Spandidos Publications Logo
  • About
    • About Spandidos
    • Aims and Scopes
    • Abstracting and Indexing
    • Editorial Policies
    • Reprints and Permissions
    • Job Opportunities
    • Terms and Conditions
    • Contact
  • Journals
    • All Journals
    • Oncology Letters
      • Oncology Letters
      • Information for Authors
      • Editorial Policies
      • Editorial Board
      • Aims and Scope
      • Abstracting and Indexing
      • Bibliographic Information
      • Archive
    • International Journal of Oncology
      • International Journal of Oncology
      • Information for Authors
      • Editorial Policies
      • Editorial Board
      • Aims and Scope
      • Abstracting and Indexing
      • Bibliographic Information
      • Archive
    • Molecular and Clinical Oncology
      • Molecular and Clinical Oncology
      • Information for Authors
      • Editorial Policies
      • Editorial Board
      • Aims and Scope
      • Abstracting and Indexing
      • Bibliographic Information
      • Archive
    • Experimental and Therapeutic Medicine
      • Experimental and Therapeutic Medicine
      • Information for Authors
      • Editorial Policies
      • Editorial Board
      • Aims and Scope
      • Abstracting and Indexing
      • Bibliographic Information
      • Archive
    • International Journal of Molecular Medicine
      • International Journal of Molecular Medicine
      • Information for Authors
      • Editorial Policies
      • Editorial Board
      • Aims and Scope
      • Abstracting and Indexing
      • Bibliographic Information
      • Archive
    • Biomedical Reports
      • Biomedical Reports
      • Information for Authors
      • Editorial Policies
      • Editorial Board
      • Aims and Scope
      • Abstracting and Indexing
      • Bibliographic Information
      • Archive
    • Oncology Reports
      • Oncology Reports
      • Information for Authors
      • Editorial Policies
      • Editorial Board
      • Aims and Scope
      • Abstracting and Indexing
      • Bibliographic Information
      • Archive
    • Molecular Medicine Reports
      • Molecular Medicine Reports
      • Information for Authors
      • Editorial Policies
      • Editorial Board
      • Aims and Scope
      • Abstracting and Indexing
      • Bibliographic Information
      • Archive
    • World Academy of Sciences Journal
      • World Academy of Sciences Journal
      • Information for Authors
      • Editorial Policies
      • Editorial Board
      • Aims and Scope
      • Abstracting and Indexing
      • Bibliographic Information
      • Archive
    • International Journal of Functional Nutrition
      • International Journal of Functional Nutrition
      • Information for Authors
      • Editorial Policies
      • Editorial Board
      • Aims and Scope
      • Abstracting and Indexing
      • Bibliographic Information
      • Archive
    • International Journal of Epigenetics
      • International Journal of Epigenetics
      • Information for Authors
      • Editorial Policies
      • Editorial Board
      • Aims and Scope
      • Abstracting and Indexing
      • Bibliographic Information
      • Archive
    • Medicine International
      • Medicine International
      • Information for Authors
      • Editorial Policies
      • Editorial Board
      • Aims and Scope
      • Abstracting and Indexing
      • Bibliographic Information
      • Archive
  • Articles
  • Information
    • Information for Authors
    • Information for Reviewers
    • Information for Librarians
    • Information for Advertisers
    • Conferences
  • Language Editing
Spandidos Publications Logo
  • About
    • About Spandidos
    • Aims and Scopes
    • Abstracting and Indexing
    • Editorial Policies
    • Reprints and Permissions
    • Job Opportunities
    • Terms and Conditions
    • Contact
  • Journals
    • All Journals
    • Biomedical Reports
      • Information for Authors
      • Editorial Policies
      • Editorial Board
      • Aims and Scope
      • Abstracting and Indexing
      • Bibliographic Information
      • Archive
    • Experimental and Therapeutic Medicine
      • Information for Authors
      • Editorial Policies
      • Editorial Board
      • Aims and Scope
      • Abstracting and Indexing
      • Bibliographic Information
      • Archive
    • International Journal of Epigenetics
      • Information for Authors
      • Editorial Policies
      • Editorial Board
      • Aims and Scope
      • Abstracting and Indexing
      • Bibliographic Information
      • Archive
    • International Journal of Functional Nutrition
      • Information for Authors
      • Editorial Policies
      • Editorial Board
      • Aims and Scope
      • Abstracting and Indexing
      • Bibliographic Information
      • Archive
    • International Journal of Molecular Medicine
      • Information for Authors
      • Editorial Policies
      • Editorial Board
      • Aims and Scope
      • Abstracting and Indexing
      • Bibliographic Information
      • Archive
    • International Journal of Oncology
      • Information for Authors
      • Editorial Policies
      • Editorial Board
      • Aims and Scope
      • Abstracting and Indexing
      • Bibliographic Information
      • Archive
    • Medicine International
      • Information for Authors
      • Editorial Policies
      • Editorial Board
      • Aims and Scope
      • Abstracting and Indexing
      • Bibliographic Information
      • Archive
    • Molecular and Clinical Oncology
      • Information for Authors
      • Editorial Policies
      • Editorial Board
      • Aims and Scope
      • Abstracting and Indexing
      • Bibliographic Information
      • Archive
    • Molecular Medicine Reports
      • Information for Authors
      • Editorial Policies
      • Editorial Board
      • Aims and Scope
      • Abstracting and Indexing
      • Bibliographic Information
      • Archive
    • Oncology Letters
      • Information for Authors
      • Editorial Policies
      • Editorial Board
      • Aims and Scope
      • Abstracting and Indexing
      • Bibliographic Information
      • Archive
    • Oncology Reports
      • Information for Authors
      • Editorial Policies
      • Editorial Board
      • Aims and Scope
      • Abstracting and Indexing
      • Bibliographic Information
      • Archive
    • World Academy of Sciences Journal
      • Information for Authors
      • Editorial Policies
      • Editorial Board
      • Aims and Scope
      • Abstracting and Indexing
      • Bibliographic Information
      • Archive
  • Articles
  • Information
    • For Authors
    • For Reviewers
    • For Librarians
    • For Advertisers
    • Conferences
  • Language Editing
Login Register Submit
  • This site uses cookies
  • You can change your cookie settings at any time by following the instructions in our Cookie Policy. To find out more, you may read our Privacy Policy.

