Spandidos Publications Logo
  • About
    • About Spandidos
    • Aims and Scopes
    • Abstracting and Indexing
    • Editorial Policies
    • Reprints and Permissions
    • Job Opportunities
    • Terms and Conditions
    • Contact
  • Journals
    • All Journals
    • Oncology Letters
      • Oncology Letters
      • Information for Authors
      • Editorial Policies
      • Editorial Board
      • Aims and Scope
      • Abstracting and Indexing
      • Bibliographic Information
      • Archive
    • International Journal of Oncology
      • International Journal of Oncology
      • Information for Authors
      • Editorial Policies
      • Editorial Board
      • Aims and Scope
      • Abstracting and Indexing
      • Bibliographic Information
      • Archive
    • Molecular and Clinical Oncology
      • Molecular and Clinical Oncology
      • Information for Authors
      • Editorial Policies
      • Editorial Board
      • Aims and Scope
      • Abstracting and Indexing
      • Bibliographic Information
      • Archive
    • Experimental and Therapeutic Medicine
      • Experimental and Therapeutic Medicine
      • Information for Authors
      • Editorial Policies
      • Editorial Board
      • Aims and Scope
      • Abstracting and Indexing
      • Bibliographic Information
      • Archive
    • International Journal of Molecular Medicine
      • International Journal of Molecular Medicine
      • Information for Authors
      • Editorial Policies
      • Editorial Board
      • Aims and Scope
      • Abstracting and Indexing
      • Bibliographic Information
      • Archive
    • Biomedical Reports
      • Biomedical Reports
      • Information for Authors
      • Editorial Policies
      • Editorial Board
      • Aims and Scope
      • Abstracting and Indexing
      • Bibliographic Information
      • Archive
    • Oncology Reports
      • Oncology Reports
      • Information for Authors
      • Editorial Policies
      • Editorial Board
      • Aims and Scope
      • Abstracting and Indexing
      • Bibliographic Information
      • Archive
    • Molecular Medicine Reports
      • Molecular Medicine Reports
      • Information for Authors
      • Editorial Policies
      • Editorial Board
      • Aims and Scope
      • Abstracting and Indexing
      • Bibliographic Information
      • Archive
    • World Academy of Sciences Journal
      • World Academy of Sciences Journal
      • Information for Authors
      • Editorial Policies
      • Editorial Board
      • Aims and Scope
      • Abstracting and Indexing
      • Bibliographic Information
      • Archive
    • International Journal of Functional Nutrition
      • International Journal of Functional Nutrition
      • Information for Authors
      • Editorial Policies
      • Editorial Board
      • Aims and Scope
      • Abstracting and Indexing
      • Bibliographic Information
      • Archive
    • International Journal of Epigenetics
      • International Journal of Epigenetics
      • Information for Authors
      • Editorial Policies
      • Editorial Board
      • Aims and Scope
      • Abstracting and Indexing
      • Bibliographic Information
      • Archive
    • Medicine International
      • Medicine International
      • Information for Authors
      • Editorial Policies
      • Editorial Board
      • Aims and Scope
      • Abstracting and Indexing
      • Bibliographic Information
      • Archive
  • Articles
  • Information
    • Information for Authors
    • Information for Reviewers
    • Information for Librarians
    • Information for Advertisers
    • Conferences
  • Language Editing
Spandidos Publications Logo
  • About
    • About Spandidos
    • Aims and Scopes
    • Abstracting and Indexing
    • Editorial Policies
    • Reprints and Permissions
    • Job Opportunities
    • Terms and Conditions
    • Contact
  • Journals
    • All Journals
    • Biomedical Reports
      • Information for Authors
      • Editorial Policies
      • Editorial Board
      • Aims and Scope
      • Abstracting and Indexing
      • Bibliographic Information
      • Archive
    • Experimental and Therapeutic Medicine
      • Information for Authors
      • Editorial Policies
      • Editorial Board
      • Aims and Scope
      • Abstracting and Indexing
      • Bibliographic Information
      • Archive
    • International Journal of Epigenetics
      • Information for Authors
      • Editorial Policies
      • Editorial Board
      • Aims and Scope
      • Abstracting and Indexing
      • Bibliographic Information
      • Archive
    • International Journal of Functional Nutrition
      • Information for Authors
      • Editorial Policies
      • Editorial Board
      • Aims and Scope
      • Abstracting and Indexing
      • Bibliographic Information
      • Archive
    • International Journal of Molecular Medicine
      • Information for Authors
      • Editorial Policies
      • Editorial Board
      • Aims and Scope
      • Abstracting and Indexing
      • Bibliographic Information
      • Archive
    • International Journal of Oncology
      • Information for Authors
      • Editorial Policies
      • Editorial Board
      • Aims and Scope
      • Abstracting and Indexing
      • Bibliographic Information
      • Archive
    • Medicine International
      • Information for Authors
      • Editorial Policies
      • Editorial Board
      • Aims and Scope
      • Abstracting and Indexing
      • Bibliographic Information
      • Archive
    • Molecular and Clinical Oncology
      • Information for Authors
      • Editorial Policies
      • Editorial Board
      • Aims and Scope
      • Abstracting and Indexing
      • Bibliographic Information
      • Archive
    • Molecular Medicine Reports
      • Information for Authors
      • Editorial Policies
      • Editorial Board
      • Aims and Scope
      • Abstracting and Indexing
      • Bibliographic Information
      • Archive
    • Oncology Letters
      • Information for Authors
      • Editorial Policies
      • Editorial Board
      • Aims and Scope
      • Abstracting and Indexing
      • Bibliographic Information
      • Archive
    • Oncology Reports
      • Information for Authors
      • Editorial Policies
      • Editorial Board
      • Aims and Scope
      • Abstracting and Indexing
      • Bibliographic Information
      • Archive
    • World Academy of Sciences Journal
      • Information for Authors
      • Editorial Policies
      • Editorial Board
      • Aims and Scope
      • Abstracting and Indexing
      • Bibliographic Information
      • Archive
  • Articles
  • Information
    • For Authors
    • For Reviewers
    • For Librarians
    • For Advertisers
    • Conferences
  • Language Editing
Login Register Submit
  • This site uses cookies
  • You can change your cookie settings at any time by following the instructions in our Cookie Policy. To find out more, you may read our Privacy Policy.

