Spandidos Publications Logo
  • About
    • About Spandidos
    • Aims and Scopes
    • Abstracting and Indexing
    • Editorial Policies
    • Reprints and Permissions
    • Job Opportunities
    • Terms and Conditions
    • Contact
  • Journals
    • All Journals
    • Oncology Letters
      • Oncology Letters
      • Information for Authors
      • Editorial Policies
      • Editorial Board
      • Aims and Scope
      • Abstracting and Indexing
      • Bibliographic Information
      • Archive
    • International Journal of Oncology
      • International Journal of Oncology
      • Information for Authors
      • Editorial Policies
      • Editorial Board
      • Aims and Scope
      • Abstracting and Indexing
      • Bibliographic Information
      • Archive
    • Molecular and Clinical Oncology
      • Molecular and Clinical Oncology
      • Information for Authors
      • Editorial Policies
      • Editorial Board
      • Aims and Scope
      • Abstracting and Indexing
      • Bibliographic Information
      • Archive
    • Experimental and Therapeutic Medicine
      • Experimental and Therapeutic Medicine
      • Information for Authors
      • Editorial Policies
      • Editorial Board
      • Aims and Scope
      • Abstracting and Indexing
      • Bibliographic Information
      • Archive
    • International Journal of Molecular Medicine
      • International Journal of Molecular Medicine
      • Information for Authors
      • Editorial Policies
      • Editorial Board
      • Aims and Scope
      • Abstracting and Indexing
      • Bibliographic Information
      • Archive
    • Biomedical Reports
      • Biomedical Reports
      • Information for Authors
      • Editorial Policies
      • Editorial Board
      • Aims and Scope
      • Abstracting and Indexing
      • Bibliographic Information
      • Archive
    • Oncology Reports
      • Oncology Reports
      • Information for Authors
      • Editorial Policies
      • Editorial Board
      • Aims and Scope
      • Abstracting and Indexing
      • Bibliographic Information
      • Archive
    • Molecular Medicine Reports
      • Molecular Medicine Reports
      • Information for Authors
      • Editorial Policies
      • Editorial Board
      • Aims and Scope
      • Abstracting and Indexing
      • Bibliographic Information
      • Archive
    • World Academy of Sciences Journal
      • World Academy of Sciences Journal
      • Information for Authors
      • Editorial Policies
      • Editorial Board
      • Aims and Scope
      • Abstracting and Indexing
      • Bibliographic Information
      • Archive
    • International Journal of Functional Nutrition
      • International Journal of Functional Nutrition
      • Information for Authors
      • Editorial Policies
      • Editorial Board
      • Aims and Scope
      • Abstracting and Indexing
      • Bibliographic Information
      • Archive
    • International Journal of Epigenetics
      • International Journal of Epigenetics
      • Information for Authors
      • Editorial Policies
      • Editorial Board
      • Aims and Scope
      • Abstracting and Indexing
      • Bibliographic Information
      • Archive
    • Medicine International
      • Medicine International
      • Information for Authors
      • Editorial Policies
      • Editorial Board
      • Aims and Scope
      • Abstracting and Indexing
      • Bibliographic Information
      • Archive
  • Articles
  • Information
    • Information for Authors
    • Information for Reviewers
    • Information for Librarians
    • Information for Advertisers
    • Conferences
  • Language Editing
Spandidos Publications Logo
  • About
    • About Spandidos
    • Aims and Scopes
    • Abstracting and Indexing
    • Editorial Policies
    • Reprints and Permissions
    • Job Opportunities
    • Terms and Conditions
    • Contact
  • Journals
    • All Journals
    • Biomedical Reports
      • Information for Authors
      • Editorial Policies
      • Editorial Board
      • Aims and Scope
      • Abstracting and Indexing
      • Bibliographic Information
      • Archive
    • Experimental and Therapeutic Medicine
      • Information for Authors
      • Editorial Policies
      • Editorial Board
      • Aims and Scope
      • Abstracting and Indexing
      • Bibliographic Information
      • Archive
    • International Journal of Epigenetics
      • Information for Authors
      • Editorial Policies
      • Editorial Board
      • Aims and Scope
      • Abstracting and Indexing
      • Bibliographic Information
      • Archive
    • International Journal of Functional Nutrition
      • Information for Authors
      • Editorial Policies
      • Editorial Board
      • Aims and Scope
      • Abstracting and Indexing
      • Bibliographic Information
      • Archive
    • International Journal of Molecular Medicine
      • Information for Authors
      • Editorial Policies
      • Editorial Board
      • Aims and Scope
      • Abstracting and Indexing
      • Bibliographic Information
      • Archive
    • International Journal of Oncology
      • Information for Authors
      • Editorial Policies
      • Editorial Board
      • Aims and Scope
      • Abstracting and Indexing
      • Bibliographic Information
      • Archive
    • Medicine International
      • Information for Authors
      • Editorial Policies
      • Editorial Board
      • Aims and Scope
      • Abstracting and Indexing
      • Bibliographic Information
      • Archive
    • Molecular and Clinical Oncology
      • Information for Authors
      • Editorial Policies
      • Editorial Board
      • Aims and Scope
      • Abstracting and Indexing
      • Bibliographic Information
      • Archive
    • Molecular Medicine Reports
      • Information for Authors
      • Editorial Policies
      • Editorial Board
      • Aims and Scope
      • Abstracting and Indexing
      • Bibliographic Information
      • Archive
    • Oncology Letters
      • Information for Authors
      • Editorial Policies
      • Editorial Board
      • Aims and Scope
      • Abstracting and Indexing
      • Bibliographic Information
      • Archive
    • Oncology Reports
      • Information for Authors
      • Editorial Policies
      • Editorial Board
      • Aims and Scope
      • Abstracting and Indexing
      • Bibliographic Information
      • Archive
    • World Academy of Sciences Journal
      • Information for Authors
      • Editorial Policies
      • Editorial Board
      • Aims and Scope
      • Abstracting and Indexing
      • Bibliographic Information
      • Archive
  • Articles
  • Information
    • For Authors
    • For Reviewers
    • For Librarians
    • For Advertisers
    • Conferences
  • Language Editing
Login Register Submit
  • This site uses cookies
  • You can change your cookie settings at any time by following the instructions in our Cookie Policy. To find out more, you may read our Privacy Policy.

