Spandidos Publications Logo
  • About
    • About Spandidos
    • Aims and Scopes
    • Abstracting and Indexing
    • Editorial Policies
    • Reprints and Permissions
    • Job Opportunities
    • Terms and Conditions
    • Contact
  • Journals
    • All Journals
    • Oncology Letters
      • Oncology Letters
      • Information for Authors
      • Editorial Policies
      • Editorial Board
      • Aims and Scope
      • Abstracting and Indexing
      • Bibliographic Information
      • Archive
    • International Journal of Oncology
      • International Journal of Oncology
      • Information for Authors
      • Editorial Policies
      • Editorial Board
      • Aims and Scope
      • Abstracting and Indexing
      • Bibliographic Information
      • Archive
    • Molecular and Clinical Oncology
      • Molecular and Clinical Oncology
      • Information for Authors
      • Editorial Policies
      • Editorial Board
      • Aims and Scope
      • Abstracting and Indexing
      • Bibliographic Information
      • Archive
    • Experimental and Therapeutic Medicine
      • Experimental and Therapeutic Medicine
      • Information for Authors
      • Editorial Policies
      • Editorial Board
      • Aims and Scope
      • Abstracting and Indexing
      • Bibliographic Information
      • Archive
    • International Journal of Molecular Medicine
      • International Journal of Molecular Medicine
      • Information for Authors
      • Editorial Policies
      • Editorial Board
      • Aims and Scope
      • Abstracting and Indexing
      • Bibliographic Information
      • Archive
    • Biomedical Reports
      • Biomedical Reports
      • Information for Authors
      • Editorial Policies
      • Editorial Board
      • Aims and Scope
      • Abstracting and Indexing
      • Bibliographic Information
      • Archive
    • Oncology Reports
      • Oncology Reports
      • Information for Authors
      • Editorial Policies
      • Editorial Board
      • Aims and Scope
      • Abstracting and Indexing
      • Bibliographic Information
      • Archive
    • Molecular Medicine Reports
      • Molecular Medicine Reports
      • Information for Authors
      • Editorial Policies
      • Editorial Board
      • Aims and Scope
      • Abstracting and Indexing
      • Bibliographic Information
      • Archive
    • World Academy of Sciences Journal
      • World Academy of Sciences Journal
      • Information for Authors
      • Editorial Policies
      • Editorial Board
      • Aims and Scope
      • Abstracting and Indexing
      • Bibliographic Information
      • Archive
    • International Journal of Functional Nutrition
      • International Journal of Functional Nutrition
      • Information for Authors
      • Editorial Policies
      • Editorial Board
      • Aims and Scope
      • Abstracting and Indexing
      • Bibliographic Information
      • Archive
    • International Journal of Epigenetics
      • International Journal of Epigenetics
      • Information for Authors
      • Editorial Policies
      • Editorial Board
      • Aims and Scope
      • Abstracting and Indexing
      • Bibliographic Information
      • Archive
    • Medicine International
      • Medicine International
      • Information for Authors
      • Editorial Policies
      • Editorial Board
      • Aims and Scope
      • Abstracting and Indexing
      • Bibliographic Information
      • Archive
  • Articles
  • Information
    • Information for Authors
    • Information for Reviewers
    • Information for Librarians
    • Information for Advertisers
    • Conferences
  • Language Editing
Spandidos Publications Logo
  • About
    • About Spandidos
    • Aims and Scopes
    • Abstracting and Indexing
    • Editorial Policies
    • Reprints and Permissions
    • Job Opportunities
    • Terms and Conditions
    • Contact
  • Journals
    • All Journals
    • Biomedical Reports
      • Information for Authors
      • Editorial Policies
      • Editorial Board
      • Aims and Scope
      • Abstracting and Indexing
      • Bibliographic Information
      • Archive
    • Experimental and Therapeutic Medicine
      • Information for Authors
      • Editorial Policies
      • Editorial Board
      • Aims and Scope
      • Abstracting and Indexing
      • Bibliographic Information
      • Archive
    • International Journal of Epigenetics
      • Information for Authors
      • Editorial Policies
      • Editorial Board
      • Aims and Scope
      • Abstracting and Indexing
      • Bibliographic Information
      • Archive
    • International Journal of Functional Nutrition
      • Information for Authors
      • Editorial Policies
      • Editorial Board
      • Aims and Scope
      • Abstracting and Indexing
      • Bibliographic Information
      • Archive
    • International Journal of Molecular Medicine
      • Information for Authors
      • Editorial Policies
      • Editorial Board
      • Aims and Scope
      • Abstracting and Indexing
      • Bibliographic Information
      • Archive
    • International Journal of Oncology
      • Information for Authors
      • Editorial Policies
      • Editorial Board
      • Aims and Scope
      • Abstracting and Indexing
      • Bibliographic Information
      • Archive
    • Medicine International
      • Information for Authors
      • Editorial Policies
      • Editorial Board
      • Aims and Scope
      • Abstracting and Indexing
      • Bibliographic Information
      • Archive
    • Molecular and Clinical Oncology
      • Information for Authors
      • Editorial Policies
      • Editorial Board
      • Aims and Scope
      • Abstracting and Indexing
      • Bibliographic Information
      • Archive
    • Molecular Medicine Reports
      • Information for Authors
      • Editorial Policies
      • Editorial Board
      • Aims and Scope
      • Abstracting and Indexing
      • Bibliographic Information
      • Archive
    • Oncology Letters
      • Information for Authors
      • Editorial Policies
      • Editorial Board
      • Aims and Scope
      • Abstracting and Indexing
      • Bibliographic Information
      • Archive
    • Oncology Reports
      • Information for Authors
      • Editorial Policies
      • Editorial Board
      • Aims and Scope
      • Abstracting and Indexing
      • Bibliographic Information
      • Archive
    • World Academy of Sciences Journal
      • Information for Authors
      • Editorial Policies
      • Editorial Board
      • Aims and Scope
      • Abstracting and Indexing
      • Bibliographic Information
      • Archive
  • Articles
  • Information
    • For Authors
    • For Reviewers
    • For Librarians
    • For Advertisers
    • Conferences
  • Language Editing
Login Register Submit
  • This site uses cookies
  • You can change your cookie settings at any time by following the instructions in our Cookie Policy. To find out more, you may read our Privacy Policy.