    I agree
Search articles by DOI, keyword, author or affiliation
Search
Advanced Search
presentation
Oncology Letters
Join Editorial Board Propose a Special Issue
Print ISSN: 1792-1074 Online ISSN: 1792-1082
Journal Cover
2014-March Volume 7 Issue 3

Full Size Image

Sign up for eToc alerts
Recommend to Library

Journals

International Journal of Molecular Medicine

International Journal of Molecular Medicine

International Journal of Molecular Medicine is an international journal devoted to molecular mechanisms of human disease.

International Journal of Oncology

International Journal of Oncology

International Journal of Oncology is an international journal devoted to oncology research and cancer treatment.

Molecular Medicine Reports

Molecular Medicine Reports

Covers molecular medicine topics such as pharmacology, pathology, genetics, neuroscience, infectious diseases, molecular cardiology, and molecular surgery.

Oncology Reports

Oncology Reports

Oncology Reports is an international journal devoted to fundamental and applied research in Oncology.

Experimental and Therapeutic Medicine

Experimental and Therapeutic Medicine

Experimental and Therapeutic Medicine is an international journal devoted to laboratory and clinical medicine.

Oncology Letters

Oncology Letters

Oncology Letters is an international journal devoted to Experimental and Clinical Oncology.

Biomedical Reports

Biomedical Reports

Explores a wide range of biological and medical fields, including pharmacology, genetics, microbiology, neuroscience, and molecular cardiology.

Molecular and Clinical Oncology

Molecular and Clinical Oncology

International journal addressing all aspects of oncology research, from tumorigenesis and oncogenes to chemotherapy and metastasis.

World Academy of Sciences Journal

World Academy of Sciences Journal

Multidisciplinary open-access journal spanning biochemistry, genetics, neuroscience, environmental health, and synthetic biology.

International Journal of Functional Nutrition

International Journal of Functional Nutrition

Open-access journal combining biochemistry, pharmacology, immunology, and genetics to advance health through functional nutrition.

