Spandidos Publications Logo
  • About
    • About Spandidos
    • Aims and Scopes
    • Abstracting and Indexing
    • Editorial Policies
    • Reprints and Permissions
    • Job Opportunities
    • Terms and Conditions
    • Contact
  • Journals
    • All Journals
    • Oncology Letters
      • Oncology Letters
      • Information for Authors
      • Editorial Policies
      • Editorial Board
      • Aims and Scope
      • Abstracting and Indexing
      • Bibliographic Information
      • Archive
    • International Journal of Oncology
      • International Journal of Oncology
      • Information for Authors
      • Editorial Policies
      • Editorial Board
      • Aims and Scope
      • Abstracting and Indexing
      • Bibliographic Information
      • Archive
    • Molecular and Clinical Oncology
      • Molecular and Clinical Oncology
      • Information for Authors
      • Editorial Policies
      • Editorial Board
      • Aims and Scope
      • Abstracting and Indexing
      • Bibliographic Information
      • Archive
    • Experimental and Therapeutic Medicine
      • Experimental and Therapeutic Medicine
      • Information for Authors
      • Editorial Policies
      • Editorial Board
      • Aims and Scope
      • Abstracting and Indexing
      • Bibliographic Information
      • Archive
    • International Journal of Molecular Medicine
      • International Journal of Molecular Medicine
      • Information for Authors
      • Editorial Policies
      • Editorial Board
      • Aims and Scope
      • Abstracting and Indexing
      • Bibliographic Information
      • Archive
    • Biomedical Reports
      • Biomedical Reports
      • Information for Authors
      • Editorial Policies
      • Editorial Board
      • Aims and Scope
      • Abstracting and Indexing
      • Bibliographic Information
      • Archive
    • Oncology Reports
      • Oncology Reports
      • Information for Authors
      • Editorial Policies
      • Editorial Board
      • Aims and Scope
      • Abstracting and Indexing
      • Bibliographic Information
      • Archive
    • Molecular Medicine Reports
      • Molecular Medicine Reports
      • Information for Authors
      • Editorial Policies
      • Editorial Board
      • Aims and Scope
      • Abstracting and Indexing
      • Bibliographic Information
      • Archive
    • World Academy of Sciences Journal
      • World Academy of Sciences Journal
      • Information for Authors
      • Editorial Policies
      • Editorial Board
      • Aims and Scope
      • Abstracting and Indexing
      • Bibliographic Information
      • Archive
    • International Journal of Functional Nutrition
      • International Journal of Functional Nutrition
      • Information for Authors
      • Editorial Policies
      • Editorial Board
      • Aims and Scope
      • Abstracting and Indexing
      • Bibliographic Information
      • Archive
    • International Journal of Epigenetics
      • International Journal of Epigenetics
      • Information for Authors
      • Editorial Policies
      • Editorial Board
      • Aims and Scope
      • Abstracting and Indexing
      • Bibliographic Information
      • Archive
    • Medicine International
      • Medicine International
      • Information for Authors
      • Editorial Policies
      • Editorial Board
      • Aims and Scope
      • Abstracting and Indexing
      • Bibliographic Information
      • Archive
  • Articles
  • Information
    • Information for Authors
    • Information for Reviewers
    • Information for Librarians
    • Information for Advertisers
    • Conferences
  • Language Editing
Spandidos Publications Logo
  • About
    • About Spandidos
    • Aims and Scopes
    • Abstracting and Indexing
    • Editorial Policies
    • Reprints and Permissions
    • Job Opportunities
    • Terms and Conditions
    • Contact
  • Journals
    • All Journals
    • Biomedical Reports
      • Information for Authors
      • Editorial Policies
      • Editorial Board
      • Aims and Scope
      • Abstracting and Indexing
      • Bibliographic Information
      • Archive
    • Experimental and Therapeutic Medicine
      • Information for Authors
      • Editorial Policies
      • Editorial Board
      • Aims and Scope
      • Abstracting and Indexing
      • Bibliographic Information
      • Archive
    • International Journal of Epigenetics
      • Information for Authors
      • Editorial Policies
      • Editorial Board
      • Aims and Scope
      • Abstracting and Indexing
      • Bibliographic Information
      • Archive
    • International Journal of Functional Nutrition
      • Information for Authors
      • Editorial Policies
      • Editorial Board
      • Aims and Scope
      • Abstracting and Indexing
      • Bibliographic Information
      • Archive
    • International Journal of Molecular Medicine
      • Information for Authors
      • Editorial Policies
      • Editorial Board
      • Aims and Scope
      • Abstracting and Indexing
      • Bibliographic Information
      • Archive
    • International Journal of Oncology
      • Information for Authors
      • Editorial Policies
      • Editorial Board
      • Aims and Scope
      • Abstracting and Indexing
      • Bibliographic Information
      • Archive
    • Medicine International
      • Information for Authors
      • Editorial Policies
      • Editorial Board
      • Aims and Scope
      • Abstracting and Indexing
      • Bibliographic Information
      • Archive
    • Molecular and Clinical Oncology
      • Information for Authors
      • Editorial Policies
      • Editorial Board
      • Aims and Scope
      • Abstracting and Indexing
      • Bibliographic Information
      • Archive
    • Molecular Medicine Reports
      • Information for Authors
      • Editorial Policies
      • Editorial Board
      • Aims and Scope
      • Abstracting and Indexing
      • Bibliographic Information
      • Archive
    • Oncology Letters
      • Information for Authors
      • Editorial Policies
      • Editorial Board
      • Aims and Scope
      • Abstracting and Indexing
      • Bibliographic Information
      • Archive
    • Oncology Reports
      • Information for Authors
      • Editorial Policies
      • Editorial Board
      • Aims and Scope
      • Abstracting and Indexing
      • Bibliographic Information
      • Archive
    • World Academy of Sciences Journal
      • Information for Authors
      • Editorial Policies
      • Editorial Board
      • Aims and Scope
      • Abstracting and Indexing
      • Bibliographic Information
      • Archive
  • Articles
  • Information
    • For Authors
    • For Reviewers
    • For Librarians
    • For Advertisers
    • Conferences
  • Language Editing
Login Register Submit
  • This site uses cookies
  • You can change your cookie settings at any time by following the instructions in our Cookie Policy. To find out more, you may read our Privacy Policy.

