Spandidos Publications Logo
  • About
    • About Spandidos
    • Aims and Scopes
    • Abstracting and Indexing
    • Editorial Policies
    • Reprints and Permissions
    • Job Opportunities
    • Terms and Conditions
    • Contact
  • Journals
    • All Journals
    • Oncology Letters
      • Oncology Letters
      • Information for Authors
      • Editorial Policies
      • Editorial Board
      • Aims and Scope
      • Abstracting and Indexing
      • Bibliographic Information
      • Archive
    • International Journal of Oncology
      • International Journal of Oncology
      • Information for Authors
      • Editorial Policies
      • Editorial Board
      • Aims and Scope
      • Abstracting and Indexing
      • Bibliographic Information
      • Archive
    • Molecular and Clinical Oncology
      • Molecular and Clinical Oncology
      • Information for Authors
      • Editorial Policies
      • Editorial Board
      • Aims and Scope
      • Abstracting and Indexing
      • Bibliographic Information
      • Archive
    • Experimental and Therapeutic Medicine
      • Experimental and Therapeutic Medicine
      • Information for Authors
      • Editorial Policies
      • Editorial Board
      • Aims and Scope
      • Abstracting and Indexing
      • Bibliographic Information
      • Archive
    • International Journal of Molecular Medicine
      • International Journal of Molecular Medicine
      • Information for Authors
      • Editorial Policies
      • Editorial Board
      • Aims and Scope
      • Abstracting and Indexing
      • Bibliographic Information
      • Archive
    • Biomedical Reports
      • Biomedical Reports
      • Information for Authors
      • Editorial Policies
      • Editorial Board
      • Aims and Scope
      • Abstracting and Indexing
      • Bibliographic Information
      • Archive
    • Oncology Reports
      • Oncology Reports
      • Information for Authors
      • Editorial Policies
      • Editorial Board
      • Aims and Scope
      • Abstracting and Indexing
      • Bibliographic Information
      • Archive
    • Molecular Medicine Reports
      • Molecular Medicine Reports
      • Information for Authors
      • Editorial Policies
      • Editorial Board
      • Aims and Scope
      • Abstracting and Indexing
      • Bibliographic Information
      • Archive
    • World Academy of Sciences Journal
      • World Academy of Sciences Journal
      • Information for Authors
      • Editorial Policies
      • Editorial Board
      • Aims and Scope
      • Abstracting and Indexing
      • Bibliographic Information
      • Archive
    • International Journal of Functional Nutrition
      • International Journal of Functional Nutrition
      • Information for Authors
      • Editorial Policies
      • Editorial Board
      • Aims and Scope
      • Abstracting and Indexing
      • Bibliographic Information
      • Archive
    • International Journal of Epigenetics
      • International Journal of Epigenetics
      • Information for Authors
      • Editorial Policies
      • Editorial Board
      • Aims and Scope
      • Abstracting and Indexing
      • Bibliographic Information
      • Archive
    • Medicine International
      • Medicine International
      • Information for Authors
      • Editorial Policies
      • Editorial Board
      • Aims and Scope
      • Abstracting and Indexing
      • Bibliographic Information
      • Archive
  • Articles
  • Information
    • Information for Authors
    • Information for Reviewers
    • Information for Librarians
    • Information for Advertisers
    • Conferences
  • Language Editing
Spandidos Publications Logo
  • About
    • About Spandidos
    • Aims and Scopes
    • Abstracting and Indexing
    • Editorial Policies
    • Reprints and Permissions
    • Job Opportunities
    • Terms and Conditions
    • Contact
  • Journals
    • All Journals
    • Biomedical Reports
      • Information for Authors
      • Editorial Policies
      • Editorial Board
      • Aims and Scope
      • Abstracting and Indexing
      • Bibliographic Information
      • Archive
    • Experimental and Therapeutic Medicine
      • Information for Authors
      • Editorial Policies
      • Editorial Board
      • Aims and Scope
      • Abstracting and Indexing
      • Bibliographic Information
      • Archive
    • International Journal of Epigenetics
      • Information for Authors
      • Editorial Policies
      • Editorial Board
      • Aims and Scope
      • Abstracting and Indexing
      • Bibliographic Information
      • Archive
    • International Journal of Functional Nutrition
      • Information for Authors
      • Editorial Policies
      • Editorial Board
      • Aims and Scope
      • Abstracting and Indexing
      • Bibliographic Information
      • Archive
    • International Journal of Molecular Medicine
      • Information for Authors
      • Editorial Policies
      • Editorial Board
      • Aims and Scope
      • Abstracting and Indexing
      • Bibliographic Information
      • Archive
    • International Journal of Oncology
      • Information for Authors
      • Editorial Policies
      • Editorial Board
      • Aims and Scope
      • Abstracting and Indexing
      • Bibliographic Information
      • Archive
    • Medicine International
      • Information for Authors
      • Editorial Policies
      • Editorial Board
      • Aims and Scope
      • Abstracting and Indexing
      • Bibliographic Information
      • Archive
    • Molecular and Clinical Oncology
      • Information for Authors
      • Editorial Policies
      • Editorial Board
      • Aims and Scope
      • Abstracting and Indexing
      • Bibliographic Information
      • Archive
    • Molecular Medicine Reports
      • Information for Authors
      • Editorial Policies
      • Editorial Board
      • Aims and Scope
      • Abstracting and Indexing
      • Bibliographic Information
      • Archive
    • Oncology Letters
      • Information for Authors
      • Editorial Policies
      • Editorial Board
      • Aims and Scope
      • Abstracting and Indexing
      • Bibliographic Information
      • Archive
    • Oncology Reports
      • Information for Authors
      • Editorial Policies
      • Editorial Board
      • Aims and Scope
      • Abstracting and Indexing
      • Bibliographic Information
      • Archive
    • World Academy of Sciences Journal
      • Information for Authors
      • Editorial Policies
      • Editorial Board
      • Aims and Scope
      • Abstracting and Indexing
      • Bibliographic Information
      • Archive
  • Articles
  • Information
    • For Authors
    • For Reviewers
    • For Librarians
    • For Advertisers
    • Conferences
  • Language Editing
Login Register Submit
  • This site uses cookies
  • You can change your cookie settings at any time by following the instructions in our Cookie Policy. To find out more, you may read our Privacy Policy.

    I agree
Search articles by DOI, keyword, author or affiliation
Search
Advanced Search
presentation
Oncology Letters
Join Editorial Board Propose a Special Issue
Print ISSN: 1792-1074 Online ISSN: 1792-1082
Journal Cover
January-February 2011 Volume 2 Issue 1

Full Size Image

Sign up for eToc alerts
Recommend to Library

Journals

International Journal of Molecular Medicine

International Journal of Molecular Medicine

International Journal of Molecular Medicine is an international journal devoted to molecular mechanisms of human disease.

International Journal of Oncology

International Journal of Oncology

International Journal of Oncology is an international journal devoted to oncology research and cancer treatment.

Molecular Medicine Reports

Molecular Medicine Reports

Covers molecular medicine topics such as pharmacology, pathology, genetics, neuroscience, infectious diseases, molecular cardiology, and molecular surgery.

Oncology Reports

Oncology Reports

Oncology Reports is an international journal devoted to fundamental and applied research in Oncology.

Experimental and Therapeutic Medicine

Experimental and Therapeutic Medicine

Experimental and Therapeutic Medicine is an international journal devoted to laboratory and clinical medicine.

Oncology Letters

Oncology Letters

Oncology Letters is an international journal devoted to Experimental and Clinical Oncology.

Biomedical Reports

Biomedical Reports

Explores a wide range of biological and medical fields, including pharmacology, genetics, microbiology, neuroscience, and molecular cardiology.