    I agree
Search articles by DOI, keyword, author or affiliation
Search
Advanced Search
presentation
Oncology Letters
Join Editorial Board Propose a Special Issue
Print ISSN: 1792-1074 Online ISSN: 1792-1082
Journal Cover
June-2014 Volume 7 Issue 6

Full Size Image

Sign up for eToc alerts
Recommend to Library

Journals

International Journal of Molecular Medicine

International Journal of Molecular Medicine

International Journal of Molecular Medicine is an international journal devoted to molecular mechanisms of human disease.

International Journal of Oncology

International Journal of Oncology

International Journal of Oncology is an international journal devoted to oncology research and cancer treatment.

Molecular Medicine Reports

Molecular Medicine Reports

Covers molecular medicine topics such as pharmacology, pathology, genetics, neuroscience, infectious diseases, molecular cardiology, and molecular surgery.

Oncology Reports

Oncology Reports

Oncology Reports is an international journal devoted to fundamental and applied research in Oncology.

Experimental and Therapeutic Medicine

Experimental and Therapeutic Medicine

Experimental and Therapeutic Medicine is an international journal devoted to laboratory and clinical medicine.

Oncology Letters

Oncology Letters

Oncology Letters is an international journal devoted to Experimental and Clinical Oncology.

Biomedical Reports

Biomedical Reports

Explores a wide range of biological and medical fields, including pharmacology, genetics, microbiology, neuroscience, and molecular cardiology.

Molecular and Clinical Oncology

Molecular and Clinical Oncology

International journal addressing all aspects of oncology research, from tumorigenesis and oncogenes to chemotherapy and metastasis.

World Academy of Sciences Journal

World Academy of Sciences Journal

Multidisciplinary open-access journal spanning biochemistry, genetics, neuroscience, environmental health, and synthetic biology.

International Journal of Functional Nutrition

International Journal of Functional Nutrition

Open-access journal combining biochemistry, pharmacology, immunology, and genetics to advance health through functional nutrition.

