Spandidos Publications Logo
  • About
    • About Spandidos
    • Aims and Scopes
    • Abstracting and Indexing
    • Editorial Policies
    • Reprints and Permissions
    • Job Opportunities
    • Terms and Conditions
    • Contact
  • Journals
    • All Journals
    • Oncology Letters
      • Oncology Letters
      • Information for Authors
      • Editorial Policies
      • Editorial Board
      • Aims and Scope
      • Abstracting and Indexing
      • Bibliographic Information
      • Archive
    • International Journal of Oncology
      • International Journal of Oncology
      • Information for Authors
      • Editorial Policies
      • Editorial Board
      • Aims and Scope
      • Abstracting and Indexing
      • Bibliographic Information
      • Archive
    • Molecular and Clinical Oncology
      • Molecular and Clinical Oncology
      • Information for Authors
      • Editorial Policies
      • Editorial Board
      • Aims and Scope
      • Abstracting and Indexing
      • Bibliographic Information
      • Archive
    • Experimental and Therapeutic Medicine
      • Experimental and Therapeutic Medicine
      • Information for Authors
      • Editorial Policies
      • Editorial Board
      • Aims and Scope
      • Abstracting and Indexing
      • Bibliographic Information
      • Archive
    • International Journal of Molecular Medicine
      • International Journal of Molecular Medicine
      • Information for Authors
      • Editorial Policies
      • Editorial Board
      • Aims and Scope
      • Abstracting and Indexing
      • Bibliographic Information
      • Archive
    • Biomedical Reports
      • Biomedical Reports
      • Information for Authors
      • Editorial Policies
      • Editorial Board
      • Aims and Scope
      • Abstracting and Indexing
      • Bibliographic Information
      • Archive
    • Oncology Reports
      • Oncology Reports
      • Information for Authors
      • Editorial Policies
      • Editorial Board
      • Aims and Scope
      • Abstracting and Indexing
      • Bibliographic Information
      • Archive
    • Molecular Medicine Reports
      • Molecular Medicine Reports
      • Information for Authors
      • Editorial Policies
      • Editorial Board
      • Aims and Scope
      • Abstracting and Indexing
      • Bibliographic Information
      • Archive
    • World Academy of Sciences Journal
      • World Academy of Sciences Journal
      • Information for Authors
      • Editorial Policies
      • Editorial Board
      • Aims and Scope
      • Abstracting and Indexing
      • Bibliographic Information
      • Archive
    • International Journal of Functional Nutrition
      • International Journal of Functional Nutrition
      • Information for Authors
      • Editorial Policies
      • Editorial Board
      • Aims and Scope
      • Abstracting and Indexing
      • Bibliographic Information
      • Archive
    • International Journal of Epigenetics
      • International Journal of Epigenetics
      • Information for Authors
      • Editorial Policies
      • Editorial Board
      • Aims and Scope
      • Abstracting and Indexing
      • Bibliographic Information
      • Archive
    • Medicine International
      • Medicine International
      • Information for Authors
      • Editorial Policies
      • Editorial Board
      • Aims and Scope
      • Abstracting and Indexing
      • Bibliographic Information
      • Archive
  • Articles
  • Information
    • Information for Authors
    • Information for Reviewers
    • Information for Librarians
    • Information for Advertisers
    • Conferences
  • Language Editing
Spandidos Publications Logo
  • About
    • About Spandidos
    • Aims and Scopes
    • Abstracting and Indexing
    • Editorial Policies
    • Reprints and Permissions
    • Job Opportunities
    • Terms and Conditions
    • Contact
  • Journals
    • All Journals
    • Biomedical Reports
      • Information for Authors
      • Editorial Policies
      • Editorial Board
      • Aims and Scope
      • Abstracting and Indexing
      • Bibliographic Information
      • Archive
    • Experimental and Therapeutic Medicine
      • Information for Authors
      • Editorial Policies
      • Editorial Board
      • Aims and Scope
      • Abstracting and Indexing
      • Bibliographic Information
      • Archive
    • International Journal of Epigenetics
      • Information for Authors
      • Editorial Policies
      • Editorial Board
      • Aims and Scope
      • Abstracting and Indexing
      • Bibliographic Information
      • Archive
    • International Journal of Functional Nutrition
      • Information for Authors
      • Editorial Policies
      • Editorial Board
      • Aims and Scope
      • Abstracting and Indexing
      • Bibliographic Information
      • Archive
    • International Journal of Molecular Medicine
      • Information for Authors
      • Editorial Policies
      • Editorial Board
      • Aims and Scope
      • Abstracting and Indexing
      • Bibliographic Information
      • Archive
    • International Journal of Oncology
      • Information for Authors
      • Editorial Policies
      • Editorial Board
      • Aims and Scope
      • Abstracting and Indexing
      • Bibliographic Information
      • Archive
    • Medicine International
      • Information for Authors
      • Editorial Policies
      • Editorial Board
      • Aims and Scope
      • Abstracting and Indexing
      • Bibliographic Information
      • Archive
    • Molecular and Clinical Oncology
      • Information for Authors
      • Editorial Policies
      • Editorial Board
      • Aims and Scope
      • Abstracting and Indexing
      • Bibliographic Information
      • Archive
    • Molecular Medicine Reports
      • Information for Authors
      • Editorial Policies
      • Editorial Board
      • Aims and Scope
      • Abstracting and Indexing
      • Bibliographic Information
      • Archive
    • Oncology Letters
      • Information for Authors
      • Editorial Policies
      • Editorial Board
      • Aims and Scope
      • Abstracting and Indexing
      • Bibliographic Information
      • Archive
    • Oncology Reports
      • Information for Authors
      • Editorial Policies
      • Editorial Board
      • Aims and Scope
      • Abstracting and Indexing
      • Bibliographic Information
      • Archive
    • World Academy of Sciences Journal
      • Information for Authors
      • Editorial Policies
      • Editorial Board
      • Aims and Scope
      • Abstracting and Indexing
      • Bibliographic Information
      • Archive
  • Articles
  • Information
    • For Authors
    • For Reviewers
    • For Librarians
    • For Advertisers
    • Conferences
  • Language Editing
Login Register Submit
  • This site uses cookies
  • You can change your cookie settings at any time by following the instructions in our Cookie Policy. To find out more, you may read our Privacy Policy.

