Spandidos Publications Logo
  • About
    • About Spandidos
    • Aims and Scopes
    • Abstracting and Indexing
    • Editorial Policies
    • Reprints and Permissions
    • Job Opportunities
    • Terms and Conditions
    • Contact
  • Journals
    • All Journals
    • Oncology Letters
      • Oncology Letters
      • Information for Authors
      • Editorial Policies
      • Editorial Board
      • Aims and Scope
      • Abstracting and Indexing
      • Bibliographic Information
      • Archive
    • International Journal of Oncology
      • International Journal of Oncology
      • Information for Authors
      • Editorial Policies
      • Editorial Board
      • Aims and Scope
      • Abstracting and Indexing
      • Bibliographic Information
      • Archive
    • Molecular and Clinical Oncology
      • Molecular and Clinical Oncology
      • Information for Authors
      • Editorial Policies
      • Editorial Board
      • Aims and Scope
      • Abstracting and Indexing
      • Bibliographic Information
      • Archive
    • Experimental and Therapeutic Medicine
      • Experimental and Therapeutic Medicine
      • Information for Authors
      • Editorial Policies
      • Editorial Board
      • Aims and Scope
      • Abstracting and Indexing
      • Bibliographic Information
      • Archive
    • International Journal of Molecular Medicine
      • International Journal of Molecular Medicine
      • Information for Authors
      • Editorial Policies
      • Editorial Board
      • Aims and Scope
      • Abstracting and Indexing
      • Bibliographic Information
      • Archive
    • Biomedical Reports
      • Biomedical Reports
      • Information for Authors
      • Editorial Policies
      • Editorial Board
      • Aims and Scope
      • Abstracting and Indexing
      • Bibliographic Information
      • Archive
    • Oncology Reports
      • Oncology Reports
      • Information for Authors
      • Editorial Policies
      • Editorial Board
      • Aims and Scope
      • Abstracting and Indexing
      • Bibliographic Information
      • Archive
    • Molecular Medicine Reports
      • Molecular Medicine Reports
      • Information for Authors
      • Editorial Policies
      • Editorial Board
      • Aims and Scope
      • Abstracting and Indexing
      • Bibliographic Information
      • Archive
    • World Academy of Sciences Journal
      • World Academy of Sciences Journal
      • Information for Authors
      • Editorial Policies
      • Editorial Board
      • Aims and Scope
      • Abstracting and Indexing
      • Bibliographic Information
      • Archive
    • International Journal of Functional Nutrition
      • International Journal of Functional Nutrition
      • Information for Authors
      • Editorial Policies
      • Editorial Board
      • Aims and Scope
      • Abstracting and Indexing
      • Bibliographic Information
      • Archive
    • International Journal of Epigenetics
      • International Journal of Epigenetics
      • Information for Authors
      • Editorial Policies
      • Editorial Board
      • Aims and Scope
      • Abstracting and Indexing
      • Bibliographic Information
      • Archive
    • Medicine International
      • Medicine International
      • Information for Authors
      • Editorial Policies
      • Editorial Board
      • Aims and Scope
      • Abstracting and Indexing
      • Bibliographic Information
      • Archive
  • Articles
  • Information
    • Information for Authors
    • Information for Reviewers
    • Information for Librarians
    • Information for Advertisers
    • Conferences
  • Language Editing
Spandidos Publications Logo
  • About
    • About Spandidos
    • Aims and Scopes
    • Abstracting and Indexing
    • Editorial Policies
    • Reprints and Permissions
    • Job Opportunities
    • Terms and Conditions
    • Contact
  • Journals
    • All Journals
    • Biomedical Reports
      • Information for Authors
      • Editorial Policies
      • Editorial Board
      • Aims and Scope
      • Abstracting and Indexing
      • Bibliographic Information
      • Archive
    • Experimental and Therapeutic Medicine
      • Information for Authors
      • Editorial Policies
      • Editorial Board
      • Aims and Scope
      • Abstracting and Indexing
      • Bibliographic Information
      • Archive
    • International Journal of Epigenetics
      • Information for Authors
      • Editorial Policies
      • Editorial Board
      • Aims and Scope
      • Abstracting and Indexing
      • Bibliographic Information
      • Archive
    • International Journal of Functional Nutrition
      • Information for Authors
      • Editorial Policies
      • Editorial Board
      • Aims and Scope
      • Abstracting and Indexing
      • Bibliographic Information
      • Archive
    • International Journal of Molecular Medicine
      • Information for Authors
      • Editorial Policies
      • Editorial Board
      • Aims and Scope
      • Abstracting and Indexing
      • Bibliographic Information
      • Archive
    • International Journal of Oncology
      • Information for Authors
      • Editorial Policies
      • Editorial Board
      • Aims and Scope
      • Abstracting and Indexing
      • Bibliographic Information
      • Archive
    • Medicine International
      • Information for Authors
      • Editorial Policies
      • Editorial Board
      • Aims and Scope
      • Abstracting and Indexing
      • Bibliographic Information
      • Archive
    • Molecular and Clinical Oncology
      • Information for Authors
      • Editorial Policies
      • Editorial Board
      • Aims and Scope
      • Abstracting and Indexing
      • Bibliographic Information
      • Archive
    • Molecular Medicine Reports
      • Information for Authors
      • Editorial Policies
      • Editorial Board
      • Aims and Scope
      • Abstracting and Indexing
      • Bibliographic Information
      • Archive
    • Oncology Letters
      • Information for Authors
      • Editorial Policies
      • Editorial Board
      • Aims and Scope
      • Abstracting and Indexing
      • Bibliographic Information
      • Archive
    • Oncology Reports
      • Information for Authors
      • Editorial Policies
      • Editorial Board
      • Aims and Scope
      • Abstracting and Indexing
      • Bibliographic Information
      • Archive
    • World Academy of Sciences Journal
      • Information for Authors
      • Editorial Policies
      • Editorial Board
      • Aims and Scope
      • Abstracting and Indexing
      • Bibliographic Information
      • Archive
  • Articles
  • Information
    • For Authors
    • For Reviewers
    • For Librarians
    • For Advertisers
    • Conferences
  • Language Editing
Login Register Submit
  • This site uses cookies
  • You can change your cookie settings at any time by following the instructions in our Cookie Policy. To find out more, you may read our Privacy Policy.

