Spandidos Publications Logo
  • About
    • About Spandidos
    • Aims and Scopes
    • Abstracting and Indexing
    • Editorial Policies
    • Reprints and Permissions
    • Job Opportunities
    • Terms and Conditions
    • Contact
  • Journals
    • All Journals
    • Oncology Letters
      • Oncology Letters
      • Information for Authors
      • Editorial Policies
      • Editorial Board
      • Aims and Scope
      • Abstracting and Indexing
      • Bibliographic Information
      • Archive
    • International Journal of Oncology
      • International Journal of Oncology
      • Information for Authors
      • Editorial Policies
      • Editorial Board
      • Aims and Scope
      • Abstracting and Indexing
      • Bibliographic Information
      • Archive
    • Molecular and Clinical Oncology
      • Molecular and Clinical Oncology
      • Information for Authors
      • Editorial Policies
      • Editorial Board
      • Aims and Scope
      • Abstracting and Indexing
      • Bibliographic Information
      • Archive
    • Experimental and Therapeutic Medicine
      • Experimental and Therapeutic Medicine
      • Information for Authors
      • Editorial Policies
      • Editorial Board
      • Aims and Scope
      • Abstracting and Indexing
      • Bibliographic Information
      • Archive
    • International Journal of Molecular Medicine
      • International Journal of Molecular Medicine
      • Information for Authors
      • Editorial Policies
      • Editorial Board
      • Aims and Scope
      • Abstracting and Indexing
      • Bibliographic Information
      • Archive
    • Biomedical Reports
      • Biomedical Reports
      • Information for Authors
      • Editorial Policies
      • Editorial Board
      • Aims and Scope
      • Abstracting and Indexing
      • Bibliographic Information
      • Archive
    • Oncology Reports
      • Oncology Reports
      • Information for Authors
      • Editorial Policies
      • Editorial Board
      • Aims and Scope
      • Abstracting and Indexing
      • Bibliographic Information
      • Archive
    • Molecular Medicine Reports
      • Molecular Medicine Reports
      • Information for Authors
      • Editorial Policies
      • Editorial Board
      • Aims and Scope
      • Abstracting and Indexing
      • Bibliographic Information
      • Archive
    • World Academy of Sciences Journal
      • World Academy of Sciences Journal
      • Information for Authors
      • Editorial Policies
      • Editorial Board
      • Aims and Scope
      • Abstracting and Indexing
      • Bibliographic Information
      • Archive
    • International Journal of Functional Nutrition
      • International Journal of Functional Nutrition
      • Information for Authors
      • Editorial Policies
      • Editorial Board
      • Aims and Scope
      • Abstracting and Indexing
      • Bibliographic Information
      • Archive
    • International Journal of Epigenetics
      • International Journal of Epigenetics
      • Information for Authors
      • Editorial Policies
      • Editorial Board
      • Aims and Scope
      • Abstracting and Indexing
      • Bibliographic Information
      • Archive
    • Medicine International
      • Medicine International
      • Information for Authors
      • Editorial Policies
      • Editorial Board
      • Aims and Scope
      • Abstracting and Indexing
      • Bibliographic Information
      • Archive
  • Articles
  • Information
    • Information for Authors
    • Information for Reviewers
    • Information for Librarians
    • Information for Advertisers
    • Conferences
  • Language Editing
Spandidos Publications Logo
  • About
    • About Spandidos
    • Aims and Scopes
    • Abstracting and Indexing
    • Editorial Policies
    • Reprints and Permissions
    • Job Opportunities
    • Terms and Conditions
    • Contact
  • Journals
    • All Journals
    • Biomedical Reports
      • Information for Authors
      • Editorial Policies
      • Editorial Board
      • Aims and Scope
      • Abstracting and Indexing
      • Bibliographic Information
      • Archive
    • Experimental and Therapeutic Medicine
      • Information for Authors
      • Editorial Policies
      • Editorial Board
      • Aims and Scope
      • Abstracting and Indexing
      • Bibliographic Information
      • Archive
    • International Journal of Epigenetics
      • Information for Authors
      • Editorial Policies
      • Editorial Board
      • Aims and Scope
      • Abstracting and Indexing
      • Bibliographic Information
      • Archive
    • International Journal of Functional Nutrition
      • Information for Authors
      • Editorial Policies
      • Editorial Board
      • Aims and Scope
      • Abstracting and Indexing
      • Bibliographic Information
      • Archive
    • International Journal of Molecular Medicine
      • Information for Authors
      • Editorial Policies
      • Editorial Board
      • Aims and Scope
      • Abstracting and Indexing
      • Bibliographic Information
      • Archive
    • International Journal of Oncology
      • Information for Authors
      • Editorial Policies
      • Editorial Board
      • Aims and Scope
      • Abstracting and Indexing
      • Bibliographic Information
      • Archive
    • Medicine International
      • Information for Authors
      • Editorial Policies
      • Editorial Board
      • Aims and Scope
      • Abstracting and Indexing
      • Bibliographic Information
      • Archive
    • Molecular and Clinical Oncology
      • Information for Authors
      • Editorial Policies
      • Editorial Board
      • Aims and Scope
      • Abstracting and Indexing
      • Bibliographic Information
      • Archive
    • Molecular Medicine Reports
      • Information for Authors
      • Editorial Policies
      • Editorial Board
      • Aims and Scope
      • Abstracting and Indexing
      • Bibliographic Information
      • Archive
    • Oncology Letters
      • Information for Authors
      • Editorial Policies
      • Editorial Board
      • Aims and Scope
      • Abstracting and Indexing
      • Bibliographic Information
      • Archive
    • Oncology Reports
      • Information for Authors
      • Editorial Policies
      • Editorial Board
      • Aims and Scope
      • Abstracting and Indexing
      • Bibliographic Information
      • Archive
    • World Academy of Sciences Journal
      • Information for Authors
      • Editorial Policies
      • Editorial Board
      • Aims and Scope
      • Abstracting and Indexing
      • Bibliographic Information
      • Archive
  • Articles
  • Information
    • For Authors
    • For Reviewers
    • For Librarians
    • For Advertisers
    • Conferences
  • Language Editing
Login Register Submit
  • This site uses cookies
  • You can change your cookie settings at any time by following the instructions in our Cookie Policy. To find out more, you may read our Privacy Policy.