International Journal of Epigenetics

International Journal of Epigenetics

Publishes open-access research on using epigenetics to advance understanding and treatment of human disease.

Medicine International

Medicine International

An International Open Access Journal Devoted to General Medicine.

Journal Cover
2014-March Volume 7 Issue 3

Full Size Image

Sign up for eToc alerts
Recommend to Library

  • Article
  • Citations
    • Cite This Article
    • Download Citation
    • Create Citation Alert
    • Remove Citation Alert
    • Cited By
  • Similar Articles
    • Related Articles (in Spandidos Publications)
    • Similar Articles (Google Scholar)
    • Similar Articles (PubMed)
  • Download PDF
  • Download XML
  • View XML
Article

Vimentin and Notch as biomarkers for breast cancer progression

  • Authors:
    • Gloria M. Calaf
    • Adayabalam S. Balajee
    • Maria T. Montalvo-Villagra
    • Mariana  Leon
    • Daniela Navarrete M.
    • Raúl González Alvarez
    • Debasish  Roy
    • Gopeshwar Narayan
    • Jorge Abarca‑Quinones
  • View Affiliations / Copyright

    Affiliations: Institute for Advanced Research, Tarapacá University, Arica 8097877, Chile, Center for Radiological Research, Columbia University Medical Center, New York, NY 10032, USA, Departament of Health Science, Faculty of Science, Tarapacá University, Arica 8097877, Chile, Department of Pathology, Dr. Gustavo Fricke Hospital of Viña del Mar, Valparaiso 2581907, Chile, Department of Natural Sciences, Hostos College of the City University of New York, Bronx, NY 10451, USA, Department of Human Molecular Genetics, Banaras Hindu University, Varanasi 221005, India, IREC, School of Medicine, IREC, St. Luc Hospital, University of Louvain, Brussels 1200, Belgium
  • Pages: 721-727
    |
    Published online on: January 3, 2014
       https://doi.org/10.3892/ol.2014.1781
  • Expand metrics +
Metrics: Total Views: 0 (Spandidos Publications: | PMC Statistics: )
Metrics: Total PDF Downloads: 0 (Spandidos Publications: | PMC Statistics: )
Cited By (CrossRef): 0 citations Loading Articles...

This article is mentioned in:



Abstract

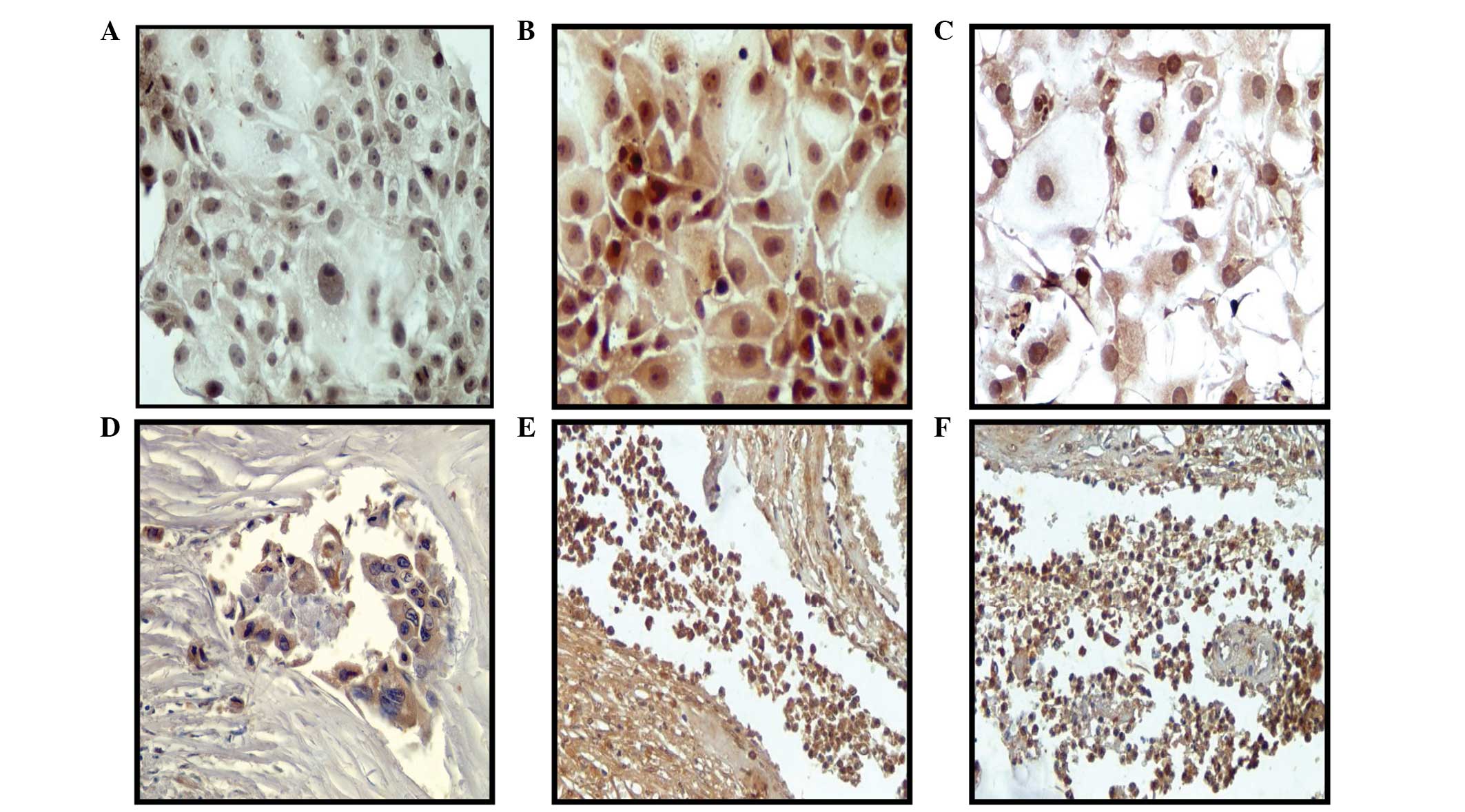
Breast cancer, the most common spontaneous malignancy diagnosed in women, is a classical model of hormone dependency as it is associated with prolonged exposure to female hormones. Different cytoplasmic proteins are important in the transformation of a normal cell to an invasive tumor cell, and these include vimentin and Notch. To investigate the importance of these two genes and proteins in breast carcinogenesis, we used an in vitro breast cancer model system, in which an immortalized human breast epithelial cell line, MCF‑10F, was malignantly transformed by exposure to low doses of high linear energy transfer α particle (150 keV/µm) radiation and subsequent growth in the presence or absence of 17β‑estradiol. This model consisted of human breast epithelial cells in different stages of transformation: i) a parental cell line (MCF‑10F), ii) an Estrogen cell line (MCF‑l0F continuously grown with estradiol at 10‑8), iii) a malignant and non-tumorigenic cell line (Alpha3), iv) a malignant and tumorigenic cell line (Alpha5) and v) a Tumor2 cell line derived from a xenograft of the Alpha5 cell line injected into nude mice. Vimentin and Notch showed greater expression in the Alpha5 and Tumor2 cell lines compared with that in the non‑tumorigenic cell lines, MCF‑10F, Estrogen and Alpha3. In the present study, positive staining for vimentin was found in 21% of cases. Vimentin and Notch protein expression was negative in noninvasive ductal carcinoma biopsies from breast cancer patients. However, positive cell expression was observed in invasive ductal carcinoma biopsies. These biomarkers can be considered important indicators of breast cancer progression and can be added to the diagnostic panel when overall survival is a primary end‑point.
View Figures

Figure 1

Figure 2

Figure 3

View References

1 

Henderson BE, Ross R and Bernstein L: Estrogens as a cause of human cancer: the Richard and Hinda Rosenthal Foundation award lecture. Cancer Res. 48:246–253. 1988.