    I agree
Search articles by DOI, keyword, author or affiliation
Search
Advanced Search
presentation
Oncology Letters
Join Editorial Board Propose a Special Issue
Print ISSN: 1792-1074 Online ISSN: 1792-1082
Journal Cover
February 2012 Volume 3 Issue 2

Full Size Image

Sign up for eToc alerts
Recommend to Library

Journals

International Journal of Molecular Medicine

International Journal of Molecular Medicine

International Journal of Molecular Medicine is an international journal devoted to molecular mechanisms of human disease.

International Journal of Oncology

International Journal of Oncology

International Journal of Oncology is an international journal devoted to oncology research and cancer treatment.

Molecular Medicine Reports

Molecular Medicine Reports

Covers molecular medicine topics such as pharmacology, pathology, genetics, neuroscience, infectious diseases, molecular cardiology, and molecular surgery.

Oncology Reports

Oncology Reports

Oncology Reports is an international journal devoted to fundamental and applied research in Oncology.

Experimental and Therapeutic Medicine

Experimental and Therapeutic Medicine

Experimental and Therapeutic Medicine is an international journal devoted to laboratory and clinical medicine.

Oncology Letters

Oncology Letters

Oncology Letters is an international journal devoted to Experimental and Clinical Oncology.

Biomedical Reports

Biomedical Reports

Explores a wide range of biological and medical fields, including pharmacology, genetics, microbiology, neuroscience, and molecular cardiology.

Molecular and Clinical Oncology

Molecular and Clinical Oncology

International journal addressing all aspects of oncology research, from tumorigenesis and oncogenes to chemotherapy and metastasis.

World Academy of Sciences Journal

World Academy of Sciences Journal

Multidisciplinary open-access journal spanning biochemistry, genetics, neuroscience, environmental health, and synthetic biology.

International Journal of Functional Nutrition

International Journal of Functional Nutrition

Open-access journal combining biochemistry, pharmacology, immunology, and genetics to advance health through functional nutrition.

International Journal of Epigenetics

International Journal of Epigenetics

Publishes open-access research on using epigenetics to advance understanding and treatment of human disease.

Medicine International

Medicine International

An International Open Access Journal Devoted to General Medicine.

