Spandidos Publications Logo
  • About
    • About Spandidos
    • Aims and Scopes
    • Abstracting and Indexing
    • Editorial Policies
    • Reprints and Permissions
    • Job Opportunities
    • Terms and Conditions
    • Contact
  • Journals
    • All Journals
    • Oncology Letters
      • Oncology Letters
      • Information for Authors
      • Editorial Policies
      • Editorial Board
      • Aims and Scope
      • Abstracting and Indexing
      • Bibliographic Information
      • Archive
    • International Journal of Oncology
      • International Journal of Oncology
      • Information for Authors
      • Editorial Policies
      • Editorial Board
      • Aims and Scope
      • Abstracting and Indexing
      • Bibliographic Information
      • Archive
    • Molecular and Clinical Oncology
      • Molecular and Clinical Oncology
      • Information for Authors
      • Editorial Policies
      • Editorial Board
      • Aims and Scope
      • Abstracting and Indexing
      • Bibliographic Information
      • Archive
    • Experimental and Therapeutic Medicine
      • Experimental and Therapeutic Medicine
      • Information for Authors
      • Editorial Policies
      • Editorial Board
      • Aims and Scope
      • Abstracting and Indexing
      • Bibliographic Information
      • Archive
    • International Journal of Molecular Medicine
      • International Journal of Molecular Medicine
      • Information for Authors
      • Editorial Policies
      • Editorial Board
      • Aims and Scope
      • Abstracting and Indexing
      • Bibliographic Information
      • Archive
    • Biomedical Reports
      • Biomedical Reports
      • Information for Authors
      • Editorial Policies
      • Editorial Board
      • Aims and Scope
      • Abstracting and Indexing
      • Bibliographic Information
      • Archive
    • Oncology Reports
      • Oncology Reports
      • Information for Authors
      • Editorial Policies
      • Editorial Board
      • Aims and Scope
      • Abstracting and Indexing
      • Bibliographic Information
      • Archive
    • Molecular Medicine Reports
      • Molecular Medicine Reports
      • Information for Authors
      • Editorial Policies
      • Editorial Board
      • Aims and Scope
      • Abstracting and Indexing
      • Bibliographic Information
      • Archive
    • World Academy of Sciences Journal
      • World Academy of Sciences Journal
      • Information for Authors
      • Editorial Policies
      • Editorial Board
      • Aims and Scope
      • Abstracting and Indexing
      • Bibliographic Information
      • Archive
    • International Journal of Functional Nutrition
      • International Journal of Functional Nutrition
      • Information for Authors
      • Editorial Policies
      • Editorial Board
      • Aims and Scope
      • Abstracting and Indexing
      • Bibliographic Information
      • Archive
    • International Journal of Epigenetics
      • International Journal of Epigenetics
      • Information for Authors
      • Editorial Policies
      • Editorial Board
      • Aims and Scope
      • Abstracting and Indexing
      • Bibliographic Information
      • Archive
    • Medicine International
      • Medicine International
      • Information for Authors
      • Editorial Policies
      • Editorial Board
      • Aims and Scope
      • Abstracting and Indexing
      • Bibliographic Information
      • Archive
  • Articles
  • Information
    • Information for Authors
    • Information for Reviewers
    • Information for Librarians
    • Information for Advertisers
    • Conferences
  • Language Editing
Spandidos Publications Logo
  • About
    • About Spandidos
    • Aims and Scopes
    • Abstracting and Indexing
    • Editorial Policies
    • Reprints and Permissions
    • Job Opportunities
    • Terms and Conditions
    • Contact
  • Journals
    • All Journals
    • Biomedical Reports
      • Information for Authors
      • Editorial Policies
      • Editorial Board
      • Aims and Scope
      • Abstracting and Indexing
      • Bibliographic Information
      • Archive
    • Experimental and Therapeutic Medicine
      • Information for Authors
      • Editorial Policies
      • Editorial Board
      • Aims and Scope
      • Abstracting and Indexing
      • Bibliographic Information
      • Archive
    • International Journal of Epigenetics
      • Information for Authors
      • Editorial Policies
      • Editorial Board
      • Aims and Scope
      • Abstracting and Indexing
      • Bibliographic Information
      • Archive
    • International Journal of Functional Nutrition
      • Information for Authors
      • Editorial Policies
      • Editorial Board
      • Aims and Scope
      • Abstracting and Indexing
      • Bibliographic Information
      • Archive
    • International Journal of Molecular Medicine
      • Information for Authors
      • Editorial Policies
      • Editorial Board
      • Aims and Scope
      • Abstracting and Indexing
      • Bibliographic Information
      • Archive
    • International Journal of Oncology
      • Information for Authors
      • Editorial Policies
      • Editorial Board
      • Aims and Scope
      • Abstracting and Indexing
      • Bibliographic Information
      • Archive
    • Medicine International
      • Information for Authors
      • Editorial Policies
      • Editorial Board
      • Aims and Scope
      • Abstracting and Indexing
      • Bibliographic Information
      • Archive
    • Molecular and Clinical Oncology
      • Information for Authors
      • Editorial Policies
      • Editorial Board
      • Aims and Scope
      • Abstracting and Indexing
      • Bibliographic Information
      • Archive
    • Molecular Medicine Reports
      • Information for Authors
      • Editorial Policies
      • Editorial Board
      • Aims and Scope
      • Abstracting and Indexing
      • Bibliographic Information
      • Archive
    • Oncology Letters
      • Information for Authors
      • Editorial Policies
      • Editorial Board
      • Aims and Scope
      • Abstracting and Indexing
      • Bibliographic Information
      • Archive
    • Oncology Reports
      • Information for Authors
      • Editorial Policies
      • Editorial Board
      • Aims and Scope
      • Abstracting and Indexing
      • Bibliographic Information
      • Archive
    • World Academy of Sciences Journal
      • Information for Authors
      • Editorial Policies
      • Editorial Board
      • Aims and Scope
      • Abstracting and Indexing
      • Bibliographic Information
      • Archive
  • Articles
  • Information
    • For Authors
    • For Reviewers
    • For Librarians
    • For Advertisers
    • Conferences
  • Language Editing
Login Register Submit
  • This site uses cookies
  • You can change your cookie settings at any time by following the instructions in our Cookie Policy. To find out more, you may read our Privacy Policy.

