Spandidos Publications Logo
  • About
    • About Spandidos
    • Aims and Scopes
    • Abstracting and Indexing
    • Editorial Policies
    • Reprints and Permissions
    • Job Opportunities
    • Terms and Conditions
    • Contact
  • Journals
    • All Journals
    • Oncology Letters
      • Oncology Letters
      • Information for Authors
      • Editorial Policies
      • Editorial Board
      • Aims and Scope
      • Abstracting and Indexing
      • Bibliographic Information
      • Archive
    • International Journal of Oncology
      • International Journal of Oncology
      • Information for Authors
      • Editorial Policies
      • Editorial Board
      • Aims and Scope
      • Abstracting and Indexing
      • Bibliographic Information
      • Archive
    • Molecular and Clinical Oncology
      • Molecular and Clinical Oncology
      • Information for Authors
      • Editorial Policies
      • Editorial Board
      • Aims and Scope
      • Abstracting and Indexing
      • Bibliographic Information
      • Archive
    • Experimental and Therapeutic Medicine
      • Experimental and Therapeutic Medicine
      • Information for Authors
      • Editorial Policies
      • Editorial Board
      • Aims and Scope
      • Abstracting and Indexing
      • Bibliographic Information
      • Archive
    • International Journal of Molecular Medicine
      • International Journal of Molecular Medicine
      • Information for Authors
      • Editorial Policies
      • Editorial Board
      • Aims and Scope
      • Abstracting and Indexing
      • Bibliographic Information
      • Archive
    • Biomedical Reports
      • Biomedical Reports
      • Information for Authors
      • Editorial Policies
      • Editorial Board
      • Aims and Scope
      • Abstracting and Indexing
      • Bibliographic Information
      • Archive
    • Oncology Reports
      • Oncology Reports
      • Information for Authors
      • Editorial Policies
      • Editorial Board
      • Aims and Scope
      • Abstracting and Indexing
      • Bibliographic Information
      • Archive
    • Molecular Medicine Reports
      • Molecular Medicine Reports
      • Information for Authors
      • Editorial Policies
      • Editorial Board
      • Aims and Scope
      • Abstracting and Indexing
      • Bibliographic Information
      • Archive
    • World Academy of Sciences Journal
      • World Academy of Sciences Journal
      • Information for Authors
      • Editorial Policies
      • Editorial Board
      • Aims and Scope
      • Abstracting and Indexing
      • Bibliographic Information
      • Archive
    • International Journal of Functional Nutrition
      • International Journal of Functional Nutrition
      • Information for Authors
      • Editorial Policies
      • Editorial Board
      • Aims and Scope
      • Abstracting and Indexing
      • Bibliographic Information
      • Archive
    • International Journal of Epigenetics
      • International Journal of Epigenetics
      • Information for Authors
      • Editorial Policies
      • Editorial Board
      • Aims and Scope
      • Abstracting and Indexing
      • Bibliographic Information
      • Archive
    • Medicine International
      • Medicine International
      • Information for Authors
      • Editorial Policies
      • Editorial Board
      • Aims and Scope
      • Abstracting and Indexing
      • Bibliographic Information
      • Archive
  • Articles
  • Information
    • Information for Authors
    • Information for Reviewers
    • Information for Librarians
    • Information for Advertisers
    • Conferences
  • Language Editing
Spandidos Publications Logo
  • About
    • About Spandidos
    • Aims and Scopes
    • Abstracting and Indexing
    • Editorial Policies
    • Reprints and Permissions
    • Job Opportunities
    • Terms and Conditions
    • Contact
  • Journals
    • All Journals
    • Biomedical Reports
      • Information for Authors
      • Editorial Policies
      • Editorial Board
      • Aims and Scope
      • Abstracting and Indexing
      • Bibliographic Information
      • Archive
    • Experimental and Therapeutic Medicine
      • Information for Authors
      • Editorial Policies
      • Editorial Board
      • Aims and Scope
      • Abstracting and Indexing
      • Bibliographic Information
      • Archive
    • International Journal of Epigenetics
      • Information for Authors
      • Editorial Policies
      • Editorial Board
      • Aims and Scope
      • Abstracting and Indexing
      • Bibliographic Information
      • Archive
    • International Journal of Functional Nutrition
      • Information for Authors
      • Editorial Policies
      • Editorial Board
      • Aims and Scope
      • Abstracting and Indexing
      • Bibliographic Information
      • Archive
    • International Journal of Molecular Medicine
      • Information for Authors
      • Editorial Policies
      • Editorial Board
      • Aims and Scope
      • Abstracting and Indexing
      • Bibliographic Information
      • Archive
    • International Journal of Oncology
      • Information for Authors
      • Editorial Policies
      • Editorial Board
      • Aims and Scope
      • Abstracting and Indexing
      • Bibliographic Information
      • Archive
    • Medicine International
      • Information for Authors
      • Editorial Policies
      • Editorial Board
      • Aims and Scope
      • Abstracting and Indexing
      • Bibliographic Information
      • Archive
    • Molecular and Clinical Oncology
      • Information for Authors
      • Editorial Policies
      • Editorial Board
      • Aims and Scope
      • Abstracting and Indexing
      • Bibliographic Information
      • Archive
    • Molecular Medicine Reports
      • Information for Authors
      • Editorial Policies
      • Editorial Board
      • Aims and Scope
      • Abstracting and Indexing
      • Bibliographic Information
      • Archive
    • Oncology Letters
      • Information for Authors
      • Editorial Policies
      • Editorial Board
      • Aims and Scope
      • Abstracting and Indexing
      • Bibliographic Information
      • Archive
    • Oncology Reports
      • Information for Authors
      • Editorial Policies
      • Editorial Board
      • Aims and Scope
      • Abstracting and Indexing
      • Bibliographic Information
      • Archive
    • World Academy of Sciences Journal
      • Information for Authors
      • Editorial Policies
      • Editorial Board
      • Aims and Scope
      • Abstracting and Indexing
      • Bibliographic Information
      • Archive
  • Articles
  • Information
    • For Authors
    • For Reviewers
    • For Librarians
    • For Advertisers
    • Conferences
  • Language Editing
Login Register Submit
  • This site uses cookies
  • You can change your cookie settings at any time by following the instructions in our Cookie Policy. To find out more, you may read our Privacy Policy.

