Spandidos Publications Logo
  • About
    • About Spandidos
    • Aims and Scopes
    • Abstracting and Indexing
    • Editorial Policies
    • Reprints and Permissions
    • Job Opportunities
    • Terms and Conditions
    • Contact
  • Journals
    • All Journals
    • Oncology Letters
      • Oncology Letters
      • Information for Authors
      • Editorial Policies
      • Editorial Board
      • Aims and Scope
      • Abstracting and Indexing
      • Bibliographic Information
      • Archive
    • International Journal of Oncology
      • International Journal of Oncology
      • Information for Authors
      • Editorial Policies
      • Editorial Board
      • Aims and Scope
      • Abstracting and Indexing
      • Bibliographic Information
      • Archive
    • Molecular and Clinical Oncology
      • Molecular and Clinical Oncology
      • Information for Authors
      • Editorial Policies
      • Editorial Board
      • Aims and Scope
      • Abstracting and Indexing
      • Bibliographic Information
      • Archive
    • Experimental and Therapeutic Medicine
      • Experimental and Therapeutic Medicine
      • Information for Authors
      • Editorial Policies
      • Editorial Board
      • Aims and Scope
      • Abstracting and Indexing
      • Bibliographic Information
      • Archive
    • International Journal of Molecular Medicine
      • International Journal of Molecular Medicine
      • Information for Authors
      • Editorial Policies
      • Editorial Board
      • Aims and Scope
      • Abstracting and Indexing
      • Bibliographic Information
      • Archive
    • Biomedical Reports
      • Biomedical Reports
      • Information for Authors
      • Editorial Policies
      • Editorial Board
      • Aims and Scope
      • Abstracting and Indexing
      • Bibliographic Information
      • Archive
    • Oncology Reports
      • Oncology Reports
      • Information for Authors
      • Editorial Policies
      • Editorial Board
      • Aims and Scope
      • Abstracting and Indexing
      • Bibliographic Information
      • Archive
    • Molecular Medicine Reports
      • Molecular Medicine Reports
      • Information for Authors
      • Editorial Policies
      • Editorial Board
      • Aims and Scope
      • Abstracting and Indexing
      • Bibliographic Information
      • Archive
    • World Academy of Sciences Journal
      • World Academy of Sciences Journal
      • Information for Authors
      • Editorial Policies
      • Editorial Board
      • Aims and Scope
      • Abstracting and Indexing
      • Bibliographic Information
      • Archive
    • International Journal of Functional Nutrition
      • International Journal of Functional Nutrition
      • Information for Authors
      • Editorial Policies
      • Editorial Board
      • Aims and Scope
      • Abstracting and Indexing
      • Bibliographic Information
      • Archive
    • International Journal of Epigenetics
      • International Journal of Epigenetics
      • Information for Authors
      • Editorial Policies
      • Editorial Board
      • Aims and Scope
      • Abstracting and Indexing
      • Bibliographic Information
      • Archive
    • Medicine International
      • Medicine International
      • Information for Authors
      • Editorial Policies
      • Editorial Board
      • Aims and Scope
      • Abstracting and Indexing
      • Bibliographic Information
      • Archive
  • Articles
  • Information
    • Information for Authors
    • Information for Reviewers
    • Information for Librarians
    • Information for Advertisers
    • Conferences
  • Language Editing
Spandidos Publications Logo
  • About
    • About Spandidos
    • Aims and Scopes
    • Abstracting and Indexing
    • Editorial Policies
    • Reprints and Permissions
    • Job Opportunities
    • Terms and Conditions
    • Contact
  • Journals
    • All Journals
    • Biomedical Reports
      • Information for Authors
      • Editorial Policies
      • Editorial Board
      • Aims and Scope
      • Abstracting and Indexing
      • Bibliographic Information
      • Archive
    • Experimental and Therapeutic Medicine
      • Information for Authors
      • Editorial Policies
      • Editorial Board
      • Aims and Scope
      • Abstracting and Indexing
      • Bibliographic Information
      • Archive
    • International Journal of Epigenetics
      • Information for Authors
      • Editorial Policies
      • Editorial Board
      • Aims and Scope
      • Abstracting and Indexing
      • Bibliographic Information
      • Archive
    • International Journal of Functional Nutrition
      • Information for Authors
      • Editorial Policies
      • Editorial Board
      • Aims and Scope
      • Abstracting and Indexing
      • Bibliographic Information
      • Archive
    • International Journal of Molecular Medicine
      • Information for Authors
      • Editorial Policies
      • Editorial Board
      • Aims and Scope
      • Abstracting and Indexing
      • Bibliographic Information
      • Archive
    • International Journal of Oncology
      • Information for Authors
      • Editorial Policies
      • Editorial Board
      • Aims and Scope
      • Abstracting and Indexing
      • Bibliographic Information
      • Archive
    • Medicine International
      • Information for Authors
      • Editorial Policies
      • Editorial Board
      • Aims and Scope
      • Abstracting and Indexing
      • Bibliographic Information
      • Archive
    • Molecular and Clinical Oncology
      • Information for Authors
      • Editorial Policies
      • Editorial Board
      • Aims and Scope
      • Abstracting and Indexing
      • Bibliographic Information
      • Archive
    • Molecular Medicine Reports
      • Information for Authors
      • Editorial Policies
      • Editorial Board
      • Aims and Scope
      • Abstracting and Indexing
      • Bibliographic Information
      • Archive
    • Oncology Letters
      • Information for Authors
      • Editorial Policies
      • Editorial Board
      • Aims and Scope
      • Abstracting and Indexing
      • Bibliographic Information
      • Archive
    • Oncology Reports
      • Information for Authors
      • Editorial Policies
      • Editorial Board
      • Aims and Scope
      • Abstracting and Indexing
      • Bibliographic Information
      • Archive
    • World Academy of Sciences Journal
      • Information for Authors
      • Editorial Policies
      • Editorial Board
      • Aims and Scope
      • Abstracting and Indexing
      • Bibliographic Information
      • Archive
  • Articles
  • Information
    • For Authors
    • For Reviewers
    • For Librarians
    • For Advertisers
    • Conferences
  • Language Editing
Login Register Submit
  • This site uses cookies
  • You can change your cookie settings at any time by following the instructions in our Cookie Policy. To find out more, you may read our Privacy Policy.

