Spandidos Publications Logo
  • About
    • About Spandidos
    • Aims and Scopes
    • Abstracting and Indexing
    • Editorial Policies
    • Reprints and Permissions
    • Job Opportunities
    • Terms and Conditions
    • Contact
  • Journals
    • All Journals
    • Oncology Letters
      • Oncology Letters
      • Information for Authors
      • Editorial Policies
      • Editorial Board
      • Aims and Scope
      • Abstracting and Indexing
      • Bibliographic Information
      • Archive
    • International Journal of Oncology
      • International Journal of Oncology
      • Information for Authors
      • Editorial Policies
      • Editorial Board
      • Aims and Scope
      • Abstracting and Indexing
      • Bibliographic Information
      • Archive
    • Molecular and Clinical Oncology
      • Molecular and Clinical Oncology
      • Information for Authors
      • Editorial Policies
      • Editorial Board
      • Aims and Scope
      • Abstracting and Indexing
      • Bibliographic Information
      • Archive
    • Experimental and Therapeutic Medicine
      • Experimental and Therapeutic Medicine
      • Information for Authors
      • Editorial Policies
      • Editorial Board
      • Aims and Scope
      • Abstracting and Indexing
      • Bibliographic Information
      • Archive
    • International Journal of Molecular Medicine
      • International Journal of Molecular Medicine
      • Information for Authors
      • Editorial Policies
      • Editorial Board
      • Aims and Scope
      • Abstracting and Indexing
      • Bibliographic Information
      • Archive
    • Biomedical Reports
      • Biomedical Reports
      • Information for Authors
      • Editorial Policies
      • Editorial Board
      • Aims and Scope
      • Abstracting and Indexing
      • Bibliographic Information
      • Archive
    • Oncology Reports
      • Oncology Reports
      • Information for Authors
      • Editorial Policies
      • Editorial Board
      • Aims and Scope
      • Abstracting and Indexing
      • Bibliographic Information
      • Archive
    • Molecular Medicine Reports
      • Molecular Medicine Reports
      • Information for Authors
      • Editorial Policies
      • Editorial Board
      • Aims and Scope
      • Abstracting and Indexing
      • Bibliographic Information
      • Archive
    • World Academy of Sciences Journal
      • World Academy of Sciences Journal
      • Information for Authors
      • Editorial Policies
      • Editorial Board
      • Aims and Scope
      • Abstracting and Indexing
      • Bibliographic Information
      • Archive
    • International Journal of Functional Nutrition
      • International Journal of Functional Nutrition
      • Information for Authors
      • Editorial Policies
      • Editorial Board
      • Aims and Scope
      • Abstracting and Indexing
      • Bibliographic Information
      • Archive
    • International Journal of Epigenetics
      • International Journal of Epigenetics
      • Information for Authors
      • Editorial Policies
      • Editorial Board
      • Aims and Scope
      • Abstracting and Indexing
      • Bibliographic Information
      • Archive
    • Medicine International
      • Medicine International
      • Information for Authors
      • Editorial Policies
      • Editorial Board
      • Aims and Scope
      • Abstracting and Indexing
      • Bibliographic Information
      • Archive
  • Articles
  • Information
    • Information for Authors
    • Information for Reviewers
    • Information for Librarians
    • Information for Advertisers
    • Conferences
  • Language Editing
Spandidos Publications Logo
  • About
    • About Spandidos
    • Aims and Scopes
    • Abstracting and Indexing
    • Editorial Policies
    • Reprints and Permissions
    • Job Opportunities
    • Terms and Conditions
    • Contact
  • Journals
    • All Journals
    • Biomedical Reports
      • Information for Authors
      • Editorial Policies
      • Editorial Board
      • Aims and Scope
      • Abstracting and Indexing
      • Bibliographic Information
      • Archive
    • Experimental and Therapeutic Medicine
      • Information for Authors
      • Editorial Policies
      • Editorial Board
      • Aims and Scope
      • Abstracting and Indexing
      • Bibliographic Information
      • Archive
    • International Journal of Epigenetics
      • Information for Authors
      • Editorial Policies
      • Editorial Board
      • Aims and Scope
      • Abstracting and Indexing
      • Bibliographic Information
      • Archive
    • International Journal of Functional Nutrition
      • Information for Authors
      • Editorial Policies
      • Editorial Board
      • Aims and Scope
      • Abstracting and Indexing
      • Bibliographic Information
      • Archive
    • International Journal of Molecular Medicine
      • Information for Authors
      • Editorial Policies
      • Editorial Board
      • Aims and Scope
      • Abstracting and Indexing
      • Bibliographic Information
      • Archive
    • International Journal of Oncology
      • Information for Authors
      • Editorial Policies
      • Editorial Board
      • Aims and Scope
      • Abstracting and Indexing
      • Bibliographic Information
      • Archive
    • Medicine International
      • Information for Authors
      • Editorial Policies
      • Editorial Board
      • Aims and Scope
      • Abstracting and Indexing
      • Bibliographic Information
      • Archive
    • Molecular and Clinical Oncology
      • Information for Authors
      • Editorial Policies
      • Editorial Board
      • Aims and Scope
      • Abstracting and Indexing
      • Bibliographic Information
      • Archive
    • Molecular Medicine Reports
      • Information for Authors
      • Editorial Policies
      • Editorial Board
      • Aims and Scope
      • Abstracting and Indexing
      • Bibliographic Information
      • Archive
    • Oncology Letters
      • Information for Authors
      • Editorial Policies
      • Editorial Board
      • Aims and Scope
      • Abstracting and Indexing
      • Bibliographic Information
      • Archive
    • Oncology Reports
      • Information for Authors
      • Editorial Policies
      • Editorial Board
      • Aims and Scope
      • Abstracting and Indexing
      • Bibliographic Information
      • Archive
    • World Academy of Sciences Journal
      • Information for Authors
      • Editorial Policies
      • Editorial Board
      • Aims and Scope
      • Abstracting and Indexing
      • Bibliographic Information
      • Archive
  • Articles
  • Information
    • For Authors
    • For Reviewers
    • For Librarians
    • For Advertisers
    • Conferences
  • Language Editing
Login Register Submit
  • This site uses cookies
  • You can change your cookie settings at any time by following the instructions in our Cookie Policy. To find out more, you may read our Privacy Policy.

