Spandidos Publications Logo
  • About
    • About Spandidos
    • Aims and Scopes
    • Abstracting and Indexing
    • Editorial Policies
    • Reprints and Permissions
    • Job Opportunities
    • Terms and Conditions
    • Contact
  • Journals
    • All Journals
    • Oncology Letters
      • Oncology Letters
      • Information for Authors
      • Editorial Policies
      • Editorial Board
      • Aims and Scope
      • Abstracting and Indexing
      • Bibliographic Information
      • Archive
    • International Journal of Oncology
      • International Journal of Oncology
      • Information for Authors
      • Editorial Policies
      • Editorial Board
      • Aims and Scope
      • Abstracting and Indexing
      • Bibliographic Information
      • Archive
    • Molecular and Clinical Oncology
      • Molecular and Clinical Oncology
      • Information for Authors
      • Editorial Policies
      • Editorial Board
      • Aims and Scope
      • Abstracting and Indexing
      • Bibliographic Information
      • Archive
    • Experimental and Therapeutic Medicine
      • Experimental and Therapeutic Medicine
      • Information for Authors
      • Editorial Policies
      • Editorial Board
      • Aims and Scope
      • Abstracting and Indexing
      • Bibliographic Information
      • Archive
    • International Journal of Molecular Medicine
      • International Journal of Molecular Medicine
      • Information for Authors
      • Editorial Policies
      • Editorial Board
      • Aims and Scope
      • Abstracting and Indexing
      • Bibliographic Information
      • Archive
    • Biomedical Reports
      • Biomedical Reports
      • Information for Authors
      • Editorial Policies
      • Editorial Board
      • Aims and Scope
      • Abstracting and Indexing
      • Bibliographic Information
      • Archive
    • Oncology Reports
      • Oncology Reports
      • Information for Authors
      • Editorial Policies
      • Editorial Board
      • Aims and Scope
      • Abstracting and Indexing
      • Bibliographic Information
      • Archive
    • Molecular Medicine Reports
      • Molecular Medicine Reports
      • Information for Authors
      • Editorial Policies
      • Editorial Board
      • Aims and Scope
      • Abstracting and Indexing
      • Bibliographic Information
      • Archive
    • World Academy of Sciences Journal
      • World Academy of Sciences Journal
      • Information for Authors
      • Editorial Policies
      • Editorial Board
      • Aims and Scope
      • Abstracting and Indexing
      • Bibliographic Information
      • Archive
    • International Journal of Functional Nutrition
      • International Journal of Functional Nutrition
      • Information for Authors
      • Editorial Policies
      • Editorial Board
      • Aims and Scope
      • Abstracting and Indexing
      • Bibliographic Information
      • Archive
    • International Journal of Epigenetics
      • International Journal of Epigenetics
      • Information for Authors
      • Editorial Policies
      • Editorial Board
      • Aims and Scope
      • Abstracting and Indexing
      • Bibliographic Information
      • Archive
    • Medicine International
      • Medicine International
      • Information for Authors
      • Editorial Policies
      • Editorial Board
      • Aims and Scope
      • Abstracting and Indexing
      • Bibliographic Information
      • Archive
  • Articles
  • Information
    • Information for Authors
    • Information for Reviewers
    • Information for Librarians
    • Information for Advertisers
    • Conferences
  • Language Editing
Spandidos Publications Logo
  • About
    • About Spandidos
    • Aims and Scopes
    • Abstracting and Indexing
    • Editorial Policies
    • Reprints and Permissions
    • Job Opportunities
    • Terms and Conditions
    • Contact
  • Journals
    • All Journals
    • Biomedical Reports
      • Information for Authors
      • Editorial Policies
      • Editorial Board
      • Aims and Scope
      • Abstracting and Indexing
      • Bibliographic Information
      • Archive
    • Experimental and Therapeutic Medicine
      • Information for Authors
      • Editorial Policies
      • Editorial Board
      • Aims and Scope
      • Abstracting and Indexing
      • Bibliographic Information
      • Archive
    • International Journal of Epigenetics
      • Information for Authors
      • Editorial Policies
      • Editorial Board
      • Aims and Scope
      • Abstracting and Indexing
      • Bibliographic Information
      • Archive
    • International Journal of Functional Nutrition
      • Information for Authors
      • Editorial Policies
      • Editorial Board
      • Aims and Scope
      • Abstracting and Indexing
      • Bibliographic Information
      • Archive
    • International Journal of Molecular Medicine
      • Information for Authors
      • Editorial Policies
      • Editorial Board
      • Aims and Scope
      • Abstracting and Indexing
      • Bibliographic Information
      • Archive
    • International Journal of Oncology
      • Information for Authors
      • Editorial Policies
      • Editorial Board
      • Aims and Scope
      • Abstracting and Indexing
      • Bibliographic Information
      • Archive
    • Medicine International
      • Information for Authors
      • Editorial Policies
      • Editorial Board
      • Aims and Scope
      • Abstracting and Indexing
      • Bibliographic Information
      • Archive
    • Molecular and Clinical Oncology
      • Information for Authors
      • Editorial Policies
      • Editorial Board
      • Aims and Scope
      • Abstracting and Indexing
      • Bibliographic Information
      • Archive
    • Molecular Medicine Reports
      • Information for Authors
      • Editorial Policies
      • Editorial Board
      • Aims and Scope
      • Abstracting and Indexing
      • Bibliographic Information
      • Archive
    • Oncology Letters
      • Information for Authors
      • Editorial Policies
      • Editorial Board
      • Aims and Scope
      • Abstracting and Indexing
      • Bibliographic Information
      • Archive
    • Oncology Reports
      • Information for Authors
      • Editorial Policies
      • Editorial Board
      • Aims and Scope
      • Abstracting and Indexing
      • Bibliographic Information
      • Archive
    • World Academy of Sciences Journal
      • Information for Authors
      • Editorial Policies
      • Editorial Board
      • Aims and Scope
      • Abstracting and Indexing
      • Bibliographic Information
      • Archive
  • Articles
  • Information
    • For Authors
    • For Reviewers
    • For Librarians
    • For Advertisers
    • Conferences
  • Language Editing
Login Register Submit
  • This site uses cookies
  • You can change your cookie settings at any time by following the instructions in our Cookie Policy. To find out more, you may read our Privacy Policy.