    I agree
Search articles by DOI, keyword, author or affiliation
Search
Advanced Search
presentation
Molecular Medicine Reports
Join Editorial Board Propose a Special Issue
Print ISSN: 1791-2997 Online ISSN: 1791-3004
Journal Cover
January-2018 Volume 17 Issue 1

Full Size Image

Sign up for eToc alerts
Recommend to Library

Journals

International Journal of Molecular Medicine

International Journal of Molecular Medicine

International Journal of Molecular Medicine is an international journal devoted to molecular mechanisms of human disease.

International Journal of Oncology

International Journal of Oncology

International Journal of Oncology is an international journal devoted to oncology research and cancer treatment.

Molecular Medicine Reports

Molecular Medicine Reports

Covers molecular medicine topics such as pharmacology, pathology, genetics, neuroscience, infectious diseases, molecular cardiology, and molecular surgery.

Oncology Reports

Oncology Reports

Oncology Reports is an international journal devoted to fundamental and applied research in Oncology.

Experimental and Therapeutic Medicine

Experimental and Therapeutic Medicine

Experimental and Therapeutic Medicine is an international journal devoted to laboratory and clinical medicine.

Oncology Letters

Oncology Letters

Oncology Letters is an international journal devoted to Experimental and Clinical Oncology.

Biomedical Reports

Biomedical Reports

Explores a wide range of biological and medical fields, including pharmacology, genetics, microbiology, neuroscience, and molecular cardiology.

Molecular and Clinical Oncology

Molecular and Clinical Oncology

International journal addressing all aspects of oncology research, from tumorigenesis and oncogenes to chemotherapy and metastasis.

World Academy of Sciences Journal

World Academy of Sciences Journal

Multidisciplinary open-access journal spanning biochemistry, genetics, neuroscience, environmental health, and synthetic biology.

International Journal of Functional Nutrition

International Journal of Functional Nutrition

Open-access journal combining biochemistry, pharmacology, immunology, and genetics to advance health through functional nutrition.

International Journal of Epigenetics

International Journal of Epigenetics

Publishes open-access research on using epigenetics to advance understanding and treatment of human disease.

Medicine International

Medicine International

An International Open Access Journal Devoted to General Medicine.

Journal Cover
January-2018 Volume 17 Issue 1

Full Size Image

Sign up for eToc alerts
Recommend to Library

  • Article
  • Citations
    • Cite This Article
    • Download Citation
    • Create Citation Alert
    • Remove Citation Alert
    • Cited By
  • Similar Articles
    • Related Articles (in Spandidos Publications)
    • Similar Articles (Google Scholar)
    • Similar Articles (PubMed)
  • Download PDF
  • Download XML
  • View XML
Case Report

Genetic diagnosis and pathogenic analysis of an atypical hereditary spherocytosis combined with UGT1A1 partial deficiency: A case report

  • Authors:
    • Yan Yi
    • Xiqiang Dang
    • Yonggui Li
    • Chenyu Zhao
    • Haiyan Tang
    • Xiaoliu Shi
  • View Affiliations / Copyright

    Affiliations: Department of Haematology, The Second Xiangya Hospital of Central South University, Changsha, Hunan 410011, P.R. China, Department of Pediatrics, The Second Xiangya Hospital of Central South University, Changsha, Hunan 410011, P.R. China, Department of Medical Genetics, The Second Xiangya Hospital of Central South University, Changsha, Hunan 410011, P.R. China
  • Pages: 382-387
    |
    Published online on: October 25, 2017
       https://doi.org/10.3892/mmr.2017.7867
  • Expand metrics +
Metrics: Total Views: 0 (Spandidos Publications: | PMC Statistics: )
Metrics: Total PDF Downloads: 0 (Spandidos Publications: | PMC Statistics: )
Cited By (CrossRef): 0 citations Loading Articles...