    I agree
Search articles by DOI, keyword, author or affiliation
Search
Advanced Search
presentation
Oncology Letters
Join Editorial Board Propose a Special Issue
Print ISSN: 1792-1074 Online ISSN: 1792-1082
Journal Cover
2014-January Volume 7 Issue 1

Full Size Image

Sign up for eToc alerts
Recommend to Library

Journals

International Journal of Molecular Medicine

International Journal of Molecular Medicine

International Journal of Molecular Medicine is an international journal devoted to molecular mechanisms of human disease.

International Journal of Oncology

International Journal of Oncology

International Journal of Oncology is an international journal devoted to oncology research and cancer treatment.

Molecular Medicine Reports

Molecular Medicine Reports

Covers molecular medicine topics such as pharmacology, pathology, genetics, neuroscience, infectious diseases, molecular cardiology, and molecular surgery.

Oncology Reports

Oncology Reports

Oncology Reports is an international journal devoted to fundamental and applied research in Oncology.

Experimental and Therapeutic Medicine

Experimental and Therapeutic Medicine

Experimental and Therapeutic Medicine is an international journal devoted to laboratory and clinical medicine.

Oncology Letters

Oncology Letters

Oncology Letters is an international journal devoted to Experimental and Clinical Oncology.

Biomedical Reports

Biomedical Reports

Explores a wide range of biological and medical fields, including pharmacology, genetics, microbiology, neuroscience, and molecular cardiology.

Molecular and Clinical Oncology

Molecular and Clinical Oncology

International journal addressing all aspects of oncology research, from tumorigenesis and oncogenes to chemotherapy and metastasis.

World Academy of Sciences Journal

World Academy of Sciences Journal

Multidisciplinary open-access journal spanning biochemistry, genetics, neuroscience, environmental health, and synthetic biology.