    I agree
Search articles by DOI, keyword, author or affiliation
Search
Advanced Search
presentation
Oncology Letters
Join Editorial Board Propose a Special Issue
Print ISSN: 1792-1074 Online ISSN: 1792-1082
Journal Cover
March 2012 Volume 3 Issue 3

Full Size Image

Sign up for eToc alerts
Recommend to Library

Journals

International Journal of Molecular Medicine

International Journal of Molecular Medicine

International Journal of Molecular Medicine is an international journal devoted to molecular mechanisms of human disease.

International Journal of Oncology

International Journal of Oncology

International Journal of Oncology is an international journal devoted to oncology research and cancer treatment.

Molecular Medicine Reports

Molecular Medicine Reports

Covers molecular medicine topics such as pharmacology, pathology, genetics, neuroscience, infectious diseases, molecular cardiology, and molecular surgery.

Oncology Reports

Oncology Reports

Oncology Reports is an international journal devoted to fundamental and applied research in Oncology.

Experimental and Therapeutic Medicine

Experimental and Therapeutic Medicine

Experimental and Therapeutic Medicine is an international journal devoted to laboratory and clinical medicine.

Oncology Letters

Oncology Letters

Oncology Letters is an international journal devoted to Experimental and Clinical Oncology.

Biomedical Reports

Biomedical Reports

Explores a wide range of biological and medical fields, including pharmacology, genetics, microbiology, neuroscience, and molecular cardiology.

Molecular and Clinical Oncology

Molecular and Clinical Oncology

International journal addressing all aspects of oncology research, from tumorigenesis and oncogenes to chemotherapy and metastasis.

