Spandidos Publications Logo
  • About
    • About Spandidos
    • Aims and Scopes
    • Abstracting and Indexing
    • Editorial Policies
    • Reprints and Permissions
    • Job Opportunities
    • Terms and Conditions
    • Contact
  • Journals
    • All Journals
    • Oncology Letters
      • Oncology Letters
      • Information for Authors
      • Editorial Policies
      • Editorial Board
      • Aims and Scope
      • Abstracting and Indexing
      • Bibliographic Information
      • Archive
    • International Journal of Oncology
      • International Journal of Oncology
      • Information for Authors
      • Editorial Policies
      • Editorial Board
      • Aims and Scope
      • Abstracting and Indexing
      • Bibliographic Information
      • Archive
    • Molecular and Clinical Oncology
      • Molecular and Clinical Oncology
      • Information for Authors
      • Editorial Policies
      • Editorial Board
      • Aims and Scope
      • Abstracting and Indexing
      • Bibliographic Information
      • Archive
    • Experimental and Therapeutic Medicine
      • Experimental and Therapeutic Medicine
      • Information for Authors
      • Editorial Policies
      • Editorial Board
      • Aims and Scope
      • Abstracting and Indexing
      • Bibliographic Information
      • Archive
    • International Journal of Molecular Medicine
      • International Journal of Molecular Medicine
      • Information for Authors
      • Editorial Policies
      • Editorial Board
      • Aims and Scope
      • Abstracting and Indexing
      • Bibliographic Information
      • Archive
    • Biomedical Reports
      • Biomedical Reports
      • Information for Authors
      • Editorial Policies
      • Editorial Board
      • Aims and Scope
      • Abstracting and Indexing
      • Bibliographic Information
      • Archive
    • Oncology Reports
      • Oncology Reports
      • Information for Authors
      • Editorial Policies
      • Editorial Board
      • Aims and Scope
      • Abstracting and Indexing
      • Bibliographic Information
      • Archive
    • Molecular Medicine Reports
      • Molecular Medicine Reports
      • Information for Authors
      • Editorial Policies
      • Editorial Board
      • Aims and Scope
      • Abstracting and Indexing
      • Bibliographic Information
      • Archive
    • World Academy of Sciences Journal
      • World Academy of Sciences Journal
      • Information for Authors
      • Editorial Policies
      • Editorial Board
      • Aims and Scope
      • Abstracting and Indexing
      • Bibliographic Information
      • Archive
    • International Journal of Functional Nutrition
      • International Journal of Functional Nutrition
      • Information for Authors
      • Editorial Policies
      • Editorial Board
      • Aims and Scope
      • Abstracting and Indexing
      • Bibliographic Information
      • Archive
    • International Journal of Epigenetics
      • International Journal of Epigenetics
      • Information for Authors
      • Editorial Policies
      • Editorial Board
      • Aims and Scope
      • Abstracting and Indexing
      • Bibliographic Information
      • Archive
    • Medicine International
      • Medicine International
      • Information for Authors
      • Editorial Policies
      • Editorial Board
      • Aims and Scope
      • Abstracting and Indexing
      • Bibliographic Information
      • Archive
  • Articles
  • Information
    • Information for Authors
    • Information for Reviewers
    • Information for Librarians
    • Information for Advertisers
    • Conferences
  • Language Editing
Spandidos Publications Logo
  • About
    • About Spandidos
    • Aims and Scopes
    • Abstracting and Indexing
    • Editorial Policies
    • Reprints and Permissions
    • Job Opportunities
    • Terms and Conditions
    • Contact
  • Journals
    • All Journals
    • Biomedical Reports
      • Information for Authors
      • Editorial Policies
      • Editorial Board
      • Aims and Scope
      • Abstracting and Indexing
      • Bibliographic Information
      • Archive
    • Experimental and Therapeutic Medicine
      • Information for Authors
      • Editorial Policies
      • Editorial Board
      • Aims and Scope
      • Abstracting and Indexing
      • Bibliographic Information
      • Archive
    • International Journal of Epigenetics
      • Information for Authors
      • Editorial Policies
      • Editorial Board
      • Aims and Scope
      • Abstracting and Indexing
      • Bibliographic Information
      • Archive
    • International Journal of Functional Nutrition
      • Information for Authors
      • Editorial Policies
      • Editorial Board
      • Aims and Scope
      • Abstracting and Indexing
      • Bibliographic Information
      • Archive
    • International Journal of Molecular Medicine
      • Information for Authors
      • Editorial Policies
      • Editorial Board
      • Aims and Scope
      • Abstracting and Indexing
      • Bibliographic Information
      • Archive
    • International Journal of Oncology
      • Information for Authors
      • Editorial Policies
      • Editorial Board
      • Aims and Scope
      • Abstracting and Indexing
      • Bibliographic Information
      • Archive
    • Medicine International
      • Information for Authors
      • Editorial Policies
      • Editorial Board
      • Aims and Scope
      • Abstracting and Indexing
      • Bibliographic Information
      • Archive
    • Molecular and Clinical Oncology
      • Information for Authors
      • Editorial Policies
      • Editorial Board
      • Aims and Scope
      • Abstracting and Indexing
      • Bibliographic Information
      • Archive
    • Molecular Medicine Reports
      • Information for Authors
      • Editorial Policies
      • Editorial Board
      • Aims and Scope
      • Abstracting and Indexing
      • Bibliographic Information
      • Archive
    • Oncology Letters
      • Information for Authors
      • Editorial Policies
      • Editorial Board
      • Aims and Scope
      • Abstracting and Indexing
      • Bibliographic Information
      • Archive
    • Oncology Reports
      • Information for Authors
      • Editorial Policies
      • Editorial Board
      • Aims and Scope
      • Abstracting and Indexing
      • Bibliographic Information
      • Archive
    • World Academy of Sciences Journal
      • Information for Authors
      • Editorial Policies
      • Editorial Board
      • Aims and Scope
      • Abstracting and Indexing
      • Bibliographic Information
      • Archive
  • Articles
  • Information
    • For Authors
    • For Reviewers
    • For Librarians
    • For Advertisers
    • Conferences
  • Language Editing
Login Register Submit
  • This site uses cookies
  • You can change your cookie settings at any time by following the instructions in our Cookie Policy. To find out more, you may read our Privacy Policy.