    I agree
Search articles by DOI, keyword, author or affiliation
Search
Advanced Search
presentation
Molecular Medicine Reports
Join Editorial Board Propose a Special Issue
Print ISSN: 1791-2997 Online ISSN: 1791-3004
Journal Cover
December-2017 Volume 16 Issue 6

Full Size Image

Sign up for eToc alerts
Recommend to Library

Journals

International Journal of Molecular Medicine

International Journal of Molecular Medicine

International Journal of Molecular Medicine is an international journal devoted to molecular mechanisms of human disease.

International Journal of Oncology

International Journal of Oncology

International Journal of Oncology is an international journal devoted to oncology research and cancer treatment.

Molecular Medicine Reports

Molecular Medicine Reports

Covers molecular medicine topics such as pharmacology, pathology, genetics, neuroscience, infectious diseases, molecular cardiology, and molecular surgery.

Oncology Reports

Oncology Reports

Oncology Reports is an international journal devoted to fundamental and applied research in Oncology.

Experimental and Therapeutic Medicine

Experimental and Therapeutic Medicine

Experimental and Therapeutic Medicine is an international journal devoted to laboratory and clinical medicine.

Oncology Letters

Oncology Letters

Oncology Letters is an international journal devoted to Experimental and Clinical Oncology.

Biomedical Reports

Biomedical Reports

Explores a wide range of biological and medical fields, including pharmacology, genetics, microbiology, neuroscience, and molecular cardiology.

Molecular and Clinical Oncology

Molecular and Clinical Oncology

International journal addressing all aspects of oncology research, from tumorigenesis and oncogenes to chemotherapy and metastasis.

World Academy of Sciences Journal

World Academy of Sciences Journal

Multidisciplinary open-access journal spanning biochemistry, genetics, neuroscience, environmental health, and synthetic biology.

International Journal of Functional Nutrition

International Journal of Functional Nutrition

Open-access journal combining biochemistry, pharmacology, immunology, and genetics to advance health through functional nutrition.

