Spandidos Publications Logo
  • About
    • About Spandidos
    • Aims and Scopes
    • Abstracting and Indexing
    • Editorial Policies
    • Reprints and Permissions
    • Job Opportunities
    • Terms and Conditions
    • Contact
  • Journals
    • All Journals
    • Oncology Letters
      • Oncology Letters
      • Information for Authors
      • Editorial Policies
      • Editorial Board
      • Aims and Scope
      • Abstracting and Indexing
      • Bibliographic Information
      • Archive
    • International Journal of Oncology
      • International Journal of Oncology
      • Information for Authors
      • Editorial Policies
      • Editorial Board
      • Aims and Scope
      • Abstracting and Indexing
      • Bibliographic Information
      • Archive
    • Molecular and Clinical Oncology
      • Molecular and Clinical Oncology
      • Information for Authors
      • Editorial Policies
      • Editorial Board
      • Aims and Scope
      • Abstracting and Indexing
      • Bibliographic Information
      • Archive
    • Experimental and Therapeutic Medicine
      • Experimental and Therapeutic Medicine
      • Information for Authors
      • Editorial Policies
      • Editorial Board
      • Aims and Scope
      • Abstracting and Indexing
      • Bibliographic Information
      • Archive
    • International Journal of Molecular Medicine
      • International Journal of Molecular Medicine
      • Information for Authors
      • Editorial Policies
      • Editorial Board
      • Aims and Scope
      • Abstracting and Indexing
      • Bibliographic Information
      • Archive
    • Biomedical Reports
      • Biomedical Reports
      • Information for Authors
      • Editorial Policies
      • Editorial Board
      • Aims and Scope
      • Abstracting and Indexing
      • Bibliographic Information
      • Archive
    • Oncology Reports
      • Oncology Reports
      • Information for Authors
      • Editorial Policies
      • Editorial Board
      • Aims and Scope
      • Abstracting and Indexing
      • Bibliographic Information
      • Archive
    • Molecular Medicine Reports
      • Molecular Medicine Reports
      • Information for Authors
      • Editorial Policies
      • Editorial Board
      • Aims and Scope
      • Abstracting and Indexing
      • Bibliographic Information
      • Archive
    • World Academy of Sciences Journal
      • World Academy of Sciences Journal
      • Information for Authors
      • Editorial Policies
      • Editorial Board
      • Aims and Scope
      • Abstracting and Indexing
      • Bibliographic Information
      • Archive
    • International Journal of Functional Nutrition
      • International Journal of Functional Nutrition
      • Information for Authors
      • Editorial Policies
      • Editorial Board
      • Aims and Scope
      • Abstracting and Indexing
      • Bibliographic Information
      • Archive
    • International Journal of Epigenetics
      • International Journal of Epigenetics
      • Information for Authors
      • Editorial Policies
      • Editorial Board
      • Aims and Scope
      • Abstracting and Indexing
      • Bibliographic Information
      • Archive
    • Medicine International
      • Medicine International
      • Information for Authors
      • Editorial Policies
      • Editorial Board
      • Aims and Scope
      • Abstracting and Indexing
      • Bibliographic Information
      • Archive
  • Articles
  • Information
    • Information for Authors
    • Information for Reviewers
    • Information for Librarians
    • Information for Advertisers
    • Conferences
  • Language Editing
Spandidos Publications Logo
  • About
    • About Spandidos
    • Aims and Scopes
    • Abstracting and Indexing
    • Editorial Policies
    • Reprints and Permissions
    • Job Opportunities
    • Terms and Conditions
    • Contact
  • Journals
    • All Journals
    • Biomedical Reports
      • Information for Authors
      • Editorial Policies
      • Editorial Board
      • Aims and Scope
      • Abstracting and Indexing
      • Bibliographic Information
      • Archive
    • Experimental and Therapeutic Medicine
      • Information for Authors
      • Editorial Policies
      • Editorial Board
      • Aims and Scope
      • Abstracting and Indexing
      • Bibliographic Information
      • Archive
    • International Journal of Epigenetics
      • Information for Authors
      • Editorial Policies
      • Editorial Board
      • Aims and Scope
      • Abstracting and Indexing
      • Bibliographic Information
      • Archive
    • International Journal of Functional Nutrition
      • Information for Authors
      • Editorial Policies
      • Editorial Board
      • Aims and Scope
      • Abstracting and Indexing
      • Bibliographic Information
      • Archive
    • International Journal of Molecular Medicine
      • Information for Authors
      • Editorial Policies
      • Editorial Board
      • Aims and Scope
      • Abstracting and Indexing
      • Bibliographic Information
      • Archive
    • International Journal of Oncology
      • Information for Authors
      • Editorial Policies
      • Editorial Board
      • Aims and Scope
      • Abstracting and Indexing
      • Bibliographic Information
      • Archive
    • Medicine International
      • Information for Authors
      • Editorial Policies
      • Editorial Board
      • Aims and Scope
      • Abstracting and Indexing
      • Bibliographic Information
      • Archive
    • Molecular and Clinical Oncology
      • Information for Authors
      • Editorial Policies
      • Editorial Board
      • Aims and Scope
      • Abstracting and Indexing
      • Bibliographic Information
      • Archive
    • Molecular Medicine Reports
      • Information for Authors
      • Editorial Policies
      • Editorial Board
      • Aims and Scope
      • Abstracting and Indexing
      • Bibliographic Information
      • Archive
    • Oncology Letters
      • Information for Authors
      • Editorial Policies
      • Editorial Board
      • Aims and Scope
      • Abstracting and Indexing
      • Bibliographic Information
      • Archive
    • Oncology Reports
      • Information for Authors
      • Editorial Policies
      • Editorial Board
      • Aims and Scope
      • Abstracting and Indexing
      • Bibliographic Information
      • Archive
    • World Academy of Sciences Journal
      • Information for Authors
      • Editorial Policies
      • Editorial Board
      • Aims and Scope
      • Abstracting and Indexing
      • Bibliographic Information
      • Archive
  • Articles
  • Information
    • For Authors
    • For Reviewers
    • For Librarians
    • For Advertisers
    • Conferences
  • Language Editing
Login Register Submit
  • This site uses cookies
  • You can change your cookie settings at any time by following the instructions in our Cookie Policy. To find out more, you may read our Privacy Policy.