    I agree
Search articles by DOI, keyword, author or affiliation
Search
Advanced Search
presentation
Oncology Letters
Join Editorial Board Propose a Special Issue
Print ISSN: 1792-1074 Online ISSN: 1792-1082
Journal Cover
September-2014 Volume 8 Issue 3

Full Size Image

Sign up for eToc alerts
Recommend to Library

Journals

International Journal of Molecular Medicine

International Journal of Molecular Medicine

International Journal of Molecular Medicine is an international journal devoted to molecular mechanisms of human disease.

International Journal of Oncology

International Journal of Oncology

International Journal of Oncology is an international journal devoted to oncology research and cancer treatment.

Molecular Medicine Reports

Molecular Medicine Reports

Covers molecular medicine topics such as pharmacology, pathology, genetics, neuroscience, infectious diseases, molecular cardiology, and molecular surgery.

Oncology Reports

Oncology Reports

Oncology Reports is an international journal devoted to fundamental and applied research in Oncology.

Experimental and Therapeutic Medicine

Experimental and Therapeutic Medicine

Experimental and Therapeutic Medicine is an international journal devoted to laboratory and clinical medicine.

Oncology Letters

Oncology Letters

Oncology Letters is an international journal devoted to Experimental and Clinical Oncology.

Biomedical Reports

Biomedical Reports

Explores a wide range of biological and medical fields, including pharmacology, genetics, microbiology, neuroscience, and molecular cardiology.

Molecular and Clinical Oncology

Molecular and Clinical Oncology

International journal addressing all aspects of oncology research, from tumorigenesis and oncogenes to chemotherapy and metastasis.

World Academy of Sciences Journal

World Academy of Sciences Journal

Multidisciplinary open-access journal spanning biochemistry, genetics, neuroscience, environmental health, and synthetic biology.