    I agree
Search articles by DOI, keyword, author or affiliation
Search
Advanced Search
presentation
Molecular Medicine Reports
Join Editorial Board Propose a Special Issue
Print ISSN: 1791-2997 Online ISSN: 1791-3004
Journal Cover
April-2018 Volume 17 Issue 4

Full Size Image

Sign up for eToc alerts
Recommend to Library

Journals

International Journal of Molecular Medicine

International Journal of Molecular Medicine

International Journal of Molecular Medicine is an international journal devoted to molecular mechanisms of human disease.

International Journal of Oncology

International Journal of Oncology

International Journal of Oncology is an international journal devoted to oncology research and cancer treatment.

Molecular Medicine Reports

Molecular Medicine Reports

Covers molecular medicine topics such as pharmacology, pathology, genetics, neuroscience, infectious diseases, molecular cardiology, and molecular surgery.

Oncology Reports

Oncology Reports

Oncology Reports is an international journal devoted to fundamental and applied research in Oncology.

Experimental and Therapeutic Medicine

Experimental and Therapeutic Medicine

Experimental and Therapeutic Medicine is an international journal devoted to laboratory and clinical medicine.

Oncology Letters

Oncology Letters

Oncology Letters is an international journal devoted to Experimental and Clinical Oncology.

Biomedical Reports

Biomedical Reports

Explores a wide range of biological and medical fields, including pharmacology, genetics, microbiology, neuroscience, and molecular cardiology.

Molecular and Clinical Oncology

Molecular and Clinical Oncology

International journal addressing all aspects of oncology research, from tumorigenesis and oncogenes to chemotherapy and metastasis.

World Academy of Sciences Journal

World Academy of Sciences Journal

Multidisciplinary open-access journal spanning biochemistry, genetics, neuroscience, environmental health, and synthetic biology.

