Spandidos Publications Logo
  • About
    • About Spandidos
    • Aims and Scopes
    • Abstracting and Indexing
    • Editorial Policies
    • Reprints and Permissions
    • Job Opportunities
    • Terms and Conditions
    • Contact
  • Journals
    • All Journals
    • Oncology Letters
      • Oncology Letters
      • Information for Authors
      • Editorial Policies
      • Editorial Board
      • Aims and Scope
      • Abstracting and Indexing
      • Bibliographic Information
      • Archive
    • International Journal of Oncology
      • International Journal of Oncology
      • Information for Authors
      • Editorial Policies
      • Editorial Board
      • Aims and Scope
      • Abstracting and Indexing
      • Bibliographic Information
      • Archive
    • Molecular and Clinical Oncology
      • Molecular and Clinical Oncology
      • Information for Authors
      • Editorial Policies
      • Editorial Board
      • Aims and Scope
      • Abstracting and Indexing
      • Bibliographic Information
      • Archive
    • Experimental and Therapeutic Medicine
      • Experimental and Therapeutic Medicine
      • Information for Authors
      • Editorial Policies
      • Editorial Board
      • Aims and Scope
      • Abstracting and Indexing
      • Bibliographic Information
      • Archive
    • International Journal of Molecular Medicine
      • International Journal of Molecular Medicine
      • Information for Authors
      • Editorial Policies
      • Editorial Board
      • Aims and Scope
      • Abstracting and Indexing
      • Bibliographic Information
      • Archive
    • Biomedical Reports
      • Biomedical Reports
      • Information for Authors
      • Editorial Policies
      • Editorial Board
      • Aims and Scope
      • Abstracting and Indexing
      • Bibliographic Information
      • Archive
    • Oncology Reports
      • Oncology Reports
      • Information for Authors
      • Editorial Policies
      • Editorial Board
      • Aims and Scope
      • Abstracting and Indexing
      • Bibliographic Information
      • Archive
    • Molecular Medicine Reports
      • Molecular Medicine Reports
      • Information for Authors
      • Editorial Policies
      • Editorial Board
      • Aims and Scope
      • Abstracting and Indexing
      • Bibliographic Information
      • Archive
    • World Academy of Sciences Journal
      • World Academy of Sciences Journal
      • Information for Authors
      • Editorial Policies
      • Editorial Board
      • Aims and Scope
      • Abstracting and Indexing
      • Bibliographic Information
      • Archive
    • International Journal of Functional Nutrition
      • International Journal of Functional Nutrition
      • Information for Authors
      • Editorial Policies
      • Editorial Board
      • Aims and Scope
      • Abstracting and Indexing
      • Bibliographic Information
      • Archive
    • International Journal of Epigenetics
      • International Journal of Epigenetics
      • Information for Authors
      • Editorial Policies
      • Editorial Board
      • Aims and Scope
      • Abstracting and Indexing
      • Bibliographic Information
      • Archive
    • Medicine International
      • Medicine International
      • Information for Authors
      • Editorial Policies
      • Editorial Board
      • Aims and Scope
      • Abstracting and Indexing
      • Bibliographic Information
      • Archive
  • Articles
  • Information
    • Information for Authors
    • Information for Reviewers
    • Information for Librarians
    • Information for Advertisers
    • Conferences
  • Language Editing
Spandidos Publications Logo
  • About
    • About Spandidos
    • Aims and Scopes
    • Abstracting and Indexing
    • Editorial Policies
    • Reprints and Permissions
    • Job Opportunities
    • Terms and Conditions
    • Contact
  • Journals
    • All Journals
    • Biomedical Reports
      • Information for Authors
      • Editorial Policies
      • Editorial Board
      • Aims and Scope
      • Abstracting and Indexing
      • Bibliographic Information
      • Archive
    • Experimental and Therapeutic Medicine
      • Information for Authors
      • Editorial Policies
      • Editorial Board
      • Aims and Scope
      • Abstracting and Indexing
      • Bibliographic Information
      • Archive
    • International Journal of Epigenetics
      • Information for Authors
      • Editorial Policies
      • Editorial Board
      • Aims and Scope
      • Abstracting and Indexing
      • Bibliographic Information
      • Archive
    • International Journal of Functional Nutrition
      • Information for Authors
      • Editorial Policies
      • Editorial Board
      • Aims and Scope
      • Abstracting and Indexing
      • Bibliographic Information
      • Archive
    • International Journal of Molecular Medicine
      • Information for Authors
      • Editorial Policies
      • Editorial Board
      • Aims and Scope
      • Abstracting and Indexing
      • Bibliographic Information
      • Archive
    • International Journal of Oncology
      • Information for Authors
      • Editorial Policies
      • Editorial Board
      • Aims and Scope
      • Abstracting and Indexing
      • Bibliographic Information
      • Archive
    • Medicine International
      • Information for Authors
      • Editorial Policies
      • Editorial Board
      • Aims and Scope
      • Abstracting and Indexing
      • Bibliographic Information
      • Archive
    • Molecular and Clinical Oncology
      • Information for Authors
      • Editorial Policies
      • Editorial Board
      • Aims and Scope
      • Abstracting and Indexing
      • Bibliographic Information
      • Archive
    • Molecular Medicine Reports
      • Information for Authors
      • Editorial Policies
      • Editorial Board
      • Aims and Scope
      • Abstracting and Indexing
      • Bibliographic Information
      • Archive
    • Oncology Letters
      • Information for Authors
      • Editorial Policies
      • Editorial Board
      • Aims and Scope
      • Abstracting and Indexing
      • Bibliographic Information
      • Archive
    • Oncology Reports
      • Information for Authors
      • Editorial Policies
      • Editorial Board
      • Aims and Scope
      • Abstracting and Indexing
      • Bibliographic Information
      • Archive
    • World Academy of Sciences Journal
      • Information for Authors
      • Editorial Policies
      • Editorial Board
      • Aims and Scope
      • Abstracting and Indexing
      • Bibliographic Information
      • Archive
  • Articles
  • Information
    • For Authors
    • For Reviewers
    • For Librarians
    • For Advertisers
    • Conferences
  • Language Editing
Login Register Submit
  • This site uses cookies
  • You can change your cookie settings at any time by following the instructions in our Cookie Policy. To find out more, you may read our Privacy Policy.