Molecular and Clinical Oncology

Molecular and Clinical Oncology

International journal addressing all aspects of oncology research, from tumorigenesis and oncogenes to chemotherapy and metastasis.

World Academy of Sciences Journal

World Academy of Sciences Journal

Multidisciplinary open-access journal spanning biochemistry, genetics, neuroscience, environmental health, and synthetic biology.

International Journal of Functional Nutrition

International Journal of Functional Nutrition

Open-access journal combining biochemistry, pharmacology, immunology, and genetics to advance health through functional nutrition.

International Journal of Epigenetics

International Journal of Epigenetics

Publishes open-access research on using epigenetics to advance understanding and treatment of human disease.

Medicine International

Medicine International

An International Open Access Journal Devoted to General Medicine.

Journal Cover
January-February 2011 Volume 2 Issue 1

Full Size Image

Sign up for eToc alerts
Recommend to Library

  • Article
  • Citations
    • Cite This Article
    • Download Citation
    • Create Citation Alert
    • Remove Citation Alert
    • Cited By
  • Similar Articles
    • Related Articles (in Spandidos Publications)
    • Similar Articles (Google Scholar)
    • Similar Articles (PubMed)
  • Download PDF
  • Download XML
  • View XML
Article

Effects of high-isoflavone soy diet vs. casein protein diet and obesity on DMBA-induced mammary tumor development

  • Authors:
    • Reza Hakkak
    • Saied Shaaf
    • Chan Hee Jo
    • Stewart MacLeod
    • Soheila Korourian
  • View Affiliations / Copyright

    Affiliations: Department of Dietetics and Nutrition, University of Arkansas for Medical Sciences, Little Rock, AR 72205, USA, Department of Pediatrics, University of Arkansas for Medical Sciences, Little Rock, AR 72205, USA, Department of Pathology, University of Arkansas for Medical Sciences, Little Rock, AR 72205, USA
  • Pages: 29-36
    |
    Published online on: November 8, 2010
       https://doi.org/10.3892/ol.2010.202
  • Expand metrics +
Metrics: Total Views: 0 (Spandidos Publications: | PMC Statistics: )
Metrics: Total PDF Downloads: 0 (Spandidos Publications: | PMC Statistics: )
Cited By (CrossRef): 0 citations Loading Articles...

This article is mentioned in:



Abstract

Obesity and elevated serum insulin growth factor-1 (IGF-1) level are major risk factors in the development of breast cancer. We investigated the long-term effects of high-isoflavone soy intake and obesity on 7,12-dimethylbenz(a)anthracene (DMBA)-induced mammary tumor development and on serum IGF-1 and binding protein (IGFBP-3) levels. Lean and obese female Zucker rats fed casein or high-isoflavone soy protein were orally gavaged at age 50 days with DMBA and sacrificed after 147 days. The majority of lean casein-fed rats (69%) developed mammary tumors compared to 50% in lean soy-fed rats (P=0.176). In the obese groups, 76% of soy-fed rats developed mammary tumors compared to 15% of obese casein-fed rats (P<0.001). At age 43 days, IGFBP-3 was increased in the lean soy-fed rats compared to the lean casein-fed rats (P<0.05). At age 99 days, soy- and obese casein-fed rats exhibited increased serum IGF-1 compared to the lean rats and this increase was maintained for the rest of the experiment (P<0.05). Obese rats fed casein exhibited increased IGFBP-3 levels (P<0.001). However, obese rats fed soy exhibited a significant decrease in IGFBP-3 levels compared to the lean soy-fed rats (P<0.001) and a significant decrease in IGFBP-3 levels compared to the obese casein-fed rats (P<0.001). At age 197 days, IGFBP-3 levels were increased in obese casein- and soy-fed rats (P<0.001). The results suggest that female Zucker rats fed casein diets are protected against DMBA-induced mammary tumors, which is not the case for those on high-isoflavone soy diet, and changes in the concentration of serum IGFBP-3 may contribute to the incidence of DMBA-induced mammary tumors.

Introduction

Breast cancer is the most common malignant tumor among women and, of all cancers, it is the second leading cause of mortality in women in the United States. In 2010, an estimated 207,090 women are likely to be diagnosed with invasive breast cancer and 39,840 women are likely to succumb to this disease (1). Obesity has been epidemic in the United States for more than two decades and the proportion of overweight and obese adults in the population continues to rise. In an investigation of the role of overweight and obesity in carcinogenesis, Calle et al documented not only an association between body mass index (BMI) and mortality from various types of cancer, but also provided a reliable estimate of the contribution of overweight and obesity to the total mortality from cancer (2). The authors reported that women with the highest BMI (40 kg/m2) had mortality rates from all types of cancer combined that were 62% higher (with a relative risk of death of 1.62) than the rates of women of normal weight. These authors reported a significant trend whereby individuals with a higher BMI exhibited an increased risk of succumbing to cancers of the breast, uterus, cervix and ovary.

Numerous studies suggest health benefits from soy consumption, including its role in the reduction of cardiovascular disease and certain types of cancer (3,4). Soybeans and soy protein products are a major source of phytoestrogen, plant-based estrogen-like substances. Soybeans contain isoflavones, which are structurally similar to mammalian estrogens, have estrogenic properties and are potential anticarcinogens (5). The most common dietary isoflavones are genistein, daidzein and glycitein, also known as isoflavonoids (6). Gut flora metabolizes daidzein into equol, a non-steroidal estrogen (6). It has been proposed that a high consumption of soy foods is partially responsible for the observed lower breast cancer rate in Asian women (7). However, results of these studies conflict with those of studies concluding that certain components of soy are estrogenic and therefore increase the breast cancer risk.

Certain studies are available regarding the protective effects of soy on breast cancer, while findings of other studies report the adverse effects of soy. For example, soy intake has been found to increase spontaneous mammary gland tumors in mice (8). Moreover, the use of a soy protein supplement for 2 weeks by women with benign or malignant breast disease was found to have estrogenic effects on the breasts of these individuals (9). On the other hand, in a large cohort study of British women no effects of dietary isoflavone intake and breast cancer risk were found among either pre- or post-menopausal women (10). Experimental studies showed variable results on breast cancer reduction by soy or the soy isoflavone genistein (11–15). For example, it was reported that genistein reduces the growth of tumors that arise from inoculated human or mouse breast cancer carcinoma cells in pre-menopausal mouse models (16,17). On the other hand, isolated genistein was found to promote MNU-induced estrogen-dependent mammary tumorigenesis and growth of the MCF-7 estrogen receptor (ER)-positive human breast cancer cell line implanted in ovariectomized rats and mice as a model for postmenopausal status (18,19). Data on the effects of soy consumption on breast health, particularly in obese women, are lacking.

A number of epidemiological studies showed that elevated levels of serum insulin-like growth factor-1 (IGF-1), a mitogenic and antiapoptotic protein, are related to an increased risk of breast cancer (20–27). IGF-1 levels are increased in obese individuals and at least part of the greater risk of breast cancer in obese women may be due to IGF-1 growth stimulation of breast cells. IGF-1 activity is modulated by a family of IGF-binding proteins, IGFBPs 1–6. These proteins bind and reduce the availability of IGF-1 in serum. Increased IGFBP levels are associated with lower bioavailable IGF-1 and are involved in the antiproliferative effects of antiestrogens in human breast cancer cell lines (28,29). IGF-1 and estrogen function as growth factors for mammary epithelial cells and for mammary tumor cell lines, operating to increase proliferation in breast cancer cell lines. Additionally, IGF-1 is required for maximum ER activation in these cells (28,29). Higher insulin levels are also associated with obesity and may enhance cellular proliferation leading to the development of breast cancer (30).