International Journal of Epigenetics

International Journal of Epigenetics

Publishes open-access research on using epigenetics to advance understanding and treatment of human disease.

Medicine International

Medicine International

An International Open Access Journal Devoted to General Medicine.

Journal Cover
December-2017 Volume 16 Issue 6

Full Size Image

Sign up for eToc alerts
Recommend to Library

  • Article
  • Citations
    • Cite This Article
    • Download Citation
    • Create Citation Alert
    • Remove Citation Alert
    • Cited By
  • Similar Articles
    • Related Articles (in Spandidos Publications)
    • Similar Articles (Google Scholar)
    • Similar Articles (PubMed)
  • Download PDF
  • Download XML
  • View XML
Article Open Access

α7 nicotinic acetylcholine receptor agonist attenuates the cerebral injury in a rat model of cardiopulmonary bypass by activating the Akt/GSK3β pathway

  • Authors:
    • Yingjie Sun
    • Dandan Song
    • Mei Wang
    • Keyan Chen
    • Tiezheng Zhang
  • View Affiliations / Copyright

    Affiliations: Department of Anesthesiology, General Hospital of Shenyang Military Area Command, Shenyang, Liaoning 110016, P.R. China, Department of Laboratory Animal Science, China Medical University, Shenyang, Liaoning 110122, P.R. China
    Copyright: © Sun et al. This is an open access article distributed under the terms of Creative Commons Attribution License.
  • Pages: 7979-7986
    |
    Published online on: September 25, 2017
       https://doi.org/10.3892/mmr.2017.7600
  • Expand metrics +
Metrics: Total Views: 0 (Spandidos Publications: | PMC Statistics: )
Metrics: Total PDF Downloads: 0 (Spandidos Publications: | PMC Statistics: )
Cited By (CrossRef): 0 citations Loading Articles...

This article is mentioned in:



Abstract

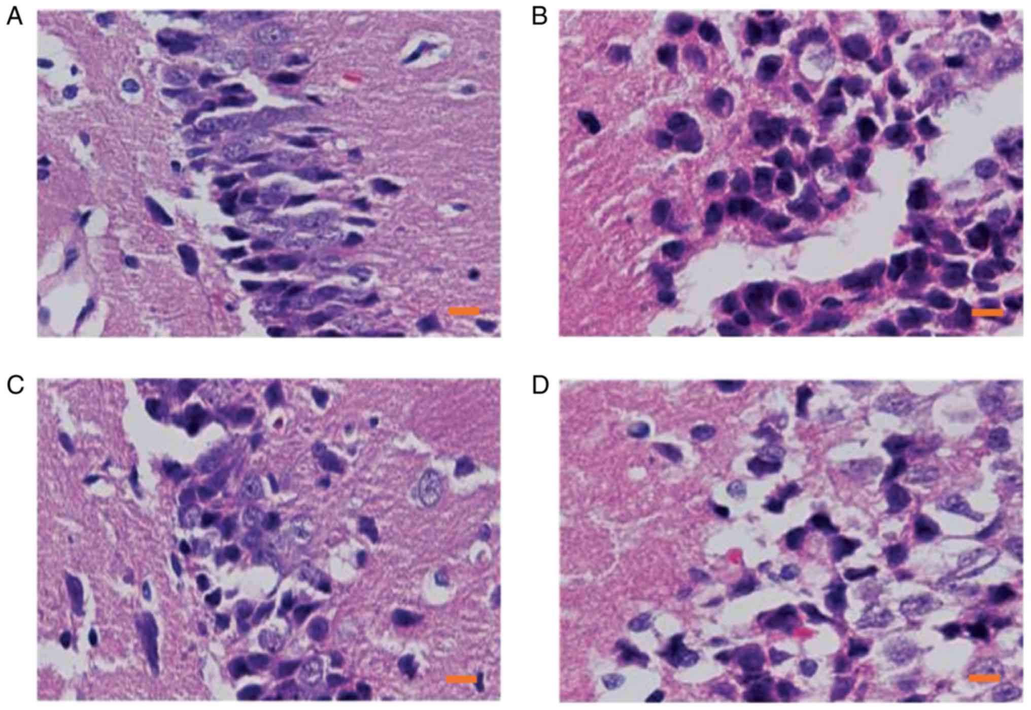
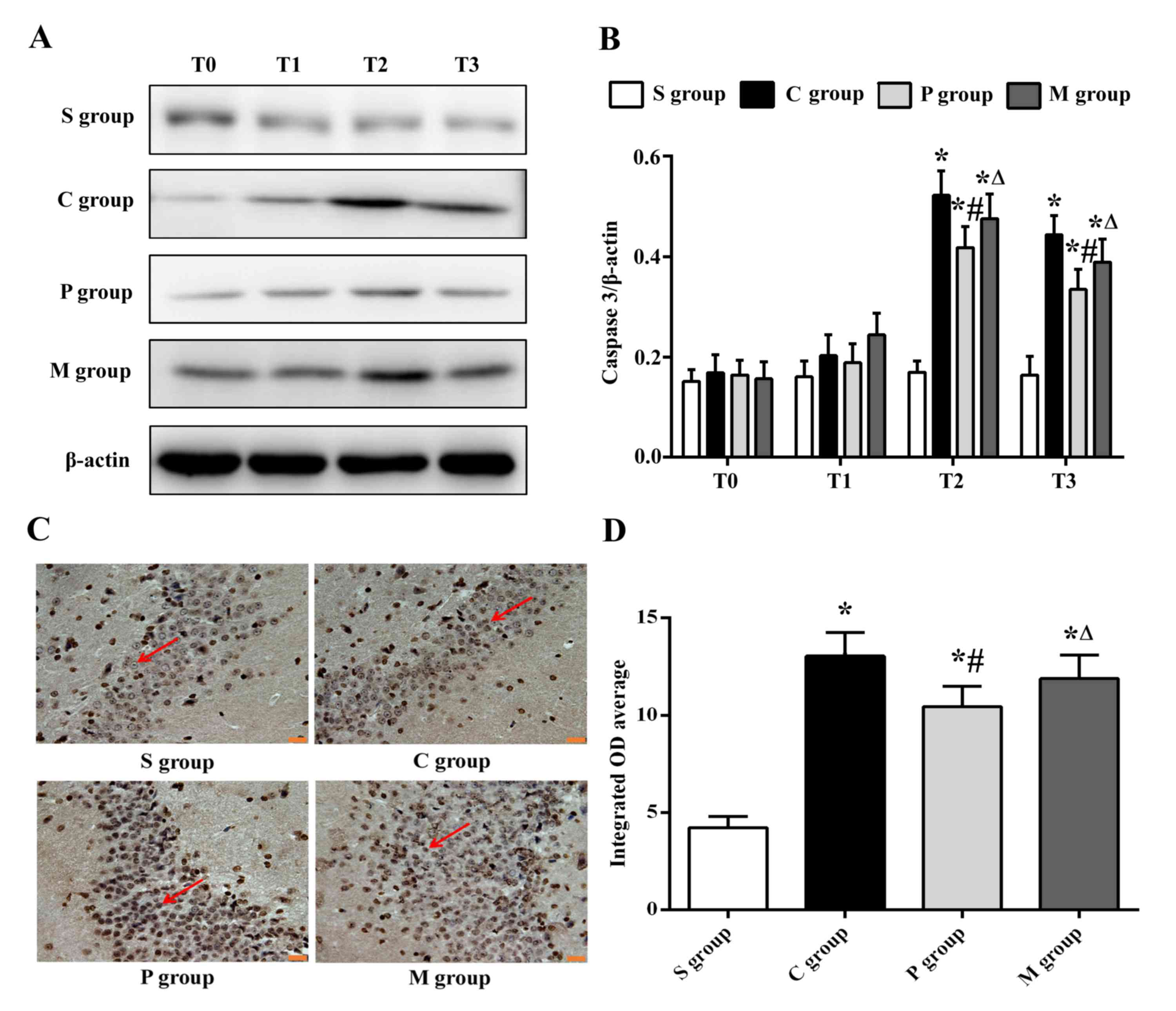
α7 nicotinic acetylcholine receptor (α7nAchR) agonist treatment may provide a promising therapeutic effect for cerebral injuries. However, it is unclear whether the activation of α7nAchR agonist may reduce cerebral injuries induced by cardiopulmonary bypass (CPB). A total of 96 male Sprague‑Dawley rats were randomly divided into four groups (n=24/group): i) Sham operation group; ii) CPB group; iii) CPB + α7nAchR agonist group; and iv) CPB + α7nAchR agonist + α7nAchR antagonist group. Following treatment, 24 rats from each group were sacrificed and the serum and hippocampal tissues were collected. The serum expression levels of S100β, interleukin 6 and tumor necrosis factor α were evaluated by ELISA, hippocampal tissues were analyzed by histopathological examination using hematoxylin & eosin and terminal deoxynucleotidyl‑transferase‑mediated dUTP nick‑end labeling (TUNEL) staining and Caspase 3 expression in the hippocampal tissues was evaluated by immunohistochemistry. In addition, Caspase 3, Akt and glycogen synthase kinase 3β (GSK3β), as well as phosphorylated (p)‑Akt and (p)‑GSK3β were examined by western blot assay. The present study demonstrated that α7nAchR agonist treatment was able to alleviate pathological damage and inhibit hippocampal cell apoptosis and inflammatory response. α7nAchR agonist treatment also increased the expression levels of p‑Akt and p‑GSK3β, which indicated an upregulation in Akt/GSK3β signaling. These data suggested that α7nAchR agonist may provide a promising new therapeutic approach for cerebral injury caused by CPB.
View Figures

