Spandidos Publications Logo
  • About
    • About Spandidos
    • Aims and Scopes
    • Abstracting and Indexing
    • Editorial Policies
    • Reprints and Permissions
    • Job Opportunities
    • Terms and Conditions
    • Contact
  • Journals
    • All Journals
    • Oncology Letters
      • Oncology Letters
      • Information for Authors
      • Editorial Policies
      • Editorial Board
      • Aims and Scope
      • Abstracting and Indexing
      • Bibliographic Information
      • Archive
    • International Journal of Oncology
      • International Journal of Oncology
      • Information for Authors
      • Editorial Policies
      • Editorial Board
      • Aims and Scope
      • Abstracting and Indexing
      • Bibliographic Information
      • Archive
    • Molecular and Clinical Oncology
      • Molecular and Clinical Oncology
      • Information for Authors
      • Editorial Policies
      • Editorial Board
      • Aims and Scope
      • Abstracting and Indexing
      • Bibliographic Information
      • Archive
    • Experimental and Therapeutic Medicine
      • Experimental and Therapeutic Medicine
      • Information for Authors
      • Editorial Policies
      • Editorial Board
      • Aims and Scope
      • Abstracting and Indexing
      • Bibliographic Information
      • Archive
    • International Journal of Molecular Medicine
      • International Journal of Molecular Medicine
      • Information for Authors
      • Editorial Policies
      • Editorial Board
      • Aims and Scope
      • Abstracting and Indexing
      • Bibliographic Information
      • Archive
    • Biomedical Reports
      • Biomedical Reports
      • Information for Authors
      • Editorial Policies
      • Editorial Board
      • Aims and Scope
      • Abstracting and Indexing
      • Bibliographic Information
      • Archive
    • Oncology Reports
      • Oncology Reports
      • Information for Authors
      • Editorial Policies
      • Editorial Board
      • Aims and Scope
      • Abstracting and Indexing
      • Bibliographic Information
      • Archive
    • Molecular Medicine Reports
      • Molecular Medicine Reports
      • Information for Authors
      • Editorial Policies
      • Editorial Board
      • Aims and Scope
      • Abstracting and Indexing
      • Bibliographic Information
      • Archive
    • World Academy of Sciences Journal
      • World Academy of Sciences Journal
      • Information for Authors
      • Editorial Policies
      • Editorial Board
      • Aims and Scope
      • Abstracting and Indexing
      • Bibliographic Information
      • Archive
    • International Journal of Functional Nutrition
      • International Journal of Functional Nutrition
      • Information for Authors
      • Editorial Policies
      • Editorial Board
      • Aims and Scope
      • Abstracting and Indexing
      • Bibliographic Information
      • Archive
    • International Journal of Epigenetics
      • International Journal of Epigenetics
      • Information for Authors
      • Editorial Policies
      • Editorial Board
      • Aims and Scope
      • Abstracting and Indexing
      • Bibliographic Information
      • Archive
    • Medicine International
      • Medicine International
      • Information for Authors
      • Editorial Policies
      • Editorial Board
      • Aims and Scope
      • Abstracting and Indexing
      • Bibliographic Information
      • Archive
  • Articles
  • Information
    • Information for Authors
    • Information for Reviewers
    • Information for Librarians
    • Information for Advertisers
    • Conferences
  • Language Editing
Spandidos Publications Logo
  • About
    • About Spandidos
    • Aims and Scopes
    • Abstracting and Indexing
    • Editorial Policies
    • Reprints and Permissions
    • Job Opportunities
    • Terms and Conditions
    • Contact
  • Journals
    • All Journals
    • Biomedical Reports
      • Information for Authors
      • Editorial Policies
      • Editorial Board
      • Aims and Scope
      • Abstracting and Indexing
      • Bibliographic Information
      • Archive
    • Experimental and Therapeutic Medicine
      • Information for Authors
      • Editorial Policies
      • Editorial Board
      • Aims and Scope
      • Abstracting and Indexing
      • Bibliographic Information
      • Archive
    • International Journal of Epigenetics
      • Information for Authors
      • Editorial Policies
      • Editorial Board
      • Aims and Scope
      • Abstracting and Indexing
      • Bibliographic Information
      • Archive
    • International Journal of Functional Nutrition
      • Information for Authors
      • Editorial Policies
      • Editorial Board
      • Aims and Scope
      • Abstracting and Indexing
      • Bibliographic Information
      • Archive
    • International Journal of Molecular Medicine
      • Information for Authors
      • Editorial Policies
      • Editorial Board
      • Aims and Scope
      • Abstracting and Indexing
      • Bibliographic Information
      • Archive
    • International Journal of Oncology
      • Information for Authors
      • Editorial Policies
      • Editorial Board
      • Aims and Scope
      • Abstracting and Indexing
      • Bibliographic Information
      • Archive
    • Medicine International
      • Information for Authors
      • Editorial Policies
      • Editorial Board
      • Aims and Scope
      • Abstracting and Indexing
      • Bibliographic Information
      • Archive
    • Molecular and Clinical Oncology
      • Information for Authors
      • Editorial Policies
      • Editorial Board
      • Aims and Scope
      • Abstracting and Indexing
      • Bibliographic Information
      • Archive
    • Molecular Medicine Reports
      • Information for Authors
      • Editorial Policies
      • Editorial Board
      • Aims and Scope
      • Abstracting and Indexing
      • Bibliographic Information
      • Archive
    • Oncology Letters
      • Information for Authors
      • Editorial Policies
      • Editorial Board
      • Aims and Scope
      • Abstracting and Indexing
      • Bibliographic Information
      • Archive
    • Oncology Reports
      • Information for Authors
      • Editorial Policies
      • Editorial Board
      • Aims and Scope
      • Abstracting and Indexing
      • Bibliographic Information
      • Archive
    • World Academy of Sciences Journal
      • Information for Authors
      • Editorial Policies
      • Editorial Board
      • Aims and Scope
      • Abstracting and Indexing
      • Bibliographic Information
      • Archive
  • Articles
  • Information
    • For Authors
    • For Reviewers
    • For Librarians
    • For Advertisers
    • Conferences
  • Language Editing
Login Register Submit
  • This site uses cookies
  • You can change your cookie settings at any time by following the instructions in our Cookie Policy. To find out more, you may read our Privacy Policy.

