Spandidos Publications Logo
  • About
    • About Spandidos
    • Aims and Scopes
    • Abstracting and Indexing
    • Editorial Policies
    • Reprints and Permissions
    • Job Opportunities
    • Terms and Conditions
    • Contact
  • Journals
    • All Journals
    • Oncology Letters
      • Oncology Letters
      • Information for Authors
      • Editorial Policies
      • Editorial Board
      • Aims and Scope
      • Abstracting and Indexing
      • Bibliographic Information
      • Archive
    • International Journal of Oncology
      • International Journal of Oncology
      • Information for Authors
      • Editorial Policies
      • Editorial Board
      • Aims and Scope
      • Abstracting and Indexing
      • Bibliographic Information
      • Archive
    • Molecular and Clinical Oncology
      • Molecular and Clinical Oncology
      • Information for Authors
      • Editorial Policies
      • Editorial Board
      • Aims and Scope
      • Abstracting and Indexing
      • Bibliographic Information
      • Archive
    • Experimental and Therapeutic Medicine
      • Experimental and Therapeutic Medicine
      • Information for Authors
      • Editorial Policies
      • Editorial Board
      • Aims and Scope
      • Abstracting and Indexing
      • Bibliographic Information
      • Archive
    • International Journal of Molecular Medicine
      • International Journal of Molecular Medicine
      • Information for Authors
      • Editorial Policies
      • Editorial Board
      • Aims and Scope
      • Abstracting and Indexing
      • Bibliographic Information
      • Archive
    • Biomedical Reports
      • Biomedical Reports
      • Information for Authors
      • Editorial Policies
      • Editorial Board
      • Aims and Scope
      • Abstracting and Indexing
      • Bibliographic Information
      • Archive
    • Oncology Reports
      • Oncology Reports
      • Information for Authors
      • Editorial Policies
      • Editorial Board
      • Aims and Scope
      • Abstracting and Indexing
      • Bibliographic Information
      • Archive
    • Molecular Medicine Reports
      • Molecular Medicine Reports
      • Information for Authors
      • Editorial Policies
      • Editorial Board
      • Aims and Scope
      • Abstracting and Indexing
      • Bibliographic Information
      • Archive
    • World Academy of Sciences Journal
      • World Academy of Sciences Journal
      • Information for Authors
      • Editorial Policies
      • Editorial Board
      • Aims and Scope
      • Abstracting and Indexing
      • Bibliographic Information
      • Archive
    • International Journal of Functional Nutrition
      • International Journal of Functional Nutrition
      • Information for Authors
      • Editorial Policies
      • Editorial Board
      • Aims and Scope
      • Abstracting and Indexing
      • Bibliographic Information
      • Archive
    • International Journal of Epigenetics
      • International Journal of Epigenetics
      • Information for Authors
      • Editorial Policies
      • Editorial Board
      • Aims and Scope
      • Abstracting and Indexing
      • Bibliographic Information
      • Archive
    • Medicine International
      • Medicine International
      • Information for Authors
      • Editorial Policies
      • Editorial Board
      • Aims and Scope
      • Abstracting and Indexing
      • Bibliographic Information
      • Archive
  • Articles
  • Information
    • Information for Authors
    • Information for Reviewers
    • Information for Librarians
    • Information for Advertisers
    • Conferences
  • Language Editing
Spandidos Publications Logo
  • About
    • About Spandidos
    • Aims and Scopes
    • Abstracting and Indexing
    • Editorial Policies
    • Reprints and Permissions
    • Job Opportunities
    • Terms and Conditions
    • Contact
  • Journals
    • All Journals
    • Biomedical Reports
      • Information for Authors
      • Editorial Policies
      • Editorial Board
      • Aims and Scope
      • Abstracting and Indexing
      • Bibliographic Information
      • Archive
    • Experimental and Therapeutic Medicine
      • Information for Authors
      • Editorial Policies
      • Editorial Board
      • Aims and Scope
      • Abstracting and Indexing
      • Bibliographic Information
      • Archive
    • International Journal of Epigenetics
      • Information for Authors
      • Editorial Policies
      • Editorial Board
      • Aims and Scope
      • Abstracting and Indexing
      • Bibliographic Information
      • Archive
    • International Journal of Functional Nutrition
      • Information for Authors
      • Editorial Policies
      • Editorial Board
      • Aims and Scope
      • Abstracting and Indexing
      • Bibliographic Information
      • Archive
    • International Journal of Molecular Medicine
      • Information for Authors
      • Editorial Policies
      • Editorial Board
      • Aims and Scope
      • Abstracting and Indexing
      • Bibliographic Information
      • Archive
    • International Journal of Oncology
      • Information for Authors
      • Editorial Policies
      • Editorial Board
      • Aims and Scope
      • Abstracting and Indexing
      • Bibliographic Information
      • Archive
    • Medicine International
      • Information for Authors
      • Editorial Policies
      • Editorial Board
      • Aims and Scope
      • Abstracting and Indexing
      • Bibliographic Information
      • Archive
    • Molecular and Clinical Oncology
      • Information for Authors
      • Editorial Policies
      • Editorial Board
      • Aims and Scope
      • Abstracting and Indexing
      • Bibliographic Information
      • Archive
    • Molecular Medicine Reports
      • Information for Authors
      • Editorial Policies
      • Editorial Board
      • Aims and Scope
      • Abstracting and Indexing
      • Bibliographic Information
      • Archive
    • Oncology Letters
      • Information for Authors
      • Editorial Policies
      • Editorial Board
      • Aims and Scope
      • Abstracting and Indexing
      • Bibliographic Information
      • Archive
    • Oncology Reports
      • Information for Authors
      • Editorial Policies
      • Editorial Board
      • Aims and Scope
      • Abstracting and Indexing
      • Bibliographic Information
      • Archive
    • World Academy of Sciences Journal
      • Information for Authors
      • Editorial Policies
      • Editorial Board
      • Aims and Scope
      • Abstracting and Indexing
      • Bibliographic Information
      • Archive
  • Articles
  • Information
    • For Authors
    • For Reviewers
    • For Librarians
    • For Advertisers
    • Conferences
  • Language Editing
Login Register Submit
  • This site uses cookies
  • You can change your cookie settings at any time by following the instructions in our Cookie Policy. To find out more, you may read our Privacy Policy.

    I agree
Search articles by DOI, keyword, author or affiliation
Search
Advanced Search
presentation
Molecular Medicine Reports
Join Editorial Board Propose a Special Issue
Print ISSN: 1791-2997 Online ISSN: 1791-3004
Journal Cover
January-2018 Volume 17 Issue 1

Full Size Image

Sign up for eToc alerts
Recommend to Library

Journals

International Journal of Molecular Medicine

International Journal of Molecular Medicine

International Journal of Molecular Medicine is an international journal devoted to molecular mechanisms of human disease.

International Journal of Oncology

International Journal of Oncology

International Journal of Oncology is an international journal devoted to oncology research and cancer treatment.

Molecular Medicine Reports

Molecular Medicine Reports

Covers molecular medicine topics such as pharmacology, pathology, genetics, neuroscience, infectious diseases, molecular cardiology, and molecular surgery.

Oncology Reports

Oncology Reports

Oncology Reports is an international journal devoted to fundamental and applied research in Oncology.

Experimental and Therapeutic Medicine

Experimental and Therapeutic Medicine

Experimental and Therapeutic Medicine is an international journal devoted to laboratory and clinical medicine.

Oncology Letters

Oncology Letters

Oncology Letters is an international journal devoted to Experimental and Clinical Oncology.

Biomedical Reports

Biomedical Reports

Explores a wide range of biological and medical fields, including pharmacology, genetics, microbiology, neuroscience, and molecular cardiology.