    I agree
Search articles by DOI, keyword, author or affiliation
Search
Advanced Search
presentation
Oncology Letters
Join Editorial Board Propose a Special Issue
Print ISSN: 1792-1074 Online ISSN: 1792-1082
Journal Cover
May 2013 Volume 5 Issue 5

Full Size Image

Sign up for eToc alerts
Recommend to Library

Journals

International Journal of Molecular Medicine

International Journal of Molecular Medicine

International Journal of Molecular Medicine is an international journal devoted to molecular mechanisms of human disease.

International Journal of Oncology

International Journal of Oncology

International Journal of Oncology is an international journal devoted to oncology research and cancer treatment.

Molecular Medicine Reports

Molecular Medicine Reports

Covers molecular medicine topics such as pharmacology, pathology, genetics, neuroscience, infectious diseases, molecular cardiology, and molecular surgery.

Oncology Reports

Oncology Reports

Oncology Reports is an international journal devoted to fundamental and applied research in Oncology.

Experimental and Therapeutic Medicine

Experimental and Therapeutic Medicine

Experimental and Therapeutic Medicine is an international journal devoted to laboratory and clinical medicine.

Oncology Letters

Oncology Letters

Oncology Letters is an international journal devoted to Experimental and Clinical Oncology.

Biomedical Reports

Biomedical Reports

Explores a wide range of biological and medical fields, including pharmacology, genetics, microbiology, neuroscience, and molecular cardiology.

Molecular and Clinical Oncology

Molecular and Clinical Oncology

International journal addressing all aspects of oncology research, from tumorigenesis and oncogenes to chemotherapy and metastasis.

World Academy of Sciences Journal

World Academy of Sciences Journal

Multidisciplinary open-access journal spanning biochemistry, genetics, neuroscience, environmental health, and synthetic biology.

