Spandidos Publications Logo
  • About
    • About Spandidos
    • Aims and Scopes
    • Abstracting and Indexing
    • Editorial Policies
    • Reprints and Permissions
    • Job Opportunities
    • Terms and Conditions
    • Contact
  • Journals
    • All Journals
    • Oncology Letters
      • Oncology Letters
      • Information for Authors
      • Editorial Policies
      • Editorial Board
      • Aims and Scope
      • Abstracting and Indexing
      • Bibliographic Information
      • Archive
    • International Journal of Oncology
      • International Journal of Oncology
      • Information for Authors
      • Editorial Policies
      • Editorial Board
      • Aims and Scope
      • Abstracting and Indexing
      • Bibliographic Information
      • Archive
    • Molecular and Clinical Oncology
      • Molecular and Clinical Oncology
      • Information for Authors
      • Editorial Policies
      • Editorial Board
      • Aims and Scope
      • Abstracting and Indexing
      • Bibliographic Information
      • Archive
    • Experimental and Therapeutic Medicine
      • Experimental and Therapeutic Medicine
      • Information for Authors
      • Editorial Policies
      • Editorial Board
      • Aims and Scope
      • Abstracting and Indexing
      • Bibliographic Information
      • Archive
    • International Journal of Molecular Medicine
      • International Journal of Molecular Medicine
      • Information for Authors
      • Editorial Policies
      • Editorial Board
      • Aims and Scope
      • Abstracting and Indexing
      • Bibliographic Information
      • Archive
    • Biomedical Reports
      • Biomedical Reports
      • Information for Authors
      • Editorial Policies
      • Editorial Board
      • Aims and Scope
      • Abstracting and Indexing
      • Bibliographic Information
      • Archive
    • Oncology Reports
      • Oncology Reports
      • Information for Authors
      • Editorial Policies
      • Editorial Board
      • Aims and Scope
      • Abstracting and Indexing
      • Bibliographic Information
      • Archive
    • Molecular Medicine Reports
      • Molecular Medicine Reports
      • Information for Authors
      • Editorial Policies
      • Editorial Board
      • Aims and Scope
      • Abstracting and Indexing
      • Bibliographic Information
      • Archive
    • World Academy of Sciences Journal
      • World Academy of Sciences Journal
      • Information for Authors
      • Editorial Policies
      • Editorial Board
      • Aims and Scope
      • Abstracting and Indexing
      • Bibliographic Information
      • Archive
    • International Journal of Functional Nutrition
      • International Journal of Functional Nutrition
      • Information for Authors
      • Editorial Policies
      • Editorial Board
      • Aims and Scope
      • Abstracting and Indexing
      • Bibliographic Information
      • Archive
    • International Journal of Epigenetics
      • International Journal of Epigenetics
      • Information for Authors
      • Editorial Policies
      • Editorial Board
      • Aims and Scope
      • Abstracting and Indexing
      • Bibliographic Information
      • Archive
    • Medicine International
      • Medicine International
      • Information for Authors
      • Editorial Policies
      • Editorial Board
      • Aims and Scope
      • Abstracting and Indexing
      • Bibliographic Information
      • Archive
  • Articles
  • Information
    • Information for Authors
    • Information for Reviewers
    • Information for Librarians
    • Information for Advertisers
    • Conferences
  • Language Editing
Spandidos Publications Logo
  • About
    • About Spandidos
    • Aims and Scopes
    • Abstracting and Indexing
    • Editorial Policies
    • Reprints and Permissions
    • Job Opportunities
    • Terms and Conditions
    • Contact
  • Journals
    • All Journals
    • Biomedical Reports
      • Information for Authors
      • Editorial Policies
      • Editorial Board
      • Aims and Scope
      • Abstracting and Indexing
      • Bibliographic Information
      • Archive
    • Experimental and Therapeutic Medicine
      • Information for Authors
      • Editorial Policies
      • Editorial Board
      • Aims and Scope
      • Abstracting and Indexing
      • Bibliographic Information
      • Archive
    • International Journal of Epigenetics
      • Information for Authors
      • Editorial Policies
      • Editorial Board
      • Aims and Scope
      • Abstracting and Indexing
      • Bibliographic Information
      • Archive
    • International Journal of Functional Nutrition
      • Information for Authors
      • Editorial Policies
      • Editorial Board
      • Aims and Scope
      • Abstracting and Indexing
      • Bibliographic Information
      • Archive
    • International Journal of Molecular Medicine
      • Information for Authors
      • Editorial Policies
      • Editorial Board
      • Aims and Scope
      • Abstracting and Indexing
      • Bibliographic Information
      • Archive
    • International Journal of Oncology
      • Information for Authors
      • Editorial Policies
      • Editorial Board
      • Aims and Scope
      • Abstracting and Indexing
      • Bibliographic Information
      • Archive
    • Medicine International
      • Information for Authors
      • Editorial Policies
      • Editorial Board
      • Aims and Scope
      • Abstracting and Indexing
      • Bibliographic Information
      • Archive
    • Molecular and Clinical Oncology
      • Information for Authors
      • Editorial Policies
      • Editorial Board
      • Aims and Scope
      • Abstracting and Indexing
      • Bibliographic Information
      • Archive
    • Molecular Medicine Reports
      • Information for Authors
      • Editorial Policies
      • Editorial Board
      • Aims and Scope
      • Abstracting and Indexing
      • Bibliographic Information
      • Archive
    • Oncology Letters
      • Information for Authors
      • Editorial Policies
      • Editorial Board
      • Aims and Scope
      • Abstracting and Indexing
      • Bibliographic Information
      • Archive
    • Oncology Reports
      • Information for Authors
      • Editorial Policies
      • Editorial Board
      • Aims and Scope
      • Abstracting and Indexing
      • Bibliographic Information
      • Archive
    • World Academy of Sciences Journal
      • Information for Authors
      • Editorial Policies
      • Editorial Board
      • Aims and Scope
      • Abstracting and Indexing
      • Bibliographic Information
      • Archive
  • Articles
  • Information
    • For Authors
    • For Reviewers
    • For Librarians
    • For Advertisers
    • Conferences
  • Language Editing
Login Register Submit
  • This site uses cookies
  • You can change your cookie settings at any time by following the instructions in our Cookie Policy. To find out more, you may read our Privacy Policy.

