Spandidos Publications Logo
  • About
    • About Spandidos
    • Aims and Scopes
    • Abstracting and Indexing
    • Editorial Policies
    • Reprints and Permissions
    • Job Opportunities
    • Terms and Conditions
    • Contact
  • Journals
    • All Journals
    • Oncology Letters
      • Oncology Letters
      • Information for Authors
      • Editorial Policies
      • Editorial Board
      • Aims and Scope
      • Abstracting and Indexing
      • Bibliographic Information
      • Archive
    • International Journal of Oncology
      • International Journal of Oncology
      • Information for Authors
      • Editorial Policies
      • Editorial Board
      • Aims and Scope
      • Abstracting and Indexing
      • Bibliographic Information
      • Archive
    • Molecular and Clinical Oncology
      • Molecular and Clinical Oncology
      • Information for Authors
      • Editorial Policies
      • Editorial Board
      • Aims and Scope
      • Abstracting and Indexing
      • Bibliographic Information
      • Archive
    • Experimental and Therapeutic Medicine
      • Experimental and Therapeutic Medicine
      • Information for Authors
      • Editorial Policies
      • Editorial Board
      • Aims and Scope
      • Abstracting and Indexing
      • Bibliographic Information
      • Archive
    • International Journal of Molecular Medicine
      • International Journal of Molecular Medicine
      • Information for Authors
      • Editorial Policies
      • Editorial Board
      • Aims and Scope
      • Abstracting and Indexing
      • Bibliographic Information
      • Archive
    • Biomedical Reports
      • Biomedical Reports
      • Information for Authors
      • Editorial Policies
      • Editorial Board
      • Aims and Scope
      • Abstracting and Indexing
      • Bibliographic Information
      • Archive
    • Oncology Reports
      • Oncology Reports
      • Information for Authors
      • Editorial Policies
      • Editorial Board
      • Aims and Scope
      • Abstracting and Indexing
      • Bibliographic Information
      • Archive
    • Molecular Medicine Reports
      • Molecular Medicine Reports
      • Information for Authors
      • Editorial Policies
      • Editorial Board
      • Aims and Scope
      • Abstracting and Indexing
      • Bibliographic Information
      • Archive
    • World Academy of Sciences Journal
      • World Academy of Sciences Journal
      • Information for Authors
      • Editorial Policies
      • Editorial Board
      • Aims and Scope
      • Abstracting and Indexing
      • Bibliographic Information
      • Archive
    • International Journal of Functional Nutrition
      • International Journal of Functional Nutrition
      • Information for Authors
      • Editorial Policies
      • Editorial Board
      • Aims and Scope
      • Abstracting and Indexing
      • Bibliographic Information
      • Archive
    • International Journal of Epigenetics
      • International Journal of Epigenetics
      • Information for Authors
      • Editorial Policies
      • Editorial Board
      • Aims and Scope
      • Abstracting and Indexing
      • Bibliographic Information
      • Archive
    • Medicine International
      • Medicine International
      • Information for Authors
      • Editorial Policies
      • Editorial Board
      • Aims and Scope
      • Abstracting and Indexing
      • Bibliographic Information
      • Archive
  • Articles
  • Information
    • Information for Authors
    • Information for Reviewers
    • Information for Librarians
    • Information for Advertisers
    • Conferences
  • Language Editing
Spandidos Publications Logo
  • About
    • About Spandidos
    • Aims and Scopes
    • Abstracting and Indexing
    • Editorial Policies
    • Reprints and Permissions
    • Job Opportunities
    • Terms and Conditions
    • Contact
  • Journals
    • All Journals
    • Biomedical Reports
      • Information for Authors
      • Editorial Policies
      • Editorial Board
      • Aims and Scope
      • Abstracting and Indexing
      • Bibliographic Information
      • Archive
    • Experimental and Therapeutic Medicine
      • Information for Authors
      • Editorial Policies
      • Editorial Board
      • Aims and Scope
      • Abstracting and Indexing
      • Bibliographic Information
      • Archive
    • International Journal of Epigenetics
      • Information for Authors
      • Editorial Policies
      • Editorial Board
      • Aims and Scope
      • Abstracting and Indexing
      • Bibliographic Information
      • Archive
    • International Journal of Functional Nutrition
      • Information for Authors
      • Editorial Policies
      • Editorial Board
      • Aims and Scope
      • Abstracting and Indexing
      • Bibliographic Information
      • Archive
    • International Journal of Molecular Medicine
      • Information for Authors
      • Editorial Policies
      • Editorial Board
      • Aims and Scope
      • Abstracting and Indexing
      • Bibliographic Information
      • Archive
    • International Journal of Oncology
      • Information for Authors
      • Editorial Policies
      • Editorial Board
      • Aims and Scope
      • Abstracting and Indexing
      • Bibliographic Information
      • Archive
    • Medicine International
      • Information for Authors
      • Editorial Policies
      • Editorial Board
      • Aims and Scope
      • Abstracting and Indexing
      • Bibliographic Information
      • Archive
    • Molecular and Clinical Oncology
      • Information for Authors
      • Editorial Policies
      • Editorial Board
      • Aims and Scope
      • Abstracting and Indexing
      • Bibliographic Information
      • Archive
    • Molecular Medicine Reports
      • Information for Authors
      • Editorial Policies
      • Editorial Board
      • Aims and Scope
      • Abstracting and Indexing
      • Bibliographic Information
      • Archive
    • Oncology Letters
      • Information for Authors
      • Editorial Policies
      • Editorial Board
      • Aims and Scope
      • Abstracting and Indexing
      • Bibliographic Information
      • Archive
    • Oncology Reports
      • Information for Authors
      • Editorial Policies
      • Editorial Board
      • Aims and Scope
      • Abstracting and Indexing
      • Bibliographic Information
      • Archive
    • World Academy of Sciences Journal
      • Information for Authors
      • Editorial Policies
      • Editorial Board
      • Aims and Scope
      • Abstracting and Indexing
      • Bibliographic Information
      • Archive
  • Articles
  • Information
    • For Authors
    • For Reviewers
    • For Librarians
    • For Advertisers
    • Conferences
  • Language Editing
Login Register Submit
  • This site uses cookies
  • You can change your cookie settings at any time by following the instructions in our Cookie Policy. To find out more, you may read our Privacy Policy.