Figure 1

Figure 2

Figure 3

Figure 4

Figure 5

View References

1 

Salameh A and Dhein S: Strategies for pharmacological organoprotection during extracorporeal circulation targeting ischemia-reperfusion injury. Front Pharmacol. 6:2962015. View Article : Google Scholar : PubMed/NCBI

2 

Roach GW, Kanchuger M, Mangano CM, Newman M, Nussmeier N, Wolman R, Aggarwal A, Marschall K, Graham SH and Ley C: Adverse cerebral outcomes after coronary bypass surgery. Multicenter study of perioperative ischemia research group and the ischemia research and education foundation investigators. N Engl J Med. 335:1857–1863. 1996. View Article : Google Scholar : PubMed/NCBI

3 

van Harten AE, Scheeren TW and Absalom AR: A review of postoperative cognitive dysfunction and neuroinflammation associated with cardiac surgery and anaesthesia. Anaesthesia. 67:280–293. 2012. View Article : Google Scholar : PubMed/NCBI

4 

Cao HJ, Sun YJ, Zhang TZ, Zhou J and Diao YG: Penehyclidine hydrochloride attenuates the cerebral injury in a rat model of cardiopulmonary bypass. Can J Physiol Pharmacol. 91:521–527. 2013. View Article : Google Scholar : PubMed/NCBI

5 

Evora PR, Bottura C, Arcêncio L, Albuquerque AA, Evora PM and Rodrigues AJ: Key Points for curbing cardiopulmonary bypass inflammation. Acta Cir Bras. 31 Suppl 1:S45–S52. 2016. View Article : Google Scholar

6 

Ouk T, Amr G, Azzaoui R, Delassus L, Fossaert E, Tailleux A, Bordet R and Modine T: Lipid-lowering drugs prevent neurovascular and cognitive consequences of cardiopulmonary bypass. Vascul Pharmacol. 80:59–66. 2016. View Article : Google Scholar : PubMed/NCBI

7 

Zhou J, Zhou N, Wu XN, Cao HJ, Sun YJ, Zhang TZ, Chen KY and Yu DM: Role of the Toll-like receptor 3 signaling pathway in the neuroprotective effect of sevoflurane pre-conditioning during cardiopulmonary bypass in rats. Mol Med Rep. 12:7859–7868. 2015. View Article : Google Scholar : PubMed/NCBI

8 

Wang X, Xue Q, Yan F, Li L, Liu J, Li S and Hu S: Ulinastatin as a neuroprotective and anti-inflammatory agent in infant piglets model undergoing surgery on hypothermic low-flow cardiopulmonary bypass. Paediatr Anaesth. 23:209–216. 2013. View Article : Google Scholar : PubMed/NCBI

