose tissue-derived mesenchymal stem cells; LBR, liver wet weight to body weight ratio; PH, partial hepatectomy; R-PH, repeat PH.

Effects of ADSC transplantation on liver histopathology

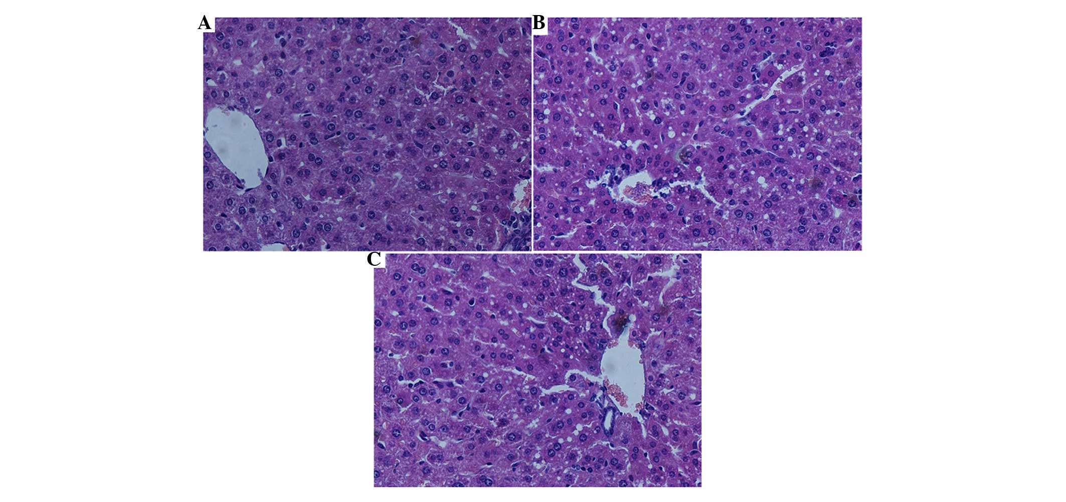
At ~24 h post-hepatectomy, the sections of the remnant lobes were stained with H&E and examined under a light microscope. The histopathological analysis revealed that no liver cell inflammation or necrosis was present in any of the samples. In the PH group, the arrangement of hepatocytes was deranged, with microvesicular fatty degeneration observed in the cytoplasm and mild dilatation of the sinusoids (Fig. 5A). The remnant lobe in the R-PH group exhibited prevalent vacuolization degeneration in the hepatocytes, and dilatation of the sinusoids was more marked, compared with that in the PH group (Fig. 5B). Similarly, in the R-PH/ADSC group, vacuolization and sinusoidal dilatation was similar, but to a lesser extent, compared with the R-PH group (Fig. 5C).

Figure 5

Effects of ADSC transplantation on liver histopathology at 24 h postoperatively. (A) In the PH group, derangement of liver cells and mild sinusoidal dilatation were evident, and small vacuoles were present in the hepatocytes. (B) In the R-PH group, vacuolization was prevalent in the hepatocytes and sinusoidal dilatation was evident. (C) In the R-PH/ADSC group, vacuolization degeneration and sinusoidal dilatation were observed, but to a lesser extent, compared with the PH and R-PH groups. (Magnification, ×200). ADSCs, adipose tissue-derived mesenchymal stem cells; PH, partial hepatectomy; R-PH, repeat PH.

Effects of ADSC transplantation on liver function following 70% PH

In the R-PH/ADSC group, the levels of ALT and TBIL were substantially lower 24 h following hepatectomy, compared with those in the R-PH group, whereas the levels of AST were significantly lower 24 and 72 h postoperatively, compared with those in the R-PH group. Although a significant protective effect was observed in the rats transplanted with ADSCs, the liver function remained significantly higher in the R-PH group, compared with that in the PH group 24 h postoperatively. At 72 h postoperatively, the serum levels of ALT and TBIL in the three groups were similar. Furthermore, the liver function gradually decreased to the basal level in the three groups at 168 h post-hepatectomy (Fig. 6).