Molecular and Clinical Oncology

Molecular and Clinical Oncology

International journal addressing all aspects of oncology research, from tumorigenesis and oncogenes to chemotherapy and metastasis.

World Academy of Sciences Journal

World Academy of Sciences Journal

Multidisciplinary open-access journal spanning biochemistry, genetics, neuroscience, environmental health, and synthetic biology.

International Journal of Functional Nutrition

International Journal of Functional Nutrition

Open-access journal combining biochemistry, pharmacology, immunology, and genetics to advance health through functional nutrition.

International Journal of Epigenetics

International Journal of Epigenetics

Publishes open-access research on using epigenetics to advance understanding and treatment of human disease.

Medicine International

Medicine International

An International Open Access Journal Devoted to General Medicine.

Journal Cover
January-2018 Volume 17 Issue 1

Full Size Image

Sign up for eToc alerts
Recommend to Library

  • Article
  • Citations
    • Cite This Article
    • Download Citation
    • Create Citation Alert
    • Remove Citation Alert
    • Cited By
  • Similar Articles
    • Related Articles (in Spandidos Publications)
    • Similar Articles (Google Scholar)
    • Similar Articles (PubMed)
  • Download PDF
  • Download XML
  • View XML
Article Open Access

Polygonum multiflorm alleviates glucocorticoid‑induced osteoporosis and Wnt signaling pathway

  • Authors:
    • Manru Zhou
    • Jingkai Wu
    • Yongjie Yu
    • Yajun Yang
    • Jin Li
    • Liao Cui
    • Weimin Yao
    • Yuyu Liu
  • View Affiliations / Copyright

    Affiliations: Department of Pharmacology, Guangdong Medical University, Zhanjiang, Guangdong 524023, P.R. China, Guangdong Key Laboratory for Research and Development of Natural Drugs, The Affiliated Hospital of Guangdong Medical University, Zhanjiang, Guangdong 524023, P.R. China, Department of Respiratory Medicine, The Affiliated Hospital of Guangdong Medical University, Zhanjiang, Guangdong 524023, P.R. China
    Copyright: © Zhou et al. This is an open access article distributed under the terms of Creative Commons Attribution License.
  • Pages: 970-978
    |
    Published online on: November 7, 2017
       https://doi.org/10.3892/mmr.2017.7997
  • Expand metrics +
Metrics: Total Views: 0 (Spandidos Publications: | PMC Statistics: )
Metrics: Total PDF Downloads: 0 (Spandidos Publications: | PMC Statistics: )
Cited By (CrossRef): 0 citations Loading Articles...

This article is mentioned in:



Abstract

It is known that long‑term excessive administration of glucocorticoid (GC) results in osteoporosis. The present study aimed to evaluate the protective effects of Polygonum multiflorm (PM) on the bone tissue of rats with GC‑induced osteoporosis (GIO). A total of 90 6‑month‑old female Sprague Dawley rats (weight range, 190‑210 g) were randomly divided into nine groups: Control (normal saline); prednisone (GC; 6 mg·kg‑1·d‑1; Model); GC plus PMR30 (the 30% ethanol eluent fraction of PM) (H) (400 mg·kg‑1·d‑1); GC plus PMR30 (M) (200 mg·kg‑1·d‑1); GC plus PMR30 (L) (100 mg·kg‑1·d‑1); GC plus PMRF (fat‑soluble fraction of PM) (H) (400 mg·kg‑1·d‑1); GC plus PMRF (M) (200 mg·kg‑1·d‑1); GC plus PMRF (L) (100 mg·kg‑1·d‑1); GC plus calcitriol (CAL; 0.045 µg·kg‑1·d‑1; positive). Rats were administered intragastrically with prednisone and/or the aforementioned extracts for 120 days, and weighed once/week. The serum was collected for detection of biochemical markers. The left tibia was used for bone histomorphometry analysis. The right tibia was prepared for hematoxylin and eosin staining. The left femur was used to analyze the protein expression of dickkopf‑1 (DKK1), WNT inhibitory factor 1 (WIF1) and secreted frizzled related protein 4 using western blotting. Long‑term excessive treatment of prednisone inhibited the bone formation rate accompanied with a decrease in bone mass, growth plate, body weight, and the level of bone‑specific alkaline phosphatase and hydroxyl‑terminal propeptide of type I procollagen in the serum. Furthermore, a simultaneously increase in the level of tartrate resistant acid phosphatase‑5b and cross‑linked carboxy‑terminal telopeptide of type I collagen in the serum, in addition to DKK1, and WIF1 protein expression, was observed. PMR30 (M and L) and PMRF (H) groups were able to reduce the negative effects of GC on the bones. PMR30 (M and L) and PMRF (H) dose demonstrated a protective effect of PM on bone tissue in GIO rats. The mechanism underlying the preventive effect of PM for the treatment of GIO may be associated with direct upregulation of the canonical Wnt/β‑catenin signaling pathway.

Introduction

Glucocorticoids (GCs) are anti-inflammatory agents used in the treatment of various diseases, such as asthma, rheumatoid arthritis, and systemic lupus erythematosus (1–4). Although GCs have been prescribed for many years, their potential side effects (growth retardation, osteopenia, adrenal insufficiency, etc.), can prevent their long-term use (5,6). Significantly, GC-induced osteoporosis (GIO) is thought as the most severe one of these side effects because of the increased fracture risk (7–9). GIO resulting from osteopenia has been described as the most predictable and debilitating complication of long-term GCs therapy (5,6). Therefore, the development of medications that prevent GIO is of clinical significance.

Polygonum multiflorum Thunb. (PM, He-Shou-Wu) is a kind of traditional Chinese medicine (10). PM and its extracts can be used to improve the health of blood and blood vessels, blacken hair, strengthen bones, neurosis and other diseases commonly associated with aging (11–16). Based on previous evidence in our team, we found that PM and its extracts exert beneficial effects in the prevention and treatment of osteoporosis, which have already been applied for China patents (ZL 00101246.0) (17). Furthermore, we have investigated the effects of main components [(emodin and 2,3,5,4′-tetrahydroxystilbene-2-O-β-D-glucoside (TSG)] of PM in vitro. The results showed that emodin and TSG can promote Bone Marrow Mesenchymal Stem Cells (MSCs) to differentiate into osteoblasts. Moreover, emodin can inhibit MSCs differentiate into adipocytes (18–21). The underlying mechanism of TSG may be related to regulation of Wnt signaling pathway (22). However, the exact signaling mechanism by which PM rescued impaired bone formation induced by GC has not yet been investigated.

The Wnt/β-catenin signaling is an important pathway that is required by the growth, development and maintenance of skeletal tissue (9,23). Wnt signals are extracellularly regulated by several secreted antagonists including secreted frizzled-related protein (sFRP), Wnt inhibitory factor-1 (WIF1), and dickkopf-1 (DKK1) (24). Previous evidence showed that GCs can promote the expression of DKK1 in cultured human osteoblasts (25). It is known that the cell fate of pre-osteoblasts is mainly determined by the Wnt/β-catenin signal pathway (26). Therefore, the molecules which induce the activation of Wnt/β-catenin signaling are beneficial for the treatment of osteoporosis. PM has been demonstrated to exert a simulatory effect on Wnt/β-catenin signaling pathway in vivo and in vitro (23,27). Whether the extracts of PM can increase the bone mass or not in the GIO model characteristic of decreased bone formation? If the extracts could prevent GIO, and what's the mechanism of PM on bone metabolism? Considering the above questions, this study aims to observe the effect and the mechanism of PM underlying bone loss in GIO rats.