International Journal of Functional Nutrition

International Journal of Functional Nutrition

Open-access journal combining biochemistry, pharmacology, immunology, and genetics to advance health through functional nutrition.

International Journal of Epigenetics

International Journal of Epigenetics

Publishes open-access research on using epigenetics to advance understanding and treatment of human disease.

Medicine International

Medicine International

An International Open Access Journal Devoted to General Medicine.

Journal Cover
September-2014 Volume 8 Issue 3

Full Size Image

Sign up for eToc alerts
Recommend to Library

  • Article
  • Citations
    • Cite This Article
    • Download Citation
    • Create Citation Alert
    • Remove Citation Alert
    • Cited By
  • Similar Articles
    • Related Articles (in Spandidos Publications)
    • Similar Articles (Google Scholar)
    • Similar Articles (PubMed)
  • Download PDF
  • Download XML
  • View XML
Case Report

Polypoid colonic metastases from gastric stump carcinoma: A case report

  • Authors:
    • Bingxia Gao
    • Xinying Xue
    • Weiping Tai
    • Jinghui Zhang
    • Hong Chang
    • Xiaorong Ma
    • Ying Qi
    • Lifang Cui
    • Fengcai Yan
    • Lei Pan
  • View Affiliations / Copyright

    Affiliations: Department of Gerontology, Beijing Shijitan Hospital, Capital Medical University, Beijing 100038, P.R. China, Department of Gastroenterology, Beijing Shijitan Hospital, Capital Medical University, Beijing 100038, P.R. China, Department of Pathology, Beijing Shijitan Hospital, Capital Medical University, Beijing 100038, P.R. China
  • Pages: 1119-1122
    |
    Published online on: June 16, 2014
       https://doi.org/10.3892/ol.2014.2254
  • Expand metrics +
Metrics: Total Views: 0 (Spandidos Publications: | PMC Statistics: )
Metrics: Total PDF Downloads: 0 (Spandidos Publications: | PMC Statistics: )
Cited By (CrossRef): 0 citations Loading Articles...

This article is mentioned in:



Abstract

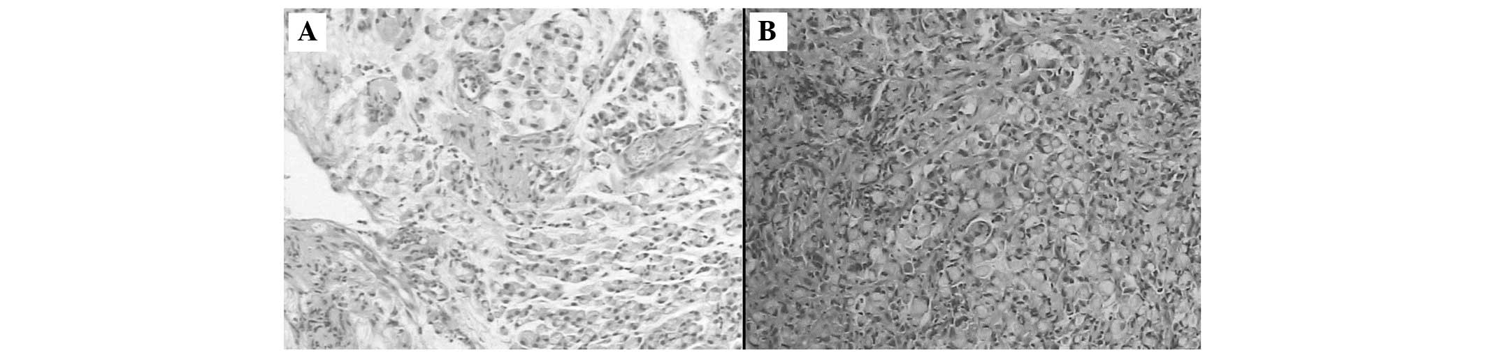
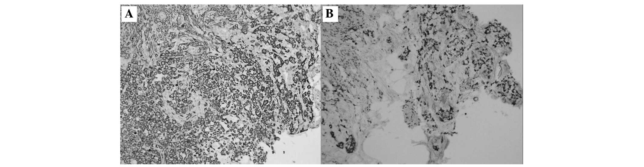
The present study aimed to investigate polypoid colonic metastases from gastric stump carcinoma by performing a retrospective analysis of the clinical data of a patient with such a diagnosis, and by discussing other previous case studies from the literature. The patient of the present study was an 80-year-old male who had undergone a gastrectomy 48 years previously for a benign perforated gastric ulcer. A colonoscopy revealed >10 multiple polypoid lesions of 6‑10 mm in diameter distributed throughout the entire colon, except in the rectum. Each lesion had either erosion or a depression at the top and several were covered with a white fur-like substance. Biopsy specimens excised from the stomach showed a poorly‑differentiated adenocarcinoma with diffuse signet ring cells, and a colonoscopy‑guided biopsy revealed a signet ring cell adenocarcinoma. The patient was referred to the Oncology unit (Beijing Shijitan Hospital, Beijing, China) for assessment and chemotherapy treatment, which was initiated with 1,000 mg Xeloda orally administered twice a day for two‑week courses every three weeks. The patient succumbed to upper gastrointestinal hemorrhage and pneumonia after three months. Gastric or gastric stump carcinoma may metastasize to the colon presenting as solitary or multiple colonic polyps. Thus, it is important to consider this diagnosis as such colon metastases may mimic solitary or multiple colonic polyps, which are commonly observed. A differential diagnosis is required in this complicated situation.
View Figures