Figure 6

Effects of ADSC transplantation on liver function at 24, 72, and 168 h postoperatively. Levels of ALT, AST and TBIL were analyzed as indicators of liver function. Data are expressed as the mean ± standard deviation of the results from five animals. *P<0.05 and **P<0.01, vs. PH group; +P<0.05, vs. R-PH group; #P<0.01, vs. R-PH group. ADSC, adipose tissue-derived mesenchymal stem cell; PH, partial hepatectomy; R-PH, repeat PH; ALT, alanine aminotransferase; AST, aspartate aminotransferase; TBIL, total bilirubin.

Effect of ADSCs on the PCNA-labeling index

To evaluate whether ADSC transplantation enhanced the proliferation of hepatocytes in remnant lobes, the expression levels of PCNA were assessed. Although the number of PCNA-positive hepatocytes was significantly reduced in the R-PH rats transplanted with ADSCs, compared with the PH rats (P<0.01; Fig. 7), the R-PH rats transplanted with ADSCs exhibited a significant increase in the number of PCNA-positive hepatocytes at 24 h postoperatively, compared with the R-PH rats, indicating that ADSCs exerted hepatoprotective effects by promoting liver regeneration in the early phase. No statistically significant differences in the PCNA-labeling index were observed among three groups at 72 and 168 h (P>0.05; Fig. 7).

Figure 7

Effect of ADSC transplantation on the PCNA-labeling index at 24, 72, and 168 h postoperatively. Data are expressed as the mean ± standard deviation of the results from five animals. *P<0.01, vs. PH group; **P<0.01, vs. R-PH group. ADSC, adipose tissue-derived mesenchymal stem cell; PCNA, proliferating cell nuclear antigen; PH, partial hepatectomy; R-PH, repeat PH.

Effect of ADSCs on the mRNA levels of HGF

The mRNA levels of HGF peaked within 24 h in the PH group and R-PH/ADSC group, and then gradually decreased after 72 h. However, the mRNA levels of HGF in the R-PH group decreased significantly after 24 h, and peaked at 72 h, compared with PH and R-PH/ADSC groups, indicating that hepatic regeneration following R-PH was inhibited. The postoperative course of the mRNA levels of HGF are shown in Fig. 8.

Figure 8

Effect of ADSC transplantation on the mRNA expression levels of hepatocyte growth factor at 24, 72, and 168 h postoperatively. Data are expressed as the mean ± standard deviation of the results from five animals. *P<0.05 and **P<0.01, vs. PH group; #P<0.05, vs. R-PH group. ADSC, adipose tissue-derived mesenchymal stem cell; PH, partial hepatectomy; R-PH, repeat PH.

Discussion

HCC is the fifth most common type of cancer worldwide, and has a mortality rate of 500,000 globally every year (18). The long-term survival rates of patients following hepatectomy remain unsatisfactory due to the high incidence of recurrence. Clinically, repeat hepatectomy can be performed safely, and is associated with long-term survival rates in a subset of patients with recurrent HCC (19). In order to avoid liver dysfunction, also termed small-for-size syndrome, the regenerative capacity of the remnant liver is essential for patient survival (20). ADSCs have been considered as an attractive and readily available type of adult MSC, and are becoming increasingly popular for use in regenerative cell therapy as they are readily accessible through minimally invasive methods and can be used for autologous transplantation (21). In the present study, autologous ADSC transplantation significantly enhanced liver regenerative capacity following R-PH in rats, as indicated by an increased LBR and PCNA-label index. In addition, autologous ADSC transplantation alleviated R-PH-induced liver injury, as evidenced by inhibition in the elevated serum levels of ALT, AST and TBIL, and the improvement of pathological changes.

