Spandidos Publications Logo
  • About
    • About Spandidos
    • Aims and Scopes
    • Abstracting and Indexing
    • Editorial Policies
    • Reprints and Permissions
    • Job Opportunities
    • Terms and Conditions
    • Contact
  • Journals
    • All Journals
    • Oncology Letters
      • Oncology Letters
      • Information for Authors
      • Editorial Policies
      • Editorial Board
      • Aims and Scope
      • Abstracting and Indexing
      • Bibliographic Information
      • Archive
    • International Journal of Oncology
      • International Journal of Oncology
      • Information for Authors
      • Editorial Policies
      • Editorial Board
      • Aims and Scope
      • Abstracting and Indexing
      • Bibliographic Information
      • Archive
    • Molecular and Clinical Oncology
      • Molecular and Clinical Oncology
      • Information for Authors
      • Editorial Policies
      • Editorial Board
      • Aims and Scope
      • Abstracting and Indexing
      • Bibliographic Information
      • Archive
    • Experimental and Therapeutic Medicine
      • Experimental and Therapeutic Medicine
      • Information for Authors
      • Editorial Policies
      • Editorial Board
      • Aims and Scope
      • Abstracting and Indexing
      • Bibliographic Information
      • Archive
    • International Journal of Molecular Medicine
      • International Journal of Molecular Medicine
      • Information for Authors
      • Editorial Policies
      • Editorial Board
      • Aims and Scope
      • Abstracting and Indexing
      • Bibliographic Information
      • Archive
    • Biomedical Reports
      • Biomedical Reports
      • Information for Authors
      • Editorial Policies
      • Editorial Board
      • Aims and Scope
      • Abstracting and Indexing
      • Bibliographic Information
      • Archive
    • Oncology Reports
      • Oncology Reports
      • Information for Authors
      • Editorial Policies
      • Editorial Board
      • Aims and Scope
      • Abstracting and Indexing
      • Bibliographic Information
      • Archive
    • Molecular Medicine Reports
      • Molecular Medicine Reports
      • Information for Authors
      • Editorial Policies
      • Editorial Board
      • Aims and Scope
      • Abstracting and Indexing
      • Bibliographic Information
      • Archive
    • World Academy of Sciences Journal
      • World Academy of Sciences Journal
      • Information for Authors
      • Editorial Policies
      • Editorial Board
      • Aims and Scope
      • Abstracting and Indexing
      • Bibliographic Information
      • Archive
    • International Journal of Functional Nutrition
      • International Journal of Functional Nutrition
      • Information for Authors
      • Editorial Policies
      • Editorial Board
      • Aims and Scope
      • Abstracting and Indexing
      • Bibliographic Information
      • Archive
    • International Journal of Epigenetics
      • International Journal of Epigenetics
      • Information for Authors
      • Editorial Policies
      • Editorial Board
      • Aims and Scope
      • Abstracting and Indexing
      • Bibliographic Information
      • Archive
    • Medicine International
      • Medicine International
      • Information for Authors
      • Editorial Policies
      • Editorial Board
      • Aims and Scope
      • Abstracting and Indexing
      • Bibliographic Information
      • Archive
  • Articles
  • Information
    • Information for Authors
    • Information for Reviewers
    • Information for Librarians
    • Information for Advertisers
    • Conferences
  • Language Editing
Spandidos Publications Logo
  • About
    • About Spandidos
    • Aims and Scopes
    • Abstracting and Indexing
    • Editorial Policies
    • Reprints and Permissions
    • Job Opportunities
    • Terms and Conditions
    • Contact
  • Journals
    • All Journals
    • Biomedical Reports
      • Information for Authors
      • Editorial Policies
      • Editorial Board
      • Aims and Scope
      • Abstracting and Indexing
      • Bibliographic Information
      • Archive
    • Experimental and Therapeutic Medicine
      • Information for Authors
      • Editorial Policies
      • Editorial Board
      • Aims and Scope
      • Abstracting and Indexing
      • Bibliographic Information
      • Archive
    • International Journal of Epigenetics
      • Information for Authors
      • Editorial Policies
      • Editorial Board
      • Aims and Scope
      • Abstracting and Indexing
      • Bibliographic Information
      • Archive
    • International Journal of Functional Nutrition
      • Information for Authors
      • Editorial Policies
      • Editorial Board
      • Aims and Scope
      • Abstracting and Indexing
      • Bibliographic Information
      • Archive
    • International Journal of Molecular Medicine
      • Information for Authors
      • Editorial Policies
      • Editorial Board
      • Aims and Scope
      • Abstracting and Indexing
      • Bibliographic Information
      • Archive
    • International Journal of Oncology
      • Information for Authors
      • Editorial Policies
      • Editorial Board
      • Aims and Scope
      • Abstracting and Indexing
      • Bibliographic Information
      • Archive
    • Medicine International
      • Information for Authors
      • Editorial Policies
      • Editorial Board
      • Aims and Scope
      • Abstracting and Indexing
      • Bibliographic Information
      • Archive
    • Molecular and Clinical Oncology
      • Information for Authors
      • Editorial Policies
      • Editorial Board
      • Aims and Scope
      • Abstracting and Indexing
      • Bibliographic Information
      • Archive
    • Molecular Medicine Reports
      • Information for Authors
      • Editorial Policies
      • Editorial Board
      • Aims and Scope
      • Abstracting and Indexing
      • Bibliographic Information
      • Archive
    • Oncology Letters
      • Information for Authors
      • Editorial Policies
      • Editorial Board
      • Aims and Scope
      • Abstracting and Indexing
      • Bibliographic Information
      • Archive
    • Oncology Reports
      • Information for Authors
      • Editorial Policies
      • Editorial Board
      • Aims and Scope
      • Abstracting and Indexing
      • Bibliographic Information
      • Archive
    • World Academy of Sciences Journal
      • Information for Authors
      • Editorial Policies
      • Editorial Board
      • Aims and Scope
      • Abstracting and Indexing
      • Bibliographic Information
      • Archive
  • Articles
  • Information
    • For Authors
    • For Reviewers
    • For Librarians
    • For Advertisers
    • Conferences
  • Language Editing
Login Register Submit
  • This site uses cookies
  • You can change your cookie settings at any time by following the instructions in our Cookie Policy. To find out more, you may read our Privacy Policy.

