Spandidos Publications Logo
  • About
    • About Spandidos
    • Aims and Scopes
    • Abstracting and Indexing
    • Editorial Policies
    • Reprints and Permissions
    • Job Opportunities
    • Terms and Conditions
    • Contact
  • Journals
    • All Journals
    • Oncology Letters
      • Oncology Letters
      • Information for Authors
      • Editorial Policies
      • Editorial Board
      • Aims and Scope
      • Abstracting and Indexing
      • Bibliographic Information
      • Archive
    • International Journal of Oncology
      • International Journal of Oncology
      • Information for Authors
      • Editorial Policies
      • Editorial Board
      • Aims and Scope
      • Abstracting and Indexing
      • Bibliographic Information
      • Archive
    • Molecular and Clinical Oncology
      • Molecular and Clinical Oncology
      • Information for Authors
      • Editorial Policies
      • Editorial Board
      • Aims and Scope
      • Abstracting and Indexing
      • Bibliographic Information
      • Archive
    • Experimental and Therapeutic Medicine
      • Experimental and Therapeutic Medicine
      • Information for Authors
      • Editorial Policies
      • Editorial Board
      • Aims and Scope
      • Abstracting and Indexing
      • Bibliographic Information
      • Archive
    • International Journal of Molecular Medicine
      • International Journal of Molecular Medicine
      • Information for Authors
      • Editorial Policies
      • Editorial Board
      • Aims and Scope
      • Abstracting and Indexing
      • Bibliographic Information
      • Archive
    • Biomedical Reports
      • Biomedical Reports
      • Information for Authors
      • Editorial Policies
      • Editorial Board
      • Aims and Scope
      • Abstracting and Indexing
      • Bibliographic Information
      • Archive
    • Oncology Reports
      • Oncology Reports
      • Information for Authors
      • Editorial Policies
      • Editorial Board
      • Aims and Scope
      • Abstracting and Indexing
      • Bibliographic Information
      • Archive
    • Molecular Medicine Reports
      • Molecular Medicine Reports
      • Information for Authors
      • Editorial Policies
      • Editorial Board
      • Aims and Scope
      • Abstracting and Indexing
      • Bibliographic Information
      • Archive
    • World Academy of Sciences Journal
      • World Academy of Sciences Journal
      • Information for Authors
      • Editorial Policies
      • Editorial Board
      • Aims and Scope
      • Abstracting and Indexing
      • Bibliographic Information
      • Archive
    • International Journal of Functional Nutrition
      • International Journal of Functional Nutrition
      • Information for Authors
      • Editorial Policies
      • Editorial Board
      • Aims and Scope
      • Abstracting and Indexing
      • Bibliographic Information
      • Archive
    • International Journal of Epigenetics
      • International Journal of Epigenetics
      • Information for Authors
      • Editorial Policies
      • Editorial Board
      • Aims and Scope
      • Abstracting and Indexing
      • Bibliographic Information
      • Archive
    • Medicine International
      • Medicine International
      • Information for Authors
      • Editorial Policies
      • Editorial Board
      • Aims and Scope
      • Abstracting and Indexing
      • Bibliographic Information
      • Archive
  • Articles
  • Information
    • Information for Authors
    • Information for Reviewers
    • Information for Librarians
    • Information for Advertisers
    • Conferences
  • Language Editing
Spandidos Publications Logo
  • About
    • About Spandidos
    • Aims and Scopes
    • Abstracting and Indexing
    • Editorial Policies
    • Reprints and Permissions
    • Job Opportunities
    • Terms and Conditions
    • Contact
  • Journals
    • All Journals
    • Biomedical Reports
      • Information for Authors
      • Editorial Policies
      • Editorial Board
      • Aims and Scope
      • Abstracting and Indexing
      • Bibliographic Information
      • Archive
    • Experimental and Therapeutic Medicine
      • Information for Authors
      • Editorial Policies
      • Editorial Board
      • Aims and Scope
      • Abstracting and Indexing
      • Bibliographic Information
      • Archive
    • International Journal of Epigenetics
      • Information for Authors
      • Editorial Policies
      • Editorial Board
      • Aims and Scope
      • Abstracting and Indexing
      • Bibliographic Information
      • Archive
    • International Journal of Functional Nutrition
      • Information for Authors
      • Editorial Policies
      • Editorial Board
      • Aims and Scope
      • Abstracting and Indexing
      • Bibliographic Information
      • Archive
    • International Journal of Molecular Medicine
      • Information for Authors
      • Editorial Policies
      • Editorial Board
      • Aims and Scope
      • Abstracting and Indexing
      • Bibliographic Information
      • Archive
    • International Journal of Oncology
      • Information for Authors
      • Editorial Policies
      • Editorial Board
      • Aims and Scope
      • Abstracting and Indexing
      • Bibliographic Information
      • Archive
    • Medicine International
      • Information for Authors
      • Editorial Policies
      • Editorial Board
      • Aims and Scope
      • Abstracting and Indexing
      • Bibliographic Information
      • Archive
    • Molecular and Clinical Oncology
      • Information for Authors
      • Editorial Policies
      • Editorial Board
      • Aims and Scope
      • Abstracting and Indexing
      • Bibliographic Information
      • Archive
    • Molecular Medicine Reports
      • Information for Authors
      • Editorial Policies
      • Editorial Board
      • Aims and Scope
      • Abstracting and Indexing
      • Bibliographic Information
      • Archive
    • Oncology Letters
      • Information for Authors
      • Editorial Policies
      • Editorial Board
      • Aims and Scope
      • Abstracting and Indexing
      • Bibliographic Information
      • Archive
    • Oncology Reports
      • Information for Authors
      • Editorial Policies
      • Editorial Board
      • Aims and Scope
      • Abstracting and Indexing
      • Bibliographic Information
      • Archive
    • World Academy of Sciences Journal
      • Information for Authors
      • Editorial Policies
      • Editorial Board
      • Aims and Scope
      • Abstracting and Indexing
      • Bibliographic Information
      • Archive
  • Articles
  • Information
    • For Authors
    • For Reviewers
    • For Librarians
    • For Advertisers
    • Conferences
  • Language Editing
Login Register Submit
  • This site uses cookies
  • You can change your cookie settings at any time by following the instructions in our Cookie Policy. To find out more, you may read our Privacy Policy.