Materials and methods

Preparation of PM extract

The dried roots of PM were purchased in Yulin Xiang Sheng Chinese Herbal Medicine Co., Ltd. (Henan, China), and were authenticated by Professor Yuyu Liu. A voucher specimen was deposited at the herbarium of Guangdong Key Laboratory for Research and Development of Natural Drugs, Guangdong Medical University (Guangdong, China). Air-dried roots of PM (56.0 kg) was extracted by 75% ethanol at 50~60°C, followed by rinsing with cyclohexane. The organic solvent of PMRF was acquired by evaporation under a vacuum at 55°C. The PMRF dissolved in water was absorbed by macroporous resin D-101, and then eluted with H2O, 10, 20, 30, 40, 50, 60, 70, 80 and 90% ethanol successively, and PMR30 was prepared by the collection and concentration of 30% ethanol elution (28).

Animal experiments

This study was carried out in strict accordance with the recommendations in the Guide for the Care and Use of Laboratory Animals of Guangdong Laboratory Animal Monitoring Institute, under the National Laboratory Animal Monitoring Institute of People's Republic of China (29). The experiments have been conducted according to protocols approved for Specific Pathogen-Free animal care of the Animal Center of Guangdong Medical University, and approved by the Academic Committee on the Ethics of Animal Experiments of the Guangdong Medical University [permit no. SYXK (Guangdong) 2008-0008; Zhanjiang, China].

The Sprague Dawley (SD) female rats were acclimated to local vivarium conditions (temperature: 24–28°C, humidity: 60%) and under specific pathogen-free conditions. Rats were allowed free access to water and diet.

Experimental protocols

Six-month-old female SD rats weighing (190–210 g, n=90) were randomly divided into ten groups by weight: basic group, control (normal saline) group, prednisone (GC, 6 mg·kg−1·d−1, model) group, GC plus PMR30 (H) (400 mg·kg−1·d−1) group, GC plus PMR30 (M) (200 mg·kg−1·d−1) group, GC plus PMR30 (L) (100 mg·kg−1·d−1) group, GC plus PMRF (H) (400 mg·kg−1·d−1) group, GC plus PMRF (M) (200 mg·kg−1·d−1) group, GC plus PMRF (L) (100 mg·kg−1·d−1) group, GC plus calcitriol (CAL) (0.045 µg·kg−1·d−1) (positive group). Rats were administered intragastrically with prednisone and/or the extracts mentioned above for 120 days, and weighed once per week. Rats were injected subcutaneously with calcein on the 3rd, 4, 13, and 14th day before killed for the purpose of double labeling in vivo, respectively (30).

Rats were sacrified by caridiac puncture under sodium pentobarbital anesthesia at the experimental endpoint. The serum was separated for testing biochemical markers. The left tibia was used for bone histomorphometry analysis. The right tibia was prepared for H&E staining. The left femur was used to test protein expression of DKK1, WIF1 and SFRP4 using western blotting assay (31).

Serum markers assay

Blood was collected in specimen tubes and kept at 25°C for 40–50 min in a vertical position for completely clotting. And then the serum was separated by centrifuging at 1,000 × g for 10 min and stored at −80°C for biochemical markers assays. The serum was separated for testing biochemical markers, including Bone-specific alkaline phosphatase (BAP), Hydroxyl-terminal propeptide of type I procollagen (PICP), tartrate resistant acid phosphatase-5b (TRACP-5b), Cross-linked Carboxy-terminal telopeptide of type I collagen (CTX-I), and DKK1. BAP and OCN, as serum markers of bone formation, and OPG, sRANKL, and TRAP5b, as the markers of bone resorption, were measured in rats using commercially available ELISAs (Tuokeda Bio-Tech, Guangzhou, China).

Bone histomorphometry assay

For histomorphometric analysis, the left tibia was removed, dissected, and cut. The proximal tibial metaphysis (PTM) was opened to expose the bone marrow cavity with an Isomet low-speed saw (Buehler, Lake Bluff, IL, USA) and then fixed in 70% ethanol after they had been placed in 10% formalin for 24 h, dehydrated in increasing concentrations of ethanol, defatted in xylene, and then embedded without decalcification in methyl methacrylate (32). Frontal sections of the PTM were cut at thicknesses of 5 and 8 µm. The region of interest in the PTM was located between 1 and 4 mm distal to the growth plate-epiphyseal junction, not including cortical bone. A semiautomatic digitizing image analysis system (OsteoMetrics, Inc., Decatur, GA, USA) was used for static and dynamic histomorphometry measurements. For static histomorphometry measurements with Masson-Goldner trichrome staining (5-µm sections), the total tissue area, trabecular area, trabecular perimeter, and osteoclast number (Oc.N) were measured and used to calculate the percentage of trabecular bone volume (BV/TV), trabecular number (Tb.N), trabecular separation (Tb.Sp), number of osteoclasts (N.Oc), percent osteoclast surface perimeter (Oc.S.Pm), and percent osteoblast surface perimeter (Ob.S.Pm). For dynamic analyses (8-µm sections), single-labeled perimeter, double-labeled perimeter, interlabeled width, percent of labeled perimeter (%L.Pm), mineral apposition rate (MAR), and bone formation rate per unit of bone surface (BFR/BS), bone formation rate per unit of bone volume (BFR/BV), and bone formation rate per unit of bone tissue area (BFR/TV) were measured and calculated. For the tibial shaft (40-µm sections), the cortical area (Ct.Ar), percent Ct.Ar (%Ct.Ar), percent marrow area, percent periosteal labeled perimeter (%P-L.Pm), periosteal MAR, periosteal BFR per unit of bone surface (P-BFR/BS), percent endocortical labeled perimeter, endocortical MAR, and endocortical BFR per unit of bone surface (E-BFR/BS) were calculated from the measured parameters (33).

Western blotting assay

Left femurs were stored at −80°C before they were used. The whole proteins were extracted by the method previously described with a Total Protein Extraction kit (Applygen Technologies, Inc., Beijing, China) (33). Sixty micrograms of total protein extracts was separated on sodium dodecyl sulfate-polyacrylamide gels and transferred to poly (vinylene difluoride) membranes. The membranes were blocked with 5% skimmed milk for 2 h at room temperature, and were incubated overnight at 4°C with rabbit anti-DKK1 monoclonal antibody (ab109416), WIF1 antibody (ab155101), and sFRP4 (ab154167) (all from Abcam, Cambridge, MA, USA) at a dilution of 1:300. This was followed by incubation with the corresponding secondary antibodies and goat anti-rabbit IgG antibodies (Beyotime Institute of Biotechnology, Haimen, China). Protein expression was visualized using a BeoECL Plus instrument (Beyotime Institute of Biotechnology). GADPH rabbit mAb (CST, USA) was used to normalize the sample loading. The images of bands were quantified with Image-Pro Plus 6.0.

Statistical analysis

Data were described as the means ± standard deviation (mean ± SD) and analyzed statistically with SPSS, version 13.0. One-way ANOVA was used to detect the differences in changes between the groups of various treatments after establishing if the data were normally distributed and equivalency of variances. P-value (the probabilities) <0.05 were considered statistically significant.

Results

Effects of PM on body weight

The alterations of body weight of rats were no statistically significant difference between each group during the initial stage of experiment, while the weight of rats in prednisone group decreased significantly from the fourth week compared with the CON group (P<0.05) (Fig. 1). Reversely, the changes of body weight of rats in PMR30 (M) and PMRF (H) groups increased compared with the prednisone group (P<0.05). These results indicated that PMR30 (M) and PMRF (H) groups can improve the slow growth of GIO rats.

Figure 1.