Of the IGFBPs, IGFBP-3 exhibits the highest concentration in serum and the majority of IGF-1 in serum are bound by IGFBP-3. IGFBP-3 with bound IGF-1 is thought to be inactive, but IGFBP-3 can be degraded by proteases in tumor cells, thereby releasing IGF-1 and increasing local IGF-1 bioavailability. Human data regarding IGFBP-3 levels and breast cancer risk have been inconclusive. Some studies show a relationship between breast cancer risk and IGFBP-3 concentrations (23,24,26), whereas in other studies a protective effect (22) or no association at all (31) was noted.

The Zucker rat (fa/fa) is the best known, most widely used rat model for genetic obesity. Obesity in the Zucker rat is inherited as an autosomal recessive trait caused by a mutation (fa) in the leptin receptor gene (32,33), discovered by Zucker and Zucker (34,35). Animals homozygous for the fa allele were notably obese by 3–5 weeks of age and by 14 weeks of age their body composition was >40% lipid (36). A number of investigators have used this model to study the development, etiology, associated pathogenesis, possible treatment and putative mechanisms of severe obesity (37). Obese Zucker rats develop hyperinsulinemia and insulin resistance prior to the development of obesity-associated non-insulin-dependent diabetes mellitus (NIDDM) in a manner similar to that in humans (38). Lean Zucker rats, by contrast, exhibit normal metabolic function and are considered ideal controls. Consequently, this model can be used to investigate the impact of soy consumption on mammary tumor development in an obese animal model. No published data are currently available regarding the effects of soy diet and obesity on mammary tumor development in obese animals.

Material and methods

Experimental design

The animal protocols were approved by the Institutional Animal Care and Use Committee (IACUC) at the University of Arkansas for Medical Sciences. A total of 99 five-week-old female Zucker rats (45 obese fa/fa and 54 lean) were purchased from Harlan Industries (Indianapolis, IN, USA). Harlan Industries performed genotyping to identify fa/fa and lean/lean rats at the age of 24 days. After 1 week of acclimation (age 42 days), rats were randomly assigned to groups: i) lean, casein diet; ii) obese, casein diet; iii) lean, soy protein diet; and iv) obese, soy protein diet. The rats were housed 2 per cage with ad libitum access to water and a semi-purified diet similar to the AIN-93G diet (Harlan Teklad, Madison, WI, USA) prepared with dietary protein, either casein (control) or an enzymatically treated soy protein isolate with high isoflavones [3.24 mg total isoflavones/g protein (1.88 aglycone equivalents/g protein), Lot no. M330024462; Solae LLC, St. Louis, MO, USA]. The compositions of the two diets are described in Table I. At age 50 days the rats received 65 mg DMBA/kg body weight (Sigma Chemical Co., St. Louis, MO, USA) in sesame oil, via gavage. Blood samples were drawn from the tail vein at various ages (43, 99 and 197 days) to measure serum IGF-1 using ELISA kit (IDS, Fountain Hills, AZ, USA) and IGFBP-3 ELISA kit (DSL, Webster, TX, USA). Beginning 4 weeks after DMBA treatment, the rats were palpated twice weekly for mammary tumor detection. The detection date and location of each mammary tumor were recorded for each rat. The rats were sacrificed 147 days post-DMBA treatment. The mammary tumors were excised, counted and weighed. Three rats with tumor masses >2.5 cm in diameter were sacrificed early according to our IACUC-approved animal protocol. The tumor sections were placed in 10% neutral-buffered formalin for histopathologic analysis. Sections (4 μm) of the paraffin-embedded tumors were stained with hematoxylin and eosin for light microscopic evaluation.

Table I

Composition of study diets.

Table I

Composition of study diets.

IngredientsCasein (g/kg)aSoy protein (g/kg)
Casein200.0-
Isolated soy protein-202.0
L-Cystine3.0-
L-Methionine-2.5
L-Cystine-1.3
L-Tryptophan-0.4
L-Threonine-0.3
Corn starch397.5409.0
Maltodextrin132.0132.0
Sucrose100.0108.0
Corn oilb70.063.0
Cellulose50.050.0
AIN-93G mineral mix35.035.0
AIN-93G vitamin mix10.010.0
Choline bitartrate2.52.5
TBHQ, antioxidant0.0140.014

a Measurements are g of ingredient/kg of diet.

b The amount of corn oil was adjusted in the soy protein diet to account for the fat contribution from soy protein.

Pathology

A board-certified anatomic pathologist (S.K.) evaluated the tumors in a blinded protocol. The tumors were classified as benign (essentially unremarkable breast parenchyma with non-proliferative fibrocystic changes); intraductal proliferation (IDP), characterized by epithelial proliferation or presence or multiple papillomas; ductal carcinoma in situ (DCIS), uniform proliferation of tumor cells within pre-existing structures without evidence of invasion to the surrounding tissue; invasive ductal and lobular carcinoma (IDC), showing an invasive (infiltrative) pattern of neoplastic cells; or Phyllodes, characterized by a relatively well-demarcated fibroepithelial mass showing marked stromal cellularity and numerous stromal mitosis, similar to the pattern of the Phyllodes tumor observed in female individuals.

Statistical analysis

A Kruskal-Wallis test was used to analyze the four treatment groups, followed by between-group comparisons using the Mann-Whitney U test due to unequal variances in the groups. A two-way ANOVA was used to measure serum IGF-1 and IGFBP-3 levels, followed by Tukey’s post-hoc test. A Kaplan-Meier analysis of tumor latency was performed. A log-rank test was used to compare the median tumor-free times. Fisher’s exact test was used to compare the percentage of rats with tumors and tumor histology in each group. The median number of tumors per tumor-bearing rat (multiplicity) for each group was compared using the non-parametric Kruskal-Wallis test for overall differences and the Mann-Whitney U test for group comparisons. Statistical significance was set at P<0.05 and the P-values were not adjusted for multiple comparisons. For the rats that were sacrificed early due to tumor burden, the number of tumors was assumed to have remained constant until the end of the study. Data analyses were generated and the plots were constructed using SPSS© version 17.0 for Windows (SPSS Inc., Chicago, IL, USA) and SAS version 9.0 (SAS Inc., Cary, NC, USA).

Results

Body weight

All of the rats gained weight during the course of the experiment (Fig. 1A). Obese rats gained significantly (P<0.001) more weight than lean rats. Obese soy protein-fed rats were significantly heavier than obese casein rats (543±11 vs. 484±8) (P<0.001). The lean soy protein-fed rats also exhibited a higher body weight than the lean casein-fed rats (300±5 vs. 283±4) (P=0.024).

Figure 1

(A) Body weights (BW) of lean casein (L/C), lean soy protein (L/S), obese casein (O/C) and obese soy protein (O/S) female rats following oral gavage of 65 mg DMBA/kg BW at age 50 days (study Day 0). (B) Mammary tumor incidence (percentage of rats with tumors) of female rats (days post-DMBA treatment). Dashed line, development of at least one mammary tumor by 25% of rats in a group.

Serum IGF and IGFBP-3 levels

At age 43 days, no differences were found in the serum IGF-1 levels among the groups, but IGFBP-3 was increased in the high-isoflavone soy protein-fed lean group compared to the casein-fed lean rats (Table II). At age 99 days, obese rats fed a casein diet exhibited increased IGFBP-3 levels (P<0.001), but obese rats fed soy protein exhibited a significant decrease in IGFBP-3 levels compared to the lean soy protein-fed group (P<0.001). Moreover, obese soy protein-fed rats exhibited a significant decrease in IGFBP-3 levels compared to obese casein-fed rats (P<0.001). At the end of the experiment, IGFBP-3 levels were increased in the obese casein- and soy protein-fed rats (P<0.001).