    I agree
Search articles by DOI, keyword, author or affiliation
Search
Advanced Search
presentation
Oncology Letters
Join Editorial Board Propose a Special Issue
Print ISSN: 1792-1074 Online ISSN: 1792-1082
Journal Cover
June 2012 Volume 3 Issue 6

Full Size Image

Sign up for eToc alerts
Recommend to Library

Journals

International Journal of Molecular Medicine

International Journal of Molecular Medicine

International Journal of Molecular Medicine is an international journal devoted to molecular mechanisms of human disease.

International Journal of Oncology

International Journal of Oncology

International Journal of Oncology is an international journal devoted to oncology research and cancer treatment.

Molecular Medicine Reports

Molecular Medicine Reports

Covers molecular medicine topics such as pharmacology, pathology, genetics, neuroscience, infectious diseases, molecular cardiology, and molecular surgery.

Oncology Reports

Oncology Reports

Oncology Reports is an international journal devoted to fundamental and applied research in Oncology.

Experimental and Therapeutic Medicine

Experimental and Therapeutic Medicine

Experimental and Therapeutic Medicine is an international journal devoted to laboratory and clinical medicine.

Oncology Letters

Oncology Letters

Oncology Letters is an international journal devoted to Experimental and Clinical Oncology.

Biomedical Reports

Biomedical Reports

Explores a wide range of biological and medical fields, including pharmacology, genetics, microbiology, neuroscience, and molecular cardiology.

Molecular and Clinical Oncology

Molecular and Clinical Oncology

International journal addressing all aspects of oncology research, from tumorigenesis and oncogenes to chemotherapy and metastasis.

World Academy of Sciences Journal

World Academy of Sciences Journal

Multidisciplinary open-access journal spanning biochemistry, genetics, neuroscience, environmental health, and synthetic biology.

International Journal of Functional Nutrition

International Journal of Functional Nutrition

Open-access journal combining biochemistry, pharmacology, immunology, and genetics to advance health through functional nutrition.

International Journal of Epigenetics

International Journal of Epigenetics

Publishes open-access research on using epigenetics to advance understanding and treatment of human disease.