Journal Cover
February 2012 Volume 3 Issue 2

Full Size Image

Sign up for eToc alerts
Recommend to Library

  • Article
  • Citations
    • Cite This Article
    • Download Citation
    • Create Citation Alert
    • Remove Citation Alert
    • Cited By
  • Similar Articles
    • Related Articles (in Spandidos Publications)
    • Similar Articles (Google Scholar)
    • Similar Articles (PubMed)
  • Download PDF
  • Download XML
  • View XML
Article

Expression of αB-crystallin and its potential anti‑apoptotic role in oral verrucous carcinoma

  • Authors:
    • Hongzhi Quan
    • Zhangui Tang
    • Lily Zhao
    • Yuehong Wang
    • Ousheng Liu
    • Zhigang Yao
    • Jun Zuo
  • View Affiliations / Copyright

    Affiliations: Department of Oral and Maxillofacial Surgery, Xiangya Hospital, Central South University, Changsha, Hunan 410008, P.R. China, Department of Oral Pathology, Xiangya Hospital, Central South University, Changsha, Hunan 410008, P.R. China
  • Pages: 330-334
    |
    Published online on: November 2, 2011
       https://doi.org/10.3892/ol.2011.470
  • Expand metrics +
Metrics: Total Views: 0 (Spandidos Publications: | PMC Statistics: )
Metrics: Total PDF Downloads: 0 (Spandidos Publications: | PMC Statistics: )
Cited By (CrossRef): 0 citations Loading Articles...

This article is mentioned in:



Abstract

αB-crystallin, a member of the small heat shock protein family, acts as a molecular chaperone. αB-crystallin has been found to be overexpressed in a number of cancer tissues, including head and neck cancers. Overexpression of αB-crystallin in cancer tissue may be related to its anti-apoptotic properties; however, its mechanism of action remains unclear. The aim of this study was to investigate the anti-apoptotic role of αB-crystallin in oral verrucous carcinoma (OVC). Since oral squamous cell carcinoma (OSCC) is the most common tumor of the oral cavity, we selected OSCC as a control group. Immunohistochemical staining was used to evaluate the expression levels. The results showed that the expression of αB-crystallin was detected in OVC, OSCC and normal oral mucosa (NM). The expression in OVC was higher compared to that of NM, but lower compared to OSCC, indicating that OVC was less aggressive than OSCC with respect to malignancy potential. Furthermore, we found that in OVC, the increased expression of αB-crystallin coincided with the decreased expression of activated caspase-3. The results indicated that αB-crystallin may play an anti-apoptotic role via inhibition of the activation of caspase-3 in OVC.

Introduction

Oral verrucous carcinoma (OVC) is considered a rare, low-grade and well-differentiated carcinoma, with less potential for lymph node metastasis than other oral carcinomas. OVC is also called ‘Ackerman’s tumor’ or ‘verrucous carcinoma of Ackerman’ since it was first reported and described by Ackerman in 1948 (1). Besides the oral cavity, OVC is known to occur in the larynx, pyriform sinus, nasal cavity, paranasal sinuses, skin and esophagus, but the oral cavity is the most common site (2). Within the oral cavity, the buccal mucosa and gingival are the most preferred sites.

OVC, which accounts for 2.2–20% of all oral cancer, is mainly found in elderly males, particularly in tobacco smokers (3). OVC is regarded as a variant of squamous cell carcinoma with specific clinical, pathological and cytokinetic features, which also renders it different from squamous cell carcinoma. Concerning the etiology of OVC, tobacco use is believed to be markedly correlated with OVC, including inhaled and smokeless tobacco (4). Opportunist viral activity associated with human papillomavirus (HPV) has also been shown to have a close correlation, which includes HPV-2, 18, 20, 27, 57 and 62 (5,6). In southern or southeastern Asia, betel nut chewing is considered to be another significant cause of OVC (7). Nonetheless, the etiopathogenesis of OVC remains unclear, particularly its molecular mechanisms.

αB-crystallin is a member of the family of small heat shock proteins and acts as a molecular chaperone. The essential biological function of αB-crystallin is reflected by the conservation of its structure, from bacteria to humans (8). As with Hsp27, αB-crystallin is also stress inducible. By binding non-naive, non-host proteins or specific apoptosis-related proteins during cellular stress, αB-crystallin protects cells from thermal shock, osmotic shock, oxidative insults, ischemia or exposure to heavy metals, and sustains cell homeostasis (9,10). αB-crystallin may play a significant role in cancer, as its overexpression has been reported in renal, hepatocellular and gastric carcinoma, glioma, and lung and breast cancers (11–14). In cancer, αB-crystallin has demonstrated anti-apoptotic properties and is even considered to be a potential oncoprotein in a number of types of human cancer (15). Furthermore, it was found that αB-crystallin suppresses cell apoptosis by inhibiting the activation of caspase-3, but this has not been confirmed in human cancer (16).