Table II

Serum levels of IGF-1 and IGFBP-3 (mean ± standard error).

Table II

Serum levels of IGF-1 and IGFBP-3 (mean ± standard error).

L/C (n=26)L/S (n=28)O/C (n=20)O/S (n=25)
IGF-1
 Age (days)431.327±541.422±571.309±521.472±65
991.129±27a,c1.213±321.705±76b,d1.528±67b,e
197816±18834±201.652±67b,d1.433±84b,e
IGFBP-3
 Age (days)4369±2b,c79±178±2b,d78±1
9944±246±159±3b,d40±1b,e,f
19716±219±240±5b,d30±3b,e

{ label (or @symbol) needed for fn[@id='tfn3-ol-02-01-0029'] } L/C, lean casein; L/S, lean soy protein; O/C, obese casein; O/S, obese soy protein.

a P<0.05;

b P<0.001;

c L/C vs. L/S;

d L/C vs. O/C;

e L/S vs. O/S;

f O/C vs. O/S.

Time course for tumor formation, latency and multiplicity

The time course of palpable mammary tumor detection is shown in Fig. 1B and the data are presented in Table III.

Table III

Characteristics of DMBA-induced mammary tumors.

Table III

Characteristics of DMBA-induced mammary tumors.

L/C (n=26)L/S (n=28)O/C (n=20)O/S (n=25)
Tumor onset
 Day of first tumora88469588
 Day at 25% tumorsb124116N/A106
Tumor incidence
 Rats with tumors (%)c69f,g501576f,h
Multiplicityd1 (1–4)1 (1–2)11 (1–3)
Total tumors (n=82)e30 (37%)18 (21%)3 (4%)31 (38%)
 Benign2 (7%)0 (0%)0 (0%)2 (6%)
 IDP6 (20%)0 (0%)0 (0%)0 (0%)
 DCIS21 (70%)9 (50%)2 (67%)16 (52%)
 IDC0 (0%)6 (33%)1 (33%)11 (35%)
 Phyllodes1 (3%)3 (17%)0 (0%)2 (7%)

{ label (or @symbol) needed for fn[@id='tfn10-ol-02-01-0029'] } L/C, lean casein; L/S, lean soy protein; O/C, obese casein; O/S, obese soy protein; N/A, not applicable.

a Post-DMBA day at which the first mammary tumor was detectable by palpation.

b Post-DMBA treatment at which the probability of tumor development was 25%.

c Percentage of rats with at least one mammary tumor.

d Median number of tumors in tumor-bearing rats (minimum and maximum in parentheses).

e Number and percentage of total mammary tumors graded as benign, intraductal proliferation (IDP), ductal carcinoma in situ (DCIS), invasive ductal and lobular carcinoma (IDC) or Phyllodes.

f P<0.001.

g L/C vs. O/C;

h O/C vs. O/S.

Tumor latency (the number of days post-DMBA treatment until the detection of the first mammary tumor) was longer in the obese casein-fed rats than the remaining three groups. The first mammary tumor detected in lean soy protein-fed rats was 46 days post-DMBA treatment compared to 88 days in lean casein-fed rats. For the obese soy protein-fed rats, the first mammary tumor was detected 88 days post-DMBA treatment, compared to 95 days in obese casein-fed rats. In addition, 25% of the lean soy protein-fed rats developed mammary tumors 116 days post-DMBA treatment, compared to 124 days for the lean casein-fed rats and 106 days for the obese soy protein-fed rats. By the end of the experiment, 69% of the lean casein rats developed mammary tumors, compared to 50% in the lean high-isoflavone soy protein group. However, this difference was not statistically significant (P=0.176). In the obese group, 76% of the high-isoflavone soy protein-fed rats developed mammary tumors, compared to 15% of the obese casein-fed rats (P<0.001). The lean casein-fed group had a higher incidence of mammary tumor development than that of the obese casein rats (69 vs. 15%) (P<0.001). A higher incidence of mammary tumors was noted in the obese soy protein-fed rats than in the lean soy protein-fed rats. However, this result was not statistically significant (76 vs. 50%) (P=0.088). The median number of mammary tumors per tumor-bearing rat (multiplicity) was compared. No statistically significant difference was found among the four groups. In regards to multiplicity, the lean soy protein-fed rats had a range of 1–2 tumors per rat, compared to a range of 1–4 tumors per rat in the lean casein-fed group. The tumor multiplicity for obese casein-fed rats (1 tumor per rat) was lower compared to the obese soy protein-fed rats (1–3 tumors per rat) (Table III).

Mammary tumor characteristics

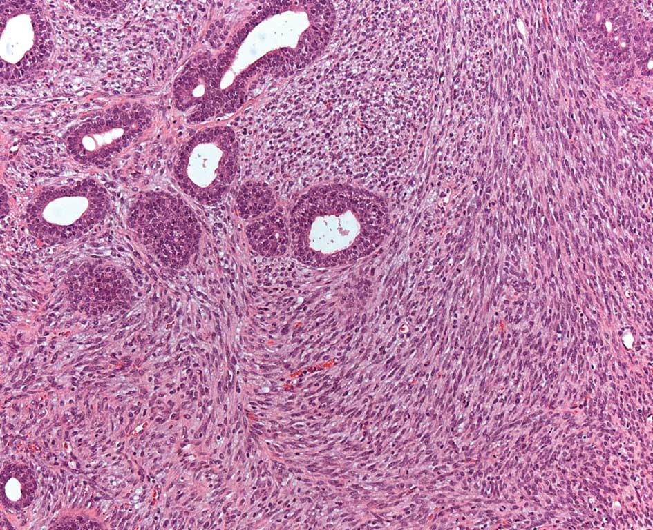
Mammary tumor histology data are presented in Table III. A total of 82 mammary tumors were detected in the study. Table III shows the light microscopic classification of these mammary tumors in the four groups. A total of 30 masses were detected (37% of the total tumors) in the lean casein-fed group compared to 18 tumors (21%) in the lean soy protein-fed group, 31 tumors (38%) in the obese soy protein-fed rats and only 3 tumors (4%) in the obese casein-fed rats. Pathological analysis of the 30 tumors in the lean casein-fed group showed the following classification: 2 (7%) benign, 6 (20%) IDP, 21 (70%) DCIS and 1 (3%) Phyllodes. Of the 18 mammary tumors in the lean soy protein-fed group 9 were DCIS (50%), 6 IDC (33%) and 3 Phyllodes (17%). For the obese casein-fed group, 2 tumors were classified as DCIS and 1 tumor as IDC. Mammary tumors in the obese soy protein-fed group included 2 (6%) benign, 16 (52%) DCIS, 11 (35%) IDC and 2 (7%) Phyllodes. While tumors classified as benign, IDP, DCIS and IDC were observed in the author’s previously published study on obesity and breast cancer in female Zucker rats (39,40), tumors with the morphologic characteristics of Phyllodes tumors have not been observed in prior studies. A tumor classified as Phyllodes from this study is shown in Fig. 2.

Figure 2

Mammary tumor histology. Biphasic tumor characterized by marked stromal cellularity. The stroma shows a moderate degree of cytologic atypia. Frequent mitotic figures, exceeding 10/10 HPF, are noted. This tumor is classified as malignant Phyllodes. Original magnification, ×200.

Discussion

This study aimed to compare the effects of long-term high-isoflavone soy protein to those of long-term casein protein intake and obesity on DMBA-induced mammary tumor development, as well as to investigate the effects of high-isoflavone soy protein and obesity on serum IGF-1 and IGFBP-3 levels.