International Journal of Functional Nutrition

International Journal of Functional Nutrition

Open-access journal combining biochemistry, pharmacology, immunology, and genetics to advance health through functional nutrition.

International Journal of Epigenetics

International Journal of Epigenetics

Publishes open-access research on using epigenetics to advance understanding and treatment of human disease.

Medicine International

Medicine International

An International Open Access Journal Devoted to General Medicine.

Journal Cover
2014-January Volume 7 Issue 1

Full Size Image

Sign up for eToc alerts
Recommend to Library

  • Article
  • Citations
    • Cite This Article
    • Download Citation
    • Create Citation Alert
    • Remove Citation Alert
    • Cited By
  • Similar Articles
    • Related Articles (in Spandidos Publications)
    • Similar Articles (Google Scholar)
    • Similar Articles (PubMed)
  • Download PDF
  • Download XML
  • View XML
Case Report

Signet‑ring cell melanoma with sentinel lymph node metastasis: A case report with immunohistochemical analysis and review of the clinicopathological features

  • Authors:
    • Mitsuaki Ishida
    • Muneo Iwai
    • Keiko Yoshida
    • Akiko Kagotani
    • Hidetoshi Okabe
  • View Affiliations / Copyright

    Affiliations: Department of Clinical Laboratory Medicine and Division of Diagnostic Pathology, Shiga University of Medical Science, Otsu, Shiga 520‑2192, Japan
  • Pages: 65-68
    |
    Published online on: November 7, 2013
       https://doi.org/10.3892/ol.2013.1669
  • Expand metrics +
Metrics: Total Views: 0 (Spandidos Publications: | PMC Statistics: )
Metrics: Total PDF Downloads: 0 (Spandidos Publications: | PMC Statistics: )
Cited By (CrossRef): 0 citations Loading Articles...

This article is mentioned in:



Abstract

Signet‑ring cell melanoma is an extremely rare variant of malignant melanoma. A 68‑year‑old male presented with a black nodule on the left thigh. Histopathological examination revealed proliferation of sheet‑like or variable‑sized nests of atypical melanocytes. Neoplastic cells showing signet‑ring cell appearance, characterized by the presence of eccentrically located enlarged nuclei and abundant pale cytoplasm, were also present. Immunohistochemically, the tumor cells were positive for S‑100 protein, vimentin and Melan‑A. Moreover, mammalian target of rapamycin (mTOR) pathway proteins were diffusely expressed. The current case report presents the 21st reported case of signet‑ring cell melanoma. Analyses of the clinicopathological features revealed that this disease commonly affects middle‑aged males and the presence of metastatic signet‑ring cell melanoma with an unknown primary tumor. Immunohistochemical analyses of melanocytic markers have been useful for establishing the diagnosis of this type of disease, however, HMB‑45 is occasionally found to be negative. In addition, the present case report is the first to analyze the expression of mTOR pathway proteins, which are central proteins involved in carcinogenesis and its inhibitor has been proposed as a therapeutic target for various types of tumor. Therefore, the mTOR inhibitor may also be a potential candidate for the treatment of this type of tumor.

Introduction

Malignant melanoma occasionally shows a variety of cytomorphological and architectural features, including balloon, rhabdoid, small, myxoid, adenoid (pseudoglandular) and clear cell types (1). Signet-ring cell melanoma is one of the rarest histopathological variants of malignant melanoma, characterized histopathologically by the presence of tumor cells in which the nucleus is compressed to the cellular periphery, appearing as signet-rings (2). This variant was initially described by Sheibani and Battifora in 1988 (3) and since then, 20 cases have been reported in English literature (2–15). The current case report presents an additional case of signet-ring cell melanoma with sentinel lymph node metastasis, analyses of the immunohistochemical expression profiles of the intermediate filaments and mammalian target of rapamycin (mTOR) pathway proteins and review of the clinicopathological features of this extremely rare variant of malignant melanoma.

Case report

Patient presentation

A 68-year-old male without a past history of malignant melanoma presented with a gradually enlarged black nodule in the left thigh. Physical examination revealed a relatively well-circumscribed nodule, measuring 25×20 mm in diameter, with uneven pigmentation in the patients thigh. Systemic surveillance failed to identify additional tumorous lesions other than the tumor in the left thigh. Total resection of the nodule was performed and subsequently, dissection of the sentinel lymph node. Written informed consent was obtained from the patient.