    I agree
Search articles by DOI, keyword, author or affiliation
Search
Advanced Search
presentation
Oncology Letters
Join Editorial Board Propose a Special Issue
Print ISSN: 1792-1074 Online ISSN: 1792-1082
Journal Cover
March 2012 Volume 3 Issue 3

Full Size Image

Sign up for eToc alerts
Recommend to Library

Journals

International Journal of Molecular Medicine

International Journal of Molecular Medicine

International Journal of Molecular Medicine is an international journal devoted to molecular mechanisms of human disease.

International Journal of Oncology

International Journal of Oncology

International Journal of Oncology is an international journal devoted to oncology research and cancer treatment.

Molecular Medicine Reports

Molecular Medicine Reports

Covers molecular medicine topics such as pharmacology, pathology, genetics, neuroscience, infectious diseases, molecular cardiology, and molecular surgery.

Oncology Reports

Oncology Reports

Oncology Reports is an international journal devoted to fundamental and applied research in Oncology.

Experimental and Therapeutic Medicine

Experimental and Therapeutic Medicine

Experimental and Therapeutic Medicine is an international journal devoted to laboratory and clinical medicine.

Oncology Letters

Oncology Letters

Oncology Letters is an international journal devoted to Experimental and Clinical Oncology.

Biomedical Reports

Biomedical Reports

Explores a wide range of biological and medical fields, including pharmacology, genetics, microbiology, neuroscience, and molecular cardiology.

Molecular and Clinical Oncology

Molecular and Clinical Oncology

International journal addressing all aspects of oncology research, from tumorigenesis and oncogenes to chemotherapy and metastasis.