As a initial step in the present study, the LBR was assessed as the liver growth kinetics of regeneration postoperatively, which is the most direct index for evaluating liver regeneration (22). The results showed that regeneration in the liver tissue began from the first day following PH. The mean LBR increased progressively among three groups postoperatively. However, the LBR decreased significantly in the R-PH group at 24 and 72 h postoperatively, compared with the PH group, indicating that the hepatic regeneration response following R-PH was significantly attenuated at the initial stage, which is in agreement with previous data (23). Furthermore, no statistically significant differences were observed between PH and R-PH at 168 h postoperatively, indicating that 7 days was a sufficient period of time for these animals to recover from the surgical stresses of a R-PH. Of note, the LBR in the R-PH rats which received ADSC transplantation was significantly higher, compared with that in the R-PH rats, indicating that the ADSCs promoted the rapid regeneration of hepatocyte numbers in the initial stage (24). Consistent with the above results, the administration of conventionally cultured autologous ADSCs in the present study also resulted in proliferation of remnant hepatocytes 24 h following R-PH in the rats, which was reflected by the elevated expression of PCNA-positive cells, suggesting that the beneficial effects of ADSCs on hepatic regeneration was more active at the cellular level than following R-PH alone. In addition, the expression levels of PCNA-positive cells were gradually decreased at 72 and 168 h among three groups, which suggested that hepatocyte proliferation occurred at a faster rate initially, and more slowly during progression.

The present study also demonstrated that the duration of recovery of liver volume closely coincided with that of hepatocellular damage. The present study showed that the rats subjected to ADSC transplantation via the portal vein following R-PH showed increased improvement of liver function at 24 h, compared with the corresponding liver function in the R-PH group. However, the liver function in the R-PH/ADSC group remained inferior to that in the PH group, as demonstrated by the serum levels of ALT, AST and TBIL. Therefore, the improvement of liver function by ADSC transplantation was partially contributed to through the enhancement of hepatocyte proliferation. This is consistent with the histopathological finding, in which the R-PH rats exhibited derangement of hepatocyte structure, extensive lipid vacuolization of hepatocytes and sinusoid dilatation in the remnant lobe at 24 h postoperatively. However, vacuolization and sinusoidal dilatation, was apparent to a lesser extent in the R-PH/ADSC group, suggesting that ADSC transplantation may attenuate liver injury and lead to the earlier reconstitution of residual liver tissue.

The concept of stem cell transplantation exerting a paracrine proliferative effect on endogenous hepatocytes is gaining support. The present study examined the expression levels of HGF, which has been demonstrated to be the most potent stimulator of hepatocyte growth and DNA synthesis in vitro, as well as one of the key regulators of liver regeneration following PH or hepatic injury (25,26). In the present study, the mRNA levels of HGF peaked within 24 h in the PH and R-PH/ADSC groups, and then gradually decreased after 72 h. Of note, the mRNA levels of HGF in the R-PH group were significantly decreased after 24 h, following which they increased to peak at 72 h post-operatively, compared with the PH and R-PH/ADSC groups. This is in agreement with a report by Saito et al, who observed that R-PH rats exhibit inhibited hepatic regeneration during the early postoperative phase due to the depressed expression of HGF (14). It has been shown that MSCs synthesize a wide variety of growth factors and cytokines, exerting a paracrine effect on local cellular dynamics (27). Therefore, the results of the present study support the viewpoint that the predominant advantage provided by ADSCs transplanted via the portal vein is the acceleration in the production of HGF in the early period through paracrine effects, supporting this method as an effective treatment strategy in liver regeneration. However, the follow-up period in the present study was limited, therefore, it is not possible to exclude that, in a longer period of observation, ADSCs as an efficient alternative source can undergo hepatogenic differentiation. However, in previous experiments involving the administration of bone marrow MSCs in CCl4-treated mice, for 4 weeks, only a small percentage of the MSCs underwent hepatocyte-like differentiation (28).