    I agree
Search articles by DOI, keyword, author or affiliation
Search
Advanced Search
presentation
Molecular Medicine Reports
Join Editorial Board Propose a Special Issue
Print ISSN: 1791-2997 Online ISSN: 1791-3004
Journal Cover
March-2018 Volume 17 Issue 3

Full Size Image

Sign up for eToc alerts
Recommend to Library

Journals

International Journal of Molecular Medicine

International Journal of Molecular Medicine

International Journal of Molecular Medicine is an international journal devoted to molecular mechanisms of human disease.

International Journal of Oncology

International Journal of Oncology

International Journal of Oncology is an international journal devoted to oncology research and cancer treatment.

Molecular Medicine Reports

Molecular Medicine Reports

Covers molecular medicine topics such as pharmacology, pathology, genetics, neuroscience, infectious diseases, molecular cardiology, and molecular surgery.

Oncology Reports

Oncology Reports

Oncology Reports is an international journal devoted to fundamental and applied research in Oncology.

Experimental and Therapeutic Medicine

Experimental and Therapeutic Medicine

Experimental and Therapeutic Medicine is an international journal devoted to laboratory and clinical medicine.

Oncology Letters

Oncology Letters

Oncology Letters is an international journal devoted to Experimental and Clinical Oncology.

Biomedical Reports

Biomedical Reports

Explores a wide range of biological and medical fields, including pharmacology, genetics, microbiology, neuroscience, and molecular cardiology.

Molecular and Clinical Oncology

Molecular and Clinical Oncology

International journal addressing all aspects of oncology research, from tumorigenesis and oncogenes to chemotherapy and metastasis.

World Academy of Sciences Journal

World Academy of Sciences Journal

Multidisciplinary open-access journal spanning biochemistry, genetics, neuroscience, environmental health, and synthetic biology.

International Journal of Functional Nutrition

International Journal of Functional Nutrition

Open-access journal combining biochemistry, pharmacology, immunology, and genetics to advance health through functional nutrition.