Although overexpression of αB-crystallin has been reported in head and neck cancers, this study, to the best of our knowledge, is the first attempt to characterize expression patterns of αB-crystallin in OVC and to explore the potential role of αB-crystallin in oral cancer.

Materials and methods

Tissue specimens

A total of 17 OVCs, 15 oral squamous cell carcinomas (OSCCs) and 15 samples of healthy oral mucosa were obtained at Xiangya Hospital, Central South University, between 2002 and 2009. All patients gave written consent under the protocol reviewed, and the study was approved by the institutional review board of the Xiangya Hospital, Central South University. The OVC group, comprised 14 males and 3 females, with a mean age of 51.18 years (range 23–79). The most frequent site of OVC was the gingiva, observed in 9 patients (52.94%), followed by the buccal mucosa in 4 patients (23.52%). The OVC cases had no neck lymph node or distant metastasis (Table I). In the OSCC group, there were 9 males and 6 females. There were 4 patients with lymph node metastasis and none with distant metastasis (Table I).

Table I

Lymph node metastasis and stage category of OVC and OSCC.

Table I

Lymph node metastasis and stage category of OVC and OSCC.

Lymph node metastasisStage category


Positive No. (%)Negative No. (%)I–II No. (%)III–IV No. (%)
OVC0 (0)17 (100)15 (88.2)2 (11.8)
OSCC4 (26.7)11 (73.3)9 (60.0)6 (40)

[i] OVC, oral verrucous carcinoma; oral squamous cell carcinoma (OSCC).

OVC was only diagnosed when the characteristic clinical and pathological features were present (2). OSCC was diagnosed by the 1997 WHO criteria, and their clinical stage (TNM) was determined in terms of the 2002 UICC criteria (17,18). Normal oral mucosa (NM) specimens were obtained from healthy volunteers. All tissue specimens were fixed in 4% buffered formalin solution and paraffin-embedded sections were made for routine pathological diagnosis and immunohistochemical staining.

Immunohistochemical staining for αB-crystallin

Immunohistochemical staining was performed on 4 μm serial sections following routine procedures of deparaffinization and dehydration. The slides were incubated in 3% H2O2 for 20 min to block endogenous peroxidase activity, and were then boiled under pressure in citrate buffer (pH 6.0, for 5 min) for antigen retrieval. The tissues were then incubated with the αB-crystallin antibody (1:100 dilution, sc-101437, mouse anti-αB-crystallin monoclonal antibody, Santa Cruz Biotechnology, Santa Cruz, CA, USA) or actived-caspase-3 (p17) antibody [1:50 dilution, BS7004, rabbit anti-caspase-3 (p17) monoclonal antibody, Bioworld Technology, St. Louis Park, MN, USA] at 4°C in a moist chamber overnight. Slides were then washed with Tris-buffered saline (TBS) and incubated with Polymer Helper and polyperoxidase-anti-mouse/rabbit IgG successively for approximately 20 min, respectively. The color was developed with DAB and counterstained with hematoxylin (Polymer Detection System for immunohistological staining, PV-9000, Zhongshan, Godbridge, China). Negative controls were incubated with phosphate-buffered saline as a replacement for the primary antibody.

Evaluation of staining

The expression level was scored based on the percentage of positively stained cells and the intensity of staining. A mean percentage of positive tumor cells was determined by the examination of 200 cells in at least 10 areas, at a magnification of ×400. Five categories were presented according to the percentage of positive cells (PP): i) 0, <5%; ii) 1, 5–24%; iii) 2, 25–49%; iv) 3, 50–75%; or v) 4, >75%. The intensity of staining (SI) was scored as follows: i) 0, no -; ii) 1, weak +; iii) 2, moderate ++; and iv) 3, intense +++. The final immunoreactive score (IRS): IRS= SI × PP, was: i) −, 0; ii) +, 1–2; iii) ++, 4–6; iv) +++; 8–12. The evaluation was performed by two observers independently.

Statistical analysis

Statistical significance was evaluated by the Kruskal-Wallis test among the three groups of OVCs, OSCCs and NM; the Mann-Whitney U test for comparison of every two groups of OVCs, OSCCs and NM; the χ2 analysis and Fisher’s exact test for analyzing the correlations with clinicopathological parameters. The Spearman’s rank correlation test was used to analyze the expression of αB-crystallin and activated caspase-3 in tumor cells. P<0.05 was considered to be statistically significant and data analysis was performed using SPSS software, version 16.0.

