Spandidos Publications Logo
  • About
    • About Spandidos
    • Aims and Scopes
    • Abstracting and Indexing
    • Editorial Policies
    • Reprints and Permissions
    • Job Opportunities
    • Terms and Conditions
    • Contact
  • Journals
    • All Journals
    • Oncology Letters
      • Oncology Letters
      • Information for Authors
      • Editorial Policies
      • Editorial Board
      • Aims and Scope
      • Abstracting and Indexing
      • Bibliographic Information
      • Archive
    • International Journal of Oncology
      • International Journal of Oncology
      • Information for Authors
      • Editorial Policies
      • Editorial Board
      • Aims and Scope
      • Abstracting and Indexing
      • Bibliographic Information
      • Archive
    • Molecular and Clinical Oncology
      • Molecular and Clinical Oncology
      • Information for Authors
      • Editorial Policies
      • Editorial Board
      • Aims and Scope
      • Abstracting and Indexing
      • Bibliographic Information
      • Archive
    • Experimental and Therapeutic Medicine
      • Experimental and Therapeutic Medicine
      • Information for Authors
      • Editorial Policies
      • Editorial Board
      • Aims and Scope
      • Abstracting and Indexing
      • Bibliographic Information
      • Archive
    • International Journal of Molecular Medicine
      • International Journal of Molecular Medicine
      • Information for Authors
      • Editorial Policies
      • Editorial Board
      • Aims and Scope
      • Abstracting and Indexing
      • Bibliographic Information
      • Archive
    • Biomedical Reports
      • Biomedical Reports
      • Information for Authors
      • Editorial Policies
      • Editorial Board
      • Aims and Scope
      • Abstracting and Indexing
      • Bibliographic Information
      • Archive
    • Oncology Reports
      • Oncology Reports
      • Information for Authors
      • Editorial Policies
      • Editorial Board
      • Aims and Scope
      • Abstracting and Indexing
      • Bibliographic Information
      • Archive
    • Molecular Medicine Reports
      • Molecular Medicine Reports
      • Information for Authors
      • Editorial Policies
      • Editorial Board
      • Aims and Scope
      • Abstracting and Indexing
      • Bibliographic Information
      • Archive
    • World Academy of Sciences Journal
      • World Academy of Sciences Journal
      • Information for Authors
      • Editorial Policies
      • Editorial Board
      • Aims and Scope
      • Abstracting and Indexing
      • Bibliographic Information
      • Archive
    • International Journal of Functional Nutrition
      • International Journal of Functional Nutrition
      • Information for Authors
      • Editorial Policies
      • Editorial Board
      • Aims and Scope
      • Abstracting and Indexing
      • Bibliographic Information
      • Archive
    • International Journal of Epigenetics
      • International Journal of Epigenetics
      • Information for Authors
      • Editorial Policies
      • Editorial Board
      • Aims and Scope
      • Abstracting and Indexing
      • Bibliographic Information
      • Archive
    • Medicine International
      • Medicine International
      • Information for Authors
      • Editorial Policies
      • Editorial Board
      • Aims and Scope
      • Abstracting and Indexing
      • Bibliographic Information
      • Archive
  • Articles
  • Information
    • Information for Authors
    • Information for Reviewers
    • Information for Librarians
    • Information for Advertisers
    • Conferences
  • Language Editing
Spandidos Publications Logo
  • About
    • About Spandidos
    • Aims and Scopes
    • Abstracting and Indexing
    • Editorial Policies
    • Reprints and Permissions
    • Job Opportunities
    • Terms and Conditions
    • Contact
  • Journals
    • All Journals
    • Biomedical Reports
      • Information for Authors
      • Editorial Policies
      • Editorial Board
      • Aims and Scope
      • Abstracting and Indexing
      • Bibliographic Information
      • Archive
    • Experimental and Therapeutic Medicine
      • Information for Authors
      • Editorial Policies
      • Editorial Board
      • Aims and Scope
      • Abstracting and Indexing
      • Bibliographic Information
      • Archive
    • International Journal of Epigenetics
      • Information for Authors
      • Editorial Policies
      • Editorial Board
      • Aims and Scope
      • Abstracting and Indexing
      • Bibliographic Information
      • Archive
    • International Journal of Functional Nutrition
      • Information for Authors
      • Editorial Policies
      • Editorial Board
      • Aims and Scope
      • Abstracting and Indexing
      • Bibliographic Information
      • Archive
    • International Journal of Molecular Medicine
      • Information for Authors
      • Editorial Policies
      • Editorial Board
      • Aims and Scope
      • Abstracting and Indexing
      • Bibliographic Information
      • Archive
    • International Journal of Oncology
      • Information for Authors
      • Editorial Policies
      • Editorial Board
      • Aims and Scope
      • Abstracting and Indexing
      • Bibliographic Information
      • Archive
    • Medicine International
      • Information for Authors
      • Editorial Policies
      • Editorial Board
      • Aims and Scope
      • Abstracting and Indexing
      • Bibliographic Information
      • Archive
    • Molecular and Clinical Oncology
      • Information for Authors
      • Editorial Policies
      • Editorial Board
      • Aims and Scope
      • Abstracting and Indexing
      • Bibliographic Information
      • Archive
    • Molecular Medicine Reports
      • Information for Authors
      • Editorial Policies
      • Editorial Board
      • Aims and Scope
      • Abstracting and Indexing
      • Bibliographic Information
      • Archive
    • Oncology Letters
      • Information for Authors
      • Editorial Policies
      • Editorial Board
      • Aims and Scope
      • Abstracting and Indexing
      • Bibliographic Information
      • Archive
    • Oncology Reports
      • Information for Authors
      • Editorial Policies
      • Editorial Board
      • Aims and Scope
      • Abstracting and Indexing
      • Bibliographic Information
      • Archive
    • World Academy of Sciences Journal
      • Information for Authors
      • Editorial Policies
      • Editorial Board
      • Aims and Scope
      • Abstracting and Indexing
      • Bibliographic Information
      • Archive
  • Articles
  • Information
    • For Authors
    • For Reviewers
    • For Librarians
    • For Advertisers
    • Conferences
  • Language Editing
Login Register Submit
  • This site uses cookies
  • You can change your cookie settings at any time by following the instructions in our Cookie Policy. To find out more, you may read our Privacy Policy.