International Journal of Epigenetics

International Journal of Epigenetics

Publishes open-access research on using epigenetics to advance understanding and treatment of human disease.

Medicine International

Medicine International

An International Open Access Journal Devoted to General Medicine.

Journal Cover
March-2018 Volume 17 Issue 3

Full Size Image

Sign up for eToc alerts
Recommend to Library

  • Article
  • Citations
    • Cite This Article
    • Download Citation
    • Create Citation Alert
    • Remove Citation Alert
    • Cited By
  • Similar Articles
    • Related Articles (in Spandidos Publications)
    • Similar Articles (Google Scholar)
    • Similar Articles (PubMed)
  • Download PDF
  • Download XML
  • View XML
Article Open Access

Water-soluble factors eluated from surface pre-reacted glass-ionomer filler promote osteoblastic differentiation of human mesenchymal stem cells

  • Authors:
    • Akira Nemoto
    • Naoyuki Chosa
    • Seiko Kyakumoto
    • Seiji Yokota
    • Masaharu Kamo
    • Mamoru Noda
    • Akira Ishisaki
  • View Affiliations / Copyright

    Affiliations: Division of Cellular Biosignal Sciences, Department of Biochemistry, Iwate Medical University, Iwate 028‑3694, Japan, Division of Operative Dentistry and Endodontics, Department of Conservative Dentistry, Iwate Medical University, Iwate 020‑8505, Japan
    Copyright: © Nemoto et al. This is an open access article distributed under the terms of Creative Commons Attribution License.
  • Pages: 3448-3454
    |
    Published online on: December 18, 2017
       https://doi.org/10.3892/mmr.2017.8287
  • Expand metrics +
Metrics: Total Views: 0 (Spandidos Publications: | PMC Statistics: )
Metrics: Total PDF Downloads: 0 (Spandidos Publications: | PMC Statistics: )
Cited By (CrossRef): 0 citations Loading Articles...

This article is mentioned in:



Abstract

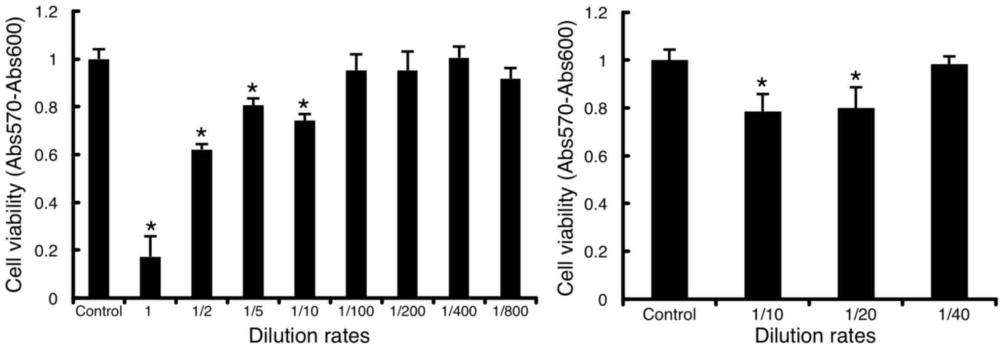
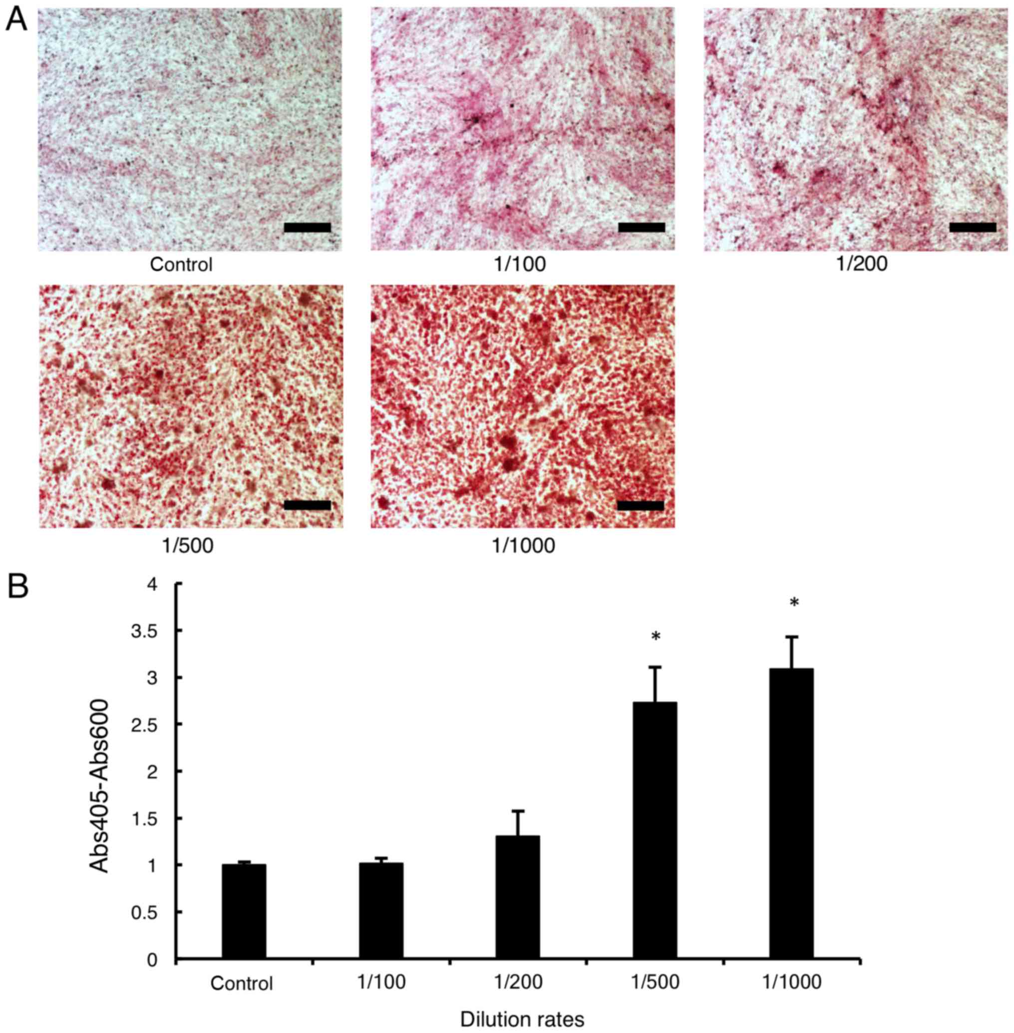
Surface pre-reacted glass‑ionomer (S‑PRG)-containing dental materials, including composite and coating resins have been used for the restoration and/or prevention of dental cavities. S‑PRG is known to have the ability to release aluminum, boron, fluorine, silicon, and strontium ions. Aluminum ions are known to be inhibitors whereas boron, fluorine, silicon, and strontium ions are known to be promoters of mineralization, via osteoblasts. However, it remains to be clarified how an aqueous eluate obtained from S‑PRG containing these ions affects the ability of mesenchymal stem cells (MSCs), which are known to be present in dental pulp and bone marrow, to differentiate into osteogenic cell types. The present study demonstrated that 200‑ to 1,000‑fold‑diluted aqueous eluates obtained from S‑PRG significantly upregulated the mRNA expression level of the osteogenic differentiation marker alkaline phosphatase in human MSCs (hMSCs) without exhibiting the cytotoxic effect. In addition, the 500‑ to 1,000‑fold‑diluted aqueous eluates obtained from S‑PRG significantly and clearly promoted mineralization of the extracellular matrix of hMSCs. It was additionally demonstrated that hMSCs cultured on the cured resin composites containing S‑PRG fillers exhibited osteogenic differentiation in direct correlation with the weight percent of S‑PRG fillers. These results strongly suggested that aqueous eluates of S‑PRG fillers promoted hard tissue formation by hMSCs, implicating that resins containing S‑PRG may act as a useful biomaterial to cover accidental exposure of dental pulp.
View Figures

Figure 1

Figure 2

Figure 3

Figure 4

View References

1 

Hervás-García A, Martínez-Lozano MA, Cabanes-Vila J, Barjau-Escribano A and Fos-Galve P: Composite resins. A review of the materials and clinical indications. Med Oral Pathol Oral Cir Bucal. 11:E215–E220. 2006.(In English, Spanish).