    I agree
Search articles by DOI, keyword, author or affiliation
Search
Advanced Search
presentation
Oncology Letters
Join Editorial Board Propose a Special Issue
Print ISSN: 1792-1074 Online ISSN: 1792-1082
Journal Cover
June 2013 Volume 5 Issue 6

Full Size Image

Sign up for eToc alerts
Recommend to Library

Journals

International Journal of Molecular Medicine

International Journal of Molecular Medicine

International Journal of Molecular Medicine is an international journal devoted to molecular mechanisms of human disease.

International Journal of Oncology

International Journal of Oncology

International Journal of Oncology is an international journal devoted to oncology research and cancer treatment.

Molecular Medicine Reports

Molecular Medicine Reports

Covers molecular medicine topics such as pharmacology, pathology, genetics, neuroscience, infectious diseases, molecular cardiology, and molecular surgery.

Oncology Reports

Oncology Reports

Oncology Reports is an international journal devoted to fundamental and applied research in Oncology.

Experimental and Therapeutic Medicine

Experimental and Therapeutic Medicine

Experimental and Therapeutic Medicine is an international journal devoted to laboratory and clinical medicine.

Oncology Letters

Oncology Letters

Oncology Letters is an international journal devoted to Experimental and Clinical Oncology.

Biomedical Reports

Biomedical Reports

Explores a wide range of biological and medical fields, including pharmacology, genetics, microbiology, neuroscience, and molecular cardiology.

Molecular and Clinical Oncology

Molecular and Clinical Oncology

International journal addressing all aspects of oncology research, from tumorigenesis and oncogenes to chemotherapy and metastasis.

World Academy of Sciences Journal

World Academy of Sciences Journal

Multidisciplinary open-access journal spanning biochemistry, genetics, neuroscience, environmental health, and synthetic biology.

International Journal of Functional Nutrition

International Journal of Functional Nutrition

Open-access journal combining biochemistry, pharmacology, immunology, and genetics to advance health through functional nutrition.

International Journal of Epigenetics

International Journal of Epigenetics

Publishes open-access research on using epigenetics to advance understanding and treatment of human disease.

Medicine International

Medicine International

An International Open Access Journal Devoted to General Medicine.

Journal Cover
June 2013 Volume 5 Issue 6

Full Size Image

Sign up for eToc alerts
Recommend to Library

  • Article
  • Citations
    • Cite This Article
    • Download Citation
    • Create Citation Alert
    • Remove Citation Alert
    • Cited By
  • Similar Articles
    • Related Articles (in Spandidos Publications)
    • Similar Articles (Google Scholar)
    • Similar Articles (PubMed)
  • Download PDF
  • Download XML
  • View XML
Article

Renal plasmacytoma: Report of a rare case and review of the literature

  • Authors:
    • Shi‑Qiang Zhang
    • Pei Dong
    • Zhi‑Ling Zhang
    • Song Wu
    • Sheng‑Jie Guo
    • Kai Yao
    • Yong‑Hong Li
    • Zhuo‑Wei Liu
    • Hui Han
    • Zi‑Ke Qin
    • Zhi‑Ming Cai
    • Xian‑Xin Li
    • Fang‑Jian Zhou
  • View Affiliations / Copyright