    I agree
Search articles by DOI, keyword, author or affiliation
Search
Advanced Search
presentation
Molecular Medicine Reports
Join Editorial Board Propose a Special Issue
Print ISSN: 1791-2997 Online ISSN: 1791-3004
Journal Cover
December-2017 Volume 16 Issue 6

Full Size Image

Sign up for eToc alerts
Recommend to Library

Journals

International Journal of Molecular Medicine

International Journal of Molecular Medicine

International Journal of Molecular Medicine is an international journal devoted to molecular mechanisms of human disease.

International Journal of Oncology

International Journal of Oncology

International Journal of Oncology is an international journal devoted to oncology research and cancer treatment.

Molecular Medicine Reports

Molecular Medicine Reports

Covers molecular medicine topics such as pharmacology, pathology, genetics, neuroscience, infectious diseases, molecular cardiology, and molecular surgery.

Oncology Reports

Oncology Reports

Oncology Reports is an international journal devoted to fundamental and applied research in Oncology.

Experimental and Therapeutic Medicine

Experimental and Therapeutic Medicine

Experimental and Therapeutic Medicine is an international journal devoted to laboratory and clinical medicine.

Oncology Letters

Oncology Letters

Oncology Letters is an international journal devoted to Experimental and Clinical Oncology.

Biomedical Reports

Biomedical Reports

Explores a wide range of biological and medical fields, including pharmacology, genetics, microbiology, neuroscience, and molecular cardiology.

Molecular and Clinical Oncology

Molecular and Clinical Oncology

International journal addressing all aspects of oncology research, from tumorigenesis and oncogenes to chemotherapy and metastasis.

World Academy of Sciences Journal

World Academy of Sciences Journal

Multidisciplinary open-access journal spanning biochemistry, genetics, neuroscience, environmental health, and synthetic biology.

International Journal of Functional Nutrition

International Journal of Functional Nutrition

Open-access journal combining biochemistry, pharmacology, immunology, and genetics to advance health through functional nutrition.