Results of the present study showed that obese soy protein-fed rats gained significantly more weight than obese casein-fed rats (P<0.001) and the lean soy protein-fed rats exhibited a slightly higher body weight than their lean casein-fed counterparts (P=0.057). In the lean groups, 69% of the casein-fed rats developed mammary tumors compared to 50% (P<0.08) of the soy protein-fed rats. In the obese groups, 76% of the soy protein-fed rats developed mammary tumors compared to 15% (P<0.05) of the obese casein-fed rats. At age 99 days, obese rats fed a casein diet exhibited increased IGFBP-3 levels (P<0.001), but obese rats fed soy protein exhibited a significant decrease in IGFBP-3 levels compared to the lean soy protein-fed group (P<0.001). Additionally, IGFBP-3 levels in obese soy protein-fed rats were significantly decreased compared to obese casein-fed rats (P<0.001). At the end of the experiment, the IGFBP-3 levels were found to have increased in obese casein- and soy protein-fed rats (P<0.001).

Our observations regarding weight increase of obese soy protein-fed compared to obese casein-fed rats (P<0.001) are agreement with those of Tovar et al (41). These authors found that obese ZDF fa/fa rats fed either a casein or soy protein diet gained weight at a similar rate until day 140, but after day 150, rats fed the casein diet began to lose weight compared to rats fed the soy protein diet (P=0.004). By day 160 post-treatment, Tovar et al observed that the casein-fed rats weighed significantly less than the soy-fed rats. These authors concluded that the difference in weight gain between groups is explained by a physical deterioration observed in rats fed the casein diet in the last days of the study. Another study reported that among obese rats fed either casein or soy diets, casein-fed rats gained significantly less weight than soy-fed rats, probably due to their physical deterioration (42). In their study, Mezei et al reported that when female obese Zucker rats were fed with high- or low-isoflavone soy diets, the high-isoflavone soy-fed rats gained more body weight than the low-isoflavone soy-fed and casein-fed rats (P<0.05) (43).

Our results for casein-fed obese rats showing that obesity protected against DMBA-induced mammary tumor development are in agreement with epidemiological data showing that obesity protects against breast cancer development in obese pre-menopausal women (44–46).

Our results show that in obese Zucker rats, a soy protein diet containing high isoflavone levels promoted DMBA-induced mammary tumor development compared to a casein-based diet. We found that lean and obese rats fed soy protein diets developed more advanced mammary tumors, graded IDC, than their respective controls in the casein group. Simmen et al reported that when Sprague-Dawley rats were fed AIN-93G diets with either casein or soy protein as the source of protein and treated with N-methyl nitrosourea, rats on soy protein diets developed more advanced grade tumors (47). The mechanism underlying the higher grade tumors elicited by soy diet has yet to be determined.

The presence of dietary isoflavones may affect the development of mammary tumors, as previously reported (19,48). For this reason, we used the purified diet AIN-93G, which contains no soy or soy isoflavones. In our previous study (39), the standard natural ingredient diet 2018 was employed. The 2018 diet contains soybean meal with the isoflavone levels ranging from 150 to 250 mg/kg diet, depending on the batch. The presence of soy isoflavones in this diet may explain the differences in mammary tumor induction observed in other sutdies (39).

Meta-analyses on soy intake and breast cancer risk have been reported. Epidemiological studies have showed that soy consumption was associated with a reduction in breast cancer risk in pre-but not postmenopausal women in Singapore (49). Another meta-analysis found an inverse association between soy intake and breast cancer risk among pre-menopausal women, but no effect was noted among postmenopausal women (50). A meta-analysis of 18 epidemiological studies has shown that a high soy intake may be associated with a small reduction of breast cancer risk, but this association was not significant among women in Asian countries and the reduction was more significant in pre-compared to postmenopausal women (51). The inverse association between soy food intake and breast cancer risk was mainly noted in Asian women, with only one study reporting such a correlation in women of Caucasian descent (52). The correlation of adolescent and adult soy food intake with breast cancer risk was evaluated in a cohort of 73,223 Chinese women who participated in the Shanghai Women’s Health Study. A protective effect of soy food intake against pre-menopausal breast cancer was noted (53). A recent meta-analysis of the literature (a total of 34 studies) on the relationship between dietary soy intake and breast cancer risk has concluded that the intake of naturally occurring dietary soy food or its components appears to be safe for women without breast cancer. However, the safety of high levels of consumption of soy containing supplements or soy components was less certain (54).

Experimental studies in non-obese animal models have shown an association between serum IGF-1 concentrations and mammary cancer risk. For example, liver IGF-1 deficient mice, which have hepatic IGF-1 gene deletion, show a 75% reduction in serum IGF-1 levels, but normal growth and development. These mice have shown delays in the onset of chemically-and genetically-induced mammary tumors. Wu et al (55) used an IGF-1 gene-deleted mouse model to show that the lack of IGF-1 in these mice resulted in a significant delay in the onset of DMBA-induced mammary tumors. These data indicate that tumor development can be induced by IGF-1. Thus, modulation of IGF-1 and IGFPB-3 concentration is a crucial strategy for determining the effects of the incidence of breast cancer in obese Zucker rats. Clinical studies on the effects of soy on IGF-1 levels were found to be inconclusive, with some studies showing that soy increases IGF-1 levels (56,57). However, these studies used subjects with normal body weight and not obese ones. By contrast, other studies have shown decreases in serum IGF-1 levels (58,59). Our preliminary data using obese Zucker rats have shown that obesity increases the serum IGF-1 levels (60). The impact of dietary factors on IGF-1 levels in humans is limited to a number of observational epidemiological studies (61–72). Thus, no data regarding the effect of specific factors, such as soy or isoflavones, are available. Since obesity is likely to increase serum IGF-1 levels, and a soy diet with a high isoflavone content modulates serum IGF-1 levels, we investigated the effects of a soy-based diet with isoflavones on serum IGF-1 and IGFBP-3 levels and its effect on DMBA-induced mammary tumors. Elevated IGF-1 has been shown to be a risk factor for breast cancer in women (22,26,73). It is thought that increased IGFBP-3 levels may be play a protective role in breast cancer by decreasing the levels of bioavailable IGF-1 (24,74).

For these reasons, we measured IGF-1 and IGFBP-3 serum levels at three time points in lean and obese casein- and soy protein-fed rats. Lean soy protein-fed rats exhibited increased IGFBP-3 levels compared to casein-fed rats. After 1 day on the diets (Day 43), the lean soy protein-fed rats exhibited higher IGFBP-3 levels compared to their lean casein-fed counterparts. Short-term dietary intervention with soy isoflavones is known to result in rapid changes in serum IGFBP-3 levels (75). Increased IGFBP-3 may reduce the bioavailability of IGF-1 and be partially responsible for the observed lower incidence (non-significant) of tumors in lean soy protein-fed rats. However, in the obese groups, IGFBP-3 levels were increased in casein-fed rats, while much lower levels were noted in soy-fed rats. Our results clearly show that obesity increased serum IGF-1 levels for casein-and soy protein-fed rats compared to lean rats fed with either diet. By age 99 days, the obese casein-fed rats exhibited increased IGFBP-3 levels compared to their soy protein-fed counterparts. This increase in IGFBP-3 and the resultant decrease in bioavailable IGF-1 may be the mechanism responsible for the lower tumor numbers observed in obese casein-fed compared to obese soy protein-fed animals.

To the best of our knowledge, this report is the first to show that intact obese vs. lean Zucker female rats fed semi-purified diets are protected against DMBA-induced mammary tumors for a longer period of time while on casein vs. high-isoflavone soy protein diets. The majority of the observed tumors were epithelial in nature resembling the invasive and in situ carcinoma observed in female individuals. However, we have observed another rare tumor which mimics the Phyllodes tumors found in women. Phyllodes are in general rare tumors and their etiology has yet to be elucidated.