    I agree
Search articles by DOI, keyword, author or affiliation
Search
Advanced Search
presentation
Oncology Letters
Join Editorial Board Propose a Special Issue
Print ISSN: 1792-1074 Online ISSN: 1792-1082
Journal Cover
October 2012 Volume 4 Issue 4

Full Size Image

Sign up for eToc alerts
Recommend to Library

Journals

International Journal of Molecular Medicine

International Journal of Molecular Medicine

International Journal of Molecular Medicine is an international journal devoted to molecular mechanisms of human disease.

International Journal of Oncology

International Journal of Oncology

International Journal of Oncology is an international journal devoted to oncology research and cancer treatment.

Molecular Medicine Reports

Molecular Medicine Reports

Covers molecular medicine topics such as pharmacology, pathology, genetics, neuroscience, infectious diseases, molecular cardiology, and molecular surgery.

Oncology Reports

Oncology Reports

Oncology Reports is an international journal devoted to fundamental and applied research in Oncology.

Experimental and Therapeutic Medicine

Experimental and Therapeutic Medicine

Experimental and Therapeutic Medicine is an international journal devoted to laboratory and clinical medicine.

Oncology Letters

Oncology Letters

Oncology Letters is an international journal devoted to Experimental and Clinical Oncology.

Biomedical Reports

Biomedical Reports

Explores a wide range of biological and medical fields, including pharmacology, genetics, microbiology, neuroscience, and molecular cardiology.

Molecular and Clinical Oncology

Molecular and Clinical Oncology

International journal addressing all aspects of oncology research, from tumorigenesis and oncogenes to chemotherapy and metastasis.

World Academy of Sciences Journal

World Academy of Sciences Journal

Multidisciplinary open-access journal spanning biochemistry, genetics, neuroscience, environmental health, and synthetic biology.

International Journal of Functional Nutrition

International Journal of Functional Nutrition

Open-access journal combining biochemistry, pharmacology, immunology, and genetics to advance health through functional nutrition.

International Journal of Epigenetics

International Journal of Epigenetics

Publishes open-access research on using epigenetics to advance understanding and treatment of human disease.

Medicine International

Medicine International

An International Open Access Journal Devoted to General Medicine.

Journal Cover
October 2012 Volume 4 Issue 4

Full Size Image

Sign up for eToc alerts
Recommend to Library

  • Article
  • Citations
    • Cite This Article
    • Download Citation
    • Create Citation Alert
    • Remove Citation Alert
    • Cited By
  • Similar Articles
    • Related Articles (in Spandidos Publications)
    • Similar Articles (Google Scholar)
    • Similar Articles (PubMed)
  • Download PDF
  • Download XML
  • View XML
Article

Contrast-enhanced ultrasonography of the rabbit VX2 tumor model: Analysis of vascular pathology

  • Authors:
    • Yanjun Liu
    • Weidong Ren
    • Caigang Liu
    • Kun Huang
    • Yueqin  Feng
    • Xuemei Wang
    • Yuzhang Tong
  • View Affiliations / Copyright

    Affiliations: Department of Ultrasound, First Affiliated Hospital, China Medical University, Shenyang 110001, P.R. China, Department of Breast Surgery, General Surgery, The First Hospital of China Medical University, Shenyang 110001, P.R. China, Department of Regional Anatomy, China Medical University, Shenyang 110001, P.R. China
  • Pages: 685-690
    |
    Published online on: July 24, 2012
       https://doi.org/10.3892/ol.2012.819
  • Expand metrics +
Metrics: Total Views: 0 (Spandidos Publications: | PMC Statistics: )
Metrics: Total PDF Downloads: 0 (Spandidos Publications: | PMC Statistics: )
Cited By (CrossRef): 0 citations Loading Articles...