    I agree
Search articles by DOI, keyword, author or affiliation
Search
Advanced Search
presentation
Oncology Letters
Join Editorial Board Propose a Special Issue
Print ISSN: 1792-1074 Online ISSN: 1792-1082
Journal Cover
October 2012 Volume 4 Issue 4

Full Size Image

Sign up for eToc alerts
Recommend to Library

Journals

International Journal of Molecular Medicine

International Journal of Molecular Medicine

International Journal of Molecular Medicine is an international journal devoted to molecular mechanisms of human disease.

International Journal of Oncology

International Journal of Oncology

International Journal of Oncology is an international journal devoted to oncology research and cancer treatment.

Molecular Medicine Reports

Molecular Medicine Reports

Covers molecular medicine topics such as pharmacology, pathology, genetics, neuroscience, infectious diseases, molecular cardiology, and molecular surgery.

Oncology Reports

Oncology Reports

Oncology Reports is an international journal devoted to fundamental and applied research in Oncology.

Experimental and Therapeutic Medicine

Experimental and Therapeutic Medicine

Experimental and Therapeutic Medicine is an international journal devoted to laboratory and clinical medicine.

Oncology Letters

Oncology Letters

Oncology Letters is an international journal devoted to Experimental and Clinical Oncology.

Biomedical Reports

Biomedical Reports

Explores a wide range of biological and medical fields, including pharmacology, genetics, microbiology, neuroscience, and molecular cardiology.

Molecular and Clinical Oncology

Molecular and Clinical Oncology

International journal addressing all aspects of oncology research, from tumorigenesis and oncogenes to chemotherapy and metastasis.

World Academy of Sciences Journal

World Academy of Sciences Journal

Multidisciplinary open-access journal spanning biochemistry, genetics, neuroscience, environmental health, and synthetic biology.

International Journal of Functional Nutrition

International Journal of Functional Nutrition

Open-access journal combining biochemistry, pharmacology, immunology, and genetics to advance health through functional nutrition.

International Journal of Epigenetics

International Journal of Epigenetics

Publishes open-access research on using epigenetics to advance understanding and treatment of human disease.

Medicine International

Medicine International

An International Open Access Journal Devoted to General Medicine.

