Spandidos Publications Logo
  • About
    • About Spandidos
    • Aims and Scopes
    • Abstracting and Indexing
    • Editorial Policies
    • Reprints and Permissions
    • Job Opportunities
    • Terms and Conditions
    • Contact
  • Journals
    • All Journals
    • Oncology Letters
      • Oncology Letters
      • Information for Authors
      • Editorial Policies
      • Editorial Board
      • Aims and Scope
      • Abstracting and Indexing
      • Bibliographic Information
      • Archive
    • International Journal of Oncology
      • International Journal of Oncology
      • Information for Authors
      • Editorial Policies
      • Editorial Board
      • Aims and Scope
      • Abstracting and Indexing
      • Bibliographic Information
      • Archive
    • Molecular and Clinical Oncology
      • Molecular and Clinical Oncology
      • Information for Authors
      • Editorial Policies
      • Editorial Board
      • Aims and Scope
      • Abstracting and Indexing
      • Bibliographic Information
      • Archive
    • Experimental and Therapeutic Medicine
      • Experimental and Therapeutic Medicine
      • Information for Authors
      • Editorial Policies
      • Editorial Board
      • Aims and Scope
      • Abstracting and Indexing
      • Bibliographic Information
      • Archive
    • International Journal of Molecular Medicine
      • International Journal of Molecular Medicine
      • Information for Authors
      • Editorial Policies
      • Editorial Board
      • Aims and Scope
      • Abstracting and Indexing
      • Bibliographic Information
      • Archive
    • Biomedical Reports
      • Biomedical Reports
      • Information for Authors
      • Editorial Policies
      • Editorial Board
      • Aims and Scope
      • Abstracting and Indexing
      • Bibliographic Information
      • Archive
    • Oncology Reports
      • Oncology Reports
      • Information for Authors
      • Editorial Policies
      • Editorial Board
      • Aims and Scope
      • Abstracting and Indexing
      • Bibliographic Information
      • Archive
    • Molecular Medicine Reports
      • Molecular Medicine Reports
      • Information for Authors
      • Editorial Policies
      • Editorial Board
      • Aims and Scope
      • Abstracting and Indexing
      • Bibliographic Information
      • Archive
    • World Academy of Sciences Journal
      • World Academy of Sciences Journal
      • Information for Authors
      • Editorial Policies
      • Editorial Board
      • Aims and Scope
      • Abstracting and Indexing
      • Bibliographic Information
      • Archive
    • International Journal of Functional Nutrition
      • International Journal of Functional Nutrition
      • Information for Authors
      • Editorial Policies
      • Editorial Board
      • Aims and Scope
      • Abstracting and Indexing
      • Bibliographic Information
      • Archive
    • International Journal of Epigenetics
      • International Journal of Epigenetics
      • Information for Authors
      • Editorial Policies
      • Editorial Board
      • Aims and Scope
      • Abstracting and Indexing
      • Bibliographic Information
      • Archive
    • Medicine International
      • Medicine International
      • Information for Authors
      • Editorial Policies
      • Editorial Board
      • Aims and Scope
      • Abstracting and Indexing
      • Bibliographic Information
      • Archive
  • Articles
  • Information
    • Information for Authors
    • Information for Reviewers
    • Information for Librarians
    • Information for Advertisers
    • Conferences
  • Language Editing
Spandidos Publications Logo
  • About
    • About Spandidos
    • Aims and Scopes
    • Abstracting and Indexing
    • Editorial Policies
    • Reprints and Permissions
    • Job Opportunities
    • Terms and Conditions
    • Contact
  • Journals
    • All Journals
    • Biomedical Reports
      • Information for Authors
      • Editorial Policies
      • Editorial Board
      • Aims and Scope
      • Abstracting and Indexing
      • Bibliographic Information
      • Archive
    • Experimental and Therapeutic Medicine
      • Information for Authors
      • Editorial Policies
      • Editorial Board
      • Aims and Scope
      • Abstracting and Indexing
      • Bibliographic Information
      • Archive
    • International Journal of Epigenetics
      • Information for Authors
      • Editorial Policies
      • Editorial Board
      • Aims and Scope
      • Abstracting and Indexing
      • Bibliographic Information
      • Archive
    • International Journal of Functional Nutrition
      • Information for Authors
      • Editorial Policies
      • Editorial Board
      • Aims and Scope
      • Abstracting and Indexing
      • Bibliographic Information
      • Archive
    • International Journal of Molecular Medicine
      • Information for Authors
      • Editorial Policies
      • Editorial Board
      • Aims and Scope
      • Abstracting and Indexing
      • Bibliographic Information
      • Archive
    • International Journal of Oncology
      • Information for Authors
      • Editorial Policies
      • Editorial Board
      • Aims and Scope
      • Abstracting and Indexing
      • Bibliographic Information
      • Archive
    • Medicine International
      • Information for Authors
      • Editorial Policies
      • Editorial Board
      • Aims and Scope
      • Abstracting and Indexing
      • Bibliographic Information
      • Archive
    • Molecular and Clinical Oncology
      • Information for Authors
      • Editorial Policies
      • Editorial Board
      • Aims and Scope
      • Abstracting and Indexing
      • Bibliographic Information
      • Archive
    • Molecular Medicine Reports
      • Information for Authors
      • Editorial Policies
      • Editorial Board
      • Aims and Scope
      • Abstracting and Indexing
      • Bibliographic Information
      • Archive
    • Oncology Letters
      • Information for Authors
      • Editorial Policies
      • Editorial Board
      • Aims and Scope
      • Abstracting and Indexing
      • Bibliographic Information
      • Archive
    • Oncology Reports
      • Information for Authors
      • Editorial Policies
      • Editorial Board
      • Aims and Scope
      • Abstracting and Indexing
      • Bibliographic Information
      • Archive
    • World Academy of Sciences Journal
      • Information for Authors
      • Editorial Policies
      • Editorial Board
      • Aims and Scope
      • Abstracting and Indexing
      • Bibliographic Information
      • Archive
  • Articles
  • Information
    • For Authors
    • For Reviewers
    • For Librarians
    • For Advertisers
    • Conferences
  • Language Editing
Login Register Submit
  • This site uses cookies
  • You can change your cookie settings at any time by following the instructions in our Cookie Policy. To find out more, you may read our Privacy Policy.