9 

Borovikova LV, Ivanova S, Zhang M, Yang H, Botchkina GI, Watkins LR, Wang H, Abumrad N, Eaton JW and Tracey KJ: Vagus nerve stimulation attenuates the systemic inflammatory response to endotoxin. Nature. 405:458–462. 2000. View Article : Google Scholar : PubMed/NCBI

10 

Ulloa L: The vagus nerve and the nicotinic anti-inflammatory pathway. Nat Rev Drug Discov. 4:673–684. 2005. View Article : Google Scholar : PubMed/NCBI

11 

Liu JS, Wei XD, Lu ZB, Xie P, Zhou HL, Chen YY, Ma JM and Yu LZ: Liang-Ge-San, a classic traditional Chinese medicine formula, protects against lipopolysaccharide-induced inflammation through cholinergic anti-inflammatory pathway. Oncotarget. 7:21222–21234. 2016. View Article : Google Scholar : PubMed/NCBI

12 

Cheng Z, Li-Sha G, Jing-Lin Z, Wen-Wu Z, Xue-Si C, Xing-Xing C and Yue-Chun L: Protective role of the cholinergic anti-inflammatory pathway in a mouse model of viral myocarditis. PLoS One. 9:e1127192014. View Article : Google Scholar : PubMed/NCBI

13 

Koopman FA, Vosters JL, Roescher N, Broekstra N, Tak PP and Vervoordeldonk MJ: Cholinergic anti-inflammatory pathway in the non-obese diabetic mouse model. Oral Dis. 21:858–865. 2015. View Article : Google Scholar : PubMed/NCBI

14 

Jiang Y, Li L, Liu B, Zhang Y, Chen Q and Li C: Vagus nerve stimulation attenuates cerebral ischemia and reperfusion injury via endogenous cholinergic pathway in rat. PLoS One. 9:e1023422014. View Article : Google Scholar : PubMed/NCBI

15 

Terrando N, Yang T, Ryu JK, Newton PT, Monaco C, Feldmann M, Ma D, Akassoglou K and Maze M: Stimulation of the α7 nicotinic acetylcholine receptor protects against neuroinflammation after tibia fracture and endotoxemia in mice. Mol Med. 20:667–675. 2015.PubMed/NCBI

16 

Han Z, Shen F, He Y, Degos V, Camus M, Maze M, Young WL and Su H: Activation of α-7 nicotinic acetylcholine receptor reduces ischemic stroke injury through reduction of pro-inflammatory macrophages and oxidative stress. PLoS One. 9:e1057112014. View Article : Google Scholar : PubMed/NCBI

17 

Su X, Matthay MA and Malik AB: Requisite role of the cholinergic alpha7 nicotinic acetylcholine receptor pathway in suppressing Gram-negative sepsis-induced acute lung inflammatory injury. J Immunol. 184:401–410. 2010. View Article : Google Scholar : PubMed/NCBI

18 

Terrando N, Eriksson LI, Ryu JK, Yang T, Monaco C, Feldmann M, Fagerlund M Jonsson, Charo IF, Akassoglou K and Maze M: Resolving postoperative neuroinflammation and cognitive decline. Ann Neurol. 70:986–995. 2011. View Article : Google Scholar : PubMed/NCBI

19 

Duris K, Manaenko A, Suzuki H, Rolland WB, Krafft PR and Zhang JH: α7 nicotinic acetylcholine receptor agonist PNU-282987 attenuates early brain injury in a perforation model of subarachnoid hemorrhage in rats. Stroke. 42:3530–3536. 2011. View Article : Google Scholar : PubMed/NCBI

20 

McComb S, Mulligan R and Sad S: Caspase-3 is transiently activated without cell death during early antigen driven expansion of CD8(+) T cells in vivo. PLoS One. 5:e153282010. View Article : Google Scholar : PubMed/NCBI

21 

Wang G, Fang H, Zhen Y, Xu G, Tian J, Zhang Y, Zhang D, Zhang G, Xu J, Zhang Z, et al: Sulforaphane prevents neuronal apoptosis and memory impairment in diabetic rats. Cell Physiol Bioche. 39:901–907. 2016. View Article : Google Scholar