International Journal of Functional Nutrition

International Journal of Functional Nutrition

Open-access journal combining biochemistry, pharmacology, immunology, and genetics to advance health through functional nutrition.

International Journal of Epigenetics

International Journal of Epigenetics

Publishes open-access research on using epigenetics to advance understanding and treatment of human disease.

Medicine International

Medicine International

An International Open Access Journal Devoted to General Medicine.

Journal Cover
May 2013 Volume 5 Issue 5

Full Size Image

Sign up for eToc alerts
Recommend to Library

  • Article
  • Citations
    • Cite This Article
    • Download Citation
    • Create Citation Alert
    • Remove Citation Alert
    • Cited By
  • Similar Articles
    • Related Articles (in Spandidos Publications)
    • Similar Articles (Google Scholar)
    • Similar Articles (PubMed)
  • Download PDF
  • Download XML
  • View XML
Article

Treatment of pulmonary epithelioid hemangioendothelioma with combination chemotherapy: Report of three cases and review of the literature

  • Authors:
    • Bo Ye
    • Wang Li
    • Jian Feng
    • Jian‑Xin Shi
    • Yong Chen
    • Bao‑Hui Han
  • View Affiliations / Copyright

    Affiliations: Department of Thoracic Surgery, Shanghai Chest Hospital, Shanghai Jiaotong University, Shanghai 200030, P.R. China, Renji‑MedX Clinical Stem Cell Research Center, Renji Hospital, Shanghai Jiao Tong University School of Medicine, Shanghai 200127, P.R. China, Division of Medical Oncology, Shanghai Chest Hospital, Shanghai Jiaotong University, Shanghai 200030, P.R. China
  • Pages: 1491-1496
    |
    Published online on: February 28, 2013
       https://doi.org/10.3892/ol.2013.1217
  • Expand metrics +
Metrics: Total Views: 0 (Spandidos Publications: | PMC Statistics: )
Metrics: Total PDF Downloads: 0 (Spandidos Publications: | PMC Statistics: )
Cited By (CrossRef): 0 citations Loading Articles...

This article is mentioned in:



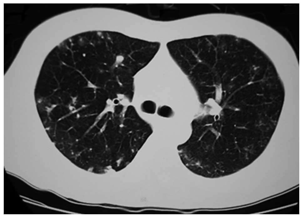
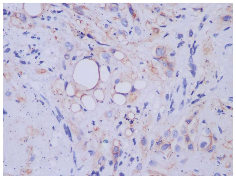
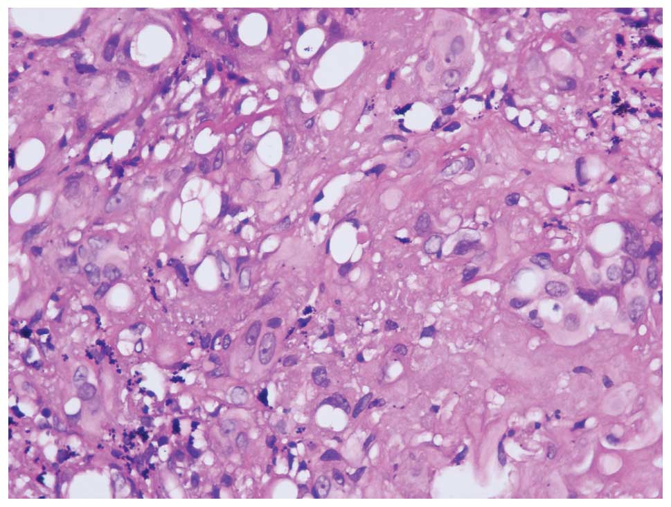
Abstract

No standard therapy for pulmonary epithelioid hemangioendothelioma (PEH) has yet been established due to the rarity of the disease, the lack of clear standards for treatment and the partial‑to‑complete spontaneous regression. This report describes three cases of PHE manifested as bilateral intrapulmonary masses with an initial diagnosis conducted by thoracoscopic lung biopsy. These patients demonstrated a partial response to combination chemotherapy with carboplatin, paclitaxel, bevacizumab or endostar, and an improvement in clinical status. Furthermore, we reviewed the literature regarding such patients who received chemotherapy and immunotherapy; this indicated that patients with PEH demonstrated a good partial response to chemotherapy with carboplatin, paclitaxel, bevacizumab, thalidomide and α‑interferon. Overall, combination chemotherapy regimens may hold therapeutic potential for the treatment of this rare disease.
View Figures

Figure 1

Figure 2

Figure 3

Figure 4

Figure 5

View References

1 

Dail DH and Liebow AA: Intravascular bronchioloalveolar tumor. Am J Pathol. 78:6a–7a. 1975.