International Journal of Epigenetics

International Journal of Epigenetics

Publishes open-access research on using epigenetics to advance understanding and treatment of human disease.

Medicine International

Medicine International

An International Open Access Journal Devoted to General Medicine.

Journal Cover
December-2017 Volume 16 Issue 6

Full Size Image

Sign up for eToc alerts
Recommend to Library

  • Article
  • Citations
    • Cite This Article
    • Download Citation
    • Create Citation Alert
    • Remove Citation Alert
    • Cited By
  • Similar Articles
    • Related Articles (in Spandidos Publications)
    • Similar Articles (Google Scholar)
    • Similar Articles (PubMed)
  • Download PDF
  • Download XML
  • View XML
Article Open Access

Amygdalin ameliorates the progression of atherosclerosis in LDL receptor‑deficient mice

  • Authors:
    • Jianzhen Lv
    • Wen Xiong
    • Tiantian Lei
    • Hailian Wang
    • Minghan Sun
    • Erwei Hao
    • Zhiping Wang
    • Xiaoqi Huang
    • Shaoping Deng
    • Jiagang Deng
    • Yi Wang
  • View Affiliations / Copyright

    Affiliations: Guangxi Key Laboratory of Efficacy Study on Chinese Materia Medica, Guangxi University of Chinese Medicine, Nanning, Guangxi 530200, P.R. China, Department of Ultrasound, Sichuan Academy of Medical Science and Sichuan Provincial People's Hospital, Chengdu, Sichuan 610072, P.R. China, Department of Pharmacy, Medical School of University of Electronic Science and Technology of China, Chengdu, Sichuan 610054, P.R. China, Institute of Organ Transplantation, Sichuan Academy of Medical Science and Sichuan Provincial People's Hospital, Chengdu, Sichuan 610072, P.R. China, Department of Gynecology, Sichuan Academy of Medical Science and Sichuan Provincial People's Hospital, Chengdu, Sichuan 610072, P.R. China, Affiliated Hospital of Guangxi Traditional Chinese Medical University, Nanning, Guangxi 530001, P.R. China, Department of Pharmacy, Sichuan Academy of Medical Science and Sichuan Provincial People's Hospital, Chengdu, Sichuan 610072, P.R. China
    Copyright: © Lv et al. This is an open access article distributed under the terms of Creative Commons Attribution License.
  • Pages: 8171-8179
    |
    Published online on: September 25, 2017
       https://doi.org/10.3892/mmr.2017.7609
  • Expand metrics +
Metrics: Total Views: 0 (Spandidos Publications: | PMC Statistics: )
Metrics: Total PDF Downloads: 0 (Spandidos Publications: | PMC Statistics: )
Cited By (CrossRef): 0 citations Loading Articles...

This article is mentioned in:



Abstract

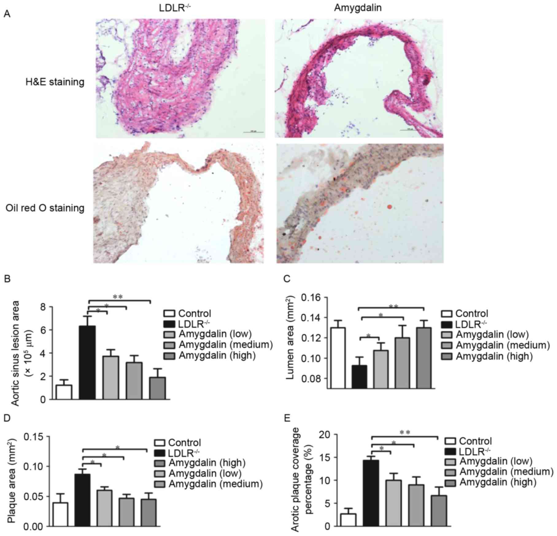
Previous studies have demonstrated that regulatory T cells (Tregs) are pivotal in the regulation of T cell‑mediated immune responses in atherosclerosis, a chronic autoimmune‑like disease. In the authors' previous studies, it was demonstrated that amygdalin ameliorated atherosclerosis by the regulation of Tregs in apolipoprotein E‑deficient (ApoE‑/‑) mice. Therefore, the aim of the present study was to investigate the therapeutic effect of amygdalin on low‑density lipoprotein (LDL) receptor deficient (LDLR‑/‑) mice, and to examine its immune regulatory function by the stimulation of Tregs. To establish an atherosclerosis mouse model, the LDLR‑/‑ mice were fed a high fat and high cholesterol diet then the total plasma cholesterol, triglyceride, LDL and chemokines levels were measured by an ELISA. Following sacrificing the mice, the upper sections of the aorta were stained by hematoxylin and eosin, and Oil red O to assess the plaque area. Then western blotting and reverse transcription polymerase chain reactions were performed to analysis the expression levels of cluster of differentiation 68, monocyte chemoattractant protein‑1, matrix metalloproteinase (MMP)‑2, MMP‑9 and forkhead box P3 (Foxp3). To further confirm the activation of FOXP3 by amygdalin, lentiviruses carrying Foxp3 shRNA were injected into the mice, and the serum cytokines levels were measured by ELISA. Following feeding of the mice with a high‑fat/high‑cholesterol diet, the LDLR‑/‑ mice demonstrated comparatively higher levels of triglyceride, total cholesterol and LDL, compared with levels in the amygdalin‑treated mice. By comparing the vessel area, lumen area, plaque area, and percentage aortic plaque coverage, the effects of amygdalin on pre‑existing lesions were assessed. In addition, the levels of CD68, monocyte chemoattractant protein‑1, MMP‑2 and MMP‑9 were analyzed, and analysis of the expression of interleukin (IL)‑1β, IL‑6 and tumor necrosis factor (TNF)‑α indicated that the mice treated with amygdalin had decreased expression of pro‑inflammatory cytokines. The mRNA and protein levels of Foxp3 were also quantified, and the mice treated with amygdalin demonstrated an increased number of Tregs. The knockdown of Foxp3mRNA resulted in the increased secretion of IL‑1β, IL‑6 and TNF‑α. Therefore, the data indicated that amygdalin regulated the formation of atherosclerosis and stabilized the plaque by suppressing inflammatory responses and promoting the immune‑modulation function of Tregs. Taken together, the results demonstrated the therapeutic effect of amygdalin on atherosclerosis.
View Figures

Figure 1

Figure 2

Figure 3

Figure 4

Figure 5

View References

1 

Glass CK and Witztum JL: Atherosclerosis. The road ahead. Cell. 104:503–516. 2001. View Article : Google Scholar : PubMed/NCBI

2 

Hansson GK: Inflammation, atherosclerosis, and coronary artery disease. N Engl J Med. 352:1685–1695. 2005. View Article : Google Scholar : PubMed/NCBI

3 

Ross R and Harker L: Hyperlipidemia and atherosclerosis. Science. 193:1094–1100. 1976. View Article : Google Scholar : PubMed/NCBI

4 

Tell GS, Crouse JR and Furberg CD: Relation between blood lipids, lipoproteins, and cerebrovascular atherosclerosis. A review. Stroke. 19:423–430. 1988. View Article : Google Scholar : PubMed/NCBI

5 

Napoli C, D'Armiento FP, Mancini FP, Postiglione A, Witztum JL, Palumbo G and Palinski W: Fatty streak formation occurs in human fetal aortas and is greatly enhanced by maternal hypercholesterolemia. Intimal accumulation of low density lipoprotein and its oxidation precede monocyte recruitment into early atherosclerotic lesions. J Clin Invest. 100:2680–2690. 1997. View Article : Google Scholar : PubMed/NCBI

6 

Ross R: Atherosclerosis-an inflammatory disease. N Engl J Med. 340:115–126. 1999. View Article : Google Scholar : PubMed/NCBI

7 

Tedgui A and Mallat Z: Cytokines in atherosclerosis: Pathogenic and regulatory pathways. Physiol Rev. 86:515–581. 2006. View Article : Google Scholar : PubMed/NCBI

8 

Binder CJ, Chang MK, Shaw PX, Miller YI, Hartvigsen K, Dewan A and Witztum JL: Innate and acquired immunity in atherogenesis. Nat Med. 8:1218–1226. 2002. View Article : Google Scholar : PubMed/NCBI