    I agree
Search articles by DOI, keyword, author or affiliation
Search
Advanced Search
presentation
Oncology Letters
Join Editorial Board Propose a Special Issue
Print ISSN: 1792-1074 Online ISSN: 1792-1082
Journal Cover
December 2012 Volume 4 Issue 6

Full Size Image

Sign up for eToc alerts
Recommend to Library

Journals

International Journal of Molecular Medicine

International Journal of Molecular Medicine

International Journal of Molecular Medicine is an international journal devoted to molecular mechanisms of human disease.

International Journal of Oncology

International Journal of Oncology

International Journal of Oncology is an international journal devoted to oncology research and cancer treatment.

Molecular Medicine Reports

Molecular Medicine Reports

Covers molecular medicine topics such as pharmacology, pathology, genetics, neuroscience, infectious diseases, molecular cardiology, and molecular surgery.

Oncology Reports

Oncology Reports

Oncology Reports is an international journal devoted to fundamental and applied research in Oncology.

Experimental and Therapeutic Medicine

Experimental and Therapeutic Medicine

Experimental and Therapeutic Medicine is an international journal devoted to laboratory and clinical medicine.

Oncology Letters

Oncology Letters

Oncology Letters is an international journal devoted to Experimental and Clinical Oncology.

Biomedical Reports

Biomedical Reports

Explores a wide range of biological and medical fields, including pharmacology, genetics, microbiology, neuroscience, and molecular cardiology.