Figure 1

Figure 2

Figure 3

Figure 4

Figure 5

View References

1 

Batson OV: The function of the vertebral veins and their role in the spread of metastases. Ann Surg. 112:138–149. 1940.

2 

Rodríguez SN, González PC, Rivera T, et al: Colonic anastomosis and colonic polyp mucosal metastasis of signet ring cell gastric adenocarcinoma. Clin Transl Oncol. 12:238–239. 2010.

3 

Kwon MS, Ko SO, Cho NP, et al: Gastric signet-ring cell adenocarcinoma metastatic to the gingiva: a case report. Oral Surg Oral Med Oral Pathol Oral Radiol Endod. 102:62–66. 2006.

4 

Ogiwara H, Konno H, Kitayama Y, Kino I and Baba S: Metastases from gastric adenocarcinoma presenting as multiple colonic polyps: report of a case. Surg Today. 24:473–475. 1994.

5 

Feczko PJ, Collins DD and Mezwa DG: Metastatic disease involving the gastrointestinal tract. Radiol Clin North Am. 31:1359–1373. 1993.

6 

Metayer P, Antonietti M, Oumrani M, et al: Metastases of a gastric adenocarcinoma presenting as colonic polyposis. Report of a case. Dis Colon Rectum. 34:622–623. 1991.

7 

Hu X, Tian DY and Cao L: Clinicopathological features and outcome of patients with remnant gastric cancer. Zhonghua Wei Chang Wai Ke Za Zhi. 12:581–583. 2009.(In Chinese).

8 

Sauerborn D, Vidakovic B, Baranovic M, et al: Gastric adenocarcinoma metastases to the alveolar mucosa of the mandible: a case report and review of the literature. J Craniomaxillofac Surg. 39:645–648. 2011.

9 

Lim SW, Huh JW, Kim YJ and Kim HR: Laparoscopic low anterior resection for hematogenous rectal metastasis from gastric adenocarcinoma: a case report. World J Surg Oncol. 9:1482011.

10 

Tomikashi K, Mitsufuji S, Kanemasa H, et al: Gastric cancer metastatic to the colon. Gastrointest Endosc. 55:5612002.

11 

Tiszlavicz L: Metastasis of a stomach carcinoma in a solitary adenomatous cecal polyp. Zentralbl Allg Pathol. 136:277–282. 1990.

12 

Tiszlavicz L: Stomach cancer metastasizing into a solitary adenomatous colonic polyp. Orv Hetil. 131:1259–1261. 1990.

13 

Niimi K, Matsuki K, Tomoda S, et al: 2 casesa of solitary metastasis to the large intestine from gastric carcinoma. Gan No Rinsho. 30:1720–1725. 1984.

