Spandidos Publications Logo
  • About
    • About Spandidos
    • Aims and Scopes
    • Abstracting and Indexing
    • Editorial Policies
    • Reprints and Permissions
    • Job Opportunities
    • Terms and Conditions
    • Contact
  • Journals
    • All Journals
    • Oncology Letters
      • Oncology Letters
      • Information for Authors
      • Editorial Policies
      • Editorial Board
      • Aims and Scope
      • Abstracting and Indexing
      • Bibliographic Information
      • Archive
    • International Journal of Oncology
      • International Journal of Oncology
      • Information for Authors
      • Editorial Policies
      • Editorial Board
      • Aims and Scope
      • Abstracting and Indexing
      • Bibliographic Information
      • Archive
    • Molecular and Clinical Oncology
      • Molecular and Clinical Oncology
      • Information for Authors
      • Editorial Policies
      • Editorial Board
      • Aims and Scope
      • Abstracting and Indexing
      • Bibliographic Information
      • Archive
    • Experimental and Therapeutic Medicine
      • Experimental and Therapeutic Medicine
      • Information for Authors
      • Editorial Policies
      • Editorial Board
      • Aims and Scope
      • Abstracting and Indexing
      • Bibliographic Information
      • Archive
    • International Journal of Molecular Medicine
      • International Journal of Molecular Medicine
      • Information for Authors
      • Editorial Policies
      • Editorial Board
      • Aims and Scope
      • Abstracting and Indexing
      • Bibliographic Information
      • Archive
    • Biomedical Reports
      • Biomedical Reports
      • Information for Authors
      • Editorial Policies
      • Editorial Board
      • Aims and Scope
      • Abstracting and Indexing
      • Bibliographic Information
      • Archive
    • Oncology Reports
      • Oncology Reports
      • Information for Authors
      • Editorial Policies
      • Editorial Board
      • Aims and Scope
      • Abstracting and Indexing
      • Bibliographic Information
      • Archive
    • Molecular Medicine Reports
      • Molecular Medicine Reports
      • Information for Authors
      • Editorial Policies
      • Editorial Board
      • Aims and Scope
      • Abstracting and Indexing
      • Bibliographic Information
      • Archive
    • World Academy of Sciences Journal
      • World Academy of Sciences Journal
      • Information for Authors
      • Editorial Policies
      • Editorial Board
      • Aims and Scope
      • Abstracting and Indexing
      • Bibliographic Information
      • Archive
    • International Journal of Functional Nutrition
      • International Journal of Functional Nutrition
      • Information for Authors
      • Editorial Policies
      • Editorial Board
      • Aims and Scope
      • Abstracting and Indexing
      • Bibliographic Information
      • Archive
    • International Journal of Epigenetics
      • International Journal of Epigenetics
      • Information for Authors
      • Editorial Policies
      • Editorial Board
      • Aims and Scope
      • Abstracting and Indexing
      • Bibliographic Information
      • Archive
    • Medicine International
      • Medicine International
      • Information for Authors
      • Editorial Policies
      • Editorial Board
      • Aims and Scope
      • Abstracting and Indexing
      • Bibliographic Information
      • Archive
  • Articles
  • Information
    • Information for Authors
    • Information for Reviewers
    • Information for Librarians
    • Information for Advertisers
    • Conferences
  • Language Editing
Spandidos Publications Logo
  • About
    • About Spandidos
    • Aims and Scopes
    • Abstracting and Indexing
    • Editorial Policies
    • Reprints and Permissions
    • Job Opportunities
    • Terms and Conditions
    • Contact
  • Journals
    • All Journals
    • Biomedical Reports
      • Information for Authors
      • Editorial Policies
      • Editorial Board
      • Aims and Scope
      • Abstracting and Indexing
      • Bibliographic Information
      • Archive
    • Experimental and Therapeutic Medicine
      • Information for Authors
      • Editorial Policies
      • Editorial Board
      • Aims and Scope
      • Abstracting and Indexing
      • Bibliographic Information
      • Archive
    • International Journal of Epigenetics
      • Information for Authors
      • Editorial Policies
      • Editorial Board
      • Aims and Scope
      • Abstracting and Indexing
      • Bibliographic Information
      • Archive
    • International Journal of Functional Nutrition
      • Information for Authors
      • Editorial Policies
      • Editorial Board
      • Aims and Scope
      • Abstracting and Indexing
      • Bibliographic Information
      • Archive
    • International Journal of Molecular Medicine
      • Information for Authors
      • Editorial Policies
      • Editorial Board
      • Aims and Scope
      • Abstracting and Indexing
      • Bibliographic Information
      • Archive
    • International Journal of Oncology
      • Information for Authors
      • Editorial Policies
      • Editorial Board
      • Aims and Scope
      • Abstracting and Indexing
      • Bibliographic Information
      • Archive
    • Medicine International
      • Information for Authors
      • Editorial Policies
      • Editorial Board
      • Aims and Scope
      • Abstracting and Indexing
      • Bibliographic Information
      • Archive
    • Molecular and Clinical Oncology
      • Information for Authors
      • Editorial Policies
      • Editorial Board
      • Aims and Scope
      • Abstracting and Indexing
      • Bibliographic Information
      • Archive
    • Molecular Medicine Reports
      • Information for Authors
      • Editorial Policies
      • Editorial Board
      • Aims and Scope
      • Abstracting and Indexing
      • Bibliographic Information
      • Archive
    • Oncology Letters
      • Information for Authors
      • Editorial Policies
      • Editorial Board
      • Aims and Scope
      • Abstracting and Indexing
      • Bibliographic Information
      • Archive
    • Oncology Reports
      • Information for Authors
      • Editorial Policies
      • Editorial Board
      • Aims and Scope
      • Abstracting and Indexing
      • Bibliographic Information
      • Archive
    • World Academy of Sciences Journal
      • Information for Authors
      • Editorial Policies
      • Editorial Board
      • Aims and Scope
      • Abstracting and Indexing
      • Bibliographic Information
      • Archive
  • Articles
  • Information
    • For Authors
    • For Reviewers
    • For Librarians
    • For Advertisers
    • Conferences
  • Language Editing
Login Register Submit
  • This site uses cookies
  • You can change your cookie settings at any time by following the instructions in our Cookie Policy. To find out more, you may read our Privacy Policy.