    I agree
Search articles by DOI, keyword, author or affiliation
Search
Advanced Search
presentation
Oncology Letters
Join Editorial Board Propose a Special Issue
Print ISSN: 1792-1074 Online ISSN: 1792-1082
Journal Cover
May 2013 Volume 5 Issue 5

Full Size Image

Sign up for eToc alerts
Recommend to Library

Journals

International Journal of Molecular Medicine

International Journal of Molecular Medicine

International Journal of Molecular Medicine is an international journal devoted to molecular mechanisms of human disease.

International Journal of Oncology

International Journal of Oncology

International Journal of Oncology is an international journal devoted to oncology research and cancer treatment.

Molecular Medicine Reports

Molecular Medicine Reports

Covers molecular medicine topics such as pharmacology, pathology, genetics, neuroscience, infectious diseases, molecular cardiology, and molecular surgery.

Oncology Reports

Oncology Reports

Oncology Reports is an international journal devoted to fundamental and applied research in Oncology.

Experimental and Therapeutic Medicine

Experimental and Therapeutic Medicine

Experimental and Therapeutic Medicine is an international journal devoted to laboratory and clinical medicine.

Oncology Letters

Oncology Letters

Oncology Letters is an international journal devoted to Experimental and Clinical Oncology.

Biomedical Reports

Biomedical Reports

Explores a wide range of biological and medical fields, including pharmacology, genetics, microbiology, neuroscience, and molecular cardiology.

Molecular and Clinical Oncology

Molecular and Clinical Oncology

International journal addressing all aspects of oncology research, from tumorigenesis and oncogenes to chemotherapy and metastasis.

World Academy of Sciences Journal

World Academy of Sciences Journal

Multidisciplinary open-access journal spanning biochemistry, genetics, neuroscience, environmental health, and synthetic biology.