Our results suggest that the dietary protein source affects serum IGFBP-3 levels in obese female Zucker rats. Furthermore, changes in the concentration of IGFBP-3 may contribute to the reduction of the incidence of DMBA-induced mammary tumors.

Acknowledgements

The authors wish to thank John Gregan and Phaedra Yount for valuable assistance in the preparation of this manuscript on behalf of the Arkansas Children’s Hospital Research Institute. This study was supported by the U.S. Department of Agriculture and the Arkansas Biosciences Institute. R.H. applied for and received funding, designed and supervised the study, and participated in the collection of tumor data and the writing of the manuscript. S.S. coordinated and performed the daily activities regarding overseeing the animals, recording data and processing the samples. S.M. participated in the study design, interpretation of study results and participated in discussions involving the findings. C.H.J. participated in the study design and performed the statistical analyses. S.K. provided expertise in classifying and analyzing all of the mammary tumors and participated in the interpretation of study results and writing of this manuscript. The authors read and approved the final manuscript.

Abbreviations:

DMBA

7,12-dimethylbenz(a)anthracene

BMI

body mass index

ER

estrogen receptor

IGF-1

insulin growth factor-1

IGFBP-3

insulin growth factor binding protein-3

NIDDM

non-insulin-dependent diabetes mellitus

IACUC

Institutional Animal Care and Use Committee

References

1 

American Cancer Society. Cancer Facts and Figures. 2010.

2 

Calle EE, Rodriguez C, Walker-Thurmond K and Thun MJ: Overweight, obesity, and mortality from cancer in a prospectively studied cohort of U.S. adults. N Engl J Med. 348:1625–1638. 2003. View Article : Google Scholar : PubMed/NCBI

3 

Hakkak R, Korourian S, Shelnutt SR, Lensing S, Ronis MJ and Badger TM: Diets containing whey proteins or soy protein isolate protect against 7,12-dimethylbenz(a)anthracene-induced mammary tumors in female rats. Cancer Epidemiol Biomarkers Prev. 9:113–117. 2000.PubMed/NCBI

4 

Kris-Etherton PM, Hecker KD, Bonanome A, et al: Bioactive compounds in foods: their role in the prevention of cardiovascular disease and cancer. Am J Med. 113(Suppl 9): 71–88. 2002. View Article : Google Scholar : PubMed/NCBI

5 

Peeters PH, Keinan-Boker L, van der Schouw YT and Grobbee DE: Phytoestrogens and breast cancer risk. Review of the epidemiological evidence. Breast Cancer Res Treat. 77:171–183. 2003. View Article : Google Scholar : PubMed/NCBI

6 

Kelly GE, Nelson C, Waring MA, Joannou GE and Reeder AY: Metabolites of dietary (soya) isoflavones in human urine. Clin Chim Acta. 223:9–22. 1993. View Article : Google Scholar : PubMed/NCBI

7 

Adlercreutz CH, Goldin BR, Gorbach SL, et al: Soybean phytoestrogen intake and cancer risk. J Nutr. 125:S757–S770. 1995.

8 

Gridley DS, Kettering JD, Slater JM and Nutter RL: Modification of spontaneous mammary tumors in mice fed different sources of protein, fat and carbohydrate. Cancer Lett. 19:133–146. 1983.PubMed/NCBI

9 

Hargreaves DF, Potten CS, Harding C, et al: Two-week dietary soy supplementation has an estrogenic effect on normal premenopausal breast. J Clin Endocrinol Metab. 84:4017–4024. 1999.PubMed/NCBI

10 

Travis RC, Allen NE, Appleby PN, Spencer EA, Roddam AW and Key TJ: A prospective study of vegetarianism and isoflavone intake in relation to breast cancer risk in British women. Int J Cancer. 122:705–710. 2008. View Article : Google Scholar : PubMed/NCBI

11 

Cohen LA, Zhao Z, Pittman B and Scimeca JA: Effect of intact and isoflavone-depleted soy protein on NMU-induced rat mammary tumorigenesis. Carcinogenesis. 21:929–935. 2000. View Article : Google Scholar : PubMed/NCBI

12 

Constantinou AI, Lantvit D, Hawthorne M, Xu X, van Breemen RB and Pezzuto JM: Chemopreventive effects of soy protein and purified soy isoflavones on DMBA-induced mammary tumors in female Sprague-Dawley rats. Nutr Cancer. 41:75–81. 2001. View Article : Google Scholar : PubMed/NCBI

13 

Gallo D, Giacomelli S, Cantelmo F, et al: Chemoprevention of DMBA-induced mammary cancer in rats by dietary soy. Breast Cancer Res Treat. 69:153–164. 2001. View Article : Google Scholar : PubMed/NCBI

14 

Jin Z and MacDonald RS: Soy isoflavones increase latency of spontaneous mammary tumors in mice. J Nutr. 132:3186–3190. 2002.PubMed/NCBI

15 

Ueda M, Niho N, Imai T, et al: Lack of significant effects of genistein on the progression of 7,12-dimethylbenz(a)anthracene-induced mammary tumors in ovariectomized Sprague-Dawley rats. Nutr Cancer. 47:141–147. 2003. View Article : Google Scholar : PubMed/NCBI

16 

Hewitt AL and Singletary KW: Soy extract inhibits mammary adenocarcinoma growth in a syngeneic mouse model. Cancer Lett. 192:133–143. 2003. View Article : Google Scholar : PubMed/NCBI

17 

Shao ZM, Wu J, Shen ZZ and Barsky SH: Genistein exerts multiple suppressive effects on human breast carcinoma cells. Cancer Res. 58:4851–4857. 1998.PubMed/NCBI

18 

Allred CD, Allred KF, Ju YH, et al: Dietary genistein results in larger MNU-induced, estrogen-dependent mammary tumors following ovariectomy of Sprague-Dawley rats. Carcinogenesis. 25:211–218. 2004. View Article : Google Scholar

19 

Ju YH, Allred CD, Allred KF, Karko KL, Doerge DR and Helferich WG: Physiological concentrations of dietary genistein dose-dependently stimulate growth of estrogen-dependent human breast cancer (MCF-7) tumors implanted in athymic nude mice. J Nutr. 131:2957–2962. 2001.

20 

Bruning PF, van Doorn J, Bonfrer JM, et al: Insulin-like growth-factor-binding protein 3 is decreased in early-stage operable pre-menopausal breast cancer. Int J Cancer. 62:266–270. 1995. View Article : Google Scholar : PubMed/NCBI

21 

Del Giudice ME, Fantus IG, Ezzat S, McKeown-Eyssen G, Page D and Goodwin PJ: Insulin and related factors in premenopausal breast cancer risk. Cancer Res Treat. 47:111–120. 1998.PubMed/NCBI

22 

Hankinson SE, Willett WC, Colditz GA, et al: Circulating concentrations of insulin-like growth factor-I and risk of breast cancer. Lancet. 351:1393–1396. 1998. View Article : Google Scholar : PubMed/NCBI

23 

Krajcik RA, Borofsky ND, Massardo S and Orentreich NI: Insulin-like growth factor I (IGF-I), IGF-binding proteins, and breast cancer. Cancer Epidemiol Biomarkers Prev. 11:1566–1573. 2002.PubMed/NCBI

24 

Muti P, Quattrin T, Grant BJ, et al: Fasting glucose is a risk factor for breast cancer: a prospective study. Cancer Epidemiol Biomarkers Prev. 11:1361–1368. 2002.PubMed/NCBI

25 

Peyrat JP, Bonneterre J, Hecquet B, et al: Plasma insulin-like growth factor-1 (IGF-1) concentrations in human breast cancer. Eur J Cancer Prev. 29A:492–497. 1993. View Article : Google Scholar : PubMed/NCBI