World Academy of Sciences Journal

World Academy of Sciences Journal

Multidisciplinary open-access journal spanning biochemistry, genetics, neuroscience, environmental health, and synthetic biology.

International Journal of Functional Nutrition

International Journal of Functional Nutrition

Open-access journal combining biochemistry, pharmacology, immunology, and genetics to advance health through functional nutrition.

International Journal of Epigenetics

International Journal of Epigenetics

Publishes open-access research on using epigenetics to advance understanding and treatment of human disease.

Medicine International

Medicine International

An International Open Access Journal Devoted to General Medicine.

Journal Cover
March 2012 Volume 3 Issue 3

Full Size Image

Sign up for eToc alerts
Recommend to Library

  • Article
  • Citations
    • Cite This Article
    • Download Citation
    • Create Citation Alert
    • Remove Citation Alert
    • Cited By
  • Similar Articles
    • Related Articles (in Spandidos Publications)
    • Similar Articles (Google Scholar)
    • Similar Articles (PubMed)
  • Download PDF
  • Download XML
  • View XML
Article

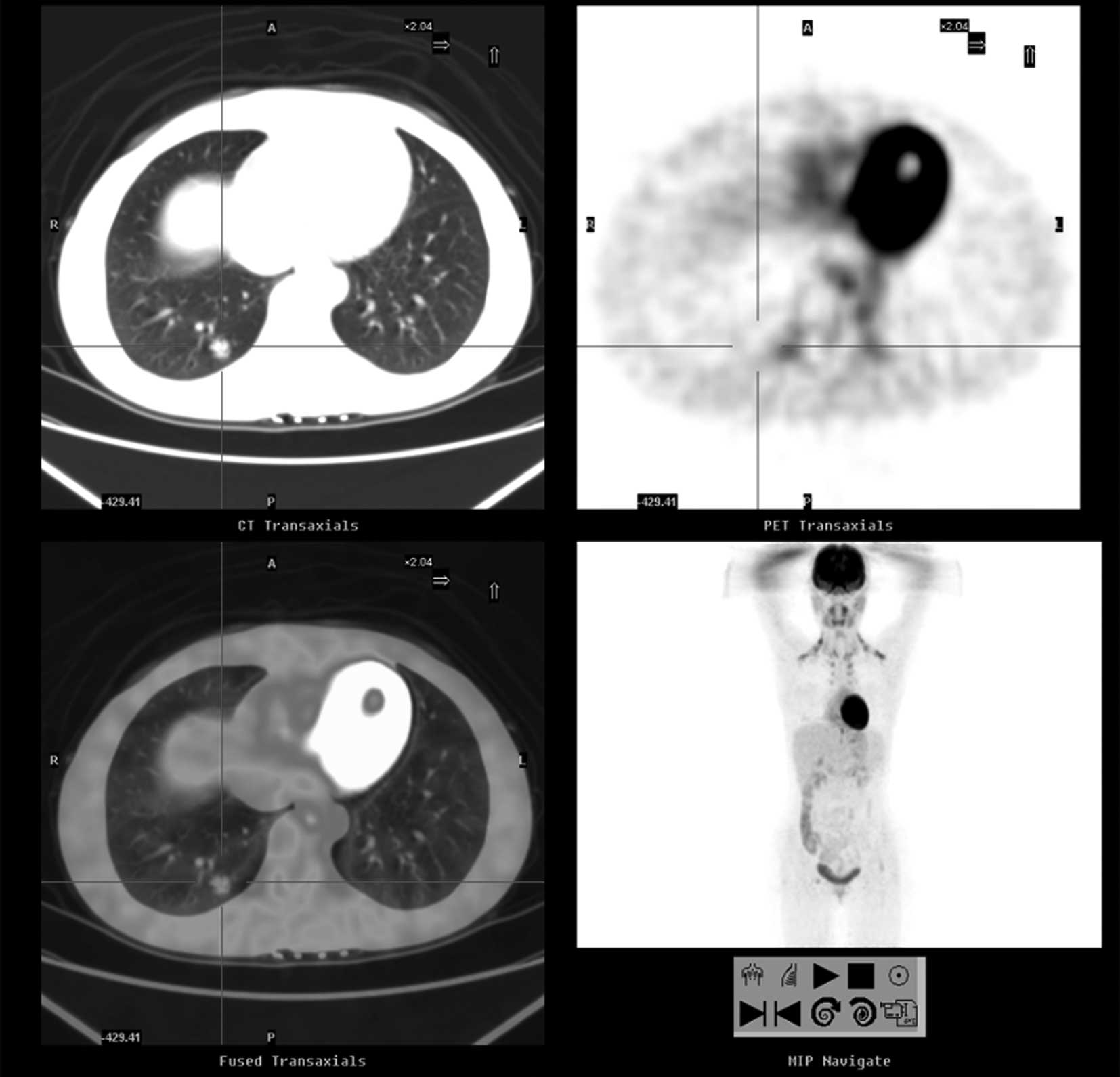
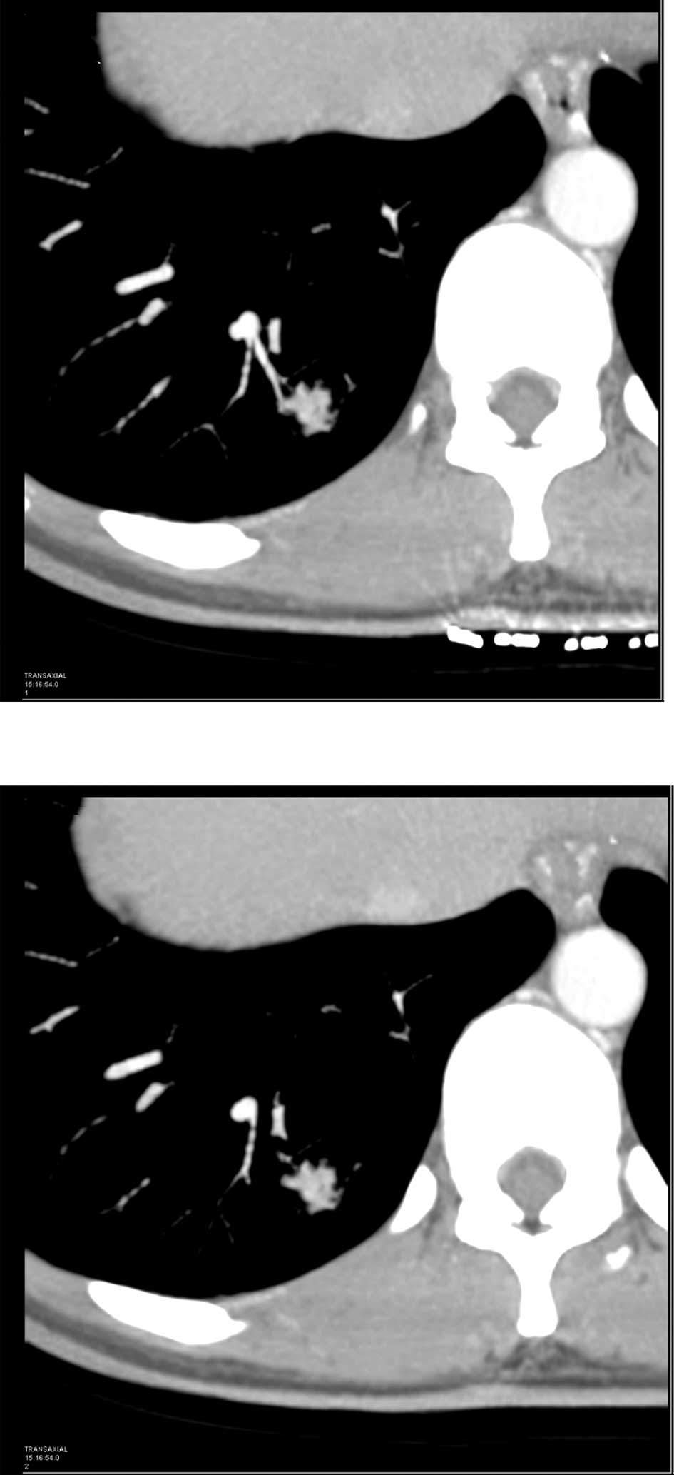
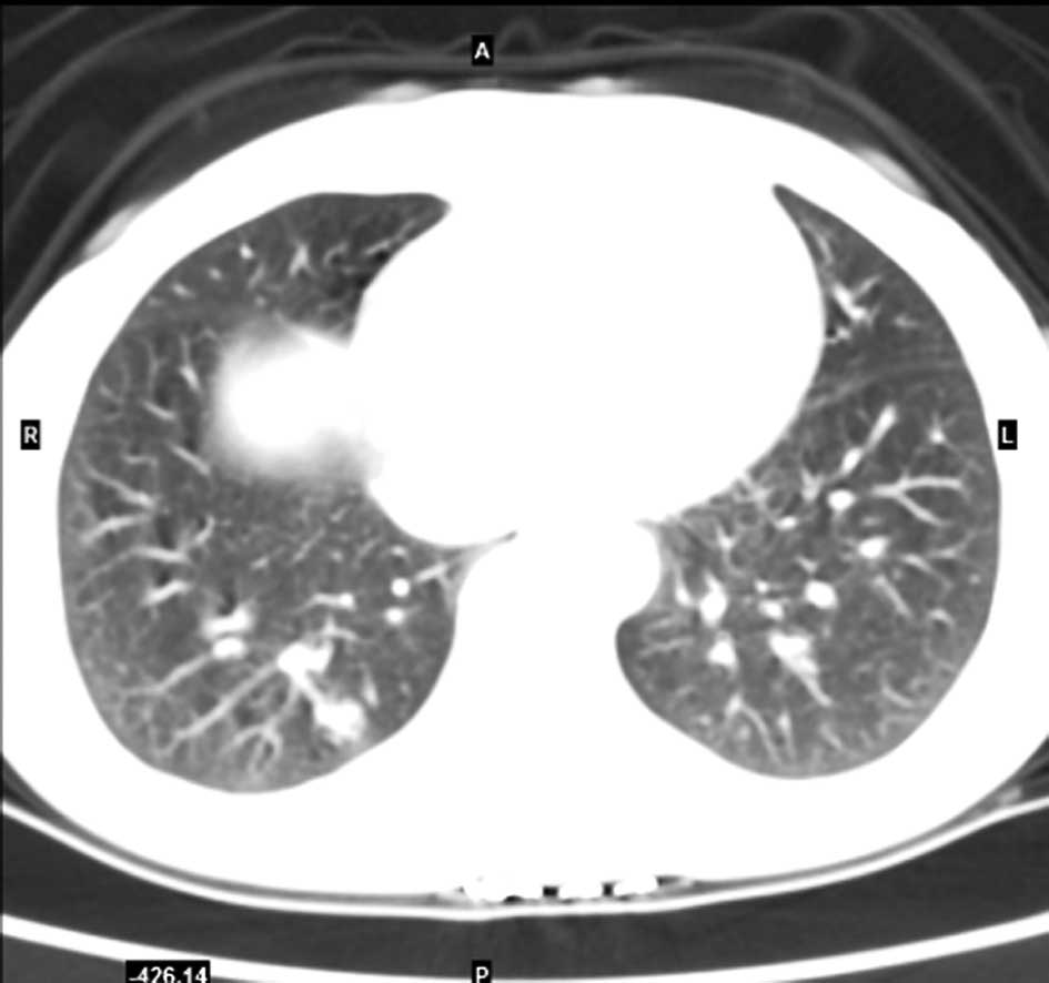
A case of pulmonary sclerosing hemangioma with low 18FDG uptake in PET