2 

Labella R, Lambrechts P, Van Meerbeek B and Vanherle G: Polymerization shrinkage and elasticity of flowable composites and filled adhesives. Dent Mater. 15:128–137. 1999. View Article : Google Scholar : PubMed/NCBI

3 

Faltermeier A, Rosentritt M, Reicheneder C and Müssig D: Experimental composite brackets: Influence of filler level on the mechanical properties. Am J Orthod Dentofacial Orthop. 130:699. e9–e14. 2006. View Article : Google Scholar

4 

Ikemura K, Tay FR, Endo T and Pashley DH: A review of chemical-approach and ultramorphological studies on the development of fluoride-releasing dental adhesives comprising new pre-reacted glass ionomer (PRG) fillers. Dent Mater J. 27:315–339. 2008. View Article : Google Scholar : PubMed/NCBI

5 

Ito S, IIjima M, Hashimoto M, Tsukamoto N, Mizoguchi I and Saito T: Effects of surface pre-reacted glass-ionomerfillers on mineral induction by phosphoprotein. J Dent. 39:72–79. 2011. View Article : Google Scholar : PubMed/NCBI

6 

Iijima Y and Koulourides T: Fluoride incorporation into and retention in remineralized enamel. J Dent Res. 68:1289–1292. 1989. View Article : Google Scholar : PubMed/NCBI

7 

Siiya T, Tomiyama K, Iizuka J, Hasegawa H, Kuramochi E, Fujino F, Ohashi K, Nihei T, Teranaka T and Mukai Y: Effect of the coating material on root dentin remineralization in vitro. Am J Dent. 27:258–262. 2014.PubMed/NCBI

8 

Movahedi Najafabadi BA and Abnosi MH: Boron induces early matrix mineralization via calcium deposition and elevation of alkaline phosphatase activity in differentiated rat bone marrow mesenchymal stem cells. Cell J. 18:62–73. 2016.PubMed/NCBI

9 

Taşlı PN, Doğan A, Demirci S and Şahin F: Boron enhances odontogenic and osteogenic differentiation of human tooth germ stem cells (hTGSC) in vitro. Biol Trace Elem Res. 153:419–427. 2013. View Article : Google Scholar : PubMed/NCBI

10 

Doğan A, Demirci S, Bayir Y, Halici Z, Karakus E, Aydin A, Cadirci E, Albayrak A, Dermici E, Karaman A, et al: Boron containing poly-(lactide-co-glycolide-acid) (PLGA) scaffolds for bone tissue engineering. Mater Sci Eng C Mater Biol Appl. 44:246–253. 2014. View Article : Google Scholar : PubMed/NCBI

11 

Reffitt DM, Ogston N, Jugdaohsingh R, Cheung HF, Evans BA, Thompson RP, Powell JJ and Hampson GN: Orthosilicic acid stimulates collagen type I synthesis and osteoblastic differentiation in human osteoblast-like cells in vitro. Bone. 32:127–135. 2003. View Article : Google Scholar : PubMed/NCBI

12 

Müller WE, Tolba E, Schröder HC, Diehl-Seifert B, Link T and Wang X: Biosilica-loaded poly (ε-caprolactone) nanofibers mats provide a morphogenetically active surface scaffold for the growth and mineralization of the osteoclast-related SaOS-2 cells. Biotechnol J. 9:1312–1321. 2014. View Article : Google Scholar : PubMed/NCBI

13 

Wang S, Wang X, Draenert FG, Albert O, Schröder HC, Mailänder V, Mitov G and Müller WE: Bioactive and biodegradable silica biomaterial for bone regeneration. Bone. 67:292–304. 2014. View Article : Google Scholar : PubMed/NCBI

14 

Ni GX, Yao ZP, Huang GT, Liu WG and Lu WW: The effect of strontium incorporation in hydroxyapatite on osteoblasts in vitro. J Mater Sci Mater Med. 22:961–967. 2011. View Article : Google Scholar : PubMed/NCBI

