Spandidos Publications Logo
  • About
    • About Spandidos
    • Aims and Scopes
    • Abstracting and Indexing
    • Editorial Policies
    • Reprints and Permissions
    • Job Opportunities
    • Terms and Conditions
    • Contact
  • Journals
    • All Journals
    • Oncology Letters
      • Oncology Letters
      • Information for Authors
      • Editorial Policies
      • Editorial Board
      • Aims and Scope
      • Abstracting and Indexing
      • Bibliographic Information
      • Archive
    • International Journal of Oncology
      • International Journal of Oncology
      • Information for Authors
      • Editorial Policies
      • Editorial Board
      • Aims and Scope
      • Abstracting and Indexing
      • Bibliographic Information
      • Archive
    • Molecular and Clinical Oncology
      • Molecular and Clinical Oncology
      • Information for Authors
      • Editorial Policies
      • Editorial Board
      • Aims and Scope
      • Abstracting and Indexing
      • Bibliographic Information
      • Archive
    • Experimental and Therapeutic Medicine
      • Experimental and Therapeutic Medicine
      • Information for Authors
      • Editorial Policies
      • Editorial Board
      • Aims and Scope
      • Abstracting and Indexing
      • Bibliographic Information
      • Archive
    • International Journal of Molecular Medicine
      • International Journal of Molecular Medicine
      • Information for Authors
      • Editorial Policies
      • Editorial Board
      • Aims and Scope
      • Abstracting and Indexing
      • Bibliographic Information
      • Archive
    • Biomedical Reports
      • Biomedical Reports
      • Information for Authors
      • Editorial Policies
      • Editorial Board
      • Aims and Scope
      • Abstracting and Indexing
      • Bibliographic Information
      • Archive
    • Oncology Reports
      • Oncology Reports
      • Information for Authors
      • Editorial Policies
      • Editorial Board
      • Aims and Scope
      • Abstracting and Indexing
      • Bibliographic Information
      • Archive
    • Molecular Medicine Reports
      • Molecular Medicine Reports
      • Information for Authors
      • Editorial Policies
      • Editorial Board
      • Aims and Scope
      • Abstracting and Indexing
      • Bibliographic Information
      • Archive
    • World Academy of Sciences Journal
      • World Academy of Sciences Journal
      • Information for Authors
      • Editorial Policies
      • Editorial Board
      • Aims and Scope
      • Abstracting and Indexing
      • Bibliographic Information
      • Archive
    • International Journal of Functional Nutrition
      • International Journal of Functional Nutrition
      • Information for Authors
      • Editorial Policies
      • Editorial Board
      • Aims and Scope
      • Abstracting and Indexing
      • Bibliographic Information
      • Archive
    • International Journal of Epigenetics
      • International Journal of Epigenetics
      • Information for Authors
      • Editorial Policies
      • Editorial Board
      • Aims and Scope
      • Abstracting and Indexing
      • Bibliographic Information
      • Archive
    • Medicine International
      • Medicine International
      • Information for Authors
      • Editorial Policies
      • Editorial Board
      • Aims and Scope
      • Abstracting and Indexing
      • Bibliographic Information
      • Archive
  • Articles
  • Information
    • Information for Authors
    • Information for Reviewers
    • Information for Librarians
    • Information for Advertisers
    • Conferences
  • Language Editing
Spandidos Publications Logo
  • About
    • About Spandidos
    • Aims and Scopes
    • Abstracting and Indexing
    • Editorial Policies
    • Reprints and Permissions
    • Job Opportunities
    • Terms and Conditions
    • Contact
  • Journals
    • All Journals
    • Biomedical Reports
      • Information for Authors
      • Editorial Policies
      • Editorial Board
      • Aims and Scope
      • Abstracting and Indexing
      • Bibliographic Information
      • Archive
    • Experimental and Therapeutic Medicine
      • Information for Authors
      • Editorial Policies
      • Editorial Board
      • Aims and Scope
      • Abstracting and Indexing
      • Bibliographic Information
      • Archive
    • International Journal of Epigenetics
      • Information for Authors
      • Editorial Policies
      • Editorial Board
      • Aims and Scope
      • Abstracting and Indexing
      • Bibliographic Information
      • Archive
    • International Journal of Functional Nutrition
      • Information for Authors
      • Editorial Policies
      • Editorial Board
      • Aims and Scope
      • Abstracting and Indexing
      • Bibliographic Information
      • Archive
    • International Journal of Molecular Medicine
      • Information for Authors
      • Editorial Policies
      • Editorial Board
      • Aims and Scope
      • Abstracting and Indexing
      • Bibliographic Information
      • Archive
    • International Journal of Oncology
      • Information for Authors
      • Editorial Policies
      • Editorial Board
      • Aims and Scope
      • Abstracting and Indexing
      • Bibliographic Information
      • Archive
    • Medicine International
      • Information for Authors
      • Editorial Policies
      • Editorial Board
      • Aims and Scope
      • Abstracting and Indexing
      • Bibliographic Information
      • Archive
    • Molecular and Clinical Oncology
      • Information for Authors
      • Editorial Policies
      • Editorial Board
      • Aims and Scope
      • Abstracting and Indexing
      • Bibliographic Information
      • Archive
    • Molecular Medicine Reports
      • Information for Authors
      • Editorial Policies
      • Editorial Board
      • Aims and Scope
      • Abstracting and Indexing
      • Bibliographic Information
      • Archive
    • Oncology Letters
      • Information for Authors
      • Editorial Policies
      • Editorial Board
      • Aims and Scope
      • Abstracting and Indexing
      • Bibliographic Information
      • Archive
    • Oncology Reports
      • Information for Authors
      • Editorial Policies
      • Editorial Board
      • Aims and Scope
      • Abstracting and Indexing
      • Bibliographic Information
      • Archive
    • World Academy of Sciences Journal
      • Information for Authors
      • Editorial Policies
      • Editorial Board
      • Aims and Scope
      • Abstracting and Indexing
      • Bibliographic Information
      • Archive
  • Articles
  • Information
    • For Authors
    • For Reviewers
    • For Librarians
    • For Advertisers
    • Conferences
  • Language Editing
Login Register Submit
  • This site uses cookies
  • You can change your cookie settings at any time by following the instructions in our Cookie Policy. To find out more, you may read our Privacy Policy.