14 

McKay J: A case of intestinal-type gastric adenocarcinoma metastatic to a caecal tubulovillous polyp. N Z Med J. 123:86–87. 2010.

15 

Tung SY, Wu CS and Chen PC: Primary signet ring cell carcinoma of colorectum: an age- and sex-matched controlled study. Am J Gastroenterol. 91:2195–2199. 1996.

16 

Chen JS, Hsieh PS, Chiang JM, et al: Clinical outcome of signet ring cell carcinoma and mucinous adenocarcinoma of the colon. Chang Gung Med J. 33:51–57. 2010.

17 

Sim HL, Tan KY, Poon PL and Cheng A: Primary rectal signet ring cell carcinoma with peritoneal dissemination and gastric secondaries. World J Gastroenterol. 14:2118–2120. 2008.

18 

Chu P, Wu E and Weiss LM: Cytokeratin 7 and cytokeratin 20 expression in epithelial neoplasms: a survey of 435 cases. Mod Pathol. 13:962–972. 2000.

19 

Wang NP, Zee S, Zarbo RJ, Bacchi CE and Gown AM: Coordinate expression of cytokeratins 7 and 20 defines unique subsets of carcinomas. Appl Immunohistochem. 3:99–107. 1995.

Related Articles

  • Abstract
  • View
  • Download
  • Twitter
Copy and paste a formatted citation
Spandidos Publications style
Gao B, Xue X, Tai W, Zhang J, Chang H, Ma X, Qi Y, Cui L, Yan F, Pan L, Pan L, et al: Polypoid colonic metastases from gastric stump carcinoma: A case report. Oncol Lett 8: 1119-1122, 2014.
APA
Gao, B., Xue, X., Tai, W., Zhang, J., Chang, H., Ma, X. ... Pan, L. (2014). Polypoid colonic metastases from gastric stump carcinoma: A case report. Oncology Letters, 8, 1119-1122. https://doi.org/10.3892/ol.2014.2254
MLA
Gao, B., Xue, X., Tai, W., Zhang, J., Chang, H., Ma, X., Qi, Y., Cui, L., Yan, F., Pan, L."Polypoid colonic metastases from gastric stump carcinoma: A case report". Oncology Letters 8.3 (2014): 1119-1122.
Chicago
Gao, B., Xue, X., Tai, W., Zhang, J., Chang, H., Ma, X., Qi, Y., Cui, L., Yan, F., Pan, L."Polypoid colonic metastases from gastric stump carcinoma: A case report". Oncology Letters 8, no. 3 (2014): 1119-1122. https://doi.org/10.3892/ol.2014.2254
Copy and paste a formatted citation
x
Spandidos Publications style
Gao B, Xue X, Tai W, Zhang J, Chang H, Ma X, Qi Y, Cui L, Yan F, Pan L, Pan L, et al: Polypoid colonic metastases from gastric stump carcinoma: A case report. Oncol Lett 8: 1119-1122, 2014.
APA
Gao, B., Xue, X., Tai, W., Zhang, J., Chang, H., Ma, X. ... Pan, L. (2014). Polypoid colonic metastases from gastric stump carcinoma: A case report. Oncology Letters, 8, 1119-1122. https://doi.org/10.3892/ol.2014.2254
MLA
Gao, B., Xue, X., Tai, W., Zhang, J., Chang, H., Ma, X., Qi, Y., Cui, L., Yan, F., Pan, L."Polypoid colonic metastases from gastric stump carcinoma: A case report". Oncology Letters 8.3 (2014): 1119-1122.
Chicago
Gao, B., Xue, X., Tai, W., Zhang, J., Chang, H., Ma, X., Qi, Y., Cui, L., Yan, F., Pan, L."Polypoid colonic metastases from gastric stump carcinoma: A case report". Oncology Letters 8, no. 3 (2014): 1119-1122. https://doi.org/10.3892/ol.2014.2254
Follow us
  • Twitter
  • LinkedIn
  • Facebook
About
  • Spandidos Publications
  • Careers
  • Cookie Policy
  • Privacy Policy
How can we help?
  • Help
  • Live Chat
  • Contact
  • Email to our Support Team