Spandidos Publications Logo
  • About
    • About Spandidos
    • Aims and Scopes
    • Abstracting and Indexing
    • Editorial Policies
    • Reprints and Permissions
    • Job Opportunities
    • Terms and Conditions
    • Contact
  • Journals
    • All Journals
    • Oncology Letters
      • Oncology Letters
      • Information for Authors
      • Editorial Policies
      • Editorial Board
      • Aims and Scope
      • Abstracting and Indexing
      • Bibliographic Information
      • Archive
    • International Journal of Oncology
      • International Journal of Oncology
      • Information for Authors
      • Editorial Policies
      • Editorial Board
      • Aims and Scope
      • Abstracting and Indexing
      • Bibliographic Information
      • Archive
    • Molecular and Clinical Oncology
      • Molecular and Clinical Oncology
      • Information for Authors
      • Editorial Policies
      • Editorial Board
      • Aims and Scope
      • Abstracting and Indexing
      • Bibliographic Information
      • Archive
    • Experimental and Therapeutic Medicine
      • Experimental and Therapeutic Medicine
      • Information for Authors
      • Editorial Policies
      • Editorial Board
      • Aims and Scope
      • Abstracting and Indexing
      • Bibliographic Information
      • Archive
    • International Journal of Molecular Medicine
      • International Journal of Molecular Medicine
      • Information for Authors
      • Editorial Policies
      • Editorial Board
      • Aims and Scope
      • Abstracting and Indexing
      • Bibliographic Information
      • Archive
    • Biomedical Reports
      • Biomedical Reports
      • Information for Authors
      • Editorial Policies
      • Editorial Board
      • Aims and Scope
      • Abstracting and Indexing
      • Bibliographic Information
      • Archive
    • Oncology Reports
      • Oncology Reports
      • Information for Authors
      • Editorial Policies
      • Editorial Board
      • Aims and Scope
      • Abstracting and Indexing
      • Bibliographic Information
      • Archive
    • Molecular Medicine Reports
      • Molecular Medicine Reports
      • Information for Authors
      • Editorial Policies
      • Editorial Board
      • Aims and Scope
      • Abstracting and Indexing
      • Bibliographic Information
      • Archive
    • World Academy of Sciences Journal
      • World Academy of Sciences Journal
      • Information for Authors
      • Editorial Policies
      • Editorial Board
      • Aims and Scope
      • Abstracting and Indexing
      • Bibliographic Information
      • Archive
    • International Journal of Functional Nutrition
      • International Journal of Functional Nutrition
      • Information for Authors
      • Editorial Policies
      • Editorial Board
      • Aims and Scope
      • Abstracting and Indexing
      • Bibliographic Information
      • Archive
    • International Journal of Epigenetics
      • International Journal of Epigenetics
      • Information for Authors
      • Editorial Policies
      • Editorial Board
      • Aims and Scope
      • Abstracting and Indexing
      • Bibliographic Information
      • Archive
    • Medicine International
      • Medicine International
      • Information for Authors
      • Editorial Policies
      • Editorial Board
      • Aims and Scope
      • Abstracting and Indexing
      • Bibliographic Information
      • Archive
  • Articles
  • Information
    • Information for Authors
    • Information for Reviewers
    • Information for Librarians
    • Information for Advertisers
    • Conferences
  • Language Editing
Spandidos Publications Logo
  • About
    • About Spandidos
    • Aims and Scopes
    • Abstracting and Indexing
    • Editorial Policies
    • Reprints and Permissions
    • Job Opportunities
    • Terms and Conditions
    • Contact
  • Journals
    • All Journals
    • Biomedical Reports
      • Information for Authors
      • Editorial Policies
      • Editorial Board
      • Aims and Scope
      • Abstracting and Indexing
      • Bibliographic Information
      • Archive
    • Experimental and Therapeutic Medicine
      • Information for Authors
      • Editorial Policies
      • Editorial Board
      • Aims and Scope
      • Abstracting and Indexing
      • Bibliographic Information
      • Archive
    • International Journal of Epigenetics
      • Information for Authors
      • Editorial Policies
      • Editorial Board
      • Aims and Scope
      • Abstracting and Indexing
      • Bibliographic Information
      • Archive
    • International Journal of Functional Nutrition
      • Information for Authors
      • Editorial Policies
      • Editorial Board
      • Aims and Scope
      • Abstracting and Indexing
      • Bibliographic Information
      • Archive
    • International Journal of Molecular Medicine
      • Information for Authors
      • Editorial Policies
      • Editorial Board
      • Aims and Scope
      • Abstracting and Indexing
      • Bibliographic Information
      • Archive
    • International Journal of Oncology
      • Information for Authors
      • Editorial Policies
      • Editorial Board
      • Aims and Scope
      • Abstracting and Indexing
      • Bibliographic Information
      • Archive
    • Medicine International
      • Information for Authors
      • Editorial Policies
      • Editorial Board
      • Aims and Scope
      • Abstracting and Indexing
      • Bibliographic Information
      • Archive
    • Molecular and Clinical Oncology
      • Information for Authors
      • Editorial Policies
      • Editorial Board
      • Aims and Scope
      • Abstracting and Indexing
      • Bibliographic Information
      • Archive
    • Molecular Medicine Reports
      • Information for Authors
      • Editorial Policies
      • Editorial Board
      • Aims and Scope
      • Abstracting and Indexing
      • Bibliographic Information
      • Archive
    • Oncology Letters
      • Information for Authors
      • Editorial Policies
      • Editorial Board
      • Aims and Scope
      • Abstracting and Indexing
      • Bibliographic Information
      • Archive
    • Oncology Reports
      • Information for Authors
      • Editorial Policies
      • Editorial Board
      • Aims and Scope
      • Abstracting and Indexing
      • Bibliographic Information
      • Archive
    • World Academy of Sciences Journal
      • Information for Authors
      • Editorial Policies
      • Editorial Board
      • Aims and Scope
      • Abstracting and Indexing
      • Bibliographic Information
      • Archive
  • Articles
  • Information
    • For Authors
    • For Reviewers
    • For Librarians
    • For Advertisers
    • Conferences
  • Language Editing
Login Register Submit
  • This site uses cookies
  • You can change your cookie settings at any time by following the instructions in our Cookie Policy. To find out more, you may read our Privacy Policy.