22 

Salazar JD, Wityk RJ, Grega MA, Borowicz LM, Doty JR, Petrofski JA and Baumgartner WA: Stroke after cardiac surgery: Short- and long-term outcomes. Ann Thorac Surg. 72:1195–1202. 2001. View Article : Google Scholar : PubMed/NCBI

23 

Vedel AG, Holmgaard F, Rasmussen LS, Paulson OB, Thomsen C, Danielsen ER, Langkilde A, Goetze JP, Lange T, Ravn HB and Nilsson JC: Perfusion Pressure Cerebral Infarct (PPCI) trial-the importance of mean arterial pressure during cardiopulmonary bypass to prevent cerebral complications after cardiac surgery: Study protocol for a randomised controlled trial. Trials. 17:2472016. View Article : Google Scholar : PubMed/NCBI

24 

Han Z, Li L, Wang L, Degos V, Maze M and Su H: Alpha-7 nicotinic acetylcholine receptor agonist treatment reduces neuroinflammation, oxidative stress, and brain injury in mice with ischemic stroke and bone fracture. J Neurochem. 131:498–508. 2014. View Article : Google Scholar : PubMed/NCBI

25 

Li YP, Huang J, Huang SG, Xu YG, Xu YY, Liao JY, Feng X, Zhang XG, Wang JH and Wang J: The compromised inflammatory response to bacterial components after pediatric cardiac surgery is associated with cardiopulmonary bypass-suppressed Toll-like receptor signal transduction pathways. J Crit Care. 29:312.e7–e13. 2014. View Article : Google Scholar

26 

Yuan SM: S100 and S100β: Biomarkers of cerebral damage in cardiac surgery with or without the use of cardiopulmonary bypass. Rev Bras Cir Cardiovasc. 29:630–641. 2014.PubMed/NCBI

27 

Einav S, Shoshan Y, Ovadia H, Matot I, Hersch M and Itshayek E: Early postoperative serum S100 beta levels predict ongoing brain damage after meningioma surgery: A prospective observational study. Crit Care. 10:R1412006. View Article : Google Scholar :

28 

Zhang B, Yu JY, Liu LQ, Peng L, Chi F, Wu CH, Jong A, Wang SF, Cao H and Huang SH: Alpha7 nicotinic acetylcholine receptor is required for blood-brain barrier injury-related CNS disorders caused by Cryptococcus neoformans and HIV-1 associated comorbidity factors. Bmc Infect Dis. 15:3522015. View Article : Google Scholar : PubMed/NCBI

29 

Chugani HT: Biological basis of emotions: Brain systems and brain development. Pediatrics. 102(5 Suppl E): S1225–S1229. 1998.

30 

Zhu YM, Wang CC, Chen L, Qian LB, Ma LL, Yu J, Zhu MH, Wen CY, Yu LN and Yan M: Both PI3K/Akt and ERK1/2 pathways participate in the protection by dexmedetomidine against transient focal cerebral ischemia/reperfusion injury in rats. Brain Res. 1494:1–8. 2013. View Article : Google Scholar : PubMed/NCBI

31 

Zhang HY, Zhang X, Wang ZG, Shi HX, Wu FZ, Lin BB, Xu XL, Wang XJ, Fu XB, Li ZY, et al: Exogenous basic fibroblast growth factor inhibits ER stress-induced apoptosis and improves recovery from spinal cord injury. CNS Neurosci Ther. 19:20–29. 2013. View Article : Google Scholar : PubMed/NCBI

32 

Krafft PR, Altay O, Rolland WB, Duris K, Lekic T, Tang J and Zhang JH: α7 nicotinic acetylcholine receptor agonism confers neuroprotection through GSK-3β inhibition in a mouse model of intracerebral hemorrhage. Stroke. 43:844–850. 2012. View Article : Google Scholar : PubMed/NCBI