Body weight (g) changes during the experimental period. Body weight measurements from vehicle-treated controls (CON), prednisone 6 mg.kg−1.d−1 (Pre), calcitriol 0.045 µg.kg−1.d−1 (CAL), PMR30 (H) 400 mg.kg−1.d−1, PMR30 (M) 200 mg.kg−1.d−1, PMR30 (L) 100 mg.kg−1.d−1, PMRF (H) 400 mg.kg−1.d−1, PMRF (M) 200 mg.kg−1.d−1, and PMRF (L) 100 mg.kg−1.d−1 treated rats. aP<0.05 vs CON, dP<0.05 PMR30 (M) vs. Pre, fP<0.05 PMRF (H) vs. Pre.

Effects of PM on biomarkers of bone turnover

We confirmed that GC resulted in the decrease of biomarkers of the bone formation, including serum bone specific alkaline phosphatase (BAP) and serum Hydroxyl-terminal propeptide of type I procollagen (PICP) (Fig. 2 and Table I). Contrarily, GC stimulated the increase of the biomarkers related to bone resorption including serum Tartrate-resistant acid phosphatase-5b (TRAP-5b), DKK1 and C-terminal telopeptides of I collagen (CTX-1) level of bone tissue (Fig. 2 and Table I). Encouragingly, PMR30 (M, L) and PMRF (H) groups showed a capacity to reverse the deleterious impacts of bone turnover elicited by GC, as effectively as CAL.

Figure 2.

Endpoint levels of serum biochemical markers (A) CTX-I, (B) DKK1, (C) TRACP-5b, (D) BAP, (E) PICP in the rats treated with vehicle (CON), prednisone (Pre), calcitriol (CAL), and various PMR (30, F) dose levels. *P<0.05, **P<0.01 vs. CON; ∆P<0.05, ∆∆P<0.01 vs. Pred; #P<0.05, ##P<0.01 vs. CAL.

Table I.

Serum biochemical indices of bone marker in rats (x− ± s).

Table I.

Serum biochemical indices of bone marker in rats (x− ± s).

GroupPICP (µg/l)BAP (µg/l)CTX-I (nmol/l)TRACP-5b (pg/ml)DKK1 (µg/l)
CON 10.59±4.17 13.64±3.00 36.88±9.18 1600±467 9.70±3.11
Pre 9.10±2.58 8.06±2.47b 45.88±10.37 2148±368a 12.76±2.96
CAL 11.47±3.14 12.80±2.46d 37.40±18.51 1758±379 8.62±1.55d
PMR30(H) 9.94±3.13 12.65±2.61d 29.84±6.43d 1959±360 11.45±2.62
PMR30(M) 13.58±2.50d 10.45±1.56 31.46±8.84d 1960±482 9.15±1.68d
PMR30(L) 12.50±2.14 13.25±1.93d 41.77±13.59 1726±306 9.03±3.07d
PMRF(H) 12.99±2.72d 13.01±2.31d 30.03±8.42d 1649±378c 10.97±3.16
PMRF(M) 12.01±3.60 12.00±3.06d 37.28±11.64 2325±463 11.31±4.07
PMRF(L) 11.12±4.77 10.50±3.17 29.91±5.96d 1820±583 10.17±2.08

a P<0.05

b P<0.01 vs. CON

c P<0.05

d P<0.01 vs. Pred

e P<0.05

f P<0.01 vs. CAL.

Effects of PM on the parameters of the two-dimensional histomorphometry of the proximal tibial metaphysis

The changes of the two-dimensional histomorphometry of the proximal tibial metaphysis: Compared with the control group, %Tb.Ar, percent labeled perimeter (%L.Pm), mineral apposition (MAR), BFR/TV and %Ob.S.Pm were decreased (P<0.05), while percentage of osteoclast surface perimeter (%Oc.S.Pm) and number of osteoclast per millimeter (Oc.N) were increased (P<0.05) in prednisone group. Compared with the prednisone group, %Tb.Ar and BFR/TV were increased (P<0.05); and %Oc.S.Pm was decreased (P<0.05) in CAL group. Compared with the prednisone group, %L.Pm and new bone formation rate per unit of bone surface (BFR/BS) were increased in PMR30 (H) group (P<0.05). Compared with the prednisone group, number of osteoclast per millimeter (Oc.N) was decreased (P<0.05) in PMR30 (H, M, L) groups. Compared with the prednisone group, %Tb.Ar and BFR/TV were increased (P<0.05) in PMRF (H) group. Compared with the prednisone group, percentage of osteoclast surface perimeter (%Oc.S.Pm) was decreased (P<0.05) in PMRF (H, M, L) groups (Tables II–IV and Fig. 3). These results indicated that PMR30 (M, L) and PMRF (H) groups can improve the bone loss and decreased activity of osteoclast in GIO rats.

Figure 3.

Effects of vehicle (CON), prednisone (Pre), calcitriol (CAL), and various PMR (30, F) dose treatments on the proximal tibial metaphysis (PTM) bone structure and mineral bone formation. Arrows point to the tetracycline and calcein labeling. Quantitative measurements of histomorphometric parameters of PTM are showed in Tables II and III. (A) Goldner's Trichrome stain, (B) AgNO3 stain,(C) fluorescence images of undecalcified sections a-1, b-1, c-1:CON; a-2, b-2, c-2:Pre (6 mg.−1.d−1); a-3, b-3, c-3:Pre+CAL (0.045 µg.kg−1.d−1); a-4, b-4, c-4:Pre+PMR30 (H) (400 mg.kg−1.d−1); a-5, b-5, c-5:Pre+PMR30 (M) (200 mg.kg−1.d−1); a-6, b-6, c-6:Pre+PMR30 (L) (100 mg.kg−1.d−1); a-7, b-7, c-7:Pre+PMRF (H) (400 mg.kg−1.d−1); a-8, b-8.c-8:Pre+PMRF (M) (200 mg.kg−1.d−1); a-9, b-9, c-9: Pre+PMRF (L) (100 mg.kg−1.d−1).

Table II.

Histomorphometric static parameters of proximal tibial of rats (x− ± s).

Table II.

Histomorphometric static parameters of proximal tibial of rats (x− ± s).

Group%Tb.Ar (%)Tb.Th (µm)Tb.N (no./mm)Tb.Sp (µm)
CON 29.20±5.19 52.86±7.60 5.58±0.90 131.90±32.59
Pre 18.81±6.60b 38.21±11.44 4.91±0.81 172.31±49.13
CAL 25.82±5.94c 50.64±6.07 5.10±1.02 153.21±45.76
PMR30(H) 20.52±6.25 88.84±116.84c,e 4.33±2.15 409.06±597.48
PMR30(M) 23.25±61.7 46.80±8.21 4.93±0.82 162.48±49.65
PMR30(L) 22.66±4.64 48.76±5.29 4.64±0.84 173.24±43.53
PMRF(H) 26.76±7.35c 52.84±4.65 5.01±0.98 153.45±43.48
PMRF(M) 23.62±5.63 47.09±9.69 5.01±0.53 154.57±26.18
PMRF(L) 19.83±3.89f,g 47.03±3.75 4.23±0.86 197.42±46.87

a P<0.05

b P<0.01 vs. CON

c P<0.05

d P<0.01 vs. Pred

e P<0.05

f P<0.01 vs. CAL

g P<0.05

h P<0.01 vs. PMRF(H).

Table IV.

Oc and Ob parameters of proximal tibial of rats (x− ± s).

Table IV.

Oc and Ob parameters of proximal tibial of rats (x− ± s).

GroupOc.N (no./mm)%Oc.S. Pm (%)%Ob.S. Pm (%)
CON 0.10±0.06 0.31±0.14 0.20±0.12
Pre 0.20±0.09a 0.87±0.54b 0.09±0.06
CAL 0.12±0.06 0.19±0.11d 0.08±0.04
PMR30(H) 0.19±0.22 0.39±0.49c 0.16±0.28e
PMR30(M) 0.08±0.04d,g 0.19±0.11d 0.08±0.04
PMR30(L) 0.10±0.02c,g 0.18±0.05c 0.10±0.06
PMRF(H) 0.08±0.03d 0.12±0.06c 0.23±0.14
PMRF(M) 0.06±0.05d,h 0.13±0.14 0.13±0.06
PMRF(L) 0.07±0.03d 0.12±0.06c 0.14±0.10

a P<0.05

b P<0.01 vs. CON

c P<0.05

d P<0.01 vs. Pred

e P<0.05

f P<0.01 vs. CAL

g P<0.05

h P<0.01 vs. PMR30(H).