This article is mentioned in:



Abstract

Patients with combined hereditary spherocytosis (HS) and uridine diphosphate glucuronosyltransferase 1A1 (UGT1A1) deficiency have been reported sporadically. A discrepancy between the level of elevated serum bilirubin concentration and the degree of anemia may suggest the possibility of a coexistence of these conditions. In the present case report, a 20‑year‑old female presented with congenital jaundice and anemia, but did not present with the discrepancy between hyperbilirubinemia and anemia in the patient's childhood, and was not previously diagnosed with either HS or UGT1A1 deficiency. During a follow‑up of >10 years, the patient's hyperbilirubinemia accumulated progressively, whereas the patient's anemia became relatively mild. Upon further genetic analysis, it was determined that the patient had HS combined with UGT1A1 partial deficiency. Next generation sequencing combined with direct sequencing was used to identify a novel heterozygous mutation (c.G828T; p.Y276X) in the spectrin β gene, which is causative for HS. Sequence analysis of the patients' UGT1A1 gene revealed a compound heterozygote with c.G211A (p.G71R) and T3279G mutations, which reduced UGT1A1 activity to 30‑60% of the normal level. Genetic analysis was crucial for determining the diagnosis and pathogenesis of this unusual case.

Introduction

Hereditary spherocytosis (HS) and uridine diphosphate glucuronosyltransferase 1A1 (UGT1A1) deficiency are common inherited conditions characterized by unconjugated hyperbilirubinemia. HS is an inherited hemolytic anemia caused by constitutional erythrocyte membrane defects, and characterized clinically by anemia with variable severity, jaundice and splenomegaly (1). Diagnosis is usually established based on the presence of spherocytes, increased erythrocyte osmotic fragility and the absence of any other cause of the hemolytic anemia (1). UGT1A1 is responsible for bilirubin glucuronidation, and reduced activity of UGT1A1 is associated with an increased level of unconjugated bilirubin (2). UGT1A1 deficiency is a common hereditary condition of bilirubin metabolism in the general population, particularly in Asian communities (2,3).

As the prevalence of HS is 1 in 2,000 (4), and that of UGT1A1 caused by G211A mutation deficiency is much higher at 13–23% in Asian newborns (2,3), diagnoses of their coexistence should not be rare; however, the number of documented cases is low (5,6). This underdiagnosis may be attributed to one condition masking another (7), or to a lack of conclusive evidence for their coexistence. In the present case report, atypical HS combined with UGT1A1 partial deficiency was diagnosed by pathogenic gene analysis. A novel c.G828T (Y276X) mutation in spectrin β (SPTB), which is causative for HS, along with compound heterozygous mutations in UGT1A1, T3279G and G211A, which are pathogenic for UGT1A1 partial deficiency, were identified. In addition, the individual pathogenesis of hyperbilirubinemia was investigated for this patient.

Materials and methods

Patient

The present study was approved by the Ethics Committee of the Second Xiangya Hospital of Central South University (Changsha, China), and written informed consent was obtained from the patient and the patient's mother. On July 12, 2016, a 20-year-old female with congenital jaundice and anemia for ~20 years was re-hospitalized to confirm the patient's condition. The proband was diagnosed with neonatal jaundice several days following birth. In 2003, when the patient was 7 years old, splenomegaly, anemia and jaundice were detected. Between 2004 and 2005, hyperplastic anemia (hemoglobin, 96 g/l; reticulocytes, 0.05), splenomegaly, elevated serum bilirubin [total bilirubin (TBIL), 36.9 µmol/l; direct bilirubin, 11.3 µmol/l] and detectable spherocytes in blood smear were identified, and HS was suspected. However, the erythrocyte osmotic fragility test, which is a crucial test for HS diagnosis, was repeatedly normal. Furthermore, the elevated serum bilirubin concentration decreased to normal level following phenobarbitone treatment, which suggested UGT1A1 deficiency, which would not contribute to hyperplastic anemia and splenomegaly. Subsequently, the patient has been interviewed regularly. Upon infection or overexertion, the patient's serum bilirubin increased significantly, mainly by unconjugated bilirubin. Notably, bilirubin levels gradually increased over time, whereas the anemia was mild. In 2013, when the patient was 17 years old, the patient's serum TBIL rose to >80 µmol/l and hemoglobin was >100 g/l. There was no history of alcoholism, hepatitis, drug ingestion or drug abuse. The proband's father had a history of cholelithiasis, and succumbed to cirrhosis in his twenties. The patient's father's brother also died early, and presented with jaundice at his death.

Clinical analysis

The proband received a detailed clinical evaluation at the Second Xiangya Hospital of Central South University. Extensive laboratory testing was performed, including complete blood count, liver functional tests, lactate dehydrogenase, vitamin B12, folate, iron studies, rheumatoid factor and anti-nuclear antibodies testing, erythrocyte osmotic fragility test, hemoglobin electrophoresis, Ham test, glucose-6-phasphate dehydrogenase activity, Coombs' direct and indirect tests, flow cytometric test using eosin-5′-maleimide (EMA) labeling of red blood cells (1,8) as well as abdominal computed tomography (CT) scans. Additionally, bone marrow and blood smears of the patients were stained by Wright-Giemsa staining for 30 min at room temperature. Then the smears were observed using a light microscope, erythrocyte morphology was evaluated, and the proportion of spherocytes was counted among 500 erythrocytes.