    I agree
Search articles by DOI, keyword, author or affiliation
Search
Advanced Search
presentation
Oncology Letters
Join Editorial Board Propose a Special Issue
Print ISSN: 1792-1074 Online ISSN: 1792-1082
Journal Cover
May 2013 Volume 5 Issue 5

Full Size Image

Sign up for eToc alerts
Recommend to Library

Journals

International Journal of Molecular Medicine

International Journal of Molecular Medicine

International Journal of Molecular Medicine is an international journal devoted to molecular mechanisms of human disease.

International Journal of Oncology

International Journal of Oncology

International Journal of Oncology is an international journal devoted to oncology research and cancer treatment.

Molecular Medicine Reports

Molecular Medicine Reports

Covers molecular medicine topics such as pharmacology, pathology, genetics, neuroscience, infectious diseases, molecular cardiology, and molecular surgery.

Oncology Reports

Oncology Reports

Oncology Reports is an international journal devoted to fundamental and applied research in Oncology.

Experimental and Therapeutic Medicine

Experimental and Therapeutic Medicine

Experimental and Therapeutic Medicine is an international journal devoted to laboratory and clinical medicine.

Oncology Letters

Oncology Letters

Oncology Letters is an international journal devoted to Experimental and Clinical Oncology.

Biomedical Reports

Biomedical Reports

Explores a wide range of biological and medical fields, including pharmacology, genetics, microbiology, neuroscience, and molecular cardiology.

Molecular and Clinical Oncology

Molecular and Clinical Oncology

International journal addressing all aspects of oncology research, from tumorigenesis and oncogenes to chemotherapy and metastasis.

World Academy of Sciences Journal

World Academy of Sciences Journal

Multidisciplinary open-access journal spanning biochemistry, genetics, neuroscience, environmental health, and synthetic biology.

International Journal of Functional Nutrition

International Journal of Functional Nutrition

Open-access journal combining biochemistry, pharmacology, immunology, and genetics to advance health through functional nutrition.

International Journal of Epigenetics

International Journal of Epigenetics

Publishes open-access research on using epigenetics to advance understanding and treatment of human disease.

Medicine International

Medicine International

An International Open Access Journal Devoted to General Medicine.

Journal Cover
May 2013 Volume 5 Issue 5

Full Size Image

Sign up for eToc alerts
Recommend to Library

  • Article
  • Citations
    • Cite This Article
    • Download Citation
    • Create Citation Alert
    • Remove Citation Alert
    • Cited By
  • Similar Articles
    • Related Articles (in Spandidos Publications)
    • Similar Articles (Google Scholar)
    • Similar Articles (PubMed)
  • Download PDF
  • Download XML
  • View XML
Article

Immunoexpression of lactoferrin in bone metastases and corresponding primary carcinomas

  • Authors:
    • A. Ieni
    • V. Barresi
    • G. Branca
    • G. Giuffrè
    • M. A. Rosa
    • G. Tuccari
  • View Affiliations / Copyright

    Affiliations: Department of Human Pathology, Section of Pathological Anatomy, University of Messina, Messina, Italy, Department of Surgical Specialties, Section of Oncological Orthopaedics, University of Messina, Messina, Italy
  • Pages: 1536-1540
    |
    Published online on: March 5, 2013
       https://doi.org/10.3892/ol.2013.1227
  • Expand metrics +
Metrics: Total Views: 0 (Spandidos Publications: | PMC Statistics: )
Metrics: Total PDF Downloads: 0 (Spandidos Publications: | PMC Statistics: )
Cited By (CrossRef): 0 citations Loading Articles...

