Spandidos Publications Logo
  • About
    • About Spandidos
    • Aims and Scopes
    • Abstracting and Indexing
    • Editorial Policies
    • Reprints and Permissions
    • Job Opportunities
    • Terms and Conditions
    • Contact
  • Journals
    • All Journals
    • Oncology Letters
      • Oncology Letters
      • Information for Authors
      • Editorial Policies
      • Editorial Board
      • Aims and Scope
      • Abstracting and Indexing
      • Bibliographic Information
      • Archive
    • International Journal of Oncology
      • International Journal of Oncology
      • Information for Authors
      • Editorial Policies
      • Editorial Board
      • Aims and Scope
      • Abstracting and Indexing
      • Bibliographic Information
      • Archive
    • Molecular and Clinical Oncology
      • Molecular and Clinical Oncology
      • Information for Authors
      • Editorial Policies
      • Editorial Board
      • Aims and Scope
      • Abstracting and Indexing
      • Bibliographic Information
      • Archive
    • Experimental and Therapeutic Medicine
      • Experimental and Therapeutic Medicine
      • Information for Authors
      • Editorial Policies
      • Editorial Board
      • Aims and Scope
      • Abstracting and Indexing
      • Bibliographic Information
      • Archive
    • International Journal of Molecular Medicine
      • International Journal of Molecular Medicine
      • Information for Authors
      • Editorial Policies
      • Editorial Board
      • Aims and Scope
      • Abstracting and Indexing
      • Bibliographic Information
      • Archive
    • Biomedical Reports
      • Biomedical Reports
      • Information for Authors
      • Editorial Policies
      • Editorial Board
      • Aims and Scope
      • Abstracting and Indexing
      • Bibliographic Information
      • Archive
    • Oncology Reports
      • Oncology Reports
      • Information for Authors
      • Editorial Policies
      • Editorial Board
      • Aims and Scope
      • Abstracting and Indexing
      • Bibliographic Information
      • Archive
    • Molecular Medicine Reports
      • Molecular Medicine Reports
      • Information for Authors
      • Editorial Policies
      • Editorial Board
      • Aims and Scope
      • Abstracting and Indexing
      • Bibliographic Information
      • Archive
    • World Academy of Sciences Journal
      • World Academy of Sciences Journal
      • Information for Authors
      • Editorial Policies
      • Editorial Board
      • Aims and Scope
      • Abstracting and Indexing
      • Bibliographic Information
      • Archive
    • International Journal of Functional Nutrition
      • International Journal of Functional Nutrition
      • Information for Authors
      • Editorial Policies
      • Editorial Board
      • Aims and Scope
      • Abstracting and Indexing
      • Bibliographic Information
      • Archive
    • International Journal of Epigenetics
      • International Journal of Epigenetics
      • Information for Authors
      • Editorial Policies
      • Editorial Board
      • Aims and Scope
      • Abstracting and Indexing
      • Bibliographic Information
      • Archive
    • Medicine International
      • Medicine International
      • Information for Authors
      • Editorial Policies
      • Editorial Board
      • Aims and Scope
      • Abstracting and Indexing
      • Bibliographic Information
      • Archive
  • Articles
  • Information
    • Information for Authors
    • Information for Reviewers
    • Information for Librarians
    • Information for Advertisers
    • Conferences
  • Language Editing
Spandidos Publications Logo
  • About
    • About Spandidos
    • Aims and Scopes
    • Abstracting and Indexing
    • Editorial Policies
    • Reprints and Permissions
    • Job Opportunities
    • Terms and Conditions
    • Contact
  • Journals
    • All Journals
    • Biomedical Reports
      • Information for Authors
      • Editorial Policies
      • Editorial Board
      • Aims and Scope
      • Abstracting and Indexing
      • Bibliographic Information
      • Archive
    • Experimental and Therapeutic Medicine
      • Information for Authors
      • Editorial Policies
      • Editorial Board
      • Aims and Scope
      • Abstracting and Indexing
      • Bibliographic Information
      • Archive
    • International Journal of Epigenetics
      • Information for Authors
      • Editorial Policies
      • Editorial Board
      • Aims and Scope
      • Abstracting and Indexing
      • Bibliographic Information
      • Archive
    • International Journal of Functional Nutrition
      • Information for Authors
      • Editorial Policies
      • Editorial Board
      • Aims and Scope
      • Abstracting and Indexing
      • Bibliographic Information
      • Archive
    • International Journal of Molecular Medicine
      • Information for Authors
      • Editorial Policies
      • Editorial Board
      • Aims and Scope
      • Abstracting and Indexing
      • Bibliographic Information
      • Archive
    • International Journal of Oncology
      • Information for Authors
      • Editorial Policies
      • Editorial Board
      • Aims and Scope
      • Abstracting and Indexing
      • Bibliographic Information
      • Archive
    • Medicine International
      • Information for Authors
      • Editorial Policies
      • Editorial Board
      • Aims and Scope
      • Abstracting and Indexing
      • Bibliographic Information
      • Archive
    • Molecular and Clinical Oncology
      • Information for Authors
      • Editorial Policies
      • Editorial Board
      • Aims and Scope
      • Abstracting and Indexing
      • Bibliographic Information
      • Archive
    • Molecular Medicine Reports
      • Information for Authors
      • Editorial Policies
      • Editorial Board
      • Aims and Scope
      • Abstracting and Indexing
      • Bibliographic Information
      • Archive
    • Oncology Letters
      • Information for Authors
      • Editorial Policies
      • Editorial Board
      • Aims and Scope
      • Abstracting and Indexing
      • Bibliographic Information
      • Archive
    • Oncology Reports
      • Information for Authors
      • Editorial Policies
      • Editorial Board
      • Aims and Scope
      • Abstracting and Indexing
      • Bibliographic Information
      • Archive
    • World Academy of Sciences Journal
      • Information for Authors
      • Editorial Policies
      • Editorial Board
      • Aims and Scope
      • Abstracting and Indexing
      • Bibliographic Information
      • Archive
  • Articles
  • Information
    • For Authors
    • For Reviewers
    • For Librarians
    • For Advertisers
    • Conferences
  • Language Editing
Login Register Submit
  • This site uses cookies
  • You can change your cookie settings at any time by following the instructions in our Cookie Policy. To find out more, you may read our Privacy Policy.

    I agree
Search articles by DOI, keyword, author or affiliation
Search
Advanced Search
presentation
Molecular Medicine Reports
Join Editorial Board Propose a Special Issue
Print ISSN: 1791-2997 Online ISSN: 1791-3004
Journal Cover
September-2017 Volume 16 Issue 3

Full Size Image

Sign up for eToc alerts
Recommend to Library

Journals

International Journal of Molecular Medicine

International Journal of Molecular Medicine

International Journal of Molecular Medicine is an international journal devoted to molecular mechanisms of human disease.

International Journal of Oncology

International Journal of Oncology

International Journal of Oncology is an international journal devoted to oncology research and cancer treatment.

Molecular Medicine Reports

Molecular Medicine Reports

Covers molecular medicine topics such as pharmacology, pathology, genetics, neuroscience, infectious diseases, molecular cardiology, and molecular surgery.

Oncology Reports

Oncology Reports

Oncology Reports is an international journal devoted to fundamental and applied research in Oncology.

Experimental and Therapeutic Medicine

Experimental and Therapeutic Medicine

Experimental and Therapeutic Medicine is an international journal devoted to laboratory and clinical medicine.

Oncology Letters

Oncology Letters

Oncology Letters is an international journal devoted to Experimental and Clinical Oncology.

Biomedical Reports

Biomedical Reports

Explores a wide range of biological and medical fields, including pharmacology, genetics, microbiology, neuroscience, and molecular cardiology.