    I agree
Search articles by DOI, keyword, author or affiliation
Search
Advanced Search
presentation
Oncology Letters
Join Editorial Board Propose a Special Issue
Print ISSN: 1792-1074 Online ISSN: 1792-1082
Journal Cover
July-2014 Volume 8 Issue 1

Full Size Image

Sign up for eToc alerts
Recommend to Library

Journals

International Journal of Molecular Medicine

International Journal of Molecular Medicine

International Journal of Molecular Medicine is an international journal devoted to molecular mechanisms of human disease.

International Journal of Oncology

International Journal of Oncology

International Journal of Oncology is an international journal devoted to oncology research and cancer treatment.

Molecular Medicine Reports

Molecular Medicine Reports

Covers molecular medicine topics such as pharmacology, pathology, genetics, neuroscience, infectious diseases, molecular cardiology, and molecular surgery.

Oncology Reports

Oncology Reports

Oncology Reports is an international journal devoted to fundamental and applied research in Oncology.

Experimental and Therapeutic Medicine

Experimental and Therapeutic Medicine

Experimental and Therapeutic Medicine is an international journal devoted to laboratory and clinical medicine.

Oncology Letters

Oncology Letters

Oncology Letters is an international journal devoted to Experimental and Clinical Oncology.

Biomedical Reports

Biomedical Reports

Explores a wide range of biological and medical fields, including pharmacology, genetics, microbiology, neuroscience, and molecular cardiology.

Molecular and Clinical Oncology

Molecular and Clinical Oncology

International journal addressing all aspects of oncology research, from tumorigenesis and oncogenes to chemotherapy and metastasis.

World Academy of Sciences Journal

World Academy of Sciences Journal

Multidisciplinary open-access journal spanning biochemistry, genetics, neuroscience, environmental health, and synthetic biology.

International Journal of Functional Nutrition

International Journal of Functional Nutrition

Open-access journal combining biochemistry, pharmacology, immunology, and genetics to advance health through functional nutrition.

International Journal of Epigenetics

International Journal of Epigenetics

Publishes open-access research on using epigenetics to advance understanding and treatment of human disease.

Medicine International

Medicine International

An International Open Access Journal Devoted to General Medicine.

Journal Cover
July-2014 Volume 8 Issue 1

Full Size Image

Sign up for eToc alerts
Recommend to Library

  • Article
  • Citations
    • Cite This Article
    • Download Citation
    • Create Citation Alert
    • Remove Citation Alert
    • Cited By
  • Similar Articles
    • Related Articles (in Spandidos Publications)
    • Similar Articles (Google Scholar)
    • Similar Articles (PubMed)
  • Download PDF
  • Download XML
  • View XML
Case Report

Multiple endocrine neoplasia type 1 associated with breast cancer: A case report and review of the literature

  • Authors:
    • Young Ju Jeong
    • Hoon Kyu Oh
    • Jin Gu Bong
  • View Affiliations / Copyright

    Affiliations: Department of Surgery, College of Medicine, Catholic University of Daegu, Nam‑gu, Daegu 705‑718, Republic of Korea, Department of Pathology, College of Medicine, Catholic University of Daegu, Nam‑gu, Daegu 705‑718, Republic of Korea
  • Pages: 230-234
    |
    Published online on: May 13, 2014
       https://doi.org/10.3892/ol.2014.2144
  • Expand metrics +
Metrics: Total Views: 0 (Spandidos Publications: | PMC Statistics: )
Metrics: Total PDF Downloads: 0 (Spandidos Publications: | PMC Statistics: )
Cited By (CrossRef): 0 citations Loading Articles...