International Journal of Functional Nutrition

International Journal of Functional Nutrition

Open-access journal combining biochemistry, pharmacology, immunology, and genetics to advance health through functional nutrition.

International Journal of Epigenetics

International Journal of Epigenetics

Publishes open-access research on using epigenetics to advance understanding and treatment of human disease.

Medicine International

Medicine International

An International Open Access Journal Devoted to General Medicine.

Journal Cover
May 2013 Volume 5 Issue 5

Full Size Image

Sign up for eToc alerts
Recommend to Library

  • Article
  • Citations
    • Cite This Article
    • Download Citation
    • Create Citation Alert
    • Remove Citation Alert
    • Cited By
  • Similar Articles
    • Related Articles (in Spandidos Publications)
    • Similar Articles (Google Scholar)
    • Similar Articles (PubMed)
  • Download PDF
  • Download XML
  • View XML
Article

Evaluation of colonoscopy in the diagnosis and treatment of rectal carcinoid tumors with diameter less than 1 cm in 21 patients

  • Authors:
    • Jing Liu
    • Zh-Qiang Wang
    • Zi-Qi Zhang
    • Xiao Chen
    • Yu Zhang
  • View Affiliations / Copyright

    Affiliations: Department of Endoscopy of the South Building, The PLA General Hospital, Beijing 100853, P.R. China
  • Pages: 1667-1671
    |
    Published online on: February 27, 2013
       https://doi.org/10.3892/ol.2013.1214
  • Expand metrics +
Metrics: Total Views: 0 (Spandidos Publications: | PMC Statistics: )
Metrics: Total PDF Downloads: 0 (Spandidos Publications: | PMC Statistics: )
Cited By (CrossRef): 0 citations Loading Articles...

This article is mentioned in:



Abstract

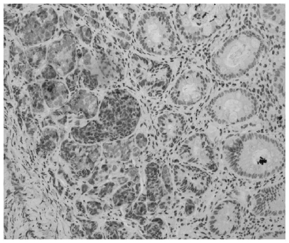
The aim of this study was to evaluate colonoscopy in the diagnosis and treatment of rectal carcinoid tumors with diameter <1 cm. Elevated lesions with normal mucosal appearance under colonoscopy were identified. Endoscopic ultrasound (EUS) was performed in 16 patients. Lesions diagnosed as rectal carcinoid tumors were resected by endoscopic mucosal resection (EMR). The diagnosis of specimens by EMR was confirmed by pathological examination. Immunohistochemical staining was undertaken and follow-up data were collected. Twenty-two lesions were found among the 21 cases. The majority of these were located within 10 cm of the anal opening. Twenty two cases with rectal carcinoids were diagnosed by EUS under colonoscopy and all cases were verified by pathological examination. The resection rate was 95.5% (21/22). Of the lesions, six were mucosal and 10 were submucosal. Immunohistochemistry was undertaken for carcinoid tumors. Histological patterns of rectal carcinoids revealed solid nests or trabecular patterns. Eleven cases were synaptophysin (SYN)-positive, 8 cases were neurone-specific enolase (NSE)-positive and 5 cases were chromogranin A (CgA)-positive. Colonoscopy combined with EUS is effective in the diagnosis and determination of small rectal carcinoids. Endoscopic treatment is effective for small-sized tumors. Pathology and immunohistochemistry remain the diagnostic gold standard.
View Figures

Figure 1

Figure 2

Figure 3

Figure 4

Figure 5

Figure 6

Figure 7

Figure 8

Figure 9

View References

1 

Wang HB and Wang LP: Analysis on clinical characteristics of rectal neuroendocrine tumors. Zhonghua Yi Xue Za Zhi. 90:1686–1689. 2010.In Chinese.