    I agree
Search articles by DOI, keyword, author or affiliation
Search
Advanced Search
presentation
Oncology Letters
Join Editorial Board Propose a Special Issue
Print ISSN: 1792-1074 Online ISSN: 1792-1082
Journal Cover
January-February 2011 Volume 2 Issue 1

Full Size Image

Sign up for eToc alerts
Recommend to Library

Journals

International Journal of Molecular Medicine

International Journal of Molecular Medicine

International Journal of Molecular Medicine is an international journal devoted to molecular mechanisms of human disease.

International Journal of Oncology

International Journal of Oncology

International Journal of Oncology is an international journal devoted to oncology research and cancer treatment.

Molecular Medicine Reports

Molecular Medicine Reports

Covers molecular medicine topics such as pharmacology, pathology, genetics, neuroscience, infectious diseases, molecular cardiology, and molecular surgery.

Oncology Reports

Oncology Reports

Oncology Reports is an international journal devoted to fundamental and applied research in Oncology.

Experimental and Therapeutic Medicine

Experimental and Therapeutic Medicine

Experimental and Therapeutic Medicine is an international journal devoted to laboratory and clinical medicine.

Oncology Letters

Oncology Letters

Oncology Letters is an international journal devoted to Experimental and Clinical Oncology.

Biomedical Reports

Biomedical Reports

Explores a wide range of biological and medical fields, including pharmacology, genetics, microbiology, neuroscience, and molecular cardiology.

Molecular and Clinical Oncology

Molecular and Clinical Oncology

International journal addressing all aspects of oncology research, from tumorigenesis and oncogenes to chemotherapy and metastasis.

World Academy of Sciences Journal

World Academy of Sciences Journal

Multidisciplinary open-access journal spanning biochemistry, genetics, neuroscience, environmental health, and synthetic biology.

International Journal of Functional Nutrition

International Journal of Functional Nutrition

Open-access journal combining biochemistry, pharmacology, immunology, and genetics to advance health through functional nutrition.

International Journal of Epigenetics

International Journal of Epigenetics

Publishes open-access research on using epigenetics to advance understanding and treatment of human disease.

Medicine International

Medicine International

An International Open Access Journal Devoted to General Medicine.

Journal Cover
January-February 2011 Volume 2 Issue 1

Full Size Image

Sign up for eToc alerts
Recommend to Library

  • Article
  • Citations
    • Cite This Article
    • Download Citation
    • Create Citation Alert
    • Remove Citation Alert
    • Cited By
  • Similar Articles
    • Related Articles (in Spandidos Publications)
    • Similar Articles (Google Scholar)
    • Similar Articles (PubMed)
  • Download PDF
  • Download XML
  • View XML
Article

Medullary thyroid carcinoma: The third most common thyroid cancer reviewed

  • Authors:
    • Michael Stamatakos
    • Panoraia Paraskeva
    • Charikleia Stefanaki
    • Paraskevas Katsaronis
    • Andreas Lazaris
    • Konstantinos Safioleas
    • Konstantinos Kontzoglou
  • View Affiliations / Copyright

    Affiliations: Fourth Department of Surgery, School of Medicine, Athens University, Attikon Hospital, Athens, Greece, Second Department of Propaedeutic Surgery, School of Medicine, Athens University, Laiko Hospital, Athens, Greece, First Department of Pathology, School of Medicine, Athens University, Athens, Greece
  • Pages: 49-53
    |
    Published online on: November 23, 2010
       https://doi.org/10.3892/ol.2010.223
  • Expand metrics +
Metrics: Total Views: 0 (Spandidos Publications: | PMC Statistics: )
Metrics: Total PDF Downloads: 0 (Spandidos Publications: | PMC Statistics: )
Cited By (CrossRef): 0 citations Loading Articles...