    I agree
Search articles by DOI, keyword, author or affiliation
Search
Advanced Search
presentation
Oncology Letters
Join Editorial Board Propose a Special Issue
Print ISSN: 1792-1074 Online ISSN: 1792-1082
Journal Cover
November 2013 Volume 6 Issue 5

Full Size Image

Sign up for eToc alerts
Recommend to Library

Journals

International Journal of Molecular Medicine

International Journal of Molecular Medicine

International Journal of Molecular Medicine is an international journal devoted to molecular mechanisms of human disease.

International Journal of Oncology

International Journal of Oncology

International Journal of Oncology is an international journal devoted to oncology research and cancer treatment.

Molecular Medicine Reports

Molecular Medicine Reports

Covers molecular medicine topics such as pharmacology, pathology, genetics, neuroscience, infectious diseases, molecular cardiology, and molecular surgery.

Oncology Reports

Oncology Reports

Oncology Reports is an international journal devoted to fundamental and applied research in Oncology.

Experimental and Therapeutic Medicine

Experimental and Therapeutic Medicine

Experimental and Therapeutic Medicine is an international journal devoted to laboratory and clinical medicine.

Oncology Letters

Oncology Letters

Oncology Letters is an international journal devoted to Experimental and Clinical Oncology.

Biomedical Reports

Biomedical Reports

Explores a wide range of biological and medical fields, including pharmacology, genetics, microbiology, neuroscience, and molecular cardiology.

Molecular and Clinical Oncology

Molecular and Clinical Oncology

International journal addressing all aspects of oncology research, from tumorigenesis and oncogenes to chemotherapy and metastasis.

World Academy of Sciences Journal

World Academy of Sciences Journal

Multidisciplinary open-access journal spanning biochemistry, genetics, neuroscience, environmental health, and synthetic biology.

International Journal of Functional Nutrition

International Journal of Functional Nutrition

Open-access journal combining biochemistry, pharmacology, immunology, and genetics to advance health through functional nutrition.

International Journal of Epigenetics

International Journal of Epigenetics

Publishes open-access research on using epigenetics to advance understanding and treatment of human disease.

Medicine International

Medicine International

An International Open Access Journal Devoted to General Medicine.