Genetic analysis

A total of 5 ml peripheral vein blood was drawn from the proband and the proband's mother. The genomic DNA was extracted using QIAamp DNA Blood Mini kit (cat. no. 51104; Qiagen GmbH, Hilden, Germany) according to the manufacturer's protocol, quantified using an Eppendorf BioPhotometer® D30 (Eppendorf, Hamburg, Germany) and stored at −20°C until use. Then the genomic DNA library was constructed according to the Agilent's protocol for Preparing Samples for Sequencing Genomic DNA. Using the SureSelectXT Reagent kits (cat. no. G9611B; Agilent Technologies, Inc., Santa Clara, CA, USA), 3 µg high-quality gDNA was sheared by the Bioruptor® Plus sonication device (Diagenode S.A., Seraing, Belgium) with 175 peak incident power, end-repaired at 20°C (30 min), adenylated at 37°C (30 min) and ligated with an adaptor at 20°C (15 min) using a next-generation high throughout sequencer (HiSeq 2000 v3; Illumina, Inc., San Diego, CA, USA). The DNA fragments were purified at each step with AMPure XP beads DNA Purification kit (cat. no. A63880; Beckman Coulter, Inc., Brea, CA, USA) according to the manufacturer's protocol.

The 5 known genes associated with inherited spherocytosis include ankyrin 1, SPTB, spectrin α erythrocytic 11, solute carrier family 4 member 1 and erythrocyte membrane protein band 4.2 gene. To amplify and capture the 5 known genes a costumed Agilent Comparative Genomic Hybridization Array for the exons and adjacent intron regions (50 bp) of the 5 genes and SureSelect Focused Exome kit (cat. no. 5190-7788, Agilent Technologies, Inc.) were used according to the manufacturer's protocol. The adaptor-ligated library was amplified in 25 µl reaction using 5X Herculase II Reaction Buffer (5 µl), SureSelect Primer and SureSelect ILM Indexing Pre-Capture PCR Reverse Primer (0.625 µl each), 100 mM dNTP mix (0.25 µl), Herculase II Fusion DNA Polymerase (0.5 µl) and adaptor-ligated DNA (18 µl). The thermal cycler conditions were as follows: Initial denaturation at 98°C for 2 min, 4–6 cycles of denaturation at 98°C (30 sec), annealing at 65°C (30 sec) and extension at 72°C (1 min), and final extension at 72°C (10 min).

To capture the target DNA fragments, 500 ng total library, which was concentrated by a vacuum concentrator (Concentrator Plus; Eppendorf), was hybridized with streptavidin-coated beads, at 65°C for 24 h. Then the captured gene fragments were sequenced by the next-generation high throughput sequencer. The results demonstrated that 88.61% of target bases were covered to a total depth of >20X with high quality (Q20) reads. Reads were aligned to the reference sequence University of California Santa Cruz, human genome assembly 19 (UCSC.hg19; genome.ucsc.edu/). Variants, including single-nucleotide polymorphisms (SNPs) and indels, were identified and called with the VCFtools program of the SAMTools software, version 0.1.16 (samtools.sourceforge.net/). Amino acid substitutions that affected protein function were annotated with polymorphism phenotyping v2 (PolyPhen-2; genetics.bwh.harvard.edu/pph2) and MutationTaster2 (mutationtaster.org). Pathogenicity of the variants was interpreted according to the American College of Medical Genetics (ACMG) guidelines (9).

The detected mutation in SPTB was confirmed by direct sequencing of the polymerase chain reaction (PCR) products amplified from the genomic DNA samples of the patient and her mother, which were extracted from their blood as mentioned above. Genome DNA samples were amplified in 25 µl reactions using 2X Power Taq PCR MasterMix (12.5 µl; BioTeke Corporation, Beijing, China), nuclease-free water (11 µl), 10 pmol/µl forward and reverse primers (0.5 µl each), and 100 ng/µl template (0.5 µl). The thermocycling conditions were as follows: Initial denaturation at 95°C for 3 min, 30 cycles of denaturation at 95°C (30 sec), annealing at 57°C (30 sec) and extension at 72°C (1 min), and final extension at 72°C (7 min). Primers for PCR were designed using primer3 software (primer3.ut.ee): SPTB forward, 5′-TGCTCTGTTGGTTGTCACTTG-3′ and reverse, 5′-AGCCATCAATGTTGCCAAGG-3′. PCR products were examined on 1% agarose gels containing 0.5 µg/ml ethidium bromide and were subsequently sequenced on an ABI 3730 DNA Analyzer (Applied Biosystems; Thermo Fisher Scientific, Inc., Waltham, MA, USA). Sequence comparisons and analysis were performed using Phred-Phrap-Consed version 12.0 software (phrap.org/phredphrapconsed.html). Sequencing results were compared with the reference sequence for SPTB (GenBank accession no. NM_001024858) in the UCSC database to confirm potential mutation. Then the detected mutation in SPTB (G828T) was absent in the 1,000 Genomes Project database and Exome Aggregation (10).

Amplification of the exons, the promoter region and the enhancer region [that is, the phenobarbital responsive enhancer module (PBREM)] of UGT1A1 was performed by PCR. Genome DNA samples were amplified in reactions as mentioned above. Thermocycling conditions were as follows: Initial denaturation at 95°C for 3 min, 30 cycles of denaturation at 95°C (30 sec), annealing temperatures as shown in Table I (30 sec), extension at 72°C (1 min), and final extension at 72°C (7 min). Primer sequences are listed in Table I. Amplified DNA fragments were sequenced as aforementioned. Mutations in UGT1A1 were identified by comparing the sequencing results with the reported reference sequence (GenBank accession no. NM_000463).