    I agree
Search articles by DOI, keyword, author or affiliation
Search
Advanced Search
presentation
Molecular Medicine Reports
Join Editorial Board Propose a Special Issue
Print ISSN: 1791-2997 Online ISSN: 1791-3004
Journal Cover
March-2023 Volume 27 Issue 3

Full Size Image

Sign up for eToc alerts
Recommend to Library

Journals

International Journal of Molecular Medicine

International Journal of Molecular Medicine

International Journal of Molecular Medicine is an international journal devoted to molecular mechanisms of human disease.

International Journal of Oncology

International Journal of Oncology

International Journal of Oncology is an international journal devoted to oncology research and cancer treatment.

Molecular Medicine Reports

Molecular Medicine Reports

Covers molecular medicine topics such as pharmacology, pathology, genetics, neuroscience, infectious diseases, molecular cardiology, and molecular surgery.

Oncology Reports

Oncology Reports

Oncology Reports is an international journal devoted to fundamental and applied research in Oncology.

Experimental and Therapeutic Medicine

Experimental and Therapeutic Medicine

Experimental and Therapeutic Medicine is an international journal devoted to laboratory and clinical medicine.

Oncology Letters

Oncology Letters

Oncology Letters is an international journal devoted to Experimental and Clinical Oncology.

Biomedical Reports

Biomedical Reports

Explores a wide range of biological and medical fields, including pharmacology, genetics, microbiology, neuroscience, and molecular cardiology.

Molecular and Clinical Oncology

Molecular and Clinical Oncology

International journal addressing all aspects of oncology research, from tumorigenesis and oncogenes to chemotherapy and metastasis.

World Academy of Sciences Journal

World Academy of Sciences Journal

Multidisciplinary open-access journal spanning biochemistry, genetics, neuroscience, environmental health, and synthetic biology.

International Journal of Functional Nutrition

International Journal of Functional Nutrition

Open-access journal combining biochemistry, pharmacology, immunology, and genetics to advance health through functional nutrition.

International Journal of Epigenetics

International Journal of Epigenetics

Publishes open-access research on using epigenetics to advance understanding and treatment of human disease.

Medicine International

Medicine International

An International Open Access Journal Devoted to General Medicine.