Molecular and Clinical Oncology

Molecular and Clinical Oncology

International journal addressing all aspects of oncology research, from tumorigenesis and oncogenes to chemotherapy and metastasis.

World Academy of Sciences Journal

World Academy of Sciences Journal

Multidisciplinary open-access journal spanning biochemistry, genetics, neuroscience, environmental health, and synthetic biology.

International Journal of Functional Nutrition

International Journal of Functional Nutrition

Open-access journal combining biochemistry, pharmacology, immunology, and genetics to advance health through functional nutrition.

International Journal of Epigenetics

International Journal of Epigenetics

Publishes open-access research on using epigenetics to advance understanding and treatment of human disease.

Medicine International

Medicine International

An International Open Access Journal Devoted to General Medicine.

Journal Cover
September-2017 Volume 16 Issue 3

Full Size Image

Sign up for eToc alerts
Recommend to Library

  • Article
  • Citations
    • Cite This Article
    • Download Citation
    • Create Citation Alert
    • Remove Citation Alert
    • Cited By
  • Similar Articles
    • Related Articles (in Spandidos Publications)
    • Similar Articles (Google Scholar)
    • Similar Articles (PubMed)
  • Download PDF
  • Download XML
  • View XML
Article

Ginsenoside Rc protects against UVB‑induced photooxidative damage in epidermal keratinocytes

  • Authors:
    • Yuri Oh
    • Hye‑Won Lim
    • Kwang Hark Park
    • Yu‑Hua Huang
    • Ji‑Young Yoon
    • Kyunghoon Kim
    • Chang‑Jin Lim
  • View Affiliations / Copyright

    Affiliations: Department of Biological Sciences, College of Natural Sciences, Kangwon National University, Chuncheon, Gangwon 24341, Republic of Korea, Shebah Biotech Inc., G‑Tech Village, Chuncheon, Gangwon 24398, Republic of Korea, Jeonju AgroBio‑Materials Institute, Jeonju, Jeollabuk 54810, Republic of Korea
  • Pages: 2907-2914
    |
    Published online on: July 6, 2017
       https://doi.org/10.3892/mmr.2017.6943
  • Expand metrics +
Metrics: Total Views: 0 (Spandidos Publications: | PMC Statistics: )
Metrics: Total PDF Downloads: 0 (Spandidos Publications: | PMC Statistics: )
Cited By (CrossRef): 0 citations Loading Articles...

This article is mentioned in:



Abstract

Ginsenoside Rc (Rc) is a major ginsenoside isolated from Panax ginseng, and has exhibited pharmacological effects on skin cells. The present study aimed to investigate the putative skin‑protective properties of Rc, including its anti‑photoaging and barrier function‑protective effects, in human HaCaT keratinocytes exposed to UVB radiation. The protective properties of Rc were evaluated through the assessment of keratinocyte viability, reactive oxygen species (ROS) production, total glutathione (GSH) and superoxide dismutase (SOD) activity, caspase‑14, matrix metalloproteinase (MMP)‑2 and ‑9 activity, and MMP‑2, MMP‑9 and filament aggregating protein (filaggrin) expression following UVB irradiation. Treatment with Rc was revealed to prevent the UVB‑induced increase in ROS production and pro‑MMP‑2 and ‑9 levels in HaCaT keratinocytes. In addition, treatment with Rc resulted in enriched GSH contents and enhanced SOD activity following exposure to UVB radiation. Furthermore, Rc treatment enhanced caspase‑14 activity and counteracted the UVB‑induced downregulation in filaggrin expression. However, no significant difference was identified between Rc‑treated and normal groups in terms of keratinocyte viability, regardless of exposure to radiation. The present findings suggested that Rc may exert anti‑photoaging and barrier function‑protective effects in keratinocytes, and thus protect the skin against photooxidative stress induced by exposure to UV radiation.

Introduction

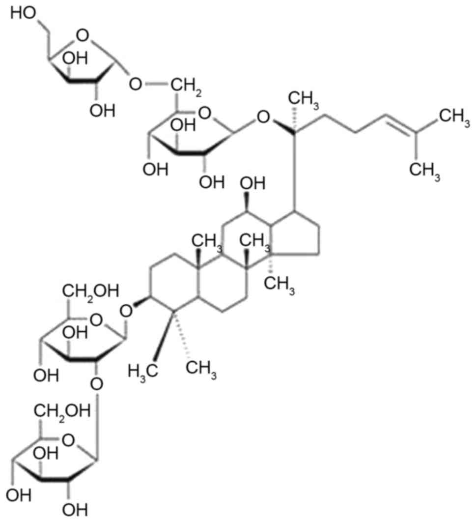
Ginsenosides are a class of natural products isolated from Panax ginseng and are responsible for the majority of its pharmacological properties. Ginsenosides are classified into 4 categories with regards to the chemical structure of their aglycones: i) Protopanaxadiol (PPD)-; ii) protopanaxatriol (PPT)-; iii) oleanolic acid; and iv) ocotillol-type ginsenosides (1). Ginsenoside Rc (Rc; Fig. 1) is a PPD-type bioactive ginsenoside, which are present at high concentrations in several commercially available ginseng products (2).

Figure 1.

Chemical structure of ginsenoside Rc.

Rc has been reported to interfere with the intracellular production of reactive oxygen species (ROS); however, its actions remain controversial and they may vary depending on cell type (3,4). Under conditions of tert-butylhydroperoxide-induced oxidative stress in HEK293 cells, Rc was reported to attenuate ROS generation, through the upregulation of catalase expression, a forkhead box protein O1 (FOXO1)-targeting gene (3). In addition, Rc was demonstrated to directly scavenge superoxide free radicals in HEK293 cells (3). Antidiabetic properties have also been reported for Rc, as it was revealed to potentiate glucose uptake via increasing ROS production and activating 5′ adenosine monophosphate-activated protein kinase and p38 mitogen-activated protein kinase, in an insulin-independent pathway (4). Therefore, the present study aimed to evaluate the putative antioxidative properties of Rc in skin cells.

UVB radiation has been identified as a major cause of photoaging, as it initiates photooxidative reactions that disrupt the redox balance of skin cells and increase intracellular ROS levels, thus leading to oxidative stress (5). Matrix metalloproteinases (MMPs) are responsible for the degradation of extracellular matrix (ECM) components that constitute the dermal connective tissue (6). A UVB-induced increase in ROS production may stimulate MMPs through redox-regulated transcription factors (7). Photoaging is the result of the degradation of dermal ECM due to enhanced MMP activation and suppressed collagen biosynthesis under conditions of oxidative stress (8). The UV-induced gelatinolytic activity of MMP-2 and MMP-9 is involved in the development of UV-induced skin damage, including skin thickening and wrinkle formation (9). UVB irradiation has previously been demonstrated to increase the expression of MMP-2 and MMP-9 and potentiate their gelatinolytic activity in human HaCaT keratinocytes (8).

Filament aggregating protein (filaggrin) is an important component of the cornified cell envelope (CE) of the epidermal stratum corneum (SC), and is initially synthesized as profilaggrin, a 500-kDa highly phosphorylated His-rich protein containing 10–12 tandemly arranged filaggrin repeats in its central region (10). Monomeric filaggrins are generated by proteolytic cleavage and dephosphorylation and trigger the aggregation of keratin filaments. Filaggrin has an important function during water retention in SC, whereas its mutations have been associated with natural moisturizing factor (NMF) deficiency in the SC, leading to skin barrier dysfunction (11). A previous study has also reported that silencing of filaggrin expression may impair the skin barrier functions of normal human epidermal keratinocytes, primarily via targeting the CE and triggering immune responses (12). The downregulation or complete loss of filaggrin expression has been previously reported to disturb skin barrier function and enhance the percutaneous transfer of allergens, thus suggesting that filaggrin may have a protective function against the entry of foreign environmental substances (13).