This article is mentioned in:


Abstract

Medullary thyroid cancer is a type of thyroid cancer of neuroendocrine origin. It occurs in hereditary and sporadic forms, and its aggressive behavior is associated with the clinical presentation and type of RET mutation. Total thyroidectomy remains the ideal choice of treatment. Early diagnosis and treatment are the fundamental for a 100% cure rate. In this study, we present our experience of 3 cases, along with a complete review of the literature derived from a Pubmed Database search.

Introduction

Thyroid cancer represents approximately 2% of the malignancies occurring in the US, accounting for an estimated 37,200 cancer diagnoses and 1,630 cancer-related deaths per year (1). Of these cancers, 2–3% are medullary thyroid cancer (MTC) (2,3). In the literature, sporadic carcinomas are described in 48–86% of patients and hereditary carcinomas in 14–52% of patients with MTC (4). In the familial forms of MTC, multicentric carcinomas were reported in 56–85% of patients. Both sporadic and hereditary types of MTC metastasize to the cervical lymph nodes in 68–80% of patients. The 5- and 10-year survival for medullary carcinomas is 65–89% and 71–87%, respectively (5). Average survival for MTC is lower than that for more common thyroid cancers, e.g., 83% 5-year survival for MTC compared to 90–94% 5-year survival for papillary and follicular thyroid cancer (6). Survival is correlated with stage at diagnosis, and decreased survival in MTC can be partly accounted for by a high proportion of late-stage diagnoses (7). A Surveillance, Epidemiology and End Results (SEER) population-based study of 1,252 MTC patients found that survival varied by the extent of local disease. For example, the 10-year survival rates ranged from 95.6% for disease confined to the thyroid gland to 40% for patients with distant metastases (8).

MTC arises from parafollicular calcitonin-secreting cells of the thyroid gland. MTC occurs in sporadic and familial forms and may be preceded by C-cell hyperplasia (CCH), although CCH is a relatively common abnormality in middle-aged adults. In a population-based study in Sweden, 26% of patients with MTC presented with the familial form (9). A French national registry and a US clinical series both reported a higher proportion of familial cases (43 and 44%, respectively) (10). Familial cases often indicate the presence of multiple endocrine neoplasia type 2, a group of autosomal dominant genetic disorders caused by inherited mutations in the RET proto-oncogene.

MTC is a malignancy arising from the parafollicular or C-cells of neuroendocrine origin. MTC was first described by Jaquet in the German literature as ‘malignant goiter with amyloid’ (11). C-cells are named due to their calcitonin hormone secretion and account for up to 1% of thyroid cells. These cells are found throughout the thyroid gland but are mostly located in the posterior upper third of the lateral lobes, where the majority of MTCs are found. C-cells also produce carcinoembryonic antigen (CEA) (12).

