Spandidos Publications Logo
  • About
    • About Spandidos
    • Aims and Scopes
    • Abstracting and Indexing
    • Editorial Policies
    • Reprints and Permissions
    • Job Opportunities
    • Terms and Conditions
    • Contact
  • Journals
    • All Journals
    • Oncology Letters
      • Oncology Letters
      • Information for Authors
      • Editorial Policies
      • Editorial Board
      • Aims and Scope
      • Abstracting and Indexing
      • Bibliographic Information
      • Archive
    • International Journal of Oncology
      • International Journal of Oncology
      • Information for Authors
      • Editorial Policies
      • Editorial Board
      • Aims and Scope
      • Abstracting and Indexing
      • Bibliographic Information
      • Archive
    • Molecular and Clinical Oncology
      • Molecular and Clinical Oncology
      • Information for Authors
      • Editorial Policies
      • Editorial Board
      • Aims and Scope
      • Abstracting and Indexing
      • Bibliographic Information
      • Archive
    • Experimental and Therapeutic Medicine
      • Experimental and Therapeutic Medicine
      • Information for Authors
      • Editorial Policies
      • Editorial Board
      • Aims and Scope
      • Abstracting and Indexing
      • Bibliographic Information
      • Archive
    • International Journal of Molecular Medicine
      • International Journal of Molecular Medicine
      • Information for Authors
      • Editorial Policies
      • Editorial Board
      • Aims and Scope
      • Abstracting and Indexing
      • Bibliographic Information
      • Archive
    • Biomedical Reports
      • Biomedical Reports
      • Information for Authors
      • Editorial Policies
      • Editorial Board
      • Aims and Scope
      • Abstracting and Indexing
      • Bibliographic Information
      • Archive
    • Oncology Reports
      • Oncology Reports
      • Information for Authors
      • Editorial Policies
      • Editorial Board
      • Aims and Scope
      • Abstracting and Indexing
      • Bibliographic Information
      • Archive
    • Molecular Medicine Reports
      • Molecular Medicine Reports
      • Information for Authors
      • Editorial Policies
      • Editorial Board
      • Aims and Scope
      • Abstracting and Indexing
      • Bibliographic Information
      • Archive
    • World Academy of Sciences Journal
      • World Academy of Sciences Journal
      • Information for Authors
      • Editorial Policies
      • Editorial Board
      • Aims and Scope
      • Abstracting and Indexing
      • Bibliographic Information
      • Archive
    • International Journal of Functional Nutrition
      • International Journal of Functional Nutrition
      • Information for Authors
      • Editorial Policies
      • Editorial Board
      • Aims and Scope
      • Abstracting and Indexing
      • Bibliographic Information
      • Archive
    • International Journal of Epigenetics
      • International Journal of Epigenetics
      • Information for Authors
      • Editorial Policies
      • Editorial Board
      • Aims and Scope
      • Abstracting and Indexing
      • Bibliographic Information
      • Archive
    • Medicine International
      • Medicine International
      • Information for Authors
      • Editorial Policies
      • Editorial Board
      • Aims and Scope
      • Abstracting and Indexing
      • Bibliographic Information
      • Archive
  • Articles
  • Information
    • Information for Authors
    • Information for Reviewers
    • Information for Librarians
    • Information for Advertisers
    • Conferences
  • Language Editing
Spandidos Publications Logo
  • About
    • About Spandidos
    • Aims and Scopes
    • Abstracting and Indexing
    • Editorial Policies
    • Reprints and Permissions
    • Job Opportunities
    • Terms and Conditions
    • Contact
  • Journals
    • All Journals
    • Biomedical Reports
      • Information for Authors
      • Editorial Policies
      • Editorial Board
      • Aims and Scope
      • Abstracting and Indexing
      • Bibliographic Information
      • Archive
    • Experimental and Therapeutic Medicine
      • Information for Authors
      • Editorial Policies
      • Editorial Board
      • Aims and Scope
      • Abstracting and Indexing
      • Bibliographic Information
      • Archive
    • International Journal of Epigenetics
      • Information for Authors
      • Editorial Policies
      • Editorial Board
      • Aims and Scope
      • Abstracting and Indexing
      • Bibliographic Information
      • Archive
    • International Journal of Functional Nutrition
      • Information for Authors
      • Editorial Policies
      • Editorial Board
      • Aims and Scope
      • Abstracting and Indexing
      • Bibliographic Information
      • Archive
    • International Journal of Molecular Medicine
      • Information for Authors
      • Editorial Policies
      • Editorial Board
      • Aims and Scope
      • Abstracting and Indexing
      • Bibliographic Information
      • Archive
    • International Journal of Oncology
      • Information for Authors
      • Editorial Policies
      • Editorial Board
      • Aims and Scope
      • Abstracting and Indexing
      • Bibliographic Information
      • Archive
    • Medicine International
      • Information for Authors
      • Editorial Policies
      • Editorial Board
      • Aims and Scope
      • Abstracting and Indexing
      • Bibliographic Information
      • Archive
    • Molecular and Clinical Oncology
      • Information for Authors
      • Editorial Policies
      • Editorial Board
      • Aims and Scope
      • Abstracting and Indexing
      • Bibliographic Information
      • Archive
    • Molecular Medicine Reports
      • Information for Authors
      • Editorial Policies
      • Editorial Board
      • Aims and Scope
      • Abstracting and Indexing
      • Bibliographic Information
      • Archive
    • Oncology Letters
      • Information for Authors
      • Editorial Policies
      • Editorial Board
      • Aims and Scope
      • Abstracting and Indexing
      • Bibliographic Information
      • Archive
    • Oncology Reports
      • Information for Authors
      • Editorial Policies
      • Editorial Board
      • Aims and Scope
      • Abstracting and Indexing
      • Bibliographic Information
      • Archive
    • World Academy of Sciences Journal
      • Information for Authors
      • Editorial Policies
      • Editorial Board
      • Aims and Scope
      • Abstracting and Indexing
      • Bibliographic Information
      • Archive
  • Articles
  • Information
    • For Authors
    • For Reviewers
    • For Librarians
    • For Advertisers
    • Conferences
  • Language Editing
Login Register Submit
  • This site uses cookies
  • You can change your cookie settings at any time by following the instructions in our Cookie Policy. To find out more, you may read our Privacy Policy.