This article is mentioned in:



Abstract

Multiple endocrine neoplasia type 1 (MEN1) is a cancer predisposition syndrome that includes a combination of endocrine and non‑endocrine tumors. The present study reports a rare case of MEN1 associated with breast cancer with the MEN1 gene mutation. A 45‑year‑old female was diagnosed with breast cancer subsequent to presenting with a right breast mass. Pre‑operative radiological studies indicated right breast cancer with a suspicious metastatic nodule of the lung. Further studies demonstrated bilateral thyroid nodules, a neuroendocrine tumor of the pancreas, paraganglioma, a left adrenal adenoma, gallstones, uterine subserosal myoma and pituitary macroadenoma. Laboratory examinations revealed hypercalcemia, hypophosphatemia and an increased intact parathyroid hormone level. The workup for the suspected MEN syndrome revealed an increased basal plasma level of insulin‑like growth factor‑1, prolactin and calcitonin, and an increased 24‑h urinary free cortisol level. The patient underwent surgical removal of the breast cancer and the tumors of the pancreas, adrenal gland, thyroid and parathyroid glands, uterus, anterior mediastinum and lung. The pathological diagnosis of the resected breast was of invasive ductal carcinoma. Otherwise the pathological diagnosis was of calcitonin‑producing pancreatic endocrine carcinoma, adrenal cortical adenoma, bilateral papillary thyroid carcinomas, parathyroid adenomas, uterine leiomyoma with adenomyosis, a thymic carcinoid tumor and lung hamatoma. Gene analysis was performed to determine the association between gene mutations and the development of tumors in this patient, and a germ‑line MEN1 gene mutation was consequently detected. It could be assumed that MEN1 syndrome may have possibly predisposed the present patient to breast cancer. However, additional observations and further studies are required to demonstrate this association.

Introduction

Multiple endocrine neoplasia type 1 (MEN1) is an autosomal dominant cancer predisposition syndrome (1), caused by mutations in the MEN1 gene (2). The MEN1 gene is located on chromosome 11q13 (2). Previous studies of loss of heterozygosity (LOH) by microsatellite analysis in tumor tissues of MEN1 patients have supported a tumor suppressor function of the MEN1 gene (3–5). Although patients with MEN1 syndrome are characterized by the presence of tumors of the parathyroid gland, anterior pituitary and endocrine pancreas (6), it has been demonstrated that tumors may arise in over 20 different endocrine and non-endocrine organs in these patients. Less common manifestations in MEN1 patients include adrenocortical tumors, foregut carcinoid tumors, such as thymic carcinoid, bronchial carcinoid and gastric enterochromaffin-like tumors, and cutaneous/mucosal or visceral abnormalities, such as facial angiofibromas, lipomas, hypomelanotic macules, collagenomas and meningiomas (6,7). There is also a frequent association with thyroid tumors, however, this association should be considered likely causal for the high incidence of thyroid abnormalities in the general population (7).

The present study reports the case a patient with an unusual combination of MEN1-associated tumors and breast cancer. The patient exhibited major clinical manifestations of MEN1, such as primary hyperparathyroidism, pituitary adenoma and pancreatic endocrine carcinoma together with other tumors, including adrenocortical adenoma, a thymic carcinoid tumor, papillary thyroid carcinoma, uterine leiomyoma, lung hamatoma and breast cancer. Gene analysis was performed for the MEN1, RET, BRCA1 and BRCA2 genes to determine the association between gene mutations and the development of tumors in the patient. Written informed consent was obtained from the patient for publication of this case report and accompanying images.

Case report

Patient

A 45-year-old female presented to the Daegu Catholic University Hospital (Daegu, Korea) with a mass in the right breast that had been present for the previous two months. The patient had previously suffered no serious illnesses and had no known family history of malignancy, including breast cancer. The patients’s mother was known to have diabetes, but there was no known family history of MEN1.

Physical examination and imaging

Upon physical examination, a fixed, firm mass, 2 cm in diameter, was palpated without tenderness in the right breast. There was no clinical evidence of regional lymphadenopathy. Mammography revealed a spiculate hyperdense lesion in the upper portion of the right breast (Fig. 1A). Ultrasonography (USG) revealed an irregularly-shaped hypoechoic lesion in the right breast in accordance with the finding of the mammography (Fig. 1B). The patient underwent an ultrasound-guided core needle biopsy, which revealed the features of an invasive ductal carcinoma. Radiological studies, including computed tomography (CT) of the chest, magnetic resonance imaging (MRI) of the breast and positron emission tomography-CT (PET-CT) of the torso were conducted for pre-operative evaluation of the right breast cancer. PET-CT showed metabolically active lesions in the right breast, the anterior mediastinum, the peripancreatic area of the upper abdomen and the left adrenal gland, which corresponded to the lesions observed on the CT scan (Fig. 2). In addition, the left thyroid gland and the endometrium of the uterus showed mild FDG uptake on the PET-CT, and a suspicious metastatic nodule of the lung was observed on the CT scan. The findings of an additional abdominopelvic CT scan indicated a neuroendocrine tumor of the pancreas, paraganglioma, a left adrenal adenoma, gallstones and uterine subserosal myoma.