Table I.

Primers sequences of uridine diphosphate glucuronosyltransferase 1A1 gene.

Table I.

Primers sequences of uridine diphosphate glucuronosyltransferase 1A1 gene.

UGT1A1 exonPrimer sequence (5→3′)Amplicon size (bp)Annealing temperature (°C)
Exon 1–1F: TATAAGTAGGAGAGGGCGAACC58857
R: TCAAATTCCAGGCTGCATG
Exon 1–2F: GGCCTCCCTGGCAGAAAG61760
R: ATGCCAAAGACAGACTCAAACC
Exon 2F: AGGAACCCTTCCTCCTTTAGA40259
R: GAAGCTGGAAGTCTGGGATTAG
Exon 3F: CCTCAGAAGCCTTCACAGTTAC25559
R: ATCCAATCCGCCCAACATAC
Exon 4F: GTGTCCAGCTGTGAAACTCA32355
R: TGAATGCCATGACCAAAGTATTC
Exon 5F: CAACAGGGCAAGACTCTGTATC48960
R: CCTTATTTCCCACCCACTTCTC
PromoterF: ACAGGTTTCCATGGCGAAAG78256
R: TGTTTTGATCACACGCTGCA
PBREMF: GGTCACTCAATTCCAAGGGG59861
R: GCATCCAAGCCAGCAAGTAA

[i] PBREM, phenobarbital responsive enhancer module; UGT1A1, uridine diphosphate glucuronosyltransferase 1A1; F, forward; R, reverse; bp, base pairs.

Results

Clinical diagnosis

Physical examination revealed cutaneous and icteric sclera; spleen was palpable 4 cm below costal margin, and was firm and non-tender. TBIL was 106.2 µmol/l and direct bilirubin was 7.5 µmol/l. The complete blood count revealed hemoglobin 103 g/l, reticulocytes 0.358×1012/l, mean corpuscular volume 84.3 fl, mean corpuscular hemoglobin 30.6 pg and mean corpuscular hemoglobin concentration 363 g/l, and white blood cell and platelet counts were normal.

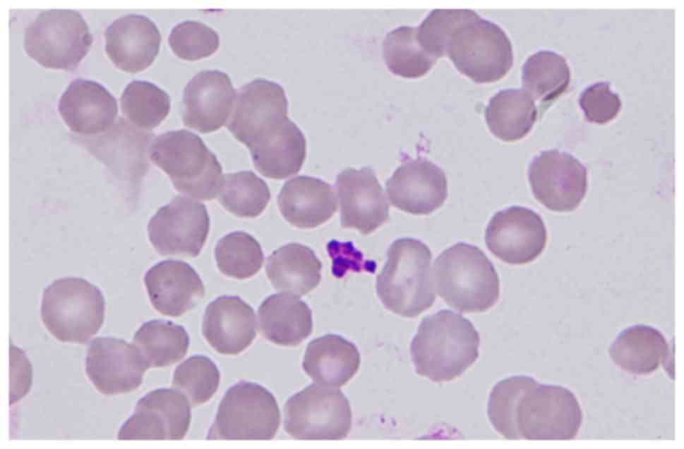
Extensive laboratory evaluation revealed normal levels of alanine aminotransferase, aspartate transaminase, lactate dehydrogenase, vitamin B12, folate, iron studies, rheumatoid factor and anti-nuclear antibodies. A series of diagnostic tests for hemolytic anemia, including erythrocyte osmotic fragility test, hemoglobin electrophoresis, Ham's test, glucose-6-phosphate dehydrogenase activity, Coombs' direct and indirect tests were normal. Bone marrow smear indicated hypercellular marrow with myeloid-to-erythroid precursor ratio of 0.4:1. Blood smear results demonstrated that spherocytes accounted for 62 out of 500 red blood cells (Fig. 1). EMA test of red blood for the diagnosis of HS was positive. An abdominal CT scan revealed splenomegaly without the combination of gallstone or cholangiectasis.

Figure 1.

Peripheral blood smear from the patient. Some red cells presented with dense, spheroidal shape using the Wright-Giemsa stain, whereas other cells retained a central concavity. Magnification, ×400.

HS was diagnosed clinically based on the presence of hyperplastic anemia, splenomegaly and spherocytes, and particularly, the positive EMA test. Although the erythrocyte osmotic fragility test was repeatedly normal, the positive EMA test supported the diagnosis of HS.

Pathogenic mutation analysis of SPTB

Sequencing analysis revealed that the proband was heterozygous for the c.G828T (p.Y276X) mutation within exon 7 of SPTB, which was not present in the mother (Fig. 2). This mutation introduced a premature stop codon at amino acid residue 276, which created a truncated protein and was predicted to be disease-causing by the analytical software used. In addition, it had not been reported previously and is a novel mutation.

Figure 2.

Nonsense mutation of c.G828T (p.Y276X) within exon 7 of the spectrin β gene. The sequencing results of (A) the patient (mutant) and (B) the patient's mother (wild-type). The red arrow indicates the mutation.