This article is mentioned in:



Abstract

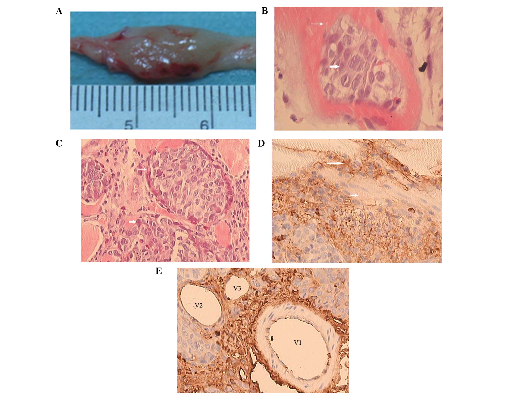
The accuracy of diagnosing tumors may be improved significantly by detecting the microvascular distribution. Indeed, contrast-enhanced ultrasonography (CEUS) has shown a distinct advantage in detecting microvasculature. This study aimed to determine the angiogenic characteristics of VX2 tumors in rabbits using CEUS. A total of 17 rabbits were injected with 0.5 ml VX2 cell suspension into the muscles of both hind legs to prepare the VX2 tumor models. At 14, 21, 28 and 35 days after tumor inoculation, CEUS was performed on the rabbits with 0.3 ml SonoVue following a local anesthesia. The pathological findings of the tumors were compared. A total of 12 rabbits survived after being inoculated with the tumor cells and developed a total of 38 tumors. The size of the tumors ranged from 1.12 to 10.85 cm. Using CEUS, all tumors demonstrated rim enhancement with some unenhanced regions. Enhancement began from the peripheral region and quickly showed internal reticular vessels. Regardless of the tumor size or the presence of necrosis, no complete enhancement of the tumors was observed. On microscopic examination, VX2 tumor cells were detected in striated muscles, immature blood capillaries and fibrosis tissues scattered in tumor nests. Immunohistochemical examination revealed that CD34+ cells appeared mainly in the muscles adjacent to vessels. In conclusion, CEUS may be an efficient method to evaluate angiogenesis and blood perfusion in VX2 tumors.
View Figures

Figure 1

Figure 2

Figure 3

Figure 4

View References

1. 

E GeorgesF BreitburdN JibardG OrthTwo Shope papillomavirus-associated VX2 carcinoma cell lines with different levels of keratinocyte differentiation and transplantabilityJ Virol552462501985

2. 

C LiW WangH DingB HuangJ CaoF MaoZ JiValue of contrast-enhanced sonography in the diagnosis of peripheral intrahepatic cholangiocarcinomaJ Clin Ultrasound39447453201110.1002/jcu.2079721626512

3. 

E DomenechD Berná-Serna JdeL PoloM ReusD Berná-Mestre JdeM CanterasEffect of SonoVue on the synovial membrane in rabbit kneesJ Ultrasound Med3012411246201121876095

4. 

S TaoZ QinW HaoL YongquanY LanhuiY LeiUsefulness of gray-scale contrast-enhanced ultrasonography (SonoVue®) in diagnosing hepatic alveolar echinococcosisUltrasound Med Biol3710241028201110.1016/j.ultrasmedbio.2011.04.01421640477

5. 

KC LeeWK MoonJW ChungAssessment of lymph node metastases by contrast-enhanced MR imaging in a head and neck cancer modelKorean J Radiol8914200710.3348/kjr.2007.8.1.917277558

6. 

A SonodaN NittaA Nitta-SekoTime-course studies of implanted rabbit VX2 liver tumors to identify the appropriate time for starting hepatic arterial embolization in animal modelsOncology809296201110.1159/00032876321677452

7. 

AA DünneR MandicA RamaswamyLymphogenic metastatic spread of auricular VX2 carcinoma in New Zealand white rabbitsAnticancer Res22327332792002

8. 

AA DünneA SchmidtC KuropkatA RamaswamyS SchulzJA WernerThe auricular VX2 carcinoma--an animal model for sentinel node conceptIn Vivo17457461200314598609

9. 