Caspase-14 is a Cys-specific proteinase localized in stratified epithelia, including the skin, and is involved in the production of filaggrin monomers and the synthesis of NMFs in the skin (14). Caspase-14 is activated only in terminally differentiated keratinocytes, and its downregulation has been reported to lead to impairments in skin barrier function (15).

The findings of the present study suggested that Rc may possess protective properties against UVB-induced photooxidative damage and may exert anti-photoaging and barrier function-protective effects in keratinocytes.

Materials and methods

Chemicals

Rc (purity, ≥98%) was obtained from Ambo Institute (Daejeon, Korea; www.ambo.co.kr). Bradford reagent, MTT solution, 2′,7′-dichlorodihydrofluorescein diacetate (DCFH-DA), dihydrorhodamine 123 (DHR-123), dihydroethidium (DHE), 5,5′-dithiobis (2-nitrobenzoic acid) (DTNB), glutathione reductase (GR) and nicotinamide-adenine dinucleotide phosphate (NADPH) were purchased from Sigma-Aldrich; Merck KGaA (Darmstadt, Germany). Ac-Trp-Glu-His-Asp-7-amino-4-methylcoumarin (Ac-WEHD-MCA) was purchased from Peptide Institute, Inc. (Osaka, Japan). Cell lysis buffer was obtained from Promega Corporation (Madison, WI, USA).

Cell culture

The human HaCaT keratinocyte cell line was purchased from American Type Culture Collection (Manassas, VA, USA). Cells were cultured in Dulbecco's modified Eagle's medium (DMEM; HyClone; GE Healthcare Life Science, Logan, UT, USA) supplemented with 10% heat-inactivated fetal bovine serum (FBS; HyClone; GE Healthcare Life Sciences), 100 U/ml penicillin and 100 µg/ml streptomycin, and maintained at 37°C in a humidified atmosphere with 5% CO2.

UVB irradiation

A VL-6 M ultraviolet lamp (peak, 312 nm; Vilber Lourmat, Marne-la-Vallée, France) was the source of UVB radiation, and was used with a VLX-3 W radiometer (Vilber Lourmat) equipped with a CX-312 sensor (bandwidth, 280–320 nm; Vilber Lourmat). Prior to the irradiation, 1×105 cells, grown overnight and washed twice with 1 ml PBS, were resuspended in 1 ml FBS-free DMEM. HaCaT keratinocytes at 25°C were irradiated with solar simulated UVB radiation at 70 mJ/cm2 for 2 min, an intensity estimated to induce oxidative stress in preliminary experiments (data not shown).

Preparation of cell lysates

Adherent cells were harvested using a cell scraper, washed twice with PBS and maintained on ice for 5 min. Following centrifugation at 3,000 × g for 10 min at room temperature, the cell pellets were dissolved in cell lysis buffer containing 50 mM HEPES (pH 7.5), 10% sucrose and 0.1% Triton X-100, and maintained on ice for 30 min. Following centrifugation at 10,000 × g for 15 min at 4°C, the supernatants were collected. Protein concentration in cell lysates was determined by the Bradford protein assay as previously described (16), using bovine serum albumin (Sigma-Aldrich; Merck KGaA) as the standard.

Intracellular ROS production

The ROS-sensitive fluorescent probe DCFH-DA produces 2′,7′-dichlorofluorescein (λexcitation, 485 nm; λemission, 530 nm) upon enzymatic reduction and oxidation by ROS (17). DHR-123 and DHE are additional ROS probes which produce rhodamine 123 (λexcitation, 500 nm; λemission, 535 nm) and 2-hydroxyethidium (λexcitation, 480 nm; λemission, 525 nm), respectively, upon reaction with ROS (18). Prior to the treatment, 1×105 cells, grown overnight and washed twice with 1 ml PBS, were resuspended in 1 ml FBS-free DMEM. HaCaT keratinocytes were incubated with Rc (0, 5, 12 and 30 µM) and 20 µM DCFH-DA, 5 µM DHR-123 or 5 µM DHE for 30 min at 37°C. Then, the cells were washed twice with 1 ml FBS-free DMEM, dissolved in 1 ml FBS-free DMEM and irradiated with 70 mJ/cm2 UVB radiation, if required. The appropriate control cells did not receive Rc and were treated with or without UVB irradiation. Intracellular ROS levels were determined via quantification of the fluorescence of the samples using the Synergy HTX Multi-Mode microplate reader (BioTek Instruments Inc., Winooski, VT, USA).

Cell viability assay

In order to investigate the cytotoxic effects of UVB irradiation on HaCaT keratinocytes, and the putative cytoprotective properties of Rc, cell viability was evaluated using an MTT assay, which reflects cellular metabolic activity (19). A total of 1×105 HaCaT keratinocytes, grown overnight and washed twice with 1 ml PBS, were resuspended in FBS-free DMEM and treated with Rc for 1 h. If necessary, the cells were irradiated following the Rc treatment. The quantity of formazan dissolved in dimethyl sulfoxide, generated from the reduction of MTT by the mitochondria of viable cells, was determined by the absorbance at 540 nm using the Synergy HTX Multi-Mode microplate reader.

Gelatin zymography

The proteolytic activity of MMP-2 and MMP-9 in conditioned media, obtained through centrifugation at 10,000 × g for 10 min at 4°C, was assessed using gelatin zymographic analysis (20) with a slight modification. Briefly, following staining of the SDS-polyacrylamide gel with 0.1% Coomassie Brilliant Blue R-250, the areas of gelatinolytic activity were identified as clear white bands against a darkly stained background. Molecular mass markers were used to verify the MMP-2 and MMP-9 activity bands at 72 and 92 kDa, respectively. The band strength was determined with densitometry using ImageJ 1.48 software (National Institutes of Health, Bethesda, MD, USA).

Western blot analysis

Western blot analysis was used to assess the protein expression levels of MMP-2, MMP-9 and filaggrin in keratinocyte lysates. The following primary antibodies were used: Anti-MMP-2 (cat. no. ALX-210-753; Enzo Life Sciences Inc., Farmingdale, NY, USA), anti-MMP-9 (cat. no. 3852S; Cell Signaling Technology Inc., Danvers, MA, USA), anti-filaggrin (cat. no. SC-30229; Santa Cruz Biotechnology Inc., Dallas, TX, USA) and anti-GAPDH (cat. no. LF-PA0212; Young In Frontier Co., Ltd., Seoul, Korea). Cellular lysates (protein content, 10 µg/lane) were separated using SDS-PAGE on a 10% (w/v) gel and electrotransferred to a polyvinylidene fluoride membrane (Sigma-Aldrich; Merck KGaA). The membranes, after blocking with 2% BSA (Sigma-Aldrich; Merck KGaA) for 1 h at room temperature, were probed with the primary antibodies at a 1:1,000 dilution at 4°C overnight, and subsequently incubated with horseradish peroxidase-conjugated secondary antibodies (goat anti-rabbit immunoglobulin G; 1:1,000; cat. no. ADI-SAB-300; Enzo Life Sciences Inc.) at room temperature for 1 h. Protein bands were visualized by enhanced chemiluminescence using the WESTSAVE Femto detection kit (cat. no. LF-QC0109; Young In Frontier Co., Ltd.). GAPDH was used as the loading control. Densities of the protein bands were determined using ImageJ software.