Journal Cover
November 2013 Volume 6 Issue 5

Full Size Image

Sign up for eToc alerts
Recommend to Library

  • Article
  • Citations
    • Cite This Article
    • Download Citation
    • Create Citation Alert
    • Remove Citation Alert
    • Cited By
  • Similar Articles
    • Related Articles (in Spandidos Publications)
    • Similar Articles (Google Scholar)
    • Similar Articles (PubMed)
  • Download PDF
  • Download XML
  • View XML
Case Report

Gastric cancer with large bowel obstruction as the first presentation: A case report

  • Authors:
    • Xiuyan Yu
    • Junshu Zhang
  • View Affiliations / Copyright

    Affiliations: Department of Surgery, Second Affiliated Hospital (Binjiang Branch), Zhejiang University School of Medicine, Hangzhou, Zhejiang 310009, P.R. China, Department of Surgery, Linan People's Hospital, Hangzhou, Zhejiang 311300, P.R. China
  • Pages: 1377-1379
    |
    Published online on: August 22, 2013
       https://doi.org/10.3892/ol.2013.1540
  • Expand metrics +
Metrics: Total Views: 0 (Spandidos Publications: | PMC Statistics: )
Metrics: Total PDF Downloads: 0 (Spandidos Publications: | PMC Statistics: )
Cited By (CrossRef): 0 citations Loading Articles...

This article is mentioned in:



Abstract

Gastric adenocarcinoma with a large bowel obstruction as the first presentation of the condition is rare. The present study describes the case of a 59‑year‑old female who was diagnosed with a large bowel obstruction that was caused by gastric adenocarcinoma. The patient suffered from abdominal pain and had not defecated for 15 days. The patient had no significant medical history. The right epigastric region was slightly tender and active bowel sounds were identified. A computed tomography (CT) scan revealed a dilated fluid‑filled colon with a thickened wall and adjacent fat infiltration. An upper gastrointestinal endoscopy revealed that the margin and gastric mucosa in the antrum were raised and thickened without evidence of ulcerative lesions. The patient underwent surgery and was administered adjuvant chemotherapy. The patient was followed-up for 18 months without recurrence of the tumor. This study demonstrates that the presentation of gastric cancer may vary.

Introduction

Gastric cancer is the second leading cause of cancer-related mortality worldwide (1,2). The various clinical manifestations in certain patients make the diagnosis difficult and indicate a poor prognosis. Although gastrointestinal obstructions are not uncommon in gastric cancer (3–5), observing a large bowel obstruction as the first manifestation of the disease is rare. The present study describes a case of gastric cancer in a patient who presented with abdominal pain and an acute large bowel obstruction. To the best of our knowledge, the present study is the first in the literature to describe an initial manifestation of a large bowel obstruction associated with gastric cancer. Written informed consent was obtained from the patient.

Case report

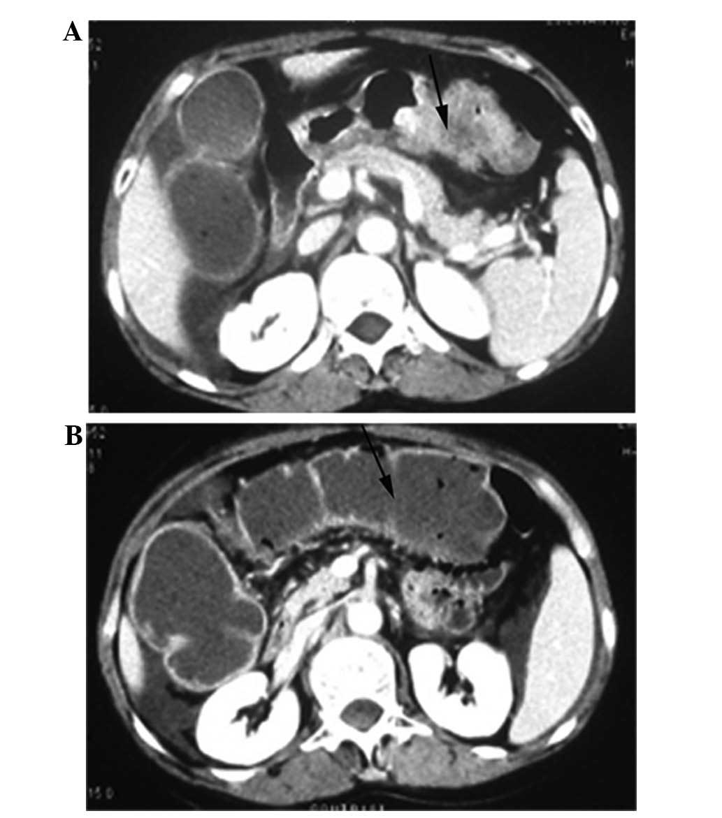
A 59-year-old female without no significant medical history visited Linan People’s Hospital (Hangzhou, China) complaining of central abdominal pain and not being able to defecate for 15 days. Although the patient had been admitted to Hangzhou Provincial Hospital due to recurrent abdominal pain six months previously, the colon was not considered abnormal following a colonoscopy and ultrasound. A gastroscopy only revealed chronic superficial gastritis (data not shown). Upon admittance to the Department of Surgery, the right epigastric region was slightly tender and active bowel sounds were identified, followed by intermittent bilious vomiting and weight loss, despite a distended abdomen without rebound pain or hepatomegaly. Computed tomography (CT) of the abdomen revealed a dilated fluid-filled colon and a protruding tumor abutting the transverse colon. No other abnormalities/metastases to the liver or the involvement of adjacent organs/tissues were observed (Fig. 1). An upper gastrointestinal endoscopy revealed the existence of a raised margin and thickening of the gastric mucosal in the antrum, with no evidence of ulcerative lesions (Fig. 2). The endoscopic gastric biopsies indicated a diagnosis of a poorly-differentiated adenocarcinoma. The routine blood test results were normal, with the exception of an elevated CA19-9 level (95 U/l; normal range, <39 U/l).