In conclusion, the results of the present study suggested that the transplantation of autologous ADSCs reduced liver injury and promoted hepatocyte proliferation, particularly during the first 24 h following R-PH. The upregulation of HGF may mediate the therapeutic effects of these transplanted ADSCs.

Acknowledgments

The present study was supported by the National Natural Science Foundation of China (grant nos. 81470982 and 81402322), the State-funded Construction Projects-Key Specialized Subject of Clinical Laboratory Medicine (grant no. 2013-544), Tianjin Research Program of Application Foundation and Advanced Technology (grant no. 13JCYBJC23000) and the Technology Foundation of Tianjin Municipal Health Bureau (grant no. 2014KZ028).

References

1 

Llovet JM, Burroughs A and Bruix J: Hepatocellular carcinoma. Lancet. 362:1907–1917. 2003. View Article : Google Scholar : PubMed/NCBI

2 

Forner A, Llovet JM and Bruix J: Hepatocellular carcinoma. Lancet. 379:1245–1255. 2012. View Article : Google Scholar : PubMed/NCBI

3 

Kubo S, Takemura S, Uenishi T, Yamamoto T, Ohba K, Ogawa M, Hai S, Ichikawa T, Kodai S, Shinkawa H and Tanaka H: Second hepatic resection for recurrent hepatocellular carcinoma in patients with chronic hepatitis C. World J Surg. 32:632–638. 2008. View Article : Google Scholar : PubMed/NCBI

4 

Zhou Y, Sui C, Li B, Yin Z, Tan Y, Yang J and Liu Z: Repeat hepatectomy for recurrent hepatocellular carcinoma: A local experience and a systematic review. World J Surg Oncol. 8:552010. View Article : Google Scholar : PubMed/NCBI

5 

Wicherts DA, de Haas RJ, Salloum C, Andreani P, Pascal G, Sotirov D, Adam R, Castaing D and Azoulay D: Repeat hepatectomy for recurrent colorectal metastases. Br J Surg. 100:808–818. 2013. View Article : Google Scholar : PubMed/NCBI

6 

Tralhão JG, Abrantes AM, Hoti E, Oliveiros B, Cardoso D, Faitot F, Carvalho C, Botelho MF and Castro-Sousa F: Hepatectomy and liver regeneration: From experimental research to clinical application. ANZ J Surg. 84:665–671. 2014. View Article : Google Scholar

7 

Drosos I and Kolios G: Stem cells in liver regeneration and their potential clinical applications. Stem Cell Rev. 9:668–684. 2013. View Article : Google Scholar : PubMed/NCBI

8 

Du Z, Wei C, Cheng K, Han B, Yan J, Zhang M, Peng C and Liu Y: Mesenchymal stem cell-conditioned medium reduces liver injury and enhances regeneration in reduced-size rat liver transplantation. J Surg Res. 183:907–915. 2013. View Article : Google Scholar : PubMed/NCBI

9 

Li DL, He XH, Zhang SA, Fang J, Chen FS and Fan JJ: Bone marrow-derived mesenchymal stem cells promote hepatic regeneration after partial hepatectomy in rats. Pathobiology. 80:228–234. 2013. View Article : Google Scholar : PubMed/NCBI

10 

Li T, Zhu J, Ma K, Liu N, Feng K, Li X, Wang S and Bie P: Autologous bone marrow-derived mesenchymal stem cell transplantation promotes liver regeneration after portal vein embolization in cirrhotic rats. J Surg Res. 184:1161–1173. 2013. View Article : Google Scholar : PubMed/NCBI

11 

Koellensperger E, Niesen W, Kolbenschlag J, Gramley F, Germann G and Leimer U: Human adipose tissue derived stem cells promote liver regeneration in a rat model of toxic injury. Stem Cells Int. 2013:5342632013. View Article : Google Scholar : PubMed/NCBI

12 

Kaibori M, Adachi Y, Shimo T, Ishizaki M, Matsui K, Tanaka Y, Ohishi M, Araki Y, Tokuhara K, Okumura T, et al: Bone marrow cells enhance liver regeneration after massive hepatectomy in mice. Dig Dis Sci. 59:1484–1489. 2014. View Article : Google Scholar : PubMed/NCBI