Total glutathione (GSH) contents

Total GSH contents in keratinocyte lysates were evaluated using a GR-coupled enzymatic recycling assay, as previously described (21). Lysates were incubated at 25°C for 5 min in 200 µl reaction mixture, which contained 175 mM KH2PO4, 6.3 mM EDTA, 0.21 mM NADPH, 0.6 mM DTNB, and 0.5 U/ml GR. The absorbance of the samples at 412 nm was determined using a microplate reader. Total GSH contents, expressed as µg/mg protein, were determined using a GSH standard curve and normalized to the total protein content of cell lysates.

Superoxide dismutase (SOD) activity assay

Total SOD activity in keratinocyte lysates was determined based upon the reduction of cytochrome c with a xanthine/xanthine oxidase system, as previously described (22). The reaction mixture (200 µl) contained 50 mM PB (pH 7.4), 0.01 U/ml xanthine oxidase, 0.1 mM EDTA, 1 µM catalase, 0.05 mM xanthine, 20 µM cytochrome c and the cell lysate. The mixture was incubated at 25°C for 10 min. The absorbance of each sample was measured at 550 nm using a microplate reader. SOD activity was normalized to total protein contents of the lysates, and expressed as ΔA550/min/mg protein.

Caspase-14 activity assay

Caspase-14 activity in keratinocyte lysates was assessed using Ac-WEHD-MCA (Peptide Institute Inc.) as a fluorogenic substrate, as previously described (15). The reaction mixture (95 µl) contained 0.1 M HEPES buffer (pH 7.5), 0.06 M NaCl, 0.01% CHAPS detergent, 5 mM dithiothreitol, 1.3 M sodium citrate, and 10 µM Ac-WEHD-MCA. Cell lysate (5 µl) was added to the mixture and incubated at room temperature for 30 min. The intensity of fluorescence (λexcitation, 355 nm; λemission, 460 nm) was measured using the Synergy HTX Multi-Mode microplate reader. Caspase-14 activity was normalized to the protein contents of the lysates.

Statistical analysis

Data are expressed as the mean ± standard deviation. The statistical significance of the differences between groups was assessed using one-way analysis of variance followed by a post hoc Tukey's honest significant difference test for multiple comparisons. SPSS version 16.0 for Windows was used to perform the statistical analyses (SPSS, Inc., Chicago, IL, USA). P<0.05 was considered to indicate a statistically significant difference.

Results

Rc treatment suppresses UVB-induced ROS production

HaCaT keratinocytes were treated with various concentrations (0, 5, 12 or 30 µM) of Rc prior to UVB irradiation and intracellular ROS generation was assessed using ROS-sensitive probes. The DCFH-DA assay demonstrated that UVB irradiation led to a ~8.4-fold elevation in intracellular ROS levels compared with non-irradiated control cells (Fig. 2A). Rc was revealed to prevent UVB-induced increase in ROS production, as ROS levels were reduced to 65.7, 45.6 and 34.6% of UVB-irradiated cells following treatment with 5, 12 and 30 µM Rc, respectively (Fig. 2A). The DHR-123 assay indicated that UVB induced a ~6.0-fold increase in ROS production compared with non-irradiated control cells, whereas Rc attenuated the UVB-induced elevation in ROS levels in a dose-dependent manner (Fig. 2B). Furthermore, DHE was also used as a ROS probe, and similar results were obtained, as Rc was revealed to suppress UVB-induced ROS production (Fig. 2C). The present findings suggested that Rc may suppress intracellular ROS generation following exposure to UVB radiation in human keratinocytes.

Figure 2.

Rc treatment suppresses UVB-induced ROS generation in human HaCaT keratinocytes. HaCaT cells were pretreated with 0, 5, 12 and 30 µM Rc for 30 min prior to UVB irradiation. ROS levels were quantified using (A) DCFH-DA, (B) DHR-123 and (C) DHE and expressed as relative (A) DCF, (B) RH-123 and (C) 2-HE fluorescence. Data are expressed as the mean ± standard deviation of three independent experiments. ###P<0.001 vs. non-irradiated untreated cells. *P<0.05, **P<0.01, ***P<0.001 vs. untreated irradiated cells. Rc, ginsenoside Rc; ROS, reactive oxygen species; DCFH-DA, 2′,7′-dichlorodihydrofluorescein diacetate; DHR-123, dihydrorhodamine 123; DHE, dihydroethidium; DCF, 2′,7′-dichlorofluorescein; RH-123, rhodamine 123; 2-HE, 2-hydroxyethidium.

Rc treatment does not exert cytotoxic effects in keratinocytes

An MTT assay was used to investigate the effects of UVB exposure and treatment with Rc on the viability of HaCaT keratinocytes. The present findings demonstrated that Rc did not exert cytotoxic actions on HaCaT cells in the concentration range that was used (Fig. 3A). In addition, UVB irradiation did not affect the viability of keratinocytes (Fig. 3B), and Rc did not appear to influence the viability of UVB-irradiated cells (Fig. 3B). The present findings suggested that UVB radiation, at the conditions used in the present study, and Rc do not have a toxic effect on HaCaT keratinocytes.

Figure 3.

Rc treatment does not affect the viability of human HaCaT keratinocytes. (A) HaCaT cells were treated with 0, 5, 12 and 30 µM Rc for 30 min. (B) HaCaT cells were pretreated with 0, 5, 12 and 30 µM Rc for 30 min prior to UVB irradiation. MTT assay was used to evaluate cellular viability and results are expressed as % of control. Data are expressed as the mean ± standard deviation. Rc, ginsenoside Rc.

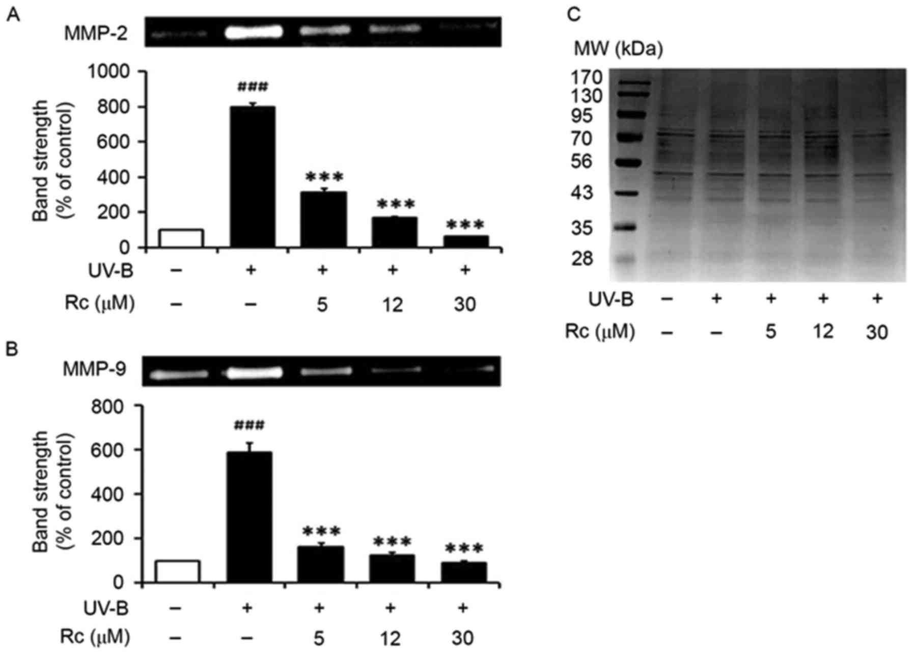
Rc treatment suppresses MMP-2 and MMP-9 activity following UVB irradiation

In accordance with a previous study (8), UVB irradiation potentiated the proteolytic activity of MMP-2 in conditioned media (Fig. 4A). Notably, treatment of keratinocytes with Rc attenuated the UVB-induced increase in MMP-2 activity, as 5, 12 and 30 µM Rc were revealed to reduce MMP-2 activity to 39.3, 21.0 and 8.0% of that in untreated irradiated cells, respectively (Fig. 4A). Similarly, keratinocytes exposed to UVB radiation exhibited significantly increased MMP-9 gelatinolytic activity (Fig. 4B), whereas Rc counteracted this effect, as 5, 12 and 30 µM Rc were demonstrated to suppress MMP-9 activity to 27.8, 21.1 and 15.4% compared with untreated irradiated cells, respectively. The present findings suggested that treatment of keratinocytes with Rc may counteract the increase in proteolytic activity following UVB exposure in vitro.