Although SPTB c.G828T may be a novel mutation, several nonsense mutations located downstream of it have been previously identified as pathogenic mutations (11,12). Therefore, combined with the patient's clinical diagnosis of HS, the c.G828T SNP was identified as a pathogenic mutation, and was probably causative for this HS development in this patient, according to the ACMG guidelines. Notably, although previously reported cases of HS that had nonsense mutations in SPTB displayed a conspicuous spherocytosis with frequently encountered dense spiculated red blood cells (11), the spherocytes of the present case had not exhibited prominent surface projections (Fig. 1).

Pathogenic mutation analysis of UGT1A1

Sequencing analysis revealed that the patient harbored the c.G211A (p.G71R) heterozygous mutation within exon 1 of UGT1A1 and the T3279G heterozygous mutation within the PBREM of UGT1A1. The heterozygous T3279G mutation was also detected in the proband's mother, whereas the G211A mutation was not (Figs. 3 and 4).

Figure 3.

Heterozygous mutation c.T3279G within the phenobarbital-responsive enhancer module of the uridine diphosphate glucuronosyltransferase 1A1 gene. Sequencing results of (A) the patient and (B) the patient's mother, suggested that the c.T3279G in the patient may have been inherited from the patient's mother. The red arrow indicates the mutation.

Figure 4.

Missense mutation of c.G211A (p.G71R) within exon 1 of the uridine diphosphate glucuronosyltransferase 1A1 gene. The sequencing results of (A) the patient (mutant) and (B) the patient's mother (wild-type). The red arrow indicates the mutation.

In a previous study, the heterozygous G211A mutation was reported to reduce UGT1A1 transferase activity to 60% of the normal level, and the homozygous G211A mutation reduced the activity to 30%, whereas the homozygous T3279G mutation reduced the activity to approximately 60% (13). Therefore, the compound heterozygous mutations may result in 30–60% activity of the normal UGT1A1 level. Based on the present results, UGT1A1 partial deficiency was diagnosed.

Discussion

HS and UGT1A1 deficiency are relatively common causes of unconjugated hyperbilirubinemia, and their coexistence may interfere with the proper diagnosis (2–4). The present study described a female Chinese patient presenting with congenital jaundice and anemia that was eventually diagnosed as having HS combined with UGT1A1 deficiency following follow-up of >10 years.

In the present case, anemia, splenomegaly, reticulocytosis, spherocytes, hypercellular bone marrow with remarkable erythroid hyperplasia and positive family history had led to the presumptive diagnosis of HS. However, the erythrocyte osmotic fragility test was repeatedly normal, and there was no cut-off value of spherocytes for the diagnosis of HS. Therefore, confirmation of the diagnosis relied on the positive EMA test and genetic analysis.

As the patient's clinical findings were not typical for both HS and UGT1A1 deficiency, the diagnoses had been pending for >10 years. Notably, the serum bilirubin levels increased over time; while the patient's anemia became milder. Then, up to puberty, the discrepancy in the severity of hyperbilirubinemia and anemia became significant, which may be related to the increased hemoglobin turnover around puberty (5). This discrepancy suggests that the patient's HS coexists with other conditions associated with unconjugated hyperbilirubinemia, especially UGT1A1 partial deficiency. Therefore, for patients with similar discrepancies (inappropriately high serum bilirubin level compared with the degree of hemolysis), the possibility of the coexistence of UGT1A1 partial deficiency and HS should be considered.

HS is normally inherited in an autosomal dominant manner, which may be induced by pathogenic mutations in ankyrin 1 on chromosome 8p11, SPTB on chromosome 14q23, spectrin α erythrocytic 1 on chromosome 1q21, solute carrier family 4 member 1 on chromosome 17q21, or erythrocyte membrane protein band 4.2 on chromosome 15q15 (14). As HS may develop from multiple pathogenic genes, genetic diagnosis was not applicable prior to the clinical application of NGS. In previously reported cases of HS combined with UGT1A1 deficiency, the diagnosis of HS was based on typical clinical findings, such as spherocytes with increased erythrocyte osmotic fragility (5,6). Thus, atypical cases with normal erythrocyte osmotic fragility may have been underdiagnosed. The present study used NGS combined with direct sequencing to identify a novel pathogenic mutation, SPTB G828T, and the diagnosis of HS was confirmed in this case study. The SPTB G828T mutation was not present in the proband's mother, and was probably inherited from the deceased father (Fig. 5).

Figure 5.

Pedigree of the case study patient's family with hereditary spherocytosis and UGT1A1 deficiency. SPTB, spectrin β; UGT1A1, uridine diphosphate glucuronosyltransferase 1A1.

UGT1A1 deficiency results from the causative mutations in UGT1A1 gene, which is located on chromosome 2q37 (15). A number mutations or SNPs of UGT1A1 that influence bilirubin glucuronidation have been identified, which may cause Crigler-Najjar syndrome, Gilbert's syndrome, neonatal hyperbilirubinemia or non-symptom based on the severity of the decrease in enzymatic activity (16,17). Therefore, genetic analysis was crucial to clarify the diagnosis and severity of UGT1A1 deficiency. In the present case report, compound heterozygous mutations (T3279G and G211A) probably led to the reduced UGT1A1 activity, to 30–60% of normal activity; patients with 30–60% UGT1A1 activity are typically asymptomatic (13), other than experiencing jaundice if not in combination with other conditions such as HS. The T3279G mutation of UGT1A1 in the proband was also detected in the mother, but the G211A mutation was not, which suggested that the patient inherited the T3279G mutation from the patient's mother and the G211A mutation from the patient's deceased father (Fig. 5). Additionally, although the proband did not develop gallstones, which is common in patients with both HS and UGT1A1 deficiency (18), the patient was considered to be at-risk for cholelithiasis and was advised to accept periodical abdominal ultrasonic examination.