Materials and methods

The formalin-fixed, paraffin-embedded tissue blocks of the resected skin specimen and lymph nodes were cut into 3-μm-thick sections, deparaffinized and rehydrated. Each section was stained with hematoxylin and eosin and then used for immunostaining. Immunohistochemical analyses were performed using an autostainer (BenchMark XT system; Ventana Medical System, Tucson, AZ, USA) according to the manufacturer’s instructions. The following primary antibodies were used: Mouse monoclonal antibodies against α-internexin (2E3; Lab Vision Corp., Fremont, CA, USA), cytokeratin (AE1/AE3 and CAM5.2; DakoCytomation, Glostrup, Denmark and Becton-Dickinson, Franklin Lakes, NJ, USA, respectively), glial fibrillary acid protein (GFAP; 6F2; DakoCytomation), HMB-45 (Novocastra Laboratories, Ltd., Newcastle upon Tyne, UK), Melan-A (A103; Novocastra Laboratories, Ltd.), nestin (10C2; Santa Cruz Biotechnology Inc., Santa Cruz, CA, USA), peripherin (PJM50) and vimentin (VIM3B4; both Novocastra Laboratories, Ltd.); and rabbit polyclonal antibodies against S-100 protein (Nichirei Biosciences Inc., Tokyo, Japan) and mTOR (7C10), 4E-BP1 (53H11) and phosphorylated 4E-BP1 (p4E-BP1; Thr 37/46; 236B4) (all Cell Signaling Technology Inc., Danvers, MA, USA).

Results

Histopathological examination of the resected thigh nodule revealed proliferation of sheet-like or variable-sized nests composed of medium-sized, round to oval neoplastic cells from the entire dermis to the superficial subcutis. The majority of the neoplastic cells exhibited slightly eosinophilic cytoplasm and centrally located enlarged nuclei with conspicuous nucleoli and specific cells exhibited melanin pigment within the cytoplasm. In the lower section of the lesion, the neoplastic cells showing signet-ring cell appearance were identified (Fig. 1A). These cells exhibited eccentrically located enlarged nuclei with or without conspicuous nucleoli and abundant pale cytoplasm (Fig. 1A). Melanin pigment was not notably observed in the cytoplasm of the signet-ring cells. Mitotic figures were occasionally identified in the entire lesion (6/10 high-power fields). In addition, no atypical melanocytes were observed in the overlying epidermis. Immunohistochemically, the tumor cells, including signet-ring cells, were diffusely positive for S-100 protein, vimentin and Melan-A (Fig. 1B), but negative for HMB-45, cytokeratin (AE1/AE3 and CAM5.2), nestin, peripherin, α-internexin and GFAP. Moreover, mTOR, 4E-BP1 and p4E-BP1 were diffusely expressed in the tumor cells (Fig. 1C).

Figure 1

Histopathological and immunohistochemical features of the thigh nodule. (A) Signet-ring cell appearance of the neoplastic cells. The neoplastic cells exhibited eccentrically located enlarged nuclei and abundant pale cytoplasm (hematoxylin and eosin stain; magnification, ×400). (B) Vimentin was expressed in the signet-ring cells (magnification, ×400). (C) mTOR, 4E-BP1 and p4E-BP1 were diffusely expressed (magnification, ×100). mTOR, mammalian target of rapamycin; p4E-BP1, phosphorylated 4E-BP1.

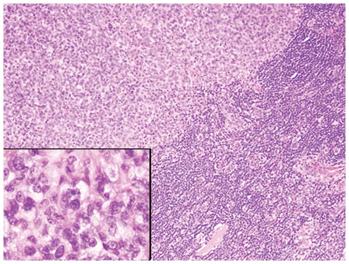
The sentinel lymph node exhibited a metastatic malignant melanoma with signet-ring cell component (Fig. 2). Immunohistochemical features of the metastatic melanoma were identical to those of the skin.