Figure 4.

Rc treatment suppresses MMP-2 and MMP-9 activity following UVB irradiation. Human HaCaT keratinocytes were pretreated with 0, 5, 12 and 30 µM Rc for 30 min prior to UVB irradiation. The proteolytic activity of (A) MMP-2 and (B) MMP-9 was assessed in conditioned media using gelatin zymography and is expressed as % of control. (C) Equal loading of conditioned media was confirmed following staining with coomassie blue. Data are expressed as the mean ± standard deviation of at least three independent experiments. ###P<0.001 vs. non-irradiated untreated cells. ***P<0.001 vs. untreated irradiated cells. Rc, ginsenoside Rc; MMP, matrix metalloproteinase; MW, molecular weight.

Rc treatment prevents the UVB-induced upregulation of MMP-2 and MMP-9 protein expression

Western blot analysis demonstrated that following exposure to UVB radiation, HaCaT keratinocytes exhibited significantly increased MMP-2 protein expression levels (3.7-fold in non-irradiated control cells; Fig. 5A). Notably, treatment with 5, 12 and 30 µM Rc reduced MMP-2 protein expression levels in UVB-treated cells to 57.2, 40.1 and 11.7% of those in untreated irradiated cells, respectively (Fig. 5A). Similarly, UVB irradiation led to a significant potentiation of MMP-9 protein expression, whereas Rc was demonstrated to attenuate the UVB-induced MMP-9 upregulation in a dose-dependent manner (Fig. 5B). The present findings suggested that treatment with Rc may reduce the UVB-induced upregulation of MMP-2 and MMP-9 protein expression in human keratinocytes.

Figure 5.

Rc treatment prevents the UVB-induced upregulation of MMP-2 and MMP-9 protein expression levels. Human HaCaT keratinocytes were pretreated with 0, 5, 12 and 30 µM Rc for 30 min prior to UVB irradiation. Western blot analysis was used to assess the protein expression levels of (A) MMP-2 and (B) MMP-9 in cell lysates. Blots were semi-quantified using densitometry and relative band intensity is expressed as % of control. Representative blots are included. Data are expressed as the mean ± standard deviation of three independent experiments. ###P<0.001 vs. non-irradiated untreated cells. *P<0.05, **P<0.01, ***P<0.001 vs. untreated irradiated cells. Rc, ginsenoside Rc; MMP, matrix metalloproteinase.

Rc treatment prevents UVB-induced GSH depletion

The present study demonstrated that total GSH contents were significantly reduced in UVB-irradiated HaCaT keratinocytes (Fig. 6A), which was in accordance with a previous study (23). Notably, following treatment with 5, 12 and 30 µM Rc, total GSH levels were increased by 1.9-, 2.0- and 2.3-fold, respectively, compared with untreated irradiated cells (Fig. 6A). These findings suggested that the increased GSH contents may be implicated in the molecular mechanisms underlying the effects of Rc against UVB-induced keratinocyte damage.

Figure 6.

Rc prevents UVB-induced impairments in the endogenous antioxidant mechanisms. Human HaCaT keratinocytes were pretreated with 0, 5, 12 and 30 µM Rc for 30 min prior to UVB irradiation. (A) Rc prevented the UVB-induced GSH depletion. (B) Rc prevented the UVB-induced suppression of SOD activity. Data are expressed as the mean ± standard deviation. ##P<0.01 vs. non-irradiated untreated cells. ***P<0.001 vs. untreated irradiated cells. Rc, ginsenoside Rc; GSH, glutathione; SOD, superoxide dismutase.

Rc treatment prevents the UVB-induced suppression of SOD activity

UVB irradiation was revealed to significantly suppress total SOD activity in HaCaT keratinocytes (Fig. 6B). However, following treatment with 5, 12 and 30 µM Rc, total SOD activity was potentiated by 2.0-, 2.9- and 3.7-fold, respectively, compared with untreated irradiated cells (Fig. 6B). The present findings suggested that Rc may counteract the UVB-induced impairments in SOD activity in keratinocytes in vitro.

Rc treatment enhances caspase-14 activity and upregulates filaggrin protein expression

Following exposure to UVB radiation, the activity of caspase-14 was significantly reduced (75.0% of that in non-irradiated control cells; Fig. 7A). Notably, treatment with 5, 12 and 30 µM Rc was demonstrated to potentiate the activity of caspase-14 by 2.2-. 2.5- and 2.8-fold, respectively, compared with untreated irradiated keratinocytes (Fig. 7A).

Figure 7.

Rc enhances caspase-14 activity and upregulates filaggrin protein expression. Human HaCaT keratinocytes were pretreated with 0, 5, 12 and 30 µM Rc for 30 min prior to UVB irradiation. (A) Caspase-14 activity was determined using a fluorogenic assay and is expressed as an increase in fluorescence. (B) Western blot analysis was used to assess the protein expression levels of filaggrin. Blots were semi-quantified using densitometry and relative band intensity is expressed as % of control. Data are expressed as the mean ± standard deviation. ##P<0.01 vs. non-irradiated untreated cells. *P<0.05, **P<0.01, ***P<0.001 vs. untreated irradiated cells. Rc, ginsenoside Rc; filaggrin, filament aggregating protein.

The protein expression levels of filaggrin were revealed to be significantly reduced in UVB-irradiated HaCaT cells compared with non-irradiated control cells (66.7% of those in non-irradiated cells; Fig. 7B). Following treatment with 5, 12 and 30 µM Rc, filaggrin protein expression was significantly upregulated by 4.5-, 5.4- and 7.8-fold, respectively, compared with untreated irradiated keratinocytes (Fig. 7B). The present findings suggested that treatment with Rc may counteract UVB-induced impairments in skin barrier function under conditions of photooxidative stress.

Discussion

The present study aimed to evaluate the putative antioxidative properties of Rc in UVB-exposed human keratinocytes in vitro. DCFH-DA, DHR-123 and DHE are fluorescent ROS probes and were used to investigate the effects of Rc treatment on UVB-induced ROS production. DCFH-DA, originally used as a specific probe for hydrogen peroxide, also reacts with other ROS, including hydroxyl and peroxy radicals (18). DHR-123 reacts with hydrogen peroxide in the presence of peroxidases and may be oxidized by other oxidants, including peroxynitrite anions and hypochlorous acid (18). DHE is used as a probe for the detection of superoxide radicals, whereas it is also oxidized by hydrogen peroxide via non-specific peroxidase catalysis (18). The present study demonstrated that UVB irradiation led to increased ROS levels in HaCaT keratinocytes. These findings are in accordance with a previous study (24), which reported that UVB radiation induced the production of superoxide radicals in epidermal keratinocytes, which are subsequently converted to other ROS species, including hydrogen peroxide and hydroxyl radicals. Notably, treatment with Rc was revealed to attenuate the UVB-induced increase in ROS production, thus suggesting that Rc may exert antioxidative effects against UVB-induced photooxidative stress.