Molecular and Clinical Oncology

Molecular and Clinical Oncology

International journal addressing all aspects of oncology research, from tumorigenesis and oncogenes to chemotherapy and metastasis.

World Academy of Sciences Journal

World Academy of Sciences Journal

Multidisciplinary open-access journal spanning biochemistry, genetics, neuroscience, environmental health, and synthetic biology.

International Journal of Functional Nutrition

International Journal of Functional Nutrition

Open-access journal combining biochemistry, pharmacology, immunology, and genetics to advance health through functional nutrition.

International Journal of Epigenetics

International Journal of Epigenetics

Publishes open-access research on using epigenetics to advance understanding and treatment of human disease.

Medicine International

Medicine International

An International Open Access Journal Devoted to General Medicine.

Journal Cover
December 2012 Volume 4 Issue 6

Full Size Image

Sign up for eToc alerts
Recommend to Library

  • Article
  • Citations
    • Cite This Article
    • Download Citation
    • Create Citation Alert
    • Remove Citation Alert
    • Cited By
  • Similar Articles
    • Related Articles (in Spandidos Publications)
    • Similar Articles (Google Scholar)
    • Similar Articles (PubMed)
  • Download PDF
  • Download XML
  • View XML
Case Report

Successful treatment of unresectable gallbladder cancer with low-dose paclitaxel as palliative chemotherapy after failure of gemcitabine and oral S-1: A case report

  • Authors:
    • Hidehiro Tajima
    • Tetsuo Ohta
    • Hiroyuki Shinbashi
    • Atsushi Hirose
    • Tomoya Tsukada
    • Koichi Okamoto
    • Shinichi Nakanuma
    • Seisho Sakai
    • Hiroyuki Furukawa
    • Isamu Makino
    • Keishi Nakamura
    • Hironori Hayashi
    • Katsunobu Oyama
    • Masafumi Inokuchi
    • Hisatoshi Nakagawara
    • Tomoharu Miyashita
    • Hideto Fujita
    • Hiroyuki Takamura
    • Itasu Ninomiya
    • Hirohisa Kitagawa
    • Sachio Fushida
    • Takashi Fujimura
    • Hisatsugu Mouri
    • Koushiro Ohtsubo
  • View Affiliations / Copyright

    Affiliations: Department of Gastroenterologic Surgery, Division of Cancer Medicine, Graduate School of Medical Science, Kanazawa University, Kanazawa, Japan, Division of Medical Oncology, Cancer Research Institute, Kanazawa University, Japan
  • Pages: 1281-1284
    |
    Published online on: September 12, 2012
       https://doi.org/10.3892/ol.2012.909
  • Expand metrics +
Metrics: Total Views: 0 (Spandidos Publications: | PMC Statistics: )
Metrics: Total PDF Downloads: 0 (Spandidos Publications: | PMC Statistics: )
Cited By (CrossRef): 0 citations Loading Articles...

This article is mentioned in:


Abstract

A 56-year-old female with metastatic gallbladder cancer involving the liver and stenosis of the hilar bile duct was treated with gemcitabine (1,000 mg/m2) plus S-1 (60 mg/m2). After 9 cycles of therapy, CT showed evidence of stable disease; however, the serum CEA level was increased. Therefore, the chemotherapy regimen was changed to weekly low-dose paclitaxel (60 mg/m2). After 12 cycles of therapy, paclitaxel was reduced to 30 mg/m2 as the patient developed neutropenia. The patient completed 32 cycles of therapy, and the tumor was reduced in size and marked improvement in bile duct stenosis was noted without any impairment in quality of life. The patient succumbed to the disease 25 months after treatment was initiated. Thus, in this case paclitaxel was more effective than gemcitabine plus S-1. Palliative chemotherapy with paclitaxel after failure of gemcitabine and 5-FU was well‑tolerated; therefore, it may be an effective treatment for biliary tract cancer (BTC). A phase I study of palliative chemotherapy with weekly low-dose paclitaxel following gemcitabine (plus cisplatin) and 5-FU is currently in progress in patients with unresectable or recurrent BTC.