International Journal of Epigenetics

International Journal of Epigenetics

Publishes open-access research on using epigenetics to advance understanding and treatment of human disease.

Medicine International

Medicine International

An International Open Access Journal Devoted to General Medicine.

Journal Cover
June-2014 Volume 7 Issue 6

Full Size Image

Sign up for eToc alerts
Recommend to Library

  • Article
  • Citations
    • Cite This Article
    • Download Citation
    • Create Citation Alert
    • Remove Citation Alert
    • Cited By
  • Similar Articles
    • Related Articles (in Spandidos Publications)
    • Similar Articles (Google Scholar)
    • Similar Articles (PubMed)
  • Download PDF
  • Download XML
  • View XML
Case Report

Lymphomatoid granulomatosis involving the central nervous system: A case report and review of the literature

  • Authors:
    • Hongli Liu
    • Jing Chen
    • Dandan Yu
    • Jianli Hu
  • View Affiliations / Copyright

    Affiliations: Cancer Center, Union Hospital, Tongji Medical College, Huazhong University of Science and Technology, Wuhan 430022, P.R. China
  • Pages: 1843-1846
    |
    Published online on: March 28, 2014
       https://doi.org/10.3892/ol.2014.2002
  • Expand metrics +
Metrics: Total Views: 0 (Spandidos Publications: | PMC Statistics: )
Metrics: Total PDF Downloads: 0 (Spandidos Publications: | PMC Statistics: )
Cited By (CrossRef): 0 citations Loading Articles...

This article is mentioned in:



Abstract

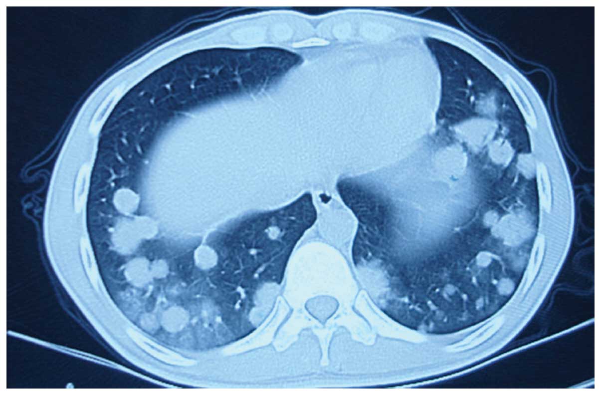
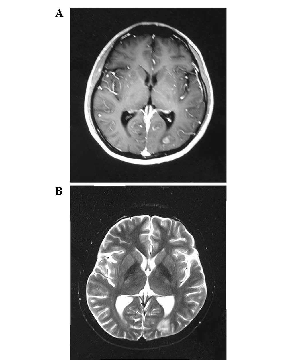
Lymphomatoid granulomatosis (LYG) is a rare tumor with unknown etiology. Specific etiological factors for LYG are also unknown, although previous data indicates that LYG is an Epstein‑Barr virus‑associated B‑cell proliferation associated with an exuberant T‑cell reaction. According to the 2008 WHO classification, LYG is characterized by B‑cell proliferation of B‑lymphoma cells. Generally, treatment options for LYG are similar to those for diffuse large B‑cell lymphoma. Unfortunately, LYG is a chemotherapy‑resistant disease in certain patients and has a poor prognosis. The current study presents the case of a 19‑year‑old male patient with pulmonary LYG. The patient exhibited progressive disease following one cycle of chemotherapy with cyclophosphamide, adriamycin, vincristine and prednisone, and nodular lesions in the brain were diagnosed. Radiotherapy was delivered to the whole brain, however, this treatment did not prevent progression of the disease and the patient succumbed three months after initial presentation. An overview of the literature with regard to the etiology, clinical features, diagnosis and treatment options for LYG is also presented in the current case study.
View Figures

Figure 1

Figure 2

Figure 3

Figure 4

View References

1 

de Boysson H and Geffray L: Lymphomatoid granulomatosis. Rev Med Interne. 34:349–357. 2013.(In French).