MMPs have a key role during collagen degradation and have been implicated in skin photoaging (25). Enhanced ROS levels following UV irradiation have been reported to promote the production and secretion of MMPs, including MMP-2 and MMP-9, in dermal and epidermal tissue, thus leading to skin damage and photoaging (26). In the present study, Rc treatment was revealed to attenuate the UVB-induced upregulation in MMP-2 and MMP-9 protein expression in human keratinocytes. In addition, their proteolytic activity was similarly suppressed. These findings suggested that MMP-2 and MMP-9 protein expression may be regulated by a common mechanism in keratinocytes.

Natural antioxidants have been previously reported to exert their physiological functions through the downregulation of MMP-2 and MMP-9 via various mechanisms (27–29). Photodynamic therapy has been demonstrated to suppress the migration and invasion ability of laryngeal squamous carcinoma cells in vitro, via downregulation of MMP-2 and MMP-9 expression levels through the ROS-mediated inhibition of the mitogen-activated protein kinase (MAPK)/extracellular signal-regulated kinase signaling pathway (27). Polysaccharides derived from Inonotus obliquus have been revealed to suppress the migration and invasion ability of highly metastatic melanoma cells in vitro by decreasing the expression and activity levels of MMP-2 and MMP-9 via the inhibition of MAPK, cyclooxygenase-2 and nuclear factor-κB signaling pathways (28). Amsacrine has been previously reported to downregulate MMP-2 and MMP-9 expression by suppression of gene transcription and promotion of mRNA decay in human leukemia cells (29). The findings of the present study suggested that Rc may simultaneously downregulate the expression of MMP-2 and MMP-9 in keratinocytes under conditions of photooxidative stress; however, additional studies are required to fully elucidate the underlying molecular mechanisms.

The present study revealed that Rc counteracted the UVB-induced depletion of GSH contents and the suppression of SOD activity. These findings suggested that the modulation of endogenous antioxidants may be implicated in the antioxidative properties of Rc; however, additional studies are required to determine the molecular mechanisms that are involved. Numerous antioxidants exert their biological roles through the upregulation of the endogenous antioxidative mechanisms of cells. Fucoxanthin is a natural antioxidant carotenoid, which is abundant in seaweed, and has been previously reported to increase GSH levels by upregulating mRNA and protein expression levels of γ-glutamylcysteine synthetase and glutathione synthetase in keratinocytes, via promoting the nuclear translocation and phosphorylation of nuclear factor (erythroid-derived 2)-like 2 (30). The essential oil of Pogostemon cablin, which is a Chinese herb traditionally used for the treatment of skin disorders, has been reported to reduce wrinkle formation and increase skin elasticity and collagen content, possibly due to its antioxidative properties by suppressing lipid peroxidation through the potentiation of SOD, glutathione peroxidase and catalase activity (31). Coenzyme Q has also been revealed to prevent UVB-induced photooxidative stress by increasing SOD and glutathione peroxidase activity reduced by UVB radiation in mice (32).

In the present study, exposure to UVB radiation led to the downregulation of filaggrin expression and reduced caspase-14 activity in keratinocytes, thus suggesting the dysfunction of the skin barrier. Rc treatment was revealed to increase filaggrin expression and potentiate caspase-14 activity, thus counteracting the UVB-induced skin barrier impairments. These findings suggested that the antioxidative properties of Rc may be associated with its functions in preserving skin barrier functionality; however, additional studies are required to elucidate the underlying molecular mechanisms.

Previous studies (33–38) have assessed the pharmacological actions of purified ginsenosides, including their anti-photoaging, anti-inflammatory, barrier function-preserving and antioxidative functions, using skin cell lines. Similar to Rc, PPD-type ginsenosides, such as Rb1 (33), Rb2 (34,35) and Rb3 (36), used as enantiomer mixtures, were reported to exhibit anti-photoaging properties in keratinocytes and fibroblasts. The PPD-type ginsenoside Rg3 exhibited a stereoselective anti-photoaging action, as only the S-enantiomer was revealed to have a ROS-scavenging and MMP-2 inhibitory effect in keratinocytes (37). In UVB-irradiated keratinocytes, the PPD-type ginsenoside 20(S)-Rh2 reduced ROS generation and MMP-2 expression levels, whereas 20(R)-Rh2 downregulated MMP-2, but did not affect ROS production, thus suggesting that the two enantiomers may exert anti-photoaging effects that involve different molecular mechanisms (38). In addition, 20(R)-Rh2 demonstrated an anti-inflammatory effect in lipopolysaccharide-stimulated macrophages, by downregulating nitric oxide, prostaglandin E2, ROS and MMP-9 levels (39). Notably, 20(S)-, but not 20(R)-PPD, was reported to prevent the UVB-induced upregulation in ROS and MMP-2 levels in keratinocytes, thus suggesting the anti-photoaging potential of 20(S)-PPD-type ginsenosides (40). Furthermore, the PPT-type ginsenoside Rg2 exhibited stereospecific protective properties, as only the 20(S)-enantiomer was revealed to prevent UVB-induced photoaging, via upregulation of endogenous antioxidants, such as GSH and SOD (41). Similarly, 20(S)-PPT was previously reported to exert anti-photoaging effects in UVB-irradiated keratinocytes (42). Re, which is a PPT-type ginsenoside, was demonstrated to preserve skin barrier functionality, via enhancing CE formation, and potentiating filaggrin and caspase-14 activity in skin cells under physiological conditions (43). Ro, an oleanolic acid-type ginsenoside, also exhibited anti-photoaging potential by counteracting the UVB-induced decrease in fibroblast GSH contents (44). These previous findings suggested that ginsenosides may exert beneficial actions on human skin; however, the mechanisms underlying their effects may vary depending on the type of ginsenoside and their stereospecificity.

In conclusion, the present study investigated the putative anti-photoaging and barrier function-preserving properties of Rc in UVB-irradiated human HaCaT keratinocytes. Rc treatment was demonstrated to prevent UVB-induced ROS generation and suppress the expression and activity of MMP-2 and MMP-9 and counteract the UVB-induced GSH depletion and suppression of SOD activity. In addition, Rc was revealed to attenuate the UVB-induced downregulation in filaggrin expression and caspase-14 activity. The findings of the present study suggested that ginsenoside Rc may be a potential target for the development of novel strategies based on natural compounds for skin protection with fewer adverse effects.

Acknowledgements

The present study was supported by the Ministry of Trade, Industry and Energy, Korea Institute for Advancement of Technology, through the Encouragement Program for the Industries of Economic Cooperation Region (grant no. R0005382).