33 

Dong M, Hu N, Hua Y, Xu X, Kandadi MR, Guo R, Jiang S, Nair S, Hu D and Ren J: Chronic Akt activation attenuated lipopolysaccharide-induced cardiac dysfunction via Akt/GSK3β-dependent inhibition of apoptosis and ER stress. Biochim Biophys Acta. 1832:848–863. 2013. View Article : Google Scholar : PubMed/NCBI

34 

Pan JJ, Chang QS, Wang X, Son YO, Liu J, Zhang Z, Bi YY and Shi X: Activation of Akt/GSK3β and Akt/Bcl-2 signaling pathways in nickel-transformed BEAS-2B cells. Int J Oncol. 39:1285–1294. 2011.PubMed/NCBI

35 

Hong Y, Shao A, Wang J, Chen S, Wu H, McBride DW, Wu Q, Sun X and Zhang J: Neuroprotective effect of hydrogen-rich saline against neurologic damage and apoptosis in early brain injury following subarachnoid hemorrhage: Possible role of the Akt/GSK3β signaling pathway. PLoS One. 9:e962122014. View Article : Google Scholar : PubMed/NCBI

Related Articles

  • Abstract
  • View
  • Download
  • Twitter
Copy and paste a formatted citation
Spandidos Publications style
Sun Y, Song D, Wang M, Chen K and Zhang T: α7 nicotinic acetylcholine receptor agonist attenuates the cerebral injury in a rat model of cardiopulmonary bypass by activating the Akt/GSK3β pathway. Mol Med Rep 16: 7979-7986, 2017.
APA
Sun, Y., Song, D., Wang, M., Chen, K., & Zhang, T. (2017). α7 nicotinic acetylcholine receptor agonist attenuates the cerebral injury in a rat model of cardiopulmonary bypass by activating the Akt/GSK3β pathway. Molecular Medicine Reports, 16, 7979-7986. https://doi.org/10.3892/mmr.2017.7600
MLA
Sun, Y., Song, D., Wang, M., Chen, K., Zhang, T."α7 nicotinic acetylcholine receptor agonist attenuates the cerebral injury in a rat model of cardiopulmonary bypass by activating the Akt/GSK3β pathway". Molecular Medicine Reports 16.6 (2017): 7979-7986.
Chicago
Sun, Y., Song, D., Wang, M., Chen, K., Zhang, T."α7 nicotinic acetylcholine receptor agonist attenuates the cerebral injury in a rat model of cardiopulmonary bypass by activating the Akt/GSK3β pathway". Molecular Medicine Reports 16, no. 6 (2017): 7979-7986. https://doi.org/10.3892/mmr.2017.7600
Copy and paste a formatted citation
x
Spandidos Publications style
Sun Y, Song D, Wang M, Chen K and Zhang T: α7 nicotinic acetylcholine receptor agonist attenuates the cerebral injury in a rat model of cardiopulmonary bypass by activating the Akt/GSK3β pathway. Mol Med Rep 16: 7979-7986, 2017.
APA
Sun, Y., Song, D., Wang, M., Chen, K., & Zhang, T. (2017). α7 nicotinic acetylcholine receptor agonist attenuates the cerebral injury in a rat model of cardiopulmonary bypass by activating the Akt/GSK3β pathway. Molecular Medicine Reports, 16, 7979-7986. https://doi.org/10.3892/mmr.2017.7600
MLA
Sun, Y., Song, D., Wang, M., Chen, K., Zhang, T."α7 nicotinic acetylcholine receptor agonist attenuates the cerebral injury in a rat model of cardiopulmonary bypass by activating the Akt/GSK3β pathway". Molecular Medicine Reports 16.6 (2017): 7979-7986.
Chicago
Sun, Y., Song, D., Wang, M., Chen, K., Zhang, T."α7 nicotinic acetylcholine receptor agonist attenuates the cerebral injury in a rat model of cardiopulmonary bypass by activating the Akt/GSK3β pathway". Molecular Medicine Reports 16, no. 6 (2017): 7979-7986. https://doi.org/10.3892/mmr.2017.7600
Follow us
  • Twitter
  • LinkedIn
  • Facebook
About
  • Spandidos Publications
  • Careers
  • Cookie Policy
  • Privacy Policy
How can we help?
  • Help
  • Live Chat
  • Contact
  • Email to our Support Team