2 

Avenel P, McKendrick A, Silapaswan S, et al: Gastrointestinal carcinoids: an increasing incidence of rectal distribution. Am Surg. 76:759–763. 2010.PubMed/NCBI

3 

Nakanome T, Yokoyama K and Takeuchi H: Rectal granular-cell tumor difficult to distinguish from carcinoid tumor. Dig Endosc. 22:325–328. 2010. View Article : Google Scholar : PubMed/NCBI

4 

Varas-Lorenzo MJ, Muñoz-Agel F, Espinós-Pérez JC and Bardají-Bofill M: Gastrointestinal carcinoid tumors. Rev Esp Enferm Dig. 102:533–537. 2010.

5 

Scherübl H: Rectal carcinoids are on the rise: early detection by screening endoscopy. Endoscopy. 41:162–165. 2009.PubMed/NCBI

6 

Onozato Y, Kakizaki S, Iizuka H, Sohara N, Mori M and Itoh H: Endoscopic treatment of rectal carcinoid tumors. Dis Colon Rectum. 53:169–176. 2010. View Article : Google Scholar : PubMed/NCBI

7 

Wang XD, Wang ZQ, Huang QW, et al: The ultrasonographic characteristicsof the rectal carcinoid tumor. Zhonghua Xiao Hua Nei Jing Za Zhi. 22:98–100. 2005.In Chinese.

8 

Chen TH, Lin CJ, Wu RC, et al: The application of miniprobe ultrasonography in the diagnosis of colorectal subepithelial lesions. Chang Gung Med J. 33:380–388. 2010.PubMed/NCBI

9 

Lee DS, Jeon SW, Park SY, et al: The feasibility of endoscopic submucosal dissection for rectal carcinoid tumors: comparison with endoscopic mucosal resection. Endoscopy. 42:647–651. 2010. View Article : Google Scholar : PubMed/NCBI

10 

Baek IH: Endoscopic submucosal dissection or conventional endoscopic mucosal resection is an effective and safe treatment for rectal carcinoid tumors: a retrospective study. J Laparoendosc Adv Surg Tech A. 20:329–331. 2010. View Article : Google Scholar

11 

Onozato Y, Kakizaki S, Ishihara H, et al: Endoscopic submucosal dissection for rectal tumors. Endoscopy. 39:423–427. 2007. View Article : Google Scholar : PubMed/NCBI

12 

Steinhagen E, Chang G and Guillem JG: Initial experience with transanal endoscopic microsurgery: the need for understanding the limitations. J Gastrointest Surg. 15:958–962. 2011. View Article : Google Scholar : PubMed/NCBI

13 

Ghassemi KA, Ou H and Roth BE: Multiple rectal carcinoids in a patient with neurofibromatosis. Gastrointest Endosc. 71:216–218. 2010. View Article : Google Scholar : PubMed/NCBI

14 

Shim KN, Yang SK, Myung SJ, et al: Atypical endoscopic features of rectal carcinoids. Endoscopy. 36:313–316. 2004. View Article : Google Scholar : PubMed/NCBI

15 

Zhou PH, Yao LQ, Xu MD, Zhong YS, Zhang YQ and Chen WF: Endoscopic ultrasonography and submucosal resection in the diagnosis and treatment of rectal carcinoid tumors. Chin Med J (Engl). 120:1938–1939. 2007.PubMed/NCBI

16 

Ishii N, Horiki N, Itoh T, et al: Endoscopic submucosal dissection and preoperative assessment with endoscopic ultrasonography for the treatment of rectal carcinoid tumors. Surg Endosc. 24:1413–1419. 2010. View Article : Google Scholar : PubMed/NCBI

17 

Fu KI, Mashimo Y and Matsuda T: Is endoscopic ultrasonography necessary for depth evaluation of rectal carcinoid tumors <or=10 mm? Dis Colon Rectum. 49:1238–1239. 2006.PubMed/NCBI

18 

Nakase H, Matsuura M, Uza N, Ueno S, Nishio A and Chiba T: Rectal carcinoid tumor mimicking colonic adenomatous lesion. Gastrointest Endosc. 62:976–977. 2005. View Article : Google Scholar : PubMed/NCBI