References

1 

Shi Y, Sun C, Zheng B, Li Y and Wang Y: Simultaneous determination of nineginsenosides in functional foods by high performance liquid chromatography with diode array detector detection. Food Chem. 123:1322–1327. 2010. View Article : Google Scholar

2 

Harkey MR, Henderson GL, Gershwin ME, Stern JS and Hackman RM: Variability in commercial ginseng products: An analysis of 25 preparations. Am J Clin Nutr. 73:1101–1106. 2001.PubMed/NCBI

3 

Kim DH, Park CH, Park D, Choi YJ, Park MH, Chung KW, Kim SR, Lee JS and Chung HY: Ginsenoside Rc modulates Akt/FoxO1 pathways and suppresses oxidative stress. Arch Pharm Res. 37:813–820. 2014. View Article : Google Scholar : PubMed/NCBI

4 

Lee MS, Hwang JT, Kim SH, Yoon S, Kim MS, Yang HJ and Kwon DY: Ginsenoside Rc, an active component of Panax ginseng, stimulates glucose uptake in C2C12 myotubes through an AMPK-dependent mechanism. J Ethnopharmacol. 127:771–776. 2010. View Article : Google Scholar : PubMed/NCBI

5 

Peres PS, Terra VA, Guarnier FA, Cecchini R and Cecchini AL: Photoaging and chronological aging profile: Understanding oxidation of the skin. J Photochem Photobiol B. 103:93–97. 2011. View Article : Google Scholar : PubMed/NCBI

6 

Curran S and Murray GI: Matrix metalloproteinases in tumour invasion and metastasis. J Pathol. 189:300–308. 1999. View Article : Google Scholar : PubMed/NCBI

7 

Masaki H, Atsumi T and Sakurai H: Detection of hydrogen peroxide and hydroxyl radicals in murine skin fibroblasts under UVB irradiation. Biochem Biophys Res Commun. 206:474–479. 1995. View Article : Google Scholar : PubMed/NCBI

8 

Kim MS, Oh GH, Kim MJ and Hwang JK: Fucosterol inhibits matrix metalloproteinase expression and promotes type-1 procollagen production in UVB-induced HaCaT cells. Photochem Photobiol. 89:911–918. 2013. View Article : Google Scholar : PubMed/NCBI

9 

Inomata S, Matsunaga Y, Amano S, Takada K, Kobayashi K, Tsunenaga M, Nishiyama T, Kohno Y and Fukuda M: Possible involvement of gelatinases in basement membrane damage and wrinkle formation in chronically ultraviolet B-exposed hairless mouse. J Invest Dermatol. 120:128–134. 2003. View Article : Google Scholar : PubMed/NCBI

10 

McGrath JA and Uitto J: The filaggrin story: Novel insights into skin-barrier function and disease. Trends Mol Med. 14:20–27. 2008. View Article : Google Scholar : PubMed/NCBI

11 

Kezic S, O'Regan GM, Lutter R, Jakasa I, Koster ES, Saunders S, Caspers P, Kemperman PM, Puppels GJ, Sandilands A, et al: Filaggrin loss-of-function mutations are associated with enhanced expression of IL-1 cytokines in the stratum corneum of patients with atopic dermatitis and in a murine model of filaggrin deficiency. J Allergy Clin Immunol. 129:1031–1039.e1. 2012. View Article : Google Scholar : PubMed/NCBI

12 

Dang NN, Pang SG, Song HY, An LG and Ma XL: Filaggrin silencing by shRNA directly impairs the skin barrier function of normal human epidermal keratinocytes and then induces an immune response. Braz J Med Biol Res. 48:39–45. 2015. View Article : Google Scholar : PubMed/NCBI

13 

Sandilands A, Sutherland C, Irvine AD and McLean WH: Filaggrin in the frontline: Role in skin barrier function and disease. J Cell Sci. 122:1285–1294. 2009. View Article : Google Scholar : PubMed/NCBI

14 

Hvid M, Johansen C, Deleuran B, Kemp K, Deleuran M and Vestergaard C: Regulation of caspase 14 expression in keratinocytes by inflammatory cytokines-a possible link between reduced skin barrier function and inflammation? Exp Dermatol. 20:633–636. 2011. View Article : Google Scholar : PubMed/NCBI

15 

Hibino T, Fujita E, Tsuji Y, Nakanishi J, Iwaki H, Katagiri C and Momoi T: Purification and characterization of active caspase-14 from human epidermis and development of the cleavage site-directed antibody. J Cell Biochem. 109:487–497. 2010.PubMed/NCBI

16 

Bradford MM: A rapid and sensitive method for the quantitation of microgram quantities of protein utilizing the principle of protein-dye binding. Anal Biochem. 72:248–254. 1976. View Article : Google Scholar : PubMed/NCBI

17 

Royall JA and Ischiropoulos H: Evaluation of 2′,7′-dichlorofluorescin and dihydrorhodamine 123 as fluorescent probes for intracellular H2O2 in cultured endothelial cells. Arch Biochem Biophys. 302:348–355. 1993. View Article : Google Scholar : PubMed/NCBI

18 

Gomes A, Fernandes E and Lima JL: Fluorescence probes used for detection of reactive oxygen species. J Biochem Biophys Methods. 65:45–80. 2005. View Article : Google Scholar : PubMed/NCBI

19 

Freshney RI: Culture of Animal Cells: A Manual of Basic Technique. 4th. Wiley-Liss Press; New York: 1994

20 

Kleiner DE and Stetler-Stevenson WG: Quantitative zymography: Detection of picogram quantities of gelatinases. Anal Biochem. 218:325–329. 1994. View Article : Google Scholar : PubMed/NCBI

21 

Nakagawa K, Saijo N, Tsuchida S, Sakai M, Tsunokawa Y, Yokota J, Muramatsu M, Sato K, Terada M and Tew KD: Glutathione-S-transferase pi as a determinant of drug resistance in transfectant cell lines. J Biol Chem. 265:4296–4301. 1990.PubMed/NCBI

22 

Lee YY, Kim HG, Jung HI, Shin YH, Hong SM, Park EH, Sa JH and Lim CJ: Activities of antioxidant and redox enzymes in human normal hepatic and hepatoma cell lines. Mol Cells. 14:305–311. 2002.PubMed/NCBI

23 

Zhu M and Bowden GT: Molecular mechanism(s) for UV-B irradiation-induced glutathione depletion in cultured human keratinocytes. Photochem Photobiol. 80:191–196. 2004. View Article : Google Scholar : PubMed/NCBI

24 

Aitken GR, Henderson JR, Chang SC, McNeil CJ and Birch-Machin MA: Direct monitoring of UV-induced free radical generation in HaCaT keratinocytes. Clin Exp Dermatol. 32:722–727. 2007. View Article : Google Scholar : PubMed/NCBI

25 

Fisher GJ, Kang S, Varani J, Bata-Csorgo Z, Wan Y, Datta S and Voorhees JJ: Mechanisms of photoaging and chronological skin aging. Arch Dermatol. 138:1462–1470. 2002. View Article : Google Scholar : PubMed/NCBI

26 

Lee YM, Kang SM, Lee SR, Kong KH, Lee JY, Kim EJ and Chung JH: Inhibitory effects of TRPV1 blocker on UV-induced responses in the hairless mice. Arch Dermatol Res. 303:727–736. 2011. View Article : Google Scholar : PubMed/NCBI

27 

Zhang H, Shen B, Swinarska JT, Li W, Xiao K and He P: 9-Hydroxypheophorbide α-mediated photodynamic therapy induces matrix metalloproteinase-2 (MMP-2) and MMP-9 down-regulation in Hep-2 cells via ROS-mediated suppression of the ERK pathway. Photodiagnosis Photodyn Ther. 11:55–62. 2014. View Article : Google Scholar : PubMed/NCBI

28 

Lee KR, Lee JS, Kim YR, Song IG and Hong EK: Polysaccharide from Inonotus obliquus inhibits migration and invasion in B16-F10 cells by suppressing MMP-2 and MMP-9 via downregulation of NF-κB signaling pathway. Oncol Rep. 31:2447–2453. 2014.PubMed/NCBI

29 

Liu WH, Chen YJ, Chien JH and Chang LS: Amsacrine suppresses matrix metalloproteinase-2 (MMP-2)/MMP-9 expression in human leukemia cells. J Cell Physiol. 229:588–598. 2014. View Article : Google Scholar : PubMed/NCBI