This article is mentioned in:



Abstract

Although the immunohistochemical presence of lactoferrin (LF) in pathological neoplastic bone and cartilage samples has previously been studied, no data concerning the distribution of LF in bone metastases of cancers that have originated from different organs are available at present. Consequently, using a monoclonal antibody, we have investigated the immunohistochemical LF pattern in 50 formalin-fixed and paraffin-embedded samples of human bone metastases and their corresponding primary carcinoma tumours (breast, 8; prostate, 4; kidney, 4; lung, 3; colon-rectum, 2 and uterus, 4). Quantification of LF immuno­reactivity was performed using an intensity distribution (ID) score. LF immuno­staining with a variable ID score was encountered in 11/25 (44%) metastatic lesions. In particular, the LF immunoreactivity was identified with a percentage ranging from 50 to 75% of bone metastases due to prostatic, renal, uterine and colorectal carcinomas; the positivity decreased in breast carcinomas (37.5%) and was completely absent in lung cancers. No differences in the LF-ID score were observed between primary and metastatic neoplastic localisations. Additionally, no correlations were identified between LF immunoexpression and the other parameters tested, including the age and gender of patients. Regardless of the mechanism of action of LF in human malignant tumours, we identified LF immunohistochemical reproducibility at primary and metastatic sites. Therefore, we hypothesise that the presence of LF in native neoplastic carcinomatous clones is maintained in secondary bone metastatic deposits.

Introduction

Lactoferrin (LF) is a single-chain non-haeme iron-binding glycoprotein with a molecular weight of ∼80 kDa, consisting of ∼700 amino acids with a high degree of homology between species (1). The concentration of LF is high in milk, mainly in colostrum, although it has been found in other body fluids and secretions such as blood plasma, tears, saliva, urine, bile, semen and amniotic fluid (2–4).

LF has a wide range of biological activities, including antimicrobial properties, improvement of iron status, anti-inflammation, development of immune function and promotion of cell proliferation during carcinogenesis (5,6).

Using immunohistochemistry, the distribution of LF has been investigated in normal human fetal and adult tissues including the stomach, kidney, lung, pancreas, liver, bone marrow and skin (7,8). More recently, the immunohistochemical distribution of LF has been analysed in human embryonic, fetal and adult bone and cartilaginous tissues (9), in order to investigate whether LF may be involved in the growth and differentiation of the human skeleton, similar to that suggested in murine models as well as in cell culture lines (10–12). In addition, our research group has also evaluated the immuno histochemical presence of LF in pathological neoplastic bone and cartilage samples (13,14). LF immunoreactivity was revealed in chondroblastomas, chondromyxoid fibromas, giant cell tumours, osteoid osteomas, myelomas and adamantinomas; while no LF immunoexpression was detected in enchondromas, osteochondromas, ossifying fibromas, chondrosarcomas or osteosarcomas (13–15).

As no data regarding the distribution of LF in bone metastases of cancers that have originated from different organs are available at present, we set out to analyse the immunohistochemical pattern of LF in a cohort of these samples as well as in the corresponding primary neoplasms using a monoclonal antibody against LF.

Materials and methods

Specimens

LF immunoexpression was investigated in 25 specimens of human bone metastatic lesions obtained through curettage or surgery from an equal number of patients (16 females, 9 males; mean ages, 64 and 92 years, respectively; age range, 28–85 years). Data concerning the site of occurrence of the metastases as well as surgical samples of the primary corresponding carcinomas were obtained from the files at the Department of Human Pathology, University of Messina, Messina, Italy. The primary carcinoma sites included breast (8 cases), prostate (4 cases), kidney (4 cases), lung (3 cases), colon-rectum (2 cases) and uterus (4 cases).

Preparation of specimens

All samples were fixed in 10% neutral formalin for 24–36 h at room temperature (RT), and then embedded in paraffin at 56°C. The bone metastatic specimens were subjected to a decalcification procedure performed using formic acid (5%) or ethylenediamine-tetraacetic acid (EDTA; 5%, pH 7.4) for ≤12–24 h, depending on the size of mineralised samples. From each tissue block, 4-μm sections were stained with haematoxylin and eosin (H&E) for microscopic evaluation. Parallel sections were cut and mounted on silane-coated glass, then dewaxed in xylene and rehydrated in graded ethanols. Antigen retrieval was performed prior to the addition of the primary antibody, by heating slides placed in 0.01 M citrate buffer at pH 6.0 in a microwave oven (750 W) for three 5-min cycles.

Immunohistochemistry

For the immunohistochemical study, sections were treated in a moist chamber with: i) 0.1% H2O2 in methanol for 30 min at RT, to block the intrinsic peroxidase activity; ii) normal sheep serum to prevent non-specific adherence of serum proteins; iii) mouse monoclonal primary antibody (anti-human) against LF [clone 1A1; working dilution (wd), 1:75; Biodesign International, Inc., Saco, ME, USA] for 60 min at RT; iv) sheep anti-mouse immunoglobulin antiserum (wd, 1:25; Behring Institute, Marburg, Germany) for 30 min at RT; v) mouse anti-horseradish peroxidase-antiperoxidase complexes (wd, 1:25; DakoCytomation, Copenhagen, Denmark) for 30 min at RT. To reveal peroxidase activity, the sections were incubated in the dark for 10 min with 100 mg 3,3′-diaminobenzidine tetrahydrochloride (Sigma, St. Louis, MO, USA) in 200 ml 0.03% hydrogen peroxide in phosphate-buffered saline (PBS) solution. The nuclear counterstaining was performed using Mayer’s haemalum solution.