Introduction

Biliary tract cancers (BTCs) include carcinomas of the gallbladder and intra- and extra-hepatic bile ducts (cholangiocarcinoma). Gallbladder cancer is the most common type of BTC, and it affects females more frequently than males. Gallbladder cancer is also considered to be the most aggressive type of BTC, with the shortest survival (1). Most BTCs are detected at an advanced, incurable stage, and are typically treated with chemotherapy drugs such as 5-FU, gemcitabine and cisplatin, often in combination. Response rates range from 20 to 40%, with a median overall survival of 8 to 14 months (1). The most notable advance in the treatment of BTC is the result of a phase III randomized trial of gemcitabine alone versus gemcitabine plus cisplatin; the chemotherapy doublet improved overall survival by 3.6 months (2). However, the median overall survival with gemcitabine plus cisplatin remains less than 1 year (11.7 months). In fact, there is no appropriate drug for third-line chemotherapy following gemcitabine (plus cisplatin) and 5-FU for BTC.

Paclitaxel is an anticancer agent (3) that acts by stabilizing polymerized microtubules and enhancing microtubule assembly, which arrests the cell cycle in the G0/S1 and G2/M phases and leads to cell death (4,5). Recent studies have shown that low-dose paclitaxel ameliorates tissue fibrosis by inhibiting TGF-β/Smad activity (6,7). Therefore, paclitaxel may be useful for treating BTC, a cancer that is associated with tissue fibrosis.

The present study documents the individual response of a patient with gallbladder cancer with multiple liver metastasis and stenosis of the bile duct who was treated with low-dose paclitaxel as palliative chemotherapy following gemcitabine and S-1 (oral prodrug of 5-FU).

Case report

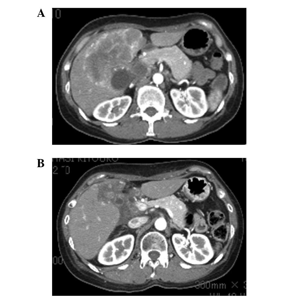
A 56-year-old woman in good health was admitted to our hospital with right upper quadrant pain. Physical examination was notable for right upper quadrant tenderness and hepatomegaly. CT of the abdomen revealed multiple hepatic nodules, a thick gallbladder wall and dilation of the intrahepatic bile duct (Fig. 1A). CEA was 14.3 IU/ml (upper limit of normal, 5.0 IU/ml) and CA19-9 was 58 IU/ml (upper limit of normal, 37 IU/ml). The patient was diagnosed with unresectable gallbladder cancer with multiple liver metastasis and local infiltration to the liver and hilar bile duct (Fig. 2A).

Figure 1.

Abdominal CT (A) before and (B) after treatment. (A) Abdominal CT showing a large gallbladder tumor infiltrating the liver and liver metastasis. (B) The tumor size was reduced following chemotherapy with low-dose paclitaxel.

Figure 2.

Drip-infusion cholangiography (DIC)-CT (A) before and (B) after treatment. (A) DIC-CT showing stenosis of the hilar bile duct. (B) Stenosis of the hilar bile duct improved following the administration of low-dose paclitaxel and radiation.

The patient was treated with oral S-1 (60 mg/m2) twice daily for 14 days plus gemcitabine (800 mg/m2) administered on days 8 and 14 [every 21 days as previously described for pancreatic carcinoma (8)]. After 4 cycles of therapy, the doses were reduced as the patient developed neutropenia. After 9 cycles of therapy, CT showed evidence of stable disease; however, the serum CEA level was increased (Fig. 3). Therefore, the chemotherapy regimen was changed to weekly paclitaxel (60 mg/m2). After 12 cycles of therapy, paclitaxel was reduced to 30 mg/m2 due to neutropenia. The patient completed 32 cycles of paclitaxel therapy and CT showed evidence of a partial response (Fig. 1B) and stenosis of the hilar bile duct was improved (Fig. 2B). At the beginning of paclitaxel therapy, irradiation of the stenotic hilar bile duct was performed. The toxicities evaluated were leucopenia (grade 2), general malaise (grade 1) and shedding of hair; however, no serious adverse events were observed. Therefore, the patient was treated at the outpatient clinic, without any impairment in the quality of life (QOL).