Results

Protein expression of αB-crystalllin

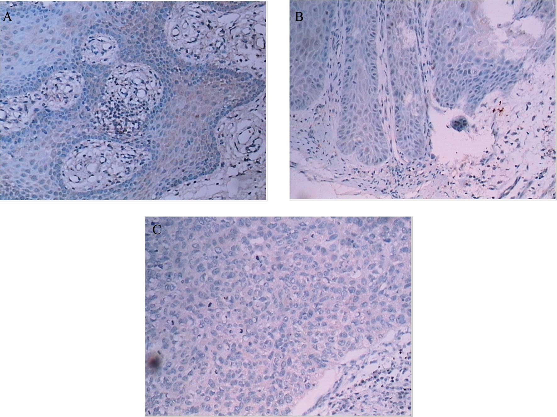
αB-crystallin was expressed predominantly in the cytoplasm of tumor cells. In 17 OVC cases, there were 2 with negative staining, 7 with weak staining, 6 with moderate staining (Fig. 1B) and 2 with strong staining. In all 15 OSCC cases, αB-crystallin was expressed and the intensity of staining was demonstrated as moderate (10) or strong (5), respectively (Fig. 1C), whereas in NM, there were 5 cases with negative staining (Fig. 1A) and 10 with weak staining. Statistically significant differences were shown between every two groups (Table II).

Figure 1

Immunohistochemical staining of αB-crystallin in NM, OVC and OSCC tissue. (A) NM exhibited negative αB-crystallin expression. (B) In OVC tissue, αB-crystallin was moderately expressed. (C) In OSCC tissue, αB-crystallin was markedly expressed. αB-crystallin was mainly expressed in cytoplasm (B,C). Original magnification, ×100.

Table II

Expression of αB-crystallin in OVC, OSCC and NM.

Table II

Expression of αB-crystallin in OVC, OSCC and NM.

GroupαB-crystallinTotalZP-value

NegativeWeakModerateStrong
OVC276217−2.118a0.044a
OSCC0010515−2.792b0.010b
NM51000154.268c0.000c
Total71716747

a Comparison between OVC and OSCC,

b comparison between OVC and NM, and

c comparison between OSCC and NM. OVC, oral verrucous carcinoma; OSCC, oral squamous cell carcinoma; NM, normal oral mucosa.

Using the χ2 test analysis, αB-crystallin expression in OVC was compared with clinicopathological parameters. No statistically significant correlation was found with age, gender, site and clinical stage. However in OSCC, the expression of αB-crystallin was correlated significantly with the clinical stage of tumors [intensity of staining in stage I–II was weak (3) or moderate (6), while in stage III–IV staining was moderate (1) and strong (5), χ2=10.557, p=0.032], but was not significantly correlated with age, gender, site, differentiation and nodal status.

Protein expression of activated caspase-3

Expression of caspase-3 was detected in the cytoplasm of specimens. Compared to NM, expression of activated caspase-3 was significantly reduced in OVC and OSCC (Table III, Fig. 2). In the OVC and OSCC cases, however, there was no statistically significant difference for their expression (Table III).

Figure 2

Immunohistochemical staining of activated caspase-3 in NM, OVC and OSCC tissue. (A) NM exhibited weak activated caspase-3 expression. (B,C) OVC and OSCC tissue showed negative activated caspase-3 expression. Original magnification, ×100.

Table III

Expression of activated caspase-3 in OVC, OSCC and NM.

Table III

Expression of activated caspase-3 in OVC, OSCC and NM.

GroupActivated caspase-3TotalZP-value

NegativeWeakModerateStrong
OVC1160017−1.448a0.202
OSCC780015−3.934b0.000
NM177015−2.983c0.040
Total19217047

a Comparison between OVC and OSCC,

b comparison between OVC and NM, and

c comparison between OSCC and NM. OVC, oral verrucous carcinoma; OSCC, oral squamous cell carcinoma; NM, normal oral mucosa.

Using the χ2 test analysis, no significant difference was found for the expression of activated caspase-3 and clinicopathogical variables in OVCs and OSCCs samples (p>0.05).

Correlation of two protein expressions

In OVCs, the overexpression of αB-crystallin was significantly correlated to the repression of activated caspase-3 statistically (p<0.05, Table IV). In OSCCs, while no significant correlation between the two proteins was found, a trend towards increasing αB-crystallin expression with decreasing activated caspase-3 expression was noted (Table V).

Table IV

Correlation analysis between αB-crystallin and activated caspase-3 in OVC.

Table IV

Correlation analysis between αB-crystallin and activated caspase-3 in OVC.