Figure 1

Radiological findings of the right breast. (A) Mammography showing a spiculate hyperdense lesion in the upper portion of the right breast. (B) Ultrasonography (USG) scan showing an irregularly-shaped hypoechoic lesion in the right breast.

Figure 2

Findings of positron emission tomography-computed tomography (PET-CT). PET-CT showed (1) a metabolically mildly active right breast lesion compatible with the proven right breast cancer, which was proven by an ultrasound-guided core needle biopsy (2) a metabolically mildly active left thyroid lesion, which was suspicious for thyroid cancer, (3) a metabolically active prevascular (ascending paraaortic) nodal lesion, (4) metabolically active upper abdominal nodal lesions (left gastric lymph node and adjacent to hepatic and splenic artery), which were suspicious for metastatic nodal lesions or a primary pancreas tail mass (4), (5) suspicious left adrenal metastasis and (6) mild endometrial uptake, which was suspicious for myoma or endometrial malignancy.

Laboratory results

Concomitantly, laboratory examinations revealed hypercalcemia (11.8 mg/dl; normal range, 8.2–10.2 mg/dl), hypophosphatemia (2.0 mg/dl; normal range, 2.5–4.5 mg/dl) and an increased intact parathyroid hormone (iPTH) level of 340.8 pg/ml (normal range, 12–72 pg/ml). The workup for the suspected MEN syndrome revealed an increased basal plasma level of insulin-like growth factor-1 (430 ng/ml; normal range, 124–290 ng/ml), prolactin (43.9 ng/ml; normal range, 3–25 ng/ml) and calcitonin (286.3 pg/ml; normal range, <10 pg/ml), and an increased 24-h urinary free cortisol level (563.5 μg/24 h; normal range, 55.5–286.0). Basal plasma levels of other hormones, including growth hormone, thyroid stimulating hormone, adrenocorticotrophic hormone, gonadotrophic hormone, cortisol, aldosterone, plasma rennin activity, gastrin, insulin and urinary catecholamines, were all within normal limits.

Imaging results

MRI brain scans showed a tumor of 1.4×0.9 cm in size at the posterior aspect of the adenohypophysis, which was indicative of a pituitary macroadenoma. USG of the neck revealed relatively well-defined hypoechoic nodules in the bilateral thyroid lobes. Fine-needle aspiration cytology for nodules at the inferior pole of the bilateral thyroid lobes showed a few atypical epithelial cells of suspected parathyroid origin.