In conclusion, both HS and UGT1A1 deficiency are associated with hyperbilirubinemia, and their coexistence is often underdiagnosed. The discrepancy between the level of elevated serum bilirubin and the degree of hemolysis suggested the possibility of the coexistence. However, when the clinical or laboratory findings were inconclusive, the diagnosis was questioned; thus, genetic analysis was crucial to confirm the diagnosis and to avoid underdiagnosis. Early diagnosis saves time-consuming clinical reasoning and observation. Comprehensive NGS, as a new diagnostic tool, may not only identify HS specifically and efficiently, but also may contribute to expanding the mutation spectrum of associated genes. In addition, genetic analysis combined with evaluation of UGT1A1 activity may clarify the pathogenesis of the associated hyperbilirubinemia and may explain the clinical variability, which may aid patients in making informed medical and personal decisions.

Acknowledgements

The present study was supported in part by the National Natural Sciences Foundation of China (grant no. 81100360).

References

1 

Bolton-Maggs PH, Langer JC, Iolascon A, Tittensor P and King MJ: General Haematology Task Force of the British Committee for Standards in Haematology: Guidelines for the diagnosis and management of hereditary spherocytosis-2011 update. Br J Haematol. 156:37–49. 2012. View Article : Google Scholar : PubMed/NCBI

2 

Udomuksorn W, Elliot DJ, Lewis BC, Machenzie PI, Yoovathaworn K and Miners JO: Influence of mutations associated with Gilbert and Crigler-Najjar type II syndromes on the glucuronidation kinetics of bilirubin and other UDP-glucuronosyltransferase 1A substrates. Pharmacogenet Genomics. 17:1017–1029. 2007. View Article : Google Scholar : PubMed/NCBI

3 

Akaba K, Kimura T, Sasaki A, Tanabe S, Ikegami T, Hashimoto M, Umeda H, Yoshida H, Umetsu K, Chiba H, et al: Neonatal hyperbilirubinemia and mutation of the bilirubin uridine diphosphate-glucuronosyltransferase gene: A common missense mutation among Japanese, Koreans and Chinese. Biochem Mol Biol Int. 46:21–26. 1998.PubMed/NCBI

4 

Tse WT and Lux SE: Red blood cell membrane disorders. Br J Haematol. 104:2–13. 1999. View Article : Google Scholar : PubMed/NCBI

5 

Garg PK, Kumar A, Teckchandani N and Hadke NS: Hereditary spherocytosis coexisting with Gilbert's syndrome: A diagnostic dilemma. Singapore Med J. 49:e308–e309. 2008.PubMed/NCBI

6 

Iijima S, Ohzeki T and Maruo Y: Hereditary spherocytosis coexisting with UDP-glucuronosyltransferase deficiency highly suggestive of Crigler-Najjar syndrome type II. Yonsei Med J. 52:369–372. 2011. View Article : Google Scholar : PubMed/NCBI

7 

Sharma S, Vukelja SJ and Kadakia S: Gilbert's syndrome co-existing with and masking hereditary spherocytosis. Ann Hematol. 74:287–289. 1997. View Article : Google Scholar : PubMed/NCBI

8 

Girodon F, Garçon L, Bergoin E, Largier M, Delaunay J, Fénéant-Thibault M, Maynadié M, Couillaud G, Moreira S and Cynober T: Usefulness of the eosin-5′-maleimide cytometric method as a first-line screening test for the diagnosis of hereditary spherocytosis: Comparison with ektacytometry and protein electrophoresis. Br J Haematol. 140:468–470. 2008. View Article : Google Scholar : PubMed/NCBI

9 

Richards S, Aziz N, Bale S, Bick D, Das S, Gastier-Foster J, Grody WW, Hegde M, Lyon E, Spector E, et al: Standards and guidelines for the interpretation of sequence variants: A joint consensus recommendation of the American college of medical genetics and genomics and the association for molecular pathology. Genet Med. 17:405–424. 2015. View Article : Google Scholar : PubMed/NCBI

10 

1000 Genomes Project Consortium, . Abecasis GR, Altshuler D, Auton A, Brooks LD, Durbin RM, Gibbs RA, Hurles ME and McVean GA: A map of human genome variation from population-scale sequencing. Nature. 467:1061–1073. 2010. View Article : Google Scholar : PubMed/NCBI

11 

Hassoun H, Vassiliadis JN, Murray J, Njolstad PR, Rogus JJ, Ballas SK, Schaffer F, Jarolim P, Brabec V and Palek J: Characterization of the underlying molecular defect in hereditary spherocytosis associated with spectrin deficiency. Blood. 90:398–406. 1997.PubMed/NCBI