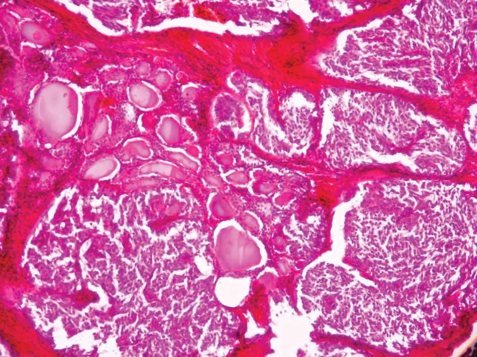
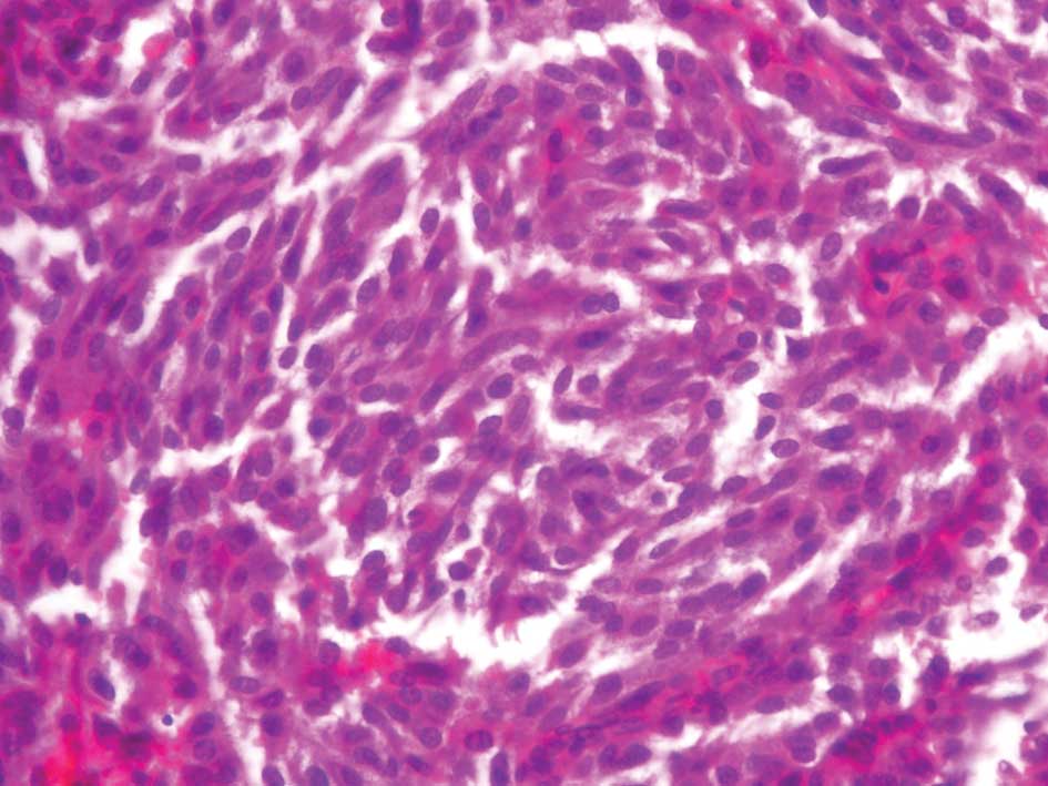
MTCs usually have a slow growth rate and appear gray and firm. Histological reports commonly describe uniform polygonal cells with central nuclei and finely granular eosinophilic cytoplasm (Figs. 1 and 2). Stromal amyloid is found in one third of MTCs (Fig. 3). Moreover, C-cell hyperplasia is a precursor of malignant transformation (13). Approximately 75% of MTCs are sporadic neoplasms (s-MTC), while 25% are familial, inherited through an autosomal dominant pattern and associated with germline mutations in the Ret proto-oncogene on chromosome 10q11.2. This gene encodes a tyrosine kinase receptor protein (ret), with an extracellular domain containing a ligand-binding site and a cysteine-rich region, a transmembrane domain, and an intracellular tyrosine kinase domain (14). Familial MTC may occur as part of multiple endocrine neoplasia type 2A (MEN 2A) (MTC, pheochromocytoma and parathyroid hyperplasia) or type 2B (MEN 2B) (MTC, pheochromocytoma, mucosal and alimentary tract neuromas and marfanoid habitus) or without the presence of any other endocrinopathies (familial non-MEN MTC) (15). Regarding the clinical presentation, the most common symptom of MTC is a palpable thyroid nodule at physical examination. Unfortunately, cervical lymph node metastasis is commonly present by this time; up to 70%, with 10–15% of patients exhibiting distant metastasis in the liver, lung, bone and brain (16). The thyroid nodule is associated with clinical symptoms, such as dysphagia, hoarseness, dyspnea and coughing. Laryngoscopy usually reveals vocal cord dysfunction resulting from involvement of the recurrent laryngeal nerve. Patients with high calcitonin levels present with diarrhea as a presenting sign of MTC. The severe diarrhea noted in some patients with advanced extensive disease has been attributed to prostaglandin secretion by the tumor. Other symptoms of ectopic hormone production are facial flushing and, more rarely, Cushing’s syndrome. Plasma calcitonin can be used for the diagnosis of s-MTC and the preoperative diagnosis of C-cell hyperplasia (17). The most sensitive test for preoperative diagnosis of MTC is fine needle aspiration (FNA) biopsy, aided by immunocytochemical staining for calcitonin (18).

Figure 1

Nests of malignant cells surrounding normal thyroid follicles. Hematoxylin and eosin staining; magnification, ×100.

Figure 2

Morphological features of neoplastic cells. Hematoxylin and eosin staining; magnification, ×400.

Figure 3

Congo red staining was not diagnostic for amyloid deposits. Magnification, ×100.

Radiation treatment and conventional chemotherapeutic regimens have been found to demonstrate no improvement in the long-term survival for patients with MTC. Thus, the optimal treatment is surgical management. The risk of complications increases in reoperative procedures, thus the aim is to perform a complete resection at the initial procedure. Since the tumor is multifocal and bilateral in most patients with hereditary MTC and in 20% of patients presenting with the sporadic type, the treatment of choice and the safest option remains total thyroidectomy (19).

Case report 1

A 56-year-old male patient was referred to our Department for assessment. He was under endocrinological follow-up, due to thyroid gland enlargement with a thyroid nodule in the right lobe. The patient noted hoarseness of voice and neck enlargement. He lacked other symptoms. Upon physical examination, the patient appeared healthy with normal vital signs. No palpable lymph nodes were noted, and the rest of the examination was normal. Laboratory findings showed increased levels of plasma calcitonin, and an ultrasound scan of the neck revealed enlargement of the thyroid gland. A thyroid nodule was also found to be approximately 1 cm in diameter in the right lobe, and nodes were absent. The patient underwent FNA biopsy of the nodule where malignant cells were found, indicating MTC. The patient underwent total thyroidectomy. The thyroid gland was completely resected, and a thorough neck examination did not reveal any nodes.