    I agree
Search articles by DOI, keyword, author or affiliation
Search
Advanced Search
presentation
Oncology Letters
Join Editorial Board Propose a Special Issue
Print ISSN: 1792-1074 Online ISSN: 1792-1082
Journal Cover
December 2012 Volume 4 Issue 6

Full Size Image

Sign up for eToc alerts
Recommend to Library

Journals

International Journal of Molecular Medicine

International Journal of Molecular Medicine

International Journal of Molecular Medicine is an international journal devoted to molecular mechanisms of human disease.

International Journal of Oncology

International Journal of Oncology

International Journal of Oncology is an international journal devoted to oncology research and cancer treatment.

Molecular Medicine Reports

Molecular Medicine Reports

Covers molecular medicine topics such as pharmacology, pathology, genetics, neuroscience, infectious diseases, molecular cardiology, and molecular surgery.

Oncology Reports

Oncology Reports

Oncology Reports is an international journal devoted to fundamental and applied research in Oncology.

Experimental and Therapeutic Medicine

Experimental and Therapeutic Medicine

Experimental and Therapeutic Medicine is an international journal devoted to laboratory and clinical medicine.

Oncology Letters

Oncology Letters

Oncology Letters is an international journal devoted to Experimental and Clinical Oncology.

Biomedical Reports

Biomedical Reports

Explores a wide range of biological and medical fields, including pharmacology, genetics, microbiology, neuroscience, and molecular cardiology.

Molecular and Clinical Oncology

Molecular and Clinical Oncology

International journal addressing all aspects of oncology research, from tumorigenesis and oncogenes to chemotherapy and metastasis.

World Academy of Sciences Journal

World Academy of Sciences Journal

Multidisciplinary open-access journal spanning biochemistry, genetics, neuroscience, environmental health, and synthetic biology.

International Journal of Functional Nutrition

International Journal of Functional Nutrition

Open-access journal combining biochemistry, pharmacology, immunology, and genetics to advance health through functional nutrition.