Figure 1

Computed tomography (CT) scan showing the gastric wall thickening and tumor infiltration into the (A) adjacent fat tissues and (B) colon, which were fluid-filled, indicative of a large bowel obstruction.

Figure 2

Gastroscopy demonstrating the margin and gastric mucosal in the antrum, which was raised and thickened. However, the mucosa did not contain ulcerative lesions.

The patient underwent a radical distal gastrectomy with systematic lymph node dissection and a right colectomy (Fig. 3). The histology of the specimens indicated a poorly-differentiated adenocarcinoma with the presence of signet cells and cancer invasion to the transverse colonic mucosa (pT4; Fig. 4). No perigastric lymph node metastases were identified (0/15, pN0). The patient is currently doing well without recurrence at 18 months post-surgery.

Figure 3

Post-operative surgical specimen of the tumor and adjacent tissues. (A) Transverse colon; (B) stomach.

Figure 4

Microscopic appearance of the tumor (hematoxylin and eosin staining). Magnification, (A) ×10 and (B) ×40.

Discussion

Although highly advanced stage gastric cancer often causes gastric outlet obstruction and results in gastrointestinal symptoms, including abdominal pain, nausea and vomiting, an acute large bowel obstruction as the first presentation of gastric cancer is a rare event. The main route of cancer infiltrating the abdominal organs is known as the diffusion of the adjacent tissues and the invasion of the superficial serosal layer (6). In the present study, the wall of the transverse colon was thickened on the CT and a poorly-differentiated adenocarcinoma was confirmed by the histology examination, revealing the true invasion from the primary gastric cancer. Gastroscopy indicated that the gastric mucosa was partly raised and the distant organs did not contain any lesions. However, the cancer cells invaded the adjacent tissues, suggesting that the biological behavior of cancer cells and the performance and progress of gastric cancer may vary.

The poor prognosis of gastric cancer is mainly due to a late diagnosis (7). Therefore, an early diagnosis of the disease is the most significant factor in order to improve the results of treatment. However, an early diagnosis is difficult if a lesion is not identified in the stomach by a gastroscopy examination in the early stages. In certain cases, the diagnosis also relies on a combination of CT, magnifying endoscopy or endoscopic ultrasound techniques to analyze the symptoms, which are now the most common methods for detecting gastrointestinal invasion from gastric adenocarcinoma (8–11). The disease often characteristically manifests with a wall thickening detected by a helical CT. In the present case, the patient experienced abdomen pain, which may be associated with the oppression of the gastrointestinal tract due to cancer. The present study serves to illustrate the significance of a careful examination in all patients who present with symptoms of abdominal pain.

References

1 

Hartgrink HH, Jansen EP, van Grieken NC and van de Velde CJ: Gastric cancer. Lancet. 374:477–490. 2009. View Article : Google Scholar

2 

Fernández-Fernández FJ and Sesma P: Gastric cancer. Lancet. 374:1594–1595. 2009.