Figure 2

Histopathological features of the sentinel lymph node. Metastatic malignant melanoma was identified. Specific tumor cells showed signet-ring cell appearance as observed in the inset (magnification, ×400) (hematoxylin and eosin stain; magnification, ×100).

According to these histopathological and immunohistochemical features, an ultimate diagnosis of signet-ring cell melanoma with sentinel lymph node metastasis was made.

Discussion

In cutaneous neoplasms, the presence of signet-ring cells have been reported in a variety of neoplasms, including melanocytic nevi, malignant melanoma, squamous and basal cell carcinoma, hidradenoma and malignant lymphoma (5). Ultrastructural examination revealed that this characteristic morphology in signet-ring cell melanoma is often imparted by the intracytoplasmic accumulation of intermediate filaments, particularly vimentin (2). This observation corroborates the immunohistochemical results of the present case report since vimentin was found to be expressed in the cytoplasm of the signet-ring cells, although, ultrastructural examination was not performed. In addition, analyses of the expression profiles of other intermediate filaments in the signet-ring cell melanoma were not performed. The present case report clearly demonstrated that intermediate filaments, including cytokeratin, peripherin, α-internexin, GFAP and nestin, were not expressed in the signet-ring cell melanoma, although, peripherin and nestin are commonly expressed in malignant melanoma (16). These results indicate that intracytoplasmic accumulation of vimentin, but not other types of intermediate filaments, contributes to the development of the characteristic morphology of signet-ring cell melanoma.

Table I summarizes the clinicopathological features of the 20 previously reported cases of signet-ring cell melanoma as well as the present case. This disease commonly affects middle-aged males (average age of 57.8-years and male/female ratio of 14:7), however, young individuals may also be affected (range, 18–85-years-old). Metastatic signet-ring cell melanoma in a patient with an unknown primary tumor has been documented (2) and six cases, including the present case, exhibited no primary sites (Table I). The present case exhibited no in situ component in the overlying epidermis and the patient had no past history of malignant melanoma and tumorous lesions with the exception of the tumor in the thigh, therefore, the cutaneous lesion may not be confirmed as the primary lesion.

Table I

Clinicopathological features of signet-ring cell melanoma.

Table I

Clinicopathological features of signet-ring cell melanoma.

Case no.Age, yearsGenderSitePrimaryS-100proteinHMB-45VimentinAuthor
135MaleRight axillary lymph nodeUnknown+++Sheibani and Battifora
263FemaleInguinal lymph nodeSkin+++Sheibani and Battifora
357FemaleLungNA−++Bonetti et al
455MaleArm (recurrence)Arm+++Nakhleh et al
540MaleThigh (recurrence)Thigh+++Nakhleh et al
680MaleLeft legNA+++Al-Talib et al
727MaleMultiple metastasesUnknown+++Eckert et al
884MaleRight forearmUnknown++NALiVolsi et al
933FemaleAxillary lymph nodeArm+−NALiVolsi et al
1085FemaleSkin and inguinal lymph nodeLeft foot++NALiVolsi et al
1156MaleLeft earNA++NALiVolsi et al
1284MaleInguinal lymph nodeRigh foot+++Tsang et al
1355MaleAbdomenUnknown+++Won et al
1455MalePeritoneal effusionAbdomen+++Niemann et al
1572FemaleLeft armNA+++Breier et al
1618FemaleInguinal lymph nodeNANA++Bastian et al
1761FemaleRight shoulderRight shoulder+−+Rutten et al
1876MaleAnterior chestAnterior chest+++Rutten et al
1969MaleLeft shoulderLeft shoulder+−+Kacerovska et al
2041MaleSupraclavicularUnknown++NARusso et al
Present68MaleLeft thighUnknown+−+Ishida et al

[i] NA, not available.

Metastatic signet-ring cell melanoma may be a diagnostic issue (4) as it has been reported that signet-ring cells are occasionally present only in metastatic sites and the signet-ring cell melanoma component occasionally lacks melanin pigments in the cytoplasm. Immunohistochemical analyses are useful for generating a correct diagnosis. This type of tumor usually shows positive immunoreactivity for melanocytic markers, including S-100 protein, Melan-A and HMB-45. However, it is important to recognize that exceptions to this phenotype exist as S-100 protein-negative (1/20 cases) or HMB-45-negative cases (4/21 cases) have been documented (Table I) (2,4). Therefore, a combination of these markers is useful for establishing a diagnosis.

