Spandidos Publications Logo
  • About
    • About Spandidos
    • Aims and Scopes
    • Abstracting and Indexing
    • Editorial Policies
    • Reprints and Permissions
    • Job Opportunities
    • Terms and Conditions
    • Contact
  • Journals
    • All Journals
    • Oncology Letters
      • Oncology Letters
      • Information for Authors
      • Editorial Policies
      • Editorial Board
      • Aims and Scope
      • Abstracting and Indexing
      • Bibliographic Information
      • Archive
    • International Journal of Oncology
      • International Journal of Oncology
      • Information for Authors
      • Editorial Policies
      • Editorial Board
      • Aims and Scope
      • Abstracting and Indexing
      • Bibliographic Information
      • Archive
    • Molecular and Clinical Oncology
      • Molecular and Clinical Oncology
      • Information for Authors
      • Editorial Policies
      • Editorial Board
      • Aims and Scope
      • Abstracting and Indexing
      • Bibliographic Information
      • Archive
    • Experimental and Therapeutic Medicine
      • Experimental and Therapeutic Medicine
      • Information for Authors
      • Editorial Policies
      • Editorial Board
      • Aims and Scope
      • Abstracting and Indexing
      • Bibliographic Information
      • Archive
    • International Journal of Molecular Medicine
      • International Journal of Molecular Medicine
      • Information for Authors
      • Editorial Policies
      • Editorial Board
      • Aims and Scope
      • Abstracting and Indexing
      • Bibliographic Information
      • Archive
    • Biomedical Reports
      • Biomedical Reports
      • Information for Authors
      • Editorial Policies
      • Editorial Board
      • Aims and Scope
      • Abstracting and Indexing
      • Bibliographic Information
      • Archive
    • Oncology Reports
      • Oncology Reports
      • Information for Authors
      • Editorial Policies
      • Editorial Board
      • Aims and Scope
      • Abstracting and Indexing
      • Bibliographic Information
      • Archive
    • Molecular Medicine Reports
      • Molecular Medicine Reports
      • Information for Authors
      • Editorial Policies
      • Editorial Board
      • Aims and Scope
      • Abstracting and Indexing
      • Bibliographic Information
      • Archive
    • World Academy of Sciences Journal
      • World Academy of Sciences Journal
      • Information for Authors
      • Editorial Policies
      • Editorial Board
      • Aims and Scope
      • Abstracting and Indexing
      • Bibliographic Information
      • Archive
    • International Journal of Functional Nutrition
      • International Journal of Functional Nutrition
      • Information for Authors
      • Editorial Policies
      • Editorial Board
      • Aims and Scope
      • Abstracting and Indexing
      • Bibliographic Information
      • Archive
    • International Journal of Epigenetics
      • International Journal of Epigenetics
      • Information for Authors
      • Editorial Policies
      • Editorial Board
      • Aims and Scope
      • Abstracting and Indexing
      • Bibliographic Information
      • Archive
    • Medicine International
      • Medicine International
      • Information for Authors
      • Editorial Policies
      • Editorial Board
      • Aims and Scope
      • Abstracting and Indexing
      • Bibliographic Information
      • Archive
  • Articles
  • Information
    • Information for Authors
    • Information for Reviewers
    • Information for Librarians
    • Information for Advertisers
    • Conferences
  • Language Editing
Spandidos Publications Logo
  • About
    • About Spandidos
    • Aims and Scopes
    • Abstracting and Indexing
    • Editorial Policies
    • Reprints and Permissions
    • Job Opportunities
    • Terms and Conditions
    • Contact
  • Journals
    • All Journals
    • Biomedical Reports
      • Information for Authors
      • Editorial Policies
      • Editorial Board
      • Aims and Scope
      • Abstracting and Indexing
      • Bibliographic Information
      • Archive
    • Experimental and Therapeutic Medicine
      • Information for Authors
      • Editorial Policies
      • Editorial Board
      • Aims and Scope
      • Abstracting and Indexing
      • Bibliographic Information
      • Archive
    • International Journal of Epigenetics
      • Information for Authors
      • Editorial Policies
      • Editorial Board
      • Aims and Scope
      • Abstracting and Indexing
      • Bibliographic Information
      • Archive
    • International Journal of Functional Nutrition
      • Information for Authors
      • Editorial Policies
      • Editorial Board
      • Aims and Scope
      • Abstracting and Indexing
      • Bibliographic Information
      • Archive
    • International Journal of Molecular Medicine
      • Information for Authors
      • Editorial Policies
      • Editorial Board
      • Aims and Scope
      • Abstracting and Indexing
      • Bibliographic Information
      • Archive
    • International Journal of Oncology
      • Information for Authors
      • Editorial Policies
      • Editorial Board
      • Aims and Scope
      • Abstracting and Indexing
      • Bibliographic Information
      • Archive
    • Medicine International
      • Information for Authors
      • Editorial Policies
      • Editorial Board
      • Aims and Scope
      • Abstracting and Indexing
      • Bibliographic Information
      • Archive
    • Molecular and Clinical Oncology
      • Information for Authors
      • Editorial Policies
      • Editorial Board
      • Aims and Scope
      • Abstracting and Indexing
      • Bibliographic Information
      • Archive
    • Molecular Medicine Reports
      • Information for Authors
      • Editorial Policies
      • Editorial Board
      • Aims and Scope
      • Abstracting and Indexing
      • Bibliographic Information
      • Archive
    • Oncology Letters
      • Information for Authors
      • Editorial Policies
      • Editorial Board
      • Aims and Scope
      • Abstracting and Indexing
      • Bibliographic Information
      • Archive
    • Oncology Reports
      • Information for Authors
      • Editorial Policies
      • Editorial Board
      • Aims and Scope
      • Abstracting and Indexing
      • Bibliographic Information
      • Archive
    • World Academy of Sciences Journal
      • Information for Authors
      • Editorial Policies
      • Editorial Board
      • Aims and Scope
      • Abstracting and Indexing
      • Bibliographic Information
      • Archive
  • Articles
  • Information
    • For Authors
    • For Reviewers
    • For Librarians
    • For Advertisers
    • Conferences
  • Language Editing
Login Register Submit
  • This site uses cookies
  • You can change your cookie settings at any time by following the instructions in our Cookie Policy. To find out more, you may read our Privacy Policy.