3 

Tomikashi K, Mitsufuji S, Kanemasa H, Sakai M, Wakabayashi N and Tsuchihashi Y: Gastric cancer metastatic to the colon. Gastrointest Endosc. 55:5612002. View Article : Google Scholar : PubMed/NCBI

4 

Kumagai K, Saikawa Y, Fukuda K, et al: Octreotide acetate successfully treated a bowel obstruction caused by peritoneally disseminated gastric cancer, thereby enabling the subsequent use of oral S-1 chemotherapy. Int J Clin Oncol. 14:372–375. 2009. View Article : Google Scholar

5 

Fukuda Y, Fujio N, Ihara T, et al: A case of advanced gastric cancer with direct invasion of the transverse colon responding to paclitaxel/5′-DFUR combined therapy. Gan To Kagaku Ryoho. 32:1945–1948. 2005.In Japanese.

6 

Feczko PJ, Collins DD and Mezwa DG: Metastatic disease involving the gastrointestinal tract. Radiol Clin North Am. 31:1359–1373. 1993.PubMed/NCBI

7 

Power DG, Kelsen DP and Shah MA: Advanced gastric cancer - slow but steady progress. Cancer Treat Rev. 36:384–392. 2010. View Article : Google Scholar : PubMed/NCBI

8 

Yin XD, Huang WB, Lü CY, Zhang L, Wang LW and Xie GH: A preliminary study on correlations of triple-phase multi-slice CT scan with histological differentiation and intratumoral microvascular/lymphatic invasion in gastric cancer. Chin Med J (Engl). 124:347–351. 2011.

9 

Oh JY, Cho JH, Kang MJ, et al: CT findings. Clin Radiol. 66:966–973. 2011. View Article : Google Scholar

10 

Kaise M, Kato M and Tajiri H: High-definition endoscopy and magnifying endoscopy combined with narrow band imaging in gastric cancer. Gastroenterol Clin North Am. 39:771–784. 2010. View Article : Google Scholar : PubMed/NCBI

11 

Furukawa K, Miyahara R, Itoh A, et al: Diagnosis of the invasion depth of gastric cancer using MDCT with virtual gastroscopy: comparison with staging with endoscopic ultrasound. AJR Am J Roentgenol. 197:867–875. 2011. View Article : Google Scholar : PubMed/NCBI

Related Articles

  • Abstract
  • View
  • Download
  • Twitter
Copy and paste a formatted citation
Spandidos Publications style
Yu X and Zhang J: Gastric cancer with large bowel obstruction as the first presentation: A case report. Oncol Lett 6: 1377-1379, 2013.
APA
Yu, X., & Zhang, J. (2013). Gastric cancer with large bowel obstruction as the first presentation: A case report. Oncology Letters, 6, 1377-1379. https://doi.org/10.3892/ol.2013.1540
MLA
Yu, X., Zhang, J."Gastric cancer with large bowel obstruction as the first presentation: A case report". Oncology Letters 6.5 (2013): 1377-1379.
Chicago
Yu, X., Zhang, J."Gastric cancer with large bowel obstruction as the first presentation: A case report". Oncology Letters 6, no. 5 (2013): 1377-1379. https://doi.org/10.3892/ol.2013.1540
Copy and paste a formatted citation
x
Spandidos Publications style
Yu X and Zhang J: Gastric cancer with large bowel obstruction as the first presentation: A case report. Oncol Lett 6: 1377-1379, 2013.
APA
Yu, X., & Zhang, J. (2013). Gastric cancer with large bowel obstruction as the first presentation: A case report. Oncology Letters, 6, 1377-1379. https://doi.org/10.3892/ol.2013.1540
MLA
Yu, X., Zhang, J."Gastric cancer with large bowel obstruction as the first presentation: A case report". Oncology Letters 6.5 (2013): 1377-1379.
Chicago
Yu, X., Zhang, J."Gastric cancer with large bowel obstruction as the first presentation: A case report". Oncology Letters 6, no. 5 (2013): 1377-1379. https://doi.org/10.3892/ol.2013.1540
Follow us
  • Twitter
  • LinkedIn
  • Facebook
About
  • Spandidos Publications
  • Careers
  • Cookie Policy
  • Privacy Policy
How can we help?
  • Help
  • Live Chat
  • Contact
  • Email to our Support Team