2 

Feigelson HS, Ross RK, Yu MC, Coetzee GA, Reichardt JK and Henderson BE: Genetic susceptibility to cancer from exogenous and endogenous exposures. J Cell Biochem Suppl. 25:15–22. 1996. View Article : Google Scholar : PubMed/NCBI

3 

Krieger N: Exposure, susceptibility, and breast cancer risk: a hypothesis regarding exogenous carcinogens, breast tissue development, and social gradients, including black\white differences, in breast cancer incidence. Breast Cancer Res Treat. 13:205–223. 1989.PubMed/NCBI

4 

Dickson RB and Lippman ME: Estrogenic regulation of growth and polypeptide growth factor secretion in human breast carcinoma. Endocr Rev. 8:29–43. 1987. View Article : Google Scholar : PubMed/NCBI

5 

Duprey P and Paulin D: What can be learned from intermediate filament gene regulation in the mouse embryo. Intl J Dev Biol. 39:443–457. 1995.

6 

Stewart M: Intermediate filament structure and assembly. Curr Opin Cell Biol. 5:3–11. 1993. View Article : Google Scholar

7 

Gilles C, Polette M, Zahm JM, Tournier JM, Volders L, Foidart JM and Birembaut P: Vimentin contributes to human mammary epithelial cell migration. J Cell Sci. 112:4615–4625. 1999.PubMed/NCBI

8 

Whipple RA, Balzer EM, Cho EH, Matrone MA, Yoon JR and Martin SS: Vimentin filaments support extension of tubulin-based microtentacles in detached breast tumor cells. Cancer Res. 68:5678–5688. 2008. View Article : Google Scholar

9 

Hendrix MJ, Seftor EA, Seftor RE and Trevor KT: Experimental co-expression of vimentin and keratin intermediate filaments in human breast cancer cells results in phenotypic interconversion and increased invasive behavior. Am J Pathol. 150:483–495. 1997.

10 

Swiatek PJ, Lindsell CE, del Amo FF, Weinmaster G and Gridley T: Notch1 is essential for postimplantation development in mice. Genes Dev. 8:707–719. 1994. View Article : Google Scholar : PubMed/NCBI

11 

Weinmaster G, Roberts VJ and Lemke G: Notch2: a second mammalian Notch gene. Development. 116:931–941. 1992.PubMed/NCBI

12 

Kopan R and Weintraub H: Mouse notch: expression in hair follicles correlates with cell fate determination. J Cell Biol. 121:631–641. 1993. View Article : Google Scholar : PubMed/NCBI

13 

Uyttendaele H, Marazzi G, Wu G, Yan Q, Sassoon D and Kitajewski J: Notch4/int-3, a mammary proto-oncogene, is an endothelial cell-specific mammalian Notch gene. Development. 122:2251–2259. 1996.PubMed/NCBI

14 

Girard L, Hanna Z, Beaulieu N, Hoemann CD, Simard C, Kozak CA and Jolicoeur P: Frequent provirus insertional mutagenesis of Notch1 in thymomas of MMTVD/myc transgenic mice suggests a collaboration of c-myc and Notch1 for oncogenesis. Genes Dev. 10:1930–1944. 1996. View Article : Google Scholar

15 

Balint K, Xiao M, Pinnix CC, Soma A, Veres I, Juhasz I, Brown EJ, Capobianco AJ, Herlyn M and Liu ZJ: Activation of Notch1 signaling is required for b-catenin-mediated human primary melanoma progression. J Clin Invest. 115:3166–3176. 2005. View Article : Google Scholar : PubMed/NCBI

16 

Hoek K, Rimm DL, Williams KR, Zhao H, Ariyan S, Lin A, Kluger HM, Berger AJ, Cheng E, Trombetta ES, et al: Expression profiling reveals novel pathways in the transformation of melanocytes to melanomas. Cancer Res. 64:5270–5282. 2004. View Article : Google Scholar : PubMed/NCBI

17 

Liu ZJ, Xiao M, Balint K, Smalley KS, Brafford P, Qiu R, Pinnix CC, Li X and Herlyn M: Notch1 signaling promotes primary melanoma progression by activating mitogen-activated protein kinase/phosphatidylinositol 3-kinase-Akt pathways and up-regulating N-cadherin expression. Cancer Res. 66:4182–4190. 2006. View Article : Google Scholar

18 

Marino S: Medulloblastoma: developmental mechanisms out of control. Trends Mol Med. 11:17–22. 2005. View Article : Google Scholar : PubMed/NCBI