Effects of PM on the parameters of two-dimensional histomorphometry of the tibial shaft

The changes of the two-dimensional histomorphometry of the tibial shaft: Compared with the control group, Ct.Ar, %Ct.Ar and P-MAR were decreased (P<0.05) while %Ma.Ar and E-BFR/BS were increased (P<0.05) in prednisone group. Compared with the prednisone group, %Ct.Ar and %P-L.Pm were showed a trend toward increased (P>0.05) while %Ma.Ar and E-BFR/BS were showed a trend toward decreased (P>0.05) in CAL, PMR30 and PMRF groups (Fig. 4 and Tables V and VI). These results indicated that PMR30 and PMRF groups can improve the thickness of cortical bone in GIO rats.

Figure 4.

Effects of vehicle (CON) and various prednisone (Pre) dose treatments on cortical bone of the tibial shaft and cartilage growth. Arrows point to interlabeling distances after double labeling with tetracycline and calcein. Quantitative measurements of histomorphometric parameters of tibial shaft are shown in Tables V and VI. (A) Fluorescence images of the tibial shaftmiddle and (B) fluorescence images of the growth plate

Table V.

Histomorphometric static parameters of tibial shaft in rats (x− ± s).

Table V.

Histomorphometric static parameters of tibial shaft in rats (x− ± s).

GroupCt.Ar (mm2)%Ct.Ar (%)%Ma.Ar (%)
CON 4.59±0.34 78.22±1.77 21.77±1.77
Pre 4.05±0.50a 75.32±2.72a 24.68±2.72a
CAL 4.07±0.62 75.37±5.58 24.63±5.58
PMR30(H) 4.17±0.39 77.02±3.56 22.98±3.56
PMR30(M) 4.21±0.44 76.43±4.76 23.57±4.76
PMR30(L) 4.28±0.39 75.61±5.99 24.39±5.99
PMRF(H) 4.40±0.32 76.38±2.18 23.62±2.18
PMRF(M) 4.49±0.33 75.46±2.46 24.54±2.46
PMRF(L) 4.29±0.47 76.85±2.67 23.15±2.67

a P<0.05

b P<0.01 vs. CON

c P<0.05

d P<0.01 vs. Pred

e P<0.05

f P<0.01 vs. CAL.

Table VI.

Histomorphometric dynamic parameters of tibial shaft in rats (x− ± s).

Table VI.

Histomorphometric dynamic parameters of tibial shaft in rats (x− ± s).

Group%P-L. Pm (%)P-MAR (µm/d)P-BFR/BS (%/year)%E-L. Pm (%)E-MAR (µm/d)E-BFR/BS (%/year)
CON 27.40±6.73 0.89±0.23 24.66±10.51 14.62±9.11 0.41±0.19 5.38±3.98
Pre 29.18±7.72 0.65±0.05b 19.27±5.62 20.35±8.95 0.59±0.23 11.70±6.63a
CAL 34.49±6.81 0.91±0.13d 28.72±8.48c 16.35±6.83 0.52±0.09 7.96±3.30
PMR30(H) 30.67±13.05 0.78±0.31 21.21±7.80 19.94±4.77 0.72±0.25e 11.38±5.87
PMR30(M) 33.97±7.33 0.47±0.27 16.81±13.47e 19.08±5.00 0.31±0.24c,e 6.68±6.04
PMR30(L) 26.64±11.30 0.83±0.23 19.25±6.68e 14.85±4.91 0.45±0.19 6.83±5.04
PMRF(H) 38.56±6.11c 0.65±0.17 23.33±7.90 18.90±5.22 0.42±0.22 8.38±5.32
PMRF(M) 29.02±10.05 0.73±0.11 21.35±8.49 17.37±4.59 0.40±0.12 6.42±3.02
PMRF(L) 27.16±4.26 0.49±0.16 14.52±7.39f 18.26±8.16 0.51±0.16 8.58±3.34

a P<0.05

b P<0.01 vs. CON

c P<0.05

d P<0.01 vs. Pred

e P<0.05

f P<0.01 vs. CAL.

Effects of PM on the growing epiphyseal plate of proximal tibial

The results of growth plate, compared with the control group, the growth plate was become thinner in prednisone group. Compared with the prednisone group, the growth plate was become more thicken in CAL, PMRF (M, L) and PMR30 (M, L) groups (Fig. 4). It is indicated that PM may be stimulate growth hormone secretion of rat.

Effects of PM on marrow fat tissue deposistion of the proximal tibial metaphysis

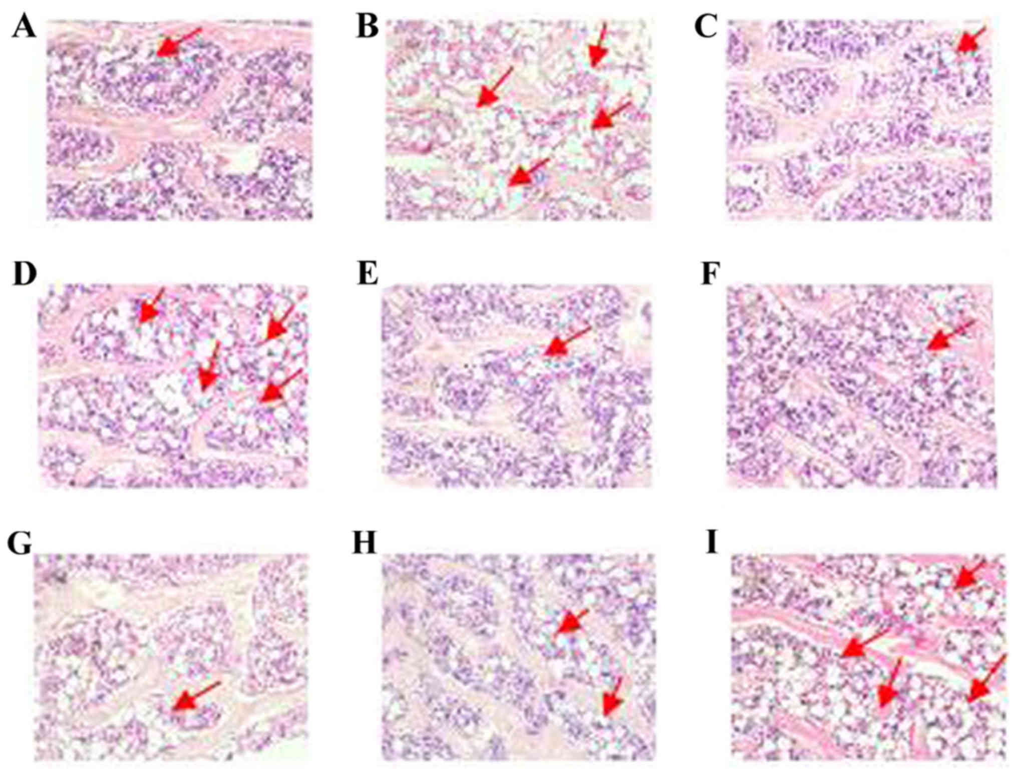
Compared with the control group, the number of adipocytes was become more and dense in prednisone group. Compared with the prednisone group, the number of adipocytes were became less in CAL, PMR30 (M, L) and PMRF (H, M) groups (Fig. 5). These results indicated that PMR30 (M, L) and PMRF (H, M) groups can decrease the number of adipocytes in GIO rats. It is prompted that PM can inhibit the differentiation of bone marrow stromal cells into adipocytes.