2 

Kitaichi M, Nagai S, Nishimura K, et al: Pulmonary epithelioid haemangioendothelioma in 21 patients, including three with partial spontaneous regression. Eur Respir J. 12:89–96. 1998. View Article : Google Scholar

3 

Dail DH, Liebow AA, Gmelich JT, et al: Intravascular, bronchiolar, and alveolar tumor of the lung (IVBAT). An analysis of twenty cases of a peculiar sclerosing endothelial tumor. Cancer. 51:452–464. 1983. View Article : Google Scholar : PubMed/NCBI

4 

Weiss SW, Ishak KG, Dail DH, Sweet DE and Enzinger FM: Epithelioid hemangioendothelioma and related lesions. Semin Diagn Pathol. 3:259–287. 1986.PubMed/NCBI

5 

Bollinger BK, Laskin WB and Knight CB: Epithelioid hemangioendothelioma with multiple site involvement. Literature review and observations. Cancer. 73:610–615. 1994. View Article : Google Scholar : PubMed/NCBI

6 

Corrin B, Manners B, Millard M and Weaver L: Histogenesis of the so-called “intravascular bronchioloalveolar tumour”. J Pathol. 128:163–167. 1979.

7 

Weiss SW and Enzinger FM: Epithelioid hemangioendothelioma: a vascular tumor often mistaken for a carcinoma. Cancer. 50:970–981. 1982. View Article : Google Scholar : PubMed/NCBI

8 

Weldon - Linne CM, Victor TA and Christ ML: Immunohistochemical identification of factor VIII-related antigen in the intravascular bronchioloalveolar tumor of the lung. Arch Pathol Lab Med. 105:628–629. 1981.PubMed/NCBI

9 

Travis WD, Brambilla E, Müller-Hermelink HK and Harris CC: Epithelioid haemangioendothelioma/angiosarcoma. World Health Organization. Classification of Tumours: Pathology and Genetics of Tumours of Lung, Pleura, Thymus and Heart. IARC Press; Lyon: pp. 972004

10 

Schattenberg T, Kam R, Klopp M, et al: Pulmonary epithelioid hemangioendothelioma: report of three cases. Surg Today. 38:844–849. 2008. View Article : Google Scholar

11 

Amin RM, Hiroshima K, Kokubo T, et al: Risk factors and independent predictors of survival in patients with pulmonary epithelioid haemangioendothelioma. Review of the literature and a case report. Respirology. 11:818–825. 2006. View Article : Google Scholar : PubMed/NCBI

12 

Jang KY, Jin GY, Lee YC, et al: Pulmonary epithelioid hemangioendothelioma: a tumor presented as a single cavitary mass. J Korean Med Sci. 18:599–602. 2003. View Article : Google Scholar : PubMed/NCBI

13 

Bahrami A, Allen TC and Cagle PT: Pulmonary epithelioid hemangioendothelioma mimicking mesothelioma. Pathol Int. 58:730–734. 2008. View Article : Google Scholar : PubMed/NCBI

14 

Cronin P and Arenberg D: Pulmonary epithelioid hemangioendothelioma: an unusual case and a review of the literature. Chest. 125:789–793. 2004. View Article : Google Scholar : PubMed/NCBI

15 

Shang A and Wang X: Pulmonary epithelioid haemangioendothelioma mimicking central lung cancer. Respirology. 14:452–455. 2009. View Article : Google Scholar : PubMed/NCBI