Figure 3.

Clinical course of the patient. The patient’s treatment started with gemcitabine plus S-1. After 9 months of treatment, the serum CEA level increased; therefore, weekly low-dose paclitaxel administration was started. The patient was treated with paclitaxel for approximately 14 months. EMS: expandable metallic stent.

Written informed consent was obtained from the patient, and the treatment was undertaken with the approval of the Local Ethics Committee of Kanazawa University Hospital.

Endoscopic biliary drainage and expandable metallic stent placement was performed for obstructive jaundice due to lymph node metastasis 23 months after beginning treatment. The patient was then diagnosed with pancreaticobiliary maljunction (Fig. 4). The patient succumbed to the disease due to the progress of cachexia 25 months after the first visit. An autopsy was performed, and the patient was diagnosed with locally advanced, poorly differentiated adenocarcinoma of the gallbladder with multiple liver, lung, lymph node, left ovary and skin metastases.

Figure 4.

Endoscopic retrograde cholangiography showing that the main pancreatic duct had joined the common bile duct.

Discussion

The prognosis of patients with unresectable BTC is extremely poor. No standard chemotherapy was established for patients with unresectable BTC until the study of cisplatin plus gemcitabine by Valle et al (2). However, the median overall survival of patients treated with cisplatin plus gemcitabine was only 11.7 months. 5-FU is a major drug used in the treatment of hepatobiliary-pancreatic cancers; however, phase II studies using combinations primarily based on 5-FU regimens have revealed little or no benefit on survival and QOL (9,10). S-1 is an oral prodrug of 5-FU widely used in Japan (8). In a phase III trial (the GEST trial) announced by the American Society of Clinical Oncology in 2011, S-1 produced a favorable response and was not inferior to gemcitabine in terms of the overall survival of patients with unresectable pancreatic cancer (11). However, there is no appropriate drug for third-line chemotherapy following gemcitabine (plus cisplatin) and 5-FU for BTC.

Paclitaxel is a natural substance isolated from the western yew, Taxus brevifolia. Similar to the vinca alkaloids, it binds to microtubules. However, while the vinca alkaloids promote microtubule dissociation and disruption of the mitotic spindle, paclitaxel promotes microtubule formation and stabilization. There have been some retrospective studies and phase I and II studies of paclitaxel and docetaxel (taxanes) for pancreatic cancer and BTC (12–17). The disease control rates in these studies were 33 to 57% when used as first-line chemotherapy.

Recently, paclitaxel has been receiving attention for its effects other than antitumor activity; for example, its use in drug-eluting stents in coronary arteries (18). Moreover, it has been reported that paclitaxel ameliorates fibrosis in hepatic stellate cells and renal fibrosis through the inhibition of TGF-β/Smad activity (6,7). Paclitaxel also interrupts TGF-β1 signaling between gallbladder epithelial cells and myofibroblasts (19). Taghian et al reported that paclitaxel decreases interstitial fluid pressure and improves oxygenation in breast cancer tissues in patients treated with neoadjuvant chemotherapy and that patients with hypoxic tumors and/or tumors with high interstitial fluid pressure may start with paclitaxel chemotherapy to improve their physiological status (20). Pancreatic cancer and BTC are well-known hypoxic tumors associated with fibrosis. Therefore, taxanes may be effective in the treatment of pancreatic cancer and BTC.