2 

Vardiman JW: The World Health Organization (WHO) classification of tumors of the hematopoietic and lymphoid tissues: An overview with emphasis on the myeloid neoplasms. Chem Biol Interact. 184:16–20. 2010. View Article : Google Scholar

3 

Dister F and Ghaye B: Lymphomatoid granulomatosis. JBR-BTR. 95:140–141. 2012.PubMed/NCBI

4 

Liebow AA, Carrington CR and Friedman PJ: Lymphomatoid granulomatosis. Hum Pathol. 3:457–558. 1972. View Article : Google Scholar : PubMed/NCBI

5 

Mazzie JP, Price AP, Khullar P, et al: Lymphomatoid granulomatosis in a pediatric patient. Clin Imaging. 28:209–213. 2004. View Article : Google Scholar

6 

Lundell RB, Weenig RH and Gibson LE: Lymphomatoid granulomatosis. Cancer Treat Res. 142:265–272. 2008.PubMed/NCBI

7 

Katzenstein AL, Carrington CB and Liebow AA: Lymphomatoid granulomatosis: a clinicopathologic study of 152 cases. Cancer. 43:360–373. 1979. View Article : Google Scholar : PubMed/NCBI

8 

Fauci AS, Haynes BF, Costa J, Katz P and Wolff SM: Lymphomatoid granulomatosis. Prospective clinical and therapeutic experience over 10 years. N Engl J Med. 306:68–74. 1982.PubMed/NCBI

9 

Koss MN, Hochholzer L, Langloss JM, Wehunt WD, Lazarus AA and Nichols PW: Lymphomatoid granulomatosis: a clinicopathologic study of 42 patients. Pathology. 18:283–288. 1986. View Article : Google Scholar : PubMed/NCBI

10 

Katzenstein AL and Peiper SC: Detection of Epstein-Barr virus genomes in lymphomatoid granulomatosis: analysis of 29 cases by the polymerase chain reaction technique. Mod Pathol. 3:435–441. 1990.PubMed/NCBI

11 

Wechsler RJ, Steiner RM, Israel HL and Patchefsky AS: Chest radiograph in lymphomatoid granulomatosis: comparison with Wegener granulomatosis. AJR Am J Roentgenol. 142:79–83. 1984. View Article : Google Scholar : PubMed/NCBI

12 

Lee JS, Tuder R and Lynch DA: Lymphomatoid granulomatosis: radiologic features and pathologic correlations. AJR Am J Roentgenol. 175:1335–1339. 2000. View Article : Google Scholar : PubMed/NCBI

13 

Tateishi U, Terae S, Ogata A, et al: MR imaging of the brain in lymphomatoid granulomatosis. AJNR Am J Neuroradiol. 22:1283–1290. 2001.PubMed/NCBI

14 

Patsalides AD, Atac G, Hedge U, et al: Lymphomatoid granulomatosis: abnormalities of the brain at MR imaging. Radiology. 237:265–273. 2005. View Article : Google Scholar : PubMed/NCBI

15 

Jaffe ES and Wilson WH: Lymphomatoid granulomatosis: pathogenesis, pathology and clinical implications. Cancer Surv. 30:233–248. 1997.PubMed/NCBI

16 

Cadranel J, Wislez M and Antoine M: Primary pulmonary lymphoma. Eur Respir J. 20:750–762. 2002. View Article : Google Scholar

17 

Katherine Martin L, Porcu P, Baiocchi RA, Erter JW and Chaudhury AR: Primary central nervous system lymphomatoid granulomatosis in a patient receiving azathioprine therapy. Clin Adv Hematol Oncol. 7:65–68. 2009.PubMed/NCBI

18 

Wilson WH, Kingma DW, Raffeld M, Wittes RE and Jaffe ES: Association of lymphomatoid granulomatosis with Epstein-Barr viral infection of B lymphocytes and response to interferon-alpha 2b. Blood. 87:4531–4537. 1996.PubMed/NCBI

19 

Pisani RJ and DeRemee RA: Clinical implications of the histopathologic diagnosis of pulmonary lymphomatoid granulomatosis. Mayo Clin Proc. 65:151–163. 1990. View Article : Google Scholar : PubMed/NCBI

20 

Sordillo PP, Epremian B, Koziner B, Lacher M and Lieberman P: Lymphomatoid granulomatosis: an analysis of clinical and immunologic characteristics. Cancer. 49:2070–2076. 1982. View Article : Google Scholar : PubMed/NCBI