Journal Cover
March-2023 Volume 27 Issue 3

Full Size Image

Sign up for eToc alerts
Recommend to Library

  • Article
  • Citations
    • Cite This Article
    • Download Citation
    • Create Citation Alert
    • Remove Citation Alert
    • Cited By
  • Similar Articles
    • Related Articles (in Spandidos Publications)
    • Similar Articles (Google Scholar)
    • Similar Articles (PubMed)
  • Download PDF
  • Download XML
  • View XML
Article

Beneficial effect of the mitochondrial ATP‑sensitive potassium channel‑specific opener nicorandil on the collapsed lung via inhibition of apoptosis in clinical thoracic surgery

  • Authors:
    • Chunguang Wang
    • Zhengwen Wu
    • Zhiqin Li
    • Zhichun Wang
    • Honggang Ke
    • Xinchong Huang
  • View Affiliations / Copyright

    Affiliations: Department of Anesthesiology, Affiliated Hospital of Nantong University, Nantong, Jiangsu 226001, P.R. China, Department of Anesthesiology, Yangzhou Hongquan Hospital, Yangzhou, Jiangsu 225200, P.R. China, Department of Anesthesiology, Xiamen University Hospital Affiliated of Xiamen University, Xiamen, Fujian 361005, P.R. China, Department of Anesthesiology, Shuyang Hospital Affiliated of Xuzhou Medical University, Suqian, Jiangsu 223600, P.R. China, Department of Cardiothoracic Surgery, Affiliated Hospital of Nantong University, Nantong, Jiangsu 226001, P.R. China
  • Article Number: 61
    |
    Published online on: February 1, 2023
       https://doi.org/10.3892/mmr.2023.12948
  • Expand metrics +
Metrics: Total Views: 0 (Spandidos Publications: | PMC Statistics: )
Metrics: Total PDF Downloads: 0 (Spandidos Publications: | PMC Statistics: )
Cited By (CrossRef): 0 citations Loading Articles...

This article is mentioned in:



Abstract

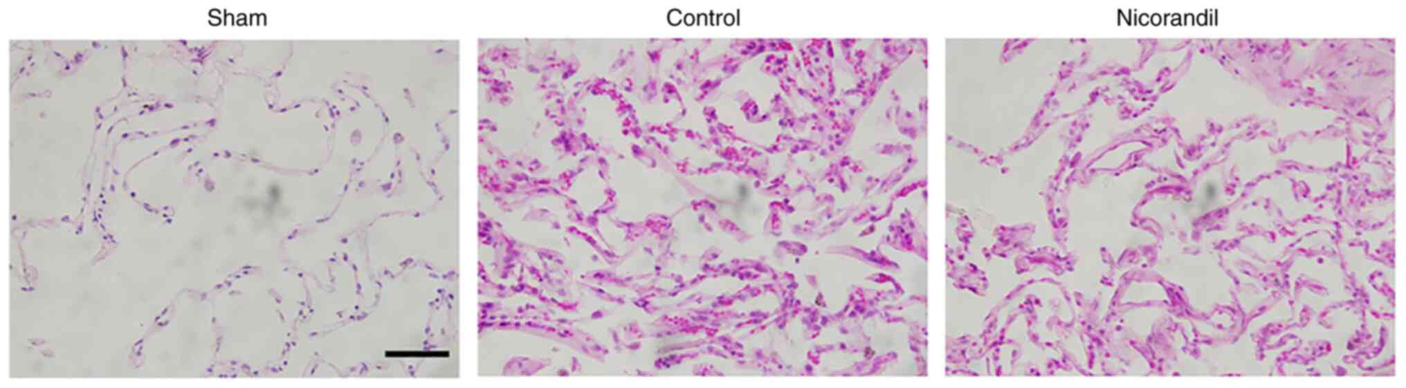
With the use of thoracoscopic surgery technology, one‑lung ventilation (OLV) is becoming more crucial as a basic requirement for enhanced recovery after surgery; however, it can lead to severe pulmonary injury, which is an issue for anesthesiologists. Therefore, it is important to protect pulmonary function during thoracic surgery anesthesia, particularly to protect the function of the collapsed lung. Our previous study on rabbits reported that nicorandil, a US Food and Drug Administration‑approved mitochondrial ATP‑sensitive potassium channel‑specific opener, can protect against lung injury in the collapsed lung. Therefore, the beneficial effect of nicorandil on OLV‑induced pulmonary injury in clinical thoracic surgery was further evaluated in the present study. Nicorandil was infused at 2 mg/h for 2 h from induction to 1 h after OLV in the nicorandil group. Trends in arterial oxygen desaturation (SaO2), arterial partial pressure for oxygen (PaO2) and the lung microstructure were assessed. ELISA was used to assess the levels of TNF‑α and malondialdehyde (MDA), and the activity of superoxide dismutase (SOD). A TUNEL assay was performed to evaluate apoptosis. Western blotting was used to analyze the relative expression levels of signaling proteins associated with apoptosis. Western blotting was performed to evaluate the protein expression levels of hypoxia‑inducible factor 1α (HIF‑1α), PI3K, Akt and NF‑κB, and reverse transcription‑quantitative PCR was used to detect HIF‑1α mRNA expression levels in the lungs of patients infused with nicorandil and nitroglycerin. Nicorandil treatment was associated with higher SaO2 and PaO2 compared with nitroglycerin treatment in OLV. The levels of MDA and TNF‑α in the operated lung of the nicorandil group were significantly lower compared with those in the control group. In addition, nicorandil was associated with higher SOD activity compared with nitroglycerin. The nicorandil‑treated lung, similar to the sham group, exhibited improved microstructure and less apoptosis in the experimental group. The protein expression levels of PI3K, phosphorylated Akt and HIF‑1α were significantly increased, whereas NF‑κB was significantly decreased in the nicorandil‑treated lung compared with the control group. Overall, nicorandil demonstrated beneficial effects by decreasing apoptosis in the operated lung, which was collapsed and then re‑expanded during OLV in thoracic surgery anesthesia. Nicorandil may serve a vital role by decreasing the overloading of calcium in mitochondria, shutting off the mitochondrial membrane permeability transition pore, reducing the release of cytochrome c, simultaneously triggering activation of the PI3K/Akt signaling pathway around the cell membrane, downregulating NF‑κB, upregulating HIF‑1α, and then reducing Bax/Bcl‑2, caspase‑3 and apoptosis. The trial registration was ChiCTR‑IOR‑17014061 (registered on December 20, 2017).
View Figures