Journal Cover
October 2012 Volume 4 Issue 4

Full Size Image

Sign up for eToc alerts
Recommend to Library

  • Article
  • Citations
    • Cite This Article
    • Download Citation
    • Create Citation Alert
    • Remove Citation Alert
    • Cited By
  • Similar Articles
    • Related Articles (in Spandidos Publications)
    • Similar Articles (Google Scholar)
    • Similar Articles (PubMed)
  • Download PDF
  • Download XML
  • View XML
Article

Adenoid cystic carcinoma of the breast: Review of the literature and report of two cases

  • Authors:
    • Shaohua Wang
    • Xiangjun Ji
    • Yao Wei
    • Zeping Yu
    • Ning Li
  • View Affiliations / Copyright

    Affiliations: Department of General Surgery, Nanjing Jinling Hospital, Nanjing University, Nanjing, Jiangsu 210002, P.R. China
  • Pages: 701-704
    |
    Published online on: July 24, 2012
       https://doi.org/10.3892/ol.2012.818
  • Expand metrics +
Metrics: Total Views: 0 (Spandidos Publications: | PMC Statistics: )
Metrics: Total PDF Downloads: 0 (Spandidos Publications: | PMC Statistics: )
Cited By (CrossRef): 0 citations Loading Articles...

This article is mentioned in:



Abstract

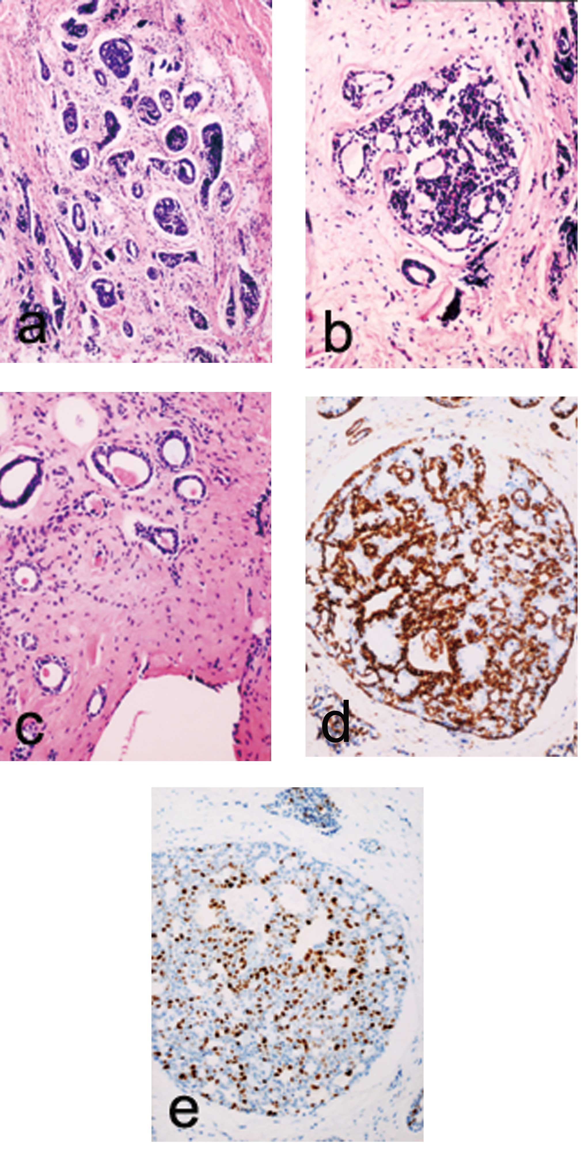
In this study, we report two cases of adenoid cystic carcinoma (ACC) of the breast. Two women presented to our hospital with a tender lump in the breast. Mammography and ultrasonography both revealed an ill-defined mass in the breast. We performed modified radical mastectomies on the patients, and pathological assessment following surgery showed ACC of the breast. Both patients received chemotherapy following surgery, have been followed up to date and remain in good health. In this study, we report these two rare cases and review the existing literature regarding ACC of the breast.
View Figures

Figure 1

Figure 2

Figure 3

View References

1. 

YM LawST QuekPH TanSL WongAdenoid cystic carcinoma of the breastSingapore Med J50e8e11200919224074

2. 

FJ CavanzoHB TaylorAdenoid cystic carcinoma of the breast: an analysis of 21 casesCancer2474074519694309694

3. 

GN PetersM WolffAdenoid cystic carcinoma of the breast. Report of 11 new cases: Review of the literature and discussion of biological behaviorCancer5268068619836305483

4. 

S AzoulayM LaéP FréneauxS MerleKIT is highly expressed in adenoid cystic carcinoma of the breast, a basal-like carcinoma associated with a favorable outcomeMod Pathol1816231631200516258515

5. 