Cytopathologic examination showed a thyroid gland, 24 g total weight, which consisted of a 15-g right lobe with dimensions 5.7×3.2×2 cm where multiple calcifications were identified and a 9-mm diameter yellowish area was found; a 6-g left lobe with dimensions of 3.8×2.3×1.7 cm where multiple calcifications were also found; and the isthmus weighing 3 g with dimensions 2.5×2.3×1 cm. Histologically, unilateral development of the medullary thyroid cancer of 9 mm was found in the right lobe of the conventional type with minor infiltration of the thyroid sheath, grade pT1. The rest of the thyroid showed lesions of thyroiditis. Postoperative radioactive scanning did not reveal any residual thyroid. The patient is under medical treatment with thyroxine per os for thyroid function substitution. The levels of plasma calcitonin are within the normal range, and no recurrence has been found on regular neck examinations during the two-year follow-up following the initial operation.

Case report 2

A 48-year-old female patient was referred to our Department for assessment. She was under endocrinological follow-up due to autoimmune thyroiditis Hashimoto and was being treated with thyroxine 0.1 mg per day per os. In the last two years, an increase in the plasma calcitonin levels was noted, and the patient was referred for surgical treatment. The patient exhibited no symptoms, such as diarrhea, dysphagia or facial flashing. Physical examination was normal. No palpable lymph nodes were detected, and the rest of the examination was normal. A laboratory examination showed increased levels of plasma calcitonin: 13.3 pg/ml (normal values 0–10 pg/ml). Neck ultrasound scan revealed an increase in the dimensions of the thyroid, a thyroid nodule ~1.5 cm in diameter in the right lobe, five small nodules ~0.5 cm in diameter in the left lobe and the absence of any nodes. The patient underwent total thyroidectomy. The thyroid gland was resected completely, and a thorough neck examination did not reveal any nodes.

Cytopathology revealed a thyroid gland, with a total weight of 21.5 g, consisting of a right lobe of 3×4×2.5 cm where a white nodule of 1.5 cm was found; and a left lobe with dimensions 4×2.5×1 cm where 3 calcificated areas were found equal to 0.1–0.4 cm and 2 colloidal nodules 0.4–0.6 cm were noted. Histologically, the development of MTC was found in the left lobe in 3 sites with a maximum diameter of 0.4 cm. The lymph nodes found were negative, and the rest of the thyroid gland showed thyroiditis lesions. The patient was treated with thyroxine per os for thyroid function substitution. The plasma calcitonin levels were within the normal range, and no recurrence was found upon a regular neck examination at follow-up, four months after the initial operation.

Case report 3

A 49 year-old female patient was referred to our Department for assessment. She underwent a thyroid panel scan due to weight gain. No previous history of thyroid lesions had been noted. The thyroid scan revealed normal thyroid hormonal values along with increased calcitonin levels and traceable CEA antigen levels. Moreover, a pentagastrin stimulation test was positive, which in combination with the above-mentioned results, resulted in a diagnosis of MTC. Total thyroidectomy was performed. Cytopathology revealed a thyroid gland dispersed with multiple nodules, along with notable nodes of 1 cm in diameter. Histologically, the specimen was grade pT1. The plasma calcitonin levels were within the normal range and no recurrence was found upon a regular neck examination at follow-up, two months after the initial operation.

Discussion

Medullary thyroid cancer is a rare aggressive type of thyroid neoplasia. Significant predictors for MTC are age, gender, clinical presentation, TNM stage, distant metastases and extent of thyroidectomy. Primary and independent prognostic factors are age and disease stage at the time of diagnosis. The recent Mt. Sinai study showed 5-, 10- and 20-year overall survival rates as 97, 88 and 84%, respectively. Disease-free survival rates were 97, 74 and 29% at 5, 10 and 20 years, respectively (20).

MTC is a heterogeneous disease in terms of biological behavior with a variable and unpredictable behavior. The clinical course of MTC varies from an extremely indolent tumor that can go unchanged for years to an aggressive variant that is associated with a high mortality rate. MTC occurs either as a sporadic event or secondary to a germline mutation with an autosomal dominant pattern of inheritance. Unlike most other solid tumors, the presence of microscopic residual disease within the thyroid, local regional lymph nodes, or distant organs can be detected by elevated serum levels of calcitonin or CEA. MTC frequently metastasizes to regional lymph nodes, usually apparent at the time of diagnosis. The frequency of nodal metastasis has been reported to be more than 50% in patients with palpable established primary tumors. The spread of metastases is most common to the central compartment (level VI), followed by the ipsilateral jugular chain of nodes (levels II–V) and the contralateral cervical nodes. It may also be noted in the upper and anterior mediastinum. Hematogenous spread to the lungs, liver, bones, brain and soft tissues may occur. The fine military pattern of these metastases renders conventional imaging a challenge. Laparoscopy may be useful in the identification of small metastatic deposits in the liver of patients with elevated calcitonin levels (21). Patients with MTC, without any lymph node metastases, treated in the early stages of the disease, thus have a low risk of recurrence. In contrast, patients with nodal disease at presentation have a high risk for developing recurrent or persistent disease. Follow-up is advised to commence 2–3 months postoperatively with baseline calcitonin and CEA levels, and then annually. Ultrasound of the neck had no proven benefit. Thyroid-hormone replacement is required. Patients with hereditary MTC are at risk of developing pheochromocytoma and hyperparathyroidism (22,27).