Certain studies have also documented taxane chemotherapy in patients with gemcitabine-refractory pancreatic cancer (21,22). Cancer cells experience various forms of stress from anticancer drugs, irradiation, hypo-oxygenation, hypo-nutrition and heat treatment, and these stresses induce epithelial-to-mesenchymal transition (EMT), which is associated with the invasive potential of cancer cells (23). The inhibitory effect of paclitaxel on TGF-β/Smad activity is involved in the suppression of EMT in epithelial cells.

In the present case, paclitaxel was more effective than gemcitabine and S-1 for unresectable gallbladder cancer. Furthermore, paclitaxel has fewer side-effects; therefore, it should be suitable as a palliative chemotherapy for BTC as has been reported for breast cancer (24). In conclusion, palliative chemotherapy with paclitaxel after failure of gemcitabine and 5-FU is well-tolerated and may be effective for BTC. However, the appropriate dose of these anticancer drugs should be determined in a future study. A phase I study of palliative chemotherapy with weekly low-dose paclitaxel following gemcitabine (plus cisplatin) and 5-FU is currently in progress in patients with unresectable or recurrent BTC.

References

1. 

AX XiuTS HongAF HezelDA KoobyCurrent management of gallbladder carcinomaOncologist15168181201010.1634/theoncologist.2009-0302

2. 

JW ValleH WasanDH PalmerABC-02 Trial Investigators: Cisplatin plus gemcitabine versus gemcitabine for biliary tract cancerN Engl J Med36212731281201010.1056/NEJMoa090872120375404

3. 

K GelmonThe toxoids: paclitaxel and docetaxelLancet34412671272199410.1016/S0140-6736(94)90754-47967989

4. 

KL DonaldsonGL GoolsbyPA KienerAF WahlActivation of p34cdc2 coincident with taxol-induced apoptosisCell Growth Differ51041105019947848905

5. 

PB SchiffJ FantSB HorwitzPromotion of microtubule assembly in vitro by taxolNature277665667197910.1038/277665a0423966

6. 

D ZhangL SunW XianF LiuLow-dose paclitaxel ameliorates renal fibrosis in rat UUO model by inhibition of TGF-beta/Smad activityLab Invest90436447201010.1038/labinvest.2009.14920142807

7. 

J ZhouDW ZhongQW WangXY MiaoXD XuPaclitaxel ameliorates fibrosis in hepatic stellate cells via inhibition of TGF-beta/Smad activityWorld J Gastroenterol1633303334201010.3748/wjg.v16.i26.333020614491

8. 

H TajimaT OhtaH KitagawaPilot study of neoadjuvant chemotherapy with gemcitabine and oral S-1 for resectable pancreatic cancerExp Therap Med3787792201222969969

9. 

PA EllisA NormanA HillME O’BrienM NicolsonT HickishD CunninghamEpirubicin, cisplatin and infusional 5-fluorouracil (5-FU) (ECF) in hepatobiliary tumorsEur J Cancer31A15941598199510.1016/0959-8049(95)00323-B7488407

10. 

YZ PattDV Jones JrA HoqueR LozanoA MarkowitzI RaijmanP LynchC CharnsangavejPhase II trial of intravenous fluorouracil and subcutaneous interferon alfa-2b for biliary tract cancerJ Clin Oncol142311231519968708722

11. 

T IokaM IkedaS OhkawaRandomized phase III study of gemcitabine plus S-1 (GS) versus S-1 versus gemcitabine (GEM) in unresectable advanced pancreatic cancer (PC) in Japan and Taiwan: GEST studyJ Clin Oncol29Supplabstr 40072011

12. 

P PapakostasC KouroussisN AndroulakisFirst-line chemotherapy with docetaxel for unresectable or metastatic carcinoma of the biliary tract. A multicentre phase II studyEuro J Cancer3718331838200110.1016/S0959-8049(01)00214-311576836

13. 