    I agree
Search articles by DOI, keyword, author or affiliation
Search
Advanced Search
presentation
Molecular Medicine Reports
Join Editorial Board Propose a Special Issue
Print ISSN: 1791-2997 Online ISSN: 1791-3004
Journal Cover
November-2023 Volume 28 Issue 5

Full Size Image

Sign up for eToc alerts
Recommend to Library

Journals

International Journal of Molecular Medicine

International Journal of Molecular Medicine

International Journal of Molecular Medicine is an international journal devoted to molecular mechanisms of human disease.

International Journal of Oncology

International Journal of Oncology

International Journal of Oncology is an international journal devoted to oncology research and cancer treatment.

Molecular Medicine Reports

Molecular Medicine Reports

Covers molecular medicine topics such as pharmacology, pathology, genetics, neuroscience, infectious diseases, molecular cardiology, and molecular surgery.

Oncology Reports

Oncology Reports

Oncology Reports is an international journal devoted to fundamental and applied research in Oncology.

Experimental and Therapeutic Medicine

Experimental and Therapeutic Medicine

Experimental and Therapeutic Medicine is an international journal devoted to laboratory and clinical medicine.

Oncology Letters

Oncology Letters

Oncology Letters is an international journal devoted to Experimental and Clinical Oncology.

Biomedical Reports

Biomedical Reports

Explores a wide range of biological and medical fields, including pharmacology, genetics, microbiology, neuroscience, and molecular cardiology.

Molecular and Clinical Oncology

Molecular and Clinical Oncology

International journal addressing all aspects of oncology research, from tumorigenesis and oncogenes to chemotherapy and metastasis.

World Academy of Sciences Journal

World Academy of Sciences Journal

Multidisciplinary open-access journal spanning biochemistry, genetics, neuroscience, environmental health, and synthetic biology.

International Journal of Functional Nutrition

International Journal of Functional Nutrition

Open-access journal combining biochemistry, pharmacology, immunology, and genetics to advance health through functional nutrition.

International Journal of Epigenetics

International Journal of Epigenetics

Publishes open-access research on using epigenetics to advance understanding and treatment of human disease.

Medicine International

Medicine International

An International Open Access Journal Devoted to General Medicine.