Renal tubular structures within normal kidney samples and portions of the parotid gland were utilised as LF-positive controls. In addition, the LF immunoreactivity demonstrated in granules of polymorphonuclear neutrophils inside the neoplastic lesions was utilised as additional positive control. Finally, to test the inter-run variability of LF immunostaining, the same LF-positive parotid sample was utilised in every run. To test the of LF immunoreaction in order to omit the possibility of non-specific reaction, serial sections of each affected specimen were tested by replacing the specific antiserum with either PBS, normal rabbit serum, or by absorption with an excess of purified human LF from human liver and spleen (Sigma) as well as with pre-absorbed primary antibody; the results obtained were negative.

Microscopy

The analysis of immunostained sections was estimated by light micro scopy using ×20 and ×40 objective lenses and a ×10 eyepiece. Two pathologists used a double-headed microscope to perform the assessment of LF immunostained sections on a consensus basis. The percentage of stained neoplastic cells (area of staining positivity, ASP) was graded as follows: 0, no staining; 1, >0–5%; 2, >5–50% and 3, >50%. The intensity of staining (IS; weak, 1; moderate, 2; strong, 3) was also assessed. Then an LF intensity distribution (ID) score was calculated for each case by multiplying the values of the ASP and the IS, according to that described by Tuccari et al(16).

Statistical analysis

The correlations between LF immuno-expression and the clinical data (age and gender of patients and site of the lesion) were investigated using either the χ2 or the Fisher’s exact test, as appropriate. Moreover, the correlation between the LF immunoreactivity pattern in primary carcinomas and the corresponding metastatic bone samples was analysed by a Spearman’s rank correlation test. P<0.05 was considered to indicate a statistically significant difference. Data were analysed using the Statistical Package for the Social Sciences (SPSS) software, version 6.1.3 (SPSS, Inc., Chicago, IL, USA).

Results

Routinely stained H&E sections exhibited a good morphology, confirming the histopathological diagnosis of all cases, either in the primary neoplastic lesions or in the bone neoplastic deposits. Clinicopathological and immunohistochemical data for LF relative to the 25 analysed bone metastatic samples as well as the corresponding primary carcinomas are listed in Table I.

Table I

Clinicopathological and LF immunohistochemical data concerning bone metastases.

Table I

Clinicopathological and LF immunohistochemical data concerning bone metastases.

Case no.GenderAgePrimary site of neoplasmsHistotype of carcinomaGradingSite of bone metastasesLF-ASPLF-ISLF-ID score
1F58BreastMedullary-Femur000
2M59ProstateCribriformG2Femur122
3F54BreastDuctal invasiveG3Humerus000
4F80BreastDuctal invasiveG2Femur212
5F28UterusEndometrioidG2Vertebra224
6F80Colon-rectumAdenocarcinomaG2Femur122
7F55BreastDuctal invasiveG2Femur122
8M56LungSmall cell-Sternum000
9F70LungAdenocarcinomaG3Femur000
10F60BreastLobular invasive-Femur000
11M61LungSmall cell-Fibula000
12M74KidneyClear cellG2Femur000
13F69UterusSerousG3Humerus000
14F62BreastDuctal invasiveG1Vertebra224
15F69Colon-rectumAdenocarcinomaG3Femur000
16F76UterusEndometrioidG2Femur111
17M75Prostate UndifferentiatedG3Pelvis000
18F75BreastDuctal invasiveG3Vertebra000
19M70KidneyChromophobeG2Femur224
20M85ProstateAdenocarcinomaG1Vertebra224
21F58KidneyClear cellG2Vertebra111
22M71ProstateAdenocarcinomaG2Femur122
23F52BreastLobular invasive-Femur000
24F67Uterus Non-endometrioidG3Pelvis000
25M59KidneyClear cellG3Fibula000

[i] LF, lactoferrin; ASP, area of staining positivity; IS, intensity of staining; ID, intensity distribution.

LF immunostaining with a variable ID score was encountered in 11/25 (44%) metastatic lesions; LF was identified in 7/16 (43.8%) female and 4/9 (44.4%) male patients. In particular, LF immunoreactivity was identified with a percentage ranging from 50 to 75% of the cases of bone metastases due to prostatic (Fig. 1A, inset), uterine (Fig. 1B), renal (Fig. 2A, inset) and colorectal (Fig. 2B) carcinomas (Table I). Additionally, the positivity was decreased in breast carcinomas (37.5%) and was completely absent in lung cancers (Table I). The immunostaining was mainly localised in the cytoplasm of the neoplastic elements and occasionally in the nuclei of the same cells. No differences in LF-ID score were observed between the primary and metastatic neoplastic localisations with an equivalent LF immunoreactivity, either regarding the intensity or the percentage of stained cells.