The surgical treatment of MTC is determined by a number of factors. The clinical course of MTC is usually more aggressive than that of non-medullary differentiated thyroid cancer, with high rates of recurrence and mortality, particularly in young patients. Moreover, nodal metastases are present in more than 70% of patients with palpable disease. Radiation treatment and conventional chemotherapeutic regimens have exhibited no improvement in long-term survival for patients with MTC. Thus, the optimal treatment is surgical management. The risk of complications increases in cases of recurrence, which require surgical management, and the aim is to perform a complete resection at the initial procedure. Since the tumor is multifocal and bilateral in the majority of the patients with hereditary MTC and in 20% of patients with the sporadic type, the treatment of choice and the safest option remains total thyroidectomy. Preoperative measurement of urine catecholamines is mandatory in order to exclude pheochromocytoma (23). When excessive catecholamine secretion is detected, adrenal surgery should be performed in advance (24). In the literature, total thyroidectomy and paratracheal dissection is proposed for patients with MTC.

Lymph node metastases in patients with MTC may be the first clinical sign. Approximately 20% of patients present with distant metastases on diagnosis (25). As tumor stage increases, a higher incidence of metastasis occurs in the contralateral central neck, ipsilateral lateral neck and contralateral lateral neck compartments. It is extremely uncommon for metastatic spread to occur to the lateral nodes without first involving the ipsilateral central nodes. Surgical excision is the only effective therapy for these metastases (26).

Surgery has been the only generally effective therapy for MTC. Unlike papillary thyroid cancer, there are only limited options for patients with disseminated disease, and no accepted adjuvant therapies are available. Radioactive iodine is part of the standard treatment for papillary thyroid cancer, but since C-cells are not of thyroid follicular origin, radioactive iodine is not absorbed by C-cells. External beam radiation therapy causes extensive scarring and fibrosis within the neck, limiting surgical interventions. However, radiation therapy can be applied for palliative reasons both for local disease and metastases to the bones. Patients with metastatic disease can suffer severe symptoms caused by calcitonin excess and may benefit from medical treatment with somatostatin analogues. These patients may also benefit from cytoreductive surgery of unresectable disease.

Conventional chemotherapy has been shown to have limited efficacy in patients with MTC. Complete responses are rare, and partial responses have been noted in less than one third of patients. The side effect profile of chemotherapy is often adverse, making this an unappealing option for many patients. Single-agent regimens using doxorubicin, dacarbazine, capecitabine and 5-fluorouracil have been reported with partial response rates of up to 24–29%. More novel chemotherapeutic agents, such as irinotecan, a topoisomerase I inhibitor and 17-AAG, a heat-shock protein 90 (Hsp90) inhibitor, are currently being evaluated in phase II clinical trials (28). Various approaches aimed at developing systemic molecular therapies, requiring targets specifically expressed by MTC cells, are currently in progress (29). The challenge for investigators is in analyzing the degree to which Ret is being effectively inhibited and correlating the results with surrogate markers and outcome data. Imitanib mesylate (Gleevec®; Novartis Pharmaceuticals Corp., East Hanover, NJ, USA) is a known tyrosine kinase inhibitor already in clinical use against chronic myelogenous leukemia and gastrointestinal stromal tumors, targeting specific tyrosine kinases. Studies involving this drug performed in vitro have shown dose-dependent inhibition of MTC cells and inhibition of phosphorylation of the RET protein. Hsp90 is another chemotherapeutic target that has been tested in MTC. In its normal role, Hsp90 acts as one of a number of molecular chaperones, facilitating normal cell proliferation and activity by binding to specific signal-transduction proteins including the RET tyrosine kinase receptor. Tumor cells overexpress active Hsp90, leading to unregulated cell activity and proliferation. Drugs targeting components of new pathways for Ret-negative tumors are currently under trial, including angiogenesis inhibitors, proteasome inhibitors, and cytotoxic chemotherapy in combination with tyrosine kinase inhibitors or angiogenesis inhibitors. Potential therapeutic targets include the manipulation of various cellular signaling pathways, such as the PI3K-Akt, MAPK and Notch-1- hairy enhancer of split (HES)-1-achaete-scute complex-like (ASCL)-1 signaling pathway, and the glycogen synthase kinase-3 (GSK-3) pathway (30).

In conclusion, MTC accounts for 5–10% of all thyroid cancers. The majority of cases are sporadic, but 20% of cases are a result of a germline mutation in the Ret proto-oncogene. The management of medullary thyroid cancer is predominantly surgical excision, consisting of a total thyroidectomy and lymph node dissection. The extent and timing of surgical excision are crucial. Systemic therapeutic options are limited for MTC. However, various therapeutic targets show promise for the future development of new therapies.