Medicine International

Medicine International

An International Open Access Journal Devoted to General Medicine.

Journal Cover
June 2012 Volume 3 Issue 6

Full Size Image

Sign up for eToc alerts
Recommend to Library

  • Article
  • Citations
    • Cite This Article
    • Download Citation
    • Create Citation Alert
    • Remove Citation Alert
    • Cited By
  • Similar Articles
    • Related Articles (in Spandidos Publications)
    • Similar Articles (Google Scholar)
    • Similar Articles (PubMed)
  • Download PDF
  • Download XML
  • View XML
Article

CD99-positive soft tissue sarcoma with chromosomal translocation between 1 and 16 and inversion of chromosome 5

  • Authors:
    • Masahiko Kanamori
    • Kayo Suzuki
    • Taketoshi Yasuda
    • Takeshi Hori
  • View Affiliations / Copyright

    Affiliations: Department of Human Science 1, University of Toyama, Toyama City, Toyama 930-0194, Japan, Department of Orthopaedics, University of Toyama, Toyama City, Toyama 930-0194, Japan
  • Pages: 1213-1215
    |
    Published online on: March 9, 2012
       https://doi.org/10.3892/ol.2012.641
  • Expand metrics +
Metrics: Total Views: 0 (Spandidos Publications: | PMC Statistics: )
Metrics: Total PDF Downloads: 0 (Spandidos Publications: | PMC Statistics: )
Cited By (CrossRef): 0 citations Loading Articles...

This article is mentioned in:



Abstract

In this study, we report the cytogenetic analysis of a 31-year‑old male with a rare translocation between chromosomes 1 and 16 and inversion of chromosome 5 in CD99-positive soft tissue sarcoma of the thigh, which metastasized to the lung. Histologically, the tumor showed ovoid or short-spindle atypical cells with positivities of CD99, vimentin and bcl-2. Cytogenetically, all 20 analyzed cells showed the clonal aberrations add(1)(q23), t(1;16)(p21;p11.2), inv(5)(q11.2;q15). This finding adds to the new karyotype spectrum of CD99‑positive soft tissue sarcomas.

Introduction

Certain types of soft tissue tumor are positive for CD99. CD99 is a membranous protein that is expressed in most cases of Ewing sarcoma (EWS), synovial sarcoma (SS) and low-grade fibromyxoid sarcoma (LGFMS), although its involvement in these diseases is unknown. However, knocking down CD99 expression in human EWS cell lines reduced their ability to form tumors and bone metastases when xenografted into immunodeficient mice, and diminished their tumorigenic characteristics in vitro (1). Therefore, CD99 may be a marker of aggressiveness. Some of these cancer types have a well-known specific chromosomal translocation, such as t(11;22) in EWS, or t(18;X) in SS (2,3). However, this is the first case of CD99-positive soft tissue sarcoma with t(1;16) and inv(5).

This study was approved by the local Ethics Committee of the University of Toyama. The patient was informed that his data would be submitted for publication, and gave consent.

Case report

The patient was a 31-year-old Japanese male with normal growth and development who presented with a mass located on the right thigh. He had noted a rapidly enlarging mass two months previously. On examination, there was a 15×13 cm firm and non-tender tumor of the postero-medial thigh. The clinical history of the patient was normal.

Radiographs showed a non-mineralized soft tissue mass without bone involvement. T1- and T2-weighted MRI revealed a multi-lobulated heterogeneous large mass involving most of the flexor muscles, suggestive of a soft tissue sarcoma (Fig. 1). An angiogram revealed the hypervascularity of the tumor (Fig. 2). No other tumor or inguinal lymphadenopathy was present. Distal neurovascular examination was normal and laboratory findings were almost normal.

Figure 1

(a and d) Axial and sagittal T1-weighted (TR/TE; 640/20) spin echo images of the right thigh show a well-defined, heterogeneously hypointense mass. The mass showed the isointensity to the muscle with irregular septum. (b and e) Axial and sagittal T2-weighted (TR/TE; 180/3300) spin echo images show a multi-lobulated hyperintense mass involving most of the flexor muscles. (c and f) Gd-DTPA enhances the mass in a heterogeneous manner.

Figure 2

An angiogram shows the hypervascular tumor.