13 

Clark JD, Gebhart GF, Gonder JC, Keeling ME and Kohn DF: The 1996 Guide for the Care and Use of Laboratory Animals. ILAR J. 38:41–48. 1997. View Article : Google Scholar

14 

Saito S, Togo S, Morioka D, Matsuo K, Yoshimoto N, Nagano Y, Tanaka K, Kubota T, Nagashima Y and Shimada H: A rat model of a repeat 70% major hepatectomy. J Surg Res. 134:322–326. 2006. View Article : Google Scholar : PubMed/NCBI

15 

Wang YL, Li G, Zou XF, Chen XB, Liu T and Shen ZY: Effect of autologous adipose-derived stem cells in renal cold ischemia and reperfusion injury. Transplant Proc. 45:3198–3202. 2013. View Article : Google Scholar : PubMed/NCBI

16 

Ding L, Yang Y, Qu Y, Yang T, Wang K, Liu W and Xia W: Bile acid promotes liver regeneration via farnesoid X receptor signaling pathways in rats. Mol Med Rep. 11:4431–4437. 2015.PubMed/NCBI

17 

Wang Y, Wang Y, Mu H, Liu T, Chen XB and Shen ZY: Enhanced specific antitumor immunity of dendritic cells transfected with glypican 3 gene and co-cultured with cytokine-induced killer cells against hepatocellular carcinoma cells. Mol Med Rep. 11:3361–3367. 2015.PubMed/NCBI

18 

Jemal A, Bray F, Center MM, Ferlay J, Ward E and Forman D: Global cancer statistics. CA Cancer J Clin. 61:69–90. 2011. View Article : Google Scholar : PubMed/NCBI

19 

Chan DL, Morris DL and Chua TC: Clinical efficacy and predictors of outcomes of repeat hepatectomy for recurrent hepatocellular carcinoma-a systematic review. Surg Oncol. 22:e23–30. 2013. View Article : Google Scholar : PubMed/NCBI

20 

Serenari M, Cescon M, Cucchetti A and Pinna AD: Liver function impairment in liver transplantation and after extended hepatectomy. World J Gastroenterol. 19:7922–7929. 2013. View Article : Google Scholar : PubMed/NCBI

21 

Ishikawa T, Banas A, Hagiwara K, Iwaguro H and Ochiya T: Stem cells for hepatic regeneration: The role of adipose tissue derived mesenchymal stem cells. Curr Stem Cell Res Ther. 5:182–189. 2010. View Article : Google Scholar

22 

Dusabineza AC, Van Hul NK, Abarca-Quinones J, Starkel P, Najimi M and Leclercq IA: Participation of liver progenitor cells in liver regeneration: Lack of evidence in the AAF/PH rat model. Lab Invest. 92:72–81. 2012. View Article : Google Scholar

23 

Aoki T, Murakami M, Niiya T, Murai N, Shimizu Y, Kato H and Kusano M: Capacity of hepatic regeneration following a second partial hepatectomy in rats. Hepatol Res. 21:228–241. 2001. View Article : Google Scholar : PubMed/NCBI

24 

Salomone F, Barbagallo I, Puzzo L, Piazza C and Li Volti G: Efficacy of adipose tissue-mesenchymal stem cell transplantation in rats with acetaminophen liver injury. Stem Cell Res. 11:1037–1044. 2013. View Article : Google Scholar : PubMed/NCBI

25 

Sun J, Yuan Y, Qin H, Ying C, Liu W, Zhang J, He Y and Liu Z: Serum from hepatectomized rats induces the differentiation of adipose tissue mesenchymal stem cells into hepatocyte-like cells and upregulates the expression of hepatocyte growth factor and interleukin-6 in vitro. Int J Mol Med. 31:667–675. 2013.PubMed/NCBI