Journal Cover
November-2023 Volume 28 Issue 5

Full Size Image

Sign up for eToc alerts
Recommend to Library

  • Article
  • Citations
    • Cite This Article
    • Download Citation
    • Create Citation Alert
    • Remove Citation Alert
    • Cited By
  • Similar Articles
    • Related Articles (in Spandidos Publications)
    • Similar Articles (Google Scholar)
    • Similar Articles (PubMed)
  • Download PDF
  • Download XML
  • View XML
Article Open Access

Agarwood extract mitigates alcoholic fatty liver in C57 mice via anti‑oxidation and anti‑inflammation

  • Authors:
    • Canhong Wang
    • Bao Gong
    • Deqian Peng
    • Yangyang Liu
    • Yulan Wu
    • Jianhe Wei
  • View Affiliations / Copyright

    Affiliations: Hainan Provincial Key Laboratory of Resources Conservation and Development of Southern Medicine, Key Laboratory of State Administration of Traditional Chinese Medicine for Agarwood Sustainable Utilization, Hainan Branch Institute of Medicinal Plant Development, Chinese Academy of Medical Sciences and Peking Union Medical College, Haikou, Hainan 570311, P.R. China, Sinopec Maoming Petrochemical Co., Ltd., Maoming, Guangdong 525000, P.R. China
    Copyright: © Wang et al. This is an open access article distributed under the terms of Creative Commons Attribution License.
  • Article Number: 210
    |
    Published online on: September 21, 2023
       https://doi.org/10.3892/mmr.2023.13097
  • Expand metrics +
Metrics: Total Views: 0 (Spandidos Publications: | PMC Statistics: )
Metrics: Total PDF Downloads: 0 (Spandidos Publications: | PMC Statistics: )
Cited By (CrossRef): 0 citations Loading Articles...

This article is mentioned in:



Abstract

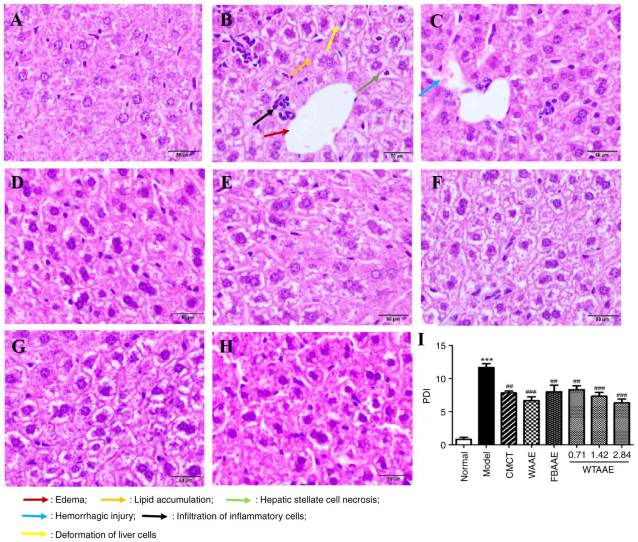
Alcoholic fatty liver disease (AFLD) is a disease with a high incidence rate among individuals who drink alcohol. Our previous study found that agarwood alcohol extracts (AAEs) have a protective effect against drug‑induced liver damage via anti‑inflammatory and antioxidant mechanisms. Therefore, we hypothesized that agarwood may have a protective effect against AFLD. The present study assessed the potential protective effects and the underlying mechanism of action of AAEs for the treatment of an AFL in vivo model. The AFLD mouse model was established by continuous high fat diet and alcohol gavage in C57 mice. After treatment with AAEs, blood was collected, liver and adipose tissues were removed and liver and adipose indexes were analyzed. The levels of alanine aminotransferase (ALT), aspartate aminotransferase (AST), triglyceride (TG) and cholesterol (CHO) in serum were detected. The liver tissue was assessed using pathological sections. Biochemical methods were used to detect the levels of oxidative stress in the supernatant of liver tissue homogenate. The levels of pro‑inflammatory cytokines in the serum were detected by ELISA. The protein expression levels of nuclear erythroid 2‑related factor 2 (Nrf2) and nuclear factor kappa‑B (NF‑κB) in liver tissues were detected using western blotting. AAE treatment decreased the liver and adipose indexes, reduced the levels of AST, ALT, TG and CHO, improved the liver pathological characteristics and enhanced antioxidant and anti‑inflammatory activities. In addition, AAEs increased the protein expression level of Nrf2 and decreased the protein expression level of NF‑κB compared with AFL mice. AAE‑treated animals exhibited reduced metabolic enzyme and blood lipid levels, demonstrated improved liver function and relieved the pathological damage of AFLD induced by consuming a high fat and alcohol diet. AAEs have potential protective effects in AFLD via antioxidant and anti‑inflammatory mechanisms.
View Figures