    I agree
Search articles by DOI, keyword, author or affiliation
Search
Advanced Search
presentation
Oncology Letters
Join Editorial Board Propose a Special Issue
Print ISSN: 1792-1074 Online ISSN: 1792-1082
Journal Cover
March 2012 Volume 3 Issue 3

Full Size Image

Sign up for eToc alerts
Recommend to Library

Journals

International Journal of Molecular Medicine

International Journal of Molecular Medicine

International Journal of Molecular Medicine is an international journal devoted to molecular mechanisms of human disease.

International Journal of Oncology

International Journal of Oncology

International Journal of Oncology is an international journal devoted to oncology research and cancer treatment.

Molecular Medicine Reports

Molecular Medicine Reports

Covers molecular medicine topics such as pharmacology, pathology, genetics, neuroscience, infectious diseases, molecular cardiology, and molecular surgery.

Oncology Reports

Oncology Reports

Oncology Reports is an international journal devoted to fundamental and applied research in Oncology.

Experimental and Therapeutic Medicine

Experimental and Therapeutic Medicine

Experimental and Therapeutic Medicine is an international journal devoted to laboratory and clinical medicine.

Oncology Letters

Oncology Letters

Oncology Letters is an international journal devoted to Experimental and Clinical Oncology.

Biomedical Reports

Biomedical Reports

Explores a wide range of biological and medical fields, including pharmacology, genetics, microbiology, neuroscience, and molecular cardiology.