International Journal of Functional Nutrition

International Journal of Functional Nutrition

Open-access journal combining biochemistry, pharmacology, immunology, and genetics to advance health through functional nutrition.

International Journal of Epigenetics

International Journal of Epigenetics

Publishes open-access research on using epigenetics to advance understanding and treatment of human disease.

Medicine International

Medicine International

An International Open Access Journal Devoted to General Medicine.

Journal Cover
April-2018 Volume 17 Issue 4

Full Size Image

Sign up for eToc alerts
Recommend to Library

  • Article
  • Citations
    • Cite This Article
    • Download Citation
    • Create Citation Alert
    • Remove Citation Alert
    • Cited By
  • Similar Articles
    • Related Articles (in Spandidos Publications)
    • Similar Articles (Google Scholar)
    • Similar Articles (PubMed)
  • Download PDF
  • Download XML
  • View XML
Article Open Access

Effect of cyclooxygenase‑2 inhibition on the development of post‑traumatic stress disorder in rats

  • Authors:
    • Mengyang Wang
    • Faliang Duan
    • Jinglei Wu
    • Qiang Min
    • Qiaochun Huang
    • Ming Luo
    • Zhuqiang He
  • View Affiliations / Copyright

    Affiliations: Department of Neurosurgery, Wuhan No. 1 Hospital, Wuhan, Hubei 430022, P.R. China
    Copyright: © Wang et al. This is an open access article distributed under the terms of Creative Commons Attribution License.
  • Pages: 4925-4932
    |
    Published online on: January 31, 2018
       https://doi.org/10.3892/mmr.2018.8525
  • Expand metrics +
Metrics: Total Views: 0 (Spandidos Publications: | PMC Statistics: )
Metrics: Total PDF Downloads: 0 (Spandidos Publications: | PMC Statistics: )
Cited By (CrossRef): 0 citations Loading Articles...

This article is mentioned in:



Abstract

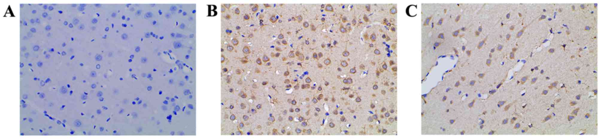
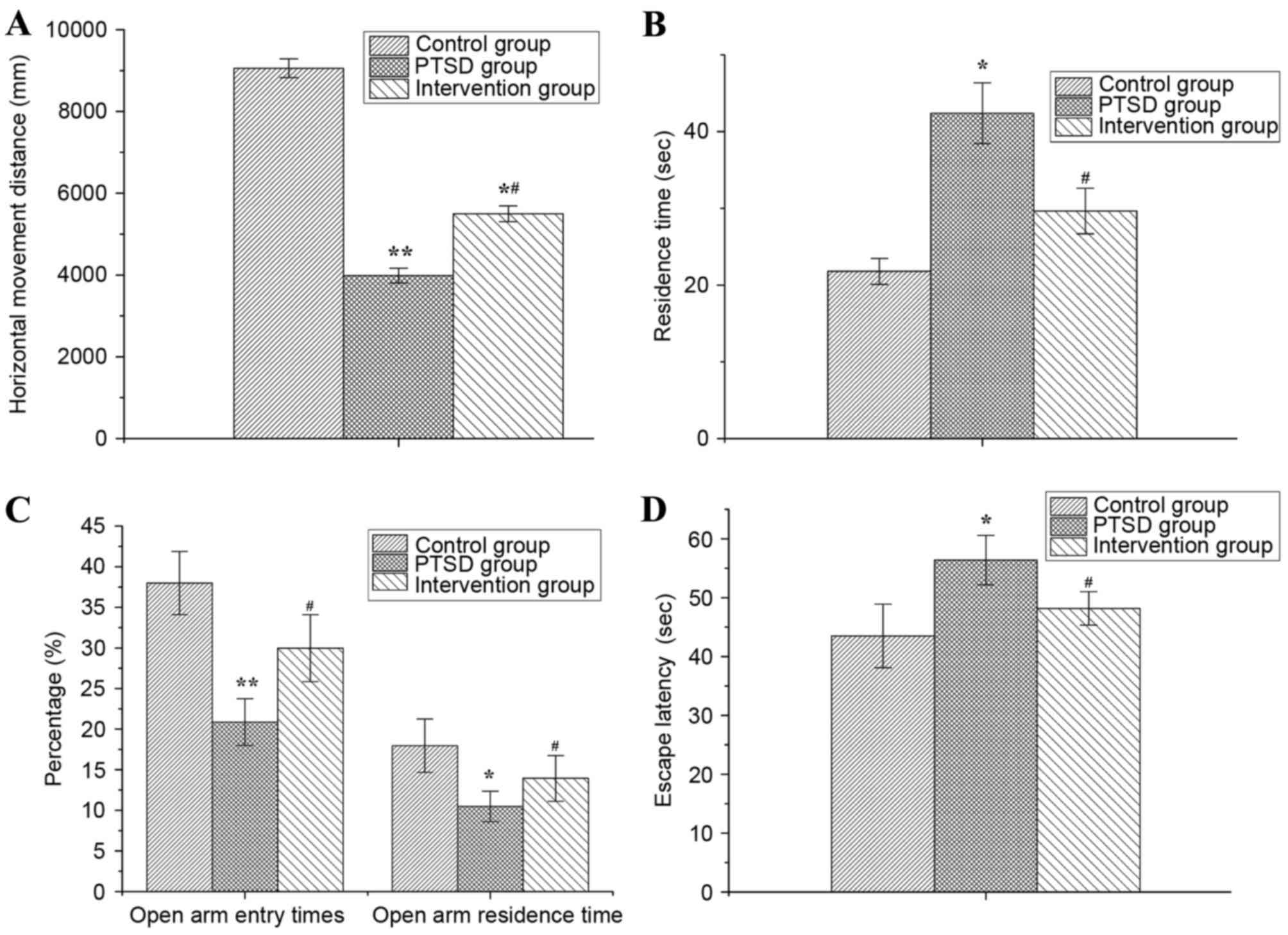
Post‑traumatic stress disorder (PTSD) is characterized by re‑experiencing of a traumatic event, avoidance of trauma‑associated stimulation, general changes in mood and cognition, and hyper arousal symptoms. Cyclooxygenase is involved in the production of prostaglandins and thromboxanes, and its inducible form cyclooxygenase‑2(COX‑2), an important mediator of cell injury in inflammation, is primarily expressed in leukocytes and brain cells. The present study investigated the expression of COX‑2 in the hippocampi of rats with PTSD and evaluated the effect of COX‑2 inhibition on PTSD. Adult male Wistar rats were randomly divided into three groups: Control (n=20), PTSD (n=20) and intervention group (PTSD+COX‑2 inhibitor treatment, n=20). The expression of COX‑2 was detected by immunohistochemistry, reverse transcription‑quantitative polymerase chain reaction and western blotting. Terminal deoxynucleotidyl transferase mediated dUTP nick end labeling staining was used to observe the apoptosis of rat hippocampal neurons. Tumor necrosis factor α (TNF‑α), interleukin (IL)‑6 and prostaglandin E2 (PGE2) levels were analyzed by ELISA. Nitric oxide (NO) was detected using the Griess test. The behavioral and cognitive function of rats in the PTSD group was significantly decreased compared with the control group, while the behavioral and cognitive function of rats in the intervention group were improved. The COX‑2 mRNA and protein expression levels in hippocampi of rats in the PTSD group were higher than in the control and intervention group. The apoptosis of hippocampus in rats with PTSD was significantly increased compared with the control group and following treatment with COX‑2 inhibitor, apoptosis was decreased. In addition, compared with the control group and intervention group, the levels of TNF‑α, IL‑6, PGE2 and NO in hippocampi of rats were increased in the PTSD group. The present study indicated that COX‑2 may be involved in the pathogenesis of PTSD, and inhibition of its expression serves a neuroprotective role in hippocampi of PTSD rats.
View Figures