    I agree
Search articles by DOI, keyword, author or affiliation
Search
Advanced Search
presentation
Oncology Letters
Join Editorial Board Propose a Special Issue
Print ISSN: 1792-1074 Online ISSN: 1792-1082
Journal Cover
October 2012 Volume 4 Issue 4

Full Size Image

Sign up for eToc alerts
Recommend to Library

Journals

International Journal of Molecular Medicine

International Journal of Molecular Medicine

International Journal of Molecular Medicine is an international journal devoted to molecular mechanisms of human disease.

International Journal of Oncology

International Journal of Oncology

International Journal of Oncology is an international journal devoted to oncology research and cancer treatment.

Molecular Medicine Reports

Molecular Medicine Reports

Covers molecular medicine topics such as pharmacology, pathology, genetics, neuroscience, infectious diseases, molecular cardiology, and molecular surgery.

Oncology Reports

Oncology Reports

Oncology Reports is an international journal devoted to fundamental and applied research in Oncology.

Experimental and Therapeutic Medicine

Experimental and Therapeutic Medicine

Experimental and Therapeutic Medicine is an international journal devoted to laboratory and clinical medicine.

Oncology Letters

Oncology Letters

Oncology Letters is an international journal devoted to Experimental and Clinical Oncology.

Biomedical Reports

Biomedical Reports

Explores a wide range of biological and medical fields, including pharmacology, genetics, microbiology, neuroscience, and molecular cardiology.

Molecular and Clinical Oncology

Molecular and Clinical Oncology

International journal addressing all aspects of oncology research, from tumorigenesis and oncogenes to chemotherapy and metastasis.

World Academy of Sciences Journal

World Academy of Sciences Journal

Multidisciplinary open-access journal spanning biochemistry, genetics, neuroscience, environmental health, and synthetic biology.

International Journal of Functional Nutrition

International Journal of Functional Nutrition

Open-access journal combining biochemistry, pharmacology, immunology, and genetics to advance health through functional nutrition.

International Journal of Epigenetics

International Journal of Epigenetics

Publishes open-access research on using epigenetics to advance understanding and treatment of human disease.

Medicine International

Medicine International

An International Open Access Journal Devoted to General Medicine.