    Affiliations: State Key Laboratory of Oncology in Southern China, Department of Urology, Sun Yat‑sen University Cancer Center, Guangzhou, Guangdong 510060, P.R. China, Shenzhen Second People's Hospital, The First Affiliated Hospital of Shenzhen University, Shenzhen, Guangdong 518035, P.R. China, Department of Urology, Peking University Shenzhen Hospital, Shenzhen, Guangdong 518036, P.R. China
  • Pages: 1839-1843
    |
    Published online on: April 3, 2013
       https://doi.org/10.3892/ol.2013.1282
  • Expand metrics +
Metrics: Total Views: 0 (Spandidos Publications: | PMC Statistics: )
Metrics: Total PDF Downloads: 0 (Spandidos Publications: | PMC Statistics: )
Cited By (CrossRef): 0 citations Loading Articles...

This article is mentioned in:


Abstract

Renal plasmacytoma is extremely rare, presenting diagnostic challenges due to its unusual location and non‑specific or absent symptoms. To the best of our knowledge, only 24 cases of renal plasmacytoma have been reported in the literature. The present study reports a case of primary renal plasmacytoma in a 46‑year‑old female patient. Computed tomography (CT) revealed that the mass was located in the lower pole of the left kidney and metastasis was detected in an enlarged para‑aortic lymph node. Following careful preparation, a partial nephrectomy was performed and the retroperitoneal lymph node was resected. A pathological examination revealed a renal parenchyma with lymph node involvement; this was confirmed by immunohistochemistry and nested polymerase chain reaction (PCR). Consequently, a diagnosis of a renal extramedullary plasmacytoma (EMP) was proposed. Following this unexpected diagnosis, various examinations were performed, but there was no evidence of systemic plasma cell disease. The patient refused further therapy, including external beam radiotherapy and chemotherapy. Abdominal CT was performed three months post‑surgery and did not reveal any relapse. The patient remains disease‑free at nine months post‑surgery. The current study also presents a review of the literature. Although the general prognosis and outcome of EMP is good, a follow‑up examination is recommended due to the possibility of relapse or progression to plasma cell neoplasm (PCN).

Introduction

Extramedullary plasmacytoma (EMP) is a rare malignant neoplasm that develops due to uncontrolled plasma cell proliferation and monoclonal plasmacytic infiltration (1). The majority of EMPs are detected in the head and neck (2), and the occurrence of an EMP in the kidney is extremely rare. This study presents a case of renal EMP and reviews the existing literature concerning EMPs, as well as multiple myelomas (MMs). EMPs may present as the main symptom of MM, or develop during the course of MM or occasionally occur as solitary tumors. To the best of our knowledge, there are only 24 cases of renal plasmacytoma reported previously (Table I). We report the case of a patient with renal EMP, who may have been diagnosed and treated incorrectly. The study was approved by the Ethics Committee of Sun Yat-sen University Cancer Center, Guangzhou, China. Written informed consent was obtained from the patient.

Table I

Clinical data from 24 cases of renal plasmacytoma.

Table I

Clinical data from 24 cases of renal plasmacytoma.