9 

Whitman SC, Ravisankar P, Elam H and Daugherty A: Exogenous interferon-gamma enhances atherosclerosis in apolipoprotein E-/- mice. Am J Pathol. 157:1819–1824. 2000. View Article : Google Scholar : PubMed/NCBI

10 

Frostegård J, Ulfgren AK, Nyberg P, Hedin U, Swedenborg J, Andersson U and Hansson GK: Cytokine expression in advanced human atherosclerotic plaques: Dominance of pro-inflammatory (Th1) and macrophage-stimulating cytokines. Atherosclerosis. 145:33–43. 1999. View Article : Google Scholar : PubMed/NCBI

11 

Mallat Z, Gojova A, Brun V, Esposito B, Fournier N, Cottrez F, Tedgui A and Groux H: Induction of a regulatory T cell type 1 response reduces the development of atherosclerosis in apolipoprotein E-knockout mice. Circulation. 108:1232–1237. 2003. View Article : Google Scholar : PubMed/NCBI

12 

Jiagang D, Li C, Wang H, Hao E, Du Z, Bao C, Lv J and Wang Y: Amygdalin mediates relieved atherosclerosis in apolipoprotein E deficient mice through the induction of regulatory T cells. Biochem Biophys Res Commun. 411:523–529. 2011. View Article : Google Scholar : PubMed/NCBI

13 

Sluijter JP, Pulskens WP, Schoneveld AH, Velema E, Strijder CF, Moll F, de Vries JP, Verheijen J, Hanemaaijer R, de Kleijn DP and Pasterkamp G: Matrix metalloproteinase 2 is associated with stable and matrix metalloproteinases 8 and 9 with vulnerable carotid atherosclerotic lesions: A study in human endarterectomy specimen pointing to a role for different extracellular matrix metalloproteinase inducer glycosylation forms. Stroke. 37:235–239. 2006. View Article : Google Scholar : PubMed/NCBI

14 

George J, Harats D, Gilburd B, Afek A, Shaish A, Kopolovic J and Shoenfeld Y: Adoptive transfer of beta(2)-glycoprotein I-reactive lymphocytes enhances early atherosclerosis in LDL receptor-deficient mice. Circulation. 102:1822–1827. 2000. View Article : Google Scholar : PubMed/NCBI

15 

George J, Afek A, Gilburd B, Shoenfeld Y and Harats D: Cellular and humoral immune responses to heat shock protein 65 are both involved in promoting fatty-streak formation in LDL-receptor deficient mice. J Am Coll Cardiol. 38:900–905. 2001. View Article : Google Scholar : PubMed/NCBI

16 

Cobbold SP, Castejon R, Adams E, Zelenika D, Graca L, Humm S and Waldmann H: Induction of Foxp3+ regulatory T cells in the periphery of T cell receptor transgenic mice tolerized to transplants. J Immunol. 172:6003–6010. 2004. View Article : Google Scholar : PubMed/NCBI

17 

Yang L, Chu Y, Wang Y, Zhao X, Xu W, Zhang P, Liu X, Dong S, He W and Gao C: siRNA-mediated silencing of Wnt5a regulates inflammatory responses in atherosclerosis through the MAPK/NF-kB pathways. Int J Mol Med. 34:1147–1152. 2014. View Article : Google Scholar : PubMed/NCBI

18 

Huang G, Lv J, Li T, Huai G, Li X, Xiang S, Wang L, Qin Z, Pang J, Zou B and Wang Y: Notoginsenoside R1 ameliorates podocyte injury in rats with diabetic nephropathy by activating the PI3K/Akt signaling pathway. Int J Mol Med. 38:1179–1189. 2016. View Article : Google Scholar : PubMed/NCBI

19 

Brattelid T, Winer LH, Levy FO, Liestøl K, Sejersted OM and Andersson KB: Reference gene alternatives to Gapdh in rodent and human heart failure gene expression studies. BMC Mol Biol. 11:222010. View Article : Google Scholar : PubMed/NCBI

20 

Tsai BY, Suen JL and Chiang BL: Lentiviral-mediated Foxp3 RNAi suppresses tumor growth of regulatory T cell-like leukemia in a murine tumor model. Gene Ther. 17:972–979. 2010. View Article : Google Scholar : PubMed/NCBI