References

1 

American Cancer Society. Cancer Facts and Figures. Atlanta, Ga: American Cancer Society; 2009

2 

National Cancer Institute. SEER Incidence: Thyroid Cancer. Bethesda, MD: 2004

3 

Hundahl SA, Fleming ID, Fremgen AM and Menck HR: A National Cancer Data Base report on 53,856 cases of thyroid carcinoma treated in the U.S., 1985–1995. Cancer. 83:2638–2648. 1998.PubMed/NCBI

4 

Engelbach M, Gorges R, Forst T, et al: Improved diagnostic methods in the follow-up of medullary thyroid carcinoma by highly specific calcitonin measurements. J Clin Endocrinol Metab. 85:18902000.

5 

Safioleas M, Stamatakos M, Karampali E, Rompoti N, Mouzopoulos G and Lygidakis N: Diagnosis and treatment aspects of medullary thyroid carcinoma. Chirurgia. 101:121–126. 2006.

6 

Bhattacharyya N: A population-based analysis of survival factors in differentiated and medullary thyroid carcinoma. Otolaryngol Head Neck Surg. 128:115–123. 2003. View Article : Google Scholar : PubMed/NCBI

7 

Modigliani E, Vasen HM, Raue K, et al: Pheochromocytoma in multiple endocrine neoplasia type 2: European study. The Euromen Study Group. J Intern Med. 238:363–367. 1995. View Article : Google Scholar : PubMed/NCBI

8 

Roman S, Lin R and Sosa JA: Prognosis of medullary thyroid carcinoma: demographic, clinical, and pathologic predictors of survival in 1252 cases. Cancer. 107:2134–2142. 2006. View Article : Google Scholar : PubMed/NCBI

9 

Bergholm U, Bergström R and Ekbom A: Long-term follow-up of patients with medullary carcinoma of the thyroid. Cancer. 79:132–138. 1997. View Article : Google Scholar : PubMed/NCBI

10 

Kebebew E, Ituarte PH, Siperstein AE, Duh QY and Clark OH: Medullary thyroid carcinoma: clinical characteristics, treatment, prognostic factors and a comparison of staging systems. Cancer. 88:1139–1148. 2000. View Article : Google Scholar

11 

Jaquet AJ: Ein fall von metastasierenden amyloidtumoren (lymphosarcoma). Virchows Arch. 185:251–267. 1906. View Article : Google Scholar

12 

Rufini V, Castaldi P, Treglia G, et al: Nuclear medicine procedures in the diagnosis and therapy of medullary thyroid carcinoma. Biomed Pharmacother. 62:139–146. 2008. View Article : Google Scholar : PubMed/NCBI

13 

Fialkowski EA and Moley JF: Current approaches to medullary thyroid carcinoma, sporadic and familial. J Surg Oncol. 94:737–747. 2006. View Article : Google Scholar : PubMed/NCBI

14 

DeLellis RA: Pathology and genetics of thyroid carcinoma. J Surg Oncol. 94:662–669. 2006. View Article : Google Scholar : PubMed/NCBI

15 

Matoso A, Zhou Z, Hayama R, Flesken-Nikitin A and Nikitin AY: Cell lineage-specific interactions between Men1 and Rb in neuroendocrine neoplasia. Carcinogenesis. 29:620–628. 2008. View Article : Google Scholar : PubMed/NCBI

16 

Boikos SA and Stratakis CA: Molecular mechanisms of medullary thyroid carcinoma: current approaches in diagnosis and treatment. Histol Histopathol. 23:109–116. 2008.PubMed/NCBI

17 

Evans DB, Burgess MA, Goepfert H and Gagel RF: Medullary thyroid cancer. Current therapy in endocrinology and metabolism. 6th edition. Bardin CW: Mosby-Year Book; St. Louis: pp. 127–132. 1997

18 

Liu FH, Hsueh C, Chang HY, Liou MJ, Huang BY and Lin JD: Sonography and fine-needle aspiration biopsy in the diagnosis of benign versus malignant nodules in patients with autoimmune thyroiditis. J Clin Ultrasound. 37:487–492. 2009. View Article : Google Scholar : PubMed/NCBI

19 

Sippel RS, Kunnimalaiyaan M and Chen H: Current management of medullary thyroid cancer. Oncologist. 13:539–547. 2008. View Article : Google Scholar : PubMed/NCBI

20 

Clark JR, Fridman TR, Odell MJ, Brierley J, Walfish PG and Freeman JL: Prognostic variables and calcitonin in medullary thyroid cancer. Laryngoscope. 115:1445–1450. 2005. View Article : Google Scholar : PubMed/NCBI

21 

Toledo SP, Lourenço DM Jr, Santos MA, Tavares MR, Toledo RA and Correia-Deur JE: Hypercalcitoninemia is not pathognomonic of medullary thyroid carcinoma. Clinics. 64:699–706. 2009. View Article : Google Scholar : PubMed/NCBI