World Academy of Sciences Journal

World Academy of Sciences Journal

Multidisciplinary open-access journal spanning biochemistry, genetics, neuroscience, environmental health, and synthetic biology.

International Journal of Functional Nutrition

International Journal of Functional Nutrition

Open-access journal combining biochemistry, pharmacology, immunology, and genetics to advance health through functional nutrition.

International Journal of Epigenetics

International Journal of Epigenetics

Publishes open-access research on using epigenetics to advance understanding and treatment of human disease.

Medicine International

Medicine International

An International Open Access Journal Devoted to General Medicine.

Journal Cover
March 2012 Volume 3 Issue 3

Full Size Image

Sign up for eToc alerts
Recommend to Library

  • Article
  • Citations
    • Cite This Article
    • Download Citation
    • Create Citation Alert
    • Remove Citation Alert
    • Cited By
  • Similar Articles
    • Related Articles (in Spandidos Publications)
    • Similar Articles (Google Scholar)
    • Similar Articles (PubMed)
  • Download PDF
  • Download XML
  • View XML
Case Report

Primary dumbbell-shaped Ewing's sarcoma of the cervical vertebra in adults: Four case reports and literature review

  • Authors:
    • Qing Zhu
    • Jisheng Zhang
    • Jianru Xiao
  • View Affiliations / Copyright

    Affiliations: Department of Orthopedics, Shanghai Changzheng Hospital, Second Military Medical University, Shanghai 86200, P.R. China
  • Pages: 721-725
    |
    Published online on: January 3, 2012
       https://doi.org/10.3892/ol.2012.550
  • Expand metrics +
Metrics: Total Views: 0 (Spandidos Publications: | PMC Statistics: )
Metrics: Total PDF Downloads: 0 (Spandidos Publications: | PMC Statistics: )
Cited By (CrossRef): 0 citations Loading Articles...

This article is mentioned in:



Abstract

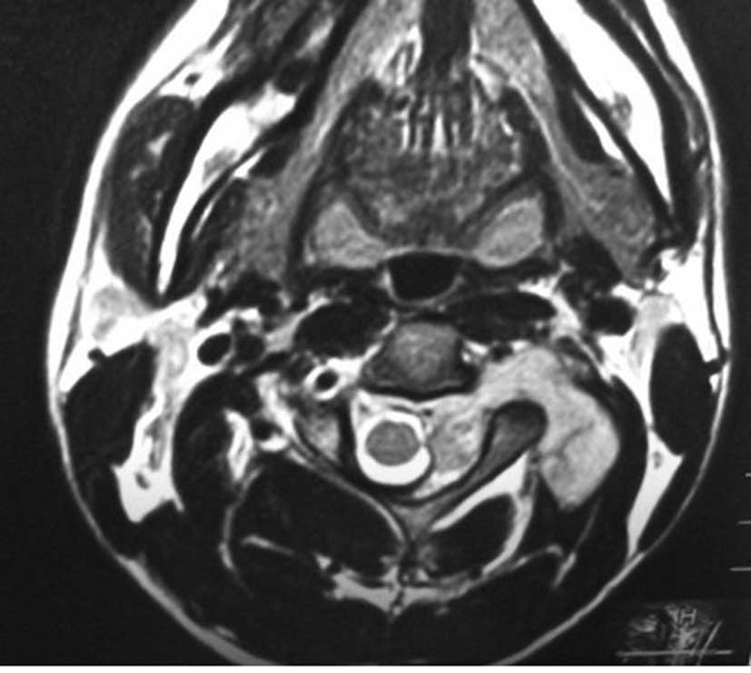
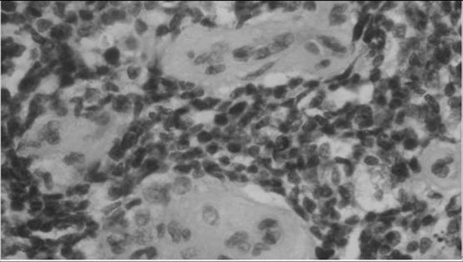
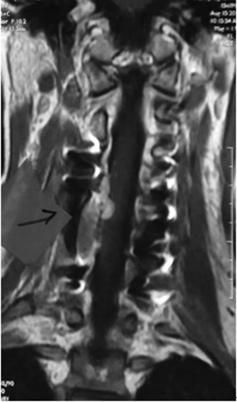
Ewing's sarcoma is the second most common malignant bone tumor in children and adolescents. The 4 cases described in this study were diagnosed with dumbbell-shaped intraspinal and extraspinal Ewing's sarcomas. The incidence of dumbbell-shaped tumors of this type in the spine is 17.5%. These tumors are often misdiagnosed as neurogenic tumors (schwannoma, neurofibromatosis) or giant cell tumors based on imaging. Radiculopathy is more common than spinal cord compression in Ewing's sarcoma. Preoperative biopsy is strongly recommended. As soon as Ewing's sarcoma is diagnosed by pathology, the treatment should begin with 2-3 cycles of neoadjuvant chemotherapy. Anterior-posterior and posterolateral approaches are both recommended for exposing this tumor. Following surgery, chemotherapy is critical to lessen the rate of recurrence and metastasis and to prolong the survival time. However, radiotherapy should be used with caution, as the spinal cord is sensitive to radiation; local irradiation is suggested. The tumor is difficult to remove en bloc in the cervical spine. It has a high rate of recurrence and metastasis. Therefore, the prognosis of Ewing's sarcoma in the cervical region is poorer compared to that in the thoracic and lumbosacral regions.
View Figures