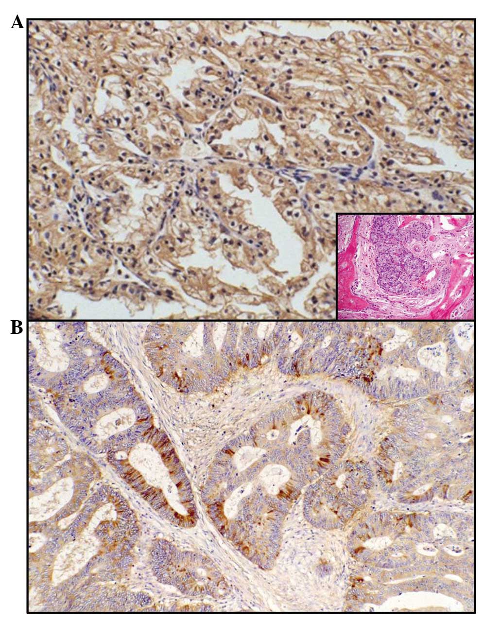
Figure 1

(A) At greater magnification LF immunoreactivity is evident in certain prostatic elements close to others that are unreactive, localised inside the bone tissue (original magnification, ×160). The inset reveals the corresponding haematoxylin and eosin routinely stained section of the bone metastatic site (original magnification, ×40). (B) A diffuse LF immunostaining is demonstrated in the neoplastic uterine glands (original magnification, ×300).

Figure 2

(A) LF cytoplasmic positivity is evident at the periphery of clear cells of renal carcinoma metastatic to bone (original magnification, ×200). The inset illustrates the corresponding haematoxylin and eosin routinely stained section of the bone metastatic site (original magnification, ×40). (B) Immunoreactive colonic cells are in contact with negative cells inside the bone neoplastic deposits (original magnification, ×240).

LF was evident in renal tubular structures, parotid ductular/acinar portions and in granules of polymorphonuclear neutrophils utilised as positive controls.

No correlations were observed between LF immunoexpression and the other parameters investiaged, including the age and gender of the patients and the localisation of neoplastic metastatic lesions in bones.

Discussion

A number of studies have demonstrated promising results in the potential use of LF for the improvement of bone health (12,17–20). In particular, LF stimulates the proliferation, differentiation and survival of osteoblasts (20), as well as significantly increasing the mineral apposition rate and bone formation, as demonstrated by the assessment of dynamic histomorphometric indices (12). Consequently, it has been suggested that LF may be useful in pathological states of reduced bone density when used either systemically or locally.

As part of a series of studies concerning the immunohistochemical distribution pattern of LF in human neoplasms (21), we have previously investigated this distribution in pathological primary neoplastic bone and cartilage samples, as well as in the corresponding human normal embryo-fetal bone and cartilage tissues (9,13). The observed heterogeneous distribution of LF in tumours, as well as its independence from benign and malignant characteristics, appear to contrast with the elsewhere hypothesised role of LF as oncofetal marker (15). The most aggressive bone tumours, such as osteosarcomas and chondrosarcomas, were consistently observed to be unreactive for LF; while the pattern of LF expression was mainly evident in the early phases of bone growth, suggesting an important role for LF as a bone growth regulator in the early phases of skeletal development, particularly in endochondral ossification (12,15).

Metastatic deposits in bones from carcinomas arising from breast, colon, endometrium, kidney, lung and prostate are considered to be a key stage in the natural history of these neoplasms, although to date no data regarding the immunohistochemical distribution of LF have been available in the literature. In the current study, we immunohistochemically detected a variable ID score for LF in the cytoplasm of 11/25 (44%) metastatic neoplastic bone lesions as well as in the corresponding primary carcinomas. Occasionally, the site of LF immuno staining was appreciable both in the nucleus and cytoplasm, and this co-localisation was expected, as LF has also been revealed in the nucleoli and LF is speculated to be involved in ribosomal biogenesis (21,22). With regard to the site of the primary carcinomas, LF immunoreactivity was found with a percentage ranging from 50 to 75% of bone metastases due to colorectal, uterine, prostatic and renal carcinomas. In addition, the positivity was decreased in breast carcinomas (37.5%) and was completely absent in lung cancers. In these primary neoplastic conditions, previous studies by our research group have demonstrated a similar variable percentage of immuno expression of LF (23–26). In detail, a progressive increase of LF immunostaining was encountered when moving from endometrial adenocarcinomas (61%) (25) and renal cell carcinomas (62.5%) (26) to well-differentiated prostatic adenocarcinomas (66%) (23), and finally to adenocarcinomas and colloid colorectal carcinomas (80%) (24). The most likely explanation for the negative LF immunoreactivity observed in a number of cases of the above mentioned cohorts of tumours has been correlated with undifferentiated or less differentiated variants of carcinomas (23–26). Occasional and slight LF staining has been found in isolated cells of undifferentiated prostatic carcinomas (23), while only well- and moderately differentiated colonic carcinomas exhibited a strong LF reaction. Furthermore, a significantly higher LF-ID score was evident in the endometrioid type in comparison to the non-endometrioid type carcinomas of the uterus (25). In addition, significant differences in the LF-ID score were found among clear cell renal carcinomas (CCC) and other non-CCC variants, the former exhibited a lower score (26). By contrast, the positive rate of LF in breast carcinoma has been identified with a large variability, ranging from 7.5 to 42% of cases (27,28). However, LF was more often observed in low-grade ductal carcinomas with positive estrogen/progesterone receptors, confirming a decrease in LF immunostaining in less differentiated and more aggressive breast carcinomas (27–29). Therefore, LF may be a potential marker for glandular or acinar differentiation, similar to that previously observed in other malignancies (28,30,31). No data concerning LF immunodistribution in primary and metastatic lung cancer are currently available in literature.