  • Authors:
    • Qingyong Chen
    • Li Jun Wu
    • Huizhen Hu
    • Jia Song
    • Yuquan Wu
    • Jie Yan
    • Jianguo Shi
  • View Affiliations / Copyright

    Affiliations: Department of Respiratory Oncology, The 117th Hospital of PLA, Hangzhou 310013, P.R. China, Department of Thoracic Surgery, The 117th Hospital of PLA, Hangzhou 310013, P.R. China, Department of Nuclear Medicine, The 117th Hospital of PLA, Hangzhou 310013, P.R. China
  • Pages: 646-648
    |
    Published online on: December 14, 2011
       https://doi.org/10.3892/ol.2011.524
  • Expand metrics +
Metrics: Total Views: 0 (Spandidos Publications: | PMC Statistics: )
Metrics: Total PDF Downloads: 0 (Spandidos Publications: | PMC Statistics: )
Cited By (CrossRef): 0 citations Loading Articles...

This article is mentioned in:



Abstract

Pulmonary sclerosing hemangioma (PSH) is a relatively rare benign neoplasm, often asymptomatic and presenting as a solitary pulmonary nodule on radiological imaging studies. In the present case report, we examined a case of PSH in a young adult female, and reviewed the literature pertaining to PSH with an emphasis on 18F-fluorodeoxyglucose positron emission tomography/computed tomography (18FDG PET/‌CT) and pathology. Immunohistochemical staining was also performed to confirm the diagnosis of sclerosing hemangioma. The results revealed that the tumor cells were immunopositive for epithelial membrane antigen, thyroid transcription factor-1 and vimentin and cytoskeleton 7. The patient recovered and was discharged. Thus, 18FDG PET/CT may be used in the diagnosis of a solitary benign pulmonary nodule.
View Figures

Figure 1

Figure 2

Figure 3

Figure 4

View References

1 

Liebow AA and Hubbell DS: Sclerosing hemangioma (histiocytoma, xanthoma) of the lung. Cancer. 9:53–75. 1956. View Article : Google Scholar : PubMed/NCBI

2 

Devouassoux-Shisheboran M, Hayashi T, Linnoila RI, Koss MN and Travis WD: A clinicopathologic study of 100 cases of pulmonary sclerosing hemangioma with immunohistochemical studies: TTF-1 is expressed in both round and surface cells, suggesting an origin from primitive respiratory epithelium. Am J Surg Pathol. 24:906–916. 2000. View Article : Google Scholar

3 

Sugio K, Yokoyama H, Kaneko S, Ishida T and Sugimachi K: Sclerosing hemangioma of the lung: radiographic and pathological study. Ann Thorac Surg. 53:295–300. 1992. View Article : Google Scholar : PubMed/NCBI

4 

Iyoda A, Hiroshima K, Shiba M, et al: Clinicopathological analysis of pulmonary sclerosing hemangioma. Ann Thorac Surg. 78:1928–1931. 2004. View Article : Google Scholar

5 

Komatsu T, Fukuse T, Wada H and Sakurai T: Pulmonary sclerosing hemangioma with pulmonary metastasis. Thorac Cardiovasc Surg. 54:348–349. 2006. View Article : Google Scholar : PubMed/NCBI

6 

Miyagawa-Hayashino A, Tazelaar HD, Langel DJ and Colby TV: Pulmonary sclerosing hemangioma with lymph node metastases: report of 4 cases. Arch Pathol Lab Med. 127:321–325. 2003.PubMed/NCBI

7 

Noguchi M, Kodama T, Morinaga S, Shimosato Y, Saito T and Tsuboi E: Multiple sclerosing hemangiomas of the lung. Am J Surg Pathol. 10:429–435. 1986. View Article : Google Scholar : PubMed/NCBI

8 

Hara M, Iida A, Tohyama J, et al: FDG-PET findings in sclerosing hemangioma of the lung: a case report. Radiat Med. 19:215–218. 2001.PubMed/NCBI

9 

De Koning DB, Drenth JP, Oyen WJ, Wagenaar M, Aliredjo RP and Nagengast FM: Pulmonary sclerosing hemangioma detected by fluorodeoxyglucose positron emission tomography in familial adenomatous polyposis: report of a case. Dis Colon Rectum. 50:1987–1991. 2007.