R LeemingM JenkinsG MendelsonAdenoid cystic carcinoma of the breastArch Surg127233235199210.1001/archsurg.1992.014200201270191311551

6. 

JH McClenathanG de la RozaAdenoid cystic breast cancerAm J Surg183646649200210.1016/S0002-9610(02)00858-912095593

7. 

G SantamaríaM VelascoG ZanónB FarrúsAdenoid cystic carcinoma of the breast: mammographic appearance and pathologic correlationAm J Roentgenol1711679168319989843312

8. 

A SaqiCL MercadoD Hamele-BenaAdenoid cystic carcinoma of the breast diagnosed by fine-needle aspirationDiagn Cytopathol30271274200415048965

9. 

BE SumpioTA JenningsMJ MerinoPD SullivanAdenoid cystic carcinoma of the breast. Data from the Connecticut Tumor Registry and a review of the literatureAnn Surg205295301198710.1097/00000658-198703000-000133030200

10. 

G ArpinoGM ClarkS MohsinVJ BardouAdenoid cystic carcinoma of the breast: molecular markers, treatment and clinical outcomeCancer9421192127200210.1002/cncr.1045512001107

11. 

WT YangTQ ZhangMC ShenAdenoid cystic carcinoma of the breast: report of four cases and review of the literatureJ Clin Exp Pathol2110132005

12. 

G AcsJF SimpsonIJ BleiweissJ HughMicroglandular adenosis with transition into adenoid cystic carcinoma of the breastAm J Surg Pathol2710521060200310.1097/00000478-200308000-0000212883237

13. 

JY RoEG SilvaHS GallagerAdenoid cystic carcinoma of the breastHum Pathol1812761281198710.1016/S0046-8177(87)80413-62824330

14. 

CG KleerHA ObermanAdenoid cystic carcinoma of the breast: value of histologic grading and proliferative activityAm J Surg Pathol22569575199810.1097/00000478-199805000-000089591727

15. 

JH YoukMJ KimEK KimJY LeeRecurrence of adenoid cystic carcinoma in the breast after lumpectomy and adjuvant therapyJ Ultrasound Med25921924200616798905

Related Articles

  • Abstract
  • View
  • Download
  • Twitter
Copy and paste a formatted citation
Spandidos Publications style
Wang S, Ji X, Wei Y, Yu Z and Li N: Adenoid cystic carcinoma of the breast: Review of the literature and report of two cases. Oncol Lett 4: 701-704, 2012.
APA
Wang, S., Ji, X., Wei, Y., Yu, Z., & Li, N. (2012). Adenoid cystic carcinoma of the breast: Review of the literature and report of two cases. Oncology Letters, 4, 701-704. https://doi.org/10.3892/ol.2012.818
MLA
Wang, S., Ji, X., Wei, Y., Yu, Z., Li, N."Adenoid cystic carcinoma of the breast: Review of the literature and report of two cases". Oncology Letters 4.4 (2012): 701-704.
Chicago
Wang, S., Ji, X., Wei, Y., Yu, Z., Li, N."Adenoid cystic carcinoma of the breast: Review of the literature and report of two cases". Oncology Letters 4, no. 4 (2012): 701-704. https://doi.org/10.3892/ol.2012.818
Copy and paste a formatted citation
x
Spandidos Publications style
Wang S, Ji X, Wei Y, Yu Z and Li N: Adenoid cystic carcinoma of the breast: Review of the literature and report of two cases. Oncol Lett 4: 701-704, 2012.
APA
Wang, S., Ji, X., Wei, Y., Yu, Z., & Li, N. (2012). Adenoid cystic carcinoma of the breast: Review of the literature and report of two cases. Oncology Letters, 4, 701-704. https://doi.org/10.3892/ol.2012.818
MLA
Wang, S., Ji, X., Wei, Y., Yu, Z., Li, N."Adenoid cystic carcinoma of the breast: Review of the literature and report of two cases". Oncology Letters 4.4 (2012): 701-704.
Chicago
Wang, S., Ji, X., Wei, Y., Yu, Z., Li, N."Adenoid cystic carcinoma of the breast: Review of the literature and report of two cases". Oncology Letters 4, no. 4 (2012): 701-704. https://doi.org/10.3892/ol.2012.818
Follow us
  • Twitter
  • LinkedIn
  • Facebook
About
  • Spandidos Publications
  • Careers
  • Cookie Policy
  • Privacy Policy
How can we help?
  • Help
  • Live Chat
  • Contact
  • Email to our Support Team