Journal Cover
October 2012 Volume 4 Issue 4

Full Size Image

Sign up for eToc alerts
Recommend to Library

  • Article
  • Citations
    • Cite This Article
    • Download Citation
    • Create Citation Alert
    • Remove Citation Alert
    • Cited By
  • Similar Articles
    • Related Articles (in Spandidos Publications)
    • Similar Articles (Google Scholar)
    • Similar Articles (PubMed)
  • Download PDF
  • Download XML
  • View XML
Article

Characterization of PAR1 and FGFR1 expression in invasive breast carcinomas: Prognostic significance

  • Authors:
    • Marta Tiburcio
    • Sandra M.A. Costa
    • Maria de Fatima Duarte
    • Fernando C. Schmitt
    • Adhemar Longatto Filho
  • View Affiliations / Copyright

    Affiliations: Life and Health Sciences Research Institute (ICVS), School of Health Sciences, University of Minho, Braga, Portugal , Centro de Biotecnologia Agrícola e Agro-Alimentar do Baixo Alentejo e Litoral (CEBAL)/ Instituto Politécnico de Beja (IPBeja), Beja, Portugal, Medical Faculty, Department of Pathology, University of Porto, Porto, Portugal, Laboratory of Medical Investigation (LIM) 14, Faculty of Medicine, University São Paulo, São Paulo, Brazil
  • Pages: 647-657
    |
    Published online on: July 17, 2012
       https://doi.org/10.3892/ol.2012.806
  • Expand metrics +
Metrics: Total Views: 0 (Spandidos Publications: | PMC Statistics: )
Metrics: Total PDF Downloads: 0 (Spandidos Publications: | PMC Statistics: )
Cited By (CrossRef): 0 citations Loading Articles...

This article is mentioned in:



Abstract

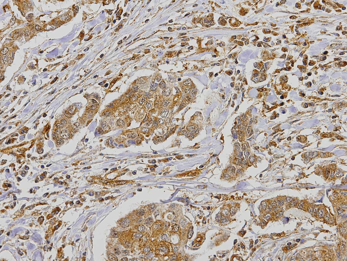
Breast cancer is the most common cause of cancer mortality among women worldwide. Among the several factors associated with breast cancer development, angiogenesis plays an essential role and has currently emerged as a potential diagnostic, prognostic and therapeutic target. Protease-activated receptor 1 (PAR1) and fibroblast growth factor receptor 1 (FGFR1) have important activities in tumor angiogenesis and progression. The aim of this study was to investigate the prognostic significance of these two receptors, hypothesising significant correlations between receptor expression in tumor angiogenesis and clinicopathological parameters customarily used in breast cancer prognosis and prediction. Formalin-fixed and paraffin‑embedded samples of ductal invasive breast carcinomas were used to analyze the expression of PAR1 and FGFR1, in the tumor cells as well as in the tumor stroma, and further determine intratumoral microvessel density (iMVD) to quantify intratumoral angiogenesis. Correlations between PAR1 and FGFR1 expression in tumor cells and stroma, iMVD and several clinicopathological parameters and molecular markers used in breast cancer diagnosis have been addressed. The correlation between PAR1 and FGFR1 suggests an association of the two receptors with a more aggressive breast cancer phenotype and, consequently, a potential role during tumor progression. The results reported in the present study also emphasize the importance of microenvironmental factors in tumor progression, while precluding the positive association between iMVD and breast cancer aggressiveness.
View Figures

Figure 1

Figure 2

View References

1. 

J FerlayHR ShinF BrayD FormanC MathersDM ParkinEstimates of worldwide burden of cancer in 2008: GLOBOCAN 2008Int J Cancer12728932917201010.1002/ijc.2551621351269

2. 

B WeigeltJS Reis-FilhoHistological and molecular types of breast cancer: is there a unifying taxonomy?Nat Rev Clin Oncol6718730200910.1038/nrclinonc.2009.16619942925

3. 

B WeigeltHM HorlingsB KreikeRefinement of breast cancer classification by molecular characterization of histological special typesJ Pathol216141150200810.1002/path.240718720457

4. 

D HanahanRA WeinbergHallmarks of cancer: the next generationCell144646674201110.1016/j.cell.2011.02.01321376230

5. 

L PusztaiCurrent status of prognostic profiling in breast cancerOncologist13350360200810.1634/theoncologist.2007-021618448548

6. 

YJ YinZ SalahM MaozOncogenic transformation induces tumour angiogenesis: a role for PAR1 activationFASEB J17163174200310.1096/fj.02-0316com12554695

7. 