Molecular and Clinical Oncology

Molecular and Clinical Oncology

International journal addressing all aspects of oncology research, from tumorigenesis and oncogenes to chemotherapy and metastasis.

World Academy of Sciences Journal

World Academy of Sciences Journal

Multidisciplinary open-access journal spanning biochemistry, genetics, neuroscience, environmental health, and synthetic biology.

International Journal of Functional Nutrition

International Journal of Functional Nutrition

Open-access journal combining biochemistry, pharmacology, immunology, and genetics to advance health through functional nutrition.

International Journal of Epigenetics

International Journal of Epigenetics

Publishes open-access research on using epigenetics to advance understanding and treatment of human disease.

Medicine International

Medicine International

An International Open Access Journal Devoted to General Medicine.

Journal Cover
March 2012 Volume 3 Issue 3

Full Size Image

Sign up for eToc alerts
Recommend to Library

  • Article
  • Citations
    • Cite This Article
    • Download Citation
    • Create Citation Alert
    • Remove Citation Alert
    • Cited By
  • Similar Articles
    • Related Articles (in Spandidos Publications)
    • Similar Articles (Google Scholar)
    • Similar Articles (PubMed)
  • Download PDF
  • Download XML
  • View XML
Article

Orexin 2 receptor as a potential target for immunotoxin and antibody-drug conjugate cancer therapy

  • Authors:
    • Masato Kishida
    • Kazunori Ishige
    • Tomohisa Horibe
    • Noriko Tada
    • Nobutaka  Koibuchi
    • Junichi Shoda
    • Kiyoshi Kita
    • Koji Kawakami
  • View Affiliations / Copyright

    Affiliations: Department of Biomedical Chemistry, Graduate school of Medicine, The University of Tokyo, Tokyo 113‑0033, Japan, Department of Gastroenterology and Hepatology, Institute of Clinical Medicine, University of Tsukuba, Tsukuba 305-8575, Japan, Department of Pharmacoepidemiology, Graduate School of Medicine and Public Health, Kyoto University, Kyoto 606-8501, Japan, Department of Pharmacoepidemiology, Graduate School of Medicine and Public Health, Kyoto University, Kyoto 606-8501, Japan, Department of Pharmacology and Molecular Therapeutics, Kumamoto University Graduate School of Medical Sciences, Kamamoto 860-8556, Japan, Department of Gastroenterology and Hepatology, Institute of Clinical Medicine, University of Tsukuba, Tsukuba 305-8575, Japan
  • Pages: 525-529
    |
    Published online on: December 19, 2011
       https://doi.org/10.3892/ol.2011.528
  • Expand metrics +
Metrics: Total Views: 0 (Spandidos Publications: | PMC Statistics: )
Metrics: Total PDF Downloads: 0 (Spandidos Publications: | PMC Statistics: )
Cited By (CrossRef): 0 citations Loading Articles...

This article is mentioned in:



Abstract

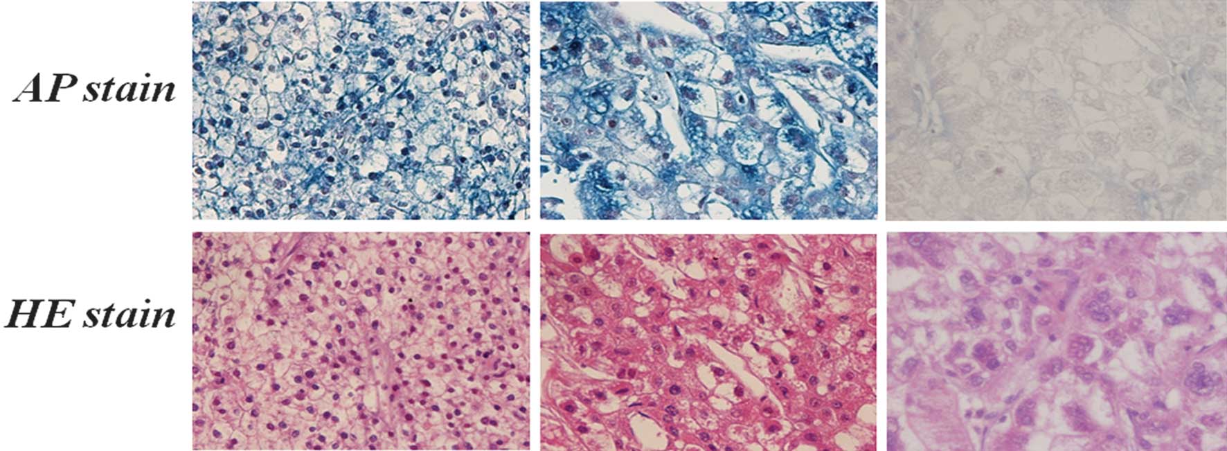
Targeting tumor-specific receptors is a promising approach for cytotoxic agents. The orexin 2 receptor (OX2R) has reportedly been expressed in a few types of cancer, but not in normal, cells. This study aimed to explore and assess the expression levels of OX2R in a wide range of cancer cell lines and clinical samples to identify its localization. To analyze OX2R expression, we developed a polyclonal antibody specific to OX2R by immunizing two rabbits with a peptide cocktail. A total of 36 cancer cell lines were employed for reverse transcription polymerase chain reaction (RT-PCR) and western blot analysis, and 221 samples from various tissue arrays were used for the immunohistochemistry of OX2R expression. OX2R was identified in three cancerous cell lines, from the gallbladder, squamous cell carcinoma of the head and neck (SCCHN) and glioblastoma. With clinical samples of tissue arrays, 69/221 (31.2%) samples reacted positively with the OX2R antibody. We confirmed its presence on the cell membrane. In conclusion, OX2R was identified on several cancer cells as well as clinical samples. Further studies with larger numbers of clinical samples are required to confirm the statistical significance of the presence and relationships of OX2R with tumor histology. Results of the current study suggested that OX2R is a potent target for immunotoxin or antibody-drug conjugate (ADC) cancer therapy on OX2R-positive cancer cells.
View Figures

Figure 1

Figure 2

Figure 3

View References

1 

Hickman JA: Apoptosis induced by anticancer drugs. Cancer Metastasis Rev. 11:121–139. 1992. View Article : Google Scholar : PubMed/NCBI

2 

Andersson A, Fagerberg J, Lewensohn R and Ehrsson H: Pharmacokinetics of cisplatin and its monohydrated complex in humans. J Pharm Sci. 85:824–827. 1996. View Article : Google Scholar : PubMed/NCBI

3 

Szakacs G, Paterson JK, Ludwig JA, Booth-Genthe C and Gottesman MM: Targeting multidrug resistance in cancer. Nat Rev Drug Discov. 5:219–234. 2006. View Article : Google Scholar : PubMed/NCBI

4 

Wilson TR, Longley DB and Johnston PG: Chemoresistance in solid tumours. Ann Oncol. 17:315–324. 2006. View Article : Google Scholar

5 

Sharom FJ: ABC multidrug transporters: structure, function and role in chemoresistance. Pharmacogenomics. 9:105–127. 2008. View Article : Google Scholar : PubMed/NCBI

6 

Izumi H, Torigoe T, Ishiguchi H, Uramoto H, Yoshida Y, Tanabe M, et al: Cellular pH regulators: potentially promising molecular targets for cancer chemotherapy. Cancer Treat Rev. 29:541–549. 2003. View Article : Google Scholar : PubMed/NCBI

7 

Husain I, Mohler JL, Seigler HF and Besterman JM: Elevation of topoisomerase I messenger RNA, protein, and catalytic activity in human tumors: demonstration of tumor-type specificity and implications for cancer chemotherapy. Cancer Res. 54:539–546. 1994.PubMed/NCBI