Treatment and outcome

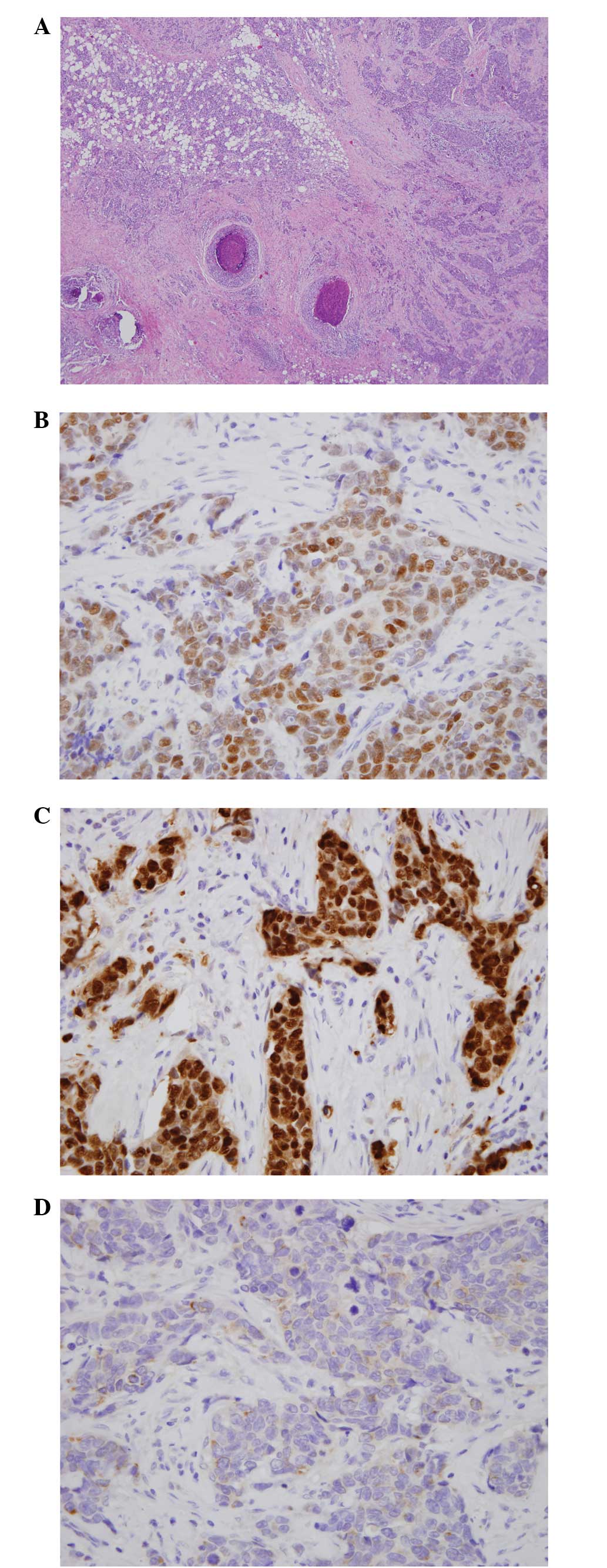
The patient underwent multiple pancreatic mass enucleation, left adrenalectomy, cholecystectomy and hysterectomy. The pathological diagnosis was of calcitonin-producing pancreatic endocrine carcinoma for the pancreatic mass, adrenal cortical adenoma for the adrenal mass, cholelithiasis and uterine leiomyoma with adenomyosis, respectively. A month later, a right breast lumpectomy with right axillary lymph node dissection, total thyroidectomy, parathyroidectomy, extended thymectomy and wedge resection of the lung were performed simultaneously. The pathological diagnosis of the resected breast was of an invasive ductal carcinoma associated with ductal carcinoma in situ demonstrating estrogen receptor (ER)-positive, progesterone receptor-positive and HER2/neu proliferation-negative breast cancer, and metastatic carcinoma was detected in the right axillary lymph nodes (Fig. 3). The pathological diagnosis of nodules in the thyroid gland, parathyroid gland, anterior mediastinal mass and lung nodule were bilateral papillary thyroid carcinomas, not medullary carcinoma, and parathyroid adenomas, a thymic carcinoid tumor and lung hamatoma, respectively. Subsequent to the surgery, the serum calcium levels and the iPTH decreased to within the normal range. The suspicious pituitary adenoma remained untreated and has not since changed in size in 2 years of follow-up examinations. Following the surgery, the patient received adjuvant chemotherapy with 4 cycles of Adriamycin and cyclophosphamide, followed by 4 cycles of docetaxel and then radiation therapy to the right chest and axilla. The patient is currently undergoing anti-estrogen therapy using tamoxifen, and has exhibited no evidence of local tumor recurrence or distant metastases in the 2 years since the surgery.

Figure 3

Histologic findings of the right breast mass after lumpectomy. (A) Microscopic findings of the specimen showing irregular infiltration of tumor cells, stromal fibrosis, periductal infiltration of tumor cells with intact basement membrane and calcified materials (HE stain; magnification, ×40). Immunohistochemically positive staining for (B) estrogen receptor (ER) and (C) progesterone receptor in the tumor (HE stain; magnification, ×400). (D) Imunohistochemical staining for HER2/neu proliferation showing negative findings (HE stain, ×400). HE, hematoxylin and eosin.

Mutational analysis

Given the clinical impression of combined MEN1 and MEN2A based on the clinical manifestations of the patient, confirmatory genetic testing for the MEN1, as well as the RET gene was performed. Also, BRCA1 and BRCA2 genetic testing was performed to determine the association between gene mutations and the development of other tumors, including breast cancer.

Once informed consent had been obtained, peripheral blood samples were collected from the patient. Genomic DNA was extracted from blood using a commercial kit (Wizard Genomic DNA Purification kit; Promega, Madison, WI, USA). Polymerase chain reaction and mutational analyses of the genes were performed as previously described (8–10). All coding exons for the MEN1 gene, and exons 10, 11, 13, 14, 15 and 16 of the RET proto-oncogene were analyzed by direct sequencing. The 22 exons and the exon-intron boundaries of the BRCA1 gene and the 26 exons and the exon-intron boundaries of the BRCA2 gene were analyzed by direct sequencing. DNA sequencing was performed on the pretreated PCR product using an automated direct sequence analyzer (ABI PRISM 3100 Genetic Analyzer; Applied Biosystems, Foster City, CA, USA).

Results

The MEN1 gene germline mutational analysis revealed a 5-bp duplication in exon 3, namely, c.196_200dupAGCCC, which resulted in a frameshift mutation of the MEN1 gene. This mutation is one of the known germ-line mutations of the MEN1 gene in MEN1 patients (11). In addition, a polymorphism of the MEN1 gene was detected at codon 423 in exon 10 of the MEN1 gene, with substitution of a cytidine to a thymidine (C423T), which did not cause a change of amino acid. Mutation analysis for the RET, BRCA1 and BRCA2 genes showed a polymorphism of the RET and BRCA1 genes, but no significant mutation was detected in this patient.

Discussion

The present study reports the case of a patient with MEN1-associated tumors and breast cancer, in which we identified germline mutations in MEN1, but not in BRCA1/2.