Figure 5.

Effects of vehicle-treated controls (CON), prednisone 6 mg.kg−1.d−1 (Pred), calcitriol 0.045 µg.kg−1.d−1 (CAL), and variuos PMR (30, F) dose treatments on adipocyte distribution in bone marrow of PTM. (A) CON; (B) Pre (6 mg.−1kg−1.d−1); (C) Pre+CAL (0.045 µg.kg−1.d−1); (D) Pre+PMR30 (H) (400 mg.kg−1.d−1); (E) Pre+PMR30 (M) (200 mg.kg−1.d−1); (F) Pre+PMR30 (L) (100 mg.kg−1.d−1); (G) Pre+PMRF (H) (400 mg.kg−1.d−1); (H) Pre+PMRF (M) (200 mg.kg−1.d−1); (I) Pre+PMRF (L) (100 mg.kg−1.d−1).

Effects of PM on the Wnt signaling pathway

Compared with control group, the expression of DKK1 and WIF1 were increased in prednisone group (P<0.05). Compared with prednisone group, the expression of DKK1 were decreased (P<0.05) in CAL, PMR30 (M, L) and PMRF (H) groups. Compared with prednisone group, the expression of WIF1 was decreased (P<0.05) significantly in PMR30 (M) and PMRF (F) groups (Fig. 6). These results indicated that PMR30 (M) and PMRF (F) groups can increase the expression of DKK1 and WIF1 aim to regulate the Wnt signaling pathway in GIO rats.

Figure 6.

Effects of the extracts of PM on target protein of wnt signaling pathways in GIO rats. (A) The scanned image on X-rays was after exposure of western blot analysis. (B) The DKK1 protein of wnt signaling pathways in GIO rats. (C) The SFRP4 protein of wnt signaling pathways in GIO rats. (D) The WIF1 protein of wnt signaling pathways in GIO rats. *P<0.05, **P<0.01 vs. CON; ∆P<0.05, ∆∆P<0.01 vs. Pred; #P<0.05, ##P<0.01 vs. CAL.

Discussion

It is widely known that GC treatment induces osteoporosis. In our previous study, GC exerts a series of deleterious actions on bone tissue in both male and female rats. Furthermore, previous evidence demonstrated that extracts of PM exhibits a pretective effect on ovariectomized rats (20). In the present study, extracts of PM (PMR30 and PMRF) were exhibits a pretective effect on bone loss in GIO rats, owing to restoration of bone micro-architecture and the serum levels of biomarkers related to bone formation. In addition, Polygonum Multiflorm alleviates GIO may be through regulation of Wnt signaling pathway to protect the bone.

Physiologically, the secretion of endogenous GC was regulated by hypothalamus-hypophysis-adrenal cortex system (30), thus inhibited the secretion of growth hormone (GH) (34). However, excessive exposure to excessive exogenous clinically GC could induce rapidly bone loss resulting to the increase of fracture risk. In the present study, we found that long-term excessive administration of prednisone caused a decrease of bone formation parameters (MAR and BFR/TV) in the trabecular bone area and a decrease of growth of longitudinal bone, and an increase of bone resorption (Oc.S/BS) (Figs. 1 and 4). It has generally been thought that GIO results from impaired bone formation as well as exaggerated bone resorption. Possible pathological mechanisms of GIO are listed in the following: (1) impairing osteoblast or osteoclast function directly, and (2) secondary hyperparathyroidism, due to the increased renal excretion and decreased intestinal absorption of calcium (35).

In this study, PMR30 (M, L) and PMRF (H) groups were found to be effective at attenuating GIO in vivo, as evidenced through its restoration of %Tb.Ar, Tb.Th, %L.Pm, BFR/BS, and BFR/TV (Tables II–IV and Fig. 3). This indicates that the compressive strength and mechanical properties of the bone tissue and the activity of bone formation were enhanced. Furthermore, it would promote bone formation and increase bone turnover rate. This is benefit to replace bone matrix between old and new, and self-repair the bone micro-structure, so that fighting brittle fracture by long-term use of prednisone. PMR30 and PMRF can increase the parameters of the outer membrane and decrease the inner membrane of tibial shaft in different degree (Tables V–VII and Fig. 4). This shows that the PM can promote the periosteal bone formation of the outer membrane and inhibit endosteal bone resorption of the inner membrane, decrease bone turnover, and increase the bone mass and thickness of cortical bone, against long-term use of GC-induced %Ma.Ar increase, then make cortical become thinner, thereby increasing the quality and bone biomechanical properties to avoid fracture. Of these results we also found the ratio of bone conversion are different proximal tibia and tibia shaft. The conversion rate of proximal tibia was faster than tibia shaft, this may related to blood vessel is rich in proximal tibial (37).

Interestingly, we found that longitudinal growth plate of proximal tibial were increased in PMR30 (H, M, L) and PMRF (H) groups (Fig. 4), compared with prednisone group. This may be related to PM inducing the growth hormone release. Lo has been reported that an emodin derivatives isolated from PM, this emodin derivative, tentatively named emoghrelin, was demonstrated to stimulate growth hormone secretion of rat primary anterior pituitary cells, presumably via the same molecular mechanism of GHSR activation (38). In the present study, the content of combined anthraquinone (CAQ) in the sample of PMR30 was over than PMRF, that the longitudinal growth plate of proximal tibial were increased in PMR30 (H, M, L) over than PMRF (H) groups. The deficiency is not to determine the longitudinal growth rate (LGR).

The disruption of the bone formation-resorption balance plays a key role in osteoporosis (39). Serum BAP is known as a marker of bone formation, and TRACP-5b is known as a marker of bone resorption (35). In the present study, we found that PM recovered the serum BAP and PICP levels and significantly reversed the prednisone-induced decrease. We have also found that the serum of DKK1 and TRACP-5b level were increased in GC group which were consistent with the histomophometric data (Tables I–VI). TRACP-5b mainly exists in bone tissue, which is mainly derived from osteoclasts, and presents the activity of osteoclasts and its function of bone resorption (36). The level of TRACP-5b was increased in prednisone group, suggesting that long-term use of GCs increased osteoclast activity. Our study data indicated that PM can promote bone formation and inhibit bone resorption.

Futhermore, it has been reported that high level of DKK1 which suppresses the Wnt signal of bone formation in osteoblasts, resulted from activation of transcription through GRE in the DKK1 gene promoter. In the present study, DKK1 was increased expression in prednisone group (Fig. 6). The Wnt/β-catenin signaling pathway was also found to be re-activated by PM, which may be related to the bone-protective effects of PM. These results indicate that PM exerts protective effects against GIO. In previous studies, GC-treated animals also exhibited decreased BMD and bone mineral content (BMC) (27). In addition, in the previous experiments, we verified that TSG, as a major constituent in PM Thunb, showed anti-osteoporosis activity in vitro and in vivo (22). These data suggest that the bone-protective effects of PM are mediated through the regulation of Wnt signaling pathway. Wnt binds with specific cell-surface receptors Frizzled and LRP5/6, thereby leading to binding with Axin, which in turn mediates the proteolysis of β-catenin. DKK1 is also known to inhibit Wnt signaling by binding to LRP5/6 (41). DKK1 are receptor inhibitors which play a key role in the regulation of the Wnt signaling pathway in bone formation (42). As expected, treatment with PM recovered the activity of this signaling pathway. These results suggest that the Wnt/β-catenin signaling pathway is involved in the bone-protective effects of PM against prednisone-induced osteoporosis.

In conclusion, we demonstrated that PM can attenuate GIO and the mechanism of the preventive effect on GIO may be linked to direct up-regulation of canonical Wnt/β-catenin pathway.