Figure 1

Figure 2

Figure 3

Figure 4

Figure 5

Figure 6

Figure 7

View References

1 

Bernasconi F and Piccioni F: One-lung ventilation for thoracic surgery: Current perspectives. Tumori. 103:495–503. 2017. View Article : Google Scholar : PubMed/NCBI

2 

Dolch ME, Choukèr A, Hornuss C, Frey L, Irlbeck M, Praun S, Leidlmair C, Villinger J and Schelling G: Quantification of propionaldehyde in breath of patients after lung transplantation. Free Radic Biol Med. 85:157–164. 2015. View Article : Google Scholar : PubMed/NCBI

3 

Ju NY, Gao H, Huang W, Niu FF, Lan WX, Li F and Gao W: Therapeutic effect of inhaled budesonide (Pulmicort® Turbuhaler) on the inflammatory response to one-lung ventilation. Anaesthesia. 69:14–23. 2014. View Article : Google Scholar : PubMed/NCBI

4 

Shiva S, Sack MN, Greer JJ, Duranski M, Ringwood LA, Burwell L, Wang X, MacArthur PH, Shoja A, Raghavachari N, et al: Nitrite augments tolerance to ischemia/reperfusion injury via the modulation of mitochondrial electron transfer. J Exp Med. 204:2089–2102. 2007. View Article : Google Scholar : PubMed/NCBI

5 

Liu B, Tewari AK, Zhang L, Green-Church KB, Zweier JL, Chen YR and He G: Proteomic analysis of protein tyrosine nitration after ischemia reperfusion injury: Mitochondria as the major target. Biochim Biophys Acta. 1794:476–485. 2009. View Article : Google Scholar : PubMed/NCBI

6 

Serpa Neto A, Filho RR, Rocha LL and Schultz MJ: Recent advances in mechanical ventilation in patients without acute respiratory distress syndrome. F1000Prime Rep. 6:1152014. View Article : Google Scholar : PubMed/NCBI

7 

Nieman GF, Satalin J, Andrews P, Aiash H, Habashi NM and Gatto LA: Personalizing mechanical ventilation according to physiologic parameters to stabilize alveoli and minimize ventilator induced lung injury (VILI). Intensive Care Med Exp. 5:82017. View Article : Google Scholar : PubMed/NCBI