Figure 1

Figure 2

Figure 3

Figure 4

Figure 5

Figure 6

Figure 7

View References

1 

Esiashvili N, Goodman M and Marcus R: Changes in incidence and survival of Ewing sarcoma patients over the past 3 decades: surveillance epidemiology and end results data. J Pediat Hematol Oncol. 30:425–430. 2008. View Article : Google Scholar : PubMed/NCBI

2 

Whitehouse GH and Griffiths GJ: Roentgenological aspects of spinal involvement by primary and metastatic Ewing's tumor. J Can Assoc Radiol. 27:290–297. 1976.

3 

Dehner LP: Peripheral and central primitive neuroectodermal tumors: a nosologic concept seeking a consensus. Arch Pathol Lab Med. 110:997–1005. 1986.PubMed/NCBI

4 

Jaffe R, Santamaria M, Yunis EJ, et al: The neuroectodermal tumor of bone. Am J Surg Pathol. 8:885–898. 1984. View Article : Google Scholar : PubMed/NCBI

5 

Ozama H, Kokubum S, Aizawa T, Takeshi H and Chikashi K: Spinal dumbbell tumors: an analysis of a series of 118 cases. J Neurosurg Spine. 7:587–593. 2007. View Article : Google Scholar : PubMed/NCBI

6 

Aurias A, Rimbaut C, Buffe D, Zucker JM and Mazabraud A: Translocation involving chromosome 22 in Ewing's sarcoma: a cytogenetic study of four fresh tumors. Cancer Genet Cytogenet. 12:21–25. 1984. View Article : Google Scholar

7 

Whang-Peng J, Triche TJ, Knutsen T, Miser J, Douglass EC and Israel MA: Chromosomal translocation in peripheral neuroepithelioma. N Engl J Med. 311:584–585. 1984. View Article : Google Scholar

8 

Delattre O, Zucman J, Plougastel B, et al: Gene fusion with an ETS DNA-binding domain caused by chromosome translocation in human tumours. Nature. 359:162–165. 1992. View Article : Google Scholar : PubMed/NCBI

9 

Iwamoto Y: Diagnosis and treatment of Ewing's sarcoma. Jpn J Clin Oncol. 37:79–89. 2007. View Article : Google Scholar

10 

Flemming DJ, Murphy MD, Nallu S and Nicastri AD: Primary Ewing sarcoma of lumbar spine with massive intraspinal extension. Pediatr Neurol. 38:58–60. 2008. View Article : Google Scholar : PubMed/NCBI

11 

Schuck A, Ahrens S, Paulussen M, et al: Local therapy in localized Ewing's tumors: results of 1058 patients treated in the CESS 81, CESS 86, and EICESS 92 trials. Int J Rad Oncol Biol Phys. 55:168–177. 2003.