International Journal of Epigenetics

International Journal of Epigenetics

Publishes open-access research on using epigenetics to advance understanding and treatment of human disease.

Medicine International

Medicine International

An International Open Access Journal Devoted to General Medicine.

Journal Cover
December 2012 Volume 4 Issue 6

Full Size Image

Sign up for eToc alerts
Recommend to Library

  • Article
  • Citations
    • Cite This Article
    • Download Citation
    • Create Citation Alert
    • Remove Citation Alert
    • Cited By
  • Similar Articles
    • Related Articles (in Spandidos Publications)
    • Similar Articles (Google Scholar)
    • Similar Articles (PubMed)
  • Download PDF
  • Download XML
  • View XML
Case Report

Clear cell myoepithelial carcinoma in the base of the tongue: Case report and review of the literature

  • Authors:
    • Jun Hee Park
    • Ji Yun Choi
    • Ran Hong
    • Nam Yong Do
  • View Affiliations / Copyright

    Affiliations: Department of Otorhinolaryngology-Head and Neck Surgery, Chosun University College of Medicine, Gwangju, Republic of Korea, Department of Pathology, Chosun University College of Medicine, Gwangju, Republic of Korea
  • Pages: 1241-1243
    |
    Published online on: September 7, 2012
       https://doi.org/10.3892/ol.2012.900
  • Expand metrics +
Metrics: Total Views: 0 (Spandidos Publications: | PMC Statistics: )
Metrics: Total PDF Downloads: 0 (Spandidos Publications: | PMC Statistics: )
Cited By (CrossRef): 0 citations Loading Articles...

This article is mentioned in:



Abstract

Clear cell myoepithelial carcinoma is a very rare disease which develops primarily in the parotid gland. To date, only 17 cases of clear cell myoepithelial carcinoma have been reported worldwide. Among them, only three cases developed in the minor salivary gland in the oral cavity. No cases developed in the base of the tongue. Here, we report a new case of clear cell myoepithelial carcinoma that developed in the tongue base of a 52-year-old female patient. A mass was discovered on the left side of the tongue base. We successfully removed the mass through suprahyoid pharyngotomy approach. The light microscopy examination and various immunohistochemical stainings revealed clear cell myoepithelial carcinoma. During a two year follow-up period, there was no recurrence or local or distant metastasis.

Introduction

Myoepithelial carcinoma is a very rare disease that comprises only 2% of all salivary gland carcinomas. In the majority of cases, it occurs in the parotid gland; however, it occasionally occurs in the minor salivary gland (1).

Myoepithelial carcinoma may present with diverse types of tumor cells including eosinophilic, epithelioid, polygonal, spindle, stellate, hyaline and clear cells. Among them, lesions that display clear cell-type tumor cells focally or predominantly are referred to as clear cell myoepithelial carcinomas (CCMC) (2,3). To date, only 17 cases of CCMC have been reported worldwide. Until the present study, no case has involved the tongue base (2–7). We present a case of CMCC that developed in the base of the tongue. Written informed consent for publication was obtained from the patient.