Acknowledgements

This research was supported by grants from National Natural Science Foundation of China (no. 81102450 and 81673814), by the Open Fund Project of Key Laboratory of Guangdong Province (no. 4CX16010G), by the Characteristic Innovation Project (Natural Science) of Education Department of Guangdong Province (no. 2014KTSCX084), by the Science and Technology Plan of Guangdong Province (no. 2016ZC0178 and 2016A020215148), and by the Open Foundation of Guangdong Key Laboratory for Research and Development of Natural Drugs (TRYW201603).

References

1 

McLaughlin F, Mackintosh J, Hayes BP, McLaren A, Uings IJ, Salmon P, Humphreys J, Meldrum E and Farrow SN: Glucocorticoid-induced osteopenia in the mouse as assessed by histomorphometry, microcomputed tomography, and biochemical markers. Bone. 30:924–930. 2002. View Article : Google Scholar : PubMed/NCBI

2 

Ogoshi T, Hagino H, Fukata S, Tanishima S, Okano T and Teshima R: Influence of glucocorticoid on bone in 3-, 6- and 12-month-old rats as determined by bone mass and histomorphometry. Mod Rheumatol. 18:552–561. 2008. View Article : Google Scholar : PubMed/NCBI

3 

Buttgereit F, Burmester GR and Lipworth BJ: Optimised glucocorticoid therapy: The sharpening of an old spear. Lancet. 365:801–803. 2005. View Article : Google Scholar : PubMed/NCBI

4 

den Uyl D, Bultink IE and Lems WF: Advances in glucocorticoid-induced osteoporosis. Curr Rheumatol Rep. 13:233–240. 2011. View Article : Google Scholar : PubMed/NCBI

5 

Schäcke H, Döcke WD and Asadullah K: Mechanisms involved in the side effects of glucocorticoids. Pharmacol Ther. 96:23–43. 2002. View Article : Google Scholar : PubMed/NCBI

6 

Humphrey EL, Williams JHH, Davie MW and Marshall MJ: Effects of dissociated glucocorticoids on OPG and RANKL in osteoblastic cells. Bone. 38:652–661. 2006. View Article : Google Scholar : PubMed/NCBI

7 

Saag KG: Low-dose corticosteroid therapy in rheumatoid arthritis: Balancing the evidence. Amat J Med. 103:31S–39S. 1997. View Article : Google Scholar

8 

Adachi JD, Bensen WG and Cividino A: Corticosteroid induced osteoporosis. J Am Med Womens Assoc (1972). 53(25–30): 401998.

9 

Chen ZG, Xue JQ, She T, Mu SA and Fu Q: Curcumin alleviates glucocorticoid-induced osteoporosis through the regulation of the Wnt signaling pathway. Int J Mol Med. 37:329–338. 2016. View Article : Google Scholar : PubMed/NCBI

10 

Ling S and Xu JW: Biological activities of 2,3,5,4′-tetrahydroxystilbene-2-O-β-D-glucoside in antiaging and antiaging-related disease treatments. Oxid Med Cell Longev. 2016:49732392016. View Article : Google Scholar : PubMed/NCBI

11 

Yao W, Gu C, Shao H, Meng G, Wang H, Jing X and Zhang W: Tetrahydroxystilbene glucoside improves TNF-α-induced endothelial dysfunction: Involvement of TGFβ/Smad pathway and inhibition of vimentin expression. Am J Chin Med. 43:183–198. 2015. View Article : Google Scholar : PubMed/NCBI

12 

Chan YC, Cheng FC and Wang MF: Beneficial effects of different Polygonum multiflorum Thunb. Extracts on memory and hippocampus morphology. J Nutr Sci Vitaminol (Tokyo). 48:491–497. 2002. View Article : Google Scholar : PubMed/NCBI

13 

Chan YC, Wang MF and Chang HC: Polygonum multiflorum extracts improve cognitive performance in senescence accelerated mice. Am J Chin Med. 31:171–179. 2003. View Article : Google Scholar : PubMed/NCBI

14 

Liu QL, Xiao JH, Ma R, Ban Y and Wang JL: Effect of 2,3,5,4′-tetrahydroxystilbene-2-O-beta-D-glucoside on lipoprotein oxidation and proliferation of coronary arterial smooth cells. J Asian Nat Prod Res. 9:689–697. 2007. View Article : Google Scholar : PubMed/NCBI

15 

Um MY, Choi WH, Aan JY, Kim SR and Ha TY: Protective effect of Polygonum multiflorum Thunb on amyloid beta-peptide 25–35 induced cognitive deficits in mice. J Ethnopharmacol. 104:144–148. 2006. View Article : Google Scholar : PubMed/NCBI

16 

Yang PY, Almofti MR, Lu L, Kang H, Zhang J, Li TJ, Rui YC, Sun LN and Chen WS: Reduction of atherosclerosis in cholesterol-fed rabbits and decrease of expressions of intracellular adhesion molecule-1 and vascular endothelial growth factor in foam cells by a watersoluble fraction of Polygonum multiflorum. J Pharmacol. 99:294–300. 2005.

17 

Huang LF, Wu T, Xie H and Liao JM: The prevention and treatment on bone loss in ovariectomized rats of Polygonum decoction. Chinese J Gerontology. 25:709–710. 2005.(In Chinese).

18 

Liu YY, Cui L, Wu T and Yao WM: Effects of emodin on the proliferation and differentiation of osteoblast isolated from neonatal rat calvarium in vitro. Chin Pharmacol Bull. 21:235–240. 2005.(In Chinese).

19 

Liu YY, Cui L, Wu T and Yao WM: Effects of emodin on adipogenesis of marrow stromal cells in vitro. Chin Pharmacol Bull. 21:842–846. 2005.(In Chinese).

20 

Liu YY, Yao WM, Ai CM and Xu BL: Effects of emodin on differentiation of bone marrow stroma cell into osteoblast in rats in vitro. Chin J Clin Pharmacol Ther. 10:191–195. 2005.(In Chinese).

21 

Liu YY, Yao WM, Ai CM and Xu BL: Effects of emodin on osteoblast in vitro. Chin Pharmacol Bull. 21:1473–1477. 2005.(In Chinese).

22 

Zheng YY: Seperation and purification of the Polygonum multiflorum extract and its effect on anti-osteoporosis. Guangdong Med Univ. 2014.(In Chinese).

23 

Ohnaka K, Tanabe M, Kawate H, Nawata H and Takayanagi R: Glucocorticoid suppresses the canonical Wnt signal in cultured human osteoblasts. Biochem Biophys Res Commun. 329:177–181. 2005. View Article : Google Scholar : PubMed/NCBI

24 

Kawano Y and Kypta R: Secreted antagonists of the Wnt signaling pathway. J Cell. 116:2627–2634. 2003.

25 

Ohnaka K, Taniguchi H, Kawate H, Nawata H and Takayanagi R: Glucocorticoid enhances the expression of dickkopf-1 in human osteoblasts: Novel mechanism of glucocorticoid-induced osteoporosis. Biochem Biophys Res Commun. 318:259–264. 2004. View Article : Google Scholar : PubMed/NCBI

26 

Song L, Liu M, Ono N, Bringhurst FR, Kronenberg HM and Guo J: Loss of wnt/β-catenin signaling causes cell fate shift of preosteoblasts from osteoblasts to adipocytes. J Bone Miner Res. 27:2344–2358. 2012. View Article : Google Scholar : PubMed/NCBI

27 

Zhou MR, Li J, Wu JK, Zeng XB, Chen JF, Cui L and Liu YY: The preventive effect of Polygonum multiflorum on the changes of micro-structural and biomechanical by prednisone. Chin Pharmacol Bull. 31:1273–1279. 2015.(In Chinese).