15 

Su WT, Chou WL and Chou CM: Osteoblastic differentiation of stem cells from human exfoliated deciduous teeth induced by thermosensitive hydrogels with strontium phosphate. Mater Sci Eng C Mater Biol Appl. 52:46–53. 2015. View Article : Google Scholar : PubMed/NCBI

16 

Zhang W, Wang G, Liu Y, Zhao X, Zou D, Zhu C, Jin Y, Huang Q, Sun J, Liu X, et al: The synergistic effect of hierarchical micro/nano-topography and bioactive ions for enhanced osseointegration. Biomaterials. 34:3184–3195. 2013. View Article : Google Scholar : PubMed/NCBI

17 

Cao Z, Fu Y, Sun X, Zhang Q, Xu F and Li Y: Aluminum trichloride inhibits osteoblastic differentiation through inactivation of Wnt/β-catenin signaling pathway in rat osteoblasts. Environ Toxicol Pharmacol. 42:198–204. 2016. View Article : Google Scholar : PubMed/NCBI

18 

Sun X, Cao Z, Zhang Q, Li M, Han L and Li Y: Aluminum trichloride inhibits osteoblast mineralization via TGF-β1/Smad signaling pathway. Chem Biol Interact. 244:9–15. 2016. View Article : Google Scholar : PubMed/NCBI

19 

Cao Z, Liu D, Zhang Q, Sun X and Li Y: Aluminum chloride induces osteoblasts apoptosis via disrupting calcium homeostasis and activating Ca(2+)/CaMKII signal pathway. Biol Trace Elem Res. 169:247–253. 2016. View Article : Google Scholar : PubMed/NCBI

20 

Li X, Hu C, Zhu Y, Sun H, Li Y and Zhang Z: Effects of aluminum exposure on bone mineral density, mineral and trace elements in rats. Biol Trace Elem Res. 143:378–385. 2011. View Article : Google Scholar : PubMed/NCBI

21 

Mori T, Kiyono T, Imabayashi H, Takeda Y, Tsuchiya K, Miyoshi S, Makino H, Matsumoto K, Saito H, Ogawa S, et al: Combination of hTERT and bmi-1, E6 and E7 induces prolongation of the life span of bone marrow stromal cells from an elderly donor without affecting their neurogenic potential. Mol Cell Biol. 25:5183–5195. 2005. View Article : Google Scholar : PubMed/NCBI

22 

Shimomura T, Yoshida Y, Sakabe T, Ishii K, Gonda K, Murai R, Takubo K, Tsuchiya H, Hoshikawa Y, Kurimasa A, et al: Hepatic differentiation of human bone marrow-derived UE7T-13 cells: Effects of cytokines and CCN family gene expression. Hepatol Res. 37:1068–1079. 2007. View Article : Google Scholar : PubMed/NCBI

23 

Hakki SS, Bozcurt BS and Hakki EE: Boron regulates mineralized tissue-associated proteinsin osteoblasts (MC3T3-E1). J Trace Elem Med Biol. 24:243–250. 2010. View Article : Google Scholar : PubMed/NCBI

24 

Zou S, Ireland D, Brooks RA, Rushton N and Best S: The effects of silicate ions on human osteoblast adhesion, proliferation and differentiation. J Biomed Mater Res B Appl Biomater. 90:123–130. 2009.PubMed/NCBI

25 

Varanasi VG, Leong KK, Dominia LM, Jue SM, Loomer PM and Marshall GW: Si and Ca individually and combinatorially target enhanced MC3T3-E1 subclone 4 early osteogenic marker expression. J Oral Implantol. 38:325–336. 2012. View Article : Google Scholar : PubMed/NCBI

26 

Bao X, Liu X, Zhang Y, Cui Y, Yao J and Hu M: Strontium promotes cementoblasts differentiation through inhibiting sclerostin expression in vitro. Biomed Res Int. 2014:4875352014. View Article : Google Scholar : PubMed/NCBI

27 

Nakade O, Koyama H, Arai J, Ariji H, Takada J and Kaku T: Stimulation by low concentrations of fluoride of the proliferation and alkaline phosphatase activity of human dental pulp cells in vivo. Arch Oral Biol. 44:89–92. 1999. View Article : Google Scholar : PubMed/NCBI