Authors, year (Ref.)Age (years)/genderTumor locationSPE/IEBence-Jones proteinPreviously diagnosed PCNType of EMPClinical manifestationsTreatmentOutcome
Knudsen O, 1937 (5)46/FNANANANonePPalpable massRadical nephrectomyNA
Farrow GM et al, 1968 (6)53/MLNANANAPNARadical nephrectomy, radiotherapySuccumbed after 16 years
Solomito VL et al, 1972 (7)64/MLNANANasopharynxSPalpable mass, fatigueRadical nephrectomy, ileocolectomyAlive after 4.5 years
Catalona WJ et al, 1974 (8)52/FRβ ↑+Temporal lobeSPalpable massBiopsy, radiotherapy, chemotherapyNA
Siemers PT et al, 1977 (9)56/MLNormalNANonePAnorexia, fatigue, palpable massRadical nephrectomy, radiotherapy, hemodialysisAlive after 3 months
Morris SA et al, 1977 (10)50/MLIgM ↑+Skull, scapulaSGross hematuriaRadical nephrectomy, radiotherapyNA
Silver TM et al, 1977 (11)40/MLNormal-NonePGross hematuria, flank painRadical nephrectomyNA
Kandel LB et al, 1984 (12)55/MRγ ↑+NonepBurning feeling,Radical nephrectomy, radiotherapyNA
Jaspan T et al, 1984 (13)75/FLIgG ↑+NonePBack painBiopsySuccumbed after biopsy
Kanoh T et al, 1987 (14)50/MRIgA ↑NAMMSMicroscopic hematuria, abdominal fullnessChemotherapy, radiotherapySuccumbed after 2 years
Igel TC et al, 1991 (15)64/MLIgM ↑NANonePBurning feeling, weight lossRadical nephrectomy, radiotherapy, chemotherapyNA
Kanoh T et al, 1992 (16)76/FNANANANonePNARadical nephrectomySuccumbed after 3 months
Kanoh T et al, 1993 (17)43/MRNA+Spinal bonesSParaplegiaRadiotherapyNA
Rebelakos AG et al, 1995 (18)52/FRNANAT9 vertebraSGross hematuria, back pain, palpable massRadical nephrectomyAlive after 6 months
Shustik C et al, 1995 (19)31/MNAIgG ↑NANonePAsymptomaticRadical nephrectomyAlive after 33 months
Manseck A et al, 1997 (20)64/NANANA-NonePNARadical nephrectomyNA
Tejido Sanchez A et al, 2001 (21)59/NARNANANonePNAChemotherapySuccumbed after 1 year
Kim SH et al, 2003 (22)44/FRNANAMMSPalpable massSurgery, chemotherapy, radiotherapyAlive after 3 months
Fan F et al, 2005 (23)61/FRNANANonePBack painPartial nephrectomy, chemotherapyAlive after 2.5 year
Park SY et al, 2007 (24)39/MLNormalNANonePNARadical nephrectomySuccumbed after 34 months
Yazici S et al, 2009 (25)67/FLα2 ↑, γ ↑NANonePAsymptomaticRadical nephrectomyAlive after 6 months
Mongha R et al, 2010 (26)58/MRNormal-NonePLumbar painRadical nephrectomy, radiotherapyAlive after 1 year
Yang GF et al, 2010 (27)76/FLNANANonePBack painRadical nephrectomyNA
Zhong Y et al, 2010 (28)41/MLNA-NonePEpigastric discomfortRadical nephrectomyNA
Present case46/FLγ ↑, α1 ↑+NonePNARadical nephrectomyAlive after 6 months

[i] F, female; M, male; L, left kidney; R, right kidney; NA, not available; SPE, serum protein electrophoresis; IE, immunoelectrophoresis;

[ii] ↑, increased;

[iii] +, positive;

[iv] −, negative; PCN, plasma cell neoplasm; MM, multiple myeloma; EMP, extramedullary plasmacytoma; P, primary; S, secondary.

Case report

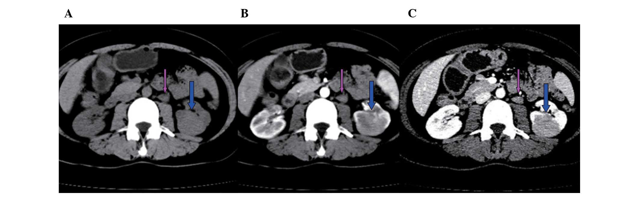
A mass in the left kidney was detected in a 46-year-old female patient who underwent ultrasonography as part of a routine physical checkup. Computed tomography (CT) revealed that the mass showed enhancement, was located in the lower pole of the left kidney and measured 38×30 mm. Furthermore, metastasis was detected in an enlarged (20 mm) para-aortic lymph node (Fig. 1). The radiologist suspected a diagnosis of renal cell carcinoma and advised a partial nephrectomy. However, the pre-operative work-up revealed the following: white blood cell (WBC) count, 2.7×109/l; percentage of neutrophils (NE%), 61.8; red blood cell (RBC) count, 3.58×1012/l; hemoglobin (HGB) level, 101.1 g/l; platelet (PLT) count, 187.6×109/l; and serum creatinine, calcium and phosphorus levels within normal ranges.

Figure 1

CT scans reveal that the mass (blue arrow) showed enhancement, was located in the lower pole of the left kidney and measured 38×30 mm. Metastasis was detected in an enlarged (20 mm) para-aortic lymph node (pink arrow). CT values; (A) plain scan, 40–60; (B) arterial phase, 71–89; (C) venous phase, 90–120. CT, computed tomography.

The patient had a 19-year history of hyperthyroidism and an 11-year history of Henoch-Schönlein purpura. The patient had no known drug allergies and their family history was non-contributory. A bone marrow examination was performed next, but it did not reveal any evidence of lymphoma or a plasma cell neoplasm (PCN). The patient was subcutaneously injected with 300 μg recombinant human granulocyte colony-stimulating factor and the complete blood count (CBC) was repeated. The new CBC results were as follows: WBC count, 6.2×109/l; NE%, 84.7; RBC count, 4.01×1012/l; HGB level, 110.0 g/l; and PLT count, 133.0×109/l. Subsequently, a partial nephrectomy was performed and the retroperitoneal lymph node was resected.