In addition, the current case report is the first to analyze the expression profiles of mTOR pathway proteins in signet-ring cell melanoma. mTOR is a central protein involved in carcinogenesis, since it phosphorylates 4E-BP1 which leads to cell proliferation, cell cycle progression and angiogenesis. It has been previously reported that the mTOR pathway is activated in malignant melanomas in contrast to benign melanocytic nevi. Therefore, the mTOR inhibitor is hypothesized to represent a promising therapeutic agent for various types of carcinomas. Specific clinical studies with regard to the mTOR inhibitor have been performed in malignant melanoma (17). The present case study demonstrates that mTOR pathway proteins are activated in signet-ring cell melanoma. Therefore, the mTOR inhibitor may be a potential candidate for the treatment of this type of tumor.

References

1 

Banerjee SS and Harris M: Morphological and immunophenotypic variations in malignant melanoma. Histopathology. 36:387–402. 2000. View Article : Google Scholar : PubMed/NCBI

2 

Rütten A, Huschka U, Requena C, Rodríguez-Peralto JL and Requena L: Primary cutaneous signet-ring cell melanoma: a clinico-pathologic and immunohistochemical study of two cases. Am J Dermatopathol. 25:418–422. 2003.PubMed/NCBI

3 

Sheibani K and Battifora H: Signet-ring cell melanoma. A rare morphologic variant of malignant melanoma. Am J Surg Pathol. 12:28–34. 1988. View Article : Google Scholar : PubMed/NCBI

4 

Kacerovska D, Sokol L, Michal M and Kazakov DV: Primary cutaneous signet-ring cell melanoma with pseudoglandular features, spindle cells and oncocytoid changes. Am J Dermatopathol. 31:81–83. 2009. View Article : Google Scholar

5 

Bastian BC, Kutzner H, Yen Ts and LeBoit PE: Signet-ring cell formation in cutaneous neoplasms. J Am Acad Dermatol. 41:606–613. 1999.PubMed/NCBI

6 

Bonetti F, Colombari R, Zamboni G and Chilosi M: Signet ring melanoma, S-100 negative. Am J Surg Pathol. 13:522–523. 1989. View Article : Google Scholar : PubMed/NCBI

7 

Nakhleh RE, Wick MR, Rocamora A, Swanson PE and Dehner LP: Morphologic diversity in malignant melanomas. Am J Clin Pathol. 93:731–740. 1990.PubMed/NCBI

8 

al-Talib RK and Theaker JM: Signet-ring cell melanoma: light microscopic, immunohistochemical and ultrastructural features. Histopathology. 18:572–575. 1991. View Article : Google Scholar : PubMed/NCBI

9 

Eckert F, Baricevic B, Landthaler M and Schmid U: Metastatic signet-ring cell melanoma in a patient with an unknown primary tumor. Histologic, immunohistochemical, and ultrastructural findings. J Am Acad Dermatol. 26:870–875. 1992. View Article : Google Scholar

10 

LiVolsi VA, Brooks JJ, Soslow R, Johnson BL and Elder DE: Signet cell melanocytic lesions. Mod Pathol. 5:515–520. 1992.PubMed/NCBI

11 

Tsang WY, Chan JK and Chow LT: Signet-ring cell melanoma mimicking adenocarcinoma. A case report. Acta Cytol. 37:559–562. 1993.PubMed/NCBI

12 

Won JH, Ahn SK, Lee SH, Lee WS and Kim SC: Signet-ring cell melanoma: poor prognostic factor? Br J Dermatol. 131:135–137. 1994. View Article : Google Scholar : PubMed/NCBI

13 

Niemann TH and Thomas PA: Melanoma with signet-ring cells in a peritoneal effusion. Diagn Cytopathol. 12:241–244. 1995. View Article : Google Scholar : PubMed/NCBI