The origin of LF in human malignant primary and metastatic tumours has not yet been fully elucidated. It is well known that LF has a high affinity for iron, which is considered to be an essential nutrient for cells that are dividing rapidly, such as tumour cells, taking part in various metabolic processes (including oxydative phosphorylation and RNA/DNA synthesis) (32,33). Therefore, neoplastic elements may produce LF in order to provide a greater amount of iron available for their turnover, as we have previously suggested (21,24,26,34,35). Alternatively, the localisation of LF in malignant cells may not reflect an intracellular synthesis, but rather the degree of transmembranous iron transfer as the consequence of defective or functionally impaired LF-receptors already documented on the surface of target cells as well as in human neoplastic cell lines (36,37). It has been suggested that LF is involved in the regulation of certain important processes, such as the cell cycle and cell death, resistance to carcinogenesis and the development of metastases (26,38). Other potential mechanisms have also been suggested with regard to the role of LF in the process of human carcinogenesis. These include induction of programmed cell death, prevention of angiogenesis and regulation of cell cycle protein expression (39,40). LF is able to trigger the apoptotic process by the activation of caspase-3 and -8 as well as the FAS signaling pathway (41,42). By contrast, LF has also been demonstrated to inhibit tumour-initiated angiogenesis in vitro and in vivo, possibly by blocking endothelial function and inducing IL-18 production (39,43,44). In addition, it has been demonstrated that LF promoted growth arrest either at the G1-S transition in breast cancer cells (43) as well as at the G0-G1 checkpoint in oral and neck cancer cells (44). However, regardless of the mechanism of action of LF in human malignant tumours, we have identified LF immunohistochemical reproducibility at primary and metastatic sites. Therefore, we hypothesise that the appearance of LF in native neoplastic carcinomatous clones is maintained in secondary bone metastatic deposits. However, additional investigations are required, mainly regarding the potential for new applications of LF in cancer treatment, due to its nutraceutical function and its ability to potentiate chemotherapy.

References

1 

González-Chávez SA, Arévalo-Gallegos S and Rascón-Cruz Q: Lactoferrin: structure, function and applications. Int J Antimicrob Agents. 33:301.e1–e.8. 2009.

2 

Steijns JM and van Hooijdonk AC: Occurrence, structure, biochemical properties and technological characteristics of lactoferrin. Br J Nutr. 84(Suppl 1): S11–S17. 2000. View Article : Google Scholar : PubMed/NCBI

3 

van der Strate BW, Beljaars L, Molema G, Harmsen MC and Meijer DK: Antiviral activities of lactoferrin. Antiviral Res. 52:225–239. 2001.

4 

Öztaş Yeşim ER and Özgüneş N: Lactoferrin: a multifunctional protein. Adv Mol Med. 1:149–154. 2005.

5 

Pierce A, Legrand D and Mazurier J: Lactoferrin: a multifunctional protein. Med Sci. 25:361–369. 2009.

6 

de Mejia EG and Dia VP: The role of nutraceutical proteins and peptides in apoptosis, angiogenesis, and metastasis of cancer cells. Cancer Metastasis Rev. 29:511–528. 2010.PubMed/NCBI

7 

Mason DY and Taylor CR: Distribution of transferrin, ferritin, and lactoferrin in human tissues. J Clin Pathol. 31:316–327. 1978. View Article : Google Scholar : PubMed/NCBI

8 

Reitamo S, Konttinen YT, Dodd S and Adinolfi M: Distribution of lactoferrin in human fetal tissues. Acta Paediatr Scand. 70:395–398. 1981. View Article : Google Scholar : PubMed/NCBI

9 

Ieni A, Barresi V, Grosso M and Tuccari G: Immunohistochemical evidence of lactoferrin in human embryo-fetal bone and cartilage tissues. Cell Biol Int. 34:845–849. 2010. View Article : Google Scholar : PubMed/NCBI

10 

Cornish J: Lactoferrin promotes bone growth. Biometals. 17:331–335. 2004. View Article : Google Scholar : PubMed/NCBI

11 

Naot D, Grey A, Reid IR and Cornish J: Lactoferrin a novel bone growth factor. Clin Med Res. 3:93–101. 2005. View Article : Google Scholar : PubMed/NCBI

12 

Cornish J and Naot D: Lactoferrin as an effector molecule in the skeleton. Biometals. 23:425–430. 2010. View Article : Google Scholar : PubMed/NCBI

13 

Ieni A, Barresi V, Grosso M, Rosa MA and Tuccari G: Lactoferrin immuno-expression in human normal and neoplastic bone tissue. J Bone Miner Metab. 27:364–371. 2009. View Article : Google Scholar : PubMed/NCBI

14 

Ieni A, Barresi V, Grosso M, Rosa MA and Tuccari G: Immunolocalization of lactoferrin in cartilage-forming neoplasms. J Orthop Sci. 14:732–737. 2009. View Article : Google Scholar : PubMed/NCBI

15 

Ieni A, Barresi V, Grosso M, Speciale G, Rosa MA and Tuccari G: Does lactoferrin behave as an immunohistochemical oncofetal marker in bone and cartilage human neoplasms? Pathol Oncol Res. 17:287–293. 2011. View Article : Google Scholar : PubMed/NCBI