26 

Nejak-Bowen K, Orr A, Bowen WC Jr and Michalopoulos GK: Conditional genetic elimination of hepatocyte growth factor in mice compromises liver regeneration after partial hepatectomy. PLoS One. 8:e598362013. View Article : Google Scholar : PubMed/NCBI

27 

Nikoozad Z, Ghorbanian MT and Rezaei A: Comparison of the liver function and hepatic specific genes expression in cultured mesenchymalstem cells and hepatocytes. Iran J Basic Med Sci. 17:27–33. 2014.PubMed/NCBI

28 

Li Q, Zhou X, Shi Y, Li J, Zheng L, Cui L, Zhang J, Wang L, Han Z, Han Y and Fan D: In vivo tracking and comparison of the therapeutic effects of MSCs and HSCs for liver injury. PLoS One. 8:e623632013. View Article : Google Scholar : PubMed/NCBI

Related Articles

  • Abstract
  • View
  • Download
  • Twitter
Copy and paste a formatted citation
Spandidos Publications style
Liu T, Mu H, Shen Z, Song Z, Chen X and Wang Y: Autologous adipose tissue‑derived mesenchymal stem cells are involved in rat liver regeneration following repeat partial hepatectomy. Mol Med Rep 13: 2053-2059, 2016.
APA
Liu, T., Mu, H., Shen, Z., Song, Z., Chen, X., & Wang, Y. (2016). Autologous adipose tissue‑derived mesenchymal stem cells are involved in rat liver regeneration following repeat partial hepatectomy. Molecular Medicine Reports, 13, 2053-2059. https://doi.org/10.3892/mmr.2016.4768
MLA
Liu, T., Mu, H., Shen, Z., Song, Z., Chen, X., Wang, Y."Autologous adipose tissue‑derived mesenchymal stem cells are involved in rat liver regeneration following repeat partial hepatectomy". Molecular Medicine Reports 13.3 (2016): 2053-2059.
Chicago
Liu, T., Mu, H., Shen, Z., Song, Z., Chen, X., Wang, Y."Autologous adipose tissue‑derived mesenchymal stem cells are involved in rat liver regeneration following repeat partial hepatectomy". Molecular Medicine Reports 13, no. 3 (2016): 2053-2059. https://doi.org/10.3892/mmr.2016.4768
Copy and paste a formatted citation
x
Spandidos Publications style
Liu T, Mu H, Shen Z, Song Z, Chen X and Wang Y: Autologous adipose tissue‑derived mesenchymal stem cells are involved in rat liver regeneration following repeat partial hepatectomy. Mol Med Rep 13: 2053-2059, 2016.
APA
Liu, T., Mu, H., Shen, Z., Song, Z., Chen, X., & Wang, Y. (2016). Autologous adipose tissue‑derived mesenchymal stem cells are involved in rat liver regeneration following repeat partial hepatectomy. Molecular Medicine Reports, 13, 2053-2059. https://doi.org/10.3892/mmr.2016.4768
MLA
Liu, T., Mu, H., Shen, Z., Song, Z., Chen, X., Wang, Y."Autologous adipose tissue‑derived mesenchymal stem cells are involved in rat liver regeneration following repeat partial hepatectomy". Molecular Medicine Reports 13.3 (2016): 2053-2059.
Chicago
Liu, T., Mu, H., Shen, Z., Song, Z., Chen, X., Wang, Y."Autologous adipose tissue‑derived mesenchymal stem cells are involved in rat liver regeneration following repeat partial hepatectomy". Molecular Medicine Reports 13, no. 3 (2016): 2053-2059. https://doi.org/10.3892/mmr.2016.4768
Follow us
  • Twitter
  • LinkedIn
  • Facebook
About
  • Spandidos Publications
  • Careers
  • Cookie Policy
  • Privacy Policy
How can we help?
  • Help
  • Live Chat
  • Contact
  • Email to our Support Team