26 

Toniolo P, Bruning PF, Akhmedkhanov A, et al: Serum insulin-like growth factor-I and breast cancer. Int J Cancer. 88:828–832. 2000. View Article : Google Scholar : PubMed/NCBI

27 

Yu H, Jin F, Shu XO, et al: Insulin-like growth factors and breast cancer risk in Chinese women. Cancer Epidemiol Biomarkers Prev. 11:705–712. 2002.PubMed/NCBI

28 

Khandwala HM, McCutcheon IE, Flyvbjerg A and Friend KE: The effects of insulin-like growth factors on tumorigenesis and neoplastic growth. Endocr Rev. 21:215–244. 2000. View Article : Google Scholar : PubMed/NCBI

29 

Yu H and Rohan T: Role of the insulin-like growth factor family in cancer development and progression. J Natl Cancer Inst. 92:1472–1489. 2000. View Article : Google Scholar : PubMed/NCBI

30 

Bruning PF, Bonfrer JM, van Noord PA, Hart AA, de Jong-Bakker M and Nooijen WJ: Insulin resistance and breast-cancer risk. Int J Cancer. 52:511–516. 1992. View Article : Google Scholar : PubMed/NCBI

31 

Kaaks R, Lundin E, Rinaldi S, et al: Prospective study of IGF-I, IGF-binding proteins, and breast cancer risk, in northern and southern Sweden. Cancer Causes Control. 13:307–316. 2002. View Article : Google Scholar : PubMed/NCBI

32 

Tartaglia LA, Dembski M, Weng X, et al: Identification and expression cloning of a leptin receptor, OB-R. Cell. 83:1263–1271. 1995. View Article : Google Scholar : PubMed/NCBI

33 

Chua SC Jr, Chung WK, Wu-Peng XS, et al: Phenotypes of mouse diabetes and rat fatty due to mutations in the OB (leptin) receptor. Science. 271:994–996. 1996. View Article : Google Scholar : PubMed/NCBI

34 

Zucker L and Zucker TF: Fatty, a new mutation in the rat. J Heredity. 52:275–278. 1961.

35 

Zucker TF and Zucker LM: Fat accretion and growth in the rat. J Nutr. 80:6–19. 1963.

36 

Zucker LM: Fat mobilization in vitro and in vivo in the genetically obese Zucker rat ‘Fatty’. J Lipid Res. 13:234–243. 1972.

37 

Bray GA, York DA and Fisler JS: Experimental obesity: a homeostatic failure due to defective nutrient stimulation of the sympathetic nervous system. Vitam Horm. 45:1–125. 1989. View Article : Google Scholar : PubMed/NCBI

38 

Bray GA: The Zucker-fatty rat: a review. Fed Proc. 36:148–153. 1977.

39 

Hakkak R, Holley AW, MacLeod S, et al: Obesity promotes 7,12-dimethylbenz(a)anthracene-induced mammary tumor development in female Zucker rats. Breast Cancer Research. 7:R627–R633. 2005. View Article : Google Scholar : PubMed/NCBI

40 

Hakkak R, MacLeod S, Shaaf S, et al: Obesity increases the incidence of 7,12-dimethylbenz(a)anthracene-induced mammary tumors in an ovariectomized Zucker rat model. Int J Oncol. 30:557–563. 2007.PubMed/NCBI

41 

Tovar AR, Torre-Villavazo I, Ochoa M, et al: Soy protein reduces hepatic lipotoxicity in hyperinsulinemic obese Zucker fa/fa rats. J Lipid Res. 46:1823–1832. 2005. View Article : Google Scholar : PubMed/NCBI

42 

Trujillo J, Ramirez V, Perez J, et al: Renal protection by a soy diet in obese Zucker rats is associated with restoration of nitric oxide generation. Am J Physiol Renal Physiol. 288:F108–F116. 2005. View Article : Google Scholar : PubMed/NCBI

43 

Mezei O, Banz WJ, Steger RW, Peluso MR, Winters TA and Shay N: Soy isoflavones exert antidiabetic and hypolipidemic effects through the PPAR pathways in obese Zucker rats and murine raw 264.7 cells. J Nutr. 133:1238–1243. 2003.PubMed/NCBI

44 

Pathak DR and Whittemore AS: Combined effects of body size, parity, and menstrual events on breast cancer incidence in seven countries. Am J Epidemiol. 135:153–168. 1992.PubMed/NCBI

45 

Peacock SL, White E, Daling JR, Voigt LF and Malone KE: Relation between obesity and breast cancer in young women. Am J Epidemiol. 149:339–346. 1999. View Article : Google Scholar : PubMed/NCBI

46 

Weiderpass E, Braaten T, Magnusson C, et al: A prospective study of body size in different periods of life and risk of premenopausal breast cancer. Cancer Epidemiol Biomarkers Prev. 13:1121–1127. 2004.PubMed/NCBI

47 

Simmen RC, Eason RR, Till SR, et al: Inhibition of NMU-induced mammary tumorigenesis by dietary soy. Cancer Lett. 224:45–52. 2005. View Article : Google Scholar : PubMed/NCBI

48 

Hsieh CY, Santell RC, Haslam SZ and Helferich WG: Estrogenic effects of genistein on the growth of estrogen receptor-positive human breast cancer (MCF-7) cells in vitro and in vivo. Cancer Res. 58:3833–3838. 1998.PubMed/NCBI

49 

Lee HP, Gourley L, Duffy SW, Esteve J, Lee J and Day NE: Dietary effects on breast-cancer risk in singapore. Lancet. 337:1197–1200. 1991. View Article : Google Scholar : PubMed/NCBI

50 

Wu AH, Yu MC, Tseng CC and Pike MC: Epidemiology of soy exposures and breast cancer risk. Br J Cancer. 98:9–14. 2008. View Article : Google Scholar : PubMed/NCBI

51 

Trock BJ, Hilakivi-Clarke L and Clarke R: Meta-analysis of soy intake and breast cancer risk. J Natl Cancer Inst. 98:459–471. 2006. View Article : Google Scholar : PubMed/NCBI

52 

Messina MJ: Emerging evidence on the role of soy in reducing prostate cancer risk. Nutr Rev. 61:117–131. 2003. View Article : Google Scholar : PubMed/NCBI

53 

Lee SA, Shu XO, Li H, et al: Adolescent and adult soy food intake and breast cancer risk: results from the Shanghai Women’s Health Study. Am J Clin Nutr. 89:1920–1926. 2009.PubMed/NCBI

54 

Enderlin CA, Coleman EA, Stewart CB and Hakkak R: Dietary soy intake and breast cancer risk. Oncol Nurs Forum. 36:531–539. 2009. View Article : Google Scholar : PubMed/NCBI

55 

Wu Y, Cui K, Miyoshi K, et al: Reduced circulating insulin-like growth factor I levels delay the onset of chemically and genetically induced mammary tumors. Cancer Res. 63:4384–4388. 2003.PubMed/NCBI

56 

Arjmandi BH, Khalil DA, Smith BJ, et al: Soy protein has a greater effect on bone in postmenopausal women not on hormone replacement therapy, as evidenced by reducing bone resorption and urinary calcium excretion. J Clin Endocrinol Metab. 88:1048–1054. 2003. View Article : Google Scholar

57 

Khalil DA, Lucas EA, Juma S, Smith BJ, Payton ME and Arjmandi BH: Soy protein supplementation increases serum insulin-like growth factor-I in young and old men but does not affect markers of bone metabolism. J Nutr. 132:2605–2608. 2002.PubMed/NCBI

58 

Sanderson M, Shu XO, Yu H, et al: Insulin-like growth factor-I, soy protein intake, and breast cancer risk. Nutr Cancer. 50:8–15. 2004. View Article : Google Scholar : PubMed/NCBI

59 

Wangen KE, Duncan AM, Merz-Demlow BE, et al: Effects of soy isoflavones on markers of bone turnover in premenopausal and postmenopausal women. J Clin Endocr Metab. 85:3043–3048. 2000.PubMed/NCBI

60 

Hakkak R, Holley AW, Bunn RC, Winters A and MacLeod S: Effects of obesity on serum insulin growth factor 1 (IGF-1) levels in lean and obese female Zucker rats following DMBA treatment. FASEB J. 19:A9932005.