16 

Tuccari G, Villari D, Giuffrè G, Simone A, Squadrito G, Raimondo G and Barresi G: Immunohistochemical evidence of lactoferrin in hepatic biopsies of patients with viral or cryptogenetic chronic liver disease. Histol Histopathol. 17:1077–1083. 2002.PubMed/NCBI

17 

Blais A, Malet A, Mikogami T, Martin-Rouas C and Tomé D: Oral bovine lactoferrin improves bone status of ovariectomized mice. Am J Physiol Endocrinol Metab. 296:1281–1288. 2009. View Article : Google Scholar : PubMed/NCBI

18 

Guo HY, Jiang L, Ibrahim SA, Zhang L, Zhang H, Zhang M and Ren FZ: Orally administered lactoferrin preserves bone mass and microarchitecture in ovariectomized rats. J Nutr. 139:958–964. 2009. View Article : Google Scholar : PubMed/NCBI

19 

Takayama Y and Mizumachi K: Effect of lactoferrin-embedded collagen membrane on osteogenic differentiation of human osteoblast-like cells. J Biosci Bioeng. 107:191–195. 2009. View Article : Google Scholar : PubMed/NCBI

20 

Naot D, Chhana A, Matthews BG, Callon KE, Tong PC, Lin JM, Costa JL, Watson M, Grey AB and Cornish J: Molecular mechanisms involved in the mitogenic effect of lactoferrin in osteoblasts. Bone. 49:217–224. 2011. View Article : Google Scholar : PubMed/NCBI

21 

Tuccari G and Barresi G: Lactoferrin in human tumours: immunohistochemical investigations during more than 25 years. Biometals. 24:775–784. 2011.PubMed/NCBI

22 

Penco S, Scarfì S and Giovine M: Identification of an import signal for, and the nuclear localization of, human lactoferrin. Biotechnol Appl Biochem. 34:151–159. 2001. View Article : Google Scholar : PubMed/NCBI

23 

Barresi G and Tuccari G: Lactoferrin in benign hypertrophy and carcinomas of the prostatic gland. Virchows Arch A Pathol Anat Histopathol. 403:59–66. 1984. View Article : Google Scholar : PubMed/NCBI

24 

Tuccari G, Rizzo A, Crisafulli C and Barresi G: Iron-binding proteins in human colorectal adenomas and carcinomas: an immunocytochemical investigation. Histol Histopathol. 7:543–547. 1992.PubMed/NCBI

25 

Giuffrè G, Arena F, Scarfì R, Simone A, Todaro P and Tuccari G: Lactoferrin immunoexpression in endometrial carcinomas: relationships with sex steroid hormone receptors (ER and PR), proliferation indices (Ki-67 and AgNOR) and survival. Oncol Rep. 16:257–263. 2006.PubMed/NCBI

26 

Giuffrè G, Barresi V, Skliros C, Barresi G and Tuccari G: Immunoexpression of lactoferrin in human sporadic renal cell carcinomas. Oncol Rep. 17:1021–1026. 2007.PubMed/NCBI

27 

Wurster K, Heberling D and Rapp W: Carcinoembryogenic antigen (CEA) and lactoferrin (LF) in benign and malignant disease of the breast. A contribution to the immuno-histological demonstration of marker substances. Geburtshilfe Frauenheilkd. 40:412–422. 1980.(In German).

28 

Charpin C, Lachard A, Pourreau-Schneider N, et al: Localization of lactoferrin and nonspecific cross-reacting antigen in human breast carcinomas. An immunohistochemical study using the avidin-biotin-peroxidase complex method. Cancer. 55:2612–2617. 1985. View Article : Google Scholar

29 

Wrba F, Reiner A, Markis-Ritzinger E, Holzner JH, Reiner G and Spona J: Prognostic significance of immunohistochemical parameters in breast carcinomas. Pathol Res Pract. 183:277–283. 1988. View Article : Google Scholar : PubMed/NCBI

30 

Caselitz J, Jaup T and Seifert G: Lactoferrin and lysozyme in carcinomas of the parotid gland. Virchows Arch A Pathol Anat Histol. 394:61–73. 1981. View Article : Google Scholar : PubMed/NCBI

31 

Cabaret V, Vilain MO, Delobelle-Deroide A and Vanseymortier L: Immunohistochemical demonstration of ceruloplasmin and lactoferrin in a series of 59 thyroid tumors. Ann Pathol. 12:347–352. 1992.(In French).

32 

Weinberg ED: Iron withholding: a defense against infection and neoplasia. Physiol Rev. 64:65–102. 1984.PubMed/NCBI

33 

Ye XY, Wang HX, Liu F and Ng TB: Ribonuclease, cell-free translation-inhibitory and superoxide radical scavenging activities of the iron-binding protein lactoferrin from bovine milk. Int J Biochem Cell Biol. 32:235–241. 2000. View Article : Google Scholar : PubMed/NCBI

34 

Tuccari G, Rossiello R and Barresi G: Iron binding proteins in gallbladder carcinomas. An immunocytochemical investigation. Histol Histopathol. 12:671–676. 1997.PubMed/NCBI

35 

Tuccari G, Giuffrè G, Scarf R, Simone A, Todaro P and Barresi G: Immunolocalization of lactoferrin in surgically resected pigmented skin lesions. Eur J Histochem. 49:33–38. 2005. View Article : Google Scholar : PubMed/NCBI