16 

Bevelaqua FA, Valensi Q and Hulnick D: Epithelioid hemangioendothelioma. A rare tumor with variable prognosis presenting as a pleural effusion. Chest. 93:665–666. 1988. View Article : Google Scholar : PubMed/NCBI

17 

Gray MH, Rosenberg AE, Dickersin GR and Bhan AK: Cytokeratin expression in epithelioid vascular neoplasms. Hum Pathol. 21:212–217. 1990. View Article : Google Scholar : PubMed/NCBI

18 

Bagan P, Hassan M, Le Pimpec BF, et al: Prognostic factors and surgical indications of pulmonary epithelioid hemangioendothelioma: a review of the literature. Ann Thorac Surg. 82:2010–2013. 2006. View Article : Google Scholar : PubMed/NCBI

19 

Fujita K: Long term follow-up of a case of pulmonary epithelioid hemangioendothelioma. Kyobu Geka. 62:223–226. 2009.(In Japanese).

20 

Van Kasteren ME, Van der Wurff AA, Palmen FM, Dolman A and Misere JF: Epithelioid haemangioendothelioma of the lung: clinical and pathological pitfalls. Eur Respir J. 8:1616–1619. 1995.PubMed/NCBI

21 

Azumi N and Churg A: Intravascular and sclerosing bronchioloalveolar tumor. A pulmonary sarcoma of probable vascular origin. Am J Surg Pathol. 5:587–596. 1981. View Article : Google Scholar : PubMed/NCBI

22 

Goorin AM and Rosenberg AE: Case records of the Massachusetts General Hospital. Weekly clinicopathological exercises Case 10-1990 A 15-year-old girl with multiple radiolucent bony defects and multiple pulmonary nodules. N Engl J Med. 322:683–690. 1990.

23 

Kim JH, Lee EB, Kim S, et al: A case of hypertrophic osteoarthropathy associated with epithelioid hemangioendothelioma. J Korean Med Sci. 19:484–486. 2004. View Article : Google Scholar : PubMed/NCBI

24 

Taege C, Holzhausen H, Gunter G, Flemming P, Rodeck B and Rath FW: Malignant epithelioid hemangioendothelioma of the liver - a very rare tumor in children. Pathologe. 20:345–350. 1999.(In German).

25 

Pinet C, Magnan A, Garbe L, Payan MJ and Vervloet D: Aggressive form of pleural epithelioid haemangioendothelioma: complete response after chemotherapy. Eur Respir J. 14:237–238. 1999. View Article : Google Scholar : PubMed/NCBI

26 

Erasmus JJ, McAdams HP and Carraway MS: A 63-year-old woman with weight loss and multiple lung nodules. Chest. 111:236–238. 1997.PubMed/NCBI

27 

Roudier-Pujol C, Enjolras O, Lacronique J, et al: Multifocal epithelioid hemangioendothelioma with partial remission after interferon alfa-2a treatment. Ann Dermatol Venereol. 121:898–904. 1994.(In French).

28 

Marsh K, Kenyon WE, Earis JE and Pearson MG: Intravascular bronchioloalveolar tumour. Thorax. 37:474–475. 1982. View Article : Google Scholar : PubMed/NCBI

29 

Ledson MJ, Convery R, Carty A and Evans CC: Epithelioid haemangioendothelioma. Thorax. 54:560–561. 1999. View Article : Google Scholar

30 

Belmont L, Zemoura L and Couderc LJ: Pulmonary epithelioid haemangioendothelioma and bevacizumab. J Thorac Oncol. 3:557–558. 2008. View Article : Google Scholar : PubMed/NCBI

31 

Kim YH, Mishima M and Miyagawa-Hayashino A: Treatment of pulmonary epithelioid hemangioendothelioma with bevacizumab. J Thorac Oncol. 5:1107–1108. 2010. View Article : Google Scholar : PubMed/NCBI

32 

André ST, Valente C, Paiva B, Pego A, Carvalho L and Luis AS: Epithelioid hemangioendothelioma of the pleura - A rare presentation of a clinical case. Rev Port Pneumol. 16:477–482. 2010.(In Portuguese).