8 

Liu H, Savaraj N, Priebe W and Lampidis TJ: Hypoxia increases tumor cell sensitivity to glycolytic inhibitors: a strategy for solid tumor therapy (Model C). Biochem Pharmacol. 64:1745–1751. 2002. View Article : Google Scholar : PubMed/NCBI

9 

Boon T and Old LJ: Cancer Tumor antigens. Current Opinion in Immunology. 9:681–683. 1997. View Article : Google Scholar

10 

Singh Y, Palombo M and Sinko PJ: Recent trends in targeted anticancer prodrug and conjugate design. Curr Med Chem. 15:1802–1826. 2008. View Article : Google Scholar : PubMed/NCBI

11 

Koji K, Oumi N, Ryuichi M and Ryozo N: Targeted anticancer immunotoxins and cytotoxic agents with direct killing moieites. Sci World J. 6:781–790. 2006. View Article : Google Scholar : PubMed/NCBI

12 

Ohara H, Hasegawa Y, Kawabe T, Ichiyama S, Hara T, Shimono Y, et al: Effect of gene transfer of tumor necrosis factor receptors into human lung carcinoma cell line. Jpn J Cancer Res. 89:589–595. 1998. View Article : Google Scholar : PubMed/NCBI

13 

Sakurai T, Amemiya A, Ishii M, Matsuzaki I, Chemelli RM, Tanaka H, et al: Orexins and orexin receptors: a family of hypothalamic neuropeptides and G protein-coupled receptors that regulate feeding behavior. Cell. 92:573–585. 1998. View Article : Google Scholar

14 

Peyron C, Faraco J, Rogers W, Ripley B, Overeem S, Charnay Y, et al: A mutation in a case of early onset narcolepsy and a generalized absence of hypocretin peptides in human narcoleptic brains. Nat Med. 9:991–997. 2000.PubMed/NCBI

15 

Thannickal TC, Moore R, Nienhuis R, Ramanathan L, Gulyani S, Aldrich M, et al: Reduced number of hypocretin neurons in human narcolepsy. Neuron. 27:469–474. 2000. View Article : Google Scholar : PubMed/NCBI

16 

Nambu T, Sakurai T, Mizukami K, Hosoya Y, Yanagisawa M and Goto K: Distribution of orexin neurons in the adult rat brain. Brain Res. 827:243–260. 1999. View Article : Google Scholar : PubMed/NCBI

17 

Rouet-Benzineb P, Rouyer-Fessard C, Avondo V, Pouzet C, Yanagisawa M, et al: Orexin acting at native OX1 receptor in colon cancer and neuroblastoma cells or at recombinant OX1 receptor suppress cell growth by inducing apoptosis. J Biological Chem. 279:45875–45886. 2004. View Article : Google Scholar : PubMed/NCBI

18 

Spinazzi R, Rucinski M, Neri G, Malendowicz LK and Nussdorfer GG: Preproorexin and orexin receptors are expressed in cortisol-secreting adrenocortical adenomas, and orexins stimulate in vitro cortisol secretion and growth of tumor cells. J Clin Endocrinol Metab. 90:3544–3549. 2005. View Article : Google Scholar

19 

Karteris E, Chen J and Randeva H: Expression of human prepro-orexin and signaling characteristics of orexin receptors in the male reproductive system. J Clin Endocrinol Metab. 89:1957–1962. 2004. View Article : Google Scholar : PubMed/NCBI

20 

Digby JE, Chen J, Tang JY, Lehnert H, Matthews RN and Randeva HS: Orexin receptor expression in human adipose tissue: effects of orexin-A and orexin-B. J Endocrinology. 191:129–136. 2006. View Article : Google Scholar : PubMed/NCBI

21 

Reiter Y: Recombinant immunotoxins in targeted cancer cell therapy. Adv Cancer Res. 81:93–124. 2001. View Article : Google Scholar : PubMed/NCBI