14 

Breier F, Feldmann R, Fellenz C, Neuhold N and Gschnait F: Primary invasive signet-ring cell melanoma. J Cutan Pathol. 26:533–536. 1999. View Article : Google Scholar : PubMed/NCBI

15 

Russo JJ, Barr KL, Scanlan LZ, Chapman-Fredricks J, Herrera L, Dinges MM and Vincek V: Signet ring cell melanoma, Brenner sign, and elevated vascular endothelial growth factor. J Am Acad Dermatol. 65:444–446. 2011. View Article : Google Scholar : PubMed/NCBI

16 

Brychtova S, Fiuraskova M, Hlobilková A, Brychta T and Hirnak J: Nestin expression in cutaneous melanomas and melanocytic nevi. J Cutan Pathol. 34:370–375. 2007. View Article : Google Scholar : PubMed/NCBI

17 

Dronca RS, Allred JB, Perez DG, et al: Phase II Study of Temozolomide (TMZ) and Everolimus (RAD001) Therapy for Metastatic Melanoma: A North Central Cancer Treatment Group Study, N0675. Am J Clin Oncol. Jan 24–2013.(Epub ahead of print).

Related Articles

  • Abstract
  • View
  • Download
  • Twitter
Copy and paste a formatted citation
Spandidos Publications style
Ishida M, Iwai M, Yoshida K, Kagotani A and Okabe H: Signet‑ring cell melanoma with sentinel lymph node metastasis: A case report with immunohistochemical analysis and review of the clinicopathological features. Oncol Lett 7: 65-68, 2014.
APA
Ishida, M., Iwai, M., Yoshida, K., Kagotani, A., & Okabe, H. (2014). Signet‑ring cell melanoma with sentinel lymph node metastasis: A case report with immunohistochemical analysis and review of the clinicopathological features. Oncology Letters, 7, 65-68. https://doi.org/10.3892/ol.2013.1669
MLA
Ishida, M., Iwai, M., Yoshida, K., Kagotani, A., Okabe, H."Signet‑ring cell melanoma with sentinel lymph node metastasis: A case report with immunohistochemical analysis and review of the clinicopathological features". Oncology Letters 7.1 (2014): 65-68.
Chicago
Ishida, M., Iwai, M., Yoshida, K., Kagotani, A., Okabe, H."Signet‑ring cell melanoma with sentinel lymph node metastasis: A case report with immunohistochemical analysis and review of the clinicopathological features". Oncology Letters 7, no. 1 (2014): 65-68. https://doi.org/10.3892/ol.2013.1669
Copy and paste a formatted citation
x
Spandidos Publications style
Ishida M, Iwai M, Yoshida K, Kagotani A and Okabe H: Signet‑ring cell melanoma with sentinel lymph node metastasis: A case report with immunohistochemical analysis and review of the clinicopathological features. Oncol Lett 7: 65-68, 2014.
APA
Ishida, M., Iwai, M., Yoshida, K., Kagotani, A., & Okabe, H. (2014). Signet‑ring cell melanoma with sentinel lymph node metastasis: A case report with immunohistochemical analysis and review of the clinicopathological features. Oncology Letters, 7, 65-68. https://doi.org/10.3892/ol.2013.1669
MLA
Ishida, M., Iwai, M., Yoshida, K., Kagotani, A., Okabe, H."Signet‑ring cell melanoma with sentinel lymph node metastasis: A case report with immunohistochemical analysis and review of the clinicopathological features". Oncology Letters 7.1 (2014): 65-68.
Chicago
Ishida, M., Iwai, M., Yoshida, K., Kagotani, A., Okabe, H."Signet‑ring cell melanoma with sentinel lymph node metastasis: A case report with immunohistochemical analysis and review of the clinicopathological features". Oncology Letters 7, no. 1 (2014): 65-68. https://doi.org/10.3892/ol.2013.1669
Follow us
  • Twitter
  • LinkedIn
  • Facebook
About
  • Spandidos Publications
  • Careers
  • Cookie Policy
  • Privacy Policy
How can we help?
  • Help
  • Live Chat
  • Contact
  • Email to our Support Team