Figure 1

Figure 2

Figure 3

Figure 4

Figure 5

Figure 6

Figure 7

View References

1 

Jones KD, Young T and Leppma M: Mild traumatic brain injury and posttraumatic stress disorder in returning Iraq and Afghanistan War Veterans: Implications for assessment and diagnosis. J Counsel Dev. 88:372–376. 2010. View Article : Google Scholar

2 

Olatunji BO, Cisler JM and Tolin DF: Quality of life in the anxiety disorders: A meta-analytic review. Clin Psychol Rev. 27:572–581. 2007. View Article : Google Scholar : PubMed/NCBI

3 

Pietrzak RH, Goldstein RB, Southwick SM and Grant BF: Psychiatric comorbidity of full and partial posttraumatic stress disorder among older adults in the United States: Results from wave 2 of the National Epidemiologic Survey on Alcohol and Related Conditions. Am J Geriatr Psychiatry. 20:380–390. 2012. View Article : Google Scholar : PubMed/NCBI

4 

Cohen H, Kaplan Z, Koresh O, Matar MA, Geva AB and Zohar J: Early post-stressor intervention with propranolol is ineffective in preventing posttraumatic stress responses in an animal model for PTSD. Eur Neuro Psychopharmacol. 21:230–240. 2011. View Article : Google Scholar

5 

Rauch SA, Morales KH, Zubritsky C, Knott K and Oslin D: Posttraumatic stress, depression, and health among adults in primary care. Am J Geriatr Psychiatry. 14:316–324. 2006. View Article : Google Scholar : PubMed/NCBI

6 

Knight JA and Taft CT: Assessing neuropsychological concomitants of trauma and PTSD. Assessing Psychological Trauma and PTSD. Wilson JP and Keane TM: 2nd. The Guilford Press; New York, NY: pp. 344–388. 2004

7 

Neylan TC, Schadt EE and Yehuda R: Biomarkers for combat-related PTSD: Focus on molecular networks from high-dimensional data. Eur J Psychotraumatol. 5:239382014. View Article : Google Scholar

8 

Moeller DR, Duffy JM, Goolsby AM and Gallimore JT: Use of a removable mandibular neuroprosthesis for the reduction of posttraumatic stress disorder (PTSD) and mild traumatic brain injury/PTSD/associated nightmares, headaches, and sleep disturbances. J Spec Oper Med. 14:64–73. 2014.PubMed/NCBI

9 

Mills KL, Teesson M, Ross J and Peters L: Trauma, PTSD, and substance use disorders: Findings from the Australian national survey of mental health and well-being. Am J Psychiatry. 163:652–658. 2006. View Article : Google Scholar : PubMed/NCBI

10 

Cohen BE, Marmar CR, Neylan TC, Schiller NB, Ali S and Whooley MA: Posttraumatic stress disorder and health-related quality of life in patients with coronary heart disease: Findings from the heart and soul study. Arch Gen Psychiatry. 66:1214–1220. 2009. View Article : Google Scholar : PubMed/NCBI

11 

Kang HK and Bullman TA: Risk of suicide among US veterans after returning from the Iraq or Afghanistan war zones. JAMA. 300:652–653. 2008. View Article : Google Scholar : PubMed/NCBI

12 

Nakayama M, Uchimura K, Zhu RL, Nagayama T, Rose ME, Stetler RA, Isakson PC, Chen J and Graham SH: Cyclooxygenase-2 inhibition prevents delayed death of CA1 hippocampal neurons following global ischemia. Proc Nati Acad Sci USA. 95:pp. 10954–10959. 1998; View Article : Google Scholar

13 

Rothman SM and Olney JW: Glutamate and the pathophysiology of hypoxic-ischemic brain damage. Ann Neurol. 19:105–111. 1986. View Article : Google Scholar : PubMed/NCBI

14 

Choi DW: Glutamate neurotoxicity and diseases of the nervous system. Neuron. 1:623–634. 1988. View Article : Google Scholar : PubMed/NCBI