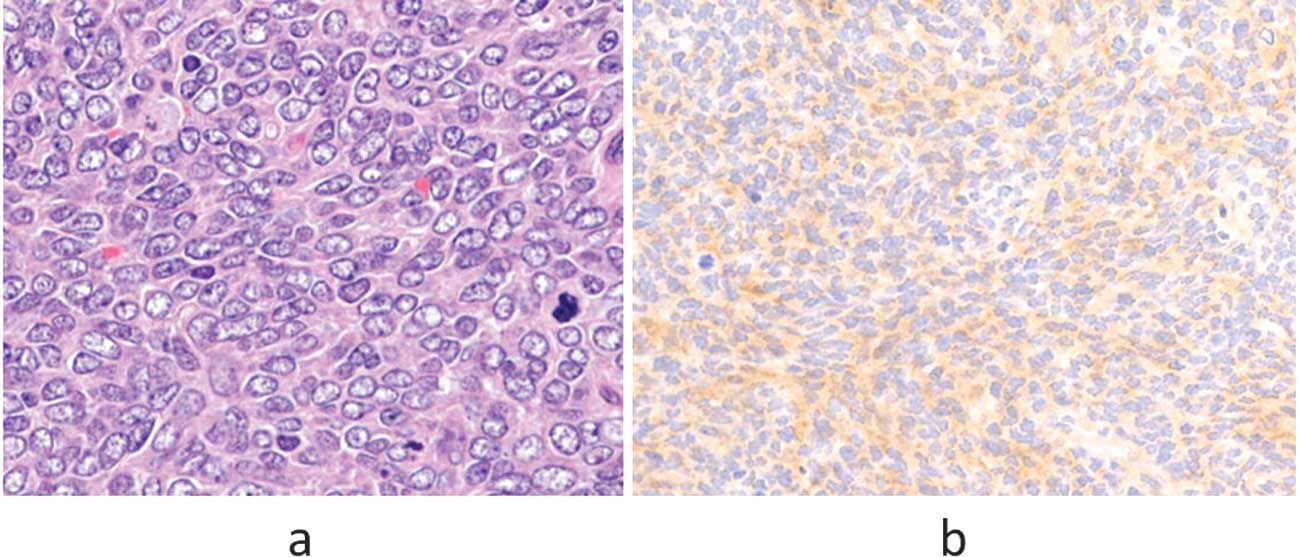
A needle biopsy of the tumor was carried out and the pathology was reviewed to be unclassified high-grade sarcoma (Fig. 3). The tumor was then surgically removed. However, the evaluation of the resected margin of the tumor was intralesional, since the mass had existed in the intermuscular space and lacked any capsule. Gross appearance of the resected specimen showed a non-capsulated, soft-to-firm, tan-to-pink mass (15 cm in maximum dimension) with foci of cysts and hemorrhage.

Figure 3

(a) Histopathology shows proliferative ovoid or short-spindle atypical cells. Numerous mitotic figures are present (H&E; magnification, ×20). (b) Immunohistochemistry shows the positivity for CD-99 (magnification, ×200).

Microscopically, the tumor was composed of well-formed and variably sized vessels with proliferative ovoid or short- spindle atypical cells. Numerous mitotic figures were present. The tumor cells were immunoreactive to CD99, vimentin, and bcl-2. However, they had no reactivity to desmin, S-100, CD34, AE1/AE3, EMA and CK7.

Following surgery, the patient repeatedly received intensive multidrug chemotherapy, including combination chemotherapy VDC (vincristine 2 mg/day, doxorubicin 50 mg/day × 2 days, and cyclophosphamide 1800 mg/day), IE (ifosfamide 3 g × 3 days, etoposide 100 mg/day × 3 days) and MAID (doxorubicin 30 mg/day, ifosfamide 3 g/day, dacarbazine 450 mg/day) × 3 days (4). However, multiple lung metastatic tumors developed during postoperative chemotherapy. Moreover, the tumor recurred and metastasized to the retroperitoneal space at 2 years after surgery, and the patient suddenly succumbed to tumor-related septic shock 4 years after surgery.