αB-crystallinrP-value

NegativeWeakModerateStrong
Activated caspase-3−0.5470.023
 Negative0452
 Weak2310
 Moderate0000
 Strong0000
Total2762

[i] OVC, oral verrucous carcinoma.

Table V

Correlation analysis between αB-crystallin and activated caspase-3 in OSCC.

Table V

Correlation analysis between αB-crystallin and activated caspase-3 in OSCC.

αB-crystallinrP-value

NegativeWeakModerateStrong
Activated caspase-3−0.3630.183
 Negative0042
 Weak0233
 Moderate0100
 Strong0000
Total0375

[i] OSCC, oral squamous cell carcinoma.

Discussion

αB-crystallin was originally found in the human lens, which contributed to the transparency of the lens as a component of crystallin. Later, it was gradually found to exist in various other tissues including the heart, brain, kidney and muscle, but the expression in non-lens tissue was low (19). Overexpression of αB-crystallin has been detected in a number of types of human cancer, including hepatocellular carcinoma, glioma, lung, gastric and breast cancer. The expression in cancer has been found to be correlated with lymph node metastasis, low rates of survival and poor prognosis of patients, and αB-crystallin was even considered a novel oncoprotein in basal-like breast carcinoma (11–15). In the current study of OVC and OSCC, we also found the overexpression of αB-crystallin. The intensity of immunohistochemistry staining increases from NM to OVC and OSCC (Fig. 1). The expression of αB-crystallin in stage III–IV was found to be significantly higher than in stage I–II, and the stronger staining site in OVC was in the pushing border, which may reflect the maximum proliferative activities of this tumor. These findings indicated that αB-crystallin may play a significant role in tumor progression.

When comparing the OVC cases with OSCC cases, we found that the staining of αB-crystallin in OVC was significantly lower than in OSCC. This may partially show that OVC behaves in a gentler manner than OSCC (20). In this study, there were no patients with lymph node metastasis in the OVC group, whereas there were 4 patients (26.7%) in the OSCC group. In the OVC group, only 2 patients (11.8%) were stage III–IV, but in the OSCC group, 40% of patients were stage III–IV. The results indicated that OVC is different from OSCC and there may be different pathological mechanisms between the two tumors (20,21).

In tumors, the overexpression of αB-crystallin may play a significant role in preventing tumor cell apoptosis. For cell apoptosis, there are two main pathways: mitochondrial and death receptor pathways. In the initial stages of the two pathways, the cell responds to a variety of stimuli, exogenous and endogenous, by releasing apoptosis-related factors, which then activate/recruit procaspase-8 and -9, respectively. Then by multiple steps, active caspase-8 and -9 initiate the proteolytic activation of procaspase-3: first, caspase-8 or -9 cleaves procaspase-3 at an aspartate residue between its large and small subunits to generate a p24 intermediate (the prodomain and the large subunit) and the p12 small subunit; second, the p24 intermediate generates the p20 and p17 forms of the large subunit by autoproteolysis. Two p17/p12s form the active caspase-3 as heterodimers, and then active caspase-3 induces apoptosis of the cell by proteolyzing key cell targets (22). Caspase-3 is thus the central molecule in the two pathways. Kamradt et al found that αB-crystallin is capable of inhibiting the autoproteolyzing maturation of caspase-3 by directly binding to the p24 intermediate, resulting in the negative regulation of cytochrome-C and caspase-8-dependent apoptosis (23). These authors also observed a similar course in myogenic differentiation. In the study by Dimberg et al, it was found that the activated caspase-3 expression was significantly elevated when the authors knocked down the αB-crystallin gene (24).

In this study, we used the specific antibody of p17 generated in the activation of caspase-3 to detect the activated caspase-3. Similarly to Dimberg et al, we also found that in OVC the increase in expression of αB-crystallin coincides with the decrease in expression of activated caspase-3, and we then confirmed that the expression of αB-crystallin was significantly reversely correlated with the expression of activated caspase-3 statistically. This result indicates that in OVC, αB-crystallin may function as an anti-apoptosis protein by inhibiting the activation of caspase-3, and may play a significant role in the carcinogenesis of OVC.

Although in OSCC, the statistical significance of the two protein expressions was not found, we observed that with the increasing expression of αB-crystallin, the expression of activated caspase-3 was reduced (Table V). This indicates that more samples need to be accumulated for further study.

In conclusion, αB-crystallin is overexpressed in OVC and may play a role in anti-apoptosis via inhibition of the activation of caspase-3 in OVC.