Case report

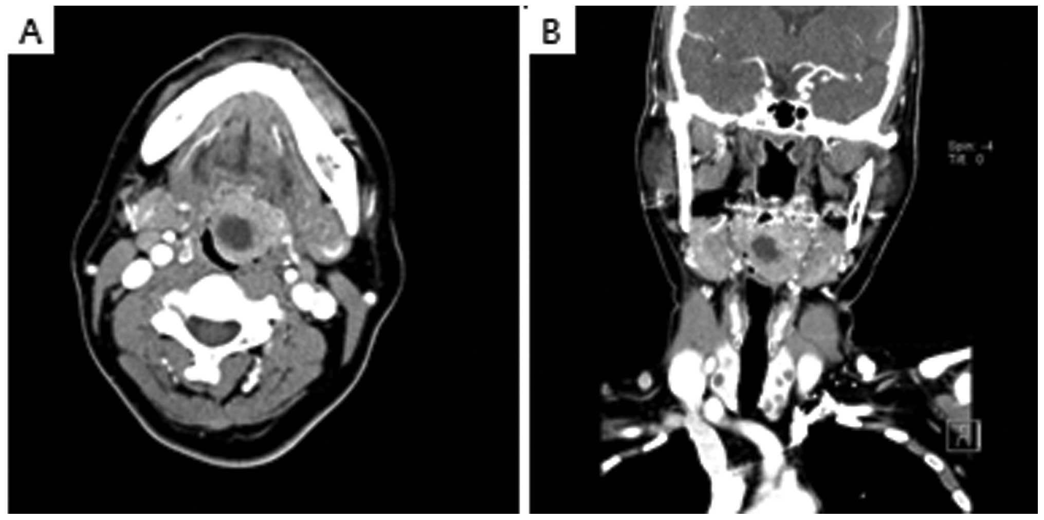
A 52-year-old female visited Chosun University Hospital (Gwangju, Korea) complaining of the sensation of foreign bodies in the pharynx that had developed several months previously. The patient’s history and family history were unremarkable. Upon physical examination, a mass 3×3 cm in size, with an unclear boundary and no associated ulcer, was discovered on the left side of the tongue base (Fig. 1). No other significant findings in the nasal cavity or the neck area were observed. The results of the general blood tests were normal. Computed tomography (CT) revealed necrosis in the central area of the left side of the tongue base and a 2.9×2.6 cm circular lesion showing contrast enhancement was also detected (Fig. 2). As several colloidal cysts were detected in both thyroids, ultrasonography was performed. The results were clinically insignificant.

Figure 1.

Endoscopic finding of cancer of the tongue base. A protruding mass approximately 3×3 cm in size is visible on the base of the tongue.

Figure 2.

Results of (A) axial and (B) coronal CT scans with contrast enhancement. An enhanced mass approximately 2.9×2.6 cm in size with internal necrotic low density on the left side of the tongue base is visible.

A biopsy was performed under local anesthesia at our outpatient clinic due to suspected adenoid cystic carcinoma. To assess systemic metastasis and other associated diseases, 18F-fluorodeoxyglucose positron emission tomography/CT was performed. There was no evidence of metastasis in the neck or systemic metastasis.

Under general anesthesia, the mass was removed through suprahyoid pharyngotomy. Tracheostomy and primary suture were also performed. The patient was discharged 10 days after surgery without any significant complications.

Macroscopically, the removed mass was light yellow in color and 4.5×3 cm in size. At the time of resection, a 1.5×1.2 cm zone filled with red fluid was detected (Fig. 3). Under light microscopy, the mass was partitioned by fibrous septa and contained clear cells that formed a pattern of nests, sheets and cords. The clear cells were polygonally shaped and contained abundant, clear cytoplasm. By immunohistochemical staining, the tumor cells were revealed to be positive for cytokeratin 7 (CK 7), p63 and high molecular weight cytokeratin (HMWCK), and revealed focally weak responses to cytokeratin (Fig. 4). Additionally, the tumor cells revealed negative reactions to S-100 and smooth muscle actin (SMA). As a result of the light microscopy examination and immunohistochemical staining results, a diagnosis of CCMC was made.

Figure 3.

Appearance of the gross specimen. The specimen consists of a portion of the tongue measuring 4.5×3×3 cm including the mass.

Figure 4.

Microscopic appearance of the tumor. The clear cells were polygonally shaped with abundant, clear cytoplasm. (A) ×40, H&E staining; (B) ×200, H&E staining. Immunohistochemically, the tumor cells show strong membranous staining for CK7 [(C) ×200] and nuclear staining for the myoepithelial marker p63 [(D) ×200].

The patient has been under follow-up observation for 2 years without recurrence or local or distant metastasis.

Discussion

In salivary gland tumors, myoepithelial differentiation is relatively common. However, cases in which the tumors themselves are primarily formed by myoepithelial cells are very rare. Furthermore, among salivary gland myoepithelial carcinomas, CCMC which presents with almost exclusively the phenotype of clear cells is also extremely rare. Hence, CCMC is a clear cell neoplasm formed by tumor cells with myoepithelial differentiation that presents with a epithelial phenotype and smooth muscle phenotype only (6,8,9). To date, only 17 cases of CCMC have been reported. By examination of the site of tumor development, 9 cases involved the parotid gland, 4 cases involved the submandibular gland and one case involved the maxillary sinus. Three cases occurred in the oral cavity, 2 cases occurred in the palate and one case occurred in the retromolar region (2–7). This is the first study to report a case of CCMC in the base of the tongue.