The surgically resected specimen consisted of a segment of renal parenchyma and a 30-mm soft subcapsular mass anchored firmly to the parenchymal part of the kidney, with clear surgical margins. The section cut from the tumor was a light white and contained hemorrhagic foci (Fig. 2). Histological examination revealed a 30×25×10 mm unencapsulated mass showing a diffuse infiltration of plasmacytoid cells that were of different sizes and at various degrees of differentiation (Fig. 3). Immunohistochemical analysis demonstrated that the tumor cells were positive for monoclonal κ light chains, CD38, MUM-1, CD138 and VS38C, while certain cells were positive for monoclonal λ light chains. The cells were negative for CD79a, CD5, CD10, L26, UCHL-1, Pax-5, BCL-2, CK and IgD. Ki-67 staining revealed a high cell proliferation rate (>30% immunoreactive cells), indicating the malignant nature of the lesion. Nested polymerase chain reaction (PCR) revealed that the tumor was negative for the rearrangement of the B-cell lymphoma, IgH, and T cell lymphoma, TCRγ, genes. The retroperitoneal lymph node was also involved. Therefore, a diagnosis of a renal EMP was proposed.

Figure 2

The surgically resected specimen consisted of a segment of renal parenchyma and a 30-mm soft subcapsular mass anchored firmly to the parenchymal section of the kidney, with clear surgical margins. The tumor was a light white and contained hemorrhagic foci.

Figure 3

Histological examination showing diffuse infiltration of plasmacytoid cells, which were of different sizes and at various degrees of differentiation. Hematoxylin-eosin staining; magnification, ×400.

Following this unexpected diagnosis, a skeletal survey was performed to complete the tumor staging. The survey did not reveal any lytic bone lesions or evidence of active malignant disease elsewhere. In addition, the urinalysis was positive for Bence-Jones protein. Serum protein electrophoresis excluded MMs and there was no evidence of systemic plasma cell disease.

All these observations were consistent with a diagnosis of an EMP involving the kidney. The patient refused further therapy, including external beam radiotherapy and chemotherapy. Abdominal CT was performed three months post-surgery and did not reveal any relapse. The results of follow-up blood tests were normal and no evidence of hematological disease was noted. The patient remains disease-free at nine months post-surgery.

Discussion

EMPs may coexist with MM; they may present as the main symptom of MM, develop during the course of MM or occasionally occur as solitary tumors. Laso et al considered EMPs and MM to be part of a continuous spectrum of PCNs rather than separate entities (1). The majority of EMPs involve the head and neck region, particularly the upper respiratory tract (2). Others involve diverse anatomical sites, including the gastrointestinal tract, central nervous system, thyroid, breasts, parotid gland, lymph nodes, skin, lungs, pleura, muscle, liver, spleen and pancreas (3,4).

To the best of our knowledge, only 24 cases of renal plasmacytoma have been reported in the literature (Table I) (5–28). However, more cases may have occurred, as this tumor is underdiagnosed and underreported. The clinical suspicion of isolated plasmacytoma is infrequent in patients, with the exception of those with systemic diseases.

Although secondary EMP is much more frequent than primary EMP, almost all cases of renal EMPs registered so far have been primary in nature, that is, without any evidence of an associated PCN.

In cases of renal EMPs, the tumor mass is often confined to this anatomical area and only two cases have shown other organ involvement (7,8). This may reflect the indolent course of renal EMPs.

The diagnosis of an EMP is complex and requires radiological, hematological, biochemical and histological investigation. Primary renal plasmacytomas are not distinguishable from other renal tumors in pre-operative imaging tests. In the present patient, an EMP was diagnosed on the basis of diffuse monoclonal plasma cell infiltration at a single site observed in the immunohistochemical staining for the κ and λ light chains and following the exclusion of a diagnosis of MM (29).

There have been two cases in which an initial diagnosis of renal plasmacytoma was later revised to MM (12,23).

A renal mass in a patient previously diagnosed with EMP is markedly suggestive of tumor recurrence involving the kidney. Among the 24 cases of renal EMPs reported in the literature, five were cases of a renal recurrence of an EMP that had previously occurred at a different site (7,8,10,17,18).

Further tests to rule out MM should include a CBC, serum and urine protein electrophoresis, immunoelectrophoresis, skeletal survey and bone marrow examination (30).