SF WinterVD AcevedoRD GangulaConditional activation of FGFR1 in the prostate epithelium induces angiogenesis with concomitant differential regulation of Ang-1 and Ang-2Oncogene2648974907200710.1038/sj.onc.1210288

8. 

A AgarwalL CovicLM SevignyTargeting a metalloprotease-PAR1 signaling system with cell-penetrating pepducins inhibits angiogenesis, ascites, and progression of ovarian cancerMol Cancer Ther727462757200810.1158/1535-7163.MCT-08-017718790755

9. 

TK VuDT HungVI WheatonSR CoughlinMolecular cloning of a functional thrombin receptor reveals a novel proteolytic mechanism of receptor activationCell6410571068199110.1016/0092-8674(91)90261-V1672265

10. 

PJ O’BrienN PrevostM MolinoMK HollingerMJ WoolkalisDS WoulfeLF BrassThrombin responses in human endothelial cells. Contributions from receptors other than PAR1 include the transactivation of PAR2 by thrombin-cleaved PAR1J Biol Chem2751350213509200010788464

11. 

A BoireL CovicA AgarwalPAR1 is a matrix metalloprotease-1 receptor that promotes invasion and tumourigenesis of breast cancer cellsCell120303313200510.1016/j.cell.2004.12.01815707890

12. 

S BassusO HerkertN KronemannThrombin causes vascular endothelial growth factor expression in vascular smooth muscle cells: role of reactive oxygen speciesArterioscler Thromb Vasc Biol2115501555200110.1161/hq0901.09514811557687

13. 

M DuarteV KolevR SoldiThrombin induces rapid PAR1-mediated non-classical FGF1 releaseBiochem Biophys Res Commun350604609200610.1016/j.bbrc.2006.09.10717027650

14. 

P DelafontaineA AnwarH LouL KuG-protein coupled and tyrosine kinase receptors: evidence that activation of the insulin-like growth factor I receptor is required for thrombin induced mitogenesis of rat aortic smooth muscle cellsJ Clin Invest97139145199610.1172/JCI118381

15. 

BH RauchE MilletteRD KenagyThrombin- and factor Xa-induced DNA synthesis is mediated by transactivation of fibroblast growth factor receptor-1 in human vascular smooth muscle cellsCirc Res94340345200410.1161/01.RES.0000111805.09592.D814670838

16. 

NA HernandezE CorreaEP AvilaPAR1 is selectively over expressed in high grade breast cancer patients: a cohort studyJ Transl Med747200910.1186/1479-5876-7-4719538737

17. 

MR D’AndreaCK DerianRJ SantulliP Andrade-GordonDifferential expression of protease activated receptors-1 and -2 in stromal fibroblasts of normal, benign, and malignant human tissuesAm J Pathol15820312041200111395381

18. 

KL SchwertfegerFibroblast growth factors in development and cancer: insights from the mammary and prostate glandsCurr Drug Targets10632644200910.2174/13894500978868041919601767

19. 

BE WelmKW FreemanM ChenInducible dimerization of FGFR1: development of a mouse model to analyze progressive transformation of the mammary glandJ Cell Biol157703714200210.1083/jcb.20010711912011115

20. 

A MarinhoR SoaresJ FerroAngiogenesis in breast cancer is related to age but not to other prognostic parametersPathol Res Pract193267273199710.1016/S0344-0338(97)80003-99258952

21. 

JD BrentonLA CareyAA AhmedC CaldasMolecular classification and molecular forecasting of breast cancer: ready for clinical application?J Clin Oncol2373507360200510.1200/JCO.2005.03.384516145060

22. 

J ParedesAL CorreiaAS RibeiroBreast carcinomas that co-express E- and P-cadherin are associated with p120-catenin cytoplasmic localisation and poor patient survivalJ Clin Pathol61856862200810.1136/jcp.2007.05270418381381

23. 

J ParedesF MilaneziL ViegasP-cadherin expression is associated with high-grade ductal carcinoma in situ of the breastVirchows Arch4401621200210.1007/s00428010048711942571

24. 

E YangA BoireA AgarwalBlockade of PAR1 signaling with cell-penetrating pepducins inhibits Akt survival pathways in breast cancer cells and suppresses tumour survival and metastasisCancer Res6962236231200910.1158/0008-5472.CAN-09-018719622769

25. 

S Even-RamB UzielyP CohenThrombin receptor over-expression in malignant and physiological invasion processesNat Med4909914199810.1038/nm0898-9099701242

26. 