19 

Hallahan AR, Pritchard JI, Hansen S, et al: The SmoA1 mouse model reveals that Notch signaling is critical for the growth and survival of sonic hedgehog-induced medulloblastomas. Cancer Res. 64:7794–7800. 2004. View Article : Google Scholar

20 

Park JT, Li M, Nakayama K, Mao TL, Davidson B, Zhang Z, Kurman RJ, Eberhart CG, Shih IeM and Wang TL: Notch3 gene amplification in ovarian cancer. Cancer Res. 66:6312–6318. 2006. View Article : Google Scholar : PubMed/NCBI

21 

Soule HD, Maloney TM, Wolman SR, Peterson WD Jr, Brenz R, McGrath CM, Russo J, Pauley RJ, Jones RF and Brooks SC: Isolation and characterization of a spontaneously immortalized human breast epithelial cell line, MCF-10. Cancer Res. 50:6075–6086. 1990.PubMed/NCBI

22 

Calaf GM and Hei TK: Establishment of a radiation- and estrogen-induced breast cancer model. Carcinogenesis. 21:769–776. 2000. View Article : Google Scholar : PubMed/NCBI

23 

Calaf G and Hei TK: Oncoprotein expressions in human breast epithelial cells transformed by high-LET radiation. Int J Radiat Biol. 77:31–40. 2001. View Article : Google Scholar : PubMed/NCBI

24 

Calaf G and Russo J: Transformation of human breast epithelial cells by chemical carcinogens. Carcinogenesis. 14:483–492. 1993. View Article : Google Scholar : PubMed/NCBI

25 

Califano A: SPLASH: structural pattern localization analysis by sequential histograms. Bioinformatics. 16:341–357. 2000. View Article : Google Scholar : PubMed/NCBI

26 

Zajchowski DA, Bartholdi MF, Gong Y, Webster L, Liu HL, Munishkin A, Beauheim C, Harvey S, Ethier SP and Johnson PH: Identification of gene expression profiles that predict the aggressive behavior of breast cancer. Cancer Res. 61:5168–5178. 2001.

27 

Sommers CL, Walker-Jones D, Heckford SE, Worland P, Valverius E, Clark R, McCormick F, Stampfer M, Abularach S and Gelmann EP: Vimentin rather than keratin expression in some hormone-independent breast cancer cell lines and in oncogene-transformed mammary epithelial cells. Cancer Res. 49:4258–4263. 1989.

28 

Domagala W, Lasota J, Bartkowiak J, Weber K and Osborn M: Vimentin is preferentially expressed in human breast carcinomas with low estrogen receptor and high Ki-67 growth fraction. Am J Pathol. 136:219–227. 1990.

29 

Domagala W, Wozniak L, Lasota J, Weber K and Osborn M: Vimentin is preferentially expressed in high-grade ductal and medullary, but not in lobular breast carcinomas. Am J Pathol. 137:1059–1064. 1990.PubMed/NCBI

30 

Sørlie T, Perou CM, Tibshirani R, et al: Gene expression patterns of breast carcinomas distinguish tumor subclasses with clinical implications. Proc Natl Acad Sci USA. 98:10869–10874. 2001.PubMed/NCBI

31 

Gilles C, Polette M, Piette J, Delvigne AC, Thompson EW, Foidart JM and Birembaut P: Vimentin expression in cervical carcinomas: association with invasive and migratory potential. J Pathol. 180:175–180. 1996. View Article : Google Scholar : PubMed/NCBI

32 

Heatley MK, Ewings P, Odling Smee W, Maxwell P and Toner PG: Vimentin expression does not assist in predicting survival in ductal carcinoma of the breast. Pathology. 34:230–232. 2002. View Article : Google Scholar : PubMed/NCBI

33 

Kumano K, Chiba S, Kunisato A, et al: Notch1 but not Notch2 is essential for generating hematopoietic stem cells from endothelial cells. Immunity. 18:699–711. 2003. View Article : Google Scholar