Figure 1

Figure 2

Figure 3

Figure 4

Figure 5

Figure 6

View References

1 

Fan JG: Epidemiology of alcoholic and nonalcoholic fatty liver disease in China. J Gastroenterol Hepatol. 28 (Suppl 1):S11–S17. 2013. View Article : Google Scholar

2 

Zhong W, Zhao Y, Tang Y, Wei X, Shi X, Sun W, Sun X, Yin X, Sun X, Kim S, et al: Chronic alcohol exposure stimulates adipose tissue lipolysis in mice: Role of reverse triglyceride transport in the pathogenesis of alcoholic steatosis. Am J Pathol. 180:998–1007. 2012. View Article : Google Scholar : PubMed/NCBI

3 

Lakshman MR: Some novel insights into the pathogenesis of alcoholic steatosis. Alcohol. 34:45–48. 2004. View Article : Google Scholar : PubMed/NCBI

4 

Raghu R, Liu CT, Tsai MH, Tang X, Kalari KR, Subramanian S and Sheen LY: Transcriptome analysis of garlic-induced hepatoprotection against alcoholic fatty liver. J Agric Food Chem. 60:11104–11119. 2012. View Article : Google Scholar : PubMed/NCBI

5 

Sookoian S and Pirola CJ: Systems biology elucidates common pathogenic mechanisms between nonalcoholic and alcoholic-fatty liver disease. PLoS One. 8:e588952013. View Article : Google Scholar : PubMed/NCBI

6 

Lieber CS: Alcoholic fatty liver: Its pathogenesis and mechanism of progression to inflammation and fibrosis. Alcohol. 34:9–19. 2004. View Article : Google Scholar : PubMed/NCBI

7 

Ma D, Hu J, Xu W, Wang Y, Wang J, Li L, Wang S, Zhou H, Li Y and Liu L: Phosphoesterase complex modulates microflora and chronic inflammation in rats with alcoholic fatty liver disease. Life Sci. 262:1185092020. View Article : Google Scholar : PubMed/NCBI

8 

Guo H, Sun J, Li D, Hu Y, Yu X, Hua H, Jing X, Chen F, Jia Z and Xu J: Shikonin attenuates acetaminophen-induced acute liver injury via inhibition of oxidative stress and inflammation. Biomed Pharmacother. 112:1087042019. View Article : Google Scholar : PubMed/NCBI

9 

Zhuge Q, Zhang Y, Liu B and Wu MJ: Blueberry polyphenols play a preventive effect on alcoholic fatty liver disease C57BL/6 J mice by promoting autophagy to accelerate lipolysis to eliminate excessive TG accumulation in hepatocytes. Ann Palliat Med. 9:1045–1054. 2020. View Article : Google Scholar : PubMed/NCBI

10 

Wang M, Zhang XJ, Feng K, He C, Li P, Hu YJ, Su H and Wan JB: Dietary α-linolenic acid-rich flaxseed oil prevents against alcoholic hepatic steatosis via ameliorating lipid homeostasis at adipose tissue-liver axis in mice. Sci Rep. 6:268262016. View Article : Google Scholar : PubMed/NCBI

11 

Wang Y, Mukhopadhyay P, Cao Z, Wang H, Feng D, Haskó G, Mechoulam R, Gao B and Pacher P: Cannabidiol attenuates alcohol-induced liver steatosis, metabolic dysregulation, inflammation and neutrophil-mediated injury. Sci Rep. 7:120642017. View Article : Google Scholar : PubMed/NCBI

12 

Kong L, Chen J, Ji X, Qin Q, Yang H, Liu D, Li D and Sun M: Alcoholic fatty liver disease inhibited the co-expression of Fmo5 and PPARα to activate the NF-κB signaling pathway, thereby reducing liver injury via inducing gut microbiota disturbance. J Exp Clin Cancer Res. 40:182021. View Article : Google Scholar : PubMed/NCBI

13 

Liu Y, Chen H, Yang Y, Zhang Z, Wei J, Meng H, Chen W, Feng J, Gan B, Chen X, et al: Whole-tree agarwood-inducing technique: An efficient novel technique for producing high-quality agarwood in cultivated Aquilaria sinensis trees. Molecules. 18:3086–3106. 2013. View Article : Google Scholar : PubMed/NCBI

14 

Takagi K, Kimura M, Harada M and Otsuka Y: Pharmacology of medicinal herbs in East Asia. Nanzando Tokyo. 41:187–188. 1982.