Although increasing evidence for MEN1-associated non-endocrine tumors has been reported, there are limited data on the association of breast cancer with MEN1. To the best of our knowledge, there have been two reports of MEN1 associated with breast cancer regardless of BRCA1/2 germline mutations (12,13). Honda et al (12) reported a case with an unusual combination of primary hyperparathyroidism, primary aldosteronism and breast cancer, in a patient with a germline MEN1 gene mutation, which is regarded as a benign polymorphism and loss of heterozygosity (LOH) of the MEN1 locus in the DNA from breast cancer tissue. The study hypothesized that the clinical spectrum of MEN1 might include breast cancer. Recently, Inic et al (13) also reported the case of a patient with breast cancer and MEN1. Several other studies have also described cases of patients with MEN1 and a family history of breast cancer, however, in these studies, the breast cancer was caused by mutations of the BRCA1/2 gene not the MEN1 gene (14,15). Papi et al (14) reported the cases of carriers of both the MEN1 and BRCA1 germline mutations, who had a classical MEN1 phenotype with a family history of breast cancer. Ghataorhe et al (15) reported the case of a patient with both the MEN1 and BRCA2 germline mutations, who had MEN1 and a family history of male breast cancer.

The MEN1 gene responsible for MEN1 acts as a tumor suppressor gene (16), and tumors in MEN1 arise through the two-hit mechanism (3). The first hit is a germline mutation, and the second hit is a somatic inactivation of the remaining wild-type allele in a single cell of certain tissues, which initiates neoplastic transformation (17). A wide variety of germline mutations of the MEN1 gene have been identified to date (11,18). These observed mutations are scattered throughout the entire coding region and include nonsense, missense and frameshift mutations (11). In the present study the germline mutational analysis revealed a frameshift mutation in exon 3 of the MEN1 gene, which is a known mutation of the MEN1 gene associated with MEN1 syndrome (11,18). Several studies have indicated that mutation type or location within MEN1 may be associated with clinical presentation (19,20). However, there is no apparent genotype-phenotype correlation (7,11). Although 196_200dupAGCCC, the MEN1 germline mutation detected in the present study, has previously been reported in MEN1-related disorders (21–23), the clinical manifestations of the patient in the present study are different from those of previous studies, which indicates a lack of genotype-phenotype correlation.

The product of the MEN1 gene, menin, is a nuclear protein whose interaction with several nuclear proteins indicates a role in transcriptional regulation (24–26). Previous studies support a role for MEN1 in the control of cell growth and differentiation, and in sensing or repairing DNA damage (27–30). The loss of menin function in a tumor precursor cell is involved in the mechanism for tumor formation in MEN1 (1,20). In this regard, there are several possible mechanisms of involvement for MEN1 in breast cancer formation. Menin has been proposed to be involved in signaling pathways that have a role in breast cancer formation, and it may also control cell cycle progression and genomic integrity (1). Honda et al (12) hypothesized that an alteration of the MEN1 gene with LOH and/or another tumor suppressor gene located in the MEN1 locus on chromosome 11q13 may be involved in the development of breast cancer without somatic gene mutations. Data are conflicting as to how the loss of menin-ERα interaction is associated with breast carcinogenesis. Menin can directly interact with the ERα in a hormone-dependent manner (31). Also, menin has a demonstrable role as a coactivator for ERα-mediated transcription by increasing the methylation of lysine 4 of histone 3 and the consequent transcription of the trefoil factor-1 (TFF1) gene (26,31). The product of TFF1 is estrogen-induced breast cancer-associated peptide, and this is indicated to be involved in breast carcinogenesis and a variety of other tumor progression mechanisms (31–35). Normal mammary tissue expresses little or no TFF1 protein expression in normal breast ducts (36,37), and TFF1 expression is increased and positively associated with ER-positive tumors in breast cancer (35). Several studies have shown that the protein expression of TFF1 is associated with an improved prognosis and inversely associated with histological grade (33,35).

In summary, the current study presented the rare case of a patient with MEN1 associated with breast cancer, in which a germline mutation of the MEN1 gene was detected. In this patient, MEN1 syndrome may have predisposed the patient to developing breast cancer. However, there have been few studies regarding the association between breast cancer and MEN1 syndrome, and further studies and additional case reports are required to clarify this connection.

References

1 

Busygina V and Bale AE: Multiple endocrine neoplasia type 1 (MEN1) as a cancer predisposition syndrome: clues into the mechanisms of MEN1-related carcinogenesis. Yale J Biol Med. 79:105–114. 2006.

2 

Chandrasekharappa SC, Guru SC, Manickam P, et al: Positional cloning of the gene for multiple endocrine neoplasia-type 1. Science. 276:404–407. 1997.

3 

Larsson C, Skogseid B, Oberg K, Nakamura Y and Nordenskjöld M: Multiple endocrine neoplasia type 1 gene maps to chromosome 11 and is lost in insulinoma. Nature. 332:85–87. 1988.