21 

Petrella TM, Walker IR, Jones GW and Leber B: Radiotherapy to control CNS lymphomatoid granulomatosis: a case report and review of the literature. Am J Hematol. 62:239–241. 1999. View Article : Google Scholar : PubMed/NCBI

22 

Rao R, Vugman G, Leslie WT, Loew J and Venugopal P: Lymphomatoid granulomatosis treated with rituximab and chemotherapy. Clin Adv Hematol Oncol. 1:658–660. 2003.PubMed/NCBI

23 

Ishiura H, Morikawa M, Hamada M, et al: Lymphomatoid granulomatosis involving central nervous system successfully treated with rituximab alone. Arch Neurol. 65:662–665. 2008. View Article : Google Scholar

24 

Richter C, Schnabel A, Müller KM, Reuter M, Schuster P and Gross WL: Lymphomatoid granulomatosis - remission induction with interferon-alpha 2b. Dtsch Med Wochenschr. 122:1106–1110. 1997.(In German).

25 

Lemieux J, Bernier V, Martel N and Delage R: Autologous hematopoietic stem cell transplantation for refractory lymphomatoid granulomatosis. Hematology. 7:355–358. 2002. View Article : Google Scholar : PubMed/NCBI

26 

Johnston A, Coyle L and Nevell D: Prolonged remission of refractory lymphomatoid granulomatosis after autologous hemopoietic stem cell transplantation with post-transplantation maintenance interferon. Leuk Lymphoma. 47:323–328. 2006. View Article : Google Scholar

27 

Raez LE, Temple JD and Saldana M: Successful treatment of lymphomatoid granulomatosis using cyclosporin-A after failure of intensive chemotherapy. Am J Hematol. 53:192–195. 1996. View Article : Google Scholar : PubMed/NCBI

Related Articles

  • Abstract
  • View
  • Download
  • Twitter
Copy and paste a formatted citation
Spandidos Publications style
Liu H, Chen J, Yu D and Hu J: Lymphomatoid granulomatosis involving the central nervous system: A case report and review of the literature. Oncol Lett 7: 1843-1846, 2014.
APA
Liu, H., Chen, J., Yu, D., & Hu, J. (2014). Lymphomatoid granulomatosis involving the central nervous system: A case report and review of the literature. Oncology Letters, 7, 1843-1846. https://doi.org/10.3892/ol.2014.2002
MLA
Liu, H., Chen, J., Yu, D., Hu, J."Lymphomatoid granulomatosis involving the central nervous system: A case report and review of the literature". Oncology Letters 7.6 (2014): 1843-1846.
Chicago
Liu, H., Chen, J., Yu, D., Hu, J."Lymphomatoid granulomatosis involving the central nervous system: A case report and review of the literature". Oncology Letters 7, no. 6 (2014): 1843-1846. https://doi.org/10.3892/ol.2014.2002
Copy and paste a formatted citation
x
Spandidos Publications style
Liu H, Chen J, Yu D and Hu J: Lymphomatoid granulomatosis involving the central nervous system: A case report and review of the literature. Oncol Lett 7: 1843-1846, 2014.
APA
Liu, H., Chen, J., Yu, D., & Hu, J. (2014). Lymphomatoid granulomatosis involving the central nervous system: A case report and review of the literature. Oncology Letters, 7, 1843-1846. https://doi.org/10.3892/ol.2014.2002
MLA
Liu, H., Chen, J., Yu, D., Hu, J."Lymphomatoid granulomatosis involving the central nervous system: A case report and review of the literature". Oncology Letters 7.6 (2014): 1843-1846.
Chicago
Liu, H., Chen, J., Yu, D., Hu, J."Lymphomatoid granulomatosis involving the central nervous system: A case report and review of the literature". Oncology Letters 7, no. 6 (2014): 1843-1846. https://doi.org/10.3892/ol.2014.2002
Follow us
  • Twitter
  • LinkedIn
  • Facebook
About
  • Spandidos Publications
  • Careers
  • Cookie Policy
  • Privacy Policy
How can we help?
  • Help
  • Live Chat
  • Contact
  • Email to our Support Team