34 

Duncan AW, Rattis FM, DiMascio LN, et al: Integration of Notch and Wnt signaling in hematopoietic stem cell maintenance. Nat Immunol. 6:314–322. 2005. View Article : Google Scholar : PubMed/NCBI

35 

Guentchev M and McKay RD: Notch controls proliferation and differentiation of stem cells in a dose-dependent manner. Eur J Neurosci. 23:2289–2296. 2006. View Article : Google Scholar : PubMed/NCBI

36 

Stylianou S, Clarke RB and Brennan K: Aberrant activation of notch signaling in human breast cancer. Cancer Res. 66:1517–1525. 2006. View Article : Google Scholar : PubMed/NCBI

37 

Frasor J, Danes JM, Komm B, Chang KC, Lyttle CR and Katzenellenbogen BS: Profiling of estrogen up- and down-regulated gene expression in human breast cancer cells: insights into gene networks and pathways underlying estrogenic control of proliferation and cell phenotype. Endocrinology. 144:4562–4574. 2003. View Article : Google Scholar : PubMed/NCBI

Related Articles

  • Abstract
  • View
  • Download
  • Twitter
Copy and paste a formatted citation
Spandidos Publications style
Calaf GM, Balajee AS, Montalvo-Villagra MT, Leon M, Navarrete M. D, González Alvarez R, Roy D, Narayan G and Abarca‑Quinones J: Vimentin and Notch as biomarkers for breast cancer progression. Oncol Lett 7: 721-727, 2014.
APA
Calaf, G.M., Balajee, A.S., Montalvo-Villagra, M.T., Leon, M., Navarrete M., D., González Alvarez, R. ... Abarca‑Quinones, J. (2014). Vimentin and Notch as biomarkers for breast cancer progression. Oncology Letters, 7, 721-727. https://doi.org/10.3892/ol.2014.1781
MLA
Calaf, G. M., Balajee, A. S., Montalvo-Villagra, M. T., Leon, M., Navarrete M., D., González Alvarez, R., Roy, D., Narayan, G., Abarca‑Quinones, J."Vimentin and Notch as biomarkers for breast cancer progression". Oncology Letters 7.3 (2014): 721-727.
Chicago
Calaf, G. M., Balajee, A. S., Montalvo-Villagra, M. T., Leon, M., Navarrete M., D., González Alvarez, R., Roy, D., Narayan, G., Abarca‑Quinones, J."Vimentin and Notch as biomarkers for breast cancer progression". Oncology Letters 7, no. 3 (2014): 721-727. https://doi.org/10.3892/ol.2014.1781
Copy and paste a formatted citation
x
Spandidos Publications style
Calaf GM, Balajee AS, Montalvo-Villagra MT, Leon M, Navarrete M. D, González Alvarez R, Roy D, Narayan G and Abarca‑Quinones J: Vimentin and Notch as biomarkers for breast cancer progression. Oncol Lett 7: 721-727, 2014.
APA
Calaf, G.M., Balajee, A.S., Montalvo-Villagra, M.T., Leon, M., Navarrete M., D., González Alvarez, R. ... Abarca‑Quinones, J. (2014). Vimentin and Notch as biomarkers for breast cancer progression. Oncology Letters, 7, 721-727. https://doi.org/10.3892/ol.2014.1781
MLA
Calaf, G. M., Balajee, A. S., Montalvo-Villagra, M. T., Leon, M., Navarrete M., D., González Alvarez, R., Roy, D., Narayan, G., Abarca‑Quinones, J."Vimentin and Notch as biomarkers for breast cancer progression". Oncology Letters 7.3 (2014): 721-727.
Chicago
Calaf, G. M., Balajee, A. S., Montalvo-Villagra, M. T., Leon, M., Navarrete M., D., González Alvarez, R., Roy, D., Narayan, G., Abarca‑Quinones, J."Vimentin and Notch as biomarkers for breast cancer progression". Oncology Letters 7, no. 3 (2014): 721-727. https://doi.org/10.3892/ol.2014.1781
Follow us
  • Twitter
  • LinkedIn
  • Facebook
About
  • Spandidos Publications
  • Careers
  • Cookie Policy
  • Privacy Policy
How can we help?
  • Help
  • Live Chat
  • Contact
  • Email to our Support Team