4 

Thakker RV, Bouloux P, Wooding C, et al: Association of parathyroid tumors in multiple endocrine neoplasia type 1 with loss of alleles on chromosome 11. N Engl J Med. 321:218–224. 1989.

5 

Farnebo F, Teh BT, Kytölä S, et al: Alterations of the MEN1 gene in sporadic parathyroid tumors. J Clin Endocrinol Metab. 83:2627–2630. 1998.

6 

Brandi ML, Gagel RF, Angeli A, et al: Guidelines for diagnosis and therapy of MEN type 1 and type 2. J Clin Endocrinol Metab. 86:5658–5671. 2001.

7 

Romei C, Pardi E, Cetani F and Elisei R: Genetic and clinical features of multiple endocrine neoplasia types 1 and 2. J Oncol. 2012:7050362012.

8 

Morelli A, Falchetti A, Martineti V, et al: MEN1 gene mutation analysis in Italian patients with multiple endocrine neoplasia type 1. Eur J Endocrinol. 142:131–137. 2000.

9 

Chung YJ, Kim HH, Kim HJ, et al: RET proto-oncogene mutations are restricted to codon 634 and 618 in Korean families with multiple endocrine neoplasia 2A. Thyroid. 14:813–818. 2004.

10 

Kim BY, Lee DG, Lee KR, et al: Identification of BRCA1 and BRCA2 mutations from Korean breast cancer patients using denaturing HPLC. Biochem Biophys Res Commun. 349:604–610. 2006.

11 

Giraud S, Zhang CX, Serova-Sinilnikova O, et al: Germ-line mutation analysis in patients with multiple endocrine neoplasia type 1 and related disorders. Am J Hum Genet. 63:455–467. 1998.

12 

Honda M, Tsukada T, Horiuchi T, et al: Primary hyperparathyroidism associated with aldosterone-producing adrenocortical adenoma and breast cancer: Relation to MEN1 gene. Intern Med. 43:310–314. 2004.

13 

Inic ZM, Inic M, Dodic R, Pupic G and Damjanovic S: Breast cancer in a patient with multiple endocrine neoplasia type 1 (MEN1): A case report and review of the literature. J Clin Oncol. 30(suppl): abstract 221136. 2012.

14 

Papi L, Palli D, Masi L, et al: Germline mutations in MEN1 and BRCA1 genes in a woman with familial multiple endocrine neoplasia type 1 and inherited breast-ovarian cancer syndromes: a case report. Cancer Genet Cytogenet. 195:75–79. 2009.

15 

Ghataorhe P, Kurian AW, Pickart A, et al: A carrier or both MEN1 and BRCA2 mutations: case report and review of the literature. Cancer Genet Cytogenet. 179:89–92. 2007.

16 

Chandrasekharappa SC and Teh BT: Functional studies of the MEN1 gene. Functional studies of the MEN1 gene. J Intern Med. 253:606–615. 2003.

17 

Knudson AG Jr: Mutation and cancer: statistical study of retinoblastoma. Proc Natl Acad Sci USA. 68:820–823. 1971.

18 

Lemos MC and Thakker RV: Multiple endocrine neoplasia type 1 (MEN1): analysis of 1336 mutations reported in the first decade following identification of the gene. Hum Mutat. 29:22–32. 2008.

19 

Kouvaraki MA, Lee JE, Shapiro SE, et al: Genotype-phenotype analysis in multiple endocrine neoplasia type 1. Arch Surg. 137:641–647. 2002.

20 

Lips CJ, Dreijerink KM and Höppener JW: Variable clinical expression in patients with a germline MEN1 disease gene mutation: clues to a genotype-phenotype correlation. Clinics (Sao Paolo). 67(Suppl 1): 49–56. 2012.

21 

Ellard S, Hattersley AT, Brewer CM and Vaidya B: Detection of an MEN1 gene mutation depends on clinical features and supports current referral criteria for diagnostic molecular genetic testing. Clin Endocrinol (Oxf). 62:169–175. 2005.

22 

Klein RD, Salih S, Bessoni J and Bale AE: Clinical testing for multiple endocrine neoplasia type 1 in a DNA diagnostic laboratory. Genet Med. 7:131–138. 2005.

23 

Park JH, Kim IJ, Kang HC, et al: Germline mutations of the MEN1 gene in Korean families with multiple endocrine neoplasia type 1 (MEN1) or MEN1-related disorders. Clin Genet. 64:48–53. 2003.

24 

Agarwal SK, Guru SC, Heppner C, et al: Menin interacts with the AP1 transcription factor JunD and represses JunD-activated transcription. Cell. 96:143–152. 1999.

25 

Heppner C, Bilimoria KY, Agarwal SK, et al: The tumor suppressor protein menin interacts with NF-kappaB proteins and inhibits NF-kappaB-mediated transactivation. Oncogene. 20:4917–4925. 2001.

26 

Kim H, Lee JE, Cho EJ, Liu JO and Youn HD: Menin, a tumor suppressor, represses JunD-mediated transcriptional activity by association with an mSin3A-histone deacetylase complex. Cancer Res. 63:6135–6139. 2003.