22 

Lundgren CI, Delbridg L, Learoyd D and Robinson B: Surgical approach to medullary thyroid cancer. Arq Bras Endocrinol Metabol. 51:818–824. 2007. View Article : Google Scholar : PubMed/NCBI

23 

Oskam IM, Hoebers F, Balm AJ, et al: Neck management in medullary thyroid carcinoma. Eur J Surg Oncol. 34:71–76. 2008. View Article : Google Scholar : PubMed/NCBI

24 

Dralle H and Machens A: Surgical approaches in thyroid cancer and lymph-node metastases. Best Pract Res Clin Endocrinol Metab. 22:971–987. 2008. View Article : Google Scholar : PubMed/NCBI

25 

Machens A, Schneyer U, Holzhausen HJ and Dralle H: Prospects of remission in medullary thyroid carcinoma according to basal calcitonin level. J Clin Endocr Metab. 90:2029–2034. 2005. View Article : Google Scholar : PubMed/NCBI

26 

Al-Rawi M and Wheeler MH: Medullary thyroid carcinoma – update and present management controversies. Ann R Coll Surg Engl. 88:433–438. 2006.

27 

Ball DW: Medullary thyroid cancer: therapeutic targets and molecular markers. Curr Opin Oncol. 19:18–23. 2007. View Article : Google Scholar : PubMed/NCBI

28 

You YN, Lakhani V, Wells SA Jr and Moley JF: Medullary thyroid cancer. Surg Oncol Clin N Am. 15:639–660. 2006. View Article : Google Scholar : PubMed/NCBI

29 

Schlumberger M, Carlomagno F, Baudin E, Bidart JM and Santoro M: New therapeutic approaches to treat medullary thyroid carcinoma. Nat Clin Pract Endocrinol Metab. 4:22–32. 2008. View Article : Google Scholar : PubMed/NCBI

30 

Cohen MS, Hussain HB and Moley JF: Inhibition of medullary thyroid carcinoma cell proliferation and RET phosphorylation by tyrosine kinase inhibitors. Surgery. 132:960–966. 2002. View Article : Google Scholar : PubMed/NCBI

Related Articles

  • Abstract
  • View
  • Download
  • Twitter
Copy and paste a formatted citation
Spandidos Publications style
Stamatakos M, Paraskeva P, Stefanaki C, Katsaronis P, Lazaris A, Safioleas K and Kontzoglou K: Medullary thyroid carcinoma: The third most common thyroid cancer reviewed. Oncol Lett 2: 49-53, 2011.
APA
Stamatakos, M., Paraskeva, P., Stefanaki, C., Katsaronis, P., Lazaris, A., Safioleas, K., & Kontzoglou, K. (2011). Medullary thyroid carcinoma: The third most common thyroid cancer reviewed. Oncology Letters, 2, 49-53. https://doi.org/10.3892/ol.2010.223
MLA
Stamatakos, M., Paraskeva, P., Stefanaki, C., Katsaronis, P., Lazaris, A., Safioleas, K., Kontzoglou, K."Medullary thyroid carcinoma: The third most common thyroid cancer reviewed". Oncology Letters 2.1 (2011): 49-53.
Chicago
Stamatakos, M., Paraskeva, P., Stefanaki, C., Katsaronis, P., Lazaris, A., Safioleas, K., Kontzoglou, K."Medullary thyroid carcinoma: The third most common thyroid cancer reviewed". Oncology Letters 2, no. 1 (2011): 49-53. https://doi.org/10.3892/ol.2010.223
Copy and paste a formatted citation
x
Spandidos Publications style
Stamatakos M, Paraskeva P, Stefanaki C, Katsaronis P, Lazaris A, Safioleas K and Kontzoglou K: Medullary thyroid carcinoma: The third most common thyroid cancer reviewed. Oncol Lett 2: 49-53, 2011.
APA
Stamatakos, M., Paraskeva, P., Stefanaki, C., Katsaronis, P., Lazaris, A., Safioleas, K., & Kontzoglou, K. (2011). Medullary thyroid carcinoma: The third most common thyroid cancer reviewed. Oncology Letters, 2, 49-53. https://doi.org/10.3892/ol.2010.223
MLA
Stamatakos, M., Paraskeva, P., Stefanaki, C., Katsaronis, P., Lazaris, A., Safioleas, K., Kontzoglou, K."Medullary thyroid carcinoma: The third most common thyroid cancer reviewed". Oncology Letters 2.1 (2011): 49-53.
Chicago
Stamatakos, M., Paraskeva, P., Stefanaki, C., Katsaronis, P., Lazaris, A., Safioleas, K., Kontzoglou, K."Medullary thyroid carcinoma: The third most common thyroid cancer reviewed". Oncology Letters 2, no. 1 (2011): 49-53. https://doi.org/10.3892/ol.2010.223
Follow us
  • Twitter
  • LinkedIn
  • Facebook
About
  • Spandidos Publications
  • Careers
  • Cookie Policy
  • Privacy Policy
How can we help?
  • Help
  • Live Chat
  • Contact
  • Email to our Support Team