61 

Allen NE, Appleby PN, Davey GK, Kaaks R, Rinaldi S and Key TJ: The associations of diet with serum insulin-like growth factor I and its main binding proteins in 292 women meat-eaters, vegetarians, and vegans. Cancer Epidemiol Biomarkers Prev. 11:1441–1448. 2002.PubMed/NCBI

62 

Devine A, Rosen C, Mohan S, Baylink D and Prince RL: Effects of zinc and other nutritional factors on insulin-like growth factor I and insulin-like growth factor binding proteins in postmenopausal women. Am J Clin Nutr. 68:200–206. 1998.PubMed/NCBI

63 

Giovannucci E, Pollak M, Liu Y, et al: Nutritional predictors of insulin-like growth factor I and their relationships to cancer in men. Cancer Epidemiol Biomarkers Prev. 12:84–89. 2003.PubMed/NCBI

64 

Gunnell D, Oliver SE, Peters TJ, et al: Are diet-prostate cancer associations mediated by the IGF axis? A cross-sectional analysis of diet, IGF-I and IGFBP-3 in healthy middle-aged men. Br J Cancer. 88:1682–1686. 2003. View Article : Google Scholar : PubMed/NCBI

65 

Heald AH, Cade JE, Cruickshank JK, Anderson S, White A and Gibson JM: The influence of dietary intake on the insulin-like growth factor (IGF) system across three ethnic groups: a population-based study. Public Health Nutr. 6:175–180. 2003. View Article : Google Scholar : PubMed/NCBI

66 

Holmes MD, Pollak MN, Willett WC and Hankinson SE: Dietary correlates of plasma insulin-like growth factor I and insulin-like growth factor binding protein 3 concentrations. Cancer Epidemiol Biomarkers Prev. 11:852–861. 2002.

67 

Ma J, Giovannucci E, Pollak M, et al: Milk intake, circulating levels of insulin-like growth factor-I, and risk of colorectal cancer in men. J Natl Cancer Inst. 93:1330–1336. 2001. View Article : Google Scholar : PubMed/NCBI

68 

Mucci LA, Tamimi R, Lagiou P, et al: Are dietary influences on the risk of prostate cancer mediated through the insulin-like growth factor system? BJU Int. 87:814–820. 2001. View Article : Google Scholar : PubMed/NCBI

69 

Nagata C, Shimizu H, Takami R, Hayashi M, Takeda N and Yasuda K: Dietary soy and fats in relation to serum insulin-like growth factor-1 and insulin-like growth factor-binding protein-3 levels in premenopausal Japanese women. Nutr Cancer. 45:185–189. 2003. View Article : Google Scholar : PubMed/NCBI

70 

Probst-Hensch NM, Wang H, Goh VH, Seow A, Lee HP and Yu MC: Determinants of circulating insulin-like growth factor I and insulin-like growth factor binding protein 3 concentrations in a cohort of Singapore men and women. Cancer Epidemiol Biomarkers Prev. 12:739–746. 2003.PubMed/NCBI

71 

Signorello LB, Kuper H, Lagiou P, et al: Lifestyle factors and insulin-like growth factor 1 levels among elderly men. Eur J Cancer Prev. 9:173–178. 2000. View Article : Google Scholar : PubMed/NCBI

72 

Vrieling A, Voskuil DW, Bueno-de-Mesquita HB, et al: Dietary determinants of circulating insulin-like growth factor (IGF)-I and IGF binding proteins 1, -2 and -3 in women in the Netherlands. Cancer Causes Control. 15:787–796. 2004. View Article : Google Scholar : PubMed/NCBI

73 

Rinaldi S, Toniolo P, Muti P, et al: IGF-I, IGFBP-3 and breast cancer in young women: a pooled re-analysis of three prospective studies. Eur J Cancer Prev. 14:493–496. 2005. View Article : Google Scholar : PubMed/NCBI

74 

Bohlke K, Cramer DW, Trichopoulos D and Mantzoros CS: Insulin-like growth factor-I in relation to premenopausal ductal carcinoma in situ of the breast. Epidemiology. 9:570–573. 1998. View Article : Google Scholar : PubMed/NCBI

75 

Woodside JV, Campbell MJ, Denholm EE, et al: Short-term phytoestrogen supplementation alters insulin-like growth factor profile but not lipid or antioxidant status. J Nutr Biochem. 17:211–215. 2006. View Article : Google Scholar : PubMed/NCBI

Related Articles

  • Abstract
  • View
  • Download
  • Twitter
Copy and paste a formatted citation
Spandidos Publications style
Hakkak R, Shaaf S, Jo CH, MacLeod S and Korourian S: Effects of high-isoflavone soy diet vs. casein protein diet and obesity on DMBA-induced mammary tumor development. Oncol Lett 2: 29-36, 2011.
APA
Hakkak, R., Shaaf, S., Jo, C.H., MacLeod, S., & Korourian, S. (2011). Effects of high-isoflavone soy diet vs. casein protein diet and obesity on DMBA-induced mammary tumor development. Oncology Letters, 2, 29-36. https://doi.org/10.3892/ol.2010.202
MLA
Hakkak, R., Shaaf, S., Jo, C. H., MacLeod, S., Korourian, S."Effects of high-isoflavone soy diet vs. casein protein diet and obesity on DMBA-induced mammary tumor development". Oncology Letters 2.1 (2011): 29-36.
Chicago
Hakkak, R., Shaaf, S., Jo, C. H., MacLeod, S., Korourian, S."Effects of high-isoflavone soy diet vs. casein protein diet and obesity on DMBA-induced mammary tumor development". Oncology Letters 2, no. 1 (2011): 29-36. https://doi.org/10.3892/ol.2010.202
Copy and paste a formatted citation
x
Spandidos Publications style
Hakkak R, Shaaf S, Jo CH, MacLeod S and Korourian S: Effects of high-isoflavone soy diet vs. casein protein diet and obesity on DMBA-induced mammary tumor development. Oncol Lett 2: 29-36, 2011.
APA
Hakkak, R., Shaaf, S., Jo, C.H., MacLeod, S., & Korourian, S. (2011). Effects of high-isoflavone soy diet vs. casein protein diet and obesity on DMBA-induced mammary tumor development. Oncology Letters, 2, 29-36. https://doi.org/10.3892/ol.2010.202
MLA
Hakkak, R., Shaaf, S., Jo, C. H., MacLeod, S., Korourian, S."Effects of high-isoflavone soy diet vs. casein protein diet and obesity on DMBA-induced mammary tumor development". Oncology Letters 2.1 (2011): 29-36.
Chicago
Hakkak, R., Shaaf, S., Jo, C. H., MacLeod, S., Korourian, S."Effects of high-isoflavone soy diet vs. casein protein diet and obesity on DMBA-induced mammary tumor development". Oncology Letters 2, no. 1 (2011): 29-36. https://doi.org/10.3892/ol.2010.202
Follow us
  • Twitter
  • LinkedIn
  • Facebook
About
  • Spandidos Publications
  • Careers
  • Cookie Policy
  • Privacy Policy
How can we help?
  • Help
  • Live Chat
  • Contact
  • Email to our Support Team