28 

Zhu Y, Xu F, Yan X, Miao L, Li H, Hu C, Wang Z, Lian S, Feng Z and Li Y: The suppressive effects of aluminium chloride on the osteoblasts function. Environ Toxicol Pharmacol. 48:125–129. 2016. View Article : Google Scholar : PubMed/NCBI

29 

Ji YM, Jeon SH, Park JY, Chung JH, Choung YH and Choung PH: Dental stem cell therapy with calcium hydroxide in dental pulp capping. Tissue Eng Part A. 16:1823–1833. 2010. View Article : Google Scholar : PubMed/NCBI

30 

Hu L, Liu Y and Wang S: Stem cell-based tooth and periodontal regeneration. Oral Dis. 2017. View Article : Google Scholar :

Related Articles

  • Abstract
  • View
  • Download
  • Twitter
Copy and paste a formatted citation
Spandidos Publications style
Nemoto A, Chosa N, Kyakumoto S, Yokota S, Kamo M, Noda M and Ishisaki A: Water-soluble factors eluated from surface pre-reacted glass-ionomer filler promote osteoblastic differentiation of human mesenchymal stem cells. Mol Med Rep 17: 3448-3454, 2018.
APA
Nemoto, A., Chosa, N., Kyakumoto, S., Yokota, S., Kamo, M., Noda, M., & Ishisaki, A. (2018). Water-soluble factors eluated from surface pre-reacted glass-ionomer filler promote osteoblastic differentiation of human mesenchymal stem cells. Molecular Medicine Reports, 17, 3448-3454. https://doi.org/10.3892/mmr.2017.8287
MLA
Nemoto, A., Chosa, N., Kyakumoto, S., Yokota, S., Kamo, M., Noda, M., Ishisaki, A."Water-soluble factors eluated from surface pre-reacted glass-ionomer filler promote osteoblastic differentiation of human mesenchymal stem cells". Molecular Medicine Reports 17.3 (2018): 3448-3454.
Chicago
Nemoto, A., Chosa, N., Kyakumoto, S., Yokota, S., Kamo, M., Noda, M., Ishisaki, A."Water-soluble factors eluated from surface pre-reacted glass-ionomer filler promote osteoblastic differentiation of human mesenchymal stem cells". Molecular Medicine Reports 17, no. 3 (2018): 3448-3454. https://doi.org/10.3892/mmr.2017.8287
Copy and paste a formatted citation
x
Spandidos Publications style
Nemoto A, Chosa N, Kyakumoto S, Yokota S, Kamo M, Noda M and Ishisaki A: Water-soluble factors eluated from surface pre-reacted glass-ionomer filler promote osteoblastic differentiation of human mesenchymal stem cells. Mol Med Rep 17: 3448-3454, 2018.
APA
Nemoto, A., Chosa, N., Kyakumoto, S., Yokota, S., Kamo, M., Noda, M., & Ishisaki, A. (2018). Water-soluble factors eluated from surface pre-reacted glass-ionomer filler promote osteoblastic differentiation of human mesenchymal stem cells. Molecular Medicine Reports, 17, 3448-3454. https://doi.org/10.3892/mmr.2017.8287
MLA
Nemoto, A., Chosa, N., Kyakumoto, S., Yokota, S., Kamo, M., Noda, M., Ishisaki, A."Water-soluble factors eluated from surface pre-reacted glass-ionomer filler promote osteoblastic differentiation of human mesenchymal stem cells". Molecular Medicine Reports 17.3 (2018): 3448-3454.
Chicago
Nemoto, A., Chosa, N., Kyakumoto, S., Yokota, S., Kamo, M., Noda, M., Ishisaki, A."Water-soluble factors eluated from surface pre-reacted glass-ionomer filler promote osteoblastic differentiation of human mesenchymal stem cells". Molecular Medicine Reports 17, no. 3 (2018): 3448-3454. https://doi.org/10.3892/mmr.2017.8287
Follow us
  • Twitter
  • LinkedIn
  • Facebook
About
  • Spandidos Publications
  • Careers
  • Cookie Policy
  • Privacy Policy
How can we help?
  • Help
  • Live Chat
  • Contact
  • Email to our Support Team