8 

Szegedi LL, D'Hollander AA, Vermassen FE, Deryck F and Wouters PF: Gravity is an important determinant of oxygenation during one-lung ventilation. Acta Anaesthesiol Scand. 54:744–750. 2010. View Article : Google Scholar : PubMed/NCBI

9 

Jerome SN, Doré M, Paulson JC, Smith CW and Korthuis RJ: P-selectin and ICAM-1-dependent adherence reactions: Role in the genesis of postischemic no-reflow. Am J Physiol. 266:H1316–H1321. 1994.PubMed/NCBI

10 

Huang H, Ma H and Chen S: Enhanced recovery after surgery using uniportal video-assisted thoracic surgery for lung cancer: A preliminary study. Thorac Cancer. 9:83–87. 2018. View Article : Google Scholar : PubMed/NCBI

11 

Xie Y, Shi X, Sheng K, Han G, Li W, Zhao Q, Jiang B, Feng J, Li J and Gu Y: PI3K/Akt signaling transduction pathway, erythropoiesis and glycolysis in hypoxia (Review). Mol Med Rep. 19:783–791. 2019.PubMed/NCBI

12 

Kerkhofs M, La Rovere R, Welkenhuysen K, Janssens A, Vandenberghe P, Madesh M, Parys JB and Bultynck G: BIRD-2, a BH4-domain-targeting peptide of Bcl-2, provokes Bax/Bak-independent cell death in B-cell cancers through mitochondrial Ca2+-dependent mPTP opening. Cell Calcium. 94:1023332021. View Article : Google Scholar : PubMed/NCBI

13 

Wang C, Ke H, Xu X, Chen J, Sun D and Ji F: Protective effect of nicorandil on collapse-induced lung injury in rabbits by inhibiting apoptosis. Int J Mol Med. 44:725–736. 2019.PubMed/NCBI

14 

Schupper AJ, Shuman WH, Baron RB, Neifert SN, Chapman EK, Gilligan J, Gal JS and Caridi JM: Utilization of the American society of anesthesiologists (ASA) classification system in evaluating outcomes and costs following deformity spine procedures. Spine Deform. 9:185–190. 2021. View Article : Google Scholar : PubMed/NCBI

15 

Lin L, Zhang L, Yu L, Han L, Ji W, Shen H and Hu Z: Time-dependent changes of autophagy and apoptosis in lipopolysaccharide-induced rat acute lung injury. Iran J Basic Med Sci. 19:632–637. 2016.PubMed/NCBI

16 

Livak KJ and Schmittgen TD: Analysis of relative gene expression data using real-time quantitative PCR and the 2(−Delta Delta C(T)) method. Methods. 25:402–408. 2001. View Article : Google Scholar : PubMed/NCBI

17 

Karzai W and Schwarzkopf K: Hypoxemia during one-lung ventilation: Prediction, prevention, and treatment. Anesthesiology. 110:1402–1411. 2009. View Article : Google Scholar : PubMed/NCBI

18 

Rozé H, Lafargue M and Ouattara A: Case scenario: Management of intraoperative hypoxemia during one-lung ventilation. Anesthesiology. 114:167–174. 2011. View Article : Google Scholar : PubMed/NCBI

19 

Lee SM, Kim WH, Ahn HJ, Kim JA, Yang MK, Lee CH, Lee JH, Kim YR and Choi JW: The effects of prolonged inspiratory time during one-lung ventilation: A randomised controlled trial. Anaesthesia. 68:908–916. 2013. View Article : Google Scholar : PubMed/NCBI

20 

Szegedi LL, Bardoczky GI, Engelman EE and d'Hollander AA: Airway pressure changes during one-lung ventilation. Anesth Analg. 84:1034–1037. 1997. View Article : Google Scholar : PubMed/NCBI

21 

Kilpatrick B and Slinger P: Lung protective strategies in anaesthesia. Br J Anaesth. 105 (Suppl 1):i108–i116. 2010. View Article : Google Scholar : PubMed/NCBI

22 

Cuzzocrea S, Riley DP, Caputi AP and Salvemini D: Antioxidant therapy: A new pharmacological approach in shock, inflammation, and ischemia/reperfusion injury. Pharmacol Rev. 53:135–159. 2001.PubMed/NCBI