Cytogenetic findings

Cytogenetic analysis was performed on G-band by trypsin and Giemsa (GTG) banding using surgical specimens. Standard culture and harvesting procedures were utilized, as described previously (5). The karyotypes were expressed according to the International System for Human Cytogenetic Nomenclature (6). Cells (n=20) were analyzed. All 20 cells showed a clonal translocation involving chromosome 1 and 16, and inversion 5 [46,XY, add(1)(q23), t(1;16)(p21;p11.2), inv(5)(q11.2;q15)] (Fig. 4).

Figure 4

GTG banding analysis of all 20 metaphase chromosomes shows [46,XY, add(1)(q23), t(1;16)(p21;p11.2), inv(5)(q11.2;q15)].

Discussion

Histopathologically, whereas the expression of CD99 is high in EWS (2) and in certain cases of SS, a low level of expression of CD99 is found in LGFMS, rhabdomyosarcoma, lymphomas, mesenchymal chondrosarcoma, osteosarcoma and neuroendocrine carcinoma (1,7,8). CD99 may act as a tumor suppressor. Some of these tumors are difficult to diagnose differentially under microscopy, including immunohistochemical staining. Therefore, cytogenetic analysis is required for further tumor classification. For example, most EWS contain a pathognomonic translocation of t(11;22)(q24;q12), t(21;22)(q22.2;q12) or t(7;22)(p22;q12), fusing the EWS gene on chromosome 22, which is a probable pivot event in the tumorigenesis of this neoplasm (9). In addition, most SS exhibit a well-known pathognomonic translocation of t(18;X)(p11;q11), and most LGFMS exhibit t(11;16)(p11;p11).

Our case supports the possibility of a gene or genes at chromosomes 1, 5 and 16. These genes may be important in tumorigenesis. Three components of cytogenetic aberration were observed in our case. The aberration add(1)(q23) has been non-specifically reported thus far, but neither t(1;16)(p21;p11.2) nor inv(5)(q11.2;q15) were found in the NCBI database (http://www.ncbi.nlm.njh.gov/sites/cancerchromosomes). To the best of our knowledge, this is the first case of sarcoma with t(1;16)(p21;p11.2) and inv(5)(q11.2;q15).

FUS gene (also known as TLS) is encoded on chromosome band 16p11, and this location is specific for LGFMS. FUS gene transcription may now be used as a diagnostic marker for LGFMS. The FUS-CREB3L2 fusion gene transcripts were observed in 95% of well-defined LGFMS. In addition, the FUS-CREB3L1 variant resulting from t(11;16)(p11;p11) was observed in 5%. The two chimeric genes encode transcription activating proteins to form LGFMS (7). The immunohistochemical observations of CD99 positivity and CD34 negativity in LGFMS are similar to our case, but our case is high-grade, rather than low-grade sarcoma. Although 16p11 in our case may be associated with FUS gene, we were unable to clarify the specific event that affects the tumorigenesis, as t(1;16)(p21;p11.2) has yet to be reported (NCBI database). Moreover, inv(5) is also a novel constitutional aberration in soft tissue tumors.

The reduction of CD99 expression in human EWS cell lines results in neural differentiation, although its function in the disease is unknown. EWS revealed an inverse correlation between CD99 and neural markers, as well as an inverse correlation between neural differentiation and oncogenic transformation (1). Therefore, CD99 expression may correlate with tumorigenesis and malignant potential. Further investigation is required to elucidate CD99-positive tumors.

Acknowledgements

The authors would like to thank Professor Tomoatsu Kimura, of the Department of Orthopaedics, University of Toyama, who provided clinical advice.

References

1 

Rocci A, Manara MC, Sciandra M, et al: CD99 inhibits neural differentiation of human Ewing sarcoma cells and thereby contributes to oncogenesis. J Clin Invest. 120:668–680. 2010. View Article : Google Scholar : PubMed/NCBI

2 

Sandverg AA and Bridge JA: The Cytogenetics of Bone and Soft Tissue Tumors. RG Landes; Austin: pp. 288–312. 1994

3 

Zucman J, Melot T, Desmaze C, et al: Combinational generation of variable fusion proteins in the Ewing family of tumors. EMBO J. 12:4481–4487. 1993.PubMed/NCBI