Acknowledgements

This study was supported by the National Natural Science Foundation of China (no. 30872895) and the Key Science and Technology Project of the Hunan Provincial Science and Technology Department, P.R. China (2008FJ2011).

References

1 

Ackerman LV: Verrucous carcinoma of the oral cavity. Surgery. 23:670–678. 1948.PubMed/NCBI

2 

Spiro RH: Verrucous carcinoma, then and now. Am J Surg. 176:393–397. 1998. View Article : Google Scholar : PubMed/NCBI

3 

Addante RR and McKenna SJ: Verrucous carcinoma. Oral Maxillofac Surg Clin North Am. 18:513–519. 2006. View Article : Google Scholar

4 

Wray A and McGuirt WF: Smokeless tobacco usage associated with oral carcinoma. Incidence, treatment, outcome. Arch Otolaryngol Head Neck Surg. 119:929–933. 1993. View Article : Google Scholar : PubMed/NCBI

5 

Fliss DM, Noble-Topham SE, McLachlin M, Freeman JL, Noyek AM, van Nostrand AW and Hartwick RW: Laryngeal verrucous carcinoma: a clinicopathologic study and detection of human papillomavirus using polymerase chain reaction. Laryngoscope. 104:146–152. 1994.

6 

Mitsuishi T, Ohara K, Kawashima M, Kobayashi S and Kawana S: Prevalence of human papillomavirus DNA sequences in verrucous carcinoma of the lip: genomic and therapeutic approaches. Cancer Lett. 222:139–143. 2005. View Article : Google Scholar : PubMed/NCBI

7 

Walvekar RR, Chaukar DA, Deshpande MS, Pai PS, Chaturvedi P, Kakade A, Kane SV and D’Cruz AK: Verrucous carcinoma of the oral cavity: A clinical and pathological study of 101 cases. Oral Oncol. 45:47–51. 2009. View Article : Google Scholar : PubMed/NCBI

8 

Horwitz J: α-crystallin. Exp Eye Res. 76:145–153. 2003.

9 

Inagaki N, Hayashi T, Arimura T, Koga Y, Takahashi M, Shibata H, Teraoka K, Chikamori T, Yamashina A and Kimura A: αB-crystallin mutation in dilated cardiomyopathy. Biochem Biophys Res Commun. 342:379–386. 2006.

10 

Kumarapeli AR, Su H, Huang W, Tang M, Zheng H, Horak KM, Li M and Wang X: αB-crystallin suppresses pressure overload cardiac hypertrophy. Circ Res. 103:1473–1482. 2008.

11 

Cherneva R, Petrov D, Georgiev O, Slavova Y, Toncheva D, Stamenova M and Trifonova N: Expression profile of the small heat-shock protein α-B-crystallin in operated-on non-small-cell lung cancer patients: clinical implication. Eur J Cardiothorac Surg. 37:44–50. 2010.

12 

Holcakova J, Hernychova L, Bouchal P, Brozkova K, Zaloudik J, Valik D, Nenutil R and Vojtesek B: Identification of αB-crystallin, a biomarker of renal cell carcinoma by SELDI-TOF MS. Int J Biol Markers. 23:48–53. 2008.

13 

Tang Q, Liu YF, Zhu XJ, Li YH, Zhu J, Zhang JP, Feng ZQ and Guan XH: Expression and prognostic significance of the αB-crystallin gene in human hepatocellular carcinoma. Hum Pathol. 40:300–305. 2009.

14 

Chin D, Boyle GM, Williams RM, Ferguson K, Pandeya N, Pedley J, Campbell CM, Theile DR, Parsons PG and Coman WB: αB-crystallin, a new independent marker for poor prognosis in head and neck cancer. Laryngoscope. 115:1239–1242. 2005.

15 

Moyano JV, Evans JR, Chen F, Lu M, Werner ME, Yehiely F, Diaz LK, Turbin D, Karaca G, Wiley E, Nielsen TO, Perou CM and Cryns VL: αB-crystallin is a novel oncoprotein that predicts poor clinical outcome in breast cancer. J Clin Invest. 16:261–270. 2006.

16 

Shin JH, Kim SW, Lim CM, Jeong JY, Piao CS and Lee JK: αB-crystallin suppresses oxidative stress-induced astrocyte apoptosis by inhibiting caspase-3 activation. Neurosci Res. 64:355–61. 2009.