15 

Singh DP and Chopra K: Flavocoxid, dual inhibitor of cyclooxygenase-2 and 5-lipoxygenase, exhibits neuroprotection in rat model of ischaemic stroke. Pharmacol Biochem Behav. 120:33–42. 2014. View Article : Google Scholar : PubMed/NCBI

16 

Yagami T, Koma H and Yamamoto Y: Pathophysiological roles of cyclooxygenases and prostaglandins in the central nervous system. Mol Neurobiol. 53:4754–4771. 2016. View Article : Google Scholar : PubMed/NCBI

17 

Grösch S, Tegeder I, Niederberger E, Bräutigam L and Geisslinger G: COX-2 independent induction of cell cycle arrest and apoptosis in colon cancer cells by the selective COX-2 inhibitor celecoxib. FASEB J. 15:2742–2744. 2001. View Article : Google Scholar : PubMed/NCBI

18 

Altorki NK, Keresztes RS, Port JL, Libby DM, Korst RJ, Flieder DB, Ferrara CA, Yankelevitz DF, Subbaramaiah K, Pasmantier MW and Dannenberg AJ: Celecoxib, a selective cyclo-oxygenase-2 inhibitor, enhances the response to preoperative paclitaxel/carboplatin in early stage lung cancer. J Clin Oncol. 21:2645–2650. 2003. View Article : Google Scholar : PubMed/NCBI

19 

Karim A, Tolbert DS, Hunt TL, Hubbard RC, Harper KM and Geis GS: Celecoxib, a specific COX-2 inhibitor, has no significant effect on methotrexate pharmacokinetics in patients with rheumatoid arthritis. J Rheumatol. 26:2539–2543. 1999.PubMed/NCBI

20 

Liberzon I, Krstov M and Young EA: Stress-restress: Effects on ACTH and fast feedback. Psychoneuroendocrinology. 22:443–453. 1997. View Article : Google Scholar : PubMed/NCBI

21 

Liberzon I, López JF, Flagel SB, Vázquez DM and Young EA: Differential regulation of hippocampal glucocorticoid receptors mRNA and fast feedback: Relevance to post-traumatic stress disorder. J Neuroendocrinol. 11:11–17. 1999. View Article : Google Scholar : PubMed/NCBI

22 

Nadeem MN and Maqdoom M: Evaluation of anticonvulsant effect of celecoxib, a selective cyclooxygenase-2 inhibitor in experimentally induced convulsions in albino rats. Int J Basic Clin Pharmacol. 5:1466–1470. 2016. View Article : Google Scholar

23 

Carola V, D'Olimpio F, Brunamonti E, Mangia F and Renzi P: Evaluation of the elevated plus-maze and open-field tests for the assessment of anxiety-related behaviour in inbred mice. Behav Brain Res. 134:49–57. 2002. View Article : Google Scholar : PubMed/NCBI

24 

Brandeis R, Brandys Y and Yehuda S: The use of the Morris Water Maze in the study of memory and learning. Int J Neurosci. 48:29–69. 1989. View Article : Google Scholar : PubMed/NCBI

25 

Choleris E, Thomas AW, Kavaliers M and Prato FS: A detailed ethological analysis of the mouse open field test: Effects of diazepam, chlordiazepoxide and an extremely low frequency pulsed magnetic field. Neurosci Biobehav Rev. 25:235–260. 2001. View Article : Google Scholar : PubMed/NCBI

26 

Walf AA and Frye CA: The use of the elevated plus maze as an assay of anxiety-related behavior in rodents. Nat Protoc. 2:322–328. 2007. View Article : Google Scholar : PubMed/NCBI

27 

Morris R: Development of a water-maze procedure for studying spatial learning in the rat. J Neurosci Methods. 11:47–60. 1984. View Article : Google Scholar : PubMed/NCBI

28 

Livak KJ and Schmittgen TD: Analysis of relative gene expression data using real-time quantitative PCR and the 2(-Delta Delta C(T)) method. Methods. 25:402–408. 2001. View Article : Google Scholar : PubMed/NCBI