23 

Dalton TP, Shertzer HG and Puga A: Regulation of gene expression by reactive oxygen. Annu Rev Pharmacol Toxicol. 39:67–101. 1999. View Article : Google Scholar : PubMed/NCBI

24 

Ambros JT, Herrero-Fresneda I, Borau OG and Boira JM: Ischemic preconditioning in solid organ transplantation: From experimental to clinics. Transpl Int. 20:219–229. 2007. View Article : Google Scholar : PubMed/NCBI

25 

Yang J, Zhang J, Cui W, Liu F, Xie R, Yang X, Gu G, Zheng H, Lu J, Yang X, et al: Cardioprotective effects of single oral dose of nicorandil before selective percutaneous coronary intervention. Anatol J Cardiol. 15:125–131. 2015. View Article : Google Scholar : PubMed/NCBI

26 

Saha KK, Kumar A, Deval MM, Saha KK, Jacob RV, Jagdale L and Kaul SK: Nicorandil infusion during off-pump coronary artery bypass grafting reduces incidence of intra-aortic balloon pump insertion. Innovations (Phila). 11:123–127. 2016. View Article : Google Scholar : PubMed/NCBI

27 

Su Q, Li L, Zhao J, Sun Y and Yang H: Effects of nicorandil on PI3K/Akt signaling pathway and its anti-apoptotic mechanisms in coronary microembolization in rats. Oncotarget. 8:99347–99358. 2017. View Article : Google Scholar : PubMed/NCBI

28 

Tanaka K, Kato K, Takano T, Katagiri T, Asanoi H, Nejima J, Nakashima M, Kamijo T and Sakanashi M: Acute effects of intravenous nicorandil on hemodynamics in patients hospitalized with acute decompensated heart failure. J Cardiol. 56:291–299. 2010. View Article : Google Scholar : PubMed/NCBI

29 

Minami Y, Nagashima M, Kajimoto K, Shiga T and Hagiwara N: Acute efficacy and safety of intravenous administration of nicorandil in patients with acute heart failure syndromes: Usefulness of noninvasive echocardiographic hemodynamic evaluation. J Cardiovasc Pharmacol. 54:335–340. 2009. View Article : Google Scholar : PubMed/NCBI

30 

Chen C, Lu W, Wu G, Lv L, Chen W, Huang L, Wu X, Xu N and Wu Y: Cardioprotective effects of combined therapy with diltiazem and superoxide dismutase on myocardial ischemia-reperfusion injury in rats. Life Sci. 183:50–59. 2017. View Article : Google Scholar : PubMed/NCBI

31 

van de Schepop HA, de Jong JS, van Diest PJ and Baak JP: Counting of apoptotic cells: A methodological study in invasive breast cancer. Clin Mol Pathol. 49:M214–M217. 1996. View Article : Google Scholar : PubMed/NCBI

32 

Forgiarini LA Jr, Grün G, Kretzmann NA, de Muñoz GA, de Almeida A, Forgiarini LF and Andrade CF: When is injury potentially reversible in a lung ischemia-reperfusion model? J Surg Res. 179:168–174. 2013. View Article : Google Scholar : PubMed/NCBI

33 

Liu G, Zhang J, Chen H, Wang C, Qiu Y, Liu Y, Wan J and Guo H: Effects and mechanisms of alveolar type II epithelial cell apoptosis in severe pancreatitis-induced acute lung injury. Exp Ther Med. 7:565–572. 2014. View Article : Google Scholar : PubMed/NCBI

34 

Wu Z, Dai F, Ren W, Liu H, Li B and Chang J: Angiotensin II induces apoptosis of human pulmonary microvascular endothelial cells in acute aortic dissection complicated with lung injury patients through modulating the expression of monocyte chemoattractant protein-1. Am J Transl Res. 8:28–36. 2016.PubMed/NCBI

35 

Yu D, Fan C, Zhang W, Wen Z, Hu L, Yang L, Feng Y, Yin KJ and Mo X: Neuroprotective effect of nicorandil through inhibition of apoptosis by the PI3K/Akt1 pathway in a mouse model of deep hypothermic low flow. J Neurol Sci. 357:119–125. 2015. View Article : Google Scholar : PubMed/NCBI