17 

Pindborg JJ, Reichart PA and Smith CJ: Histological Typing of Cancer and Precancer of the Oral Mucosa. 2nd edition. Springer-Verlag; Berlin: 1997, View Article : Google Scholar

18 

Greene FL: American Cancer Society: AJCC cancer staging manual. 6th edn. New York: American Joint Committee on Cancer, Springer-Verlag; 2002

19 

Masilamoni JG, Jesudason EP, Baben B, Jebaraj CE, Dhandayuthapani S and Jayakumar R: Molecular chaperone α-crystallin prevents detrimental effects of neuroinflammation. Biochim Biophys Acta. 1762:284–293. 2006.

20 

Tang Z, Xie X, Li J, Liu X, Yao Z and Zhao S: A clinical study on oral verrucous carcinoma phenotypes. Chin J Dent Res. 8:57–61. 2005.

21 

Tang ZG, Zhao SP, Zhang L and Li XL: Gene expression profile changes in oral verrucous carcinoma and oral squamous cell carcinoma. Zhonghua Kou Qiang Yi Xue Za Zhi. 42:229–230. 2007.PubMed/NCBI

22 

Hengartner MO: Apoptosis and the shape of death. Dev Genet. 21:245–248. 1997. View Article : Google Scholar : PubMed/NCBI

23 

Kamradt MC, Chen F, Sam S and Cryns VL: The small heat shock protein αB-crystallin negatively regulates apoptosis during myogenic differentiation by inhibiting caspase-3 activation. J Biol Chem. 277:38731–38736. 2002.

24 

Dimberg A, Rylova S, Dieterich LC, Olsson AK, Schiller P, Wikner C, Bohman S, Botling J, Lukinius A, Wawrousek EF and Claesson-Welsh L: αB-crystallin promotes tumor angiogenesis by increasing vascular survival during tube morphogenesis. Blood. 111:2015–2023. 2008.

Related Articles

  • Abstract
  • View
  • Download
  • Twitter
Copy and paste a formatted citation
Spandidos Publications style
Quan H, Tang Z, Zhao L, Wang Y, Liu O, Yao Z and Zuo J: Expression of αB-crystallin and its potential anti‑apoptotic role in oral verrucous carcinoma. Oncol Lett 3: 330-334, 2012.
APA
Quan, H., Tang, Z., Zhao, L., Wang, Y., Liu, O., Yao, Z., & Zuo, J. (2012). Expression of αB-crystallin and its potential anti‑apoptotic role in oral verrucous carcinoma. Oncology Letters, 3, 330-334. https://doi.org/10.3892/ol.2011.470
MLA
Quan, H., Tang, Z., Zhao, L., Wang, Y., Liu, O., Yao, Z., Zuo, J."Expression of αB-crystallin and its potential anti‑apoptotic role in oral verrucous carcinoma". Oncology Letters 3.2 (2012): 330-334.
Chicago
Quan, H., Tang, Z., Zhao, L., Wang, Y., Liu, O., Yao, Z., Zuo, J."Expression of αB-crystallin and its potential anti‑apoptotic role in oral verrucous carcinoma". Oncology Letters 3, no. 2 (2012): 330-334. https://doi.org/10.3892/ol.2011.470
Copy and paste a formatted citation
x
Spandidos Publications style
Quan H, Tang Z, Zhao L, Wang Y, Liu O, Yao Z and Zuo J: Expression of αB-crystallin and its potential anti‑apoptotic role in oral verrucous carcinoma. Oncol Lett 3: 330-334, 2012.
APA
Quan, H., Tang, Z., Zhao, L., Wang, Y., Liu, O., Yao, Z., & Zuo, J. (2012). Expression of αB-crystallin and its potential anti‑apoptotic role in oral verrucous carcinoma. Oncology Letters, 3, 330-334. https://doi.org/10.3892/ol.2011.470
MLA
Quan, H., Tang, Z., Zhao, L., Wang, Y., Liu, O., Yao, Z., Zuo, J."Expression of αB-crystallin and its potential anti‑apoptotic role in oral verrucous carcinoma". Oncology Letters 3.2 (2012): 330-334.
Chicago
Quan, H., Tang, Z., Zhao, L., Wang, Y., Liu, O., Yao, Z., Zuo, J."Expression of αB-crystallin and its potential anti‑apoptotic role in oral verrucous carcinoma". Oncology Letters 3, no. 2 (2012): 330-334. https://doi.org/10.3892/ol.2011.470
Follow us
  • Twitter
  • LinkedIn
  • Facebook
About
  • Spandidos Publications
  • Careers
  • Cookie Policy
  • Privacy Policy
How can we help?
  • Help
  • Live Chat
  • Contact
  • Email to our Support Team