12 

Maciag M, Płochocka D, Adamowicz-Salach A and Burzyńska B: Novel beta-spectrin mutations in hereditary spherocytosis associated with decreased levels of mRNA. Br J Haematol. 146:326–332. 2009. View Article : Google Scholar : PubMed/NCBI

13 

Sugatani J, Yamakawa K, Yoshinari K, Machida T, Takagi H, Mori M, Kakizaki S, Sueyoshi T, Negishi M and Miwa M: Identification of a defect in the UGT1A1 gene promoter and its association with hyperbilirubinemia. Biochem Biophys Res Commun. 292:492–497. 2002. View Article : Google Scholar : PubMed/NCBI

14 

Delaunay J, Alloisio N, Morle L, Baklouti F, Dalla Venezia N, Maillet P and Wilmotte R: Molecular genetics of hereditary elliptocytosis and hereditary spherocytosis. Ann Genet. 39:209–221. 1996.PubMed/NCBI

15 

van Es HH, Bout A, Liu J, Anderson L, Duncan AM, Bosma P, Oude Elferink R, Jansen PL, Chowdhury JR and Schurr E: Assignment of the human UDP glucuronosyltransferase gene (UGT1A1) to chromosome region 2q37. Cytogenet Cell Genet. 63:114–116. 1993. View Article : Google Scholar : PubMed/NCBI

16 

Yu Z, Zhu K, Wang L, Liu Y and Sun J: Association of neonatal hyperbilirubinemia with UGT1A1 gene polymorphisms: A meta-analysis. Med Sci Monit. 21:3104–3114. 2015. View Article : Google Scholar : PubMed/NCBI

17 

Yamamoto K, Sato H, Fujiyama Y, Doida Y and Bamba T: Contribution of two missense mutations (G71R and Y486D) of the bilirubin UDP glycosyltransferase (UGT1A1) gene to phenotypes of Gilbert's syndrome and Crigler-Najjar syndrome type II. Biochim Biophys Acta. 1406:267–273. 1998. View Article : Google Scholar : PubMed/NCBI

18 

del Giudice EM, Perrotta S, Nobili B, Specchia C, d'Urzo G and Iolascon A: Coinheritance of Gilbert syndrome increases the risk for developing gallstones in patients with hereditary spherocytosis. Blood. 94:2259–2262. 1999.PubMed/NCBI

Related Articles

  • Abstract
  • View
  • Download
  • Twitter
Copy and paste a formatted citation
Spandidos Publications style
Yi Y, Dang X, Li Y, Zhao C, Tang H and Shi X: Genetic diagnosis and pathogenic analysis of an atypical hereditary spherocytosis combined with UGT1A1 partial deficiency: A case report. Mol Med Rep 17: 382-387, 2018.
APA
Yi, Y., Dang, X., Li, Y., Zhao, C., Tang, H., & Shi, X. (2018). Genetic diagnosis and pathogenic analysis of an atypical hereditary spherocytosis combined with UGT1A1 partial deficiency: A case report. Molecular Medicine Reports, 17, 382-387. https://doi.org/10.3892/mmr.2017.7867
MLA
Yi, Y., Dang, X., Li, Y., Zhao, C., Tang, H., Shi, X."Genetic diagnosis and pathogenic analysis of an atypical hereditary spherocytosis combined with UGT1A1 partial deficiency: A case report". Molecular Medicine Reports 17.1 (2018): 382-387.
Chicago
Yi, Y., Dang, X., Li, Y., Zhao, C., Tang, H., Shi, X."Genetic diagnosis and pathogenic analysis of an atypical hereditary spherocytosis combined with UGT1A1 partial deficiency: A case report". Molecular Medicine Reports 17, no. 1 (2018): 382-387. https://doi.org/10.3892/mmr.2017.7867
Copy and paste a formatted citation
x
Spandidos Publications style
Yi Y, Dang X, Li Y, Zhao C, Tang H and Shi X: Genetic diagnosis and pathogenic analysis of an atypical hereditary spherocytosis combined with UGT1A1 partial deficiency: A case report. Mol Med Rep 17: 382-387, 2018.
APA
Yi, Y., Dang, X., Li, Y., Zhao, C., Tang, H., & Shi, X. (2018). Genetic diagnosis and pathogenic analysis of an atypical hereditary spherocytosis combined with UGT1A1 partial deficiency: A case report. Molecular Medicine Reports, 17, 382-387. https://doi.org/10.3892/mmr.2017.7867
MLA
Yi, Y., Dang, X., Li, Y., Zhao, C., Tang, H., Shi, X."Genetic diagnosis and pathogenic analysis of an atypical hereditary spherocytosis combined with UGT1A1 partial deficiency: A case report". Molecular Medicine Reports 17.1 (2018): 382-387.
Chicago
Yi, Y., Dang, X., Li, Y., Zhao, C., Tang, H., Shi, X."Genetic diagnosis and pathogenic analysis of an atypical hereditary spherocytosis combined with UGT1A1 partial deficiency: A case report". Molecular Medicine Reports 17, no. 1 (2018): 382-387. https://doi.org/10.3892/mmr.2017.7867
Follow us
  • Twitter
  • LinkedIn
  • Facebook
About
  • Spandidos Publications
  • Careers
  • Cookie Policy
  • Privacy Policy
How can we help?
  • Help
  • Live Chat
  • Contact
  • Email to our Support Team