15 

Zhu Z, Zhao Y, Huo H, Gao X, Zheng J, Li J and Tu P: HHX-5, a derivative of sesquiterpene from Chinese agarwood, suppresses innate and adaptive immunity via inhibiting STAT signaling pathways. Eur J Pharmacol. 791:412–423. 2016. View Article : Google Scholar : PubMed/NCBI

16 

Zhu Z, Gu Y, Zhao Y, Song Y, Li J and Tu P: GYF-17, a chloride substituted 2-(2-phenethyl)-chromone, suppresses LPS-induced inflammatory mediator production in RAW264.7 cells by inhibiting STAT1/3 and ERK1/2 signaling pathways. Int Immunopharmacol. 35:185–192. 2016. View Article : Google Scholar : PubMed/NCBI

17 

Huo HX, Gu YF, Sun H, Zhang YF, Liu WJ, Zhu ZX, Shi SP, Song YL, Jin HW, Zhao YF, et al: Anti-inflammatory 2-(2-phenylethyl)chromone derivatives from Chinese agarwood. Fitoterapia. 118:49–55. 2017. View Article : Google Scholar : PubMed/NCBI

18 

Zhou M, Wang H, Suolangjiba Kou J and Yu B: Antinociceptive and anti-inflammatory activities of Aquilaria sinensis (Lour.) Gilg. Leaves extract. J Ethnopharmaco. 117:345–350. 2008. View Article : Google Scholar

19 

Sattayasai J, Bantadkit J, Aromdee C, Lattmann E and Airarat W: Antipyretic, analgesic and anti-oxidative activities of Aquilaria crassna leaves extract in rodents. J Ayurveda Integr Med. 3:175–179. 2012. View Article : Google Scholar : PubMed/NCBI

20 

Wang CH, Wang S, Peng DQ, Yu ZX, Guo P and Wei JH: Protective effect of agarwood alcohol extracts produced by whole-tree agarwood-inducing technique on the fluorouracil-induced liver injury in mice. J Int Pharm Res. 45:187–197. 2018.

21 

Wang CH, Wang S, Peng DQ, Liu YY, Guo P and Wei JH: Protective effect of alcohol extract of agarwood on acute liver injury induced by carbon tetrachloride in mice. Mod Chin Med. 19:1091–1096. 2017.

22 

Wang C, Peng D, Liu Y, Wu Y, Guo P and Wei J: Agarwood alcohol extract protects against gastric ulcer by inhibiting oxidation and inflammation. Evid Based Complement Alternat Med. 2021:99446852021.PubMed/NCBI

23 

Wang C, Peng D, Liu Y, Yu Z, Guo P and Wei J: Agarwood alcohol extract ameliorates isoproterenol-induced myocardial ischemia by inhibiting oxidation and apoptosis. Cardiol Res Pract. 2020:36408152020. View Article : Google Scholar : PubMed/NCBI

24 

Tan P, Liang H, Nie J, Diao Y, He Q, Hou B, Zhao T, Huang H, Li Y, Gao X, et al: Establishment of an alcoholic fatty liver disease model in mice. Am J Drug Alcohol Abuse. 43:61–68. 2017. View Article : Google Scholar : PubMed/NCBI

25 

Dong Q, Chu F, Wu C, Huo Q, Gan H, Li X and Liu H: Scutellaria baicalensis Georgi extract protects against alcohol-induced acute liver injury in mice and affects the mechanism of ER stress. Mol Med Rep. 13:3052–3062. 2016. View Article : Google Scholar : PubMed/NCBI

26 

Yeh MM and Brunt EM: Pathological features of fatty liver disease. Gastroenterol. 147:754–764. 2014. View Article : Google Scholar : PubMed/NCBI

27 

Zhang Y, Park J, Han SJ, Park I, Huu TN, Kim JS, Woo HA and Lee SR: The critical role of redox regulation of PTEN and peroxiredoxin III in alcoholic fatty liver. Free Rad Bio Med. 162:141–148. 2021. View Article : Google Scholar

28 

Wang Z, Dou X, Li S, Zhang X, Sun X, Zhou Z and Song Z: Nuclear factor (erythroid-derived 2)-like 2 activation-induced hepatic very-low-density lipoprotein receptor overexpression in response to oxidative stress contributes to alcoholic liver disease in mice. Hepatolo. 59:1381–1392. 2014. View Article : Google Scholar

29 

Park JH, Lee DH, Park MS, Jung YS and Hong JT: C-C chemokine receptor type 5 deficiency exacerbates alcoholic fatty liver disease through pro-inflammatory cytokines and chemokines-induced hepatic inflammation. J Gastroentero Hepatolo. 32:1258–1264. 2017. View Article : Google Scholar