12 

Paulussen M, Bielack S and Jurgens H: Ewing's sarcoma of the bone: ESMO clinical recommendations for diagnosis, treatment and follow-up. Ann Oncol. (Suppl 4): 140–142. 2009.

13 

Jurgens H, Exner U, Gadner H, et al: Multidisciplinary treatment of primary Ewing's sarcoma of bone. A 6-year experience of a European Cooperative Trial. Cancer. 61:23–32. 1988.

14 

Paulussen M, Ahrens S, Dunst J, et al: Localized Ewing's tumor of bone: final results of the cooperative Ewing's Sarcoma Study CESS 86. J Clin Oncol. 19:1818–1829. 2001.

15 

Caudill JS and Arndt CA: Diagnosis and management of bone malignancy in adolescence. Adolesc Med. 18:62–78. 2009.

16 

Rodon J, DeSantos V, Ferry RJ Jr and Kurzrock R: Early drug development of inhibitors of the insulin-like growth factor-I receptor pathway: lessons from the first clinical trials. Mol Cancer Ther. 7:2575–2588. 2008. View Article : Google Scholar : PubMed/NCBI

Related Articles

  • Abstract
  • View
  • Download
  • Twitter
Copy and paste a formatted citation
Spandidos Publications style
Zhu Q, Zhang J and Xiao J: Primary dumbbell-shaped Ewing's sarcoma of the cervical vertebra in adults: Four case reports and literature review. Oncol Lett 3: 721-725, 2012.
APA
Zhu, Q., Zhang, J., & Xiao, J. (2012). Primary dumbbell-shaped Ewing's sarcoma of the cervical vertebra in adults: Four case reports and literature review. Oncology Letters, 3, 721-725. https://doi.org/10.3892/ol.2012.550
MLA
Zhu, Q., Zhang, J., Xiao, J."Primary dumbbell-shaped Ewing's sarcoma of the cervical vertebra in adults: Four case reports and literature review". Oncology Letters 3.3 (2012): 721-725.
Chicago
Zhu, Q., Zhang, J., Xiao, J."Primary dumbbell-shaped Ewing's sarcoma of the cervical vertebra in adults: Four case reports and literature review". Oncology Letters 3, no. 3 (2012): 721-725. https://doi.org/10.3892/ol.2012.550
Copy and paste a formatted citation
x
Spandidos Publications style
Zhu Q, Zhang J and Xiao J: Primary dumbbell-shaped Ewing's sarcoma of the cervical vertebra in adults: Four case reports and literature review. Oncol Lett 3: 721-725, 2012.
APA
Zhu, Q., Zhang, J., & Xiao, J. (2012). Primary dumbbell-shaped Ewing's sarcoma of the cervical vertebra in adults: Four case reports and literature review. Oncology Letters, 3, 721-725. https://doi.org/10.3892/ol.2012.550
MLA
Zhu, Q., Zhang, J., Xiao, J."Primary dumbbell-shaped Ewing's sarcoma of the cervical vertebra in adults: Four case reports and literature review". Oncology Letters 3.3 (2012): 721-725.
Chicago
Zhu, Q., Zhang, J., Xiao, J."Primary dumbbell-shaped Ewing's sarcoma of the cervical vertebra in adults: Four case reports and literature review". Oncology Letters 3, no. 3 (2012): 721-725. https://doi.org/10.3892/ol.2012.550
Follow us
  • Twitter
  • LinkedIn
  • Facebook
About
  • Spandidos Publications
  • Careers
  • Cookie Policy
  • Privacy Policy
How can we help?
  • Help
  • Live Chat
  • Contact
  • Email to our Support Team