29 

Han Y, Li X, Zhou S, Meng G, Xiao Y, Zhang W, Wang Z, Xie L, Liu Z, Lu H and Ji Y: 17ß-estradiol antagonizes the down-regulation of ERα/NOS-3 signaling in vascular endothelial dysfunction of female diabetic rats. PLoS One. 7:e504022012. View Article : Google Scholar : PubMed/NCBI

30 

Vermetten E, Vythilingam M, Southwick SM, Charney DS and Bremner JD: Long-term treatment with paroxetine increases verbal declarative memory and hippocampal volume in posttraumatic stress disorder. Biol Psychiatry. 54:693–702. 2003. View Article : Google Scholar : PubMed/NCBI

31 

Cisler JM, Bush K, James GA, Smitherman S and Kilts CD: Decoding the traumatic memory among women with PTSD: Implications for neurocircuitry models of PTSD and real-time fMRI neurofeedback. PLoS One. 10:e01347172015. View Article : Google Scholar : PubMed/NCBI

32 

Babson KA and Feldner MT: Temporal relations between sleep problems and both traumatic event exposure and PTSD: A critical review of the empirical literature. J Anxiety Disord. 24:1–15. 2010. View Article : Google Scholar : PubMed/NCBI

33 

Boals A and Hathaway LM: The importance of the DSM-IV E and F criteria in self-report assessments of PTSD. J Anxiety Disord. 24:161–166. 2010. View Article : Google Scholar : PubMed/NCBI

34 

Bailey JN, Goenjian AK, Noble EP, Walling DP, Ritchie T and Goenjian HA: PTSD and dopaminergic genes, DRD2 and DAT, in multigenerational families exposed to the Spitak earthquake. Psychiatry Res. 178:507–510. 2010. View Article : Google Scholar : PubMed/NCBI

35 

Carpenter LL, Gawuga CE, Tyrka AR, Lee JK, Anderson GM and Price LH: Association between plasma IL-6 response to acute stress and early-life adversity in healthy adults. Neuropsychopharmacology. 35:2617–2623. 2010. View Article : Google Scholar : PubMed/NCBI

36 

Robinson RA: Molecular clue to PTSD. PLoS Biol. 13:e10022832015. View Article : Google Scholar : PubMed/NCBI

37 

Müller N and Schwarz MJ: The immune-mediated alteration of serotonin and glutamate: Towards an integrated view of depression. Mol Psychiatry. 12:988–1000. 2007. View Article : Google Scholar : PubMed/NCBI

38 

Gamble-George JC, Baldi R, Halladay L, Kocharian A, Hartley N, Silva CG, Roberts H, Haymer A, Marnett LJ, Holmes A and Patel S: Cyclooxygenase-2 inhibition reduces stress-induced affective pathology. Elife. 5(pii): e141372016.PubMed/NCBI

39 

Gao HM, Liu B, Zhang W and Hong JS: Novel anti-inflamatory therapy for Parkinson's disease. Trends Pharmacol Sci. 24:395–401. 2003. View Article : Google Scholar : PubMed/NCBI

40 

Hinz B and Brune K: Cyclooxygenaxe-2-10 years later. J Pharmacol Exp Ther. 300:367–375. 2002. View Article : Google Scholar : PubMed/NCBI

41 

Said RS, Badr AM, Nada AS and El-Demerdash E: Sodium selenite treatment restores long-lasting ovarian damage induced by irradiation in rats: Impact on oxidative stress and apoptosis. Reprod Toxicol. 43:85–93. 2014. View Article : Google Scholar : PubMed/NCBI

42 

Nury T, Zarrouk A, Vejux A, Doria M, Riedinger JM, Delage-Mourroux R and Lizard G: Induction of oxiapoptophagy, a mixed mode of cell death associated with oxidative stress, apoptosis and autophagy, on 7-ketocholesterol-treated 158n murine oligodendrocytes: Impairment by α-tocopherol. Biochem Biophys Res Commun. 446:714–719. 2014. View Article : Google Scholar : PubMed/NCBI

43 

Takadera T, Yumoto H, Tozuka Y and Ohyashiki T: Prostaglandin E(2) induces caspase-dependent apoptosis in rat cortical cells. Neurosci Lett. 317:61–64. 2002. View Article : Google Scholar : PubMed/NCBI