CCMC displays diverse histological patterns that include nests, cords, trabeculae and sheets. The central area is paucicellular and the peripheral area is hypercellular. Vacuolated clear cells display signet ring or lipoblast shapes (2,3). In the majority of cases, clear tumor cells predominate. However, certain components of myoepithelial carcinoma, spindle cells or nonclear epithelioid cells may appear in certain areas.

Myoepithelial differentiation by immunohistochemical staining is possible as the cells reveal positive reactions to epithelial markers (epithelial membrane antigen and cytokeratin) and at least two of the myoepithelial markers (S-100 protein, calponin, p63, glial fibrillary acidic protein, maspin and actin). Myoepithelial carcinoma reacts most sensitively to vimentin, S-100 and HMWCK (3,6). Furthermore, it has been recently suggested that the p63 and maspin members of the p53 family of nuclear proteins may be new myoepithelial markers (6). Our case was positive for CK7, p63 and HMWCK and revealed focal weak reactions to CK.

CCMC should be differentiated from other salivary gland tumors that contain clear cell components and from odontogenic and metastatic tumors. Acinic cell carcinoma, high-grade mucoepidermoid carcinoma, sebaceous carcinoma and clear cell oncocytoma that develop in the salivary gland are negative for myoepithelial markers and should therefore readily be capable of being differentially diagnosed. Additionally, metastatic clear cell renal cell carcinoma with the clear cell phenotype invading the salivary gland, presents with prominent sinusoidal vascularity and hemorrhage within tumors and is evident under light microscopy examination, which allows for a differential diagnosis (2,7,10).

Based on the treatment for myoepithelial carcinoma, the basic treatment for CCMC is wide surgical excision in the primary tumor site. If metastasis in the cervical lymph nodes is not detected, dissection of the lymph nodes is unnecessary (3,11). Additional postsurgical radiotherapy does not improve the overall prognosis. Nonetheless, it can be administered for the purpose of local control in cases in which an intact safety margin is not secured during surgery, or for cases in which invasion into adjacent tissues is confirmed by microscopic examination. Additionally, postsurgical chemotherapy is administered to treat systemic metastasis, similar to other cancers (3,11). In the present case, lymph node metastasis in other areas, including the neck, was not detected in presurgical tests and a tumor-free margin could be secured by wide surgical excision. Thus, additional postsurgical treatments were not administered.

The prognosis of CCMC remains unclear due to the small number of reported cases. However, a study conducted on myoepithelial carcinoma that reported a 47% metastatic rate and 29% mortality rate revealed clinically aggressive patterns (5). Another study that was conducted on CCMC alone reported a 50% recurrence rate, metastasis in the lung and the scalp and a 40% metastatic rate (12).

A differential diagnosis of CCMC from other primary tumors containing clear cells and metastatic lesions is essential. When a case is diagnosed as CCMC, aggressive treatments including surgical excision are required.

References

1. 

A SkalovaKT JakelMyoepithelial carcinomaWHO Classification of Tumours. Pathology and Genetics of Head and Neck TumoursL BarnesJW EvesonP ReichartD SidranskyIARC PressLyon2402412005

2. 

M MichalA SkalovaRH SimpsonV RychterovaI LeivoClear cell malignant myoepithelioma of the salivary glandsHistopathology28309315199610.1046/j.1365-2559.1996.d01-439.x8732339

3. 

AT SaveraA SlomanAG HuvosDS KlimstraMyoepithelial carcinoma of the salivary glands: a clinicopathologic study of 25 patientsAm J Surg Pathol24761774200010.1097/00000478-200006000-0000110843278

4. 

S YangM ZengJ ZhangX ChenClear cell myoepithelial carcinoma of minor salivary gland: a case reportInt J Oral Maxillofac Surg39297300201010.1016/j.ijom.2009.10.01319939628

5. 