33 

Lopes T, Clemente S, Feliciano A, Lourenço I, Costa A and Gil DJ: Pulmonary epithelioid hemangioendothelioma - rarity, diagnosis and treatment difficulties. Rev Port Pneumol. 15:1167–1174. 2009.(In Portuguese).

34 

Lee YJ, Chung MJ, Jeong KC, et al: Pleural epithelioid hemangioendothelioma. Yonsei Med J. 49:1036–1040. 2008. View Article : Google Scholar : PubMed/NCBI

35 

Radzikowska E, Szczepulska-Wojcik E, Chabowski M, Oniszh K, Langfort R and Roszkowski K: Pulmonary epithelioid haemangioendothelioma--interferon 2-alpha treatment - case report. Pneumonol Alergol Pol. 76:281–285. 2008.PubMed/NCBI

36 

Endo T, Su CC, Numagami Y and Shirane R: Malignant intracranial epithelioid hemangioendothelioma presumably originating from the lung: case report. J Neurooncol. 67:337–343. 2004. View Article : Google Scholar : PubMed/NCBI

37 

Marsh RW, Walker MH, Jacob G and Liu C: Breast implants as a possible etiology of epithelioid hemangioendothelioma and successful therapy with interferon-alpha2. Breast J. 11:257–261. 2005. View Article : Google Scholar : PubMed/NCBI

Related Articles

  • Abstract
  • View
  • Download
  • Twitter
Copy and paste a formatted citation
Spandidos Publications style
Ye B, Li W, Feng J, Shi JX, Chen Y and Han BH: Treatment of pulmonary epithelioid hemangioendothelioma with combination chemotherapy: Report of three cases and review of the literature . Oncol Lett 5: 1491-1496, 2013.
APA
Ye, B., Li, W., Feng, J., Shi, J., Chen, Y., & Han, B. (2013). Treatment of pulmonary epithelioid hemangioendothelioma with combination chemotherapy: Report of three cases and review of the literature . Oncology Letters, 5, 1491-1496. https://doi.org/10.3892/ol.2013.1217
MLA
Ye, B., Li, W., Feng, J., Shi, J., Chen, Y., Han, B."Treatment of pulmonary epithelioid hemangioendothelioma with combination chemotherapy: Report of three cases and review of the literature ". Oncology Letters 5.5 (2013): 1491-1496.
Chicago
Ye, B., Li, W., Feng, J., Shi, J., Chen, Y., Han, B."Treatment of pulmonary epithelioid hemangioendothelioma with combination chemotherapy: Report of three cases and review of the literature ". Oncology Letters 5, no. 5 (2013): 1491-1496. https://doi.org/10.3892/ol.2013.1217
Copy and paste a formatted citation
x
Spandidos Publications style
Ye B, Li W, Feng J, Shi JX, Chen Y and Han BH: Treatment of pulmonary epithelioid hemangioendothelioma with combination chemotherapy: Report of three cases and review of the literature . Oncol Lett 5: 1491-1496, 2013.
APA
Ye, B., Li, W., Feng, J., Shi, J., Chen, Y., & Han, B. (2013). Treatment of pulmonary epithelioid hemangioendothelioma with combination chemotherapy: Report of three cases and review of the literature . Oncology Letters, 5, 1491-1496. https://doi.org/10.3892/ol.2013.1217
MLA
Ye, B., Li, W., Feng, J., Shi, J., Chen, Y., Han, B."Treatment of pulmonary epithelioid hemangioendothelioma with combination chemotherapy: Report of three cases and review of the literature ". Oncology Letters 5.5 (2013): 1491-1496.
Chicago
Ye, B., Li, W., Feng, J., Shi, J., Chen, Y., Han, B."Treatment of pulmonary epithelioid hemangioendothelioma with combination chemotherapy: Report of three cases and review of the literature ". Oncology Letters 5, no. 5 (2013): 1491-1496. https://doi.org/10.3892/ol.2013.1217
Follow us
  • Twitter
  • LinkedIn
  • Facebook
About
  • Spandidos Publications
  • Careers
  • Cookie Policy
  • Privacy Policy
How can we help?
  • Help
  • Live Chat
  • Contact
  • Email to our Support Team