36 

Suzuki T, Yamashita K, Jomen W, Ueki S, Aoyagi T, Fukai M, Furukawa H, Umezawa K, Ozaki M and Todo S: The novel NF-kappaB inhibitor, dehydroxymethylepoxyquinomicin, prevents local and remote organ injury following intestinal ischemia/reperfusion in rats. J Surg Res. 149:69–75. 2008. View Article : Google Scholar : PubMed/NCBI

37 

Zhao X, Jin Y, Li H, Wang Z, Zhang W and Feng C: Hypoxia-inducible factor 1 alpha contributes to pulmonary vascular dysfunction in lung ischemia-reperfusion injury. Int J Clin Exp Pathol. 7:3081–3088. 2014.PubMed/NCBI

38 

Sinha K, Das J, Pal PB and Sil PC: Oxidative stress: The mitochondria-dependent and mitochondria-independent pathways of apoptosis. Arch Toxicol. 87:1157–1180. 2013. View Article : Google Scholar : PubMed/NCBI

Related Articles

  • Abstract
  • View
  • Download
  • Twitter
Copy and paste a formatted citation
Spandidos Publications style
Wang C, Wu Z, Li Z, Wang Z, Ke H and Huang X: Beneficial effect of the mitochondrial ATP‑sensitive potassium channel‑specific opener nicorandil on the collapsed lung via inhibition of apoptosis in clinical thoracic surgery. Mol Med Rep 27: 61, 2023.
APA
Wang, C., Wu, Z., Li, Z., Wang, Z., Ke, H., & Huang, X. (2023). Beneficial effect of the mitochondrial ATP‑sensitive potassium channel‑specific opener nicorandil on the collapsed lung via inhibition of apoptosis in clinical thoracic surgery. Molecular Medicine Reports, 27, 61. https://doi.org/10.3892/mmr.2023.12948
MLA
Wang, C., Wu, Z., Li, Z., Wang, Z., Ke, H., Huang, X."Beneficial effect of the mitochondrial ATP‑sensitive potassium channel‑specific opener nicorandil on the collapsed lung via inhibition of apoptosis in clinical thoracic surgery". Molecular Medicine Reports 27.3 (2023): 61.
Chicago
Wang, C., Wu, Z., Li, Z., Wang, Z., Ke, H., Huang, X."Beneficial effect of the mitochondrial ATP‑sensitive potassium channel‑specific opener nicorandil on the collapsed lung via inhibition of apoptosis in clinical thoracic surgery". Molecular Medicine Reports 27, no. 3 (2023): 61. https://doi.org/10.3892/mmr.2023.12948
Copy and paste a formatted citation
x
Spandidos Publications style
Wang C, Wu Z, Li Z, Wang Z, Ke H and Huang X: Beneficial effect of the mitochondrial ATP‑sensitive potassium channel‑specific opener nicorandil on the collapsed lung via inhibition of apoptosis in clinical thoracic surgery. Mol Med Rep 27: 61, 2023.
APA
Wang, C., Wu, Z., Li, Z., Wang, Z., Ke, H., & Huang, X. (2023). Beneficial effect of the mitochondrial ATP‑sensitive potassium channel‑specific opener nicorandil on the collapsed lung via inhibition of apoptosis in clinical thoracic surgery. Molecular Medicine Reports, 27, 61. https://doi.org/10.3892/mmr.2023.12948
MLA
Wang, C., Wu, Z., Li, Z., Wang, Z., Ke, H., Huang, X."Beneficial effect of the mitochondrial ATP‑sensitive potassium channel‑specific opener nicorandil on the collapsed lung via inhibition of apoptosis in clinical thoracic surgery". Molecular Medicine Reports 27.3 (2023): 61.
Chicago
Wang, C., Wu, Z., Li, Z., Wang, Z., Ke, H., Huang, X."Beneficial effect of the mitochondrial ATP‑sensitive potassium channel‑specific opener nicorandil on the collapsed lung via inhibition of apoptosis in clinical thoracic surgery". Molecular Medicine Reports 27, no. 3 (2023): 61. https://doi.org/10.3892/mmr.2023.12948
Follow us
  • Twitter
  • LinkedIn
  • Facebook
About
  • Spandidos Publications
  • Careers
  • Cookie Policy
  • Privacy Policy
How can we help?
  • Help
  • Live Chat
  • Contact
  • Email to our Support Team