36 

Roiron D, Amouric M, Marvaldi J and Figarella C: Lactoferrin-binding sites at the syurface of HT29-D4 cells. Comparison with transferrin. Eur J Biochem. 186:367–373. 1989. View Article : Google Scholar : PubMed/NCBI

37 

Suzuki YA, Lopez V and Lönnerdal B: Mammalian lactoferrin receptors: structure and function. Cell Mol Life Sci. 62:2560–2575. 2005. View Article : Google Scholar : PubMed/NCBI

38 

Ward PP, Paz E and Conneely OM: Multifunctional roles of lactoferrin: a critical overview. Cell Mol Life Sci. 62:2540–2548. 2005. View Article : Google Scholar : PubMed/NCBI

39 

Rodrigues L, Teixeira J, Schmitt F, Paulsson M and Månsson HL: Lactoferrin and cancer disease prevention. Crit Rev Food Sci Nutr. 49:203–217. 2009. View Article : Google Scholar : PubMed/NCBI

40 

Fujita K, Matsuda E, Sekine K, Iigo M and Tsuda H: Lactoferrin enhances Fas expression and apoptosis in the colon muciosa of azoxymethane-treated rats. Carcinogenesis. 25:1961–1966. 2004. View Article : Google Scholar : PubMed/NCBI

41 

Norrby K: Human apo-lactoferrin enhances angiogenesis mediated by vascular endothelial growth factor A in vivo. J Vasc Res. 41:293–304. 2004. View Article : Google Scholar : PubMed/NCBI

42 

Shimamura M, Yamamoto Y, Ashino H, Oikawa T, Hazato T, Tsuda H and Iigo M: Bovine lactoferrin inhibits tumor induced angiogenesis. Int J Cancer. 111:111–116. 2004. View Article : Google Scholar : PubMed/NCBI

43 

Damiens E, El Yazidi I, Mazurier J, et al: Lactoferrin inhibits G1 cyclin-dependent kinases during growth arrest of human breast carcinoma cells. J Cell Biochem. 74:486–498. 1999. View Article : Google Scholar : PubMed/NCBI

44 

Xiao Y, Monitto CL, Minhas KM and Sidransky D: Lactoferrin down-regulates G1 cyclin-dependent kinases during growth arrest of head and neck cancer cells. Clin Cancer Res. 10:8683–8686. 2004. View Article : Google Scholar : PubMed/NCBI

Related Articles

  • Abstract
  • View
  • Download
  • Twitter
Copy and paste a formatted citation
Spandidos Publications style
Ieni A, Barresi V, Branca G, Giuffrè G, Rosa MA and Tuccari G: Immunoexpression of lactoferrin in bone metastases and corresponding primary carcinomas. Oncol Lett 5: 1536-1540, 2013.
APA
Ieni, A., Barresi, V., Branca, G., Giuffrè, G., Rosa, M.A., & Tuccari, G. (2013). Immunoexpression of lactoferrin in bone metastases and corresponding primary carcinomas. Oncology Letters, 5, 1536-1540. https://doi.org/10.3892/ol.2013.1227
MLA
Ieni, A., Barresi, V., Branca, G., Giuffrè, G., Rosa, M. A., Tuccari, G."Immunoexpression of lactoferrin in bone metastases and corresponding primary carcinomas". Oncology Letters 5.5 (2013): 1536-1540.
Chicago
Ieni, A., Barresi, V., Branca, G., Giuffrè, G., Rosa, M. A., Tuccari, G."Immunoexpression of lactoferrin in bone metastases and corresponding primary carcinomas". Oncology Letters 5, no. 5 (2013): 1536-1540. https://doi.org/10.3892/ol.2013.1227
Copy and paste a formatted citation
x
Spandidos Publications style
Ieni A, Barresi V, Branca G, Giuffrè G, Rosa MA and Tuccari G: Immunoexpression of lactoferrin in bone metastases and corresponding primary carcinomas. Oncol Lett 5: 1536-1540, 2013.
APA
Ieni, A., Barresi, V., Branca, G., Giuffrè, G., Rosa, M.A., & Tuccari, G. (2013). Immunoexpression of lactoferrin in bone metastases and corresponding primary carcinomas. Oncology Letters, 5, 1536-1540. https://doi.org/10.3892/ol.2013.1227
MLA
Ieni, A., Barresi, V., Branca, G., Giuffrè, G., Rosa, M. A., Tuccari, G."Immunoexpression of lactoferrin in bone metastases and corresponding primary carcinomas". Oncology Letters 5.5 (2013): 1536-1540.
Chicago
Ieni, A., Barresi, V., Branca, G., Giuffrè, G., Rosa, M. A., Tuccari, G."Immunoexpression of lactoferrin in bone metastases and corresponding primary carcinomas". Oncology Letters 5, no. 5 (2013): 1536-1540. https://doi.org/10.3892/ol.2013.1227
Follow us
  • Twitter
  • LinkedIn
  • Facebook
About
  • Spandidos Publications
  • Careers
  • Cookie Policy
  • Privacy Policy
How can we help?
  • Help
  • Live Chat
  • Contact
  • Email to our Support Team