30 

Zheng W, Zhang Y, Ma D, Shi Y, Liu C and Wang P: (±)Equol inhibits invasion in prostate cancer DU145 cells possibly via down-regulation of matrix metalloproteinase-9, matrix metalloproteinase-2 and urokinase-type plasminogen activator by antioxidant activity. J Clin Biochem Nutr. 51:61–67. 2012. View Article : Google Scholar : PubMed/NCBI

31 

Lin RF, Feng XX, Li CW, Zhang XJ, Yu XT, Zhou JY, Zhang X, Xie YL, Su ZR and Zhan JY: Prevention of UV radiation-induced cutaneous photoaging in mice by topical administration of patchouli oil. J Ethnopharmacol. 154:408–418. 2014. View Article : Google Scholar : PubMed/NCBI

32 

Kim DW, Hwang IK, Kim DW, Yoo KY, Won CK, Moon WK and Won MH: Coenzyme Q_{10} effects on manganese superoxide dismutase and glutathione peroxidase in the hairless mouse skin induced by ultraviolet B irradiation. Biofactors. 30:139–147. 2007. View Article : Google Scholar : PubMed/NCBI

33 

Oh SJ, Kim K and Lim CJ: Protective properties of ginsenoside Rb1 against UV-B radiation-induced oxidative stress in human dermal keratinocytes. Pharmazie. 70:381–387. 2015.PubMed/NCBI

34 

Oh SJ, Kim K and Lim CJ: Ginsenoside Rb2 attenuates UV-B radiation-induced reactive oxygen species and matrix metalloproteinase-2 through upregulation of antioxidant components in human dermal fibroblasts. Pharmacology. 96:32–40. 2015. View Article : Google Scholar : PubMed/NCBI

35 

Oh SJ, Kim K and Lim CJ: Suppressive properties of ginsenoside Rb2, a protopanaxadiol-type ginseng saponin, on reactive oxygen species and matrix metalloproteinase-2 in UV-B-irradiated human dermal keratinocytes. Biosci Biotechnol Biochem. 79:1075–1081. 2015. View Article : Google Scholar : PubMed/NCBI

36 

Oh SJ, Oh Y, Ryu IW, Kim K and Lim CJ: Protective properties of ginsenoside Rb3 against UV-B radiation-induced oxidative stress in HaCaT keratinocytes. Biosci Biotechnol Biochem. 80:95–103. 2015.PubMed/NCBI

37 

Lim CJ, Choi WY and Jung HJ: Stereoselective skin anti-photoaging properties of ginsenoside Rg3 in UV-B-irradiated keratinocytes. Biol Pharm Bull. 37:1583–1590. 2014. View Article : Google Scholar : PubMed/NCBI

38 

Oh SJ, Lee S, Choi WY and Lim CJ: Skin anti-photoaging properties of ginsenoside Rh2 epimers in UV-B-irradiated human keratinocyte cells. J Biosci. 39:673–682. 2014. View Article : Google Scholar : PubMed/NCBI

39 

Choi WY, Lim HW and Lim CJ: Anti-inflammatory, antioxidative and matrix metalloproteinase inhibitory properties of 20(R)-ginsenoside Rh2 in cultured macrophages and keratinocytes. J Pharm Pharmacol. 65:310–316. 2013. View Article : Google Scholar : PubMed/NCBI

40 

Oh SJ, Lee S, Kho YE, Kim K, Jin CD and Lim CJ: Stereoselective suppressive effects of protopanaxadiol epimers on UV-B-induced reactive oxygen species and matrix metalloproteinase-2 in human dermal keratinocytes. Can J Physiol Pharmacol. 93:91–95. 2015. View Article : Google Scholar : PubMed/NCBI

41 

Kang HJ, Huang YH, Lim HW, Shin D, Jang K, Lee Y, Kim K and Lim CJ: Stereospecificity of ginsenoside Rg2 epimers in the protective response against UV-B radiation-induced oxidative stress in human epidermal keratinocytes. J Photochem Photobiol B. 165:232–239. 2016. View Article : Google Scholar : PubMed/NCBI

42 

Oh SJ, Kim K and Lim CJ: Photoprotective properties of 20(S)-protopanaxatriol, an aglycone of ginseng saponins: Protection from ultraviolet-B radiation-induced oxidative stress in human epidermal keratinocytes. Mol Med Rep. 14:2839–2845. 2016.PubMed/NCBI

43 

Oh Y, Lim HW, Kim K and Lim CJ: Ginsenoside Re improves skin barrier function in HaCaT keratinocytes under normal growth conditions. Biosci Biotechnol Biochem. 13:1–3. 2016.

44 

Kang HJ, Oh Y, Lee S, Ryu IW, Kim K and Lim CJ: Antioxidative properties of ginsenoside Ro against UV-B-induced oxidative stress in human dermal fibroblasts. Biosci Biotechnol Biochem. 79:2018–2021. 2015. View Article : Google Scholar : PubMed/NCBI

Related Articles

  • Abstract
  • View
  • Download
  • Twitter
Copy and paste a formatted citation
Spandidos Publications style
Oh Y, Lim HW, Park K, Huang YH, Yoon JY, Kim K and Lim CJ: Ginsenoside Rc protects against UVB‑induced photooxidative damage in epidermal keratinocytes. Mol Med Rep 16: 2907-2914, 2017.
APA
Oh, Y., Lim, H., Park, K., Huang, Y., Yoon, J., Kim, K., & Lim, C. (2017). Ginsenoside Rc protects against UVB‑induced photooxidative damage in epidermal keratinocytes. Molecular Medicine Reports, 16, 2907-2914. https://doi.org/10.3892/mmr.2017.6943
MLA
Oh, Y., Lim, H., Park, K., Huang, Y., Yoon, J., Kim, K., Lim, C."Ginsenoside Rc protects against UVB‑induced photooxidative damage in epidermal keratinocytes". Molecular Medicine Reports 16.3 (2017): 2907-2914.
Chicago
Oh, Y., Lim, H., Park, K., Huang, Y., Yoon, J., Kim, K., Lim, C."Ginsenoside Rc protects against UVB‑induced photooxidative damage in epidermal keratinocytes". Molecular Medicine Reports 16, no. 3 (2017): 2907-2914. https://doi.org/10.3892/mmr.2017.6943
Copy and paste a formatted citation
x
Spandidos Publications style
Oh Y, Lim HW, Park K, Huang YH, Yoon JY, Kim K and Lim CJ: Ginsenoside Rc protects against UVB‑induced photooxidative damage in epidermal keratinocytes. Mol Med Rep 16: 2907-2914, 2017.
APA
Oh, Y., Lim, H., Park, K., Huang, Y., Yoon, J., Kim, K., & Lim, C. (2017). Ginsenoside Rc protects against UVB‑induced photooxidative damage in epidermal keratinocytes. Molecular Medicine Reports, 16, 2907-2914. https://doi.org/10.3892/mmr.2017.6943
MLA
Oh, Y., Lim, H., Park, K., Huang, Y., Yoon, J., Kim, K., Lim, C."Ginsenoside Rc protects against UVB‑induced photooxidative damage in epidermal keratinocytes". Molecular Medicine Reports 16.3 (2017): 2907-2914.
Chicago
Oh, Y., Lim, H., Park, K., Huang, Y., Yoon, J., Kim, K., Lim, C."Ginsenoside Rc protects against UVB‑induced photooxidative damage in epidermal keratinocytes". Molecular Medicine Reports 16, no. 3 (2017): 2907-2914. https://doi.org/10.3892/mmr.2017.6943
Follow us
  • Twitter
  • LinkedIn
  • Facebook
About
  • Spandidos Publications
  • Careers
  • Cookie Policy
  • Privacy Policy
How can we help?
  • Help
  • Live Chat
  • Contact
  • Email to our Support Team