28 

Zhou MR, Li J, Wu JK, Yang YJ, Zeng XB, Lv XH, Cui L, Yao WM and Liu YY: Preventive effects of Polygonum multiflorum on glucocorticoid induced osteoporosis in rats. Exp Ther Med. 14:2445–2460. 2017.PubMed/NCBI

29 

Liu YZ, Cui Y, Chen Y, Gao X, Su YJ and Cui L: Effects of dexamethasone, celecoxib, and methotrexate on the histology and metabolism of bone tissue in healthy sprague Dawley rats. Clin Interv Aging. 10:1245–1253. 2015. View Article : Google Scholar : PubMed/NCBI

30 

Lin S, Huang J, Zheng L, Liu Y, Liu G, Li N, Wang K, Zou L, Wu T, Qin L, et al: Glucocorticoid-Induced Osteoporosis in Growing Rats. Calcif Tissue Int. 95:362–373. 2014. View Article : Google Scholar : PubMed/NCBI

31 

Yang Y, Su Y, Wang D, Chen Y, Liu Y, Luo S, Wu T and Cui L: Tanshinol rescues the impaired bone formation elicited by glucocorticoid involved in KLF15 pathway. Oxid Med Cell Longev. 2016:10927462016. View Article : Google Scholar : PubMed/NCBI

32 

Cui L, Li T, Liu Y, Zhou L, Li P, Xu B, Huang L, Chen Y, Liu Y, Tian X, et al: Salvianolic acid B prevents bone loss in prednisone-treated rats through stimulation of osteogenesis and bone marrow angiogenesis. PLoS One. 7:e346472012. View Article : Google Scholar : PubMed/NCBI

33 

Wu Q, Xiong X, Zhang X, Lu J, Zhang X, Chen W, Wu T, Cui L, Liu Y and Xu B: Secondary osteoporosis in collagen-induced arthritis rats. J Bone Miner Metab. 34:500–516. 2016. View Article : Google Scholar : PubMed/NCBI

34 

Dong F and Ren J: Insulin-like growth factors (IGFs) and IGF-binding proteins in nephrotic syndrome children on glucocorticoid. Pharmacol Res. 48:319–323. 2003. View Article : Google Scholar : PubMed/NCBI

35 

Sasaki N, Kusano E, Takahashi H, Ando Y, Yano K, Tsuda E and Asano Y: Vitamin K2 inhibits glucocorticoid-induced bone loss partly by preventing the reduction of osteoprotegerin (OPG). J Bone Miner Metab. 23:41–47. 2005. View Article : Google Scholar : PubMed/NCBI

36 

Tang SJ, Meikle MC, MacLaine JK, Wong RW and Rabie BM: Altered serum levels of the osteoclast-specific TRACP 5b isoform in Chinese children undergoing orthodontic treatment. Eur J Orthod. 35:169–174. 2013. View Article : Google Scholar : PubMed/NCBI

37 

Cui L, Liu YY, Wu T, Ai CM and Chen HQ: Osteogenic effects of D+beta-3, 4-dihydroxyphenyl lactic acid (salvianic acid A, SAA) on osteoblasts and bone marrow stromal cells of intact and prednisone-treated rats. Acta Pharmacol Sin. 30:321–332. 2009. View Article : Google Scholar : PubMed/NCBI

38 

Lo YH, Chen YJ, Chung TY, Lin NH, Chen WY, Chen CY, Lee MR, Chou CC and Tzen JT: Emoghrelin, a unique emodin derivative in Heshouwu, stimulates growth hormone secretion via activation of the ghrelin receptor. J Ethnopharmacol. 159:1–8. 2015. View Article : Google Scholar : PubMed/NCBI

39 

Kim HJ, Zhao H, Kitaura H, Bhattacharyya S, Brewer JA, Muglia LJ, Ross FP and Teitelbaum SL: Glucocorticoids suppress bone formation via the osteoclast. J Clin Invest. 116:2152–2160. 2006. View Article : Google Scholar : PubMed/NCBI

40 

Ehrlich PJ and Lanyon LE: Mechanical strain and bone cell function: A review. Osteoporos Int. 13:688–700. 2002. View Article : Google Scholar : PubMed/NCBI

41 

Bafico A, Liu G, Yaniv A, Gazit A and Aaronson SA: Novel mechanism of Wnt signalling inhibition mediated by Dickkopf-1 interaction with LRP6/Arrow. Nat Cell Biol. 3:683–686. 2001. View Article : Google Scholar : PubMed/NCBI

42 

Rossini M, Gatti D and Adami S: Involvement of WNT/β-catenin signaling in the treatment of osteoporosis. Calcif Tissue Int. 93:121–132. 2013. View Article : Google Scholar : PubMed/NCBI

Related Articles

  • Abstract
  • View
  • Download
  • Twitter
Copy and paste a formatted citation
Spandidos Publications style
Zhou M, Wu J, Yu Y, Yang Y, Li J, Cui L, Yao W and Liu Y: Polygonum multiflorm alleviates glucocorticoid‑induced osteoporosis and Wnt signaling pathway. Mol Med Rep 17: 970-978, 2018.
APA
Zhou, M., Wu, J., Yu, Y., Yang, Y., Li, J., Cui, L. ... Liu, Y. (2018). Polygonum multiflorm alleviates glucocorticoid‑induced osteoporosis and Wnt signaling pathway. Molecular Medicine Reports, 17, 970-978. https://doi.org/10.3892/mmr.2017.7997
MLA
Zhou, M., Wu, J., Yu, Y., Yang, Y., Li, J., Cui, L., Yao, W., Liu, Y."Polygonum multiflorm alleviates glucocorticoid‑induced osteoporosis and Wnt signaling pathway". Molecular Medicine Reports 17.1 (2018): 970-978.
Chicago
Zhou, M., Wu, J., Yu, Y., Yang, Y., Li, J., Cui, L., Yao, W., Liu, Y."Polygonum multiflorm alleviates glucocorticoid‑induced osteoporosis and Wnt signaling pathway". Molecular Medicine Reports 17, no. 1 (2018): 970-978. https://doi.org/10.3892/mmr.2017.7997
Copy and paste a formatted citation
x
Spandidos Publications style
Zhou M, Wu J, Yu Y, Yang Y, Li J, Cui L, Yao W and Liu Y: Polygonum multiflorm alleviates glucocorticoid‑induced osteoporosis and Wnt signaling pathway. Mol Med Rep 17: 970-978, 2018.
APA
Zhou, M., Wu, J., Yu, Y., Yang, Y., Li, J., Cui, L. ... Liu, Y. (2018). Polygonum multiflorm alleviates glucocorticoid‑induced osteoporosis and Wnt signaling pathway. Molecular Medicine Reports, 17, 970-978. https://doi.org/10.3892/mmr.2017.7997
MLA
Zhou, M., Wu, J., Yu, Y., Yang, Y., Li, J., Cui, L., Yao, W., Liu, Y."Polygonum multiflorm alleviates glucocorticoid‑induced osteoporosis and Wnt signaling pathway". Molecular Medicine Reports 17.1 (2018): 970-978.
Chicago
Zhou, M., Wu, J., Yu, Y., Yang, Y., Li, J., Cui, L., Yao, W., Liu, Y."Polygonum multiflorm alleviates glucocorticoid‑induced osteoporosis and Wnt signaling pathway". Molecular Medicine Reports 17, no. 1 (2018): 970-978. https://doi.org/10.3892/mmr.2017.7997
Follow us
  • Twitter
  • LinkedIn
  • Facebook
About
  • Spandidos Publications
  • Careers
  • Cookie Policy
  • Privacy Policy
How can we help?
  • Help
  • Live Chat
  • Contact
  • Email to our Support Team