30 

Wang C, Wang S, Peng D, Liu Y, Guo P and Wei J: Agarwood extract mitigates intestinal injury in fluorouracil-induced mice. Biol Pharm Bull. 42:1112–1119. 2019. View Article : Google Scholar : PubMed/NCBI

31 

Han X, Ding C, Zhang G, Pan R, Liu Y, Huang N, Hou N, Han F, Xu W and Sun X: Liraglutide ameliorates obesity-related nonalcoholic fatty liver disease by regulating Sestrin2-mediated Nrf2/HO-1 pathway. Biochem Biophys Res Commun. 525:895–901. 2020. View Article : Google Scholar : PubMed/NCBI

32 

Gao G, Xie Z, Li EW, Yuan Y, Fu Y, Wang P, Zhang X, Qiao Y, Xu J, Hölscher C, et al: Dehydroabietic acid improves nonalcoholic fatty liver disease through activating the Keap1/Nrf2-ARE signaling pathway to reduce ferroptosis. J Nat Med. 75:540–552. 2021. View Article : Google Scholar : PubMed/NCBI

33 

Zhao J, Wang Y, Wu X, Tong P, Yue Y, Gao S, Huang D and Huang J: Inhibition of CCL19 benefits non-alcoholic fatty liver disease by inhibiting TLR4/NF-κB-p65 signaling. Mol Med Rep. 18:4635–4642. 2018.PubMed/NCBI

34 

Gao X, Hong R and Li J: Gastroenterology DO. Protective effect of silymarin on alcoholic fatty liver in rats possibly via impairing nf-κb activation. Acta Univer Med Anhui. 2014.

Related Articles

  • Abstract
  • View
  • Download
  • Twitter
Copy and paste a formatted citation
Spandidos Publications style
Wang C, Gong B, Peng D, Liu Y, Wu Y and Wei J: Agarwood extract mitigates alcoholic fatty liver in C57 mice via anti‑oxidation and anti‑inflammation. Mol Med Rep 28: 210, 2023.
APA
Wang, C., Gong, B., Peng, D., Liu, Y., Wu, Y., & Wei, J. (2023). Agarwood extract mitigates alcoholic fatty liver in C57 mice via anti‑oxidation and anti‑inflammation. Molecular Medicine Reports, 28, 210. https://doi.org/10.3892/mmr.2023.13097
MLA
Wang, C., Gong, B., Peng, D., Liu, Y., Wu, Y., Wei, J."Agarwood extract mitigates alcoholic fatty liver in C57 mice via anti‑oxidation and anti‑inflammation". Molecular Medicine Reports 28.5 (2023): 210.
Chicago
Wang, C., Gong, B., Peng, D., Liu, Y., Wu, Y., Wei, J."Agarwood extract mitigates alcoholic fatty liver in C57 mice via anti‑oxidation and anti‑inflammation". Molecular Medicine Reports 28, no. 5 (2023): 210. https://doi.org/10.3892/mmr.2023.13097
Copy and paste a formatted citation
x
Spandidos Publications style
Wang C, Gong B, Peng D, Liu Y, Wu Y and Wei J: Agarwood extract mitigates alcoholic fatty liver in C57 mice via anti‑oxidation and anti‑inflammation. Mol Med Rep 28: 210, 2023.
APA
Wang, C., Gong, B., Peng, D., Liu, Y., Wu, Y., & Wei, J. (2023). Agarwood extract mitigates alcoholic fatty liver in C57 mice via anti‑oxidation and anti‑inflammation. Molecular Medicine Reports, 28, 210. https://doi.org/10.3892/mmr.2023.13097
MLA
Wang, C., Gong, B., Peng, D., Liu, Y., Wu, Y., Wei, J."Agarwood extract mitigates alcoholic fatty liver in C57 mice via anti‑oxidation and anti‑inflammation". Molecular Medicine Reports 28.5 (2023): 210.
Chicago
Wang, C., Gong, B., Peng, D., Liu, Y., Wu, Y., Wei, J."Agarwood extract mitigates alcoholic fatty liver in C57 mice via anti‑oxidation and anti‑inflammation". Molecular Medicine Reports 28, no. 5 (2023): 210. https://doi.org/10.3892/mmr.2023.13097
Follow us
  • Twitter
  • LinkedIn
  • Facebook
About
  • Spandidos Publications
  • Careers
  • Cookie Policy
  • Privacy Policy
How can we help?
  • Help
  • Live Chat
  • Contact
  • Email to our Support Team