As a result of the lack of typical clinical symptoms and evidence from specific laboratory tests, a diagnosis may be delayed, with potentially disastrous consequences for the patient. In the present study, the patient was initially misdiagnosed with clear cell carcinoma. However, the surgical observations and post-operative pathology confirmed the final diagnosis. Once the diagnosis has been confirmed, the EMP may be staged: stage I, tumors confined to the primary site; stage II, tumors showing local extension or lymph node involvement; and stage III, systemic spread (18,31).

To the best of our knowledge, there are no guidelines for the treatment of renal plasmacytoma. Treatment options for renal plasmacytomas include surgery, chemotherapy and radiotherapy, either alone or in combination (17). Local radiotherapy is the preferred therapeutic modality for EMP owing to its documented radiosensitivity (32). If adjacent nodal involvement is observed, radiation should be applied to these zones as well (33). Kanoh et al reported that radiotherapy alone was sufficient to treat their patient (17). In the case of non-renal EMPs, definitive radiation therapy yielded five-year local control rates of >80% and local recurrence rates of <10% (2,34).

Optimal treatment strategies for renal EMPs are difficult to formulate owing to the rarity of the tumors. At present, there is no standard treatment for EMPs involving the kidney, but the current reported experiences of treating primary EMPs indicate that combined therapy (surgery and radiotherapy) is an accepted treatment, depending on the resectability of the lesion. A combination treatment may provide the best results (3).

EMP has a relatively good prognosis, but local recurrence and metastasis develop in 30 and 40% of patients, respectively (35). The five-year survival rate of EMP is excellent at 90%, and previous data suggest that local regression does not necessarily indicate a worse prognosis (31). However, progression to MM does imply this. Three of the reported literature cases of renal plasmacytoma recurred following surgery (23–25), one of which was finally diagnosed as MM.

The periodic evaluation of patients with EMP is necessary due to the possibility of relapse and progression to MM. Physical examinations coupled with laboratory tests, including CBC, renal function tests, analyses of blood calcium, serum albumin and immunoglobulin levels, serum protein electrophoresis, free light chain assays and radiographic studies of the skeleton are required for follow-up.

EMP of the kidney is a rare clinical entity, presenting diagnostic challenges due to its unusual location and nonspecific or absent symptoms. Imaging evaluations may illustrate the existence, size and location of the tumor but are unable to indicate a specific diagnosis. A review of the literature shows that there is currently no widely established standard treatment for EMP of the kidney. If the tumor is located in an area with restricted surgical access, a treatment regimen of local surgery, local radiotherapy or a combination of the two may be initiated. Surgery in combination with radiotherapy may be the best treatment. Although the general prognosis and outcome for EMP is good, a follow-up examination is recommended due to the possibility of relapse or progression to PCN.

Acknowledgements

The present study was supported by the Biobank of Complex Diseases in Shenzhen, China (CXC201005260001A).

References

1 

Laso FJ, Tabernero MD and Iglesias-Osma MC: Extramedullary plasmacytoma: a localized or systemic disease? Ann Intern Med. 128:1561998. View Article : Google Scholar : PubMed/NCBI

2 

Reed V, Shah J, Medeiros LJ, et al: Solitary plasmacytomas: outcome and prognostic factors after definitive radiation therapy. Cancer. 117:4468–4474. 2011. View Article : Google Scholar : PubMed/NCBI

3 

Alexiou C, Kau RJ, Dietzfelbinger H, Kremer M, Spiess JC, Schratzenstaller B and Arnold W: Extramedullary plasmacytoma: tumor occurrence and therapeutic concepts. Cancer. 85:2305–2314. 1999. View Article : Google Scholar : PubMed/NCBI

4 

Dimopoulos MA, Kiamouris C and Moulopoulos LA: Solitary plasmacytoma of bone and extramedullary plasmacytoma. Hematol Oncol Clin North Am. 13:1249–1257. 1999. View Article : Google Scholar : PubMed/NCBI

5 

Knudsen O: A case of plasmacytoma of the kidney. Nord Med Tidskr. 14:1493–1495. 1937.