44 

Li RJ, Liu L, Gao W, Song XZ, Bai XL and Li ZF: Cyclooxygenase-2 blockade inhibits accumulation and function of myeloid-derived suppressor cells and restores T cell response after traumatic stress. J Huazhong Univ Sci Technolog Med Sci. 34:234–240. 2014. View Article : Google Scholar : PubMed/NCBI

45 

Morioka N, Inoue A, Hanada T, Kumagai K, Takeda K, Ikoma K, Hide I, Tamura Y, Shiomi H, Dohi T and Nakata Y: Nitric oxide synergistically potentiates interleukin-1 beta-induced increase of cyclooxygenase-2 mRNA levels, resulting in the facilitation of substance P release from primary afferent neurons: Involvement of cGMP-independent mechanisms. Neuropharmacology. 43:868–876. 2002. View Article : Google Scholar : PubMed/NCBI

46 

Puetz TW, Youngstedt SD and Herring MP: Effects of pharmacotherapy on combat-related PTSD, anxiety, and depression: A systematic review and meta-regression analysis. PLoS One. 10:e01265292015. View Article : Google Scholar : PubMed/NCBI

Related Articles

  • Abstract
  • View
  • Download
  • Twitter
Copy and paste a formatted citation
Spandidos Publications style
Wang M, Duan F, Wu J, Min Q, Huang Q, Luo M and He Z: Effect of cyclooxygenase‑2 inhibition on the development of post‑traumatic stress disorder in rats. Mol Med Rep 17: 4925-4932, 2018.
APA
Wang, M., Duan, F., Wu, J., Min, Q., Huang, Q., Luo, M., & He, Z. (2018). Effect of cyclooxygenase‑2 inhibition on the development of post‑traumatic stress disorder in rats. Molecular Medicine Reports, 17, 4925-4932. https://doi.org/10.3892/mmr.2018.8525
MLA
Wang, M., Duan, F., Wu, J., Min, Q., Huang, Q., Luo, M., He, Z."Effect of cyclooxygenase‑2 inhibition on the development of post‑traumatic stress disorder in rats". Molecular Medicine Reports 17.4 (2018): 4925-4932.
Chicago
Wang, M., Duan, F., Wu, J., Min, Q., Huang, Q., Luo, M., He, Z."Effect of cyclooxygenase‑2 inhibition on the development of post‑traumatic stress disorder in rats". Molecular Medicine Reports 17, no. 4 (2018): 4925-4932. https://doi.org/10.3892/mmr.2018.8525
Copy and paste a formatted citation
x
Spandidos Publications style
Wang M, Duan F, Wu J, Min Q, Huang Q, Luo M and He Z: Effect of cyclooxygenase‑2 inhibition on the development of post‑traumatic stress disorder in rats. Mol Med Rep 17: 4925-4932, 2018.
APA
Wang, M., Duan, F., Wu, J., Min, Q., Huang, Q., Luo, M., & He, Z. (2018). Effect of cyclooxygenase‑2 inhibition on the development of post‑traumatic stress disorder in rats. Molecular Medicine Reports, 17, 4925-4932. https://doi.org/10.3892/mmr.2018.8525
MLA
Wang, M., Duan, F., Wu, J., Min, Q., Huang, Q., Luo, M., He, Z."Effect of cyclooxygenase‑2 inhibition on the development of post‑traumatic stress disorder in rats". Molecular Medicine Reports 17.4 (2018): 4925-4932.
Chicago
Wang, M., Duan, F., Wu, J., Min, Q., Huang, Q., Luo, M., He, Z."Effect of cyclooxygenase‑2 inhibition on the development of post‑traumatic stress disorder in rats". Molecular Medicine Reports 17, no. 4 (2018): 4925-4932. https://doi.org/10.3892/mmr.2018.8525
Follow us
  • Twitter
  • LinkedIn
  • Facebook
About
  • Spandidos Publications
  • Careers
  • Cookie Policy
  • Privacy Policy
How can we help?
  • Help
  • Live Chat
  • Contact
  • Email to our Support Team