19 

Sohn DK, Han KS, Hong CW, Chang HJ, Jeong SY and Park JG: Selection of cap size in endoscopic submucosal resection with cap aspiration for rectal carcinoid tumors. J Laparoendosc Adv Surg Tech A. 18:815–818. 2008. View Article : Google Scholar : PubMed/NCBI

20 

Kawahara M, Kammori M, Kanauchi H, et al: Immunohistochemical prognostic indicators of gastrointestinal carcinoid tumours. Eur J Surg Oncol. 28:140–146. 2002. View Article : Google Scholar : PubMed/NCBI

21 

Ishida M, Kushima R and Okabe H: Claudin expression in rectal well-differentiated endocrine neoplasms (carcinoid tumors). Oncol Rep. 21:113–117. 2009.PubMed/NCBI

22 

Conlon JM: Granin-derived peptides as diagnostic and prognostic markers for endocrine tumors. Regul Pept. 165:5–11. 2010. View Article : Google Scholar : PubMed/NCBI

23 

Modlin IM, Kidd M, Latich I, Zikusoka MN and Shapiro MD: Current status of gastrointestinal carcinoids. Gastroenterology. 128:1717–1751. 2005. View Article : Google Scholar : PubMed/NCBI

Related Articles

  • Abstract
  • View
  • Download
  • Twitter
Copy and paste a formatted citation
Spandidos Publications style
Liu J, Wang Z, Zhang Z, Chen X and Zhang Y: Evaluation of colonoscopy in the diagnosis and treatment of rectal carcinoid tumors with diameter less than 1 cm in 21 patients. Oncol Lett 5: 1667-1671, 2013.
APA
Liu, J., Wang, Z., Zhang, Z., Chen, X., & Zhang, Y. (2013). Evaluation of colonoscopy in the diagnosis and treatment of rectal carcinoid tumors with diameter less than 1 cm in 21 patients. Oncology Letters, 5, 1667-1671. https://doi.org/10.3892/ol.2013.1214
MLA
Liu, J., Wang, Z., Zhang, Z., Chen, X., Zhang, Y."Evaluation of colonoscopy in the diagnosis and treatment of rectal carcinoid tumors with diameter less than 1 cm in 21 patients". Oncology Letters 5.5 (2013): 1667-1671.
Chicago
Liu, J., Wang, Z., Zhang, Z., Chen, X., Zhang, Y."Evaluation of colonoscopy in the diagnosis and treatment of rectal carcinoid tumors with diameter less than 1 cm in 21 patients". Oncology Letters 5, no. 5 (2013): 1667-1671. https://doi.org/10.3892/ol.2013.1214
Copy and paste a formatted citation
x
Spandidos Publications style
Liu J, Wang Z, Zhang Z, Chen X and Zhang Y: Evaluation of colonoscopy in the diagnosis and treatment of rectal carcinoid tumors with diameter less than 1 cm in 21 patients. Oncol Lett 5: 1667-1671, 2013.
APA
Liu, J., Wang, Z., Zhang, Z., Chen, X., & Zhang, Y. (2013). Evaluation of colonoscopy in the diagnosis and treatment of rectal carcinoid tumors with diameter less than 1 cm in 21 patients. Oncology Letters, 5, 1667-1671. https://doi.org/10.3892/ol.2013.1214
MLA
Liu, J., Wang, Z., Zhang, Z., Chen, X., Zhang, Y."Evaluation of colonoscopy in the diagnosis and treatment of rectal carcinoid tumors with diameter less than 1 cm in 21 patients". Oncology Letters 5.5 (2013): 1667-1671.
Chicago
Liu, J., Wang, Z., Zhang, Z., Chen, X., Zhang, Y."Evaluation of colonoscopy in the diagnosis and treatment of rectal carcinoid tumors with diameter less than 1 cm in 21 patients". Oncology Letters 5, no. 5 (2013): 1667-1671. https://doi.org/10.3892/ol.2013.1214
Follow us
  • Twitter
  • LinkedIn
  • Facebook
About
  • Spandidos Publications
  • Careers
  • Cookie Policy
  • Privacy Policy
How can we help?
  • Help
  • Live Chat
  • Contact
  • Email to our Support Team