JC Bourdonp53 and its isoforms in cancerBr J Cancer97277282200710.1038/sj.bjc.660388617637683

27. 

K SuyamaI ShapiroM GuttmanRB HazanA signaling pathway leading to metastasis is controlled by N-cadherin and the FGF receptorCancer Cell2301314200210.1016/S1535-6108(02)00150-212398894

28. 

W XianKL SchwertfegerT Vargo-GogolaJM RosenPleiotropic effects of FGFR1 on cell proliferation, survival, and migration in a 3D mammary epithelial cell modelJ Cell Biol171663673200510.1083/jcb.20050509816301332

29. 

JS Reis-FilhoPT SimpsonNC TurnerFGFR1 emerges as a potential therapeutic target for lobular breast carcinomasClin Cancer Res1266526662200610.1158/1078-0432.CCR-06-116417121884

30. 

S Elbauomy ElsheikhAR GreenMB LambrosFGFR1 amplification in breast carcinomas: a chromogenic in situ hybridisation analysisBreast Cancer Res9R23200717397528

31. 

R GroseC DicksonFibroblast growth factor signaling in tumourigenesisCytokine Growth Factor Rev16179186200510.1016/j.cytogfr.2005.01.00315863033

32. 

J HasanR ByersGC JaysonIntratumoural microvessel density in human solid tumoursBr J Cancer8615661577200210.1038/sj.bjc.660031512085206

33. 

N LopesB SousaD VieiraVessel density assessed by endoglin expression in breast carcinomas with different expression profilesHistopathology55594599200910.1111/j.1365-2559.2009.03417.x19912365

Related Articles

  • Abstract
  • View
  • Download
  • Twitter
Copy and paste a formatted citation
Spandidos Publications style
Tiburcio M, Costa SM, Duarte Md, Schmitt FC and Filho AL: Characterization of PAR1 and FGFR1 expression in invasive breast carcinomas: Prognostic significance. Oncol Lett 4: 647-657, 2012.
APA
Tiburcio, M., Costa, S.M., Duarte, M.d., Schmitt, F.C., & Filho, A.L. (2012). Characterization of PAR1 and FGFR1 expression in invasive breast carcinomas: Prognostic significance. Oncology Letters, 4, 647-657. https://doi.org/10.3892/ol.2012.806
MLA
Tiburcio, M., Costa, S. M., Duarte, M. d., Schmitt, F. C., Filho, A. L."Characterization of PAR1 and FGFR1 expression in invasive breast carcinomas: Prognostic significance". Oncology Letters 4.4 (2012): 647-657.
Chicago
Tiburcio, M., Costa, S. M., Duarte, M. d., Schmitt, F. C., Filho, A. L."Characterization of PAR1 and FGFR1 expression in invasive breast carcinomas: Prognostic significance". Oncology Letters 4, no. 4 (2012): 647-657. https://doi.org/10.3892/ol.2012.806
Copy and paste a formatted citation
x
Spandidos Publications style
Tiburcio M, Costa SM, Duarte Md, Schmitt FC and Filho AL: Characterization of PAR1 and FGFR1 expression in invasive breast carcinomas: Prognostic significance. Oncol Lett 4: 647-657, 2012.
APA
Tiburcio, M., Costa, S.M., Duarte, M.d., Schmitt, F.C., & Filho, A.L. (2012). Characterization of PAR1 and FGFR1 expression in invasive breast carcinomas: Prognostic significance. Oncology Letters, 4, 647-657. https://doi.org/10.3892/ol.2012.806
MLA
Tiburcio, M., Costa, S. M., Duarte, M. d., Schmitt, F. C., Filho, A. L."Characterization of PAR1 and FGFR1 expression in invasive breast carcinomas: Prognostic significance". Oncology Letters 4.4 (2012): 647-657.
Chicago
Tiburcio, M., Costa, S. M., Duarte, M. d., Schmitt, F. C., Filho, A. L."Characterization of PAR1 and FGFR1 expression in invasive breast carcinomas: Prognostic significance". Oncology Letters 4, no. 4 (2012): 647-657. https://doi.org/10.3892/ol.2012.806
Follow us
  • Twitter
  • LinkedIn
  • Facebook
About
  • Spandidos Publications
  • Careers
  • Cookie Policy
  • Privacy Policy
How can we help?
  • Help
  • Live Chat
  • Contact
  • Email to our Support Team