6 

Farrow GM, Harrison EG Jr and Utz DC: Sarcomas and sarcomatoid and mixed malignant tumors of the kidney in adults. II. Cancer. 22:551–555. 1968. View Article : Google Scholar

7 

Solomito VL and Grise J: Angiographic findings in renal (extra-medullary) plasmacytoma. Case report Radiology. 102:559–560. 1972.PubMed/NCBI

8 

Catalona WJ and Biles JD 3rd: Therapeutic considerations in renal plasmacytoma. J Urol. 111:582–583. 1974.PubMed/NCBI

9 

Siemers PT and Coel MN: Solitary renal plasmacytoma with palisading tumor vascularity. Radiology. 123:597–598. 1977. View Article : Google Scholar : PubMed/NCBI

10 

Morris SA, Vaughan ED Jr and Makoui C: Renal plasmacytoma. Urology. 9:303–306. 1977. View Article : Google Scholar : PubMed/NCBI

11 

Silver TM, Thornbury JR and Teears RJ: Renal peripelvic plasmacytoma: unusual radiographic findings. AJR Am J Roentgenol. 128:313–315. 1977. View Article : Google Scholar : PubMed/NCBI

12 

Kandel LB, Harrison LH, Woodruff RD, Williams CD and Ahl ET Jr: Renal plasmacytoma: a case report and summary of reported cases. J Urol. 132:1167–1169. 1984.PubMed/NCBI

13 

Jaspan T and Gregson R: Extra-medullary plasmacytoma of the kidney. Br J Radiol. 57:95–97. 1984. View Article : Google Scholar : PubMed/NCBI

14 

Kanoh T, Ohno T, Ohnaka T and Uchino H: Renal plasmacytoma. Nihon Ketsueki Gakkai Zasshi. 50:906–910. 1987.PubMed/NCBI

15 

Igel TC, Engen DE, Banks PM and Keeney GL: Renal plasmacytoma: Mayo Clinic experience and review of the literature. Urology. 37:385–389. 1991. View Article : Google Scholar : PubMed/NCBI

16 

Kanoh T, Yago K, Iwata H, Tei K and Higashino T: IgM-producing renal plasmacytoma. Urology. 40:484–488. 1992. View Article : Google Scholar : PubMed/NCBI

17 

Kanoh T, Katoh H, Izumi T, Tsuji M and Okuma M: Renal plasmacytoma. Rinsho Ketsueki. 34:1470–1473. 1993.(In Japanese).

18 

Rebelakos AG, Papanastasiou K and Apostolikas N: Renal plasmacytoma. Br J Urol. 75:5621995. View Article : Google Scholar : PubMed/NCBI

19 

Shustik C, Jamison BM, Alfieri C, Scherer S and Loertscher R: A solitary plasmacytoma of donor origin arising 14 years after kidney allotransplantation. Br J Haematol. 91:167–168. 1995.PubMed/NCBI

20 

Manseck A, Flössel C, Günther H and Wirth M: Primary renal plasmacytoma. A case report. Urologe A. 36:369–373. 1997.(In German).

21 

Tejido Sánchez A, Hernández Martínez E, Ortíz MC, Garcia de la Torre JP, Pamplona Casamayor M, de la Rosa Kherman F and Leiva Galvis O: Renal plasmacytoma. Report of a new case. Arch Esp Urol. 54:718–722. 2001.(In Spanish).

22 

Kim SH, Kim ES, Hur JW, Lee JH, Chang SH, Kim YS and Eo WK: A case of relapsed renal plasmacytoma after complete remission of multiple myeloma. Korean J Med. 64:114–118. 2003.(In Korean).

23 

Fan F, Deauna-Limayo D, Brantley Thrasher J and Damjanov I: Anaplastic plasmacytoma of the kidney. Histopathology. 47:432–433. 2005. View Article : Google Scholar : PubMed/NCBI

24 

Park SY, Lee JW, Son YW, Moon HS, Park MH and Lee TY: Primary renal plasmacytoma. Korean J Urol. 48:878–880. 2007. View Article : Google Scholar

25 

Yazici S, Inci K, Dikmen A, Ergen A and Bilen CY: Port site and local recurrence of incidental solitary renal plasmacytoma after retroperitoneoscopic radical nephrectomy. Urology. 73:210.e15–210.e17. 2009. View Article : Google Scholar : PubMed/NCBI

26 

Mongha R, Narayan S, Dutta A, Sharma S, Uttara C and Kundu AK: Plasmacytoma of the kidney. Saudi J Kidney Dis Transpl. 21:931–934. 2010.PubMed/NCBI

27 

Yang GF, Zhu H, Zhang LJ and Lu GM: Primary renal plasmacytoma: Case report and literature review. J Cancer Res Exp Oncol. 2:43–46. 2010.