10 

Hsu PK, Cheng HF, Yeh YC, Wu YC and Hsu WH: Pulmonary sclerosing haemangioma mimicking lung cancer on PET scan. Respirology. 14:903–906. 2009. View Article : Google Scholar : PubMed/NCBI

11 

Im JG, Kim WH, Han MC, et al: Sclerosing hemangiomas of the lung and interlobar fissures: CT findings. J Comput Assist Tomogr. 18:34–38. 1994. View Article : Google Scholar : PubMed/NCBI

12 

Fujiyoshi F, Ichinari N, Fukukura Y, Sasaki M, Hiraki Y and Nakajo M: Sclerosing hemangioma of the lung: MR findings and correlation with pathological features. J Comput Assist Tomogr. 22:1006–1008. 1998. View Article : Google Scholar : PubMed/NCBI

13 

Wang E, Lin D, Wang Y, Wu G and Yuan X: Immunohistochemical and ultrastructural markers suggest different origins for cuboidal and polygonal cells in pulmonary sclerosing hemangioma. Hum Pathol. 35:503–508. 2004. View Article : Google Scholar : PubMed/NCBI

Related Articles

  • Abstract
  • View
  • Download
  • Twitter
Copy and paste a formatted citation
Spandidos Publications style
Chen Q, Wu L, Hu H, Song J, Wu Y, Yan J and Shi J: A case of pulmonary sclerosing hemangioma with low 18FDG uptake in PET. Oncol Lett 3: 646-648, 2012.
APA
Chen, Q., Wu, L., Hu, H., Song, J., Wu, Y., Yan, J., & Shi, J. (2012). A case of pulmonary sclerosing hemangioma with low 18FDG uptake in PET. Oncology Letters, 3, 646-648. https://doi.org/10.3892/ol.2011.524
MLA
Chen, Q., Wu, L., Hu, H., Song, J., Wu, Y., Yan, J., Shi, J."A case of pulmonary sclerosing hemangioma with low 18FDG uptake in PET". Oncology Letters 3.3 (2012): 646-648.
Chicago
Chen, Q., Wu, L., Hu, H., Song, J., Wu, Y., Yan, J., Shi, J."A case of pulmonary sclerosing hemangioma with low 18FDG uptake in PET". Oncology Letters 3, no. 3 (2012): 646-648. https://doi.org/10.3892/ol.2011.524
Copy and paste a formatted citation
x
Spandidos Publications style
Chen Q, Wu L, Hu H, Song J, Wu Y, Yan J and Shi J: A case of pulmonary sclerosing hemangioma with low 18FDG uptake in PET. Oncol Lett 3: 646-648, 2012.
APA
Chen, Q., Wu, L., Hu, H., Song, J., Wu, Y., Yan, J., & Shi, J. (2012). A case of pulmonary sclerosing hemangioma with low 18FDG uptake in PET. Oncology Letters, 3, 646-648. https://doi.org/10.3892/ol.2011.524
MLA
Chen, Q., Wu, L., Hu, H., Song, J., Wu, Y., Yan, J., Shi, J."A case of pulmonary sclerosing hemangioma with low 18FDG uptake in PET". Oncology Letters 3.3 (2012): 646-648.
Chicago
Chen, Q., Wu, L., Hu, H., Song, J., Wu, Y., Yan, J., Shi, J."A case of pulmonary sclerosing hemangioma with low 18FDG uptake in PET". Oncology Letters 3, no. 3 (2012): 646-648. https://doi.org/10.3892/ol.2011.524
Follow us
  • Twitter
  • LinkedIn
  • Facebook
About
  • Spandidos Publications
  • Careers
  • Cookie Policy
  • Privacy Policy
How can we help?
  • Help
  • Live Chat
  • Contact
  • Email to our Support Team