21 

Ziegler SF: FOXP3: Of mice and men. Annu Rev Immunol. 24:209–226. 2006. View Article : Google Scholar : PubMed/NCBI

22 

van Puijvelde GH, Hauer AD, de Vos P, van den Heuvel R, van Herwijnen MJ, Van der Zee R, van Eden W, van Berkel TJ and Kuiper J: Induction of oral tolerance to oxidized low-density lipoprotein ameliorates atherosclerosis. Circulation. 114:1968–1976. 2006. View Article : Google Scholar : PubMed/NCBI

23 

Skoog T, Dichtl W, Boquist S, Skoglund-Andersson C, Karpe F, Tang R, Bond MG, de Faire U, Nilsson J, Eriksson P and Hamsten A: Plasma tumour necrosis factor-alpha and early carotid atherosclerosis in healthy middle-aged men. Eur Heart J. 23:376–383. 2002. View Article : Google Scholar : PubMed/NCBI

24 

Bruunsgaard H, Skinhøj P, Pedersen AN, Schroll M and Pedersen BK: Ageing, tumour necrosis factor-alpha (TNF-alpha) and atherosclerosis. Clin Exp Immunol. 121:255–260. 2000. View Article : Google Scholar : PubMed/NCBI

25 

Ridker PM, Rifai N, Stampfer MJ and Hennekens CH: Plasma concentration of interleukin-6 and the risk of future myocardial infarction among apparently healthy men. Circulation. 101:1767–1772. 2000. View Article : Google Scholar : PubMed/NCBI

26 

Ridker PM, Rifai N, Pfeffer M, Sacks F, Lepage S and Braunwald E: Elevation of tumor necrosis factor-alpha and increased risk of recurrent coronary events after myocardial infarction. Circulation. 101:2149–2153. 2000. View Article : Google Scholar : PubMed/NCBI

27 

Huber SA, Sakkinen P, Conze D, Hardin N and Tracy R: Interleukin-6 exacerbates early atherosclerosis in mice. Arterioscler Thromb Vasc Biol. 19:2364–2367. 1999. View Article : Google Scholar : PubMed/NCBI

28 

Kirii H, Niwa T, Yamada Y, Wada H, Saito K, Iwakura Y, Asano M, Moriwaki H and Seishima M: Lack of interleukin-1beta decreases the severity of atherosclerosis in ApoE-deficient mice. Arterioscler Thromb Vasc Biol. 23:656–660. 2003. View Article : Google Scholar : PubMed/NCBI

29 

Libby P, Ridker PM and Maseri A: Inflammation and atherosclerosis. Circulation. 105:1135–1143. 2002. View Article : Google Scholar : PubMed/NCBI

30 

Zhou X, Nicoletti A, Elhage R and Hansson GK: Transfer of CD4(+) T cells aggravates atherosclerosis in immunodeficient apolipoprotein E knockout mice. Circulation. 102:2919–2922. 2000. View Article : Google Scholar : PubMed/NCBI

31 

Ochs HD, Ziegler SF and Torgerson TR: FOXP3 acts as a rheostat of the immune response. Immunol Rev. 203:156–164. 2005. View Article : Google Scholar : PubMed/NCBI

32 

Mor A, Luboshits G, Planer D, Keren G and George J: Altered status of CD4(+)CD25(+) regulatory T cells in patients with acute coronary syndromes. Eur Heart J. 27:2530–2537. 2006. View Article : Google Scholar : PubMed/NCBI

33 

Brunkow ME, Jeffery EW, Hjerrild KA, Paeper B, Clark LB, Yasayko SA, Wilkinson JE, Galas D, Ziegler SF and Ramsdell F: Disruption of a new forkhead/winged-helix protein, scurfin, results in the fatal lymphoproliferative disorder of the scurfy mouse. Nat Genet. 27:68–73. 2001. View Article : Google Scholar : PubMed/NCBI

34 

Gu L, Okada Y, Clinton SK, Gerard C, Sukhova GK, Libby P and Rollins BJ: Absence of monocyte chemoattractant protein-1 reduces atherosclerosis in low density lipoprotein receptor-deficient mice. Mol Cell. 2:275–281. 1998. View Article : Google Scholar : PubMed/NCBI