NS LositoG BottiF IonnaG PasquinelliP MinennaM BiscegliaClear-cell myoepithelial carcinoma of the salivary glands: a clinicopathologic, immunohistochemical, and ultrastructural study of two cases involving the submandibular gland with review of the literaturePathol Res Pract204335344200810.1016/j.prp.2007.11.006

6. 

AT SaveraRJ ZarboDefining the role of myoepithelium in salivary gland neoplasiaAdv Anat Pathol116985200410.1097/00125480-200403000-0000115090843

7. 

B WangM BrandweinR GordonR RobinsonM UrkenRJ ZarboPrimary salivary clear cell tumors - a diagnostic approach: a clinicopathologic and immunohistochemical study of 20 patients with clear cell carcinoma, clear cell myoepithelial carcinoma, and epithelial-myoepithelial carcinomaArch Pathol Lab Med1266766852002

8. 

I DardickMJ ThomasAW van NostrandMyoepithelioma - new concepts of histology and classification: a light and electron microscopic studyUltrastruct Pathol13187224198910.3109/019131289090574422544051

9. 

I DardickMyoepithelioma: definitions and diagnostic criteriaUltrastruct Pathol19335345199510.3109/019131295090219067483010

10. 

I OgawaH NikaiT TakataClear cell tumors of minor salivary gland origin. An immunohistochemical and ultrastructural analysisOral Surg Oral Med Oral Pathol72200207199110.1016/0030-4220(91)90164-81717916

11. 

G YuD MaK SunT LiY ZhangMyoepithelial carcinoma of the salivary glands: behavior and managementChin Med J (Engl)116163165200312775221

12. 

RJ ZarboSalivary gland neoplasia: a review for the practicing pathologistMod Pathol15298323200210.1038/modpathol.388052511904344

Related Articles

  • Abstract
  • View
  • Download
  • Twitter
Copy and paste a formatted citation
Spandidos Publications style
Park JH, Choi JY, Hong R and Do NY: Clear cell myoepithelial carcinoma in the base of the tongue: Case report and review of the literature. Oncol Lett 4: 1241-1243, 2012.
APA
Park, J.H., Choi, J.Y., Hong, R., & Do, N.Y. (2012). Clear cell myoepithelial carcinoma in the base of the tongue: Case report and review of the literature. Oncology Letters, 4, 1241-1243. https://doi.org/10.3892/ol.2012.900
MLA
Park, J. H., Choi, J. Y., Hong, R., Do, N. Y."Clear cell myoepithelial carcinoma in the base of the tongue: Case report and review of the literature". Oncology Letters 4.6 (2012): 1241-1243.
Chicago
Park, J. H., Choi, J. Y., Hong, R., Do, N. Y."Clear cell myoepithelial carcinoma in the base of the tongue: Case report and review of the literature". Oncology Letters 4, no. 6 (2012): 1241-1243. https://doi.org/10.3892/ol.2012.900
Copy and paste a formatted citation
x
Spandidos Publications style
Park JH, Choi JY, Hong R and Do NY: Clear cell myoepithelial carcinoma in the base of the tongue: Case report and review of the literature. Oncol Lett 4: 1241-1243, 2012.
APA
Park, J.H., Choi, J.Y., Hong, R., & Do, N.Y. (2012). Clear cell myoepithelial carcinoma in the base of the tongue: Case report and review of the literature. Oncology Letters, 4, 1241-1243. https://doi.org/10.3892/ol.2012.900
MLA
Park, J. H., Choi, J. Y., Hong, R., Do, N. Y."Clear cell myoepithelial carcinoma in the base of the tongue: Case report and review of the literature". Oncology Letters 4.6 (2012): 1241-1243.
Chicago
Park, J. H., Choi, J. Y., Hong, R., Do, N. Y."Clear cell myoepithelial carcinoma in the base of the tongue: Case report and review of the literature". Oncology Letters 4, no. 6 (2012): 1241-1243. https://doi.org/10.3892/ol.2012.900
Follow us
  • Twitter
  • LinkedIn
  • Facebook
About
  • Spandidos Publications
  • Careers
  • Cookie Policy
  • Privacy Policy
How can we help?
  • Help
  • Live Chat
  • Contact
  • Email to our Support Team