22 

Pastan I, Chaudhary V and FitzGerald DJ: Recombinant toxins as novel therapeutic agents. Annu Rev Biochem. 61:331–354. 1992. View Article : Google Scholar : PubMed/NCBI

23 

Johnson DA and Laguzza BC: Antitumor xenograft activity with a conjugate of a Vinca derivative and the squamous carcinoma-reactive monoclonal antibody PF1/D. Cancer Res. 47:3118–3122. 1987.PubMed/NCBI

24 

Levin VA: Relationship of octanol/water partition coefficient and molecular weight to rat brain capillary permeability. J Med Chem. 23:682–684. 1992. View Article : Google Scholar : PubMed/NCBI

25 

Sun H, Dai H, Shaik N and Elmquist WE: Drug efflux transporters in the CNS. Adv Drug Delivery Rev. 55:83–105. 2003. View Article : Google Scholar

Related Articles

  • Abstract
  • View
  • Download
  • Twitter
Copy and paste a formatted citation
Spandidos Publications style
Kishida M, Ishige K, Horibe T, Tada N, Koibuchi N, Shoda J, Kita K and Kawakami K: Orexin 2 receptor as a potential target for immunotoxin and antibody-drug conjugate cancer therapy. Oncol Lett 3: 525-529, 2012.
APA
Kishida, M., Ishige, K., Horibe, T., Tada, N., Koibuchi, N., Shoda, J. ... Kawakami, K. (2012). Orexin 2 receptor as a potential target for immunotoxin and antibody-drug conjugate cancer therapy. Oncology Letters, 3, 525-529. https://doi.org/10.3892/ol.2011.528
MLA
Kishida, M., Ishige, K., Horibe, T., Tada, N., Koibuchi, N., Shoda, J., Kita, K., Kawakami, K."Orexin 2 receptor as a potential target for immunotoxin and antibody-drug conjugate cancer therapy". Oncology Letters 3.3 (2012): 525-529.
Chicago
Kishida, M., Ishige, K., Horibe, T., Tada, N., Koibuchi, N., Shoda, J., Kita, K., Kawakami, K."Orexin 2 receptor as a potential target for immunotoxin and antibody-drug conjugate cancer therapy". Oncology Letters 3, no. 3 (2012): 525-529. https://doi.org/10.3892/ol.2011.528
Copy and paste a formatted citation
x
Spandidos Publications style
Kishida M, Ishige K, Horibe T, Tada N, Koibuchi N, Shoda J, Kita K and Kawakami K: Orexin 2 receptor as a potential target for immunotoxin and antibody-drug conjugate cancer therapy. Oncol Lett 3: 525-529, 2012.
APA
Kishida, M., Ishige, K., Horibe, T., Tada, N., Koibuchi, N., Shoda, J. ... Kawakami, K. (2012). Orexin 2 receptor as a potential target for immunotoxin and antibody-drug conjugate cancer therapy. Oncology Letters, 3, 525-529. https://doi.org/10.3892/ol.2011.528
MLA
Kishida, M., Ishige, K., Horibe, T., Tada, N., Koibuchi, N., Shoda, J., Kita, K., Kawakami, K."Orexin 2 receptor as a potential target for immunotoxin and antibody-drug conjugate cancer therapy". Oncology Letters 3.3 (2012): 525-529.
Chicago
Kishida, M., Ishige, K., Horibe, T., Tada, N., Koibuchi, N., Shoda, J., Kita, K., Kawakami, K."Orexin 2 receptor as a potential target for immunotoxin and antibody-drug conjugate cancer therapy". Oncology Letters 3, no. 3 (2012): 525-529. https://doi.org/10.3892/ol.2011.528
Follow us
  • Twitter
  • LinkedIn
  • Facebook
About
  • Spandidos Publications
  • Careers
  • Cookie Policy
  • Privacy Policy
How can we help?
  • Help
  • Live Chat
  • Contact
  • Email to our Support Team