27 

Itakura Y, Sakurai A, Katai M, et al: Enhanced sensitivity to alkylating agent in lymphocytes from patients with multiple endocrine neoplasia type 1. Biomed Pharmacother. 54(Suppl 1): 187s–190s. 2000.

28 

Jin S, Mao H, Schnepp RW, et al: Menin associates with FANCD2, a protein involved in repair of DNA damage. Cancer Res. 63:4204–4010. 2003.

29 

Binz SK, Sheehan AM and Wold MS: Replication protein A phosphorylation and the cellular response to DNA damage. DNA Repair (Amst). 3:1015–1024. 2004.

30 

Kim YS, Burns AL, Goldsmith PK, et al: Stable overexpression of MEN1 suppresses tumorigenicity of RAS. Oncogene. 18:5936–5942. 1999.

31 

Dreijerink KM, Mulder KW, Winkler GS, Höppener JW, Lips CJ and Timmers HT: Menin links estrogen receptor activation to histone H3K4 trimethylation. Cancer Res. 66:4929–4935. 2006.

32 

Prest SJ, May FE and Westley BR: The estrogen-regulated protein, TFF1, stimulates migration of human breast cancer cells. FASEB J. 16:592–594. 2002.

33 

Corte MD, Tamargo F, Alvarez A, et al: Cytosolic levels of TFF1/pS2 in breast cancer: Their relationship to clinical-pathological parameters and their prognostic significance. Breast Cancer Res Treat. 96:63–72. 2006.

34 

Bauche E, Etique N, Alpy F, et al: Deficiency in trefoil factor 1 (TFF1) increases tumorigenicity of human breast cancer cells and mammary tumor development in TFF1-knockout mice. Oncogene. 30:3261–3273. 2011.

35 

Amiry N, Kong X, Muniraj N, et al: Trefoil factor-1 (TFF1) enhances oncogenicity of mammary carcinoma cells. Endocrinology. 150:4473–4483. 2009.

36 

Hähnel E, Robbins P and Hähnel R: Expression of the pS2 gene in normal breast tissue. Breast Cancer Res Treat. 28:295–297. 1993.

37 

Poulsom R, Hanby AM, Lalani EN, Hauser F, Hoffmann W and Stamp GW: Intestinal trefoil factor (TFF 3) and pS2 (TFF 1), but not spasmolytic polypeptide (TFF 2) mRNAs are co-expressed in normal, hyperplastic, and neoplastic human breast epithelium. J Pathol. 183:30–38. 1997.

Related Articles

  • Abstract
  • View
  • Download
  • Twitter
Copy and paste a formatted citation
Spandidos Publications style
Jeong YJ, Oh HK and Bong JG: Multiple endocrine neoplasia type 1 associated with breast cancer: A case report and review of the literature. Oncol Lett 8: 230-234, 2014.
APA
Jeong, Y.J., Oh, H.K., & Bong, J.G. (2014). Multiple endocrine neoplasia type 1 associated with breast cancer: A case report and review of the literature. Oncology Letters, 8, 230-234. https://doi.org/10.3892/ol.2014.2144
MLA
Jeong, Y. J., Oh, H. K., Bong, J. G."Multiple endocrine neoplasia type 1 associated with breast cancer: A case report and review of the literature". Oncology Letters 8.1 (2014): 230-234.
Chicago
Jeong, Y. J., Oh, H. K., Bong, J. G."Multiple endocrine neoplasia type 1 associated with breast cancer: A case report and review of the literature". Oncology Letters 8, no. 1 (2014): 230-234. https://doi.org/10.3892/ol.2014.2144
Copy and paste a formatted citation
x
Spandidos Publications style
Jeong YJ, Oh HK and Bong JG: Multiple endocrine neoplasia type 1 associated with breast cancer: A case report and review of the literature. Oncol Lett 8: 230-234, 2014.
APA
Jeong, Y.J., Oh, H.K., & Bong, J.G. (2014). Multiple endocrine neoplasia type 1 associated with breast cancer: A case report and review of the literature. Oncology Letters, 8, 230-234. https://doi.org/10.3892/ol.2014.2144
MLA
Jeong, Y. J., Oh, H. K., Bong, J. G."Multiple endocrine neoplasia type 1 associated with breast cancer: A case report and review of the literature". Oncology Letters 8.1 (2014): 230-234.
Chicago
Jeong, Y. J., Oh, H. K., Bong, J. G."Multiple endocrine neoplasia type 1 associated with breast cancer: A case report and review of the literature". Oncology Letters 8, no. 1 (2014): 230-234. https://doi.org/10.3892/ol.2014.2144
Follow us
  • Twitter
  • LinkedIn
  • Facebook
About
  • Spandidos Publications
  • Careers
  • Cookie Policy
  • Privacy Policy
How can we help?
  • Help
  • Live Chat
  • Contact
  • Email to our Support Team