4 

Elias A, Ryan L, Sulkes A, et al: Response to mesna, doxorubicin, ifosfamide, and dacarbazine in 108 patients with metastatic or unresectable sarcoma and no prior chemotherapy. J Clin Oncol. 7:1208–1216. 1989.PubMed/NCBI

5 

Bridge JA, Sreekantaiah C, Mouron B, et al: Clonal chromosomal abnormalities in desmoid tumors: implications for histopathogenesis. Cancer. 69:430–436. 1992. View Article : Google Scholar : PubMed/NCBI

6 

ISCN. An International System for Human Cytogenetic Nomenclature. Mitelman F: Karger: Basel; 1995

7 

Guillou L, Benhattar J, Gengler C, et al: Translocation-positive low grade fibromyxoid sarcoma: clinicopathological and molecular analysis of a series expanding the morphologic spectrum and suggesting potential relationship to sclerosing epithelioid fibrosarcoma: a study from the French Sarcoma Group. Am J Surg Pathol. 31:1387–1402. 2007.

8 

Malone VS, Dobin SM, Jones KA, et al: CD99-positive large cell neuroendocrine carcinoma with rearranged EWSR1 gene in an infant: a case of prognostically favorable tumor. Virchows Arch. 457:389–395. 2010. View Article : Google Scholar : PubMed/NCBI

9 

Desmaze C, Brizard F, Turc-Carel C, et al: Multiple chromosomal mechanisms generate an EWS/FLI1 or an EWS/ERG fusion gene in Ewing tumors. Cancer Genet Cytogenet. 97:12–19. 1997. View Article : Google Scholar : PubMed/NCBI

Related Articles

  • Abstract
  • View
  • Download
  • Twitter
Copy and paste a formatted citation
Spandidos Publications style
Kanamori M, Suzuki K, Yasuda T and Hori T: CD99-positive soft tissue sarcoma with chromosomal translocation between 1 and 16 and inversion of chromosome 5. Oncol Lett 3: 1213-1215, 2012.
APA
Kanamori, M., Suzuki, K., Yasuda, T., & Hori, T. (2012). CD99-positive soft tissue sarcoma with chromosomal translocation between 1 and 16 and inversion of chromosome 5. Oncology Letters, 3, 1213-1215. https://doi.org/10.3892/ol.2012.641
MLA
Kanamori, M., Suzuki, K., Yasuda, T., Hori, T."CD99-positive soft tissue sarcoma with chromosomal translocation between 1 and 16 and inversion of chromosome 5". Oncology Letters 3.6 (2012): 1213-1215.
Chicago
Kanamori, M., Suzuki, K., Yasuda, T., Hori, T."CD99-positive soft tissue sarcoma with chromosomal translocation between 1 and 16 and inversion of chromosome 5". Oncology Letters 3, no. 6 (2012): 1213-1215. https://doi.org/10.3892/ol.2012.641
Copy and paste a formatted citation
x
Spandidos Publications style
Kanamori M, Suzuki K, Yasuda T and Hori T: CD99-positive soft tissue sarcoma with chromosomal translocation between 1 and 16 and inversion of chromosome 5. Oncol Lett 3: 1213-1215, 2012.
APA
Kanamori, M., Suzuki, K., Yasuda, T., & Hori, T. (2012). CD99-positive soft tissue sarcoma with chromosomal translocation between 1 and 16 and inversion of chromosome 5. Oncology Letters, 3, 1213-1215. https://doi.org/10.3892/ol.2012.641
MLA
Kanamori, M., Suzuki, K., Yasuda, T., Hori, T."CD99-positive soft tissue sarcoma with chromosomal translocation between 1 and 16 and inversion of chromosome 5". Oncology Letters 3.6 (2012): 1213-1215.
Chicago
Kanamori, M., Suzuki, K., Yasuda, T., Hori, T."CD99-positive soft tissue sarcoma with chromosomal translocation between 1 and 16 and inversion of chromosome 5". Oncology Letters 3, no. 6 (2012): 1213-1215. https://doi.org/10.3892/ol.2012.641
Follow us
  • Twitter
  • LinkedIn
  • Facebook
About
  • Spandidos Publications
  • Careers
  • Cookie Policy
  • Privacy Policy
How can we help?
  • Help
  • Live Chat
  • Contact
  • Email to our Support Team