XF LiuLR RenGY SuEstablishment and characterization of a rabbit tumor cell line VX2Zhonghua Bing Li Xue Za Zhi346616632005(In Chinese)

10. 

R MandicAA DünneN EikelkampExpression of MMP-3, MMP-13, TMP-2 and TMP-3 in the VX2 carcinoma of the New Zealand white rabbitAnticancer Res2232813284200212530076

11. 

J LiB DongX YuC LiUltrasonographic portography with low mechanical index gray-scale imaging in hepatic VX2 tumorUltrasound Med Biol32641647200610.1016/j.ultrasmedbio.2006.01.00816677923

12. 

H MaruyamaS MatsutaniH SaishoN KamiyamaY MineT HirataM SasamataSonographic shift of hypervascular liver tumor on blood pool harmonic images with definity: time-related changes of contrast-enhanced appearance in rabbit VX2 tumor under extra-low acoustic powerEur J Radiol566065200510.1016/j.ejrad.2005.04.004

13. 

DL SimmonsAB SatterthwaiteDG TenenB SeedMolecular cloning of a cDNA encoding CD34, a sialomucin of human hematopoietic stem cellsJ Immunol14826727119921370171

14. 

N XingZL CaiSH ZhaoL YangBX XuFL WangThe use of CT perfusion to determine microvessel density in lung cancer: Comparison with FDG-PET and pathologyChinese J Cancer Res23118122201110.1007/s11670-011-0118-z23483098

15. 

IJ FidlerLM EllisNeoplastic angiogenesis - not all blood vessels are created equalN Engl J Med351215216200410.1056/NEJMp04808015254281

16. 

S ElagozR EgilmezA KoyuncuA MuslehiddinogluS AriciThe intratumoral microvessel density and expression of bFGF and nm23-H1 in colorectal cancerPathol Oncol Res122127200610.1007/BF0289342716554912

Related Articles

  • Abstract
  • View
  • Download
  • Twitter
Copy and paste a formatted citation
Spandidos Publications style
Liu Y, Ren W, Liu C, Huang K, Feng Y, Wang X and Tong Y: Contrast-enhanced ultrasonography of the rabbit VX2 tumor model: Analysis of vascular pathology. Oncol Lett 4: 685-690, 2012.
APA
Liu, Y., Ren, W., Liu, C., Huang, K., Feng, Y., Wang, X., & Tong, Y. (2012). Contrast-enhanced ultrasonography of the rabbit VX2 tumor model: Analysis of vascular pathology. Oncology Letters, 4, 685-690. https://doi.org/10.3892/ol.2012.819
MLA
Liu, Y., Ren, W., Liu, C., Huang, K., Feng, Y., Wang, X., Tong, Y."Contrast-enhanced ultrasonography of the rabbit VX2 tumor model: Analysis of vascular pathology". Oncology Letters 4.4 (2012): 685-690.
Chicago
Liu, Y., Ren, W., Liu, C., Huang, K., Feng, Y., Wang, X., Tong, Y."Contrast-enhanced ultrasonography of the rabbit VX2 tumor model: Analysis of vascular pathology". Oncology Letters 4, no. 4 (2012): 685-690. https://doi.org/10.3892/ol.2012.819
Copy and paste a formatted citation
x
Spandidos Publications style
Liu Y, Ren W, Liu C, Huang K, Feng Y, Wang X and Tong Y: Contrast-enhanced ultrasonography of the rabbit VX2 tumor model: Analysis of vascular pathology. Oncol Lett 4: 685-690, 2012.
APA
Liu, Y., Ren, W., Liu, C., Huang, K., Feng, Y., Wang, X., & Tong, Y. (2012). Contrast-enhanced ultrasonography of the rabbit VX2 tumor model: Analysis of vascular pathology. Oncology Letters, 4, 685-690. https://doi.org/10.3892/ol.2012.819
MLA
Liu, Y., Ren, W., Liu, C., Huang, K., Feng, Y., Wang, X., Tong, Y."Contrast-enhanced ultrasonography of the rabbit VX2 tumor model: Analysis of vascular pathology". Oncology Letters 4.4 (2012): 685-690.
Chicago
Liu, Y., Ren, W., Liu, C., Huang, K., Feng, Y., Wang, X., Tong, Y."Contrast-enhanced ultrasonography of the rabbit VX2 tumor model: Analysis of vascular pathology". Oncology Letters 4, no. 4 (2012): 685-690. https://doi.org/10.3892/ol.2012.819
Follow us
  • Twitter
  • LinkedIn
  • Facebook
About
  • Spandidos Publications
  • Careers
  • Cookie Policy
  • Privacy Policy
How can we help?
  • Help
  • Live Chat
  • Contact
  • Email to our Support Team