S OkadaY SakataS MatsunoPhase II study of docetaxel in patients with metastatic pancreatic cancer: a Japanese cooperative study. Cooperative Group of Docetaxel for Pancreatic Cancer in JapanBr J Cancer80438443199910.1038/sj.bjc.669037510408850

14. 

DP RyanMH KulkeCS FuchsA Phase II study of gemcitabine and docetaxel in patients with metastatic pancreatic carcinomaCancer9497103200210.1002/cncr.1020211815964

15. 

DV Jones JrR LozanoA HoqueA MarkowitzYZ PattPhase II study of paclitaxel therapy for unresectable biliary tree carcinomasJ Clin Oncol142306231019968708721

16. 

S MaedaF MotoiT OnogawaPaclitaxel as second-line chemotherapy in patients with gemcitabine-refractory pancreatic cancer: a retrospective studyInt J Clin Oncol16539545201110.1007/s10147-011-0220-821455624

17. 

DD Von HoffRK RamanthanMJ BoradGemcitabine plus nab-paclitaxel is an active regimen in patients with advanced pancreatic cancer: a phase I/II trialJ Clin Oncol2945484554201121969517

18. 

I BaekCZ BaiJ HwangHY NamJS ParkDJ KimPaclitaxel coating of the luminal surface of hemodialysis grafts with effective suppression of neointimal hyperplasiaJ Vasc Surg55806814201210.1016/j.jvs.2011.09.01222226184

19. 

HS ChoiCE SavardJW ChoiR KuverSP LeePaclitaxel interrupts TGF-beta1 signaling between gallbladder epithelial cells and myofibroblastsJ Surg Res141183191200710.1016/j.jss.2006.12.55817574589

20. 

AG TaghianR Abi-RaadSI AssaadPaclitaxel decreases the interstitial fluid pressure and improves oxygenation in breast cancer in patients treated with neoadjuvant chemotherapy: clinical implicationsJ Clin Oncol2319511961200510.1200/JCO.2005.08.119

21. 

T ShukuyaH YasuiN Bokupaclitaxel after failure of gemcitabine in pancreatic cancer patients with malignant ascites: a retrospective studyJpn J Clin Oncol4011351138201010.1093/jjco/hyq11720656694

22. 

S CeredaM ReniWeekly docetaxel as salvage therapy in patients with gemcitabine-refractory metastatic pancreatic cancerJ Chemother20509512200810.1179/joc.2008.20.4.50918676234

23. 

H TajimaT OhtaY ShojiExpression of epithelial-mesenchymal transition markers in locally recurrent hepatocellular carcinoma after radio frequency ablationExp Therap Med1347350201010.3892/etm_00000054

24. 

JG SchramaMM de BoerJW BaarsJH SchornagelS RodenhuisPalliative chemotherapy after failure of high-dose chemotherapy in breast cancer - toxicity and efficacyAnticancer Res2327952800200312926115