35 

Harrington JR: The role of MCP-1 in atherosclerosis. Stem Cells. 18:65–66. 2000. View Article : Google Scholar : PubMed/NCBI

36 

Pasterkamp G, Schoneveld AH, Hijnen DJ, de Kleijn DP, Teepen H, van der Wal AC and Borst C: Atherosclerotic arterial remodeling and the localization of macrophages and matrix metalloproteases 1, 2 and 9 in the human coronary artery. Atherosclerosis. 150:245–253. 2000. View Article : Google Scholar : PubMed/NCBI

37 

Gough PJ, Gomez IG, Wille PT and Raines EW: Macrophage expression of active MMP-9 induces acute plaque disruption in apoE-deficient mice. J Clin Invest. 116:59–69. 2006. View Article : Google Scholar : PubMed/NCBI

Related Articles

  • Abstract
  • View
  • Download
  • Twitter
Copy and paste a formatted citation
Spandidos Publications style
Lv J, Xiong W, Lei T, Wang H, Sun M, Hao E, Wang Z, Huang X, Deng S, Deng J, Deng J, et al: Amygdalin ameliorates the progression of atherosclerosis in LDL receptor‑deficient mice. Mol Med Rep 16: 8171-8179, 2017.
APA
Lv, J., Xiong, W., Lei, T., Wang, H., Sun, M., Hao, E. ... Wang, Y. (2017). Amygdalin ameliorates the progression of atherosclerosis in LDL receptor‑deficient mice. Molecular Medicine Reports, 16, 8171-8179. https://doi.org/10.3892/mmr.2017.7609
MLA
Lv, J., Xiong, W., Lei, T., Wang, H., Sun, M., Hao, E., Wang, Z., Huang, X., Deng, S., Deng, J., Wang, Y."Amygdalin ameliorates the progression of atherosclerosis in LDL receptor‑deficient mice". Molecular Medicine Reports 16.6 (2017): 8171-8179.
Chicago
Lv, J., Xiong, W., Lei, T., Wang, H., Sun, M., Hao, E., Wang, Z., Huang, X., Deng, S., Deng, J., Wang, Y."Amygdalin ameliorates the progression of atherosclerosis in LDL receptor‑deficient mice". Molecular Medicine Reports 16, no. 6 (2017): 8171-8179. https://doi.org/10.3892/mmr.2017.7609
Copy and paste a formatted citation
x
Spandidos Publications style
Lv J, Xiong W, Lei T, Wang H, Sun M, Hao E, Wang Z, Huang X, Deng S, Deng J, Deng J, et al: Amygdalin ameliorates the progression of atherosclerosis in LDL receptor‑deficient mice. Mol Med Rep 16: 8171-8179, 2017.
APA
Lv, J., Xiong, W., Lei, T., Wang, H., Sun, M., Hao, E. ... Wang, Y. (2017). Amygdalin ameliorates the progression of atherosclerosis in LDL receptor‑deficient mice. Molecular Medicine Reports, 16, 8171-8179. https://doi.org/10.3892/mmr.2017.7609
MLA
Lv, J., Xiong, W., Lei, T., Wang, H., Sun, M., Hao, E., Wang, Z., Huang, X., Deng, S., Deng, J., Wang, Y."Amygdalin ameliorates the progression of atherosclerosis in LDL receptor‑deficient mice". Molecular Medicine Reports 16.6 (2017): 8171-8179.
Chicago
Lv, J., Xiong, W., Lei, T., Wang, H., Sun, M., Hao, E., Wang, Z., Huang, X., Deng, S., Deng, J., Wang, Y."Amygdalin ameliorates the progression of atherosclerosis in LDL receptor‑deficient mice". Molecular Medicine Reports 16, no. 6 (2017): 8171-8179. https://doi.org/10.3892/mmr.2017.7609
Follow us
  • Twitter
  • LinkedIn
  • Facebook
About
  • Spandidos Publications
  • Careers
  • Cookie Policy
  • Privacy Policy
How can we help?
  • Help
  • Live Chat
  • Contact
  • Email to our Support Team