28 

Zhong Y, Chen S, Liu X, Hu Y, Li X, Zhang J and An N: Renal extramedullary plasmacytoma - One case report. Clin Oncol Cancer Res. 7:380–382. 2010. View Article : Google Scholar

29 

Dimopoulos MA and Hamilos G: Solitary bone plasmacytoma and extramedullary plasmacytoma. Curr Treat Options Oncol. 3:255–259. 2002. View Article : Google Scholar : PubMed/NCBI

30 

Avila A, Villalpando A, Montoya G and Luna MA: Clinical features and differential diagnoses of solitary extramedullary plasmacytoma of the thyroid: a case report. Ann Diagn Pathol. 13:119–23. 2009. View Article : Google Scholar : PubMed/NCBI

31 

Waldron J and Mitchell DB: Unusual presentations of extramedullary plasmacytoma in the head and neck. J Laryngol Otol. 102:102–104. 1988. View Article : Google Scholar : PubMed/NCBI

32 

Chao MW, Gibbs P, Wirth A, Quong G, Guiney MJ and Liew KH: Radiotherapy in the management of solitary extramedullary plasmacytoma. Intern Med J. 35:211–215. 2005. View Article : Google Scholar : PubMed/NCBI

33 

Mayr NA, Wen BC, Hussey DH, Burns CP, Staples JJ, Doornbos JF and Vigliotti AP: The role of radiation therapy in the treatment of solitary plasmacytomas. Radiother Oncol. 17:293–303. 1990. View Article : Google Scholar : PubMed/NCBI

34 

Krause S, Hillengass J, Goldschmidt H, Debus J and Neuhof D: Radiotherapy of solitary plasmacytoma. Ann Hematol. 90:1093–1097. 2011. View Article : Google Scholar

35 

Holland J, Trenkner DA, Wasserman TH and Fineberg B: Plasmacytoma. Treatment results and conversion to myeloma. Cancer. 69:1513–1517. 1992. View Article : Google Scholar : PubMed/NCBI

Related Articles

  • Abstract
  • View
  • Download
  • Twitter
Copy and paste a formatted citation
Spandidos Publications style
Zhang SQ, Dong P, Zhang ZL, Wu S, Guo SJ, Yao K, Li YH, Liu ZW, Han H, Qin ZK, Qin ZK, et al: Renal plasmacytoma: Report of a rare case and review of the literature. Oncol Lett 5: 1839-1843, 2013.
APA
Zhang, S., Dong, P., Zhang, Z., Wu, S., Guo, S., Yao, K. ... Zhou, F. (2013). Renal plasmacytoma: Report of a rare case and review of the literature. Oncology Letters, 5, 1839-1843. https://doi.org/10.3892/ol.2013.1282
MLA
Zhang, S., Dong, P., Zhang, Z., Wu, S., Guo, S., Yao, K., Li, Y., Liu, Z., Han, H., Qin, Z., Cai, Z., Li, X., Zhou, F."Renal plasmacytoma: Report of a rare case and review of the literature". Oncology Letters 5.6 (2013): 1839-1843.
Chicago
Zhang, S., Dong, P., Zhang, Z., Wu, S., Guo, S., Yao, K., Li, Y., Liu, Z., Han, H., Qin, Z., Cai, Z., Li, X., Zhou, F."Renal plasmacytoma: Report of a rare case and review of the literature". Oncology Letters 5, no. 6 (2013): 1839-1843. https://doi.org/10.3892/ol.2013.1282
Copy and paste a formatted citation
x
Spandidos Publications style
Zhang SQ, Dong P, Zhang ZL, Wu S, Guo SJ, Yao K, Li YH, Liu ZW, Han H, Qin ZK, Qin ZK, et al: Renal plasmacytoma: Report of a rare case and review of the literature. Oncol Lett 5: 1839-1843, 2013.
APA
Zhang, S., Dong, P., Zhang, Z., Wu, S., Guo, S., Yao, K. ... Zhou, F. (2013). Renal plasmacytoma: Report of a rare case and review of the literature. Oncology Letters, 5, 1839-1843. https://doi.org/10.3892/ol.2013.1282
MLA
Zhang, S., Dong, P., Zhang, Z., Wu, S., Guo, S., Yao, K., Li, Y., Liu, Z., Han, H., Qin, Z., Cai, Z., Li, X., Zhou, F."Renal plasmacytoma: Report of a rare case and review of the literature". Oncology Letters 5.6 (2013): 1839-1843.
Chicago
Zhang, S., Dong, P., Zhang, Z., Wu, S., Guo, S., Yao, K., Li, Y., Liu, Z., Han, H., Qin, Z., Cai, Z., Li, X., Zhou, F."Renal plasmacytoma: Report of a rare case and review of the literature". Oncology Letters 5, no. 6 (2013): 1839-1843. https://doi.org/10.3892/ol.2013.1282
Follow us
  • Twitter
  • LinkedIn
  • Facebook
About
  • Spandidos Publications
  • Careers
  • Cookie Policy
  • Privacy Policy
How can we help?
  • Help
  • Live Chat
  • Contact
  • Email to our Support Team