Related Articles

  • Abstract
  • View
  • Download
  • Twitter
Copy and paste a formatted citation
Spandidos Publications style
Tajima H, Ohta T, Shinbashi H, Hirose A, Tsukada T, Okamoto K, Nakanuma S, Sakai S, Furukawa H, Makino I, Makino I, et al: Successful treatment of unresectable gallbladder cancer with low-dose paclitaxel as palliative chemotherapy after failure of gemcitabine and oral S-1: A case report. Oncol Lett 4: 1281-1284, 2012.
APA
Tajima, H., Ohta, T., Shinbashi, H., Hirose, A., Tsukada, T., Okamoto, K. ... Ohtsubo, K. (2012). Successful treatment of unresectable gallbladder cancer with low-dose paclitaxel as palliative chemotherapy after failure of gemcitabine and oral S-1: A case report. Oncology Letters, 4, 1281-1284. https://doi.org/10.3892/ol.2012.909
MLA
Tajima, H., Ohta, T., Shinbashi, H., Hirose, A., Tsukada, T., Okamoto, K., Nakanuma, S., Sakai, S., Furukawa, H., Makino, I., Nakamura, K., Hayashi, H., Oyama, K., Inokuchi, M., Nakagawara, H., Miyashita, T., Fujita, H., Takamura, H., Ninomiya, I., Kitagawa, H., Fushida, S., Fujimura, T., Mouri, H., Ohtsubo, K."Successful treatment of unresectable gallbladder cancer with low-dose paclitaxel as palliative chemotherapy after failure of gemcitabine and oral S-1: A case report". Oncology Letters 4.6 (2012): 1281-1284.
Chicago
Tajima, H., Ohta, T., Shinbashi, H., Hirose, A., Tsukada, T., Okamoto, K., Nakanuma, S., Sakai, S., Furukawa, H., Makino, I., Nakamura, K., Hayashi, H., Oyama, K., Inokuchi, M., Nakagawara, H., Miyashita, T., Fujita, H., Takamura, H., Ninomiya, I., Kitagawa, H., Fushida, S., Fujimura, T., Mouri, H., Ohtsubo, K."Successful treatment of unresectable gallbladder cancer with low-dose paclitaxel as palliative chemotherapy after failure of gemcitabine and oral S-1: A case report". Oncology Letters 4, no. 6 (2012): 1281-1284. https://doi.org/10.3892/ol.2012.909
Copy and paste a formatted citation
x
Spandidos Publications style
Tajima H, Ohta T, Shinbashi H, Hirose A, Tsukada T, Okamoto K, Nakanuma S, Sakai S, Furukawa H, Makino I, Makino I, et al: Successful treatment of unresectable gallbladder cancer with low-dose paclitaxel as palliative chemotherapy after failure of gemcitabine and oral S-1: A case report. Oncol Lett 4: 1281-1284, 2012.
APA
Tajima, H., Ohta, T., Shinbashi, H., Hirose, A., Tsukada, T., Okamoto, K. ... Ohtsubo, K. (2012). Successful treatment of unresectable gallbladder cancer with low-dose paclitaxel as palliative chemotherapy after failure of gemcitabine and oral S-1: A case report. Oncology Letters, 4, 1281-1284. https://doi.org/10.3892/ol.2012.909
MLA
Tajima, H., Ohta, T., Shinbashi, H., Hirose, A., Tsukada, T., Okamoto, K., Nakanuma, S., Sakai, S., Furukawa, H., Makino, I., Nakamura, K., Hayashi, H., Oyama, K., Inokuchi, M., Nakagawara, H., Miyashita, T., Fujita, H., Takamura, H., Ninomiya, I., Kitagawa, H., Fushida, S., Fujimura, T., Mouri, H., Ohtsubo, K."Successful treatment of unresectable gallbladder cancer with low-dose paclitaxel as palliative chemotherapy after failure of gemcitabine and oral S-1: A case report". Oncology Letters 4.6 (2012): 1281-1284.
Chicago
Tajima, H., Ohta, T., Shinbashi, H., Hirose, A., Tsukada, T., Okamoto, K., Nakanuma, S., Sakai, S., Furukawa, H., Makino, I., Nakamura, K., Hayashi, H., Oyama, K., Inokuchi, M., Nakagawara, H., Miyashita, T., Fujita, H., Takamura, H., Ninomiya, I., Kitagawa, H., Fushida, S., Fujimura, T., Mouri, H., Ohtsubo, K."Successful treatment of unresectable gallbladder cancer with low-dose paclitaxel as palliative chemotherapy after failure of gemcitabine and oral S-1: A case report". Oncology Letters 4, no. 6 (2012): 1281-1284. https://doi.org/10.3892/ol.2012.909
Follow us
  • Twitter
  • LinkedIn
  • Facebook
About
  • Spandidos Publications
  • Careers
  • Cookie Policy
  • Privacy Policy
How can we help?
  • Help
  • Live Chat
  • Contact
  • Email to our Support Team